Fishmeal (FM) is a main protein source in striped murrel diet, which is valued for its digestibility, amino acid profile, palatability, omega-3 fatty acids (EPA and DHA), and benefits to nutrient absorption (Karthick Raja et al., 2019). FM was once an inexpensive feed mostly used for terrestrial animals (80% of production) and only 10% for aquaculture. As terrestrial use decreased to 32% as time passed, aquaculture’s proportion increased to 56% (Huntington and Hasan, 2009). Increasing FM demand amid declining wild fish stocks has raised prices, pushing researchers to prioritize alternative protein sources for sustainable aquaculture (Mousavi et al., 2020). Aquaculture development increasingly depends on minimizing reliance on FM (Olsen and Hasan, 2012). Various animal protein sources, such as meat and bone meal, feather meal, blood meal, poultry by-product meal, and insect meal, are substitutes for FM in the diets of various fish species (Hussain et al., 2024). The main focus is to substitute alternative proteins for FM, with insects providing a substantial potential output (Fan et al., 2024; Shakoori et al., 2016). Recently, various insect meals (IMs) have emerged as promising alternative protein sources in aquafeeds due to their nutritional composition, which closely resembles that of FM, including a well-balanced amino acid profile (Henry et al., 2015). IMs do not contain anti-nutritional factors, but their high fat content remains a major disadvantage (Kamarudin et al., 2021). Earlier studies have confirmed that FM can be entirely replaced by various IMs in different fish diets, including rainbow trout (Oncorhynchus mykiss) (Chemello et al., 2020), Atlantic salmon (Salmo salar) (Belghit et al., 2019) and Penaeus vannamei (Rahimnejad et al., 2019).
Silkworm pupae meal (SWP), primarily from Bombyx mori, is a protein-rich, low-cost by-product of the silk industry that can serve as an alternative protein source for poultry and fish feeds (Makkar et al., 2014). SWP is rich in protein (49–54% of dry matter) (Longvah et al., 2011; Nowak et al., 2016), fat (25–30% of dry matter) (Kouřimská and Adámková, 2016; Longvah et al., 2011), minerals, and vitamins, particularly thiamine, riboflavin, and niacin (Wu et al., 2021). It also contains chitosan, polysaccharides, antibacterial peptides, and other bioactive compounds with various biological activities (Battampara et al., 2020; Luo et al., 2010; Mishraa et al., 2003; Ni et al., 1998; Wang et al., 2007; Yue et al., 2013; Zhang et al., 2000). The lipids in SWP are high in monounsaturated fatty acids, notably linolenic acid (18:3), which constitutes 11–45% of total fatty acids (Altomare et al., 2020; Sathishkumar et al., 2021). However, the nutritional quality of SWP varies significantly depending on geographical location, seasonality, and diet (Wu et al., 2021). India ranks as the world’s second largest producer of silk, with mulberry silk (B. mori) accounting for 90% of global silk production. After silk reeling, about 60% of cocoon weight is often discarded as waste in the open environment or utilized as fertilizer (Altomare et al., 2020). Although silkworm pupae are highly biodegradable, disposing of them in large quantities can cause significant environmental pollution. Therefore, utilizing this waste as a feed ingredient is a great way to reduce environmental pollution while also lowering the cost of aqua feed production (Sathishkumar et al., 2021; Das et al., 2023). Due to its nutritional composition, easy availability, and lower cost compared to FM, studies indicate that SWP can effectively replace FM in diets for various carnivorous fish species. These include olive flounder (Paralichthys olivaceus) (Lee et al., 2012), rainbow trout (Oncorhynchus mykiss) (Shakoori et al., 2016; Mahato et al., 2023), largemouth bass (Micropterus salmoides) (Zhang et al., 2022).
Fish protein hydrolysate (FPH) is a by-product derived from fish and shellfish waste or whole fish and shell-fish through enzymatic proteolysis. It is nutrient-dense ingredients and serve as an FM alternative in aquaculture. In addition, it can also boost immune and intestinal enzyme activity (Bui et al., 2014). It is produced by controlled enzyme hydrolysis or autolysis with endogenous proteolytic enzymes (Kristinsson and Rasco, 2000). FPH has balanced amino acid profile, rich in essential amino acids and short-chain peptides formed during hydrolysis, and all these qualities make FPH a highly nutritive one in the aqua feed sector (Wei et al., 2021). These peptides enhance digestion, growth, nutrient utilization, immune response, and disease resistance in fish (Ha et al., 2019; Siddik et al., 2019).
Channa striata is a benthopelagic fish native to India and Southeast Asia, commonly found in wetlands, ponds, lakes, and swamps. It is highly nutritious, being rich in bioactive albumin, essential amino acids (glycine, lysine, arginine), and arachidonic acid (20:4n-6) (Kumar et al., 2022; Vikas et al., 2014; Vikas, 2023). Its flesh possesses wound-healing properties, provides antinociceptive and gastroprotective effects, enhances disease resistance, and acts as a potent antioxidant (Musa and Cheang, 2022). In India, it is a state fish of Telangana and is locally known as “Korrameenu.” Among the family of snakehead fishes, it is considered significant from a commercial aspect. Due to its tendency to grow rapidly, high resistance to diseases and ability to tackle varying water quality, striped murrel was regarded as one of the most valuable and prevalent fish in the majority of Southern and Southeast Asian countries (Hossain et al., 2008). As piscivorous in nature, striped murrel required high protein and lipid in their diet to support their growth and physiological functions (Samantaray and Mohanty, 1997; Hua et al., 2019).
Nowadays, FPH is widely used in fish diets (Chaklader et al., 2021; Siddaiah et al., 2022; Suratip et al., 2023), however, its role as a palatability enhancer in the SWP incorporated diets of C. striata remains underexplored. Therefore, this research was conducted to evaluate the impacts of replacing FM with SWP individually and also in combination with FPH on growth performance, nutrient utilization, whole-body proximate composition, innate immune responses, hemato-biochemical profile, and IGF-1 expression in striped murrel (C. striata).
The SWP and FPH were sourced from M/s Silvermine Pvt. ltd, Udumalaipet, Tamil Nadu, India, and M/s Janatha Fishmeal and Oil Products, Pvt. Ltd., Karnataka, India, respectively. Five isonitrogenous (44% crude protein), isolipidic (11% crude lipid), and isocaloric (18 MJ/kg gross energy) experimental diets were formulated and prepared. The experimental diets were labeled as control (35% FM), 25 SWP (replacing 25% FM with SWP), 50 SWP (replacing 50% FM with SWP), 25 SWP+FPH (replacing 25% FM with a combination of SWP and 3.5% FPH), and 50 SWP+FPH (replacing 50% FM with a combination of SWP and 3.5% FPH). Table 1 presents the ingredient and nutrient compositions of SWP- and FPH-based experimental diets.
To prepare the feed, all dry feed ingredients were ground into a fine powder using a pulverizer and then sieved through a 180-micron mesh. After weighing the powdered ingredients in accordance with the formulation, the appropriate volume of water was added and mixed well with a vertical feed mixer. The blended ingredients were then extruded using a 2-mm die after being run through a twin-screw extruder (Jinan Sunpring Machinery, China). The extruder was maintained at a temperature of 90–95°C, a pressure of 2–3 bars, and a moisture level of 15–17% during the extrusion process. The extruded pellets were then dried using a horizontal dryer at 60°C for 15 mins to achieve approximately a 10% moisture level. After drying, the extruded pellets were coated with fish oil and palm oil using a Pegasus® vacuum coater (KK Life Sciences, Chennai, India). Lastly, before being used, the extruded pellets were kept in plastic containers at 4°C.
The striped murrel (C. striata) fingerlings, weighing 2.43±0.35 g on average, were purchased from M/s Maria Integrated Fish farm located in the Thiruvannamalai district of Tamil Nadu, India. The striped murrel fingerlings were initially placed in a nursery tank that was 4 meters long, 4 meters wide, and 1.5 meters deep. Then, they were acclimated to the experimental setup for a duration of 30 days. To reduce cannibalistic activity during the acclimatization period, the fish were fed a commercial diet consisting of 44% crude protein and 10% crude lipid (Growel Feeds Pvt. Ltd., Andhra Pradesh, India) five times a day until satiation. After completing the acclimatization period, a total number of 450 striped murrel juveniles (initial weight: 9.99±0.15 g) were randomly stocked into 15 experimental cages (1 m long × 1 m wide × 1.5 m high). The volume of water maintained in each experimental net cage was 700 liters, and the stocking density per cage was 30 fish. The experimental cages were installed in a cement tank (4 m long × 4 m wide × 1.5 m high). A total of 15 experimental cages were utilized for this study, with each treatment performed in triplicate (n=3). The fish were fed experimental diets until they reached satiety three times daily at 08:00, 13:00, and 18:00 hours for a duration of 60 days.
During the feeding trial, the optimum water quality parameters such as temperature (29.88±0.37°C), dissolved oxygen (5.69±0.34 mg/L) (Lutron DO-5519 Dissolved Oxygen Meter, Instrukart Pvt. Ltd., Hyderabad, India), pH (8.15±0.19) (KLPHM-119 pH Meter, Kinglab Instruments Pvt. Ltd., Chennai, India), ammonia-N (0.67±0.36 mg/L), nitrite-N (0.43±0.35 mg/L), hardness (181±13 mg/L), and total alkalinity (133±6.0 mg/L) were maintained and checked every three days. All parameters were analyzed according to standard protocols outlined by APHA (2012).
Following the 60-day feeding trial, all fish from each replicate cage was not fed for 24 h. The total weight of fish in each replicate cage was then measured (MINI 20KG REAR weighing scale, Activa Corporation, Chennai, India), and the number of fish was counted to assess the somatic growth performances and nutrient utilization efficiencies. The parameters assessed included weight gain (WG), feed intake (FI), average daily growth (ADG), survival rate (SR), specific growth rate (SGR), feed conversion ratio (FCR), protein efficiency ratio (PER), lipid efficiency ratio (LER), protein retention rate (PRR), and lipid retention rate (LRR).
The growth performance and nutrient utilization of fish in this feeding trial were calculated as follows:
To assess the hepatosomatic index (HIS) and visceral somatic index (VSI), five fish from each replicate cage were anesthetized using tricaine methanesulfonate (MS-222, 200 mg/l, Sigma-Aldrich Inc.) (IACUC, 2014) and sacrificed. The visceral organs were carefully dissected and weighed to calculate the VSI. The liver was then separated from the visceral organs and weighed to determine the HSI. The indices were calculated using the following formulas:
After acclimation, a pooled twenty numbers of initial fish were ice killed, and the whole-body samples were collected for estimation of initial whole-body proximate composition. Following the 60-day feeding trial, six fish from each replicate cage were ice killed, and the samples were taken for final whole-body proximate composition. The proximate composition of both the experimental diets and the whole-body carcass samples was determined using standard protocols established by AOAC (2010). Moisture content was assessed using a hot air oven (HTLP-013, Hi-Tech Lab Solutions, Mumbai, India) at 105°C for 5 h. The crude protein content was evaluated using the Kjel-dahl method (Kelplus-Distyl Em Ba, Pelican Equipment, Chennai, Tamil Nadu, India), while the crude lipid was analyzed via the Soxhlet method (Socsplus – SCS 04 AS DLSTS, Pelican Equipment, Chennai, Tamil Nadu, India). Crude fiber levels in the experimental diets were measured using the fibercap method (FIBRAPLUS FES 04, Pelican Equipment, Chennai, Tamil Nadu, India). The total ash content of both the diet and whole-body samples was estimated using a muffle furnace (HT-MF900-4.25S/G, Hi-Tech Lab Solutions, Mumbai, India) at 550°C for 6 hours. The gross energy content of the experimental diets was determined using a bomb calorimeter (IKA-C 6000, IKA® India Private Limited, Bangaluru, India). The proximate composition of the experimental diets and whole-body proximate composition are summarized in Table 1 and Table 6, respectively.
Ultra-pressure liquid chromatography (UPLC) (Waters ACQUITY-UPLC, Waters (India) Private Limited, Bangaluru, India) was used to ascertain the amino acid composition of the experimental diets in accordance with the approach outlined by Ishida et al. (1981). Briefly, 50 mg of dried samples were placed in a nitrogen-sealed Borosil glass ampule and hydrolyzed with 6 N HCl for 24 hours at 110°C. After hydrolysis, the samples were neutralized and filtered through a 0.2 μm PTFE filter. The hydrolyzed samples were then derivatized using the AccQ-Tag Ultra Derivatization Kit and separated on a Waters ACQUITY UPLC equipped with a 2.1 × 100 mm column with a 1.7 μm pore size (AccQ-Tag Ultra C18), utilizing a stepwise gradient elution. Calibration was carried out with Amino Acid Standard H (Product no: WAT088122), and amino acids were quantified based on absorbance readings at 260 nm, as measured by a tunable UV detector, and analyzed using Empower 2 Software. Tryptophan levels were assessed following alkaline digestion of the samples with lithium hydroxide. Table 2 presents the essential and non-essential amino acid composition of experimental diets.
Feed formulation and nutritional compositions (% dry weight) of experimental diets
| Ingredients | Control | 25SWP | 50SWP | 25SWP+FPH | 50SWP+FPH |
|---|---|---|---|---|---|
| Fish meal1 | 35 | 26.25 | 17.5 | 25.03 | 16.28 |
| Silkworm pupae meal2 | 0 | 9.59 | 19.17 | 9.59 | 19.17 |
| Fish protein hydrolysate3 | 0 | 0 | 0 | 1 | 1 |
| Soybean meal4 | 17 | 17 | 17 | 17 | 17 |
| Squid meal5 | 9 | 9 | 9 | 9 | 9 |
| Corn gluten6 | 10 | 10 | 10 | 10 | 10 |
| Wheat flour7 | 11 | 11 | 11 | 11 | 11 |
| Broken rice8 | 6.2 | 6.56 | 6.43 | 6.78 | 6.65 |
| Fish oil9 | 3 | 3 | 3 | 3 | 3 |
| Palm oil10 | 2.2 | 1.2 | 0.5 | 1.2 | 0.5 |
| Soy lecithin11 | 2 | 2 | 2 | 2 | 2 |
| Di-calcium phosphate12 | 1 | 1 | 1 | 1 | 1 |
| Vitamin mix13 | 1 | 1 | 1 | 1 | 1 |
| Mineral mix14 | 1 | 1 | 1 | 1 | 1 |
| Vitamin C | 0.2 | 0.2 | 0.2 | 0.2 | 0.2 |
| DL-methionine15 | 0.4 | 0.2 | 0.2 | 0.2 | 0.2 |
| Pega bind16 | 1 | 1 | 1 | 1 | 1 |
| Nutrient composition (%) | |||||
| dry matter | 90.18 | 90.08 | 90.01 | 90.13 | 90.06 |
| crude protein | 43.76 | 44.22 | 44.20 | 44.15 | 44.09 |
| crude lipid | 10.91 | 11.21 | 11.28 | 11.12 | 11.09 |
| crude fiber | 1.16 | 1.25 | 1.89 | 1.19 | 1.89 |
| total ash | 10.83 | 9.63 | 9.82 | 9.61 | 9.76 |
| gross energy (MJ/kg) | 18.33 | 18.64 | 18.58 | 18.40 | 18.45 |
Bismi Fisheries Pvt. Ltd., Mayiladuthurai, Tamil Nadu, India (CP: 65.03% DM; CL: 8.3% DM; Ash: 12.88% DM).
Silvermine Pvt Ltd., Udumalaipet, Tamil Nadu, India (CP: 59.3% DM; CL: 18.7% DM; Ash: 5.6% DM).
Janatha Fishmeal and Oil Products, Pvt. Ltd. Karnataka, India (CP: 80.3% DM; CL: 1.1% DM; Ash: 13.5% DM).
Mahindra Feeds Pvt. Ltd., Namakkal, Tamil Nadu, India (CP: 50.6% DM; CL: 1.99% DM; Ash: 6.31% DM).
Mahindra Feeds Pvt. Ltd., Namakkal, Tamil Nadu, India (CP: 47.54% DM; CL: 6.54% DM; Ash: 19.39% DM).
SPAC Starch Products (India) Pvt Ltd., Erode, Tamil Nadu, India (CP: 63.7% DM; CL: 2.5% DM; Ash: 1.25% DM).
Mahindra feeds Pvt. Ltd., Namakkal, Tamil Nadu, India (CP: 12.21% DM; CL: 2.78% DM; Ash: 0.92% DM).
Mahindra feeds Pvt. Ltd., Namakkal, Tamil Nadu, India (CP: 10.06% DM; CL: 1.82% DM; Ash: 0.58% DM).
Bismi Fisheries Pvt. Ltd., Mayiladuthurai, Tamil Nadu, India.
Mahindra Feeds Pvt. Ltd., Namakkal, Tamil Nadu, India.
Otto Chemie Pvt. Ltd., Mumbai, India.
Jain Industrial Chemicals, Chennai, India.
Anicare Pvt. Ltd., Chennai, Tamil Nadu, India. Composition of vitamin premix (quantity/kg): Vit. A – 10,000,000 IU, Vit. B1 – 5000 mg, Vit. B2 – 5000 mg, Vit. B3 – 6000 mg, Vit. B5 – 6000 mg, Vit. B6 – 6000 mg, Vit. C – 60,000 mg, Vit. D3 – 2,000,000 IU, Vit. E – 10,000 IU, Vit. H – 200 mg.
Anicare Pvt. Ltd., Chennai, Tamil Nadu, India. Composition of mineral premix (quantity/kg): Magnesium – 2800 mg, Iodine – 7.4 mg, Iron – 7400 mg, Copper – 1200 mg, Manganese – 11,600 mg, Zinc – 9800 mg, Chlorides cobalt – 4 mg, Potassium – 100 mg, Selenium – 4 mg, Calcium carbonate – 27.25%, Phosphorus – 7.45 mg, Sulfur – 0.7 mg, Sodium – 6 mg, Calpan – 200 mg, Aluminium – 1500 mg and Choline chloride – 10,000 mg.
Evonik AG (DL-methionine: MetAMINO® – 99%).
PEGABIND®, Bentoli Agrinutrition India Pvt. Ltd., Chennai, India.
Amino acid composition (% dry weight) of experimental diets
| Amino acids | Control | 25SWP | 50SWP | 25SWP+FPH | 50SWP+FPH |
|---|---|---|---|---|---|
| Essential amino acids | |||||
| arginine | 2.88 | 3.15 | 3.42 | 3.16 | 3.43 |
| histidine | 1.03 | 1.00 | 0.97 | 1.00 | 0.97 |
| isoleucine | 1.82 | 1.77 | 1.72 | 1.77 | 1.72 |
| leucine | 4.36 | 4.11 | 3.86 | 4.10 | 3.85 |
| lysine | 2.53 | 2.35 | 2.16 | 2.36 | 2.18 |
| methionine | 1.50 | 1.25 | 1.20 | 1.27 | 1.22 |
| phenylalanine | 1.89 | 1.89 | 1.88 | 1.89 | 1.89 |
| threonine | 1.65 | 1.55 | 1.44 | 1.56 | 1.45 |
| tryptophan | 0.45 | 0.42 | 0.38 | 0.42 | 0.39 |
| valine | 1.95 | 1.92 | 1.89 | 1.92 | 1.89 |
| Non-essential amino acids | |||||
| alanine | 2.77 | 2.53 | 2.28 | 2.53 | 2.28 |
| aspartic acid | 3.98 | 3.77 | 3.57 | 3.78 | 3.57 |
| cystine | 0.65 | 0.67 | 0.69 | 0.66 | 0.68 |
| glutamic acid | 6.56 | 6.23 | 5.90 | 6.23 | 5.90 |
| glycine | 2.52 | 2.30 | 2.08 | 2.31 | 2.09 |
| serine | 1.85 | 1.81 | 1.77 | 1.82 | 1.78 |
| tyrosine | 2.63 | 2.63 | 2.64 | 2.65 | 2.65 |
| Total sum of amino acids | 41.02 | 39.15 | 37.66 | 39.23 | 37.74 |
The amino acid composition of experimental diet values are expressed as means of three replicates per treatment (n=3).
At the conclusion of the feeding trial, all fish were starved for 24 h. Three fish from each replicate were then anesthetized with tricaine methanesulfonate (MS-222, 200 mg/L, Sigma-Aldrich Inc.), dissected, and sampled. Intestinal samples were collected for digestive enzyme analysis, while liver samples were taken for antioxidant enzyme analysis. After sample collection, a 5% tissue homogenate of the intestine and liver was prepared using a chilled 0.25 M sucrose solution with a Teflon-coated mechanical homogenizer (REMI Equipments, Mumbai, India). This entire process was conducted under ice-cold conditions. The homogenates were then centrifuged at 4000 rpm for 5 minutes at 4°C, and the supernatant was collected and stored at −20°C until the enzyme activities were analyzed.
The casein hydrolysis method was used to measure protease activity in the tissues of the intestine and liver (Drapeau, 1976). One unit of enzyme activity was defined as the amount of enzyme required to release acid-soluble fragments corresponding to Δ0.001A280 per minute at 37°C and pH 7.8. Amylase activity was assessed using the 3,5-dinitrosalicylic acid (DNS) method (Rick and Stegbauer, 1974), with starch serving as the substrate. Amylase activity was expressed as the amount of maltose produced from starch per minute at 37°C. The titration method developed by Cherry and Crandall (1932) was used to estimate lipase activity. This method measures the quantity of fatty acids produced during the enzymatic hydrolysis of triglycerides present in a stabilized olive oil emulsion. Lipase activity was expressed in enzyme units (U) per milligram of protein. The Bradford (1976) technique was used to quantify the total protein content of the samples. The basis of the Bradford assay is the binding of Coomassie Blue G250 dye to proteins.
Catalase (CAT) activity was measured following Aebi (1984) method. The assay was based on the decomposition of hydrogen peroxide (H2O2) and monitored spectrophotometrically at 240 nm with a 1 cm path length. One unit of catalase activity was defined as the amount of enzyme required to decompose 1.0 µmol of H2O2 per minute at pH 7.0 and 25°C. Super-oxide dismutase activity (SOD) was assessed following the method of Beauchamp and Fridovich (1971), which measures the enzyme’s ability to inhibit the photoreduction of nitro blue tetrazolium (NBT). One unit of SOD activity was defined as the amount of enzyme needed to inhibit 50% of NBT reduction under assay conditions at pH 7.8 and 25°C. Glutathione peroxidase (GPx) activity was determined using Wendel (1980) method, where one unit of enzyme activity was defined as the amount required to oxidize 1.0 µmol of reduced glutathione to oxidized glutathione per minute, using H2O2 as a substrate at pH 7.0 and 25°C. The malate dehydrogenase (MDH) was determined by Ochoa (1955). Malate dehydrogenase catalyzes the reversible conversion of L-malate to oxaloacetate with NAD+ as a cofactor. The enzyme activity is measured by monitoring the decrease in absorbance at 340 nm due to NADH oxidation. One unit of MDH activity is defined as the enzyme amount required to convert 1 µmol of NADH and oxaloacetate to L-malate and NAD+ per minute at 25°C and pH 7.5. Glucose-6-phosphate dehydrogenase (G-6-PD) was determined by the methods of Morales et al. (1990). Glucose 6-phosphate dehydrogenase catalyzes the oxidation of D-glucose to D-glucono-1, 4-lactone, using NADP+ as a cofactor. Activity is measured by monitoring the increase in absorbance at 340 nm due to NADPH formation. One unit of G6PDH activity oxidizes 1 µmol of glucose per minute at pH 7.0 and 37°C.
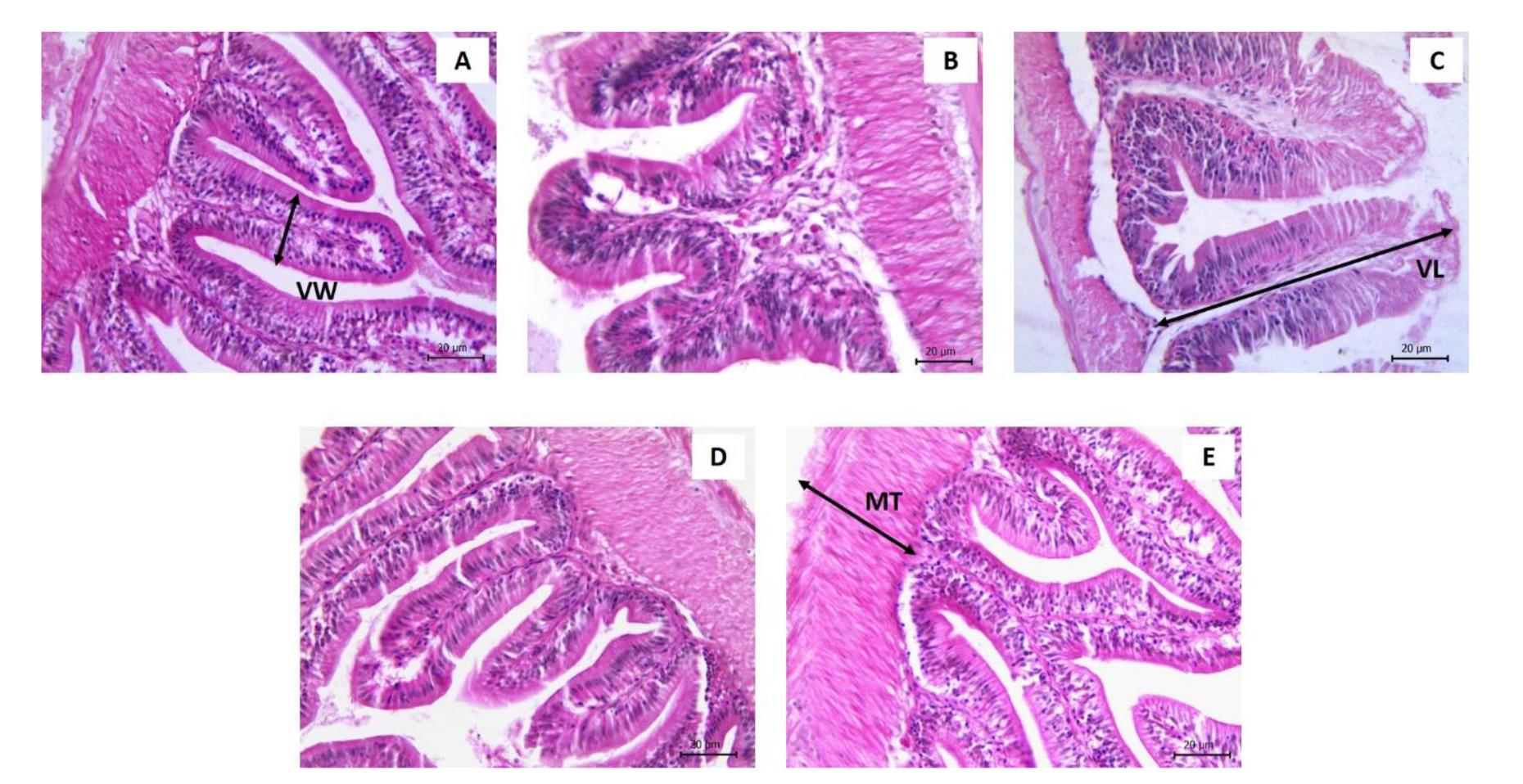
At the conclusion of the feeding trial, one fish from each replicate was randomly euthanized using tricaine methanesulfonate (MS-222, 200 mg/l, Sigma-Aldrich Inc.) to collect mid-intestine samples for histological evaluation. The intestinal samples were immediately fixed in 10% neutral buffered formalin. Subsequently, the samples underwent dehydration through a series of ethanol concentrations, were cleared in xylene, and were embedded in paraffin blocks. The blocks were then sectioned into 4−5 μm thick slices using an RM2125RTS rotary microtome (Leica), mounted on glass slides, and stained with hematoxylin and eosin (H&E). Finally, the slides were examined with a DM750 light microscope (Leica), and digital images were captured using a Leica EC3 camera with the Leica Application Suite Version 2.0.0. Villi length (VL) and villi width (VW) were measured on three slides per sample using a micrometer, and mean values were calculated.
At the conclusion of the feeding trial, three fish from each replicate were randomly euthanized using tricaine methanesulfonate (MS-222, 75 mg/l, Sigma-Aldrich Inc.) to collect the blood samples. A 1-ml heparinized syringe was used to obtain both heparinized and non-heparinized blood samples from the caudal vein of fish. The samples were then promptly placed on ice after being properly moved into tubes that had been heparinized and those that had not. The heparinized samples were analyzed for various hematological parameters, including hemoglobin (Hb), leukocyte (Leuk) counts, erythrocyte (Ery) counts, hematocrit (Ht), mean corpuscular volume (MCV), mean corpuscular hemoglobin (MCH), and mean corpuscular hemoglobin concentration (MCHC) using a fully automated hematology analyzer (Zybio Z3 Inc., China). The nitroblue tetrazolium (NBT) assay, or respiratory burst activity, was measured in accordance with the protocol established by Anderson and Siwicki (1995).
The non-heparinized blood samples were subjected to clot for 2 h at 4°C. After clotting, serum was extracted alone by centrifuging the clotted blood at 3500 g for 25 minutes at 4°C using a refrigerated centrifuge (Eppendorf Centrifuge 5804R). Serum biochemical parameters, such as glucose (GLU), cholesterol (CHO), triglycerides (TRY), total protein (TP), albumin (ALB), globulin (GLB), alanine aminotransferase (ALT), aspartate aminotransferase (AST), and alkaline phosphatase (ALP), were examined using commercial kits (Pathozyme Diagnostics Pvt. Ltd., Maharashtra, India) along with a semi-automatic biochemistry analyzer (Cytokine SK3002B, Cytokine Healthcare Pvt. Ltd., Chennai, Tamil Nadu, India). Total antiprotease in the serum was found using the method which was explained in Zuo and Woo (1997). Additionally, lysozyme activity was measured turbidimetrically according to the method of Sankaran and Gurnani (1972), using lyophilized hen egg white lysozyme (HEWL; Sigma) as the standard.
The relative mRNA expression of immune-related genes was estimated using a C1000 Touch thermal cycler-CFX96 Real-Time PCR system (Bio-Rad). Total RNA for the TGF-β1 and NF-κ B genes was extracted from fish kidney samples with PureZOL™ RNA Isolation Reagent (Takara Bio Inc.). Subsequently, 2 μg of total RNA was converted into first-strand complementary DNA (cDNA) using the first-strand cDNA synthesis kit (Thermo Scientific). Each quantitative real-time polymerase chain reaction (qRT-PCR) had a total volume of 20 μL, containing 10 μM of each primer (forward and reverse), 20 ng of cDNA template, and 1× SYBR® Green Master Mix. The initial denaturation step was performed at 95°C for 10 minutes, followed by 40 cycles of denaturation at 95°C for 15 seconds, annealing at 60–62°C (depending on the target gene) for 30 seconds, and extension at 72°C for 30 seconds. The cycling ended with a dissociation curve analysis. The 2−ΔΔCt technique (Livak and Schmittgen, 2001) was utilized to determine the relative expression level of each individual gene. The relative mRNA expression levels of the TGF-β1 and NF-κ B genes were compared with β-actin (housekeeping gene). Primer sequences (Table 3) and relative gene expression procedures were analyzed according to Siddaiah et al. (2022).
All the observed data were assessed for normality using the Shapiro-Wilk test and homogeneity of variance with Levene’s test. Prior to the statistical analysis, percentage data underwent arcsine transformation. One-way ANOVA was used to statistically analyze all data, followed by Duncan’s multiple range test (Duncan, 1955) to identify significant differences (P<0.05) among treatments. The analysis was performed using SPSS 24.0 software (SPSS Inc., USA) for Windows. Results are presented as mean values ± standard deviation (SD) (n=3).
Primer sequences used for qRT-PCR analysis of striped murrel
| Gene name | Gen Bank number | Primer | Primer sequence (5´−3´) |
|---|---|---|---|
| Hepatic insulin like growth factor-1 (IGF-1) | JK546357.1 | Forward | TCTGTGATGTTGACGAGTGGT |
| Reverse | AGCCTGAAATGTTGGGAGTG | ||
| β-actin | KC967219 | Forward | GCCTTCCTTCCTTGGTATGG |
| Reverse | GTGTTGGCGTACAG GTCCTT |
The growth performance and survival of striped murrel fed varying inclusion levels of SWP and SWP supplemented with FPH diets are shown in Table 4. Significant differences (P<0.05) were observed in growth performance indicators, including FW, WG, ADG, and SGR in striped murrel fed different levels of SWP, both individually and also in combination with FPH. However, no significant differences (P>0.05) were found in SR, HSI, and VSI. Among the dietary groups, fish fed the control, 50SWP+FPH, and 25SWP+FPH diets exhibited significantly higher (P<0.05) FW than other diets. Similarly, fish fed the control, 50SWP+FPH, and 25SWP+FPH diets showed significantly higher (P<0.05) WG, ADG, and SGR than other diets.
The feed conversion, nutrient utilization, and retention of striped murrel fed varying inclusion levels of SWP and SWP supplemented with FPH diets are shown in Table 5. Significant differences (P<0.05) were noted in FCR, PER, LER, PRR, and LRR among striped murrel fed varying inclusion levels of SWP alone and also supplemented with FPH. Fish fed the control and 50SWP+FPH diets exhibited a lower FCR than other diets. Similarly, fish fed the control and 50SWP+FPH diets showed significantly higher (P<0.05) PER, LER, PRR, and LRR than other groups.
The whole-body proximate composition of striped murrel, including moisture, crude protein, crude lipid, and total ash, remained unaffected by different dietary inclusion levels of SWP alone or in combination with FPH. Statistical analysis showed no significant differences (P>0.05) among treatments, indicating that replacing FM with SWP, either independently or supplemented with FPH, did not alter the overall body composition of the fish. Table 6 provides a detailed comparison of the whole-body proximate composition of striped murrel fed diets containing varying levels of SWP and SWP supplemented with FPH.
The digestive enzyme activities of striped murrel fed varying inclusion levels of SWP and SWP supplemented with FPH diets are presented in Figure 1. Significant differences (P<0.05) were noted in the digestive enzymes, including amylase, protease, and lipase in striped murrel fed different inclusion levels of SWP alone and also SWP supplemented with FPH. Fish fed with control and 50SWP+FPH diets showed significantly higher (P<0.05) amylase and protease, but it was not significantly different from those fish fed with 25 SWP+FPH diet. Similarly, significantly higher (P<0.05) lipase activity was noted in fish fed the control diet, but it was not significantly different from that of the 50SWP+FPH diet.

Digestive enzyme activities (U mg−1 protein) of C. striata fed varying inclusion levels of SWP and SWP supplementation with FPH diets
The activities of hepatic antioxidant and metabolic enzymes, including CAT, SOD, GPx, G-6-PDH, and MDH in striped murrel fed varying inclusion levels of SWP alone and also SWP supplemented with FPH diets are shown in Figure 2. Significant differences (P>0.05) were noted in CAT and SOD activities among striped murrel fed varying inclusion levels of SWP alone and also with SWP supplemented with FPH. Fish fed the control and 50SWP+FPH diets showed significantly higher (P<0.05) CAT activity than other diets, although this was not significantly different from the 25SWP+FPH diet. Similarly, significantly higher (P<0.05) SOD activity was observed in fish fed the 50SWP+FPH diet, but it was not significantly different from those fed the 25SWP+FPH and control diets. The activities of GPx, G-6-PDH, and MDH were not significantly affected (P>0.05) by the different inclusion levels of SWP alone and also SWP supplemented with FPH diets in striped murrel.

Antioxidant and metabolic enzyme activities (U mg−1 protein) of C. striata fed varying inclusion levels of SWP and SWP supplementation with FPH diets
The intestinal VL and VW of striped murrel fed varying inclusion levels of SWP and SWP supplemented with FPH diets are shown in Table 7, and the intestine morphology of striped murrel is shown in Figure 3. Significant differences (P<0.05) were found in both VL and VW among striped murrel fed varying inclusion levels of SWP alone and also SWP supplemented with FPH. Fish fed the control diet showed significantly higher (P<0.05) VL compared to other diets, although it was not significantly different from the 50SWP+FPH diet. Similarly, fish fed the 50SWP+FPH and control diets showed significantly higher (P<0.05) VW, but these values were not significantly different from the 25SWP+FPH diet. The intestine morphology of striped murrel fed varying inclusion levels of SWP alone and also SWP supplemented with FPH diets are displayed in Figure 3.

Transverse sections of the mid intestine from C. striata fed varying inclusion levels of SWP and SWP supplementation with FPH diets; The sections were stained in H & E to enhance the contrast (100× magnification; scale bar with 20 μm); (A, 35% FM (control); B, 25% FM replaced with SWP (25 SWP); C, 50% FM replaced with SWP (50 SWP); D, 25% FM replaced with a combination of SWP and 3.5% FPH (25 SWP+FPH); E, 50% FM replaced with a combination of SWP and 3.5% FPH) (VL, Villi length; VW, Villi width and MT, Muscular thickness)
Growth performance and survival rate of C. striata fed varying inclusion levels of SWP and SWP supplementation with FPH diets
| Control | 25SWP | 50SWP | 25SWP+FPH | 50SWP+FPH | P-value | |
|---|---|---|---|---|---|---|
| Initial weight (g) | 10.03±0.16 | 9.90±0.02 | 9.95±0.10 | 10.07±0.15 | 10.04±0.30 | 0.733 |
| Final weight (g) | 46.03±1.11 a | 41.12±1.31 b | 38.18±0.37 c | 43.62±2.20 a | 45.37±0.85 a | <0.001 |
| Weight gain (g) | 36.00±1.26 a | 31.21±1.32 b | 28.23±0.29 c | 33.54±2.11 ab | 35.33±1.15 a | <0.001 |
| Average daily growth (g) | 0.60±0.02 a | 0.52±0.02 b | 0.47±0.01 c | 0.56±0.03 ab | 0.59±0.02 a | <0.001 |
| Survival rate (%) | 98.33±2.88 | 95.00±0.00 | 93.33±2.89 | 93.33±2.89 | 98.33±2.89 | 0.080 |
| Specific growth rate (% day−1) | 2.54±0.06 a | 2.37±0.05 b | 2.24±0.01 c | 2.44±0.07 ab | 2.51±0.08 a | 0.001 |
| Hepatosomatic index (%) | 1.75±0.03 | 1.76±0.02 | 1.75±0.01 | 1.75±0.03 | 1.76±0.04 | 0.961 |
| Viscerosomatic index (%) | 6.79±0.29 | 6.98±0.06 | 6.93±0.08 | 7.09±0.12 | 7.02±0.11 | 0.249 |
Data values were represented as mean ± SD of three replicates per treatment (n=3), and the values with different letters indicate significant differences as determined by Duncan’s test (P<0.05).
Feed conversion, nutrient utilization, and retention of C. striata fed varying inclusion levels of SWP and SWP supplementation with FPH diets
| Control | 25SWP | 50SWP | 25SWP+FPH | 50SWP+FPH | P-value | |
|---|---|---|---|---|---|---|
| Feed conversion ratio | 1.47±0.02 c | 1.73±0.06 b | 1.82±0.05 a | 1.64±0.08 b | 1.52±0.02 c | <0.001 |
| Protein efficiency ratio | 1.54±0.02 a | 1.32±0.04 bc | 1.25±0.03 c | 1.38±0.07 b | 1.49±0.02 a | <0.001 |
| Lipid efficiency ratio | 6.17±0.09 a | 5.27±0.18 bc | 4.99±0.12 c | 5.53±0.27 b | 5.97±0.09 a | <0.001 |
| Protein retention (%) | 26.64±0.43 a | 26.07±0.28 a | 20.99±0.83 b | 28.20±1.62 a | 22.85±0.76 b | <0.001 |
| Lipid retention (%) | 34.66±2.65 a | 32.06±1.21 a | 27.21±1.00 b | 34.09±4.05 a | 27.65±1.00 b | 0.006 |
Data values were represented as mean ± SD of three replicates per treatment (n=3), and the values with different letters indicate significant differences as determined by Duncan’s test (P<0.05).
Whole-body proximate composition (% wet weight) of C. striata fed varying inclusion levels of SWP and SWP supplementation with FPH diets
| Initial | Control | 25SWP | 50SWP | 25SWP+FPH | 50SWP+FPH | P-value | |
|---|---|---|---|---|---|---|---|
| Moisture | 72.55 | 72.11±0.20 | 71.87±0.29 | 71.91±0.32 | 72.01±0.18 | 71.99±0.14 | 0.757 |
| Crude protein | 16.97 | 17.21±0.05 | 17.44±0.19 | 17.27±0.16 | 17.47±0.33 | 17.51±0.07 | 0.296 |
| Crude lipid | 4.61 | 5.40±0.31 | 5.29±0.16 | 5.37±0.12 | 5.24±0.21 | 5.17±0.05 | 0.595 |
| Total ash | 4.43 | 3.65±0.15 | 3.18±0.42 | 3.21±0.27 | 3.07±0.37 | 3.16±0.20 | 0.224 |
Data values were represented as mean ± SD of three replicates per treatment (n=3).
The hemato-biochemical profile of striped murrel fed varying inclusion levels of SWP and SWP supplemented with FPH diets is shown in Table 8. No significant differences (P>0.05) were found in hematological parameters, including Hb, Leuk, Ery, Ht, MCV, MCH, MCHC, and NBT values among striped murrel fed varying inclusion levels of SWP alone and also SWP in combination with FPH.
Intestinal morphology of C. striata fed varying inclusion levels of SWP and SWP supplementation with FPH diets
| Control | 25SWP | 50SWP | 25SWP+FPH | 50SWP+FPH | P-value | |
|---|---|---|---|---|---|---|
| Villi length (μm) | 210.80±4.50 a | 197.23±4.87 b | 186.10±3.89 c | 200.35±4.65 b | 205.14±6.79 ab | 0.001 |
| Villi width (μm) | 32.89±1.90 a | 29.47±1.16 c | 27.45±0.58 c | 31.45±0.78 ab | 33.73±1.71 a | 0.001 |
Data values were represented as mean ± SD of three replicates per treatment (n=3), and the values with different letters indicate significant differences as determined by Duncan’s test (P<0.05).
Hemato-biochemical responses of C. striata fed varying inclusion levels of SWP and SWP supplementation with FPH diets
| Hemato-biochemical parameters | Control | 25 SWP | 50 SWP | 25 SWP+FPH | 50 SWP+FPH | P-value |
|---|---|---|---|---|---|---|
| Hematological parameters | ||||||
| Hb (g dl−1) | 10.93±0.58 | 11.77±0.47 | 11.37±0.42 | 11.43±0.61 | 11.20±0.56 | 0.455 |
| Leuk (1000/cu.mm) | 22.93±1.69 | 22.94±0.41 | 23.35±1.02 | 22.60±1.08 | 22.72±0.88 | 0.931 |
| Ery (million/cu.mm) | 2.60±0.20 | 2.59±0.23 | 2.67±0.31 | 2.73±0.34 | 2.70±0.24 | 0.957 |
| Ht (%) | 42.47±0.57 | 42.57±0.90 | 42.30±0.40 | 42.87±0.25 | 41.93±1.00 | 0.579 |
| MCV (fl) | 164.02±13.52 | 165.14±13.83 | 159.96±19.61 | 158.85±22.01 | 156.17±15.13 | 0.963 |
| MCH (pictograms) | 25.75±1.55 | 27.66±1.59 | 26.87±0.75 | 26.67±1.46 | 26.71±1.24 | 0.578 |
| MCHC (g dl−1) | 42.26±4.69 | 45.64±3.84 | 43.00±5.69 | 42.19±3.88 | 41.82±5.76 | 0.868 |
| NBT (OD at 450 nm) | 1.06±0.06 | 1.02±0.03 | 1.04±0.05 | 1.01±0.02 | 1.07±0.02 | 0.420 |
| Biochemical parameters | ||||||
| GLU (mg dl−1) | 44.73±1.06 | 44.30±1.98 | 44.98±1.54 | 43.56±0.79 | 44.85±1.11 | 0.710 |
| TRY (mg dl−1) | 243.58±2.38 | 247.02±3.61 | 248.60±2.60 | 245.01±2.71 | 246.53±1.60 | 0.257 |
| CHO (mg dl−1) | 105.08±3.73 | 107.74±3.80 | 106.47±3.03 | 104.28±2.05 | 107.35±3.28 | 0.658 |
| TP (mg dl−1) | 4.29±0.33 | 4.09±0.18 | 4.23±0.29 | 4.23±0.21 | 4.40±0.17 | 0.676 |
| ALB (mg dl−1) | 2.43±0.31 | 2.58±0.22 | 2.63±0.27 | 2.54±0.37 | 2.58±0.34 | 0.941 |
| GLB (mg dl−1) | 1.86±0.57 | 1.51±0.05 | 1.59±0.01 | 1.69±0.17 | 1.82±0.38 | 0.655 |
| ALT (U ml−1) | 29.02±5.47 | 27.42±1.66 | 26.66±3.35 | 29.94±1.92 | 29.35±4.52 | 0.791 |
| AST (U ml−1) | 31.45±0.80 | 31.50±1.18 | 32.05±0.45 | 32.83±0.75 | 31.91±0.71 | 0.301 |
| ALP (U ml−1) | 13.43±0.88 | 13.07±0.78 | 13.03±0.52 | 12.75±0.41 | 12.81±0.40 | 0.710 |
| APA (%, trypsin inhibition) | 67.04±1.93 | 65.76±0.96 | 65.46±1.96 | 66.69±1.35 | 66.40±1.80 | 0.755 |
| lysozyme (µg/mL) | 42.80±3.00 | 41.66±1.04 | 43.44±1.09 | 42.95±1.09 | 43.89±1.01 | 0.564 |
Data values were represented as mean ± SD of three replicates per treatment (n=3).
Abbreviations: Hb, Hemoglobin; Leuk, Leukocytes; Ery, Erythrocytes; Ht, Hematocrit; MCV, Mean corpuscular volume; MCH, Mean corpuscular hemoglobin; MCHC, Mean corpuscular hemoglobin concentration; NBT, Nitroblue tetrazolium test; GLU, Glucose; TRY, Triglycerides; CHO, Cholesterol; TP, Total protein; ALB, Albumin, GLB, Globulin; ALT, Alanine transaminase; AST, Aspartate aminotransferase; ALP, Alkaline phosphatase; APA, Antiprotease activity.
Similarly, the serum biochemical parameters, including GLU, TRY, CHO, TP, ALB, GLB, ALT, AST, ALP, APA, and LYZ values, were not significantly (P>0.05) affected by varying inclusion levels of SWP alone and also SWP in combination with FPH.
The IGF-1 gene expression in striped murrel fed varying inclusion levels of SWP and SWP supplemented with FPH diets are displayed in Figure 4. Fish fed the control and 50SWP+FPH diets exhibited significantly higher (P<0.05) relative mRNA expression of IGF-1 compared to other diets.

Relative mRNA expression of IGF-I in the liver of C. striata. Bars with different superscripts indicate significant differences determined by Duncan’s test (P<0.05)
Silkworm pupae meal is a non-conventional feed ingredient that has been used as a potential source of protein in various fish diets because of the presence of rich nutrient content and availability. SWP has been utilized in several forms, including its natural form, defatted form, and processed form (with enzymes and microorganisms) (Sathishkumar et al., 2021; Zhang et al., 2022). This research revealed that substituting FM with a 50% SWP supplemented with FPH diet did not affect the survival, morphological indices (HSI and VSI), and growth performances, such as FW, WG, ADG, and SGR in striped murrel. Moreover, the supplementation of FPH improved the quality of SWP incorporated diet in striped murrel by enhancing growth performance and nutrient utilization. This improvement is likely because of the presence of free amino acids, peptides, nucleotides, nucleosides, and oligopeptides in FPH (Siddaiah et al., 2022; Suratip et al., 2023). However, substituting FM with SWP alone negatively impacted growth performance and nutrient utilization in striped murrel, possibly due to digestibility and palatability issues as well as an imbalance in the amino acid profile. These present results are in alignment with various earlier research conducted on carnivorous fishes. For instance, up to 20% FM can be replaced with SWP without negatively impacting growth performance and nutrient utilization in olive flounder (P. olivaceus) (Lee et al., 2012). Shakoori et al. (2016) and Mahato et al. (2023) found that 10% to 25% SWP can replace FM, shrimp meal, and soybean meal in the diets of the rainbow trout (O. mykiss) without affecting growth performance, meat quality, and feed utilization. In largemouth bass (M. salmoides), up to 30% FM can be replaced by fermented SWP without impacting growth and feed utilization (Zhang et al., 2022).
On the other hand, studies on omnivorous fishes also showed promising results. Substituting up to 50% FM with SWP did not affect somatic growth and feed utilization. This was observed in species like common carp (C. carpio) (Nandeesha, 2000) and Pangasianodon hypophthalmus (Das et al., 2023). Kurbanov et al. (2015) showed that up to 50% FM can be replaced with SWP without compromising the growth performance of C. gariepinus. Salem et al. (2008) and Sathishkumar et al. (2021) showed that replacing up to 66.67% FM with nondefatted SWP improved growth and nutrient utilization efficiency in Oreochromis niloticus. Furthermore, the complete replacement of FM with SWP did not impair growth performance in several fish species, including C. gariepinus (Oso, 2014) and P. vannamei (Rahimnejad et al., 2019). These positive results could be attributed to the ability of omnivorous fish to effectively digest SWP due to the presence of chitinase (Hasan et al., 2023). However, some earlier studies have shown that the chitin content of insect meals can reduce feed digestibility (Gasco et al., 2019). Therefore, the negative results observed in this study may be due to the replacement of FM with SWP alone in the diets of striped murrel. Furthermore, Zhou et al. (2017) found that only 4% of a fermented mixture of silkworm, rapeseed meal, and wheat flour could replace FM without impacting growth and nutrient utilization in mirror carp. These variations in results could be due to variation in fish species, size, rearing systems, specific protein requirements at different life stages, SWP processing methods (full-fat, defatted, or fermentation), diet manufacturing techniques, species digestibility, and chitin content (Cardinaletti et al., 2019).
In this research, the whole-body proximate composition, such as moisture, crude protein, crude lipid, and total ash of striped murrel were unaffected by varying inclusion levels of SWP alone and also SWP supplemented with FPH. These results are in line with those of earlier studies on juvenile mirror carp (Xu et al., 2018), P. vannamei (Rahimnejad et al., 2019) and P. hypophthalmus (Das et al., 2023), which reported no significant changes in whole-body composition with the inclusion of SWP in their diets. However, substituting FM with SWP increased whole-body crude protein and ash content in common carp (Nandeesha, 2000) and mirror carp (Zhou et al., 2017). These variations may be explained by differences in a number of factors, such as feeding habitats, nutritional profile of diet, rearing environments, and fish size (Rahimnejad et al., 2017).
The digestive enzymes can be influenced by dietary ingredients, and these enzyme activities play a crucial role in reflecting the digestive capacity of the diet. In this study, the different inclusion levels of SWP, individually and also in combination with FPH diets significantly affected digestive enzyme activity in striped murrel. Significantly higher levels of amylase, protease, and lipase activity were noted in striped murrel fed the 50% SWP diet supplemented with FPH, showing equal performance to that of the control group. Supporting these findings, Gangadhar et al. (2017) and Ramji et al. (2024) found that including up to 40% and 50% SWP in diets did not adversely affect the digestive enzyme activity of Labeo fimbriatus, C. carpio, and Etroplus surentensis. Similarly, Sridharan et al. (2023) observed improved digestive enzyme activity with SWP inclusion in the diets of koi carp (Cyprinus carpio var. koi). Moreover, Xu et al. (2018) found that the complete substitution of FM with enzymatic hydrolysates of defatted silkworm pupae did not impact protease, amylase, and lipase activities in juvenile mirror carp. However, Das et al. (2023) demonstrated that increasing the levels of SWP in the diets of P. hypophthalmus led to an increase in protease activity, followed by lipase and amylase activities.
Intestinal histological measurements provide crucial insights into the nutrient digestibility and absorption capacity of fish (De Marco et al., 2023). In this study, higher villi length and villi width were found in fish fed the 50% SWP diet supplemented with FPH. In contrast, diets without FPH supplementation led to decreased intestinal villi length and villi width. This improvement in intestinal morphology could be attributed to the bioactive components present in FPH, which promotes cell proliferation in the gastrointestinal tract, and thereby enhancing nutrient digestion and absorption (Chaklader et al., 2021). Similarly, Xu et al. (2018) found that substituting FM with up to 50% enzymatic hydrolysates of defatted silkworm pupae improved intestinal villus function in juvenile mirror carp. These enhanced villi structures increase the surface area for nutrient absorption, thereby improving overall feed efficiency and growth performance.
Reactive oxygen species (ROS) are produced by endogenous biological processes and can cause oxidative stress in aquatic organisms (Chowdhury and Saikia, 2020). Enzymes like CAT, SOD, and GPx are crucial endogenous antioxidant enzymes that protect against oxidative damage by neutralizing ROS and free radicals (Ighodaro and Akinloye, 2018). In this study, feeding the 50% SWP diet supplemented with FPH significantly increased CAT and SOD activities in striped murrel, while no significant alterations were observed in GPx activity. Additionally, no significant alterations were found in the metabolic enzyme activities, including G-6-PDH and MDH with varying inclusion of levels of SWP alone and also SWP supplemented with FPH. The G-6-PDH and MDH are involved in pentose phosphate and the citric acid cycle pathways. They might have produced metabolites such as 5-glucose-6-phosphate, oxaloacetate and NADPH, which are needed to synthesize nucleic acids, fatty acids, steroids and certain amino acids and are also involved in antioxidant reactions by scavenging the free radicals, respectively (Rao and Rao, 1987; Takahashi-Íñiguez et al., 2016). These results may be described by the presence of antioxidant substances in SWP, such as chitosan (2–6%) and polysaccharides (4%) (Wu et al., 2021), as well as bioactive components in FPH, including peptides, free amino acids, oligopeptides (Damodaran and Parkin, 2017; Petrova et al., 2018). Similarly, Xu et al. (2018) reported that inclusion of 25–50% enzymatic hydrolysate defatted silkworm pupae in the diets of juvenile mirror carp enhanced both SOD and CAT activities. However, contrasting results were explained by Ji et al. (2015), who found a reduction in SOD activity with increasing levels of silkworm pupae in the diets of juvenile Jian carp (C. carpio var. Jian).
Hemato-biochemical profiles are important biomarkers that indicate the immune status and overall physiological health of fish (Zhou et al., 2005). In this study, no significant changes were observed in the hematological responses of striped murrel fed diets containing up to 50% SWP alone and also SWP supplemented with FPH. This is consistent with findings in rainbow trout, where hematocrit values were unaffected by the inclusion of SWP. However, other studies have shown a decline in RBC count and Hb levels with increasing levels of SWP, while WBC count, MCV, and MCH levels increased (Ijaiya and Eko, 2009; Shakoori et al., 2016). Additionally, serum biochemical responses in striped murrel fed varying inclusion levels of SWP alone and also SWP supplemented with FPH remains unchanged. These results align with findings in olive flounder (P. olivaceus), where the inclusion of up to 20% SWP did not significantly impact serum biochemical markers such as total protein, glucose, glutamic oxaloacetic transaminase (GOT), glutamic pyruvic transaminase (GPT), and triglyceride levels (Lee et al., 2012). In contrast, some studies have reported significant changes in serum biochemical values when SWP was incorporated in the diets of mirror carp (Xu et al., 2018). These differences might be due to variation in species, experimental conditions, and the percentage of SWP inclusion in the diet.
The insulin-like growth factor-1 (IGF-1) gene performs a crucial activity in regulating growth and development, and its expression is commonly used as a growth indicator in fish (Chandhini et al., 2021). In this research, significantly higher relative mRNA expression of IGF-1 was observed in striped murrel fed diet containing 50% SWP supplemented with FPH. This increase in IGF-1 expression may be attributed to the synergistic effects of SWP and FPH, which likely enhanced growth and development by improving nutrient utilization and metabolic efficiency. The bioactive compounds in FPH, along with the protein-rich SWP, have stimulated IGF-1 expression, thereby promoting growth in the fish.
The findings of this study demonstrated that striped murrel could efficiently utilize a diet where 50% FM is replaced with SWP which is supplemented with FPH without compromising growth, feed utilization, whole-body proximate composition, digestive enzyme activity, intestinal morphology, antioxidant status, and hemato-biochemical responses. However, replacing FM with SWP alone negatively effects the growth, which might be due to improper digestibility, palatability and amino acid imbalance. Therefore, in the future the combination of SWP and FPH incorporation into the murrel diet will be a promising solution for maintaining growth performance and nutrient utilization efficiency in C. striata.