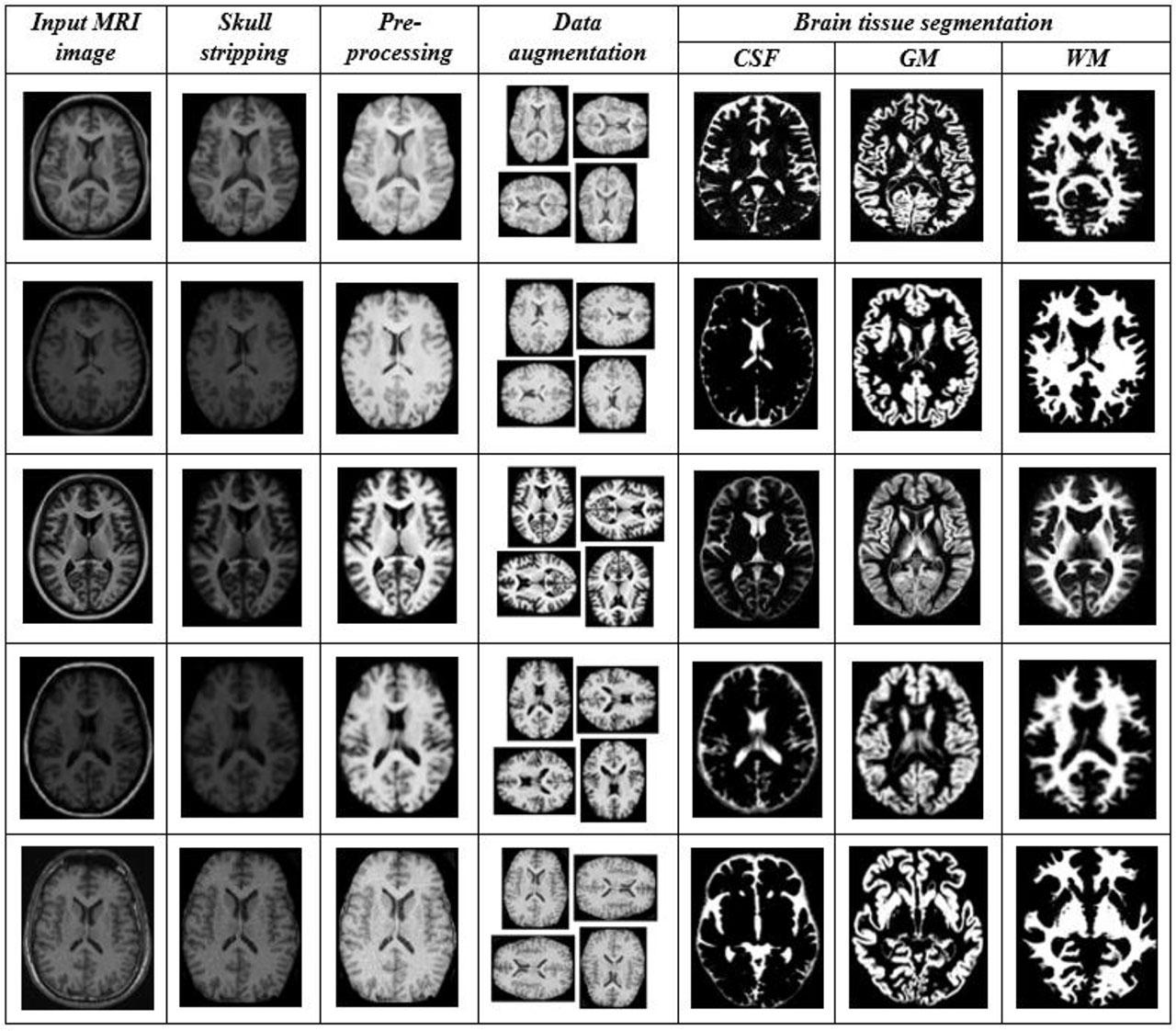
Fig. 1.

Fig. 2.

Fig. 3.

Fig. 4.

Fig. 5.

Fig. 6.

Fig. 7.

Performance evaluation of the DEEP-BTS_
| Types | AC | SP | RE | PR | F1 |
|---|---|---|---|---|---|
| CSF | 99.12 | 97.91 | 97.43 | 98.76 | 97.65 |
| GM | 98.36 | 96.75 | 98.14 | 97.13 | 96.14 |
| WM | 99.25 | 98.58 | 96.87 | 98.83 | 95.76 |
| Overall | 98.91 | 97.74 | 97.48 | 98.24 | 96.51 |
Comparison of existing methods and DEEP-BTS_
| Authors | Techniques | DI | ||
|---|---|---|---|---|
| CSF [%] | GM [%] | WM [%] | ||
| Veluchamy, M. and Subramani, B., (2021) [23] | Fuzzy C-Means | 87 | 89 | 91 |
| Yamanakkanavar, N. and Lee, B., 2020 [24] | M-Net | 87 | 89 | 91 |
| Srikrishna, M., et al., (2021) [28] | U-Net | 75 | 79 | 82 |
| Proposed | ResU-Net | 98.33 | 98.04 | 99.15 |
Performance comparison of the DEEP-BTS model with and without skull stripping and CSATF_
| Metrics | without skull stripping without CSATF | with skull stripping without CSATF | with skull stripping with CSATF |
|---|---|---|---|
| AC | 97.06 | 97.88 | 98.91 |
| F1 | 94.32 | 95.94 | 96.51 |
| DI | 95.98 | 97.65 | 98.50 |