Figure 1

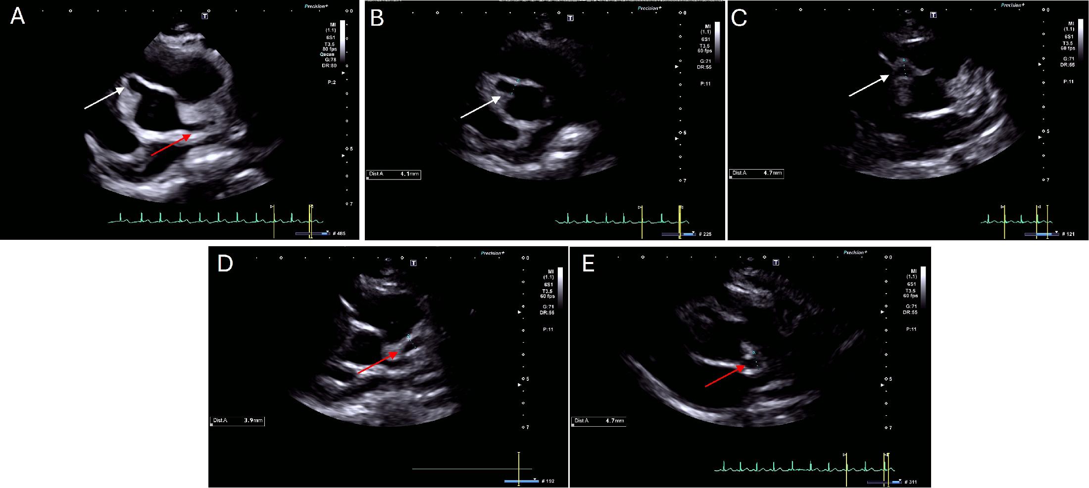
Figure 2

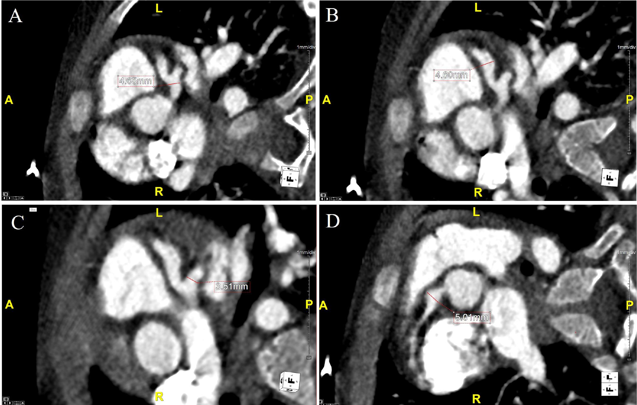
Figure 3

Overview of the clinical course and ongoing management of Kawasaki disease in a young patient_
| Symptoms | Left main coronary artery | Left anterior descending artery | Right coronary artery | Treatment | |
|---|---|---|---|---|---|
| Diagnosis | Fever, maculopapular rash | 1.8 mm (Z-score -0.23) | - | 1.5 mm (Z-score -0.49) | IVIG, aspirin, corticosteroids |
| Follow-up 1 (15 days) | Asymptomatic | 3 mm (Z-score +1.6) | 4 mm (Z-score +9.0) | 5 mm (Z-score +7.8) | Aspirin, clopidogrel, heparin, warfarin, anakinra |
| Follow-up 2 (64 days) | Asymptomatic | 3.8 mm (Z-score +2.1) | 4.1 mm (Z-score +9.0) | 4.4 mm (Z-score +7.2) | Aspirin, clopidogrel, warfarin, anakinra |
| Follow-up 3 (145 days) | Asymptomatic | 3.4 mm (Z-score +2.4) | 2.6 mm (Z-score +2.5) | 2.7 mm (Z-score +2.3) | Aspirin, clopidogrel |
| Follow-up 4 (163 days) | Asymptomatic | 2.8 mm (Z-score +0.9) | 2.1 mm (Z-score +0.67) | 2.1 mm (Z-score +0.56) | Aspirin |
| Follow-up 5 (462 days) | Asymptomatic | 2.4 mm (Z-score -0.11) | 2.2 mm (Z-score +0.55) | 2.0 mm (Z-score -0.11) | Stop aspirin |