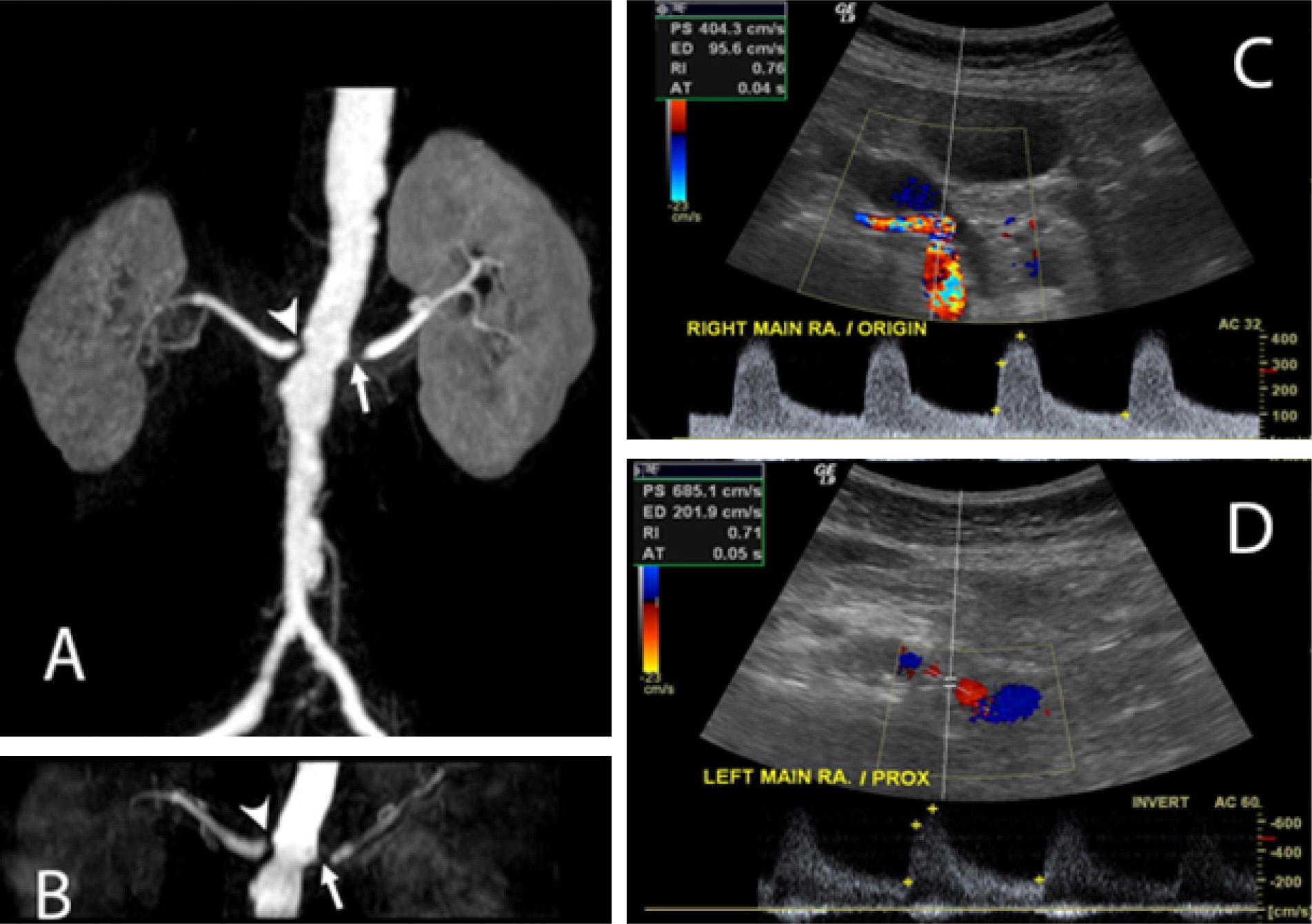
Figure 1

Diagnostic criteria for the degree of renal artery stenosis [9]
| Normal | <50% stenosis | ≥50% stenosis | |
|---|---|---|---|
| Peak systolic velocity (cm/s) | <100 | 100-179 | ≥180 |
| Peak systolic velocity ratio of renal artery/aorta | ≤3.3 | ≤3.3 | >3.3 |
| Damping waveform of intrarenal artery or acceleration time >0.07 seconds | No | No | Yes |
Color Doppler ultrasound and contrast-enhanced magnetic resonance angiography determination of the degree of renal artery stenosis per segment
| CDUS\CE–MRA | Normal | <50% stenosis | ≥50% stenosis | Total |
|---|---|---|---|---|
| Normal | 247 | 3 | 0 | 250 |
| <50% stenosis | 1 | 0 | 1 | 2 |
| ≥50% stenosis | 2 | 0 | 4 | 6 |
| Total | 250 | 3 | 5 | 258 |
Noncontrast-enhanced magnetic resonance angiography (NC-MRA) and contrast-enhanced magnetic resonance angiography determination of the degree of renal artery stenosis per segment analysis
| NC-MRA\CE–MRA | Normal | <50% stenosis | 50% stenosis | Total |
|---|---|---|---|---|
| Normal | 272 | 3 | 0 | 275 |
| <50% stenosis | 0 | 0 | 0 | 0 |
| ≥50% stenosis | 3 | 2 | 6 | 11 |
| Total | 275 | 5 | 6 | 286 |