
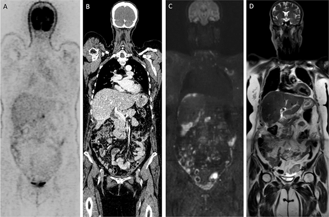
Figure 1
Patient with diagnosis of ovarian cancer: (A, B) Time-of-flight FDG-PET/CT depicts limited number of peritoneal metastases. (C, D) Contrary, WB-DWI/MRI shows diffuse nodular and confluent carcinomatosis visible as b1000 hyperintense lesions on the (C) DWI-image.
