The single most important prognostic factor in the treatment of ovarian cancer is resection to no residual tumour at debulking surgery. This can be achieved either by primary debulking surgery followed by adjuvant chemotherapy or, in case of metastases beyond surgical reach at time of diagnosis, by neo-adjuvant chemotherapy (NACT) with interval debulking surgery followed by adjuvant chemotherapy. Importantly, NACT and interval debulking can only be reserved for advanced stage IIIC (metastases over the entire peritoneal cavity with largest lesion >2 cm) and IVB (solid distant metastases). Therefore accurate identification of tumour stage and disease spread is extremely important to determine the type of treatment in ovarian cancer and imaging work-up has a major role to depict metastases in order to assess the ability for resection to no residual tumour.
The workhorse, computed tomography (CT) tends to underestimate disease extent, potentially exposing patients to unsuccessful or more complicated surgery than expected preoperatively. This problem is not always solved by Fluorine-18-Fluorodeoxyglucose Positron Emission Tomography (FDG-PET/CT). While FDG-PET/CT allows better identification of nodal metastases at distant sites, its limitations in spatial resolution can inhibit exact assessment of peritoneal disease spread.
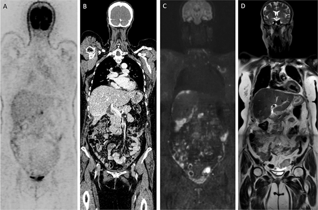
Magnetic resonance imaging (MRI) established its clinical importance by its superior contrast resolution and excellent soft tissue differentiation, beneficial for tumour detection, characterization, staging, and response assessment. Nowadays, MRI integrates novel functional imaging sequences diffusion-weighted imaging (DWI). DWI characterizes tumours characterization by probing differential water molecule displacements based on cellular microstructure differences. High tumour-to-background contrast is generated by combining heavy diffusion-weighting with background tissue signal suppression and the application of sequences tailored for whole body (WB) applications make DWI extremely useful for tumour staging. Studies have shown similar performance for WB-DWI/MRI to FDG-PET/CT for detecting retroperitoneal lymphadenopathy and distant metastases while WB-DWI/MRI shows better sensitivity than CT and FDG-PET/CT for peritoneal staging (Figure 1). As such WB-DWI/MRI enables better identification of tumoral infiltration of surgically critical sites including mesenteric root infiltration, small bowel, colon carcinomatosis, and unresectable distant metastases resulting in better prediction of (in)complete resection in patients eligible for debulking surgery.

Figure 1
Patient with diagnosis of ovarian cancer: (A, B) Time-of-flight FDG-PET/CT depicts limited number of peritoneal metastases. (C, D) Contrary, WB-DWI/MRI shows diffuse nodular and confluent carcinomatosis visible as b1000 hyperintense lesions on the (C) DWI-image.
This talk aims to highlight the rationale for using WB-DWI/MRI in ovarian cancer, technical requirements, interpretation criteria and pitfalls, indications, and clinical applications.
Competing Interests
The authors have no competing interests to declare.
