The field of ventricular tachycardia (VT) ablation techniques is experiencing major transformations, driven by the implementation of technological advances like new-generation catheters, alternative ablation energy sources, new navigation systems, and fusion imaging. The concept of fusion imaging involves the integration of EAM data with CMR or MDCT data, aiming to enhance accuracy in detecting areas of slow conduction within the scar and precisely targeting ablation lesions. The ongoing challenge stems from the heightened morbidity and mortality associated with ventricular tachycardia (VT), primarily attributable to the advancing stages of underlying cardiomyopathy and the dynamic nature of the arrhythmogenic substrate characterized by scar progression. As imaging methods are evolving, substrate-based VT ablation is moving closer to the realm of precision medicine.
A 52-year-old patient was referred to our hospital for sustained monomorphic VT, which had been successfully converted to sinus rhythm with IV Amiodarone at another medical center (Fig. 1). He was hemodynamically stable and had no chest pain during the episode. The patient’s past medical history includes hypertension, type II diabetes mellitus, hyperlipidemia, and stage IIIB chronic kidney disease.

12-lead ECG – Wide complex QRS tachycardia, 180/min; RBBB morphology, right-axis deviation suggestive for anterolateral LV exit-site
Upon admission, the patient was asymptomatic, and laboratory data revealed mild normocytic anemia and moderate renal dysfunction without myocardial necrosis.
A 12-lead electrocardiogram (ECG) performed during sinus rhythm revealed widespread repolarization abnormalities in the inferior and -lateral leads.
Echocardiography revealed mild left ventricular dysfunction with an ejection fraction (EF of 42%. There was akinesia of the middle segments of the anterior, antero-lateral, and infero-lateral walls without significant valvular abnormalities.
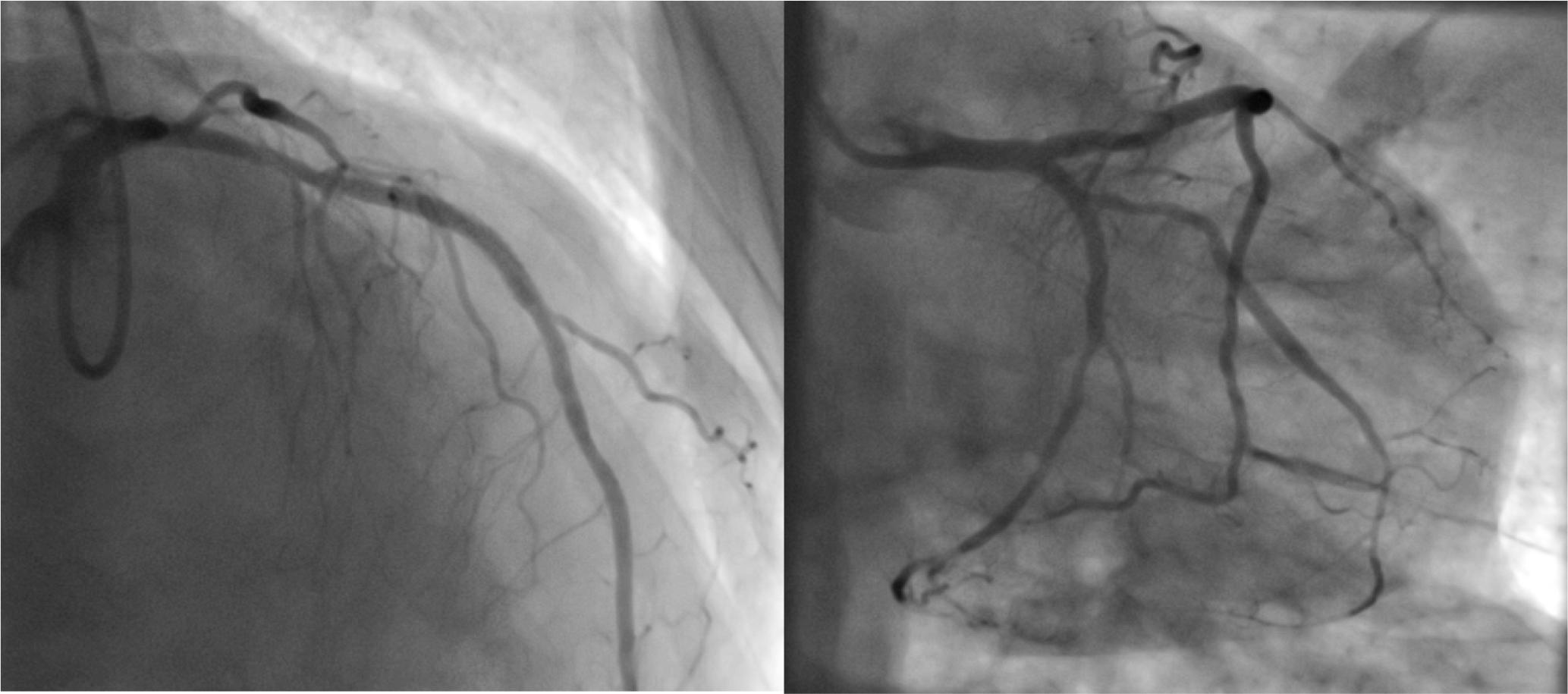
Coronary angiography revealed subocclusion of the middle segment of the obtuse marginal artery (OM1). The left anterior descending artery (LAD) exhibited a 50% stenosis in the middle segment that was deemed significant based on fractional flow reserve (FFR) measurement. Additionally, the proximal segment of the left circumflex artery (LCx) showed a 50-60% stenosis, which was also determined to be hemodynamically significant based on FFR. Coronary angioplasty was performed with three drug-eluting stents in the middle LAD, proximal LCx, and middle OM1. (Fig. 2A and Fig. 2B)

Coronary angiogram and FFR measurements – subocclusion of OM 1 (middle segment); 50 % middle LAD stenosis (FFR – 0.73); 50-60 % proximal LCx stenosis (FFR – 0.76)

Coronary angiogram after implantation of 3 drug-elluting stents (middle LAD, proximal LCx and middle OM1)
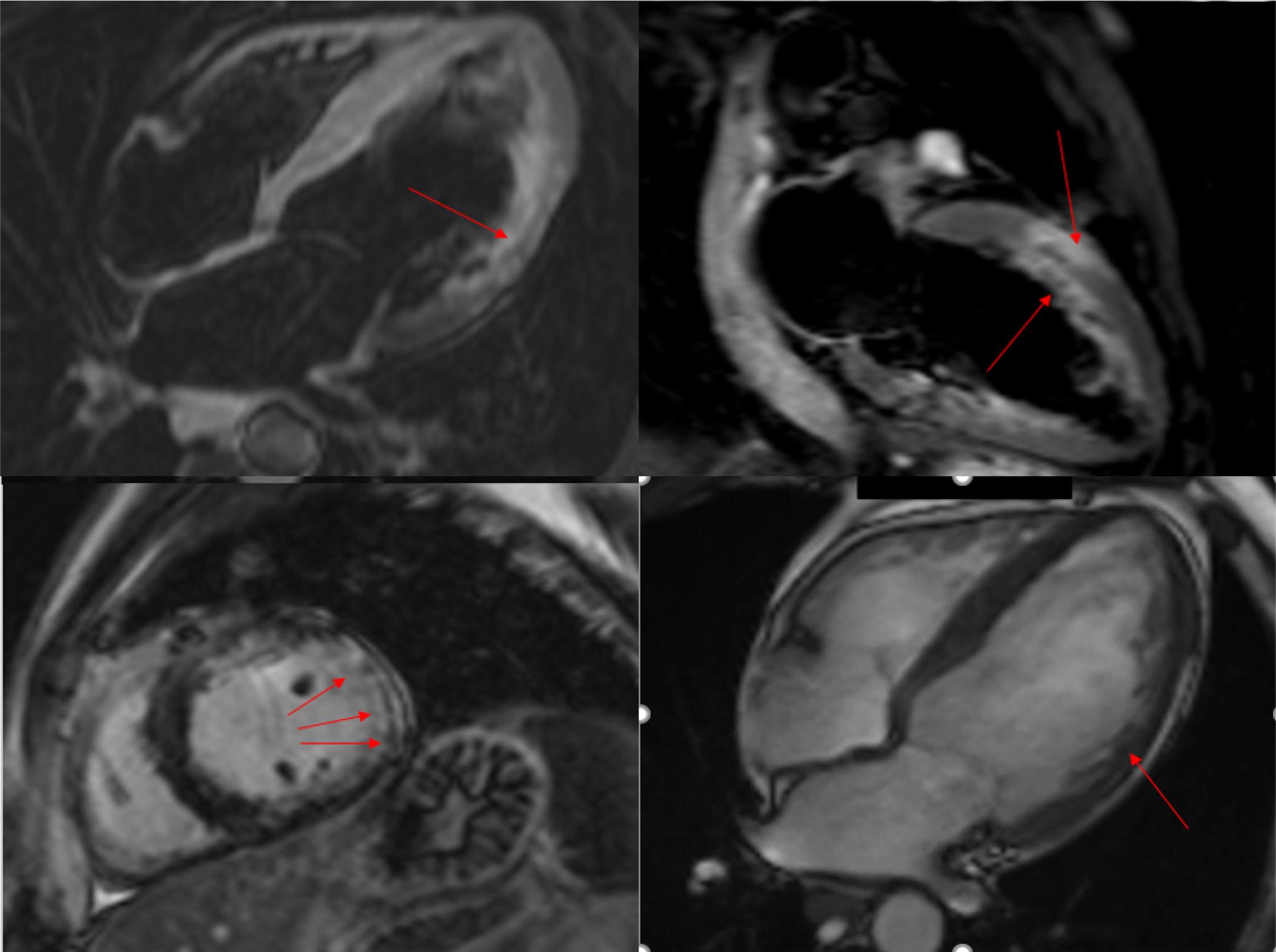
Cardiac MRI showed mild left ventricular dilation, with an EF of 43%. Wall motion abnormalities were observed in the lateral wall (throughout its entire aspect) and the anterior wall (mainly in the middle segment). There was also myocardial late gadolinium enhancement (LGE) with a distribution pattern highly suggestive of scattered and focal infarction without transmural involvement. (Fig. 3)

Cardiac MRI – Mild LV dilation; LVEF – 43 %; Multiple areas of LGE along the middle third of antero-lateral and lateral wall
In line with the 2022 ESC Guidelines on ventricular arrhythmias (VA) and the prevention of sudden cardiac death (SCD), we decided to perform VT ablation.
This was performed using multimodal integration of late gadolinium enhancement cardiac magnetic resonance (LGE-CMR), multi-detector computer tomography (MDCT), and electro-anatomical mapping system (EAM). Substrate imaging of scar architecture was analyzed with ADAS 3D software, revealing potential VT isthmuses.
Mapping was conducted with Carto 3 Biosense Webster and Stereotaxis Remote Magnetic Navigation System. A detailed electro-anatomical map of more than 3000 points obtained during sinus rhythm was fused with LGE-CMR/MDCT data, using coronary artery ostia as a reference point. The majority of the conduction channels were anatomically consistent between the EAM and LGE-CMR/ MDCT fusion map. (Fig. 4)

Multimodal image integration. Right: Fusion between MDCT and LGE-CMR PSI Map (ADAS 3D Software). Left: Integration with EAM (Biosense – Webster Carto 3 Navigation System)
Radiofrequency (RF) ablation was performed in sinus rhythm with an irrigated catheter (50W, 45°C, 30 ml/min) targeting the border zone of the entrance into the conduction channel. (Fig. 5)

Substrate-based RF ablation targeting conduction channels (CC) identified on fusion imaging concordant with fractionated and late potentials on EAM
Following the ablation procedure, the recorded electrogram (EGM) demonstrated a noteworthy outcome with the abolition of late-potential signals. (Fig. 6)

EGMs before and after RF ablation showing fragmented potential abolition at the conducting channel entry
PVS (programmed ventricular stimulation) was performed from the medial and lateral side of the scar with 400 ms cycle length (CL) trains and 4 added extra stimuli (ES) - 280 ms, 250 ms, 250 ms, 200 ms – with complete non-inducibility. (Fig. 7)

Ventricular programmed stimulation with 4 ES – complete non-inducibility of VT
The patient’s clinical course was uneventful, with no significant complications during the hospitalization. At the 3-month follow-up, echocardiography showed a slight improvement in LVEF and repeated PVS proved persistent ventricular arrhythmia non-inducibility. Furthermore, the Holter ECG monitoring revealed no recurrence of ventricular tachycardia (VT) during the follow-up period, and the patient’s left ventricular ejection fraction (LVEF) was 45%. Considering these positive outcomes, coupled with the current clinical guidelines and the patient’s overall condition, we decided not to recommend immediate implantation of an implantable cardioverter-defibrillator (ICD).
The implementation of technological advances, like new-generation catheters, alternate ablation energy sources, and the innovation in navigation and mapping systems, led to the evolution of VT ablation techniques. Although there is an increase in available options, morbidity and mortality secondary to VT remain increased because of the progression of the underlying disease and the difficulty in controlling the arrhythmogenic substrate.
Cardiac imaging techniques have evolved to such an extent that not only do they help with pre-procedural planning of VT ablation, but they also aid during the procedure by optimizing the understanding of the arrhythmia mechanisms and the precise targeting of the substrate [1].
Scar characterization techniques may aid in the identification of border zones tha/t correspond to VT isthmuses and may correlate well with the abnormal signals obtained on the standard electro-anatomical map. Implementing these techniques in the current practice may lead to reduced VT recurrence and improved identification of arrhythmogenic foci [1].
Substrate mapping offers a distinct advantage over entrainment and activation mapping as it aims to ablate the channels that serve as the underlying substrate for VT propagation without the need to map them during the actual occurrence of VT [2]. This approach can potentially minimize adverse effects by reducing the duration and frequency of VT induction, avoiding the challenges posed by tachycardia irregularity or poor hemodynamic tolerance and allowing for a more efficient and targeted ablation strategy [2].
Voltage mapping is a method that visualizes electrogram signals on the electro-anatomical map and helps to determine the zones of healthy and scarred myocardium at specific sites. A large voltage indicates healthy tissue, while a low or absent voltage suggests diseased tissue or scars. Bipolar voltage mapping is employed for subendocardial evaluation, while unipolar mapping provides a more precise assessment of transmural and epicardial scar [2].
This type of mapping poses some major limitations due to the electrode size, interelectrode spacing, catheter orientation, conduction velocity, and anisotropy. The thresholds are manually adjusted on a case-by-case basis, which may lead to mapping variability and inaccuracies [3].
Late potentials [LPs] represent isolated signals that occur after the QRS complex and are the result of late activation of the local myocardium within a potential channel. Abolition of LPs can be used as an endpoint for ablation success since they are present in 97 % of cases, and the VT recurrence rate is <10 % with complete elimination [4].
Although substrate mapping often identifies sites with LPs that participate in re-entrant circuits, it is important to note that not all sites of re-entry exhibit LPs. While LPs may serve as reasonable targets for ablation, they have a low positive predicted value [PPV] and sensitivity. This can result in suboptimal ablation targeting and potential omission of crucial arrhythmogenic substrate. Additionally, the specificity of LPs may only be moderate (68-90%], leading to unnecessary ablation of inactive areas and prolonging procedural durations [1].
Using local abnormal ventricular activity [LAVA] as a target for substrate-based ablation is another method that has a high specificity for predicting critical sites for VT re-entry but should not be the only target for ablation due to a low PPV [5].
Scar homogenization is another option for targeting abnormal electrograms within the scar by identifying and ablating all regions of fractionated and delayed potentials. This type of mapping creates an inert scar, reduces the recurrence rate of VT, and it is easier to perform at the cost of more myocardial damage [5].
The main limitation of scar homogenization in VT ablation is its reliance on bipolar voltage and local fractionation, which are typical features observed in the substrate located at the mapped surface. This means that the epicardial scar, which may not exhibit abnormal signals or low voltage on the endocardial mapping, could go undetected [5].
When pace mapping (PM) is performed deep within a scarred area, it can help identify regions of slow conduction by showing a prolonged stimulus-QRS interval. This occurs because the pacing stimulus takes longer to propagate through the scarred tissue. However, it’s important to note that this phenomenon can also be observed in bystander channels or pathways that are not directly involved in the VT circuit. Therefore, while PM within the scar can provide valuable information about areas of slow conduction, it should be interpreted cautiously [1].
Functional substrate mapping assesses the conduction properties of the underlying tissue. This technique involves converting the local activation time map into an isochronal map, which indicates areas of slowed conduction. By using different mapping methods or performing pacing maneuvers, pathological areas of slow conduction can be identified. There are various types of functional substrate mapping that may be used according to the operator’s preference and patient’s characteristics: Isochronal Latest Activation Mapping (ILAM), Multiple Wavefront Mapping, Decremental Evoked Potentials Mapping, and Evoked Delayed Potential Mapping. All these techniques help in understanding the functional aspects of the substrate and its contribution to ventricular tachycardia, but their use is still limited [1].
Late gadolinium enhancement cardiac magnetic resonance (LGE-CMR) and multidetector cardiac computed tomography (MDCT) have emerged as valuable imaging tools for characterizing arrhythmogenic substrates in ventricular tachycardia. Integration of pixel signal intensity maps (PSI) from LGE-CMR and wall thickness maps from MDCT into the navigation system has been increasingly utilized by many centers [6].
Heterogeneous tissue channels (HTCs) are continuous pathways of slow-conducting myocytes that form connections between two regions of healthy myocardium, while being encompassed by either scar tissue or anatomical barriers. LGE-CMR can accurately identify and precisely define these channels based on their varying levels of fibrosis, thereby assisting in the precise targeting of regions suitable for ablation [6].
In our case, there was a successful fusion of LGE-CMR/MDCT data into the electro-anatomical mapping system with the aid of ADAS 3D software. This was also consistent with the VT morphology evidenced on the surface ECG, which was suggestive of an anterolateral LV exit site. This contributed to the accurate identification of CCs and targeted RF ablation, which led to a decreased procedure duration, elimination of fractionated signals, and complete non-inducibility of VT at VPS. Moreover, by implementing fusion imaging, we mitigated some of the limitations associated with traditional EAM, such as scar areas that exhibit pseudo-normal voltage on EAM due to far-field effects from neighboring tissue. This enhanced the confidence in delineating the arrhythmogenic substrate, which was paramount for the success of the procedure.
The study conducted by Fernandez-Armenta et al. investigated 21 chronic post-infarction patients undergoing VT ablation using a 3-Tesla LGE-CMR with high-resolution 3D acquisitions and demonstrated that HTCs defined by LGE-CMR successfully identified 74% of critical isthmuses of clinical VTs and 50% of all conduction channels identified through EAM [7]. The accuracy of LGE-CMR in detecting HTCs was also demonstrated by Perez-David et al, who also identified a good correlation between voltage channels on the EAM and HCTs on LGE-CMR [8].
LGE-CMR guided catheter ablation proves beneficial for both patients with ischemic cardiomyopathy (ICM) and non-ischemic cardiomyopathy (NICM) and it has a good correlation with the EAM [6]. Wijnmaalen AP et al demonstrated a good correlation between LGE-CMR scar areas and the bipolar and unipolar maps [9]. Although some scar areas may still exhibit pseudo-normal voltage on EAM due to the far field of neighboring tissue, LGE-CMR can potentially mitigate this limitation. Acosta et al. revealed that about one-third of cases feature hidden slow conduction areas within normal voltage regions, corresponding to border zones on LGE-CMR, allowing for easy analysis of the arrhythmogenic substrate using this technique [10] These results are consistent even for patients with NICM, with LGE CMR demonstrating superiority over EAM in substrate characterization. Notably, even small rims of viable myocardium can induce far-field effects and disrupt the EAM’s ability to detect complex, heterogeneous scars [6].
Recent studies have demonstrated that using PSI maps from LGE-CMR can reduce the need for RF delivery and improve VT recurrence-free survival [11]. LGE-CMR offers high accuracy in characterizing scar throughout the myocardium and identifying additional arrhythmogenic substrates compared to EAMs alone. However, using only PSI maps for ablation target sites requires further investigation.
Several studies have investigated the use of image integration in VT and assessed the long-term success rate using this type of strategy. (Table 1)
Image integration-guided VT ablation studies. Adapted from Kowalewski C et al - Advanced Imaging Integration for Catheter Ablation of Ventricular Tachycardia
| Publication | Number of patients | Age | Recurrence rate | Follow-up duration (months) |
|---|---|---|---|---|
| Njeim et al. [12] | 20 | 59 ± 17 | 20% | 17 ± 22 |
| Yamashita et al. [13] | 116 | 58 ± 15 | 30% | 17.4 |
| Andreu et al. [14] | 54 | 64 ± 11 | 18.5% | 20 ± 19 |
| Soto-Iglesias et al. [15] | 56 | 65 ± 12 | 5% | 12 |
| Berte B. et al. [16] | 49 | 62 ± 15 | 27% | 19 ± 8 |
Notably, in the study conducted by Njeim et al, in which 60 % of the patients had ICM, there was a recurrence rate of 20% over a mean follow-up duration of 17 months, highlighting the potential for sustained positive outcomes in this specific population [12]. Yamashita et al reported a higher recurrence rate of 30% during an average follow-up period of 17.4 months, indicating the need for further refinement in the integration process [13]. According to Andreu et al, there was a VT recurrence rate of 18.5% over a mean follow-up of 20 months, suggesting promising long-term effectiveness in these patients [14]. Encouragingly, Soto-Iglesias et al. achieved a remarkably low recurrence rate of 5% during an average follow-up period of 12 months [15]. However, Berte et al reported a recurrence rate of 27% over a mean follow-up duration of 19 months [16]. It is also important to note that the studies are not randomized and did not provide data regarding mortality or survival outcomes. These findings emphasize the complex nature of VT management and underscore the importance of randomized control studies in the field of image-guided ablation.
LGE CMR has certain limitations that may diminish its effectiveness in specific situations. The limited spatial resolution (1.2-1.4 mm isotropic voxel resolution) might be insufficient in detecting small areas of viable myocytes that could sustain reentry, and it is difficult to analyze border zones in thin structures like the right ventricle (RV) [6]. Moreover, the acquisition times are prolonged when aiming for high-quality volumetric reconstructions [6].
Notably, artifacts may arise in patients with implanted devices, introducing potential distortions in imaging quality. Additionally, the merging process may be susceptible to errors, thereby impacting the accuracy of results. Furthermore, it is essential to consider the contraindication of gadolinium in individuals with severe renal disease, as this limitation can influence the overall feasibility and safety of LGE CMR.
The main advantage of MDCT over LGE-CMR is its spatial resolution, which is close to 0.5 mm. However, due to the contrast-to-noise ratio, the scar is more difficult to analyze with MDCT [6].
A frequent challenge during VT ablations is establishing coronary anatomy landmarks and integrating them into the navigation system. Because of its high spatial resolution in delineating coronary arteries or phrenic nerves, MDCT can be used as a complementary tool for ablation procedures in order to improve safety [6].
In our case, the initial phase of the procedure involved meticulous mapping of the left main and right coronary artery ostia in order to establish an accurate landmark for the fusion mapping. We used a trans-septal approach to cannulate the coronary ostia, which obviated the need for a femoral artery puncture.
MDCT can be used both as a single complementary investigation to EAM and as a part of multimodal imaging (LGE-CMR + MDCT) in order to guide substrate VT ablation [6]. Through its high accuracy in detecting fat distribution, it can facilitate the analysis of bipolar electrograms and identify areas where ablation targets could be ineffective [13]. Moreover, considering the limitation of LGE-CMR in analyzing border zones of thin myocardium, MDCT is a valuable tool for identifying right ventricular epicardial arrhythmogenic substrate in patients with arrhythmogenic cardiomyopathy, with a good correlation to EAM [17].
Optimal ablation targets for VT ablation could be obtained using virtual hearts derived from cardiac MRI data. This concept revolves around the simulation of VT circuits within a virtual cardiac model, which could enable precise determination of ablation targets with the goal to achieve VT non-inducibility from any pacing location while minimizing the extent of the lesions required [18].
A retrospective study conducted by Ashikaga et al. employed patient-specific models to simulate VT scenarios and estimate ablation targets based on the virtual circuits. When comparing these simulations outcomes with clinical data, the results were consistent between the estimated ablations and actual clinical results (82%). The study also indicated that the target region for ablation may be relatively narrow [19].
Improvement of image quality and standardization, acceleration of image processing while minimizing manual intervention, and the optimization of algorithms to reduce execution times is essential for unlocking the potential of the virtual heart approach. This is not only critical for refining the accuracy and utility of patient-specific simulations but also for the practical implementation in healthcare settings [18].
Further research is needed in order to implement virtual heart simulations in clinical practice. This includes the development of algorithms for target determination that are not operator-dependent, the execution of post-in-silico ablation studies to confirm non-inducibility, and the validation through prospective trials that integrate predictions with 3D electroanatomical navigation systems.
The ongoing VOYAGE study is a prospective, randomized, multicenter controlled open-label research study comparing the effectiveness and safety of using cardiac magnetic resonance (CMR) imaging-guided or aided ablation versus the standard EAM-guided procedure. The study focuses on patients with scar-related VT who are eligible for CMR and MDCT. Patients will be randomly assigned to receive either the CMR-guided or CMR-aided approach, while those unsuitable for imaging will undergo standard VT ablation. The main objective of this trial is to determine whether using CMR-guided or aided strategies in VT ablation is more effective, efficient, and potentially safer compared to the standard EAM-only technique. The study aims to validate the hypothesis that an imaging-based procedure could lead to a more standardized approach, reducing variability among operators and improving the learning curve for VT ablation [20].
The VOYAGE study, currently the largest ongoing trial in its field, has the potential to reshape the approach to VT ablations and contribute to the progression of precision medicine in electrophysiology. The study’s outcomes hold the promise of a paradigm shift, offering valuable insights that could pave the way for more personalized and targeted treatment strategies in VT management.
The PREVENT-VT trial also holds promises for the exploration of a multifaceted approach to ischemic VT therapy. By taking into account the important role of scar tissue characterized by LGE-CMR and the significance of heterogenous tissue channels, which can accurately be evaluated by post-processing imaging platforms, this study hypothesizes that SCD and VT could be reduced through a primary prevention strategy of substrate-based ablation [21]. This will be the first clinical trial to assess if prophylactic CMR-guided substrate ablation could reduce the rate of SCD and VT occurrence in post-MI patients.
The ongoing VOYAGE and PREVENT – VT trials represent promising directions that could impact the management of VT in post-MI cases like the one presented. This could improve the patient outcome and lead to a more tailored, precision-based approach to VT management.
Substrate-based VT ablation in structural heart disease has greatly improved by high-resolution substrate imaging with detailed anatomy, allowing successful personalized treatment. There is room for further improvement in the near future with the contribution of artificial intelligence, possibly with a more targeted and automated VT ablation.