Injuries represent a major cause of morbidity and mortality in the pediatric population. According to statistical data, in Poland in 2024, approximately 1.2 million pediatric patients received emergency medical care(1). Head injuries are estimated to account for 30% to 49% of all trauma-related emergency visits in this group(2,3). Globally, approximately 830,000 children die each year as a result of injuries(4). In Poland, among children and adolescents aged 1–14 years, external causes such as injuries and poisonings are responsible for nearly 25% of all deaths, making them the leading cause of mortality in this age group(5). Pediatric trauma also carries substantial economic implications, as procedures related to trauma care are significantly more expensive than standard surgical interventions, accounting for up to 50% of the total costs of care in pediatric surgical wards(6,7). Among all types of injuries, head trauma warrants particular clinical attention, as it poses substantial diagnostic and therapeutic challenges. Children, especially during infancy and early childhood, are particularly vulnerable to such injuries due to a disproportionately large head relative to body size and underdeveloped protective mechanisms(8). Early and accurate diagnosis of skull fractures is critical for guiding further therapeutic management and minimizing the risk of complications(9).
In the imaging evaluation of pediatric traumatic brain injuries, computed tomography (CT) and ultrasonography (US) are the most commonly used modalities, each with distinct advantages, limitations, and indications. CT is regarded as the gold standard for the assessment of acute head trauma, offering high sensitivity and detailed visualization of intracranial pathology(10). However, it involves exposure to ionizing radiation, which raises justified safety concerns in the pediatric population. US, by contrast, is a noninvasive and radiation-free technique that may serve as a valuable alternative, particularly in infants with open fontanelles(11,12).
The aim of this retrospective single-center observational study was to analyze pediatric patients with head injuries who underwent US imaging, with or without subsequent CT, based on a database of patients collected over the past five years. The study focused on the diagnostic value of US in detecting skull fractures and its impact on clinical decision-making. Particular attention was given to whether and when CT imaging was deemed necessary following US findings, as well as how patient age, presenting symptoms, and fracture characteristics affected imaging strategy and treatment.
This retrospective single-center observational study was approved by the Bioethics Committee of the Poznan University of Medical Sciences (KB-708/25) and conducted in accordance with the Declaration of Helsinki.
This retrospective cohort study was conducted at the emergency department (ED) and radiology unit of a university-affiliated pediatric hospital in Poland. Every patient aged 0–14 years suspected of having a skull fracture and treated for head trauma between 01.01.2020 and 01.01.2025 was included and enrolled in this study. Identification of patients was based on head-trauma related presentation and medical history obtained by the attending emergency physician. Cases with incomplete documentation were excluded from statistical analysis.
Exclusion criteria were: age ≥15 years, no acute trauma mechanism, patients with acute trauma who were directly referred for a CT scan, and Glasgow Coma Scale of <15 points.
For the purpose of the analysis, patients were stratified into the following age groups: “baby” (up to 1 year), “toddler” (between 1 and 3 years), “preschool children” (between 4 and 6 years), “young school children” (7 to 10 years), and “young teenager” (between 11 and 14 years of age).
Patient demographics, date of trauma and presentation to the ED, mechanism and location of injury, and clinical symptoms were recorded. Mechanisms of injury were classified as follows: “minor fall” (fall from standing height), “fall from an object” (fall from bed or crib, chair, or baby stroller), “fall from great height” (fall from ≥1.5 m – from stairs, an adult’s hands, or playground equipment), “collision” (injuries caused by striking against or being struck unintentionally by objects or persons), “traffic accident” (road accidents including bicycle injuries), and “other” (not fitting any other main category or unclear mechanism).
Locations of head injury were divided into five regions: “frontal”, “occipital”, “parietal”, “temporal”, and “viscerocranial”. If more than one location of injury was reported, the region corresponding to the main complaint was included in the study.
The most common clinical symptoms were classified as follows: “drowsiness”, “altered consciousness”, “agitation”, “vomiting”, “epistaxis”, “other” (including symptoms such as anisocoria, fever/chills, or apnea), or “no symptoms”. If more than one symptom was reported, the main complaint was included in the study.
Outcomes of the US examination and potential compatibility with CT findings were analyzed. If the US examination result was uncertain and suspected for fracture, it was reported in the study. For diagnostic accuracy calculations, inconclusive/suspected fractures were classified as positive, consistent with clinical management where suspected and confirmed fractures were treated equivalently.
Children with injuries that were eligible for admission to the pediatric surgery department were retrospectively followed up to determine their length of hospital stay and final outcome. Non-hospitalized patients were not systematically followed beyond the ED visit.
All patients were first clinically evaluated by a pediatric surgery resident or specialist in the emergency department. Based on surgical assessment, patients were referred to the radiology department, where ultrasound examinations were performed in a dedicated ultrasound room using a CANON Aplio i700 ultrasound machine, equipped with a high-frequency linear transducer (11–18 MHz). Children were positioned supine or, in cases of occipital trauma, in a prone or sitting position, accompanied by a caregiver, with gentle immobilization applied when necessary to minimize motion artifacts. The area of impact, hematoma, or maximal tenderness was systematically scanned in both longitudinal and transverse planes, with additional sweeps of adjacent and contralateral regions for comparison. In the absence of clear clinical signs of impact area, or problems with indicating the expected site of injury (non-verbal children), a broader portion of the skull was routinely examined. Particular attention was paid to differentiating fracture lines from normal cranial sutures at the affected site by tracing sutures to a fontanelle where possible or by comparing with symmetric contralateral structures. Major cranial sutures were assessed only at the affected site and adjacent collateral locations to distinguish normal suture lines from potential diastasis. ( Fig. 1, Fig. 2, Fig. 3, Fig. 4) No cases of sutural diastasis were identified in the cohort. All scans were performed by 15 radiology department physicians, either trained pediatric radiology residents or board-certified specialists. Interobserver variability was not formally evaluated.

Normal cranial sutures in (A) a 4-month-old and (B) a 6-month-old boy, which may mimic a fracture line. The overlying soft tissues show normal echostructure above the suture line

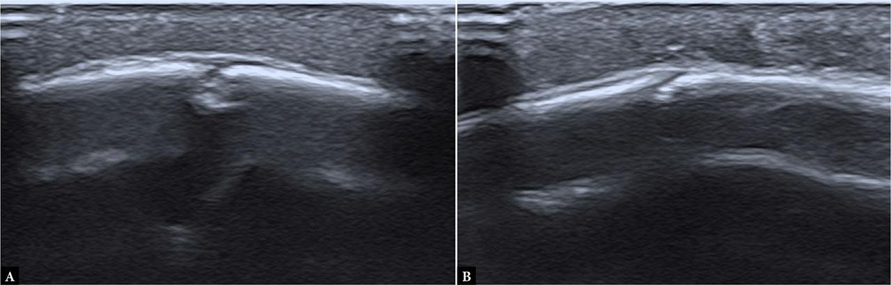
Examples of skull fracture fissures observed on ultrasound in (A) a 2-month-old boy and (B) a 1-month-old girl. A. Fracture fissure of the parietal bone with an associated subperiosteal hematoma (calipers). B. Fracture fissure of the parietal bone with a 1-mm cortical invagination (calipers)

Left parietal bone fracture. A. Ultrasound examination revealed a subtle cortical discontinuity and deflection of the outer table. B. A subperiosteal hematoma was visible along the parietal bone. C, D. CT examination performed the following day confirmed the diagnosis, demonstrating a linear fracture fissure (arrow in C) of the parietal bone

Comminuted fracture of the frontal bone involving the superior and superolateral wall of the right orbit. A. Ultrasound examination showed a displaced fracture in the region of the right supraorbital arch, with (B) a 4-mm cortical invagination (calipers). C, D. CT examination confirmed a comminuted fracture of the superior and superolateral orbital wall
When clinically indicated, based on PECARN or NICE guidelines, cranial CT was performed on a Siemens SOMATOM Force scanner using non-contrast protocol, reconstructed at 1–3-mm slice thickness. Scans were obtained from the skull base to the vertex, with the primary aim of identifying skull fractures, scalp hematomas, intracranial hemorrhage, or cerebral contusions. CT examinations were interpreted by pediatric radiology residents under the supervision of radiology specialists or directly by the specialists themselves.
Descriptive statistics were used to summarize demographic, clinical, and imaging data. Categorical variables are presented as counts and percentages, and continuous variables as medians with interquartile ranges (IQR) due to non-normal distributions. For diagnostic accuracy, ultrasound results (with suspected fractures classified as positive, consistent with clinical management pathways) were compared with cranial CT findings as the reference standard. Sensitivity, specificity, positive and negative predictive values, likelihood ratios, overall accuracy, and corresponding 95% confidence intervals (CIs) were calculated using the Wilson method. Agreement between ultrasound and CT was assessed using percent concordance and Cohen’s kappa coefficient with 95% CI. Between-group comparisons of categorical variables were performed using the chi-square test or Fisher’s exact test (when expected frequencies were <5), while continuous variables were compared with the Mann–Whitney U test (or Kruskal–Wallis for >2 groups). All tests were two-sided, and p-values <0.05 were considered statistically significant. Analyses were performed using StatSoft STATISTICA, version 14.
A total of 619 patients were included in the study, of whom 362 were male and 257 female. The gender distribution was 58% male and 42% female, with boys predominating in all age groups. The baby group accounted for the largest proportion of ED presentations, followed by the toddler group. The median age at presentation was 2.10 years (IQR 1.04–4.15).
Injury mechanisms, anatomical locations, and clinical symptoms were categorized into predefined subgroups. The most frequent injury mechanism was collision, represented almost equally across all age groups. Falls from objects were seen almost exclusively in the baby group. The frontal region was the most common site of injury, accounting for 73.3% of all ED admissions, followed by occipital (8.2%), parietal (8.1%), viscerocranial (6.8%), and temporal (3.6%) areas. More than half of the patients were asymptomatic at ED presentation; among symptomatic patients, the most common complaint was drowsiness.
Among the 619 patients who were clinically suspected of having a fracture and referred for ultrasound examination, results were positive in 42 cases, while in 20 cases they were inconclusive and a fracture was suspected. For diagnostic accuracy analyses, a total of 62 cases were classified as US-positive. The baby age group accounted for the majority of positive and suspected results, followed by the toddler group. Among US-positive or suspected fractures, the frontal region was most frequently affected, accounting for 46.8% of cases (29), followed by the parietal (33.9%), occipital (9.7%), temporal (8.1%), and viscerocranial (1.6%) regions. Notably, the parietal region had the highest proportion of fractures relative to the number of injuries at that site, with ultrasound-positive findings in 21 of 50 cases (42.0%).
Cranial CT was performed in 13 patients (2.1%), most frequently in the preschool children group (median age 4.44 years; IQR 1.71–5.24). Although the baby and toddler groups represented the largest proportion of the overall cohort, CT was more commonly performed in older children. Overall, six CT scans were performed in children with US-positive fractures, four to confirm a suspected fracture, and two due to persisting clinical symptoms. Further six CT scans were performed in patients with a US-negative result due to persisting clinical symptoms, and the remaining one was performed to exclude a fracture despite a negative ultrasound.
When ultrasound was compared with CT (reference standard), sensitivity was 100.00% (95% Cl 34.2–100.00), specificity 63.6% (95% CI 35.4–84.8), positive predictive value 33.3% (95% CI 9.7–70.0), negative predictive value 100.0% (95% CI 64.6–100.0), positive likelihood ratio 2.75, negative likelihood ratio 0.00, and overall accuracy 69.2%. Agreement between US and CT was 69.2%, with Cohen’s kappa of 0.35, indicating fair agreement. Given that only 13 patients underwent CT, confidence intervals are wide, and these results should be interpreted cautiously.
Of the 619 patients, a high proportion (59.9%) presented as asymptomatic. Overall, 101 patients (16.3%) required hospitalization. All 42 patients (100.0%) with a positive US fracture diagnosis were admitted, as were 17 of 20 patients (85.0%) with a suspected fracture. Among the 557 patients with a negative US result, 42 (7.5%) were hospitalized. Of these 42 patients admitted without US-positive or suspected fractures, 34 (81.0%) presented with clinical symptoms, predominantly vomiting (70.6%), followed by altered consciousness (17.6%). Hospital admission was significantly associated with age (Mann-Whitney U test, p = 0.0082), with hospitalized children being younger than the non-hospitalized group. Furthermore, admission patterns in the no-fracture group showed variable rates across trauma mechanisms, with the highest admission rate observed in traffic accidents (22.7%). This association was statistically significant (Fisher’s Exact Test, p = 0.0193), driven primarily by the traffic accident mechanism, which had an admission rate nearly four times higher than all other mechanisms combined (odds ratio = 3.96). Other major injury mechanisms did not show statistically significant differences in admission rates.
The mean length of hospitalization, regardless of fracture status, was 3.5 days (IQR 3.0–4.00). Patients with confirmed or suspected US fractures had a mean stay of 3.6 days (IQR 3.0–4.0), while those without fractures had a mean stay of 3.4 days (IQR 3.0–3.0). Crucially, the difference in the length of stay between the fracture and no-fracture groups was not statistically significant (Mann-Whitney U test, p = 0.0569). Across younger age groups (babies, toddlers, preschool, and young school children), hospitalization durations were consistent, with a median stay of 3.0 days and low variability. Babies had a slightly longer mean stay (3.7 days). Patients in older age groups (young school children and young teenagers) had longer mean stays, but patient numbers in these groups were very small (six and two hospitalized children, respectively). Among the 42 hospitalized children without US-positive fractures, traumatic brain injury was excluded through structured clinical observation according to the institutional protocol, which is consistent with major pediatric head injury guidelines (NICE and PECARN). Each patient underwent an initial period of active neurological monitoring lasting 4–6 hours, with frequent neurologic checks. After this intensive phase, patients continued to be observed on the pediatric surgery ward with less frequent monitoring for the remainder of their stay. Indications for urgent CT during observation included worsening headache, repeated vomiting, new or increasing drowsiness, Glasgow Coma Scale <15 or any decline from baseline, focal neurological deficits, seizures, or concerning mechanism of injury. Except for the patients described above who were referred for CT based on clinical indications, no other observed children met the deterioration criteria during hospitalization, and all were safely discharged without complications.
Imaging assessment in pediatric head trauma must balance diagnostic accuracy with minimizing radiation exposure and enabling rapid evaluation. In this cohort of 619 children, US identified 42 confirmed fractures and raised suspicion in an additional 20 cases. CT was performed in just 13 instances, and diagnostic concordance between US and CT was low-to-moderate at 69.2%. While US demonstrated 100% sensitivity, correctly detecting all CT-confirmed fractures, specificity was 63.6% (95% CI: 35.4–84.8%), with four false-positive or inconclusive findings. Importantly, because only a small, clinically selected fraction of the cohort underwent CT, these diagnostic accuracy measures are imprecise and should be interpreted with caution.
To contextualize these findings, Table 1 compares the diagnostic performance of US for detecting pediatric skull fractures across multiple studies. In this study, US did not miss any fractures among the small subgroup of children who underwent CT; however, it demonstrated lower specificity compared to that reported in the literature, where sensitivities range from 81.8% to 90.9% and specificities mostly exceed 85%(13,14,15,16). Nonetheless, this finding should also be interpreted cautiously, as the limited and clinically selected CT sample does not allow firm conclusions about diagnostic sensitivity. Two recent meta-analyses reported pooled sensitivity of 91% and specificity of 96%(17,18). The relatively low specificity in this cohort is most likely attributable to the small number of CT examinations and the selective use of CT in older, more symptomatic patients, rather than reflecting a technical limitation of US. Despite this variability, the consistently high sensitivity across studies supports US as a valuable screening modality to safely exclude skull fractures, thereby reducing unnecessary CT scans and limiting radiation exposure in pediatric patients, as demonstrated in this cohort.
Diagnostic performance of ultrasound across multiple studies
| Study (first author, year) | Sample size (n) | Age group (median/mean age) | Sensitivity (%) [95% CI] | Specificity (%) [95% CI] | Study design |
|---|---|---|---|---|---|
| Current study (2025) | 13 | 0–14 years (median 2.1 years) | 100 (34.2–100.0) | 63.6 (35.4–84.8) | Retrospective cohort with limited CT verification |
| Huang et al., 2023(13) | 152 | 0–6 years (median 2.9 years) | 91.7 (62.5–100) | 98.6 (94.6–100) | Prospective observational study |
| Dehbozorgi et al., 2021(14) | 168 | 0–14 years (mean 6.4 years) | 81.8 (48.2–97.7) | 100 (97.7–100) | Prospective cohort |
| Parri et al., 2017(15) | 115 | 0–2 years (mean 7.9 months) | 90.9 (82.9–96.0) | 85.2 (66.3–95.8) | Prospective study |
| Rabiner et al., 2013(16) | 69 | 0–21 years (mean 6.4 years) | 88 (53–98) | 97 (89–99) | Prospective study |
Cl – confidence interval; CT – computed tomography
Our study observed a male predominance, with a male-to-female ratio of approximately 3:2, consistent with previous pediatric trauma research showing higher injury rates among boys(2,3,9,13,14). This pattern of male predominance has been consistently reported across various cohorts, including large-scale studies involving thousands of children, reinforcing the well-established higher risk of injury in boys compared to girls in pediatric populations(3,9). This cohort’s median age of 2.1 years, reflecting a population primarily composed of infants and toddlers, is consistent with several ultrasound-based studies of pediatric skull fractures focusing on younger children(13,15). Other studies, with broader age ranges, including older children and adolescents, report higher mean ages and wider distributions(14,16). This comparison highlights that ultrasound is most often used to evaluate very young pediatric patients, underscoring its role in minimizing radiation exposure in this vulnerable group.
One of the aims of this study was to examine the motivation behind clinicians’ decisions to perform cranial CT in children with (US- or clinically) suspected or US-confirmed skull fractures. In this cohort, CT referrals were more common in older children, especially in the preschool and young school age groups, despite the overall population being younger. This pattern has also been reported in other pediatric head trauma cohorts, where older children undergo CT more often, partly because they tolerate imaging without sedation and may present with injury mechanisms perceived as higher risk(14,16). In contrast, studies focusing on very young children have shown that CT use is often more selective, as the need for sedation, lower-risk injury mechanisms, and milder symptoms prompt clinicians to rely more on observation or ultrasound-based evaluation(13,15). Moreover, given the heightened concern about radiation exposure in infants and toddlers, clinicians are especially cautious in recommending CT, a trend that was also evident in this cohort. In our study, persistent symptoms, such as vomiting or altered consciousness, were the main triggers for CT, consistent with guideline-based recommendations and trends observed across the literature(10,19).
The CT subgroup in this study was relatively small, which limits the strength of statistical comparisons. Nonetheless, the relatively low concordance of 69.2% between US and CT is likely explained by technical limitations of US, particularly false-positive findings and operator dependence, as well as the slightly older age and more complex clinical presentation of children selected for CT. This selective application of the reference standard also contributes to partial verification bias, further limiting the interpretability of the calculated diagnostic accuracy indices.
Hospital admission in this cohort was strongly associated with ultrasound findings: all confirmed fractures and the vast majority of suspected fractures led to hospitalization. This is consistent with the role of inpatient observation in pediatric head trauma when a fracture is present, as recommended in both PECARN and NICE guidelines(10,19). However, a notable proportion of admissions occurred in children without fractures on ultrasound, largely driven by clinical symptoms, most commonly persistent vomiting, followed by altered consciousness. Similar admission patterns have been reported in other pediatric head injury studies, where non-fracture cases are admitted for monitoring of evolving intracranial injury risk or symptom progression, even when initial imaging is negative(20,21). Recent evidence further indicates that symptoms such as vomiting and drowsiness are stronger predictors of abnormal CT findings than factors like mechanism or location of injury(21,22). It should be noted, however, that isolated vomiting rarely indicates clinically important traumatic brain injury, making observation a safe alternative in many cases(21,22,23,24). This approach reflects long-standing pediatric head trauma recommendations, particularly in younger age groups, where minimizing unnecessary CT exposure is a priority and US-based admission decisions may play a crucial role in stratifying fracture risk(20,25).
In this cohort, hospitalization duration was relatively uniform across age groups and fracture status, with a median stay of approximately 3–4 days. The slightly longer mean stay among infants may reflect greater clinical caution in managing very young children, as observation periods are often extended due to limited communication of symptoms and higher perceived vulnerability. Previous studies have also highlighted that age and clinical presentation, rather than fracture status alone, are the primary determinants of admission length in pediatric head trauma(20,22,23). Importantly, all patients in this cohort were treated conservatively and discharged without complications, consistent with existing literature showing that most isolated skull fractures in children are managed successfully with observation rather than intervention(15,21). Large-scale analyses have further confirmed that although most children with isolated skull fractures are admitted, hospital stays are typically brief, with the majority discharged within 1–2 days and neurosurgical intervention required only in rare cases(24,25). This reinforces the view that hospital admission in pediatric skull fracture cases often serves as a precautionary measure for monitoring symptoms rather than for acute interventions.
This study has several limitations. First, its retrospective single-center design and the small number of CT examinations limit generalizability and may introduce partial verification bias, as the reference standard (CT) was applied only to a small, selectively imaged subgroup. Consequently, estimates of sensitivity, specificity, and predictive values derived from this limited CT sample should be interpreted with caution. Second, ultrasound performance depends on operator expertise and patient cooperation. Third, non-hospitalized children were not followed systematically, precluding assessment of potential late complications. Despite these limitations, the study reflects real-world clinical decision-making and highlights the feasibility of ultrasound-based skull fracture screening in a large pediatric emergency cohort.
Decisions regarding the choice of imaging modality should be individualized, taking into account the child’s age, trauma mechanism, and clinical presentation. In many cases, US may serve as a safe, rapid, and accessible alternative. US demonstrated high sensitivity in detecting pediatric skull fractures, supporting its role as a first-line imaging modality, particularly in younger children for whom radiation avoidance is critical. Although specificity was lower in this cohort, the overall evidence indicates that US reliably excludes clinically relevant fractures and can substantially reduce unnecessary CT use. CT remains the most sensitive and comprehensive modality for detecting skull fractures in children, especially in cases of suspected intracranial injuries, comminuted fractures, or clinically ambiguous situations. CT should be reserved for children presenting with persistent vomiting, drowsiness, or altered consciousness, as these symptoms are stronger predictors of clinically significant injury than fracture status alone.