Applications for nickel-based alloys can be found in a variety of industries, including marine and aerospace. In addition to their high levels of ductility, strength, toughness, and weldability, nickel alloys possess significant chemical properties. By sintering several materials with beneficial properties, new materials are produced that are utilized in a range of technical applications. Techniques for powder metallurgy have become essential for creating cutting-edge materials with improved qualities [1]. Among these, several key procedures have demonstrated exceptional potential for producing high-performance alloys and composites. With its ability to precisely regulate microstructure and characteristics, selective laser melting (SLM) is a major improvement in powder-based manufacturing [2]. Recent research has shown that SLM may create intricate shapes in nickel-based superalloys while preserving their superior mechanical qualities. In comparison to traditional manufacturing techniques, the technology contributes to higher mechanical qualities by enabling thin grain formations and quick solidification. In powder-based materials, hot pressing (HP) has shown promise in reaching nearly full density while preserving grain growth control. Through particle rearrangement and plastic deformation, the simultaneous application of pressure and temperature during HP encourages densification, improving mechanical characteristics. According to recent research, HP can successfully consolidate alloys based on nickel while maintaining their strengthening phases. The study’s emphasis, spark plasma sintering (SPS), has special benefits due to its quick processing times and high heating rates [3]. Grain growth is reduced and effective densification is promoted by the localized heating produced at particle interactions by the pulsed DC current flowing through the powder compact. Particular promise has been demonstrated by this method for preserving the powder materials’ nanostructured properties [4]. In recent studies, ceramics, particularly carbides, were taken into consideration in addition to the goal of improving mechanical performance. Measurable results were achieved with a variety of compounds, such as TiC, WC, or NbC [5]. In recent years, research has been done on the sintering of several materials to improve their mechanical, chemical, and thermal properties. Ercetin et al. have produced and characterized TAZ532-xNb composites with the main objectives of using high-purity, micron-sized powders of Mg, Sn, Al, Zn, Mn, and Nb as the raw components. Because Nb particles had a tougher composition than the matrix alloy, the composites demonstrated higher microhardness values as the Nb reinforcement ratio increased. At the same time, as elongation values peaked at a certain degree of Nb reinforcement, tensile strength showed a notable improvement with the increase in Nb reinforcement. The increased Nb reinforcement ratio, grain size, and resulting greater sample densities were credited with the favorable evolution of the tensile strength attributes [6]. Ogunbiyi et al. have intermingled nickel, chromium, cobalt (Co), titanium (Ti), tungsten (W), tantalum, and aluminum (Al) powders through the sintering process. They have optimized the process variables and found the most significant factors in density and hardness. According to the study, materials that sinter at 1,200°C and 50 MPa have high density and hardness. Spark plasma sintered graphene nanoplatelets (GNPs) were used to enhance the microstructure, tribological characteristics, and corrosion resistance of Inconel [7]. Pakseresht et al. layered Inconel 738 and NiCrAlY powder using SPS at a pressure of 40 MPa and a vacuum of 8 Pa. There were no visible defects like holes or interfacial fractures in the sintered specimen [8]. In 2019, Yan et al. enhanced the Inconel 718 alloy’s mechanical characteristics utilizing the SPS process. The study reveals that the hardness and compressive properties show notable improvement when fabricated through the SPS method [9]. Rutkowski et al. fabricated Inconel 625(Ti,Zr)C0.85 composites through the SPS method and evaluated the thermal properties. The increase in carbide reinforcement percentage decreases the thermal diffusivity and sample conductivity [10]. Zhou et al. fabricated Inconel composites with nanotungsten carbide through laser cladding. The microhardness of WC/Inconel 625 shows an enhanced value of 589 HV [11]. Graboś et al. have fabricated Inconel 625-niobium carbide composites for elevated-temperature applications. The research shows a steady increase in the specimen’s hardness [12]. Murakami et al. mixed TiC0·5N0.5-X (X: W, Mo) powders with particle sizes <1 µm using the SPS method. The sintered specimen shows high wear resistance, according to the research [13]. In 2009, Zhang et al. used SPS to produce the ultra-fine-grained INCONEL 625 superalloy, and it was noted that the resultant Inconel demonstrated extraordinary strength and excellent ductility [14]. Oglezneva et al. produced a homogeneously bonded sub-layer of PV-NiCr16Al6Y and PV-Ni75Al23W composites using the SPS technique [15].
According to the literature cited above, the SPS method yields a wide range of metal composites that may be employed in several technological applications. In this research, Inconel 825, tungsten carbide (WC), cobalt (Co), and graphene powders are mixed in four distinct compositions, and composite alloys were produced by layer-by-layer sintering and SPS process, respectively. The primary objectives of this research work are to develop novel Inconel 825-based composites for aerospace applications with varying compositions of WC, Co, and graphene using SPS, which could show better thermal stability and high-temperature performance. The sintered specimens were subjected to surface morphology, composition, and mechanical studies, respectively. In mechanical studies, Vickers hardness and tensile embrittlement in two conditions (ambient temperature and 450°C) were also analyzed.
SOOD Chemicals in Haryana, India, provided Inconel 825 micro-powder with an average element size of 25–30 μm and a purity of ≥99.9%. Avis Metal Industries Ltd in Surat, Gujarat, provided cobalt (Co) and tungsten carbide (WC) with average particle sizes of 1.1–1.30 μm and 75–150 μm, respectively. Merck India offers nanographene platelets with 120–150 m2/g specific surface area and a particle size of 5 μm. The bulk density and thickness of nanographene platelets are 0.03–0.1 g/cm3 and 6–8 nm, respectively. All the elemental powders and nanographene platelets used in this work met analytical grade purity standards, and therefore, no additional purification is necessary. Additionally, the matrix element (Inconel) has a spherical particle shape, whereas other alloying elements are uneven.
Uniform dispersion of varying fraction of graphene nano plates, WC and Co along with Inconel alloy where ensured by Ball milling process. Figure 1 shows the scanned electron microscopy (SEM) picture of the specimen with compositions of Inconel 825, tungsten carbide (WC), cobalt (Co), and nanographene (Gr) powder. Four different samples are prepared using the Inconel 825, tungsten carbide (WC), cobalt (Co), and nanographene (Gr) powder with varying weight percentages. The Planetary Mono Mill PULVERISETTE 6 classic series is a ball mill featuring a single grinding container mount and user-friendly imbalance compensation. It is easy to operate and delivers powerful energy output, reaching up to 650 rpm. This ensures reliable, high-quality grinding performance while occupying minimal space, ideal for loss-free grinding of rigid, less hard, brittle, and wet materials, whether dry, in suspension/inert gas. The high-speed ball milling machine is equipped with a container holder made of stainless steel (SS) 304L. Before the pre-alloying, the selected metal powders were weighed into SS containers, and the appropriate amount of ethanol solution was added. To improve powder particle miscibility and homogenization, tungsten balls were supplemented to the powders at a 4:1 ratio [16]. To ensure proper milling, 30 tungsten carbide balls of size 10 mm diameter are considered. The pre-alloying process was conducted in a mixer for 1 h at 200 rpm in a humid airtight environment. Subsequently, in the mixing phase, the materials were moved to a LABconco vacuum dryer. The aeration temperature was kept at 70°C for 4 h, and once complete, the milled powders were moved to the graphite die for sintering [17].

(a) SEM image of a specimen with compositions of Inconel 825, tungsten carbide (WC), cobalt (Co), and nanographene (Gr) powder. (b) Energy dispersive X-ray analysis (EDAX) spectrum of powder.
SPS was done on a graphite die with a Dr. Sinter SPS device (Model SPS-625, SPS Syntex Inc., Japan). SPS was performed on milled powders of various compositions at three different sintering temperatures (950, 1,000, and 1,050°C), with a compaction pressure of 40, 45, and 50 MPa, respectively, a heating speed of 100°C/min, and a holding time of 10 min. The graphite mold containing the composite powder was placed in the SPS system’s heating chamber (furnace), and the setup was turned on. The atmosphere in the heating chamber was maintained at a vacuum of 10−3 mbar. The electrical power rose dramatically at the beginning of the sintering process before settling. This approach generates sufficient heat, often exceeding that of standard methods, reducing processing time and enhancing dispersion. Before this process, 0.2 mm-thick graphite papers were used to insulate both the inner walls of the graphite die and the ends of the graphite punches that contacted the composite powder. To reduce temperature fluctuations and facilitate the removal of sintered components at the conclusion of the sintering cycle, this insulation was crucial. Composites with a 40 mm diameter and 6 mm thickness were created using a 40 mm graphite die mold [18]. An overview of the processing parameters used in this investigation is given in Table 1. The SPS system tracked the piston displacement and temperature during sintering. As the sintering temperature rose to the required level, the displacement graphs show the piston’s axial movement as well as the densification processes in each sample.
Processing parameters for sintering the composites.
| Sintering details | ||||
|---|---|---|---|---|
| Alloy/composites (wt%) | Temperature (°C) | Pressure (MPa) | Heating rate (°C/min) | Wetting time (min) |
| 45% Inconel, 10% WC, 33% Co, and 12% Gr | 950 | 40 | 100 | 5 |
| 33% Inconel, 10% WC, 45% Co, and 12% Gr | 1,000 | 45 | 100 | 5 |
| 90 wt% Inconel, 4 wt% WC, 5 wt% Co, and 1 wt% Gr | 1,050 | 50 | 100 | 5 |
The sintered samples’ relative densities were determined using Archimedes’ method on an electronic analytical balance. The process is described in the following equation:
The specimens were held together by screw-action “C” clamp grips with flat serrated surfaces. Small misalignments during the holding cause the specimen to bend or twist. As a result, the specimens were handled and secured between the grips, and the grip nuts tightened while taking care not to damage, distort, or twist the specimens. Despite this, bending was discovered in several of the specimens; hence, the results were disregarded. An extensometer with a 10 mm gauge length was installed on the specimen’s gauge section to quantify micro-tensile strain at equal intervals. The micro-tensile tests and tensile specimens’ size satisfied the E8M standards for tiny specimens. Figure 2 presents the image of the tensile specimen. The micro-hardness property was determined at room temperature with a Mitutoyo MVK-H1 Vickers hardness testing machine with a 5.0 N load for 15 s each indent. Tensile and micro-hardness trials were conducted at room temperature. The micro-hardness tests were performed three times, and the arithmetic mean values were computed. These mean values were then used to determine the actual hardness value.

Image of tensile specimen.
Figure 3(a)–(d) shows the specimen prepared via the SPS method. Specimen A is sintered by a layer-by-layer spark sintering approach; the Inconel, WC, Co, and nanographene powder are measured in weight percentages, such as 94.85, 4.5.0.5, and 0.15, respectively, and mixed for 1 h in a ball mill. This mixed powder is compacted in the graphene die, whose volume is 26 g, denoted as the core layer. Subsequent layers, such as the secondary and surface layers, are filled with weight percentages of 50 wt% Inconel, 25 wt% WC, 24 wt% Co, and 1 wt% Gr and 90 wt% Inconel, 4.5 wt% WC, 0.5 wt% Co, and 5 wt% Gr, respectively. The volume of the secondary and surface layers is 6.7 and 11.2 g, respectively.

(a–d) Specimen prepared via SPS method. (a) Layer-by-layer sintered specimen (94.85 wt% Inconel–4.5 wt% WC–0.5 wt% Co–0.15 wt% Gr), (b) uniformly mixed specimen (45 wt% Inconel–10 wt% WC–33 wt% Co–12 wt% Gr), (c) high cobalt content specimen (33 wt% Inconel–10 wt% WC–45 wt% Co–12 wt% Gr), and (d) high Inconel content specimen (90 wt% Inconel–4 wt% WC–5 wt% Co–1 wt% Gr).
According to the literature survey, the melting point of Inconel 825 is 1,385°C, while its sintering temperature is 900.25°C, and its re-crystallization temperature is 554°C. The SEM picture in Figure 4 shows a single particle of Inconel 825 on the core layer. Inconel, WC, Co, and graphene powders with corresponding component weight percentages of 45, 10, 33, and 12% were ball-milled to create specimen B. The resulting mixture was then spark plasma sintered at the temperature as detailed in Table 1. Likewise, specimen C had a weighted composition of 33% Inconel, 10% WC, 45% Co, and 12% graphene. Similarly, specimen D is prepared at a composition of 90 wt% Inconel, 4 wt% WC, 5 wt% Co, and 1 wt% graphene. Among the four specimens prepared, specimen A was prepared using the layer-by-layer method. However, during the SPS process, Inconel 825 melted and did not yield the desired results.

SEM image of a single particle of Inconel 825.
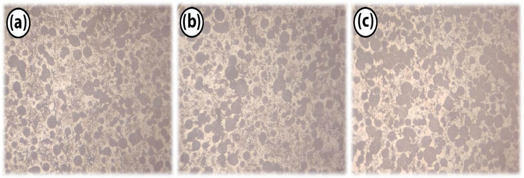
The microstructure of the sintered composites was analyzed to evaluate the impact of additional reinforcements on their mechanical properties. The dense microstructure achieved through SPS (as shown in Figure 5) demonstrates advantages over conventional sintering methods. The rapid heating and cooling rates in SPS minimize grain growth while promoting strong interfacial bonding between the matrix and reinforcements.

Optical metallographic image (magnification of 200×) of a powder particle sintered etched cross-section showing the microstructure of (a) uniformly mixed specimen (45 wt% Inconel–10 wt% WC–33 wt% Co–12 wt% Gr), (b) high cobalt content specimen (33 wt% Inconel–10 wt% WC–45 wt% Co–12 wt% Gr), and (c) high Inconel content specimen (90 wt% Inconel–4 wt% WC–5 wt% Co–1 wt% Gr).
The formation of precipitate intermetallic phases, particularly Ni2, can be attributed to the unique heating mechanism of SPS, where the pulsed current creates localized heating at particle boundaries. Figure 6(a)–(d) shows the alloy sintered with various reinforcements. The order of Inconel weight percentage for the sintered composites decreased from 94.85 to 33, while additional reinforcements were included in accordance with the literature investigations. Micrographs of the etched specimens demonstrate grain arrangement, pore distribution, and grain morphologies. The micrograph also showed that the formed grains exhibit various shapes and sizes, confirming that diffusion takes place during sintering. The absence of pores, pinholes, and fissures in sintered materials confirms their high density. There are three distinct colors visible: brilliant white, dark gray, and black. Inconel is commonly found in a solid solution phase, with visible grain boundaries.

SEM of specimens for phase distribution and grain boundaries: after sintering, (a and b) 45 wt% Inconel, 10 wt% WC, 33 wt% Co, and 12 wt% graphene; (c and d) 33 wt% Inconel, 10 wt% WC, 45 wt% Co, and 12 wt% grapheme, and (e and f) 90 wt% Inconel, 4 wt% WC, 5 wt% Co & 1 wt% graphene.
The SEM micrographs in Figure 6(a)–(d) reveal distinct microstructural features characterized by multiple phases and varying grain boundary characteristics. Composition D (94.85 wt% Inconel, 4.5 wt% WC, 0.5 wt% Co, 0.15 wt% grapheme) has the Inconel continuous matrix phase; in this view, the largest smooth patches are most likely the Inconel matrix, which has well-defined grain boundaries with characteristic triple points. Primary γ-phase Inconel matrix has equiaxed grains (10–15 μm). Fine WC particles (1–2 μm) distributed along grain boundaries might appear tiny and angular, and Co-rich regions appear as lighter contrast areas at grain intersections; Co is frequently used as a binder in cemented carbides (like WC). It can be found around WC particles, providing a link between them and the Inconel matrix [7]. At such a low weight percentage, graphene is most likely present as a scattered phase in the matrix. Minimal porosity (<1%) indicates effective densification, and graphene particles are exceedingly thin and would be difficult to see in the photograph.
Figure 6(a) and (b) (45 wt% Inconel, 10 wt% WC, 33 wt% Co, 12 wt% graphene) shows the heterogeneous grain structure with varied morphology and modified grain boundary characteristics due to high reinforcement content. The micro-structural features change from the previous one due to the larger levels of cobalt and graphite, as well as the decreased proportion of Inconel and increased WC content. Increased WC lead to produce the large clusters instead of evenly distributed throughout the material. The metallic matrix is less prevalent here, and other components such as cobalt, WC, and graphite will be more evident. The WC particles are often brilliant and blocky, which contributes to the material’s hardness and wear resistance [8]. Enhanced Co-phase distribution forming continuous networks is not visibly recognizable, but it will contribute to the structure’s overall hardness and heat resistance. Graphene contains a significant number of black or dark gray inclusions distributed throughout its microstructure. Graphene platelets are visible as dark lamellar structures and form discrete flakes or particles, which are evident in the photograph as dark patches. Figure 6(c) and (d) (33 wt% Inconel, 10 wt% WC, 45 wt% Co, 12 wt% graphene) depicts Inconel as a solid solution phase with potentially different grain boundaries showing the evidence of reinforcement-induced grain refinement with multiple phases. Refined grain structure (5–8 μm) is due to high Co content. The prominent WC particle agglomerations surrounded Co particles; this may emerge as lighter or darker sections depending on the etching. In Figure 7(e) and (f) (90 wt% Inconel, 4 wt% WC, 5 wt% Co, 1 wt% graphene), the Inconel matrix appears as a continuous metallic phase and dominant γ-phase Inconel matrix with uniform grain distribution and well-defined grain boundary network with typical austenitic structure. Fine dispersion of WC particles is characterized by small, evenly distributed hard carbide particles. These particles are often blocky or angular and would be distributed throughout the Inconel matrix, adding hardness and wear resistance. Limited Co-phase regions at grain boundaries contribute to the matrix characteristics, which are not apparent in a micrograph, yet enhance toughness and phase integrity. Graphene appears as little, evenly distributed black specks or flakes in the matrix. The phase distribution analysis reveals strong correlations between composition and microstructural evolution. Higher Inconel content promotes uniform grain structures, while increased reinforcement percentages lead to more complex phase distributions and modified grain boundary characteristics.

(a) 90 wt% Inconel, 4 wt% WC, 5 wt% Co, and 1 wt% graphene. EDAX element mapping in specimen D. (b) 45 wt% Inconel, 10 wt% WC, 33 wt% Co, and 12 wt% graphene. (c) 33 wt% Inconel, 10 wt% WC, 45 wt% Co, and 12 wt% graphene.
Figure 7(a)–(c) shows the EDAX images of all four specimens. EDAX aids in the identification of a material’s elemental makeup by exhibiting peaks at distinct energy levels (keV) that correspond to different elements. Figure 7(a) shows that the peak at 0.2 keV reflects carbon (C), which is most likely related to the graphite (Gr) phase. Peaks at ∼7.5 and 1 keV suggest nickel (Ni), a key component of Inconel. Nickel, like other elements, is expected to contribute to the matrix structure. The peaks near 0.75 keV and around 6.5 keV correspond to cobalt (Co), which, as previously stated, serves as the binder phase in WC–Co composites. The peaks at approximately 8.3 and 9.7 keV suggest the presence of tungsten (W), which corresponds to the tungsten carbide (WC) component. These would be seen as harder phases within the matrix. Detected around 5.5 keV, chromium is another constituent of Inconel, contributing to corrosion resistance. Iron (Fe) and molybdenum (Mo) are also visible in lower quantities; these elements are typically trace elements or alloying elements in superalloys like Inconel. The EDAX confirms the presence of key elements associated with the composition mentioned: Inconel (Ni, Cr, Fe), WC (W), Co, and Gr. The carbon peak is prominent, indicating the presence of graphite (Gr) in the specimen. Tungsten peaks show that WC particles are dispersed throughout the matrix, whereas Co supplies the binding structure [20]. Figure 7(a) displays peaks at 5.5 keV, indicating the presence of chromium (Cr), another essential alloying element in Inconel that increases corrosion resistance. There are modest copper peaks at around 8 and 9 keV. Copper may be present in trace amounts, or it could be contaminated by the specimen holder or processing tools. Figure 7(b) depicts the maximum peak of W in this location. Figure 7(c) exhibits Ni as the tallest peak, showing its abundance. Minor peaks for Co, Cu, and C indicate trace amounts in the specimen. Figure 8 illustrates the EDAX area color mapping of the sample with 90 wt% Inconel, 4 wt% WC, 5 wt% Co, and 1 wt% graphene (Figure 9).

(a)–(h) EDAX area color mapping of the sample with 90 wt% Inconel, 4 wt% WC, 5 wt% Co, and 1 wt% graphene.

Relation between the micro-hardness and relative density of compositions A, B, C, and D.
It was noted that the weight percentage of the reinforcement affects the mechanical properties of the sintered materials. Table 2 presents the micro-hardness values of the sintered composites. The readings were repeated five times. Specimen A, which has a high weight percentage of Inconel, exhibits increased hardness. Additionally, the formation of stronger dispersal bonds following the SPS process also contributes to the higher hardness. The variation between the smallest hardness value (specimen with the less weight percentage of Inconel) and the highest hardness value is 40 HV. Hence, the reduction of Inconel by 12 wt% brought about a 40 HV increase in the hardness of the composite alloy. It is evident from the hardness value of specimen C that the Co weight percentage plays a significant role in the hardness value. Apart from the matrix, the Co weight percentage is increased from 33 to 45 wt%. Moreover, as per Figure 10, the element tungsten is showing the highest peak, substantiating the hardness value.
Micro-hardness and relative density percentages of sintered composites.
| Notation of specimen | Hardness (HV) | Relative density (%) |
|---|---|---|
| A | 368 ± 3 | 96.7 ± 0.3 |
| B | 340 ± 3 | 94.6 ± 0.4 |
| C | 380 ± 4 | 97.8 ± 0.2 |
| D | 370 ± 3 | 97.0 ± 0.3 |

(a) Stress–strain curve of the samples tested at ambient temperature and (b) ultimate tensile strength and tensile modulus of the samples at ambient temperature.
The hardness values obtained in this study can be compared with existing literature [21]. The highest hardness value of 380 HV (specimen C) and 368 HV (specimen A) are notably higher than wire arc sintered Inconel alloy 825 (∼320 HV), WC/Inconel 625 composites (∼589 HV) reported by Zhou et al. [11], and as-received Inconel alloy (∼300 HV) [22]. Corresponding to measurement uncertainty for hardness values, each measurement was repeated five times to ensure reliability.
The strength of the composite alloys may also be increased by additional structural features like the γ phase and the hard strengthening phases that form inside the microstructure. The microstructure of the sintered specimens is scattered with the gamma phase. The greater nickel content in the matrix powder and the advantageous outcomes of the ball milling (powder mixing) procedures are the main causes of this distribution. Nonetheless, the hard strengthening phases and precipitate intermetallic phases were dispersed unevenly across the microstructure. Furthermore, the development of graphene aggregates inside the matrix, which results in greater porosity, affects the hardness value [23]. The graphene percentage in this study ranged from 0.15 to 12 wt%, with the specimen with the lowest hardness having 12 wt% graphene. In Figure 10, at 97.82% relative density, specimen C had the highest relative density and hardness.
Figure 10 presents the stress–strain curve and ultimate tensile strength for the four specimens. Samples A and D delivered ultimate tensile strength of more than 700 MPa, which is comparatively two times higher than sample B. From the stress–strain curve, sample D shows the more strain value (0.08) than the other samples. Significant differences between the various sintered composites are highlighted by the tensile strength values displayed in Figure 10. Because of the dominating Inconel matrix phase, which enables improved load distribution and strong interfacial bonding, specimen D (90 wt% Inconel, 4 wt% WC, 5 wt% Co, and 1 wt% Gr) exhibits the maximum tensile strength (722.886 MPa).
The next one following closely is specimen A (94.85 wt% Inconel, 4.5 wt% WC, 0.5 wt% Co, and 0.15 wt% Gr), whose high Inconel content adds to its exceptional mechanical integrity. Conversely, specimens B and C have relatively lower tensile strengths because of their greater WC and Co percentages (10 wt% WC, 33 wt% Co, 12 wt% Gr in B; 10 wt% WC, 45 wt% Co, 12 wt% Gr in C). Because of the higher reinforcing content, this reduction can be connected to increased brittleness, which creates stress concentration spots that make fracture initiation easier [24]. Furthermore, all specimens exhibit a discernible decrease in tensile strength at high temperatures (450°C), with specimen A showing a 10% decrease (710.30–646.34 MPa), most likely because of oxidation effects and WC phase instability (shown in Figure 11). The variations in mechanical performance imply that optimizing the composite’s tensile characteristics requires striking a balance between matrix dominance and reinforcement content (Table 3).

(a) Stress–strain curve at 450°C. (b) Ultimate tensile strength and tensile modulus of compositions A, B, C, and D at 450°C.
Trials of micro tensile test on specimens A, B, C, and D. Bold value significantly shows the Specimen D tensile stress is maximum.
| Specimen | Maximum tensile stress at ambient temperature (MPa) | Maximum tensile stress at 450°C temperature (MPa) | ||||||
|---|---|---|---|---|---|---|---|---|
| Trial 1 | Trial 2 | Trial 3 | Average | Trial 1 | Trial 2 | Trial 3 | Average | |
| A | 741 | 701 | 689.7 | 710.6 | 674.5 | 640.9 | 624 | 646.5 |
| B | 336.3 | 346 | 386 | 356.1 | 362.3 | 336 | 311 | 336.4 |
| C | 496.3 | 463 | 511 | 490.1 | 425.3 | 384.2 | 399.8 | 403.1 |
| D | 763.4 | 673.4 | 729.8 | 722.2 | 691.1 | 611.2 | 688.7 | 663.6 |
SEM pictures of specimen D fracture surfaces following tensile testing at ambient temperature and at a higher temperature (450°C) are shown in Figure 12b. The failure causes, including the function of micro-structural features, reinforcement phases, and thermal effects, are revealed by the fracture characteristics [25]. Figure 11a shows mixed-mode fracture behavior in room temperature fracture mechanisms. At room temperature, the fracture surfaces show a mix of brittle and ductile failure modes. Dimples indicate void nucleation and coalescence, which are characteristic of ductile fracture, in ductile zones (Inconel and Co matrix). The Inconel and Co phases’ strong interfacial connection permits some plastic deformation before failure. The sharp, cleavage-like fracture characteristics close to WC particles in brittle zones (WC and graphene phases) suggest that they serve as stress concentrators [26]. Localized cracking results from the brittle character of WC, which limits plastic deformation. Weak spots like graphene agglomerations or WC/Inconel contacts are where the cracks start. The matrix–reinforcement interfaces are followed by the route of least resistance, which is occasionally redirected by more resilient Co areas. Fracture mechanisms at 450°C cause increased brittleness and thermal crack development. Thermal stress effects cause the material to shatter more easily at higher temperatures. The EDAX examination of the fracture surface indicates an increase in carbon content at 450°C, indicating oxidation of carbon-rich phases (graphene and carbide regions). This oxidation weakens the material and promotes embrittlement [27]. The reduced Ni and Fe concentrations indicate diffusion-driven compositional changes at high temperatures, which influence the fracture behavior. Tungsten (W) from WC particles is identified in room-temperature fractures but disappears at 450°C, indicating carbide phase instability and potential dissolution or phase change. Thermal cracks are caused by differential expansion and contraction between the matrix and reinforcing phases at high temperatures. The discrepancy in the coefficients of thermal expansion between Inconel (matrix) and WC/graphene (reinforcements) causes localized stresses [28]. The thermal expansion of Inconel is greater than that of WC, resulting in stress concentration at interfaces. As thermal cycling occurs, microvoids form at the matrix-reinforcement interfaces due to stress relaxation. Because of their reduced thermal stability, graphene-rich areas are more susceptible to microvoid development. Under continuous stress, microvoids merge to generate bigger cracks [29]. Cracks propagate through weaker grain boundaries and reinforcement contacts, resulting in premature failure. The interconnected crack networks result in brittle failure with limited plastic deformation shown in Figure 11. The presence of oxidation layers weakens the interfacial connections, hastening fracture (Figure 12b) [30,31].

(a) SEM morphology of the fracture surface area of specimen D at room temperature. (b) Specimen D at 450°C.
In summary, Inconel 825, WC, Co, and graphene powders are mixed in four distinct compositions, and composites were produced by layer-by-layer sintering and SPS process, respectively. The prepared specimens were subjected to surface morphology, composition, and mechanical studies, respectively. In mechanical studies, hardness and tensile embrittlement in two conditions (room temperature and 450°C) were also analyzed. Sintered composites exhibit grain morphologies and arrangements influenced by additional reinforcements. Diffusion during sintering leads to the absence of pores and pinholes, contributing to high density. The presence of Inconel as a continuous matrix phase, WC particles providing hardness, and Co as a binder are critical to the mechanical integrity of the composites. The highest hardness (373.33 and 362.75 HV) is observed in the specimen with a higher percentage of Inconel and strong diffusion bonding. The reduction of Inconel decreases hardness, while an increase in WC and Co enhances the hardness of the composite. In tensile test at room and elevated temperatures (450°C), the composite with the highest Inconel percentage exhibits superior tensile strength. The formation of precipitate inter-metallic phases, such as Ni3, enhances mechanical strength. In EDAX analysis, the key elements detected include C from graphite, Ni from Inconel, Co as a binder, and W from WC particles. These elements define the composite’s structure and contribute to its mechanical properties, including wear resistance and hardness. Elevated temperatures result in significant material changes, including increased brittleness, carbon oxidation, and compositional shifts. Tungsten (W) is more prominent at room temperature but not at high temperatures, indicating carbide phase instability.
Authors state no funding involved.
Sivakumar Ponmalai conceived the study, designed the methodology, and analyzed the data. Dhavamani Chinnathambi drafted the manuscript and performed the literature review.
Authors state no conflict of interest.
Date will be shared on request basics.