Figure 1

Figure 2

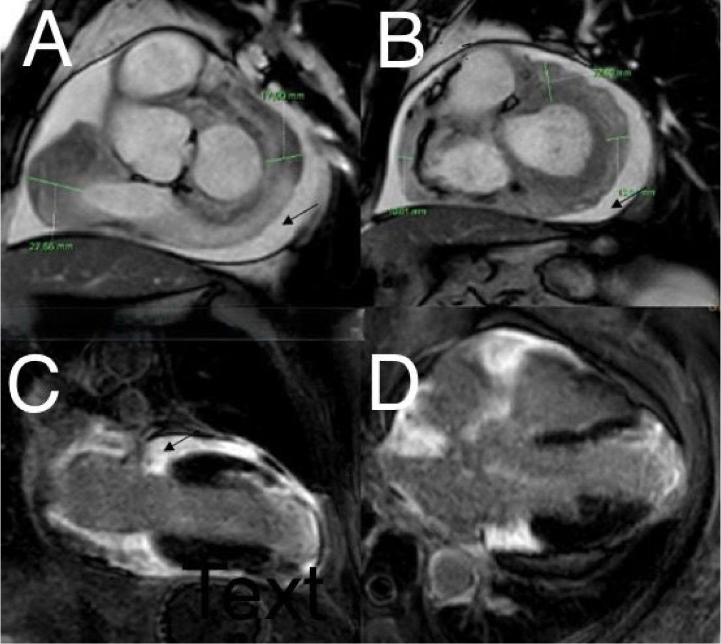
Figure 3.

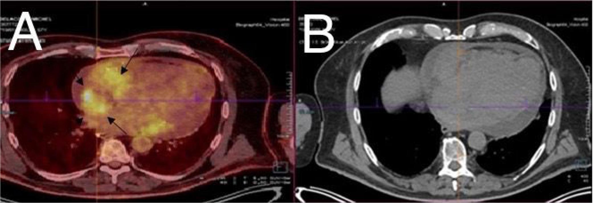
Figure 4





© 2025 Trenchea Alexandru, Cramba Alexandru, Simon Valentin, Couppie Phillipe, Ureche Carina, Statescu Cristian, Sascau Radu-Andy, published by Romanian Society of Cardiology
This work is licensed under the Creative Commons Attribution 4.0 License.