Non-invasive imaging is a critical step for the diagnosis, prognostication and selection of the optimal treatment strategy in patients with suspected or known coronary artery disease (CAD). The four non-invasive imaging modalities that can be employed for the assessment of CAD in clinical practice are either functional, such as stress echocardiography, stress perfusion imaging using cardiovascular magnetic resonance (CMR), single photon emission tomography (SPECT) or anatomical - coronary computed tomography angiography (CCTA)1. Current guidelines recommend that the initial selection of the non-invasive diagnostic test should be done based on the local expertise and the availability of the tests2.
Stress-perfusion CMR has shown a high diagnostic accuracy in patients with suspected or known CAD, including when compared with the current gold standard, the invasive measurement of fractional flow reserve (FFR)3,4,5,6,7,8,9.
Although this technique is being increasingly used in daily practice for ischemia detection, it is the least widely available among the other non-invasive investigations, even in high-income western countries1,2,3,4,5. A very recent European Association of Cardiovascular Imaging (EACVI) survey reported that stress perfusion CMR was available in only 46% of the interrogated centers in Europe1. The same survey reported that stress perfusion CMR was requested in only in 4% of the patients with suspected CAD and in 16% of patients with established CAD and recurrent chest pain. However, when information regarding myocardial viability is needed, CMR is the most commonly used technique (48%), followed by nuclear stress perfusion (SPECT or PET) imaging (22%) and stress echocardiography (16%)1.
Stress perfusion CMR can be reported by either radiologists or cardiologists or by a multidisciplinary team, according to local guidelines. Recent data show that stress CMR was reported by a multi-disciplinary team in 43% of centers, and overall cardiologists were involved in reporting CMR in 84% of centers1.
This suggests, there is significant variability regarding the clinical indications and reporting of stress perfusion CMR around the world.
The technique has become recently available in Romania and our institution is one of the centers in the country where stress perfusion CMR is routinely performed. As practice varies across countries and regions, we set out to report our practice of stress-perfusion CMR, the first report of Romanian experience in this field.
This is a retrospective cohort of patients who underwent multiparametric CMR in Emerald Medical Center, Bucharest, Romania between (02.01.2018 and 01.12.2020). We reviewed the clinical files and CMR reports of patients who underwent stress perfusion CMR. All patients provided written informed consent.
First-pass perfusion imaging involves rapid scanning of the heart during contrast infusion to observe the dynamics of contrast bolus as it enters the heart chambers and then enhances the myocardium10. The acquisition sequences should be, therefore, very fast, with a temporal resolution high enough to allow image creation of the prescribed slices for every heart cycle, even for the high heart rates encountered in stress imaging. It also must allow very good tissue contrast to observe any perfusion defects11.
We perform stress imaging on a 1.5T Siemens machine (Siemens, Erlangen, Germany), using a standard body coil with prospective ECG triggering.
We use a 2D steady state free precession (trufi) sequence, optimized with a saturation recovery preparation pulse to enhance contrast between hypoperfused ischemic myocardium and normal perfused myocardium. The field of view and matrix size are adjusted according to the patient size maintaining a constant resolution, with pixel size of 2x2 mm. This sequence allows imaging of three 8 mm thick short-axis slices (basal, mid and apical) for every heart cycle, scanned continuously for 40–60 seconds during adenosine injection. If a very high heart rate is encountered (above 120–130 bpm), half Fourier techniques are employed. The whole imaging acquisition is performed with free breathing, with built-in algorithm for motion correction.
All patients were advised to refrain from caffeine (coffee, tea, caffeinated beverages or foods - e.g., chocolate, caffeinated medications), theophylline, dipyridamole, for 12–24 hours prior to the examination due to potential of interaction with the stress agent. All other medication (including beta-blockers and dihydropyridines) was allowed.
The CMR stress-perfusion study has the purpose of identifying stress-induced myocardial ischemia, but also to detect myocardial infarcts and assess viability and to provide information about the cardiac contractility and overall function. A schematic depiction of our standard stress perfusion CMR protocol is shown in Figure 1. We have also included, in all studies, tissue characterization sequences such as T1 and T2 mapping and edema sensitive techniques (STIR).
Figure 1
Schematic depiction of our standard stress perfusion CMR protocol.

The sequences order is tailored such as to optimize tissue contrast and time thus ensuring diagnostic accuracy and patient comfort.
At the beginning of the study, we acquire the localizing and scout images that allow correct localization of the heart and correct prescribing of the cardiac imaging planes. Also, we perform those sequences that need to be acquired before contrast injection, such as T1 and T2 mapping and STIR images.
The next step is stress imaging. It involves continuous infusion of the vasodilator agent – adenosine – on an infusion pump with a rate of 140 μg/kg body weight/min. for four minutes12. During this time the patient is monitored for adenosine-related symptoms and heart rate increase. In case the patient reports no symptoms, and the heart rate does not increase, the rate of adenosine infusion is progressively increased up to 210 μg/kg body weight/min.
When adequate stress is achieved after four minutes, a bolus of 0.05 mmol/kg body weight of contrast agent is administered via an iv cannula inserted in the other arm at a 3–5 ml/sec rate, and the perfusion imaging sequence is started in order to acquire the 3 short axis slices. We used a macrocyclic contrast agent – gadobutrol (Gadovist©) in all patients.
Rest-perfusion imaging is performed in the same way, using the same dose of contrast, after 10–15 minutes to allow contrast wash-out from the myocardium. In the meantime, we acquire functional cine sequences in short-axis and trans-axial planes for biventricular functional calculations. After rest-perfusion a top-up dose of contrast is administered for optimal delayed contrast enhancement imaging seven to ten minutes later (Figure 1).
All CMR examinations were reported by a multi-disciplinary team composed of an experienced radiologist and a cardiologist with level 3 accreditation in cardiovascular magnetic resonance by European Association of Cardiovascular Imaging.
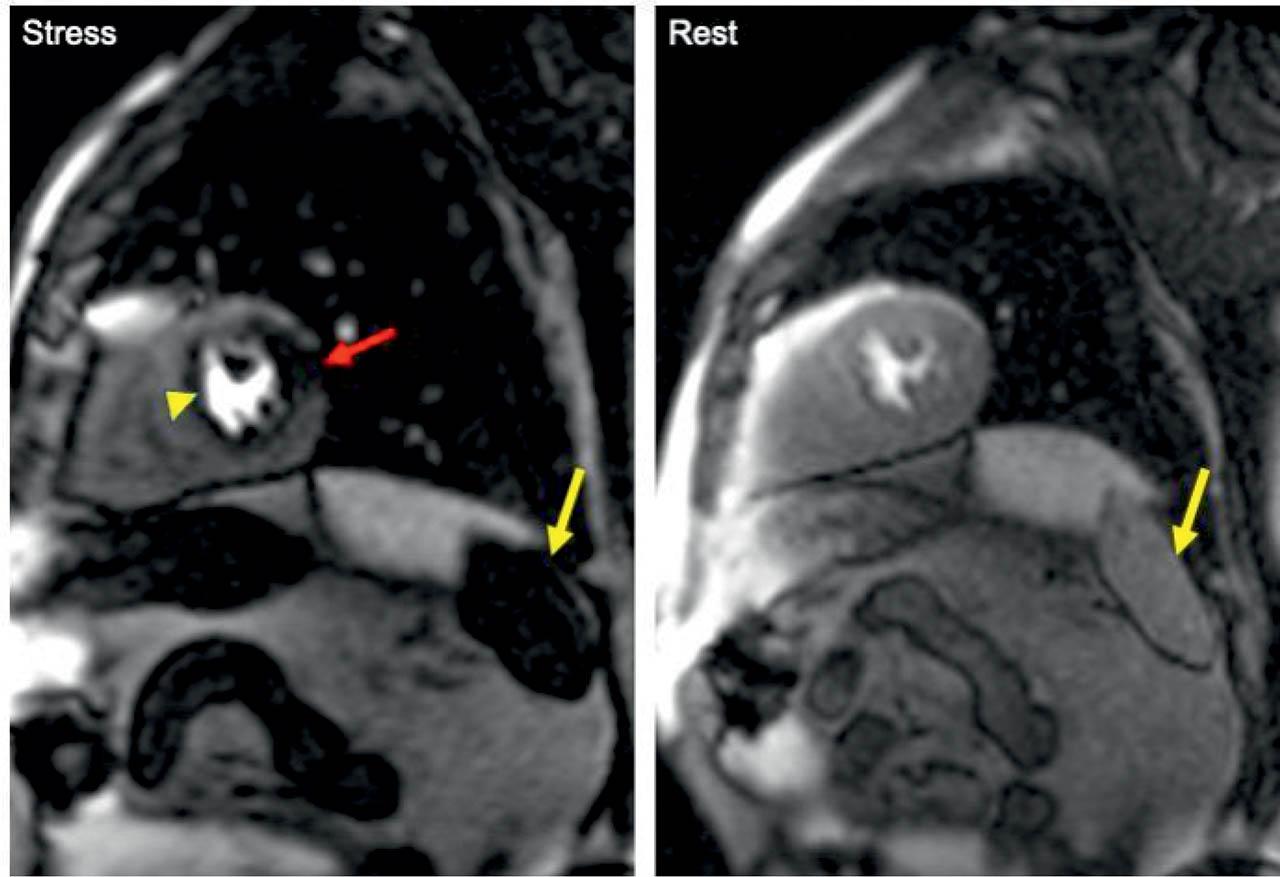
An adequate vasodilatory stress was defined when the patient experienced adenosine related symptoms (flushing, headache, chest pain/pressure palpitations, and breathlessness) and an increase in heart rate by >10 bpm. Additionally, the efficiency of the vasodilatory stress was verified with the splenic switch-off (SSO) phenomenon13 (Figure 2).
Figure 2
Short-axis mid-ventricular slices acquired during stress and rest, showing the splenic switch-off phenomenon, defined as a visible decrease in splenic signal intensity during adenosine stress as compared to rest (yellow arrow). During adenosine-induced hypotension, the splenic blood flow is reduced presumably due reactive sympathetic vasoconstriction. During stress, a perfusion defect is seen on the lateral wall (red arrow). This defect is no longer seen on rest perfusion acquisition. The yellow arrowhead indicates a dark-rim artifact which is the most common artifact seen in stress perfusion CMR.

Hypoperfusion (ischaemia) was assessed by visual comparison of stress and rest CMR perfusion scans (16 segments of the 17 segment AHA/ACC model, excluding the apical cap segment)8.
Ischaemic cardiomyopathy (ICM) was defined as typical subendocardial scar confined to a specific coronary vascular territory with LVEF reduction, or systolic dysfunction in patients with known significant coronary artery disease, in the absence of typical ischaemic scar. NICM was defined as LV dilatation or dysfunction in the absence of typical ischaemic scar, with or without fibrosis of non-ischaemic pattern. Non-ischaemic scar was defined as mid-myocardial or sub-epicardial focal fibrosis. Normal CMR exam was defined as normal biventricular dimensions and function, no evidence of myocardial fibrosis and no other structural anomalies detected on valves, atria or pericardium. Finally, CMR with other changes designated those examinations without clear evidence of ICM or NICM, but with other structural alterations such as atrial enlargement, valvular heart disease, left ventricular hypertrophy, congenital heart disease or pericardial effusion.
Between January 2018 and December 2020, 1036 CMR examinations were performed in our institution. Among these, there were 121 stress perfusion CMR examinations in 120 patients (mean age 57 ± 11 years, 79.1% men); one patient underwent 2 stress CMRs at 1 year interval. Forty percent of them were referred from outpatient clinics, while the majority received the stress test indication from a hospital facility.
Complete data regarding cardiovascular risk factors were available for 75 patients, and many of them had more than 1 risk factor (median number of aggregated risk factors = 2) (Table 1).
Clinical end electrocardiography data of the analyzed patients
| Demographics (n=120) | |
| Age, years | 57 ± 11 |
| Men | 95 (79.1%) |
| BMI (kg/m2) | 28.9 ± 3.6 |
| Outpatient referral | 48 (40%) |
| Cardiovascular risk factors (data available for 75 patients) | |
| Hypertension | 53 (70.67%) |
| Hypercholesterolemia | 57 (76%) |
| Diabetes | 19 (25.33%) |
| Tobacco use | 33 (44%) |
| Median number of aggregated risk factors | 2 |
| Cardiovascular history | |
| Previous non-invasive ischaemia testing | 28 (23.33%) |
| Previous myocardial infarction | 51 (42.5%) |
| ICA before CMR | 77 (64.16%) |
Number of affected vessels on ICA
|
|
| History of PCI | 40 (33.3%) |
| History of CABG | 7 (5.83%) |
| ECG at the time of CMR | |
| Sinus rhythm | 113 (94%) |
| Atrial fibrillation | 7 (6%) |
| Extrasystoles | 8 (6.66%) |
| Narrow QRS | 106 (88.33%) |
| LBBB | 5 (4.16%) |
| RBBB | 9 (7.5%) |
Data are presented as numbers (percentage), mean ± standard deviation or as a median where stated. ICA, invasive coronary angiography. CMR, cardiovascular magnetic resonance. PCI, percutaneous intervention. CABG, coronary artery bypass grafting, LBBB, left bundle branch block, RBBB, right bundle branch block
Fifty-one patients had a history of MI (42.5%) while 77 patients were assessed by invasive coronary angiography (ICA) before the CMR stress test (64.16%). The invasive assessment showed normal coronary arteries in 6 patients (7.79%), one-vessel disease in 23 patients (29.87%), two-vessels disease in 22 patients (28.57%) and three-vessels disease in 26 patients (33.76%), respectively (Table 1).
Forty-seven patients (39.16%) had a history of coronary revascularization, 40 (33.3%) by percutaneous intervention (PCI) and 7 (5.83%) by coronary artery by-pass grafting (5.83%).
Previous non-invasive testing for CAD was performed in 28 patients (23.33%) before the stress CMR. The most frequently employed non-invasive test was the ECG exercise test (20 patients, 16.66%), while some of the patients underwent CCTA, SPECT or exercise echocardiography, with a minority of patients being assessed with 2 different non-invasive imaging modalities before the CMR stress test.
The clinical indications for stress perfusion CMR were classified in 5 main categories, as follows:
Detection of ischaemia in patients with history of MI or previous coronary revascularization, 51 patients (42.5%).
Detection of functional significance of coronary intermediate lesions, 37 patients (30.83%).
Detection of ischaemia in patients with risk factors or atypical chest pain, 36 patients (30%).
Ventricular arrhythmia substrate detection, 5 patients (4.16%).
Assessment of the etiology of dilated cardiomyopathy (DCM), 4 patients (3.33%) (Table 2).
Clinical indications for which patients underwent stress perfusion CMR
| Clinical indication | Total (n=120) | Positive test | Negative test |
|---|---|---|---|
| Detection of ischaemia in patients with risk factors or atypical chest pain | 36 (30%) | 3 (8.33%) | 32 (88.88%) |
| Etiology of DCM | 4 (3.33%) | 1 (25%) | 3 (75%) |
| Detection of ischaemia in patients with history of MI or previous revascularisation | 51 (42.5%) | 11 (21.56%) | 40 (78,43%) |
| Detection of functional significance of intermediate lesions | 37 (30.83%) | 9 (24,32%) | 27 (72,97%) |
| Ventricular arrhytmia substrate detection | 5 (4.16%) | 0 | 5 (100%) |
Data are presented as number (percentage). DCM, Dilated cardiomyopathy. MI, myocardial infarction
The most common final diagnosis of the CMR examinations was ischaemic cardiomyopathy (51 patients, 42.5%), while non-ischaemic cardiomyopathy was diagnosed in 8 patients (6.66%) and myocardial ischaemia without other structural changes was diagnosed in 3 patients (2.5%). A completely normal CMR examination was encountered in 24 patients (20%), while 34 patients (28.33%) had other abnormalities on the examination (atrial dilatation, pericardial effusion, valvular heart disease, left ventricular hypertrophy, congenital heart disease or non-ischaemic scars without systolic dysfunction) (Figure 3).
Figure 3
The final diagnosis after stress perfusion cardiovascular magnetic resonance.

In 19 patients (15.83%), CMR contributed to a major change in diagnosis, such as: diagnosis of unknown previous MI, LV thrombus or myocarditis (Figure 4).
Figure 4
Stress Perfusion CMR in a 61-year-old patient with intermediate lesions on invasive coronary angiography, without a clinical history of myocardial infarction. Perfusion imaging acquired during adequate vasodilator stress (upper row) show a large perfusion defect in the right coronary (RCA) territory (basal infero-septum, inferior and infero-lateral walls, mid inferior and infero-lateral walls and apical inferior segment) (yellow arrowhead). The rest acquisition (middle row) shows no evidence of perfusion defect. Late Gadolinium imaging (lower row) shows a small subendocardial scar (hyperenhancement) in the RCA territory (red arrowheads). Of note, the stress perfusion defect extends well beyond the myocardial scar.

During CMR examination, 113 patients (94%) were in stable sinus rhythm, while 7 patients (6%) were in atrial fibrillation. Eight patients (6.66%) had extrasystoles during image acquisition. The majority of patients had narrow QRS complexes (106 patients, 88.33%) while 5 patients (4.16%) had left bundle branch block (LBBB) morphology and 9 patients (7.5%) had right bundle branch block (RBBB) morphology.
Artifacts were present in 4 CMR examinations (3.33%). In 2 patients the artifacts resulted from ventricular extrasystoles, in 1 patient from motion artifacts, and in 1 patient from the cardiac implantable electronic device. Notably, patients in atrial fibrillation had optimal perfusion images, without any artifacts which conducted to straight forward interpretation.
In 34 patients (28.33%), extracardiac findings were reported, such as: kidney or liver cysts, mediastinal adenopathy, pleural fluid, hiatal hernia, solitary pulmonary nodule.
The average indexed LV end-diastolic volume was 92,68 ± 29.13, LV ejection fraction was 56.87 ± 13.52 and 44 patients (36.66%) had LV wall motion abnormalities on CMR. Only 2 patients had areas of myocardial oedema, as they had a history of recent myocardial infarction (Table 3).
Selected CMR findings
| General CMR findings | |
| Artifacts | 4 (3.33%) |
| Extracardiac findings | 34 (28,33%) |
| Efficient vasodilatory stress | 113 (94.16%) |
| Positive stress test | 21 (17.5%) |
| LV dimensions and function | |
| LV motion abnormalities | 44 (36,66%) |
| LV EDV (ml) | 188.35 ± 59.09 |
| LV EDVi (ml/m2) | 92,68 ± 29.13 |
| LV ESV (ml) | 87.12 ± 55.34 |
| LV SV | 100.78 ± 24.78 |
| LV EF | 56.87 ± 13.52 |
| LV myocardial mass (g/m2) | 56.74 ± 15.21 |
| Tissue characterization | |
| Oedema | 2 (1.66%) |
| Native T1 (ms) | 982.60 ± 151.20 |
| ECV (%) | 25.71 ± 2.51 |
| T2 (ms) | 46.06 ± 2.56 |
| Characterization of focal scars | |
| Scar present | 63 (52.5%) |
| Ischaemic scar | 49 (40.83%) |
| Non-ischaemic scar | 14(11.66%) |
Number of scars
|
|
Data are presented as number (percentage) or as mean ± standard deviation. LV, left ventricle. EDV, end-diastolic volume. ESV, end-systolic volume. SV, stroke volume. EF, ejection fraction. ECV, extracellular volume fraction.
The vasodilatory stress was adequate in 113 patients (94.16%), while the others did not fulfill the clinical criteria of maximal vasodilatation. Of note, in one patient, the clinical criteria of adequate stress were not met, but the images showed a clear splenic switch-off phenomenon; in this patient the test was considered equivocal.
During adenosine infusion patients experienced the characteristic symptoms but no serious side-effects (ie. no transient AV block, myocardial infarction or bronchospasm).
A positive stress test was noted in 21 patients (17.5%) (Figure 5). When the studies with inadequate vasodilator stress were excluded from the analysis the percentage of positive stress examinations increased to 18.58%. The majority of the positive stress patients were referred to CMR because they had a history of MI or previous revascularization or had intermediate lesion on ICA. Three of the patients without history of CAD had an abnormal CMR stress test (8.33%) (Table 3).
Figure 5
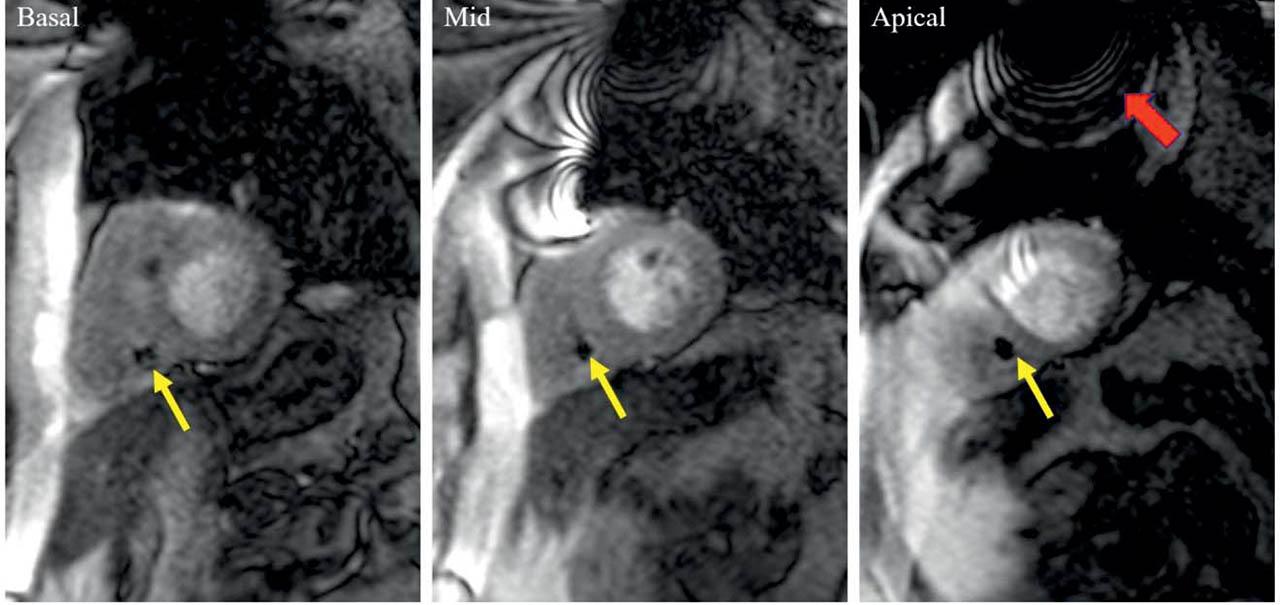
Stress perfusion CMR in a 70-year-old patient with a history of complex PCIs. His initial culprit lesion was a severe left main stenosis for which he was revascularized with a 2-stent technique. After one year, the stent on circumflex artery (Cx) had a severe ostial restenosis with chronic occlusion of the large ramus intermedius (RI). The Cx lesion was dilated with a DES but the RI could not be opened. Basal, mid and apical short axis slices acquired during maximal vasodilatory stress showing a perfusion defect in 3 myocardial segments: basal anterior, mid lateral and apical lateral wall respectively (yellow arrows). The topography of hypoperfused myocardium is compatible with the territory of the occluded intermediate ramus.

Myocardial scars were detected on LGE imaging in 63 patients (52.5%). Of these, 49 patients (40.83%) had ischaemic scars, while 14 patients (11.66%) had nonischaemic scars. The majority of patients had a single scar (49 patients, 77.77%) while 11 patients (17.46%) had 2 scars and 3 patients (4.76%) had 3 scars (Table 3). Of note, only 1 patient had a combination of ischaemic and non-ischaemic scars.
Non-invasive detection of myocardial ischaemia is a permanently evolving field of cardiac imaging, with major recent technical improvements aiming to accurately diagnose CAD in order to avoid unnecessary ICAs and coronary revascularizations. Stress perfusion CMR is one of the imaging techniques with the highest diagnostic accuracy, but its implementation varies around the world1.
To the best of our knowledge, this is the first report of a retrospective cohort of patients who underwent stress perfusion CMR in Romania.
Non-invasive imaging is being increasingly used in our country for diagnosing CAD, with CCTA, exercise echocardiography and SPECT being more widely available than CMR. Taking into account the lower availability of MRI scanners, high costs and the lack of adequately trained personnel, stress perfusion CMR is currently scarcely performed in Romania as opposed to high-income countries, and our experience may be considered the start-up for future development of this technique in our country.
In our cohort, most of the patients that were referred for stress CMR had already been diagnosed with CAD, with either previous MI or coronary revascularization, or intermediate lesions on ICA for which the functional significance was questioned. Indeed, stress CMR can return adequate diagnostic information in patients who have rest ECG changes or wall motion abnormalities on rest echocardiography. A much lower percentage of patients underwent stress CMR because they had cardiovascular risk factors or atypical angina, but without history of CAD. Of note, in a small group of patients, we performed stress CMR in order to diagnose the etiology of DCM or the structural substrate of ventricular arrhythmias. These are valid indications for stress CMR, as the technique can offer a one stop shop information by excluding CAD, identifying non-ischaemic substrate for ventricular arrhythmia or diagnosing the etiology of DCM, all with a single examination.
Artifacts such as those induced by arrhythmia, motion or implanted CIEDs may hamper adequate image interpretation in stress CMR imaging. However, novel techniques such as arrhythmia rejection and free-breathing motion-corrected algorithms contribute to acquisition of satisfactory images which can be reliably interpreted. As such, adequately rate-controlled arrhythmia should not represent a contraindication for stress CMR. In our study, all the datasets acquired in patients with arrhythmias returned optimal images without significant artifacts.
Cardiac implantable electronic devices do not represent nowadays an absolute contraindication for MRI, provided that adequate setting of the device is performed before and after the examination14,15. Moreover, recent technical developments such as wideband myocardial perfusion pulse sequences permit the acquisition of images eliminating most of the significant metallic artifacts that may be associated with intracardiac leads or pulse generator16. In our cohort, one of the patients who underwent stress CMR had a dual chamber pacemaker implanted for intermittent atrio-ventricular block. The images acquired in in this patient had minor artifacts which did not precluded reliable interpretation of perfusion images (Figure 6).
Figure 6
Stress perfusion CMR in a 60-year-old patient with intermediate lesions on invasive coronary angiography, with a dual chamber pacemaker implanted for intermittent AV block. During CMR examination, the pacemaker was set in DOO mode, 80 bpm. Basal, mid and apical short axis slices show the pacemaker right ventricular lead (yellow arrow) which does not induce any metallic artifacts. However, the pulse generator (red arrow), induces a significant artifact which precludes the optimal visualisation of the apical anterior segment only. Overall, the image quality permits reliable interpretation of the stress test.

Inadequate coronary adenosine response is a potential cause for false negative ischemia testing13. Clinical parameters such as heart rate increase by 10 bpm and/or systolic blood pressure dropping by >10 mmHg are used to define a maximal vasodilatory stress. In our practice, in case these cut-off values were not met during the 140 μg/kg body weight/min adenosine infusion rate, we progressively increased the adenosine infusion rate to a maximum of 210 μg/kg body weight/min, in order to avoid under-stressing. Even when using the maximal adenosine infusion rates, 7 patients from our cohort did not meet the maximal stress criteria, and no information regarding myocardial ischaemia could be provided for these patients.
When the adequacy of stress response to adenosine is questionable, the SSO phenomenon may be employed to define adequate vasodilator stress. This is defined as a visible decrease in splenic signal intensity during adenosine stress as compared to rest (Figure 2). During adenosine-induced hypotension, the splenic blood flow is reduced presumably due reactive sympathetic vasoconstriction13. In our cohort, one of the patients who did not meet the clinical criteria for adequate adenosine response, had a reliable SSO appearance, however, for safety reasons, the test was reported as equivocal.
Stress perfusion CMR is generally considered safe, even when performed early after acute MI4,6,7. None of the patients in our cohort experienced serious adverse effects during adenosine infusion. Patients experienced the usual adenosine related symptoms but in none were the symptoms severe enough to discontinue the scan. One patient developed atrial fibrillation during examination, but he immediately returned to sinus rhythm after finishing the examination. We implemented from the beginning the dual cannula technique, in which adenosine and contrast are injected separately one in each arm, resulting in no risk of contrast and saline bolus to push the adenosine bolus into the heart. Using this technique, we report no episodes of transient AV block or bronchospasm and none of the patients did require aminophylline administration.
Twenty-one patients (18.58%) in our cohort had an abnormal stress CMR test. Most of these patients were already diagnosed with CAD. A recent study reported a prevalence of positive stress examinations of 33% in patients with known or suspected CAD5. This discrepancy may be due to the fact that we included stress scans that were performed for other indications such as detection of arrhythmic substrate or etiology of DCM in patients with otherwise low probability of CAD.
The landmark CE-MARC study has established CMR’s high diagnostic accuracy in CAD and CMR’s superiority over SPECT8. Since then, several studies have reported the diagnostic accuracy of stress CMR, the most recent reporting a sensitivity of 78,9% and specificity of 86.8%, with an area under the curve of 0.871, for detection of ≥70% coronary stenosis3.
Among the non-invasive imaging techniques, CMR has the advantage of providing information on myocardial scars either ischaemic or non-ischaemic (Figure 4). Moreover, myocardial viability in infarcted territories may be appreciated by means of ischaemic scar transmurality. In our cohort 49 patients (40.83%) had ischaemic scars, and the concomitant information on viability contributed to the best decision for subsequent revascularization. In this context, CMR is the preferred imaging modality when concomitant information on myocardial ischaemia and viability are needed1.
There are several limitations of this study, which necessarily inform interpretation of these results. Most importantly, this is a single-center, retrospective study. As the availability of stress perfusion CMR will increase in our country, a national registry will be able to provide up to date information on the practice of this technique throughout the country.
This is the first report of the practice of stress perfusion CMR in Romania. Although this imaging modality is currently not widely available in our country, we advocate for its feasibility, high diagnostic accuracy and safety. Our experience may encourage other institutions in the country to implement this technique in their routine armamentarium for non-invasive CAD assessment.