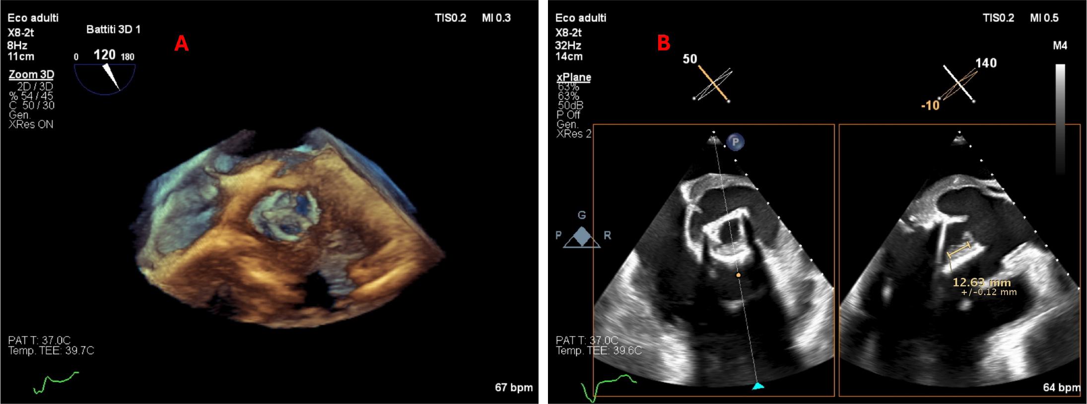
Figure 1

Figure 2

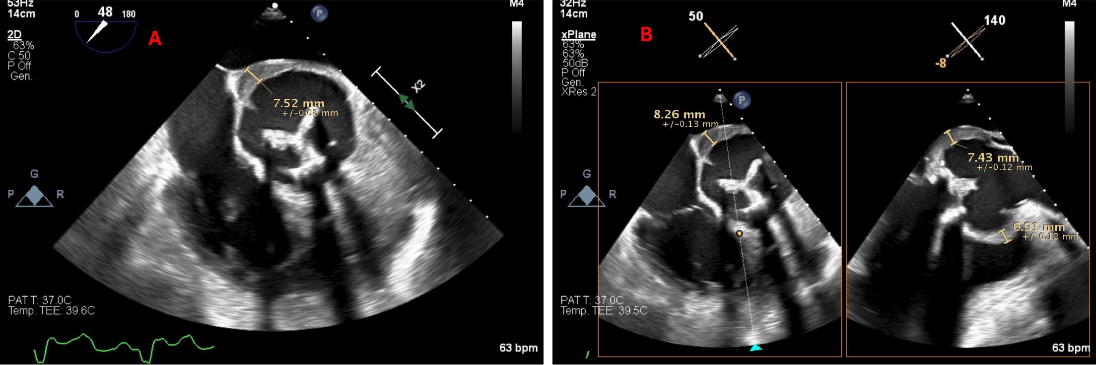
Figure 3




© 2024 Dan-Alexandru Cozac, Filippo Amato, Maria Teresa Savo, Eleonora Lassandro, Gabriele Cordoni, Raffaella Motta, Valeria Pergola, published by Romanian Society of Cardiology
This work is licensed under the Creative Commons Attribution 4.0 License.