Have a personal or library account? Click to login
Neurofibromatosis 1-Noonan Syndrome Associated with Pulmonary Stenosis and Hypertrophic Cardiomyopathy Cover

Neurofibromatosis 1-Noonan Syndrome Associated with Pulmonary Stenosis and Hypertrophic Cardiomyopathy

Open Access
|May 2022

Full Article

INTRODUCTION

Neurofibromatosis-Noonan syndrome (NFNS) is a RASopathy, considered a variant of neurofibromatosis type 1 (NF1) characterized by the combination of features of NF1 and Noonan syndrome (NS)1. As these three entities have significant phenotypic overlap, molecular genetic testing is often necessary for a correct diagnosis; the management of patient with NFNS can be a true challenge, as there are a lot of possible associations, including important cardiovascular involvement.

CASE PRESENTATION

A 20-year-old female presented with dyspnea on mild-to-moderate exertion, atypical chest pain and high blood pressure values (maximum systolic blood pressure 140 mmHg). The patient is known since birth with a plurimalformative syndrome: NFNS (a clinically established diagnosis, with normal karyotype and without genetic diagnosis at birth). She has relevant family history: her father and his sister may have suffered from the same disease (also, no genetic diagnosis has been established). The patient's diagnosis was sustained by a magnetic resonance imaging of the spine that showed symmetrical, bilateral brachial plexus nerve roots hypertrophy, considered plexiform neurofibroma. Associated congenital heart defects were diagnosed at birth: pulmonary valve stenosis and infundibular pulmonary stenosis. At the age of 1 the patient underwent surgical correction of the cardiac defects: pulmonary commissurotomy, infundibular resection with enlargement of the right ventricle (RV) outflow tract with an autologous pericardial patch. Also, in the operative notes there is mentioned a resection with biopsy of a „tumor” in the apex of the left ventricle (LV), without further details or biopsy result. Moreover, the patient has multiple extracardiac comorbidities: asthma, chronic rhinitis, autoimmune thyroiditis, hypogonadotropic hypogonadism, corrected convergent strabismus.

Upon current admission, the clinical examination revealed disproportionate dwarfism, macrocrania, low-set ears, hypertelorism, café au lait spots, axillary and inguinal freckling, pectus carinatum, thoracic kyphoscoliosis, left valgus knee and foot. There was a split S2 heart sound, a grade III/VI systolic murmur that was heard with maximum intensity in the pulmonary area and radiated over the entire precordium and a diastolic murmur in the pulmonary area. Resting ECG showed sinus rhythm, normal QRS axis, minor right bundle branch block and inverted T waves in DI, aVL, V2–V6 (Figure 1). Laboratory studies revealed a BNP level of 186 pg/ml, otherwise normal values. Transthoracic echocardiography showed severe pulmonary regurgitation post commissurotomy, with residual large pulmonary stenosis (Figure 2); the right chambers had normal size and function (Figure 3). Left ventricular apical hypertrophy was noted, with systolic obstruction at this level, with normal LV diameters and volumes, normal global LV ejection fraction, but with paradoxical apical strain and LV diastolic dysfunction (Figure 4, Figure 5) and thus a diagnosis of apical hypertrophic cardiomyopathy was considered.

Figure 1

ECG: sinus rhythm, normal QRS axis, minor right bundle branch block and inverted T waves in DI, aVL, V2–V6.

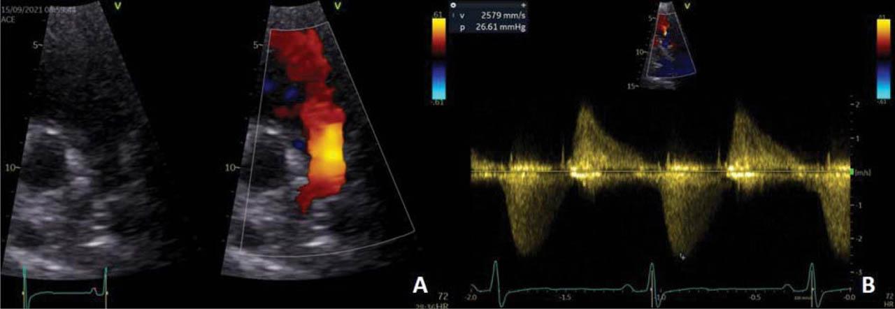
Figure 2

Transthoracic echocardiography modified parasternal short axis view. (A) 2D and color Doppler examination: large colour-flow pulmonary regurgitation jet width suggestive for severe pulmonary regurgitation. (B) CW Doppler examination: dense, steep deceleration of pulmonary regurgitation jet CW signal, with a pressure half time of 98 ms, suggestive for severe pulmonary regurgitation; peak antegrade velocity 2.6 m/s, peak antegrade gradient 26 mmHg, suggestive for large residual pulmonary stenosis.

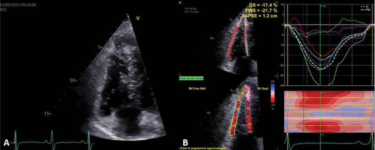
Figure 3

(A) Transthoracic echocardiography, apical RV-focused: normal size RV (B) Transthoracic 2D speckle-tracking echocardiography: slightly reduced RV longitudinal strain.

Figure 4

Transthoracic echocardiography, apical 2-chamber view, 2D examination: left ventricular apical hypertrophy in diastole (A) with systolic obstruction at this level (B).

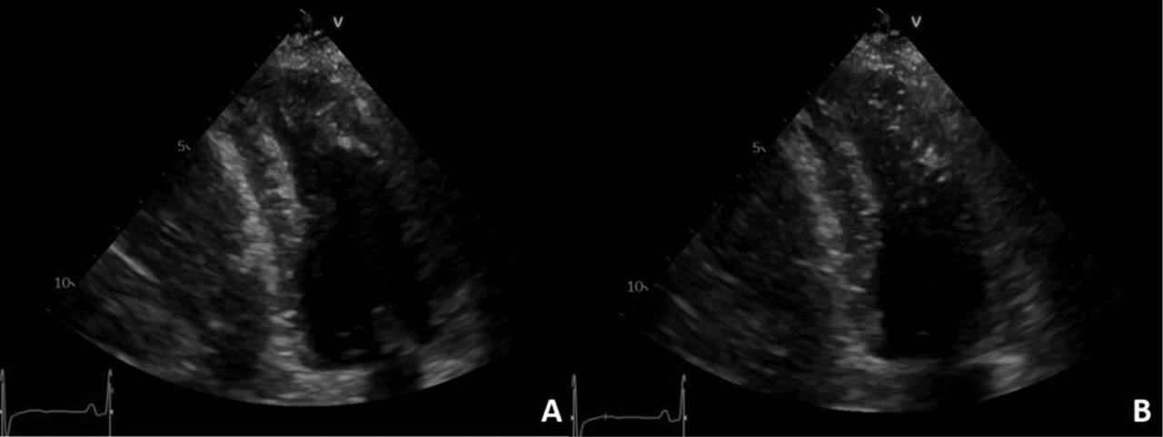
Figure 5

(A) Transthoracic echocardiography, short-axis view of the apex, 2D examination: left ventricular apical hypertrophy. (B) Transthoracic 2D speckle-tracking echocardiography: paradoxical strain of the left ventricular apex suggestive of hypertrophic cardiomyopathy.

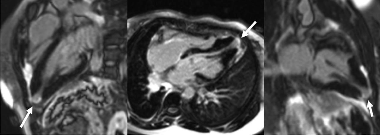
In this context, a cardiac magnetic resonance exam was performed, confirming the presence of apical hypertrophic cardiomyopathy (HCM) (Figure 6), with a small associated LV apical ectasia (10/9 mm), with minimum fibrosis at this level as a sequela of the apical “tumor”resection (Figure 7, Figure 8). Also, normal LV and RV volumes were measured and severe pulmonary regurgitation was confirmed.

Figure 6

Cine end-diastolic images: Left: short axis at the level of the papillary muscles. Right: four chamber view. Apical left ventricular hypertrophy with a normal sized right ventricle can be observed.

Figure 7

Late gadolinium enhancement images show isolated left ventricular apical fibrosis (arrow). From left to right: three chamber view, four chamber view and two chamber view.

Figure 8

T1 mapping before contrast injection in short axis. Left: level of the papillary muscles. Right: apical level. The stars show the area for which the T1 time is measured: mid septal (non hypertrophied myocardium) 1004 ms with a calculated extracellular volume fraction of 26%, versus apical (hypertrophied myocardium) 1042 ms with a calculated extracellular fraction of 30% - suggestive of interstitial fibrosis in the hypertrophied apical segments.

We also performed 24-h blood pressure monitoring, showing normal blood pressure values; renal arteries stenoses were excluded by Doppler echography.

Genetic tests were performed showing heterozygous mutation for PTPN11 gene (c.1403C>T variant) considered pathogenic for NS and a series of additional variants of uncertain significance: NF1 gene (c.2989A>G variant), MYH7 gene (c.2348G>A variant), NEBL gene (c.2686_2688del variant), PRKAG2 gene (c.425C>T) and SOS1 gene (c.1935A>G variant).

Medical treatment with a small dose of beta blocker was recommended. The patient requires regular follow-up in order to identify the perfect timing for the correction of the severe pulmonary regurgitation.

DISCUSSION

Neurofibromatosis is a neurocutaneous disorder characterized by tumors in the nervous system and skin; there are 2 types of neurofibromatosis, type 1 and type 2; neurofibromatosis type 2 is characterized by bilateral vestibular schwannomas and meningiomas2. NF1 (formerly known as Recklinghausen's NF) is an autosomal dominant condition characterized by café-au-lait spots, axillary and inguinal freckling, iris Lisch nodules, learning disabilities or attention-deficit disorder and benign/malign tumors of the peripheral nerves- the latter being a key hallmark of NF1.1,3 NS is also an autosomal disorder characterized by short stature, specific heart defects, normal intelligence to mild mental retardation and facial dysmorphism3.

NFNS was first mentioned in 1985 when Allanson et al. described 4 individuals with manifestations of both NS and NF14. Subsequently, further reports on the association of NF1 and Noonan-like features followed. Various theories have been discussed regarding this specific pathology: coincidence of two common autosomal dominant disorders, the possibility that specific manifestations of NF1 (e.g. café au lait spots) could occur as a component of the classical Noonan syndrome or the other way around – manifestations of Noonan syndrome are simply a variable component of classic NF1 and, last but not least, the possibility that NFNS represents a specific, distinct entity5.

The pathogenesis of NFNS remains unclear. NF1 is caused by mutations in the tumor suppressor gene NF1 situated on chromosome 17p11.2, encoding neurofibromin, a large cytoplasmic protein which functions as a rat sarcoma oncogene homolog (RAS) GTPase-activating protein regulating the initial stage of the RAS/mitogen activated protein kinase (MAPK) cascade.6 More than 50% of patients with NS have mutations in the protein tyrosine phosphatase non-receptor type 11 (PTPN11) gene on chromosome 12q24, encoding SHP2, an important component of several signal transduction pathways that acts as a positive regulator of RAS-MAPK signaling6,7. All known genes of NS types encode proteins that participate in the same RAS/MAPK signal-transduction pathway as NF1 genes6.

From a genetic point of view, more possibilities have been taken into consideration. The theory that gained most of the evidence was that NFNS is a phenotypic variant of the NF1 spectrum of phenotypes, caused by mutations in the NF1 gene, since there have been reported cases of families with members with NF1 and NFNS which are linked to 17p11.2, and several mutations in the NF1 gene have been found in patients with NFNS6,8,9,10. On the other side, mutations in PTPN11 genes were identified in a smaller amount in patients with NFNS, suggesting that mutations in NF1 genes represent the major molecular event in the pathogenesis of this condition10. Nevertheless, there have been reported some fewer cases of mutations found in both NF1 and PTPN11 genes in patients with NFNS7,11. In the case that we present there is heterozygous mutation for PTPN11 gene specific and diagnostic for NS and a variant in gene NF1 reported as of uncertain significance (c.2989A>G); this specific mutation in NF1 gene has been previously identified in a population of 35 patients with NF1 and mild phenotype, but no clear association has been demonstrated12.

Regarding the association between NF1 and cardiovascular disease, the three most common cardiovascular manifestations of NF1 are vasculopathy, hypertension and congenital heart defects13. It is well known that NF1 can cause a vasculopathy which may affect vessels ranging from proximal aorta to small arterioles and may produce multiple complications as vascular stenosis, occlusion, aneurysm or pseudoaneurysm, rupture or fistula formation; the renal arteries are the most frequent site of symptomatic vasculopathy14. Renal artery dysplasia occurs in at least 1% of patients with NF115. Hypertension is frequent among patients with NF1, especially in women with NF1 during pregnancy; essential hypertension is the most common form, whereas renal artery stenosis is the main cause of secondary hypertension14,16. Pheochromocytomas are an uncommon cause of hypertension, but they occur in 0.1 to 1.5% of older patients with NF114.

Involvement of cerebrovascular system is less common, but can determine serious, life-threatening complications, like intracranial hemorrhage14. In our patient a diagnosis of secondary hypertension was considered given the systolic blood pressure values of 140 mmHg reported, but the ambulatory continuous monitoring showed normal blood pressure values and the Doppler ultrasound of the renal arteries did not find any abnormalities. Moreover, the assessments performed in an endocrinology clinic prior to the current admission did not identify any secondary form of hypertension.

Any patient with NF1 should be assessed by a cardiologist, as congenital heart disease (CHD) might be associated; the frequency of this association is not yet established, but it is clear that CHD is more frequent in NF1 patients than in normal population, even 10 times higher.14,17 The most common is pulmonary valve stenosis, but other defects have been noted including aortic coarctation, mitral valve prolapse, atrial septal defect3,18,19.

Hypertrophic cardiomyopathy (HCM) has been previously reported in patient with NF1, but no clear connection has been established20,21. In extremely rare cases, neurofibromas can develop within the heart, obstruct major vessels by compression or invasion, or erode a vessel and cause hemorrhage14,22.

A high percentage of patients with NS are known to have cardiovascular involvement, most commonly CHD (~80%) and HCM (~20%); NS-associated CHD is most often pulmonary valve stenosis, with an estimated prevalence of ~ 40%, but other types of defects have been described as atrial septal defects (~8%), ventricular septal defects, atrioventricular defects23,24. Less frequently, a left sided CHD can be encountered-mitral valve stenosis (~6%), aortic valve stenosis or aortic coarctation (~9%); very rarely tetralogy of Fallot or patent ductus arteriosus are associated24. Often, CHD and HCM coexist in patient with NS.25 It is considered that there are some patterns of genotypephenotype association; the presence or the absence of PTPN11 gene mutations, specific pathogenic variants have showed to be associated with presence of a specific cardiac involvement24,26.

Pulmonary valve stenosis in patient with NS is mild in ~60% of cases, moderate in ~10% of cases and severe in ~30% of cases27. In NS pulmonary valve stenosis, pulmonary valve is often dysplastic, with poorly mobile cusps, myxomatous thickening and commissural fusion, thus percutaneous balloon valvuloplasty is not as successful as isolated cases of pulmonary valve stenosis24,28. In our patient's case, there was an association of severe pulmonary valvular and infundibular stenosis that required surgery at a very young age. However, the apical HCM remained undiagnosed until now, possibly due to scarring of the previous surgery involving the LV apex. At the time of the surgery a tumor, possibly a neurofibroma, was considered; at present, due to multimodality imaging, the diagnosis of HCM was established, explaining the patient's symptoms.

There are no specific recommendations for patients with NFNS; thus, the management of this patients brings together the recommendations for patients with NF1 and NS respectively. At the time of the diagnosis, a baseline cardiac evaluation should be performed, including clinical exam (auscultation and four extremity blood pressure measurement), ECG and transthoracic echocardiography14,24. In case of patients presenting with arterial hypertension, even though in most cases the hypertension is essential, screening for secondary causes of hypertension has to be performed; aortic coarctation, renovascular disease or a pheochromocytoma should be excluded and, if present, treated accordingly to current recommendations14,29. If CHD or HCM are diagnosed at baseline, periodical follow-up is recommended, in order to identify the perfect timing for correction. It has been noticed that the risk of surgical intervention for CHD was higher in individuals with NS and pulmonary stenosis carrying PTPN11 mutations and that specific association between HCM, biventricular outflow tract obstructions and PTPN11 mutations appeared to be associated with early mortality, including immediate post-operative events and sudden death23. Our patient underwent a successful surgical correction of the pulmonary valvular and infundibular stenosis, but long-term complications of this type of surgery, such as pulmonary regurgitation, require close follow-up to identify the need for reintervention (iterative surgery with a bioprosthesis or percutaneous pulmonary valve implantation). Furthermore, a specific follow-up for apical HCM with sudden cardiac death risk assessment is also necessary.

Genetic counseling has to be considered for every patient with NS or NFNS, taking into consideration their autosomal dominant character28.

CONCLUSIONS

NFNS is a complex, distinct clinical entity that deserves proper attention. The genetic diagnose is extremely important as there is more and more evidence nowadays supporting the existence of specific patterns of genotype-phenotype association. The diagnosis and management of all associated pathologies is the key and genetic counseling should not be forgotten, as there are no specific genetic therapies yet.

DOI: https://doi.org/10.47803/rjc.2020.31.4.903 | Journal eISSN: 2734-6382 | Journal ISSN: 1220-658X
Language: English
Page range: 903 - 910
Published on: May 5, 2022
In partnership with: Paradigm Publishing Services
Publication frequency: 4 issues per year

© 2022 Daniela-Noela Radu, Monica Dobrovie, Razvan Capsa, Roxana Enache, published by Romanian Society of Cardiology
This work is licensed under the Creative Commons Attribution 4.0 License.