Hypertension is a major risk factor of atherosclerosis. Hypertension in most patients has unknown etiology. Only from 2% to 5% of hypertensive patients have secondary causes [1]. Renal artery stenosis (RAS) is the most common secondary cause of hypertension that is curable [2]. Therefore, early detection of RAS can prevent longterm morbidity, mortality, and preserve renal function. Atherosclerosis causes RAS in about 90% of patients, and their stenosis usually develops near the renal artery ostia. The other 10% of RAS is usually caused by fibromuscular dysplasia (FMD), and the stenotic sites locate to the mid or distal segment of main renal artery [3].
Currently, digital subtraction angiography (DSA) is considered the criterion standard for diagnosis of RAS. However, DSA is an invasive procedure. Color Doppler ultrasound (CDUS), computed tomographic angiography (CTA), and magnetic resonance angiography (MRA) have been accepted as noninvasive screening tools for RAS.
Despite the excellent spatial resolution of CTA, it is not commonly used to screen for RAS. The disadvantage of CTA is exposure to ionizing radiation and iodinated contrast media. CDUS is safer because no radiation exposure or contrast material is required. However, its accuracy depends on operator skill and patient cooperation. The nonassessable renal artery segment rate is high, depending on body habitus and the amount of bowel gas in each patient [4, 5]. Contrast-enhanced MRA (CE-MRA) can accurately assess renal arteries without a need for radiation exposure. However, injection of gadolinium contrast medium in a patient with coexisting renal insufficiency can increase the likelihood of nephrogenic systemic fibrosis (NSF). Therefore, a role for noncontrast enhanced MRA (NC-MRA) has evolved. The relatively recent steady-state free precession MRA technique provides high image resolution and less flow artifacts than conventional MRA [6-8].
The purpose of this study was to compare NC-MRA versus CDUS for screening for RAS using CE-MRA as a reference standard.
The study was approved by the Institutional Review Board of the Faculty of Medicine, Chulalongkorn University (approval no. 507/53). Written informed consent was obtained from all patient participants or their parents after informed ascent.
Patients who were referred for screening for RAS with CDUS or MRA from September 1, 2011 to September 30, 2012 were enrolled. All patients were scheduled for both CDUS and MRA of renal arteries within a month. MRAs were performed on the same day, initially by NC-MRA and subsequently by CE-MRA.
The inclusion criteria were patient who were suspected of having RAS and age >15 years old. The exclusion criteria included (1) patients who had a renal artery stent or prior renal artery angioplasty, (2) patients who had chronic kidney disease or a glomerular filtration rate (GFR) less than 60 mL/min/ 1.73 m2, (3) patients on hemodialysis, (3) pregnant or lactating patients, (4) patients who had a contraindication for MRA, such as an intracranial aneurysmal clip, cochlear implant, pacemaker, or severe claustrophobia.
CDUS of the renal arteries was performed using a 3.5 MHz curvilinear-array transducer with a Logiq 9 ultrasound scanner (General Electric Medical Systems, Milwaukee, WI, USA). All patients were scanned in a supine position by one of three radiologists (KS 8-years-experience in CDUS, MT 10-years-experience in CDUS, LV more than 20-years-experience in CDUS).
The scanning protocol included gray scale, color Doppler, and spectral waveform analysis at proximal, mid, and distal segments of main renal arteries and at upper, mid, and lower poles of intrarenal arteries.
All MRA studies were performed with 3 Tesla MR scanner (Achieva 3.0 Tx, Philips Medical Systems, Best, The Netherlands) with 16-channel Sense XL Torso coil.
NC-MRA was performed using a balanced, triggered angiography noncontrast enhanced MRA (B-Trance) technique with respiratory and cardiac triggering. A three-dimensional steady state free precession sequence was used in an axial plane covering the entire course of renal arteries. The NC-MRA was conducted during free-breathing. The parameters used were a repetition time 14 ms; echo time 4.8 ms; flip angle 110°; matrix 248 × 84; slice thickness 2 mm; overlapping 1 mm.
CE-MRA was performed using a coronal 3-dimension gradient echo sequence with a bolus-tracking technique. Gadoterate meglumine (20 mL; Gd-DOTA, Dotarem; Guerbet pharmaceuticals, Roissy, France) was injected intravenously followed by 20 mL of saline flush. CE-MRA was conducted with a breath-holding technique. The CE-MRA parameters were repetition time 5.2 ms; echo time 1.85 ms; flip angle 30°; slice thickness 2.6 mm; overlapping 1.3 mm.
CDUS, NC-MRA, and CE-MRA were analyzed separately while blinded to patient information. All images were analyzed in three aspects including (1) number of visualized renal arteries, (2) degree of RAS classified as no stenosis, mild to moderate stenosis (<50% stenosis), and severe stenosis (≥50% stenosis) at proximal, mid, and distal segments of main renal arteries, and (3) total examination time of CDUS and NC-MRA.
CDUS was analyzed by one of three attending radiologists who scanned the patient. The criteria to diagnose RAS are shown in Table 1 [9].
Diagnostic criteria for the degree of renal artery stenosis [9]
| Normal | <50% stenosis | ≥50% stenosis | |
|---|---|---|---|
| Peak systolic velocity (cm/s) | <100 | 100-179 | ≥180 |
| Peak systolic velocity ratio of renal artery/aorta | ≤3.3 | ≤3.3 | >3.3 |
| Damping waveform of intrarenal artery or acceleration time >0.07 seconds | No | No | Yes |
NC-MRA and CE-MRA were reviewed separately by consensus of two readers (SS and MT) using a 3D workstation on picture archiving and communication system (PACS) screen.
The patient demographic data including sex, age, body weight, height, body mass index (BMI), and blood pressure were collected and analyzed. The number of renal arteries detected by each modality is shown as a percentage. The difference between the number of renal arteries detected by each modality was calculated by Pearson chi-square test using P < 0.05 as a measure of significance. Agreements between CDUS vs CE-MRA and between NC-MRA and CE-MRA were calculated using kappa with quadratic-weighted statistics (Kw) and 95% confident interval (CI). Examination time by each modality was analyzed by mean and standard deviation. The difference in examination times between CDUS and NC-MRA was analyzed using a paired t test with P < 0.05 defined as significant difference.
We recruited 42 eligible patients including of 19 male (45%) and 23 female (55%) patients. Their mean age was 45 ± 17.8 years (range 17–80 years). Their mean body weight was 69.7 ± 13.9 kg, height was 164 ± 8 cm, and body mass index (BMI) was 25.8 ± 4.2 kg/m2. All patients had hypertension with a mean systolic blood pressure/diastolic blood pressure of 155 ± 17.3 mmHg/89.4 ± 12.2 mmHg.
By CE-MRA, 5 patients (11.9%) with 6 segments of renal arteries had severe RAS (≥50% stenosis). Three patients (7%) with 5 segments of renal arteries had mild to moderate RAS (<50% stenosis), and no RAS was found in 34 patients (81%).
Thirty patients (71.4%) had a single bilateral renal artery and 12 patients (28.6%) had multiple renal arteries. Using CE-MRA as the reference standard, the total number of renal arteries was 102 with 306 segments. All renal arteries originated from the abdominal aorta. Variation in the number of renal arteries in our patients ranged from 2 to 6 arteries per patient or from 1 to 3 arteries per kidney.
CDUS showed 90 arteries (88%) and 258 segments (84.3%). NC-MRA demonstrated 97 arteries (95%) and 286 segments (93.5%). Twelve arteries were missed by CDUS and 5 arteries were missed by NC-MRA.
Per vessel, there was no significant difference between NC-MRA and CDUS to visualize renal arteries (P = 0.08). Per segment, NC-MRA had a significantly higher potential to visualize renal arteries compared with CDUS (P = 0.0004).
Grading of RAS by CDUS and NC-MRA compared with CE-MRA is shown in Tables 2 and 3. The agreement in degree of RAS determined by CDUS and NC-MRA compared to CE-MRA were good (Kw (CDUS) = 0.66 and Kw (NC-MRA) = 0.71) (Figure 1).
Color Doppler ultrasound and contrast-enhanced magnetic resonance angiography determination of the degree of renal artery stenosis per segment
| CDUS\CE–MRA | Normal | <50% stenosis | ≥50% stenosis | Total |
|---|---|---|---|---|
| Normal | 247 | 3 | 0 | 250 |
| <50% stenosis | 1 | 0 | 1 | 2 |
| ≥50% stenosis | 2 | 0 | 4 | 6 |
| Total | 250 | 3 | 5 | 258 |
Noncontrast-enhanced magnetic resonance angiography (NC-MRA) and contrast-enhanced magnetic resonance angiography determination of the degree of renal artery stenosis per segment analysis
| NC-MRA\CE–MRA | Normal | <50% stenosis | 50% stenosis | Total |
|---|---|---|---|---|
| Normal | 272 | 3 | 0 | 275 |
| <50% stenosis | 0 | 0 | 0 | 0 |
| ≥50% stenosis | 3 | 2 | 6 | 11 |
| Total | 275 | 5 | 6 | 286 |
Figure 1
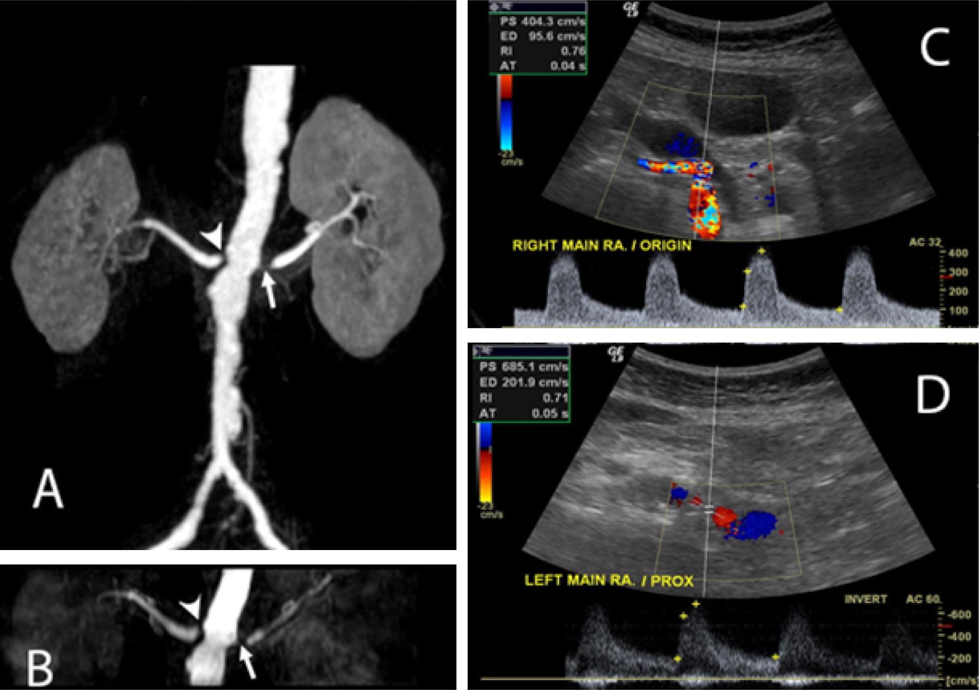
Severe bilateral renal artery stenosis was diagnosed in an 80-year-old patient. Arrow heads and arrows show severe renal artery stenosis at the proximal right and left main renal arteries in both contrast-enhanced magnetic resonance angiography (MRA) (A) and noncontrast enhanced MRA (B). Color Doppler ultrasound of right and left main renal arteries (C and D) showed aliasing color and high peak systolic velocities, indicating severe renal artery stenosis.

The mean examination time for CDUS was 47.5 ± 18.8 min. The mean examination time for NC-MRA was 21.2 ± 13.2 min. The examination time for NC-MRA was significantly shorter than for CDUS (P < 0.0001).
In patients with suspected RAS, renal function may be impaired. Therefore, CDUS and NC-MRA are preferred in the patients with decreased renal function. CDUS has been widely used from the past to the present to screen for RAS because of its relatively low cost and good accuracy. The sensitivity and specificity of CDUS range from 57%-100% and 67%-69%, respectively [10-13]. However, it is an operator dependent technique and examination takes a long time. Moreover, the patient’s cooperation is necessary for breath holding during scanning. NC-MRA is a relatively new technique that provides a white blood image of vascular structures without reliance on flow direction. Advantages of this technique are its short scan time, high signal-to-noise ratio, and high spatial resolution [14]. Using cardiac-and respiratory-triggering techniques can reduce respiratory and cardiac motion artifacts without a requirement for breath-holding.
We studied the advantages of NC-MRA compared with CDUS to screen for RAS using CE-MRA as a reference standard. We found that (1) NC-MRA visualized significantly more renal artery segments than CDUS (P = 0.0004), (2) NC-MRA and CDUS were in good agreement with CE-MRA when determining the degree of stenosis (Kw = 0.71 and Kw = 0.66, respectively), and (3) NC-MRA took a significantly shorter time for examination than CDUS (P <0.0001).
Multiple renal arteries are a common variation found in 25% of the normal population. The accessory renal artery is usually of small caliber and originates from abdominal aorta to iliac artery. RAS in an accessory artery can cause hypertension. The renal artery ostium is the most common location for RAS in atherosclerotic patients, but mid and distal segments are more common in patients with FMD. Examinations should be completed for all renal artery segments. NC-MRA visualizes the renal artery better than CDUS. A major limitation to demonstrating renal arteries in CDUS is bowel gas interference. The renal arteries not visualized by NC-MRA in our study were obscured by an inadequate craniocaudal field-of-view. Therefore, the accessory renal artery arising outside the scan area could not be identified. In patients who had an inconsistent respiratory rhythm or irregular heart rate, the quality of the image was reduced.
The good agreement in RAS grading was found between CDUS and CE-MRA and between NC-MRA and CE-MRA meaning that CDUS and NC-MRA are comparable with CE-MRA for screening for RAS. Consistent with other studies, NC-MRA showed a good correlation with CE-MRA for grading RAS in the threshold for no stenosis, <50% stenosis, and ≥50% stenosis [15, 16]. The high accuracy of NC-MRA for evaluating RAS is well described. The sensitivity, specificity, negative predictive value, and positive predictive value of NC-MRA ranged from 72.8%-100%, 82%-99%, 88%–100%, and 57-93%, respectively [6, 8, 15, 16]. Some studies found that NC-MRA had a tendency to overestimate stenosis [15, 16]. The reason is related to poor signal intensity in the segment examined. In our study, stenosis in 5/ 286 renal artery segments (1.7%) were overestimated by NC-MRA.
The examination time for NC-MRA was significant shorter than for CDUS. Both CDUS and NC-MRA require patient cooperation to obtain good image quality in a short scan time. However, compared with CDUS, NC-MRA does not depend on operator skill, body habitus of the patient, breath holding, or renal artery anatomy.
The benefits of this study are that both NC-MRA and CDUS were found comparable with CE-MRA for screening for RAS, therefore NC-MRA and CDUS can be used instead of CE-MRA in patients who have renal impairment. NC-MRA is recommended for screening for RAS in patients with renal impairment, large body habitus, unable to comply with breath holding requirements, or known to have multiple renal arteries. The additional benefit of NC-MRA compared with CDUS is that it can be used to screen for small adrenal adenoma or adrenal hyperplasia that can cause hypertension. CDUS better than NC-MRA for evaluating early renal parenchymal disease or alteration of renal function using hemodynamic parameters such as high resistive index.
Limitations of our study include that despite the use of CE-MRA as a reference standard; it cannot replace invasive angiography to evaluate RAS. CE-MRA usually overestimates the degree of RAS compared with angiography. Second, the incidence of severe RAS that need further management in our study was small, only 12% of patients. Third, CE-MRA and NC-MRA determine the degree of RAS by using anatomical change, whereas the degree of stenosis in CDUS uses the criteria modified by hemodynamically change. These reasons can cause an irrelevant degree of stenosis.
NC-MRA is a noninvasive imaging modality that needs no contrast media for evaluating RAS and can demonstrate a significantly larger number of renal artery segment than CDUS in a significantly shorter examination time. Both CDUS and NC-MRA are comparable CE-MRA for screening for RAS.