The globalisation of the market and the free movement of goods obscure the authenticity of some goods and facilitate their sale under false pretences. Particularly often counterfeited are luxury and branded products with a recognised market position, e.g alcoholic beverages, meat products, hard cheeses, and other products for consumption. According to Polish legislation, any foodstuff is considered to be fake in which changes have been made to hide its actual composition or other properties. This stimulates the need for methods which enable reliable identification of product composition (24,27). The problem of species identification is becoming more important by the year, not only as a scientific problem but also a practical one. Lately, the problem of species identification has mainly concerned identification of game meat acquired illegally by poachers, or reduction of a product’s commercial quality due to an undeclared species substitution. Since new hazards such as TSE diseases have appeared, species identification has become a necessity to ensure food safety (5). Substitution as simple replacement of species, i.e replacing the meat of a more expensive species with cheaper one, usually does not pose a direct threat to health (10); however, in some cases, undeclared substitution might (11). This applies to those who are allergic to some animal proteins in the diet (12, 18). The proper labelling and identification of animal products in food is necessary to ensure proper quality and food safety (2). In recent years, both scientists and inspection professionals have faced the problem of determining the species of animal origin products for religious, health, and legal requirements (1, 3).
There are many methods that have determined meat species (24), but so far there are no established procedures suitable for official analyses (2, 4). To meet this need, an effort was made to determine the possibility of using electrophoretic methods to identify meat species (6). With the use of these methods species might be detected by the molecular weight of proteins or the determination of isoelectric point value (pI) (6, 7, 32). The pI is defined as the pH value at which the proteins and peptides contain the same number of positive and negative charges, which yields total charge of protein equal to zero (13, 15). Based on the analysis of literature data, it was considered that the isoelectric focusing method (IEF), which separates proteins in the gel according to their pI value, may be particularly useful for examining the species of meat. Previous studies indicated that the IEF method might be useful for the determination of muscle tissue proteins of various species of slaughter animals (19). The purpose of the presented work was to assess the suitability and application of the developed method for routine practice.
Sample preparation Samples were prepared from meat of pigs (Sus scrofa ferus domestica), cattle (Bos taurus), and poultry (Gallus gallus domesticus). Meat samples of a single species had muscle fat and fascia removed and were then ground. Meat mixtures of different animal species were made by blending 50%, 25%, 10%, 5%, 4%, 3%, 2%, 0.5%, or 0.2% meat from other species. Laboratory sample precursors of 50 g were weighed out of standardised samples of meat and meat mixtures, and samples weighing 5 g were taken from this material. Samples were homogenised with 5 mL of deionised water in a Polytron PT 3000 homogeniser (Kinematica, Switzerland) at 10,000 rpm for 5 min at 4°C. The homogenate was purified by centrifugation in a Beckman J2-MC high-speed centrifuge at 12,000 rpm for 10 min at 4°C.
Electrophoresis The supernatant was applied on gels with 1 μL applicator and subjected to electrophoresis. Electrophoresis was performed on the PhastSystem apparatus (Amersham, part of GE Healthcare, UK) with the use of ultra-thin gradient gels (PhastGel IEF), which are ready polyacrylamide gels (5% T, 3% C), containing Pharmalyte (co-polymerisates of amines, glycine, glycylglycine, and epichlorohydrin, GE healthcare Bio-Science AB, Sweden) with pH 3–9. Electrophoretic separations were performed in three steps. The first step was prefocusing, in which the pH gradient was set at the following parameters: 2,000V, 2.5mA, 3.5W 15°C, and 75Vh. This was followed by sample application: samples were applied onto the gels under following conditions: 200V, 2.5mA, 3.5W, 15°C, and 15Vh. The third and final step was separation, parameterised at: 2,000V, 3mA, 4W, 15°C, and 410Vh. Gels were stained with brilliant blue R 250 GE Healthcare Bio-Science AB, Sweden) according to the manufacturer’s protocol.
Stage I – analysis of single species samples Analyses of electrophoretic separation were performed by comparison of the position of the protein bands with the standards. The standards were proteins with known pI and intra-laboratory standards of muscle proteins of a given species. Gel analyses were performed with the use of a densitometer and Image Master VDS computer software (Amersham). Based on the electrophoretic resolution of meat proteins of single species, the protein pattern characteristic for each species was established. The pI value of each protein within the species was determined by comparison with the standard pI (pH 3–10; GE healthcare Bio-Science AB, Sweden). In order to confirm the stability of characteristic protein patterns, meat samples of each species were prepared as previously described and submitted to IEF in ten repetitions. With the use of Image Master VDS, the pI of each protein was determined in subsequent resolutions. The pI values of selected proteins of each animal species were subjected to statistical analysis. The mean value of the pI, standard deviation, and coefficient of variation were determined. As the acceptability criterion, it was assumed that the value of the variability for the series of pI values should not exceed 1%.
Stage II – analysis of samples of meat mixtures Results of this stage were used for method validation. Validation was achieved by examination in five replicates of meat samples mixed with meat of another animal species in various amounts. Samples of beef were spiked with pork or poultry meat in quantities of 50%, 25%, 10%, 5%, 4%, 3%, 2%, 0.5%, or 0.2%, and in like manner samples of pork were spiked with beef and poultry meat and poultry meat was mixed with beef and pork. Samples were electrophoresed and stained. The minimal addition of meat of the other species was determined as the level at which the characteristic bands for the added species were still visible. The detection limit (LOD) was established as the lowest level of added species in which at least 50% of electrophoretic separation bands indicating the presence of the added species appear. The accuracy, specificity, and sensitivity of the method were calculated at the lowest level considered to be technologically significant, i.e. 5% (20).
Stage I – analysis of single species samples Analyses of electrophoretic separation were performed by comparison of the position of the protein bands with the standards. The typical electrophoretic IEF separation of muscle tissue proteins of pigs, cattle, and poultry is shown in Fig. 1.

Electrophoretic separation of muscle tissue proteins. Lines: 2 and 3 – pigs; 4 and 5 – cattle; 6 and 7 – poultry; and 1 and 8 – pI standard and characteristic protein bands of meat, respectively. Standard – green, S1 – 6 pigs (black), B1 – 6 cattle (red), and D1 – 5 poultry (blue)
For each separation of single species meat proteins densitometry was performed. An example of such analysis is presented on the densitogram (Fig. 2).

Example of densitometric analysis of IEF separation of meat proteins of pigs (black line), cattle (red line), and poultry (blue line). OD – optical density, RF – retention factor
As can be seen in Figs 1 and 2, the muscle proteins consist of over 30 protein bands for each species, differing in pI. The protein pattern is characteristic for individual species. For pork meat six characteristic bands were selected and denoted S1–S6. The pI values of these proteins were 4.94, 4.96, 5.85, 6.24, 6.53, and 6.53. For beef, the characteristic bands were marked B1–B6 and pI values resolved to 4.84, 5.24, 5.91, 6.53, 6.81, and 7.2, respectively. Five typical bands (D1–D5) were indicated in poultry meat. These proteins were characterised by the following pI values: D1 – 4.6, D2 – 6.15, D3 – 6.22, D4 – 6.53, and D5 – 7.4. Verification of the suitability of the method was confirmed by determination of the repeatability of protein patterns in 10 meat samples (purchased at different times in different stores). The pI values of selected pig, bovine, and poultry muscle proteins are shown in Table 1.
Data presented in Table 1 indicate that the pI values of meat proteins showed low variability confirmed by the low values of the coefficient of variation and standard deviation. The value of the coefficient of variation did not exceed 1% for any of the tested bands, which reveals their permanent location. The characteristic pattern of meat protein bands is constant, and thus it proves that the IEF method can be used to identify homogeneous raw meat of cattle, poultry, and pigs.
The pI values of selected pig, bovine, and poultry muscle proteins
| Selected bands | Characteristics of the variability of pI value in the selected protein bands of pork, cattle, and poultry meat | ||||||||||||||
|---|---|---|---|---|---|---|---|---|---|---|---|---|---|---|---|
| Sample No | Mean | Minimum | Max | SD | CV% | ||||||||||
| 1 | 2 | 3 | 4 | 5 | 6 | 7 | 8 | 9 | 10 | ||||||
| pI value of selected protein band of pig muscle | |||||||||||||||
| S1 | 4.93 | 4.92 | 4.92 | 4.93 | 4.91 | 4.92 | 4.96 | 4.96 | 4.94 | 4.98 | 4.94 | 4.91 | 4.98 | 0.02 | 0.46 |
| S2 | 4.96 | 4.93 | 4.94 | 4.95 | 4.97 | 4.96 | 4.98 | 4.96 | 4.95 | 4.96 | 4.96 | 4.93 | 4.98 | 0.01 | 0.30 |
| S3 | 5.84 | 5.86 | 5.89 | 5.89 | 5.89 | 5.84 | 5.88 | 5.84 | 5.77 | 5.81 | 5.85 | 5.77 | 5.89 | 0.04 | 0.71 |
| S4 | 6.24 | 6.26 | 6.27 | 6.23 | 6.24 | 6.24 | 6.23 | 6.27 | 6.21 | 6.23 | 6.24 | 6.21 | 6.27 | 0.02 | 0.33 |
| S5 | 6.5 | 6.55 | 6.54 | 6.53 | 6.52 | 6.52 | 6.52 | 6.52 | 6.53 | 6.54 | 6.53 | 6.5 | 6.55 | 0.01 | 0.17 |
| S6 | 6.52 | 6.52 | 6.55 | 6.56 | 6.53 | 6.53 | 6.52 | 6.5 | 6.52 | 6.53 | 6.53 | 6.5 | 6.56 | 0.02 | 0.28 |
| pI value of selected protein band of cattle muscle | |||||||||||||||
| B1 | 4.86 | 4.84 | 4.82 | 4.84 | 4.84 | 4.89 | 4.8 | 4.82 | 4.82 | 4.84 | 4.84 | 4.8 | 4.89 | 0.02 | 0.52 |
| B2 | 5.27 | 5.21 | 5.19 | 5.28 | 5.23 | 5.26 | 5.23 | 5.24 | 5.29 | 5.21 | 5.24 | 5.19 | 5.29 | 0.03 | 0.63 |
| B3 | 5.9 | 5.89 | 5.92 | 5.92 | 5.9 | 5.88 | 5.91 | 5.9 | 5.91 | 5.95 | 5.91 | 5.88 | 5.95 | 0.02 | 0.33 |
| B4 | 6.53 | 6.52 | 6.52 | 6.51 | 6.54 | 6.53 | 6.55 | 6.54 | 6.55 | 6.54 | 6.53 | 6.51 | 6.55 | 0.01 | 0.20 |
| B5 | 6.8 | 6.84 | 6.82 | 6.82 | 6.81 | 6.76 | 6.8 | 6.82 | 6.81 | 6.82 | 6.81 | 6.76 | 6.84 | 0.02 | 0.31 |
| B6 | 7.22 | 7.2 | 7.22 | 7.19 | 7.2 | 7.17 | 7.17 | 7.17 | 7.2 | 7.22 | 7.2 | 7.17 | 7.22 | 0.02 | 0.29 |
| pI value of selected protein band of poultry muscle | |||||||||||||||
| D1 | 4.59 | 4.59 | 4.62 | 4.61 | 4.58 | 4.58 | 4.61 | 4.62 | 4.61 | 4.62 | 4.6 | 4.58 | 4.62 | 0.02 | 0.36 |
| D2 | 6.15 | 6.14 | 6.12 | 6.12 | 6.12 | 6.15 | 6.16 | 6.16 | 6.18 | 6.21 | 6.15 | 6.12 | 6.21 | 0.03 | 0.47 |
| D3 | 6.2 | 6.22 | 6.24 | 6.23 | 6.22 | 6.22 | 6.22 | 6.19 | 6.24 | 6.23 | 6.22 | 6.19 | 6.24 | 0.02 | 0.26 |
| D4 | 6.53 | 6.51 | 6.52 | 6.53 | 6.53 | 6.5 | 6.54 | 6.53 | 6.56 | 6.53 | 6.53 | 6.5 | 6.56 | 0.02 | 0.25 |
| D5 | 7.4 | 7.42 | 7.41 | 7.39 | 7.41 | 7.37 | 7.38 | 7.39 | 7.42 | 7.41 | 7.4 | 7.37 | 7.42 | 0.02 | 0.23 |
Stage II – analysis of samples of meat mixtures Species identification of mixtures of raw meat of pigs, cattle, and poultry was performed on samples prepared as described previously. Example images of IEF electrophoretic separation of proteins of the raw meat mixtures are presented in Figs 3–7. Due to reprographic limits on showing the bands, only the mixtures with above 3% addition of meat from other species are presented.
As can be seen in Fig. 3, the protein bands typical for beef (B1–B6) showed gradually weaker staining caused by a decrease in the content of bovine meat in the mixture. The bands B2 and B5 turned out to be the most useful for distinguishing pork admixture in beef. The bands B1 and B4 interfered with the pork proteins. On the other hand, B3 and B6 bands were relatively poorly visible.

Electrophoretic separation of pig meat proteins with the addition of bovine meat. 1 – pork protein pattern, 2 – 50%, 3 – 25%, 4 – 10%, 5 – 5%, 6 – 4%, 7 – 3%, and 8 – protein pattern of bovine meat; B1, B2, B3, B4, B5, and B6 – bands typical for bovine meat proteins
The percentage of samples in which the B2 and B5 bands were detected in pig meat mixtures with the addition of various amounts of bovine meat is shown in Table 2.
Percentage of samples of pork with beef admixtures (50%, 25%, 10%, 5%, 4%, 3%, 2%, 1%, 0.5%, and 0.2%) in which it was possible to observe bands B1, B2, B3, B4, B5, and B6
| Cattle | meat (%) | |||||||||
|---|---|---|---|---|---|---|---|---|---|---|
| Band | 50 | 25 | 10 | 5 | 4 | 3 | 2 | 1 | 0.5 | 0.2 |
| Percentage of positive findings | ||||||||||
| B1 | 100 | 100 | 100 | 100 | 100 | 100 | 20 | 0 | 0 | 0 |
| B2 | 100 | 100 | 100 | 100 | 100 | 100 | 40 | 0 | 0 | 0 |
| B3 | 100 | 100 | 100 | 100 | 100 | 100 | 40 | 0 | 0 | 0 |
| B4 | 100 | 100 | 100 | 100 | 100 | 100 | 60 | 0 | 0 | 0 |
| B5 | 100 | 100 | 100 | 100 | 100 | 100 | 80 | 20 | 0 | 0 |
| B6 | 100 | 100 | 100 | 100 | 100 | 100 | 40 | 20 | 0 | 0 |
Bands B2 and B5 were visible in all tested samples with the addition of 50% down to 3% bovine meat. The B2 and B5 protein bands were no longer visible in samples containing less than 2% and 1%, respectively. Detection of bovine meat by discernment of these bands was possible in one of the five tested samples containing 1% of bovine meat. Based on the obtained results, it was determined that the limit of detection of added beef in pork is 2%.
In the same manner, tests were carried out to determine the possibility of using the IEF method to detect the addition of poultry meat in pig meat for 50%, 25%, 10%, 5%, 4%, 3%, 2%, 1%, 0.5%, and 0.2% admixtures. The possibilities of detecting the addition of poultry meat are illustrated in Fig. 4.

Electrophoretic separation of pig meat proteins with the addition of poultry meat. 1 – pork protein pattern, 2 – 50%, 3 – 25%, 4 – 10%, 5 – 5%, 6 – 4%, 7 – 3%, and 8 – protein pattern of poultry meat; D1, D2, D4, D5 – bands typical for poultry meat proteins
As can be seen from Fig. 4, the intensity of the stain of protein bands typical for poultry gradually decreased with a decrease in the percentage of poultry meat in the sample. The bands D1, D2, and D4 disappeared when poultry meat was at 3% in the mixtures. The band D5 was clearly visible in all samples tested, up to a level of 0.2% of the addition of poultry to pig meat. In three out of five samples tested at the level of 0.2%, protein band D5 characteristic for poultry meat was still visible. The results of IEF separations are described in Table 3.
Percentage of samples of pork with poultry meat admixtures (50%, 25%, 10%, 5%, 4%, 3%, 2%, 1%, 0.5%, and 0.2%) in which it was possible to observe the bands D1, D2, D4, and D5
| Poultry meat (%) | |||||||||||
|---|---|---|---|---|---|---|---|---|---|---|---|
| Band | 50 | 25 | 10 | 5 | 4 | 3 | 2 | 1 | 0.5 | 0.2 | |
| Percentage of positive findings | |||||||||||
| D1 | 100 | 100 | 100 | 100 | 0 | 0 | 0 | 0 | 0 | 0 | |
| D2 | 100 | 100 | 100 | 100 | 80 | 20 | 0 | 0 | 0 | 0 | |
| D4 | 100 | 100 | 100 | 100 | 80 | 40 | 0 | 0 | 0 | 0 | |
| D5 | 100 | 100 | 100 | 100 | 100 | 100 | 100 | 100 | 80 | 60 | |
The obtained results indicate that the IEF method can be used to detect the addition of poultry meat in pig meat in an amount not less than 0.2%.
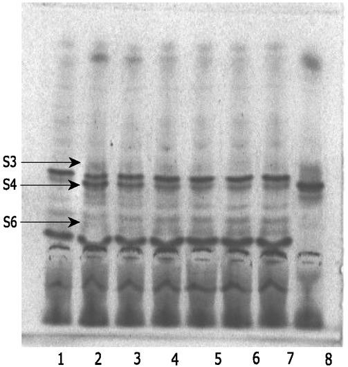
The IEF separation of porcine and bovine meat mixture proteins is illustrated in Fig. 5.

Electrophoretic separation of beef proteins with the addition of pork. 1 – beef protein pattern, 2 – 50%, 3 – 25%, 4 – 10%, 5 – 5%, 6 – 4%, 7 – 3%, 8 – protein pattern of pork; S2, S3, S4, S6 – bands typical for pork proteins
Electrophoretic separations of bovine meat samples with the addition of porcine meat showed that the protein bands typical for porcine meat were still visible in a sample containing down to 3% of pig meat as can be seen in Fig. 5. The decrease in pork in the mixture is indicated by the vanishing of protein bands typical for pork. The S2 pork protein band disappears in samples containing less than 10% of pork. The bands S3, S4, and S6 were identifiable in samples of mixtures containing more than 3% of pork but below this value, the bands typical for porcine meat were no longer visible. Validation data are presented in Table 4.
Percentage of cattle meat with porcine meat admixtures (50%, 25%, 10%, 5%, 4%, 3%, 2%, 1%, 0.5%, and 0.2%) in which it was possible to observe the bands S2, S3, S4, and S6
| Porcine meat (%) | ||||||||||
|---|---|---|---|---|---|---|---|---|---|---|
| Band | 50 | 25 | 10 | 5 | 4 | 3 | 2 | 1 | 0.,5 | 0.,2 |
| Percentage of positive findings | ||||||||||
| S2 | 100 | 100 | 60 | 0 | 0 | 0 | 0 | 0 | 0 | 0 |
| S3 | 100 | 100 | 100 | 100 | 80 | 40 | 0 | 0 | 0 | 0 |
| S4 | 100 | 100 | 100 | 80 | 100 | 40 | 0 | 0 | 0 | 0 |
| S6 | 100 | 100 | 100 | 80 | 100 | 40 | 0 | 0 | 0 | 0 |
The validation of results indicates that the IEF method can be used to detect the addition of pig meat to bovine meat in an amount of 3% or more.
The protein pattern of a mixture of poultry meat and bovine meat is shown in Fig. 6.

Electrophoretic separation of bovine meat proteins with the addition of poultry meat. 1 – beef protein pattern, 2 – 50%, 3 – 25%, 4 – 10%, 5 – 5%, 6 – 4%, 7 – 3%, and 8 – protein pattern of poultry meat; D3, D4, and D5 – bands typical for poultry meat proteins
The electrophoresis showed a gradual disappearance of the protein bands typical for poultry proteins caused by a decrease in the poultry meat admixture; however, poultry-characteristic bands were visible down to 0.2% poultry meat content in cattle meat. Electrophoretic separations of bovine meat with poultry showed interference of protein bands D1 and D2 with the bovine protein bands, thus their applicability for identification is questionable. Only proteins D3, D4, and D5 were useful for identification. The D4 band began to be weaker at 10% of added meat and totally disappeared at 4%. On the basis of the presence of the D5 band, the detection of the addition of poultry meat to bovine meat was still possible when the admixture was the smallest tested (in two out of five mixtures containing 0.2% of poultry meat). Validation data are presented in Table. 5.
Percentage of bovine meat with poultry meat admixtures (50%, 25%, 10%, 5%, 4%, 3%, 2%, 1%, 0.5%, and 0.2%) in which it was possible to observe the bands D3, D4, and D5
| Poultry meat (%) | ||||||||||
|---|---|---|---|---|---|---|---|---|---|---|
| Band | 50 | 25 | 10 | 5 | 4 | 3 | 2 | 1 | 0.,5 | 0.,2 |
| Percentage of positive findings | ||||||||||
| D3 | 100 | 100 | 100 | 80 | 0 | 0 | 0 | 0 | 0 | 0 |
| D4 | 100 | 100 | 100 | 60 | 0 | 0 | 0 | 0 | 0 | 0 |
| D5 | 100 | 100 | 100 | 100 | 100 | 100 | 100 | 100 | 80 | 40 |
Obtained results indicate that the IEF method can be used to detect the addition of poultry meat to bovine meat down to a level of 0.5% based on the presence of the D5 band.
The results of IEF electrophoresis of poultry meat spiked with pork are shown in Fig. 7.

Electrophoretic separation of poultry meat proteins with the addition of pork (1 – poultry protein pattern, 2 – 50%, 3 – 25%, 4 – 10%, 5 – 5%, 6 – 4%, 7 – 3%, and 8 – protein pattern of porcine meat; S3, S4, and S6 – bands typical for pork proteins)
Protein bands typical for swine meat S3, S4, and S6 were visible down to 10%, 1%, and 3%, respectively. In three out of five samples containing 1% of pig meat, the presence of protein (S4) bands characteristic for porcine meat was found. The results are presented in Table 6.
Percentage of samples of poultry meat with pork admixtures (50%, 25%, 10%, 5%, 4%, 3%, 2%, 1%, 0.5%, and 0.2%) in which it was possible to observe the S3, S4, and S6 bands
| Pork (%) | ||||||||||
|---|---|---|---|---|---|---|---|---|---|---|
| Band | 50 | 25 | 10 | 5 | 4 | 3 | 2 | 1 | 0.5 | 0.2 |
| Percentage of positive findings | ||||||||||
| S3 | 100 | 80 | 40 | 0 | 0 | 0 | 0 | 0 | 0 | 0 |
| S4 | 100 | 100 | 100 | 100 | 100 | 100 | 60 | 60 | 0 | 0 |
| S6 | 100 | 100 | 100 | 100 | 100 | 60 | 0 | 0 | 0 | 0 |
The applicability of IEF for detection of bovine proteins in a mixture with poultry meat is illustrated in Fig. 8.

Electrophoretic separation of chicken meat proteins with the addition of bovine meat. 1 – poultry protein pattern, 2 – 50%, 3 – 25%, 4 – 10%, 5 – 5%, 6 – 4%, 7 – 3%, and 8 – protein pattern of bovine meat; B1, B2, B3, B4, and B5 – bands typical for bovine meat proteins
Detection of bovine meat in poultry meat with the IEF method was possible down to 2%. Identification was possible based on the presence of B2. The obtained results are presented in Table 7.
The percentage of samples of poultry meat with bovine meat admixtures (50%, 25%, 10%, 5%, 4%, 3%, 2%, 1%, 0.5%, and 0.2%) in which it was possible to observe B1, B2, B3, B4, and B5 bands
| Cattle meat (%) | ||||||||||
|---|---|---|---|---|---|---|---|---|---|---|
| Band | 50 | 25 | 10 | 5 | 4 | 3 | 2 | 1 | 0.,5 | 0.,2 |
| Percentage of positive findings | ||||||||||
| B1 | 100 | 100 | 100 | 100 | 80 | 60 | 0 | 0 | 0 | 0 |
| B2 | 100 | 100 | 100 | 100 | 80 | 60 | 60 | 0 | 0 | 0 |
| B3 | 100 | 100 | 100 | 100 | 80 | 60 | 0 | 0 | 0 | 0 |
| B4 | 100 | 100 | 100 | 100 | 80 | 60 | 0 | 0 | 0 | 0 |
| B5 | 100 | 100 | 100 | 100 | 100 | 80 | 20 | 0 | 0 | 0 |
In none of the tested samples containing less than 2% of bovine meat any bands were found. The obtained results indicate that the IEF method is suitable for detecting the addition of bovine meat down to 2% in mixture with porcine meat.
According to validation data at the technologically significant level (i.e 5%), IEF proved its suitability for routine use with 100% sensitivity, which espouses its use as an official method for meat quality control.
The obtained results confirm that IEF separations of raw cattle, pig, and poultry meat give species-specific protein patterns. Protein bands appear repetitively and typically for animal species. The measurement of pI value confirmed the stability of the protein band pattern on IEF electrophoregrams. Very low values of standard deviations (below 0.05) and low coefficients of variation (0.7%) prove that the location of protein bands on gel is constant and repeatable. The obtained results attest to the IEF method potentially being used for routine species identification in raw bovine, pig, and poultry meat. This result corresponds to those presented by Hofmann (16), who described the possibility of using the electrophoretic method to identify the source species of meat of pigs, cattle, poultry, and kangaroo hares. The method was also applied to fish species identification by Rehbein (25), Mackie (22), and Etienne (9). This confirms the possibility of using the IEF method to identify different animal species. An attempt to use selected sets of bands to identify fish meat was made in the 1990s in the USA by creating a database of standardised bands facilitating the identification of fish meat – The Regulatory Fish Encyclopaedia. Some authors indicate the possibility of changes in the electrophoretic pattern of protein bands between animals of the same species depending on the diet and age of the animals (13, 23, 26). Maybe such a possibility exists, but no such effect was found in these studies with the use of bands characteristic for individual meat species in identification by IEF. Samples of meat for research were bought in various meat shops and the samples were diverse as to the source of the animal and conditions of its breeding. The location of protein bands on electrophoresis was still stable, showing low variability. Taking this into consideration it can be concluded that the IEF method might be used to reliably determine the source species of raw meat of pigs, cattle, and poultry. It detected the presence of poultry meat as an admixture in porcine meat at the level of 0.2% and in bovine meat at level of 0.5%. The detection limit for admixture pork in bovine meat was 4%. In poultry meat, the addition of pig meat could be discerned at 1%, and the detection limit for bovine meat was 3%. The results ascribe detection limits to the IEF method of 0.5% to 4% in raw meat. These detection limits are lower than the profitability limit determined by the technological properties of meat (≥5% addition of meat from a other species) (20). This makes routine application of the IEF method rational to determine the species composition of meat products. Similar results were obtained by King et al (19) who showed the possibility of detecting bovine meat in mixtures at the level of 1%. The authors indicate that a large number of protein bands with similar pI values cause difficulties in detecting bovine meat in pork meat. This finding was also confirmed by the observations made in this study. The detection limit obtained in this research (3%) is better than that achieved by Winterø et al (34), who indicated the possibility of using the IEF method to determine the species composition of mixtures with a detection limit of 5%. The limitation of the method is the possibility of its use only for raw meat, a restriction which dictated the choice of experimental material by Vallejo et al (33), Slattery et al (31), and Skarpeid et al (29, 30). Similar conclusions were also drawn by other authors (8, 17, 21). The limited possibility of identification of highly processed food was suggested by Singh et al (28).
In general, there is no validation data for an official method of species identification of meat and determination of the composition of meat products (14, 20). In this context, this work fills these gaps by validating and determining the practical suitability of the IEF method. The validation results confirmed the possibility of using the IEF method to identify and determine the raw material composition of meat products with 100% specificity, accuracy, and sensitivity at the addition level equal to or higher than 5% of a other species’ raw meat. The obtained results confirm Hofmann’s observations (16) on the applicability of the IEF method and determine the scope of the IEF method for routine tests. The achieved detection limits give a basis for recommending the IEF method for routine tests in laboratories detecting the species of meat.
In summary, the stable and reproducible protein band pattern obtained in the studies, consistent with the protein isoelectric points, recommend IEF for regulatory use. The developed set of bands facilitates determining the species composition of raw meat mixtures at a detection limit ranging from 0.2% to 4%, which suffices for routine tests.