This review will elaborate on the case of a 71-year-old female patient, with uncontrolled cardiovascular risk factors (CVRF) (dyslipidemia, arterial hypertension [HTN], obesity), without any relevant past medical history, who is referred for emergency cardiac evaluation in the setting of severe anterior chest pain, highly suggestive of myocardial ischemia.
The first anginal episode occurred 24 hours before arrival, followed by multiple episodes withincreasing duration and intensity. Current symptoms had been ongoing for more than 5 hours at the time of admission.
Clinical examination identified regular heart sounds; mild systolic apical murmur (grade II/VI); heart rate (HR) – 69 beats per minute; blood pressure (BP) – 150/80 mm Hg, bilateral basal pulmonary rales; and peripheral oxygen saturation – 93% atmospheric air.
Resting electrocardiogram (ECG) (Fig. 1) shows sinus rhythm, 70 bpm; QRS axis, +60°; ST segment elevation in leads DII, DIII, aVF, V7 – V9, with reciprocal ST segment depression in leads V1 – V3, aVL.

Resting electrocardiogram at admission. Sinus rhythm, 70 bpm; QRS axis, +60°; ST segment elevation DII, DIII, aVF, V7–V9 with reciprocal ST segment depression in V1–V3, aVL.
Laboratory results confirm the presence of acute myocardial injury, with high-sensitivity cardiac troponin I (hs-cTnI) having a value of 1100 ng/l (99th percentile upper reference limit: 29 ng/l), creatine-kinase (CK) of 225 U/l, and CK-myocardial band (CK-MB) of 48 U/l. There is also evidence of dyslipidemia (low-density lipoprotein cholesterol [LDLc]: 164 mg/dl). Blood count was within normal limits and the N-terminal fragment of the pro-B-type natriuretic peptide (NTproBNP) had a value of 129 pg/ml.
Two-dimensional transthoracic echocardiography (2DTTE) reveals a nondilated left ventricle (LV), with concentric hypertrophy, and mild global systolic dysfunction (LV ejection fraction (LVEF): 45%) because of regional kinetic disturbances, through akinesia at the level of the middle and basal segments of the inferior and inferolateral walls.
As such, a diagnosis of inferior–posterior ST-segment elevation myocardial infarction (STEMI) was established, and the case proceed further to emergency coronary angiography.
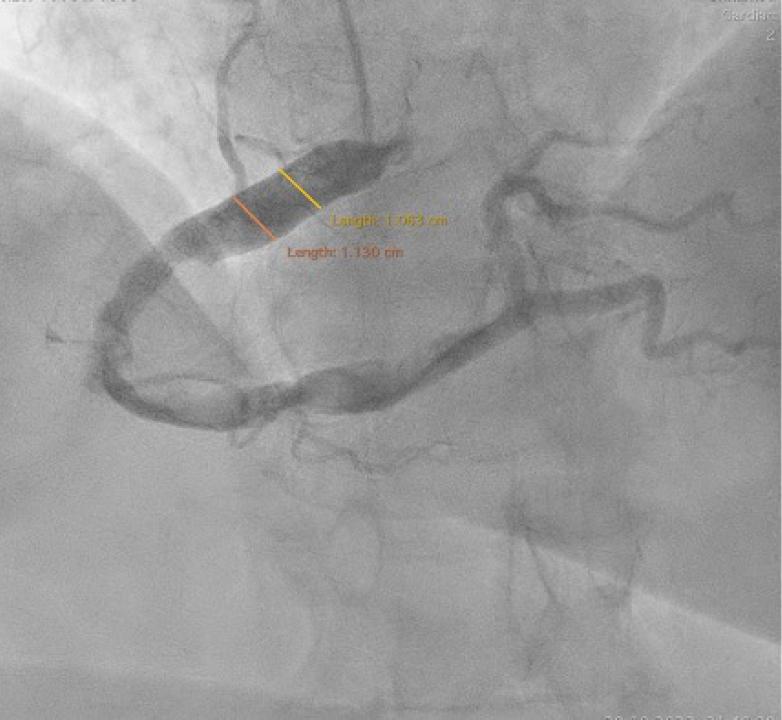
Right radial artery arterial access was obtained. Selective cannulation and injection of contrast medium in the right coronary artery (RCA) discovered a dominant artery, dilated on its entire length (maximum diameter of 11.3 mm in the proximal segment) with high thrombotic burden in the mid and distal segments (Fig. 2).

Left anterior oblique projection of the right coronary artery. Significantly dilated right coronary artery (RCA) on its entire length, seen in left anterior oblique projection. Arrows indicate high quantity of thrombotic material in the mid-distal RCA.
Left main coronary artery (LMCA) was also ectatic (maximum diameter of 10.3 mm in the mid-distal segment), as well as the left anterior descending (LAD) and left circumflex (LCx) arteries (with maximum diameters of 7.4 mm and 8.5 mm, respectively) (Figs. 3–4). Slow coronary flow was present in all vessels.

Cranial right anterior oblique projection of the left coronary artery. Optimal projection of the left anterior descending artery (LAD) showing an ectatic vessel, with a maximum diameter of 7.4 mm in the proximal segment.

Caudal left anterior oblique projection of the left coronary artery. “Spyder” projection shows ectasia of the left main coronary artery (maximum diameter of 10.3 mm in the mid-distal portion) and left circumflex (maximum diameter of 8.5 mm in the proximity of the ostium).
Because of the operator’s judgement of a possible subsequent high risk of distal embolization and potential minimal benefit, while passing the catheter, aspiration thrombectomy was deemed an unfit treatment strategy during the acute episode. Moreover, no obstructive atherosclerotic lesion was evident, so there was no need for performing percutaneous coronary intervention (PCI).
After the procedure, the patient started receiving intravenous unfractioned heparin, although intracoronary thrombolysis might have been another option. A few days later, the patient was discharged with oral anticoagulant (OAC) (apixaban 5 mg bid) regimen.
One month later, she was scheduled for a complete reevaluation, including invasive assessment of the coronary anatomy. Regarding clinical presentation, the patient did not report any angina or anginalike symptoms, and laboratory results showed a significant reduction of LDLc (75 mg/dl), but there was an increase in NTproBNP levels (336 pg/ml). The persistence of mild LV systolic dysfunction was noted, but without any new abnormalities.
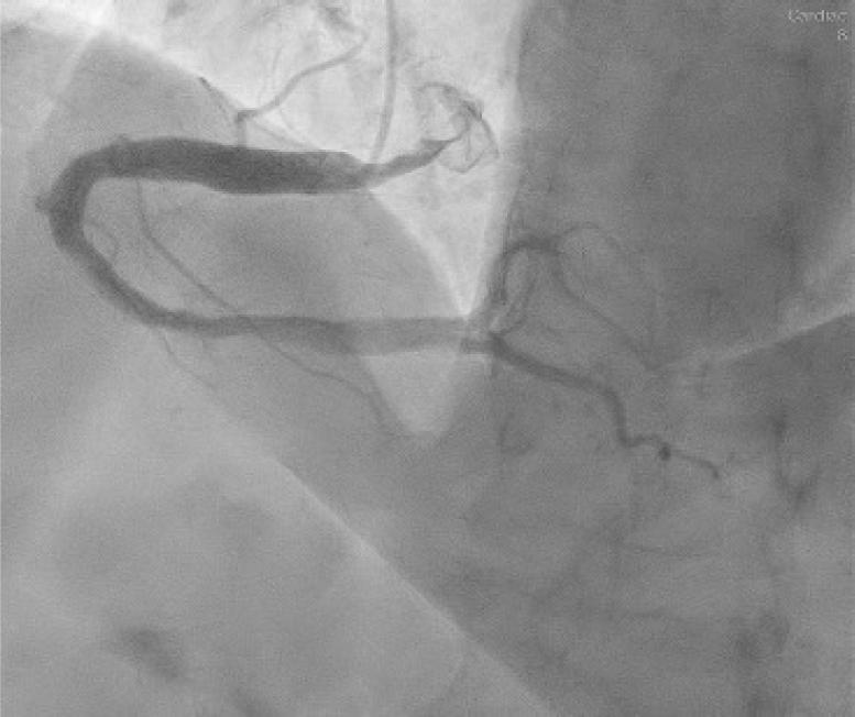
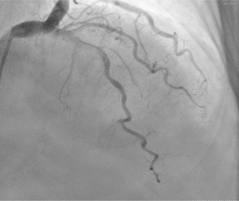
A follow-up coronary angiogram demonstrated complete dissolution of RCA thrombus, a moderate atherosclerotic stenosis (50%–60%) (Fig. 5) in the distal segment, right before crux-cordis and the persistence of the slow flow phenomenon in the coronary artery tree because of diffuse ectasia (Figs. 6, 7).

Left anterior oblique projection of the right coronary artery—1 month later. One month later, there is no evidence of thrombus in the right coronary artery, and there is a moderate stenosis in the distal segment.

Cranial right anterior oblique projection of the left anterior descending artery—1 month later. In this projection, the left anterior descending artery can be seen, with ectasia on the entire length and a lack of significant atherosclerosis.

Postero-anterior caudal projection of the left coronary artery—1 month later. This view optimally projects the left main coronary artery (mid-distal segment) and the left circumflex, in which no significant atherosclerotic lesions are seen. Note also the diffuse ectasia present in both arteries.
After performing a complete and comprehensive differential diagnosis, which will be discussed later, the presence of isolated coronary artery ectasia (iCAE) was established.
Patient was discharged with recommendations of medical treatment consisting of oral anticoagulant (apixaban 5 mg. bid), angiotensin-converting enzyme inhibitor (ACEi) (ramipril 5 mg od), b-blocker (metoprolol succinate 100 mg bid), mineralocorticoid receptor antagonist (spironolactone 25 mg od), loop diuretic (furosemide 40 mg od), statin (atorvastatin 40 mg od), and proton pump inhibitor (pantoprazole 20 mg od).
Initially described as anatomopathological in 1812 by Bougon et al. in the case of a 34-year-old reserve soldier who died from symptoms similar to stable angina and acute heart failure, the term “coronary artery ectasia” (CAE) was used for the first time in 1966 by Bjork et al. [1,2]. The autopsy performed in that case revealed extensive destruction of the musculo-elastic elements from the coronary artery tree, which in turn led to significant dilation of the vessels [2].
Even though for a long period of time the terms “ectasia” and “aneurysm” have been used as synonyms, it is now generally accepted that “ectasia” refers to a significant dilation of a vessel segment (an increase in luminal diameter of more than 1.5 times that of a normal adjacent segment or that of the largest vessel) that extends for more than 50% of the vessel length, whereas “aneurysm” refers to a focal dilation that is confined to less than 50% of the entire vessel length [3,4].
CAE is reported in 1.2%–8% of patients undergoing planned or emergency coronary angiography, in 0.22%–1.4% of autopsy studies, and is a potential cause of acute myocardial infarction (AMI), even in the absence of obstructive coronary atherosclerosis [4–11]. Yet, in specific clinical scenarios, like STEMI, its prevalence can reach up to 9% of cases and this is also true in cases of bicuspid aortic valve disease, with or without aneurysm of the ascending aorta [12,13].
There is male predominance in 90% of cases, without any evidence of age influence [4,5,9,14,15]. Interestingly enough, the patient described by us was a female.
Moreover, CAE tends to coexist with aneurysms in other vascular beds, especially in the ascending and abdominal aorta, popliteal arteries and veins, and pulmonary arteries, presumably because of a common pathophysiological pathway [16–18].
Defined by diffuse ectasia of the coronary artery tree and lack of obstructive atherosclerotic lesions or any other clear etiology, iCAE has lower prevalence compared to CAE: 0.008%–0.1% in patients undergoing coronary angiograms and 1.19% in a study that used coronary computed tomography angiography (CCTA) [5,9,11]
Usually diagnosed during a routine coronary angiogram performed for chronic coronary syndrome (CCS) or for an acute coronary syndrome (ACS), CAE has a vast, plurifactorial etiology (Table 1) [19].
Coronary artery ectasia etiology. ANCA, antineutrophilic cytoplasmic antibody; KCNH1, member 1 of H subfamily of voltagegated potassium channel; ATG16L1, autophagia related 16 like 1; PCI, percutaneous coronary intervention
| Etiology | Frequency |
|---|---|
| Atherosclerosis | 50% (19) |
| Smoking | (19) |
| Arterial hypertension | (19) |
Congenital:
| 20%-30% |
Inflammatory diseases:
| 10%-20% (10,19, 38, 67, 70, 71,136-140) |
| Cardiac lymphoma | (141) |
Infectious:
| (70, 142) |
| Hypertrophic cardiomyopathy | (24) |
Genetic factors:
| (19, 30, 113, 143-145) |
| Cocaine usage | (146) |
Iatrogenic:
| (25, 70) |
During this modern age when coronary interventions have become more frequent and complex, CAE should be distinguished from abnormalities resulting after PCI (aneurysms, pseudoaneurysms, plain old balloon angioplasty, drug-eluting stent (DES) implantation, atherectomy, brachytherapy) [20]. There are certain situations when vulnerable plaques, especially ulcerated ones, lead to an angiographic picture similar to aneurysmal dilation or ectasia and should be firmly distinguished from CAE, most often by means of intravascular ultrasound (IVUS) [21–23].
Hypertrophic cardiomyopathy may generate CAE since the hypertrophied myocardium acts as a large muscular bridge, causing a significant increase in intraluminal pressure, tension, and torsion, especially in systole [24].
HTN, smoking, male sex, and cocaine usage are some of the most frequent risk factors associated with CAE [25].
Smoking and dyslipidemia tend to aggravate the prognosis of CAE patients [19]. Boles et al. reviewed 16,464 coronary angiograms performed between 2003 and 2011 and selected 66 cases with CAE and minimal coronary atherosclerosis (plaques £ 20% luminal diameter) and compared them with 41 controls that had only minimal coronary atherosclerosis [26]. There was no difference between the two groups regarding gender distribution, HTN, hypercholesterolemia, or diabetes mellitus (DM), but they noted higher rates of smoking and familial history of coronary artery disease (CAD) in the former group (p = 0.001 and 0.002, respectively) and patients with CAE were associated with higher mortality rates on follow-up [26].
On the other hand, even though traditional CVRFs have not been linked with the occurrence of major adverse cardiac events (MACE) in patients with CAE, another study demonstrated that smoking is independently associated with MACE, especially with AMI [27,28].
In cocaine abusers, development of ectasia appears to be related to severe episodes of HTN and endothelial injury because of important drug-induced coronary vasoconstriction [29].
Higher rates of CAE have been noted in patients with familial hypercholesterolemia, compared to cases with obstructive coronary atherosclerosis (15% vs. 2.9%) [30].
Gunasekaran et al. reported increased rates of CVRF in their study population: HTN (89%), dyslipidemia (90%), smoking (72%), and DM (52%) [18]. This is in line with the hypothesis that CAE shares similar pathophysiological pathways with atherosclerotic CAD (inflammation, endothelial dysfunction) [31].
In contrast to all other CVRFs, DM appears to confer a protective role against the development of CAE, one probable explanation being represented by the fact that these patients exhibit less of a potent coronary compensatory dilatory mechanism (positive remodeling) than those without DM [11,32]. Also, DM is less frequent in high-grade CAE compared to low-grade CAE [18].
Apart from a few CVRFs (female sex and family history of CAD), in the study by Boles et al., the distribution of all other CVRFs was similar between patients diagnosed with CAE, with or without MACE occurrence [26]. Moreover, in the same study, the influence of CVRF on mortality in patients with CAE was negligible [26]. These findings back up a previous hypothesis according to which CAE (most notably iCAE) has a different pathogenic mechanism and is a separate entity from conventional CAD [26,33,34].
Being part of the same family of diseases (CAD), CAE shares some similarities with coronary atherosclerosis: both entities are characterized by marked degradation of the elastin and collagen fibers from the media, destruction of the internal and external elastic laminae, and the presence of lipidic deposits and hyalinization [4,16,35,36]. Also, there is evidence of a chronic inflammatory substrate with monocytes and lymphocytes in the media and adventitia, coupled with intramural hemorrhage and neovascularization in the median layer of the vessel [37].
On the other hand, the relative preservation of the intima and the extensive loss of musculo
elastic elements from the media represent fundamental differences compared to coronary atherosclerosis [38,39].
Arterial remodeling refers to the process of alteration of the cross-section of the vessel (the area extending to the external elastic lamina) in response to local biochemical and hemodynamic factors [40]. CAE is a form of extensive positive remodeling (there is an increase in the total vessel diameter with an increase in the diameter of the external elastic lamina) caused by important enzymatic degradation of the extracellular matrix from the media [41–44]. There is also significant local increase in the concentration of enzymes involved in the atherosclerotic process: cysteine proteinases (neutrophil elastase, plasmin, tryptase), cathepsins (K, L), and chymase [45,46]. The enzymes that are responsible for the matrix destruction lead to severe abnormalities in the internal elastic lamina, which then represents a gateway for inflammatory cells to migrate towards the media and start secreting matrix metalloproteinases (MMPs), causing weakening of the integrity of the arterial wall and promoting ectatic transformation of the vessel [43,47,48].
Inflammation plays a key role in atherosclerotic disease, as well as in CAE. Proinflammatory cytokines, like E-selectin, intercellular adhesion molecule 1, and vascular cell adhesion protein 1 are significantly increased in patients with iCAE, compared to patients with CAD or healthy controls [10,33].
Increased levels of MMPs 3, 9, interleukin-6, and tumor necrosis factor alpha can be detected in patients with CAE, compared to cases with CAD or healthy controls [49,50].
There appears to be a link between extensive CAE and a more profound inflammatory state, which may also be responsible for abnormalities in the coronary microcirculation, since patients with iCAE have abnormal distal perfusion, even though the epicardial flow is normal, and the degree of CAE extension is associated with the seric concentration of soluble adhesion molecules, which in turn are independently associated with coronary slow flow [51–53].
C-reactive protein (CRP) is increased in patients with CAE compared to healthy controls or patients with CAD [50,54].
Considering all the different biomarkers used for quantifying the presence of inflammation in CAE, it is reasonable to conclude that, similar to atherosclerosis, inflammation plays a major part in the pathophysiology of this disease [50].
LDLc binds to elastin, collagen fibers, and proteoglycans, which leads to oxidative transformation, increasing its affinity for extracellular matrix components [55]. By assimilating molecules of oxidized LDLc, macrophages and vascular smooth muscle cells (VSMCs) transform into foamy cells that accelerate matrix degradation, but also stimulate the expression of MMPs [56].
There is a report in which reduction of LDLc levels by means of plasmapheresis in a patient with heterozygous familial hypercholesterolemia led to angiographical improvement of the CAE grade [57].
Vascular endothelial growth factor (VEGF) is a very potent angiogenic factor and plays an important part in the inflammation cascade [10]. High seric levels have been reported in patients with CAE [58].
As mentioned earlier, neovascularization is implicated in the pathogenesis of CAE. This also happens in atherosclerotic CAD [37]. VEGF increases the expression of MMPs, thus inducing a perpetuating cycle in which inflammation is self-sustaining [59].
By inducing endothelial dysfunction, expression of inflammatory mediators, oxidative stress, cellular proliferation, fibrosis, and thrombosis, angiotensin II (AT II) is a major determinant of vascular wall integrity [60]. AT II DD gene polymorphism is associated with CAE because it leads to high plasmatic levels of AT II, which in turn stimulate interleukin-6 secretion that contributes to extracellular matrix degradation [61,62].
In the presence of CAD, insulin can promote the arterial remodeling process, because it is able to induce the migration of VSMCs from the media and thus interfere with the extracellular matrix production [63]. In patients with heterozygous familial hypercholesterolemia, there is an association between fasting insulin levels and CAE [64].
Nitric oxide (NO) can generate active metabolites, which favor the development of CAE [10]. Patients exposed to herbicides have higher frequencies of ectasia, a possible explanation being that these compounds stimulate the secretion of acetylcholine, which favors release of NO [65].
The excessive positive arterial remodeling process tends to develop in areas with low shear-stress, a common characteristic with high-risk atherosclerotic plaques [41,43,44].
In the dilated segments, both turbulent and slow flow occur in the filling and washout phase, segmental reflux, and stagnation of the dye [45]. This phenomenon correlates with the severity of the ectasia [45].
Even though CAE shares some similarities with atherosclerotic CAD, they are two completely different diseases. The former might be considered a coronary phenotype of a severe vascular systemic disorder, with common pathophysiologic pathways with the latter, despite fundamentally different morphological aspects [3].
CAE is characterized according to the classification proposed by Markis in 1976 (Table 2) [4]. Most patients fall into category IV [19]. All segments of the coronary artery tree may be involved, but usually (75% of cases), only one artery is ectatic [8,16,66].
Angiographic classification of coronary artery ectasia (modified after Markis JE, Cohn PF, Feen DJ et al. [4])
| Type | Characteristics |
|---|---|
| I | Diffuse ectasia of 2 or 3 vessels |
| II | Diffuse ectasia in 1 vessel and localized disease in another |
| III | Diffuse ectasia of 1 vessel |
| IV | Localized ectasia in 1 vessel |
Data by Hsu et al. demonstrate that the most frequently diseased artery is the RCA, followed by the LAD, and there appears to be a correlation between the presence of CAE in the LAD and RCA [66]. In our case, even though the RCA was the culprit artery for the STEMI, all three vessels were involved.
In cases where CAE coexists with atherosclerotic CAD, the proximal and middle segments of the RCA are most frequently involved [6]. In iCAE the pathologic process usually involves the artery on its entire length [67].
Boldi et al. recently published data according to which patients in their study group presented most frequently with the RCA as a diseased vessel in CAE (79.2%), followed by the LAD (40.3%), LCx (35.1%), and LMCA in a minority of cases (2.6%) [68]. Regarding the Markis classification, types I and III were the most prevalent [3].
In a study by Zografos et al., 67.2% patients had the RCA as a culprit vessel [69]. Moreover, 25 cases (80.6%) associated with a past medical history of AMI were affected by diffuse CAE (types I, II, and III), compared to only 47 (53.4%) from the group without previous AMI [69]. One noteworthy finding was that the topographical extension according to the Markis classification was independently associated with a past medical history of AMI, and it correlated with the Canadian Cardiovascular Society’s angina grade [69].
Moreover, ectasia grade associates with the coronary flow velocity and with the clinical picture [69].
The heterogeneous etiology and incompletely elucidated pathophysiology that characterize CAE are also reflected in the clinical presentation.
Possible mechanisms that lead to signs and symptoms of myocardial ischemia are:
Plaque instability with superimposed high thrombotic burden [3];
Endoluminal thrombosis caused by alterations of the coronary flow, in the absence of obstructive CAD [3];
Distal embolization from thrombotic lesions [3];
Abnormal myocardial perfusion because of slow coronary flow [3].
Patients may present with angina (most often), positive ECG stress test, and ACS, regardless of the existence of atherosclerotic CAD [45,69,70]. Ectatic segments lead to reduced coronary flow velocity (quantified by thrombolysis in myocardial infarction (TIMI) frame count), associated with stress-induced ischemia, STEMI, and non-ST-elevation myocardial infarction (NSTEMI) [7,69,70]. In their study, Zografos et al. demonstrated that most CAE cases presented with typical anginal chest pain and positive stress testing, and a minority of patients were diagnosed during a routine preoperatory coronary angiogram for valvular heart disease [69]. They are the first to publish data according to which the angiographical appearance correlates with the clinical presentation: the severity of the anginal chest pain is associated with the topographical extension of CAE and with the corrected TIMI frame count [69].
Initially, it was thought that the clinical presentation is defined by the presence of hemodynamically significant lesions, since one of the most frequent etiologies for CAE is represented by atherosclerotic CAD [71]. Yet, in the absence of obstructive stenoses, patients with CAE are still symptomatic, so that means that the flow abnormalities are on their own a significant contributor to the clinical picture, leading to chest pain and AMI [72–74]. Regardless of the presence of coronary atherosclerosis, turbulent flow is an independent risk marker for thrombotic and embolic events [68].
In the dilated segments, alteration of the normal laminar flow occurs, causing a reduction in blood velocity [69]. Slow flow is a frequent finding in CAE, since there is a disturbance in the physiological pattern of coronary flow in the filling, as well as in the washout phase [45]. Supplementary, segmental backflow and local dye stagnation are present and represent sluggish flow, which in a study by Gunasekaran et al. was reported in 43% of cases and was much more prevalent in the high-grade CAE population [18,45].
Complications of CAE may occur and are represented by thrombosis, distal embolization, vessel rupture (in the right atrium, right ventricle, coronary sinus, and in the pericardial sack generating cardiac tamponade), and compression of adjacent cardiac/ noncardiac structures [75–78].
Coronary angiography is the mainstay diagnostic modality for CAE [6,25].
IVUS is an essential adjuvant method, since it comprehensively characterizes the arterial vessel wall and the luminal diameter [6]. It helps the interventionist differentiate between true ectasia, pseudoaneurysms generated by ruptured atherosclerotic plaques, normal wall segments with adjacent stenosis, and complex plaques that angiographically mimic coronary aneurysms [6,79]. Also, IVUS aids in precisely quantifying the local thrombotic burden and the presence of calcium, so if PCI is being planned, a suitable strategy can be selected [80].
Because these patients need close monitoring and, as such, are prone to undergo multiple coronary angiograms, a three-dimensional magnetic resonance angiogram is another feasible diagnostic method, because it is able to accurately evaluate the proximal and middle coronary arterial segments without exposing the patient to ionizing radiation, or contrast medium [81].
CCTA might also be used. CAE prevalence in patients undergoing CCTA is reported to be around 8% [6]. It presents with a couple of advantages compared to conventional coronary angiography: it delivers good anatomical details (shape, maximum diameter, and presence of associated stenoses in the ectatic segments), as well as the feature of creating three-dimensional reconstructions that highlight possible anatomical and functional links with adjacent structures [82–84].
Optical coherence tomography (OCT) is another diagnostic method that can be used. Compared to IVUS, it has a higher axial and spatial resolution, which provides a better aid for assessing the dilated segments, but its tissue penetration is low, so it suffers from a loss of image definition when the distance between the anatomical targets and lenses increases [85].
Besides invasive and noninvasive imaging modalities, the total leukocyte and neutrophil count, as well as neutrophil/lymphocyte ratio (NLR) might be used and have lower values in patients with CAE, compared to healthy controls [54]. NLR does not differ compared to cases with CAD [50]. In iCAE, it correlates with the severity of the disease [86].
Red cell distribution width may also be used for diagnosis [50]. It is reported to be significantly higher in CAE patients compared to healthy controls [50].
CAE is a complex disease, possibly an aggressive phenotype of systemic atherosclerosis, with an incompletely characterized prognosis, since there is a lack of systematic clinical trials that evaluate its clinical course.
It is yet unclear whether higher Markis grades (I, II) are associated with worse clinical outcomes compared to lower grades, but patients with grades I and II have higher rates of ACS compared to those with grades III and IV [3,18]. Moreover, as was published in 1976, it does not consider the presence of sluggish coronary flow, which is a known factor for recurrent angina and ischemic events in this population [54,72,87].
Initially, it was thought that by coexisting with atherosclerotic CAD, CAE on its own does not alter the long-term prognosis, and that the clinical presentation was solely dependent on the presence of CAD [4,5,9,38,70,74].
Markis et al. reported a death rate of 15% at a two-year follow-up, and in 2018 Gunasekaran et al. demonstrated a mortality rate of 17% during a mean follow-up of 9.7 ± 2.3 years [4,18].
A study with a follow-up period of three years showed that there is a similar clinical course between cases with CAE and cases with high atherosclerotic burden [74]. In the Coronary Artery Surgery Study Registry, no difference in survival rates was observed between patients with and without CAE, with the sole exception being the association between CAE and atherosclerotic CAD [9,88]. However, new data contradict the old paradigm and demonstrate that compared to patients with minor CAD, cases with CAE are associated with worse long-term prognosis and higher rates of cardiovascular mortality [26].
Moreover, the intrinsic coronary flow alterations generated in the ectatic segments predispose patients to thrombus formation, and as such the clinical evolution of these patients is not benign [27].
From the heterogenous group of possible etiologies of CAE, patients with iCAE can be expected to have a more favorable clinical course, although 39% have proof of an old myocardial infarction, and when compared to the general population they have a higher rate of adverse clinical events [4,7]. In this disease subtype, the degree of ectasia and the backflow phenomenon in an ectatic LAD are the most powerful angiographic predictors for stress-induced ischemia [89].
Regarding angiographic assessment, TIMI frame count depends on the ectasia size, and a significant decrease in TIMI flow predisposes patients to a worse prognosis [90].
In a study by Boles et al., patients with CAE had higher rates of overall mortality and cardiovascular mortality compared to controls, and they were significantly older, smokers, and had a positive family history for CAD [26]. In this population, CAE was linked to higher rates of hospital admissions for chest pain, ACS, and arrhythmia [26].
CRP and NLR are independent predictors of disease severity, but they are not assessed by Markis subtype [50,91,92]. A cut-off of >2.35 mg/dl for high-sensitivity CRP has a 95% sensitivity for detecting CAE, and a cut-off of >2.65 for NLR generates a specificity of 95%, demonstrating that both biomarkers might be, in fact, linked to Markis grade (93). Also, they are independent predictors of the presence of CAE [93,94]. When a cut-off of 2 is used for NLR, it is able to discriminate between CAE, obstructive atherosclerotic CAD, and normal coronary arteries [94]. Also, in diffuse CAE, NLR predicts future ACS occurrence [95]. In the case of our patient, both biomarkers had normal values.
An ACS superimposed on CAE implies a higher risk of future adverse cardiovascular events during follow-up, since an ectatic infarct-related artery (EIRA) is usually associated with a complex lesion with high thrombotic burden [3].
The incidence of STEMI is similar for both CAE and non-CAE patients [9]. After comparing 25 STEMI patients with CAE to 80 STEMI cases without CAE, Shanmugam et al. published data indicating that even though there is a similar rate of adverse events during hospitalization, patients with CAE have a higher rate of recurrent myocardial infarction, unstable angina, and a higher need for surgical revascularization on the long-term follow-up [96].
The presence of an EIRA is an independent factor for a worse long-term prognosis, even though patients with CAE and ACS are already associated with an unfavorable baseline clinical risk [68,97,98].
Wang et al. compared the long-term prognosis of 174 CAE cases with AMI to 4614 AMI patients without CAE: during a median follow-up of four years, the former were associated with higher rates of AMI, stroke, and repeated coronary revascularization [99]. Also, in multivariable analysis, CAE was an independent predictor of recurrent adverse cardiovascular events [99].
Mir et al. demonstrated no statistically significant difference in all-cause mortality rates in STEMI patients with or without CAE, and, as such, it appears that the presence of no-reflow and lower TIMI grades that characterize these patients does not translate into net clinical events during follow-up [100].
CAE is a rare disease with a complex pathophysiologic background and heterogeneous clinical picture, which are reflected in the difficulty of both the clinical cardiologist and the interventionist in choosing an optimal treatment strategy, individualized for every patient, because there is a lack of randomized clinical trials addressing this issue.
Severe vascular dilation, abnormal coronary flow, and high thrombotic burden make the selection of the best treatment option challenging.
Most data derive from symptomatic patient cohorts, usually with ACS as the dominant syndrome, but there is a high percentage of patients, most often asymptomatic, with CAE diagnosed incidentally, that are not described much in clinical trials [3].
Treatment options are represented by risk factor management, medical management, and interventional and surgical management. Before deciding upon the optimal treatment strategy, patients with CAE should be extensively investigated in order to identify the precise etiology of the disease, as well as being assessed regarding the presence of abnormal dilation in other vascular territories [101].
Risk factor management:As any patient with CAD, these cases should be counseled in the optimal management of cardiovascular risk factors, including periodical vaccination against different etiologic agents.
Anti-thrombotic medication:The possible occurrence of an ACS in patients with CAE in the absence of atherosclerotic CAD raises the need for oral long-term aspirin therapy [8,102].
Patients with iCAE have high serum values of P-selectin, b-thromboglobulin, platelet factor 4, and an increase in mean platelet volume compared to healthy controls, indicative of high platelet activity, and as such, antiplatelet therapy might be the preferred treatment option [6,103,104].
Still, Pranata et al. published data according to which dual antiplatelet therapy (DAPT) is inferior compared to OAC in preventing ACS recurrence in CAE patients [45]. Cases that received OAC on top of DAPT or single antiplatelet therapy had a better clinical evolution, but most patients on the OAC regimen were on only one antiplatelet drug, so this seems to be the best option in avoiding ACS recurrence and mitigating the risk of bleeding [45].
Because CAE is characterized by severe coronary flow abnormalities, OAC was suggested as a possible long-term solution for medical management of these difficult cases. It has not, however, been studied prospectively yet [65].
Almazan et al. published data that demonstrated the benefit of warfarin in reducing the incidence of unstable angina, positive ECG stress test, and duration of silent myocardial ischemia in patients with CAE [105]. Moreover, Pranata et al. showed that OAC reduces ACS recurrence (p = 0.035) [45]. On the other hand, the risk of adverse events is lower in patients with iCAE compared to CAE and atherosclerotic CAD, so anticoagulation might not be needed [74,106].
In patients with CAE and ACS, a therapeutic INR in more than 360% of cases helps in reaching a very low rate of MACE during follow-up [98].
A few reports suggest a role for anticoagulation with and without thrombolysis in patients with CAE and ACS, and therefore we chose not to administer intracoronary thrombolysis during the acute episode [107,108].
Recently, Araiza-Garaygordobil et al. published the design and rationale of a new randomized clinical trial that is intended to evaluate the optimal anti-thrombotic regimen in CAE patients after suffering an ACS [109]. It will randomize patients between aspirin + a P2Y12 receptor antagonist and a P2Y12 receptor antagonist + rivaroxaban 15 mg o.d., and it defined as major endpoints: (1) efficacy in preventing MACE (cardiovascular death, nonfatal MI, repeated revascularization) and (2) major and minor bleeding according to a prespecified classification [109].
The antianginal medications that have been investigated follow: Nitrates: By generating supplementary dilation of the epicardic coronary arteries, which can aggravate myocardial ischemia, use of oral nitrates is discouraged in iCAE [72]. If a patient complains of aggravated angina after nitrate administration, a diagnosis of CAE should be suspected [25].
Trimetazidine: By using trimetazidine, Dogan et al. demonstrated significant reduction in the frequency and extension of ST segment downsloping and an increase in physical capacity in CAE patients with positive ECG stress test [110].
Lipid-lowering drugs: Lipid-lowering medication is also a fundamental part of the management of this disease since CAE shares common characteristics with atherosclerotic CAD. Apart from lowering cholesterol, statins can also be used for their anti-inflammatory (they reduce the expression of cyclooxygenase-2 and MMP-9) and anti-angiogenic properties, preventing rupture of atherosclerotic plaques [111]. Fan et al. published data according to which rosuvastatin helps reduce the inflammation in CAE especially in young patients [112].
ACEi and angiotensin receptor blockers: Through their anti-hypertensive effect, ACEi might be able to slow the abnormal dilation process by lowering the intramural pressure [74]. Also, because the DD polymorphism of the angiotensin-converting enzyme gene is involved in the CAE pathophysiology, ACEi along angiotensin receptor blockers might play a potential role in the complex management of this disease [102,113].
Beta-blockers: Because of the negative chronotropic effect, b-blockers lower the myocardial oxygen consumption without generating compensatory vasodilation, and as such do not promote further enlargement of the ectatic coronary arteries, making them a good therapeutic option [74,114].
Calcium channel blockers: This type of medication is useful in treating and managing patients with CAE because of its anti-hypertensive, anti-spastic effects, and for its impact on local coronary hemodynamics [75,115]. In a series of 60 cases, 5 mg of diltiazem o.d. led to a significant improvement in TIMI flow grade, TIMI frame count, and myocardial blush grade [116].
Interventional management: In the presence of obstructive atherosclerotic lesions, if medical management is not able to control the signs and symptoms of myocardial ischemia, CAE patients should undergo PCI or coronary artery bypass graft (CABG) surgery [6]. Unfortunately, there is still uncertainty regarding the management of iCAE [3].
High thrombotic quantity and major luminal diameter differences between ectatic and atherosclerotic segments of the coronary arteries represent a difficult environment for PCI in CAE [88]. The operator faces unique challenges regarding lesion approach, adequate stent sizing, possibility of stent malapposition, and occurrence of distal embolization [88]. In selected cases, interventional management was combined with unfractioned heparin infusion or thrombolysis, leading to recanalization of acute thrombotic occlusions, revealing the lack of obstructive atherosclerotic lesions underneath [76,101,117,118].
There are reports which examined the periprocedural aspects and clinical evolution of patients with CAE and ACS undergoing primary PCI: EIRA had high thrombotic quantity, a lower rate of ST segment normalization, a lower rate of development of collateral circulation, higher rates of no-reflow and distal embolization with microvascular dysfunction, compared to non-CAE cases [96,97,119,120]. Also, there is a high risk of PCI failure and long-term adverse events [96]. CAE is an independent predictor of no-reflow after primary PCI [121].
Expandable balloon stents are at risk of malapposition, and as such, auto-expandable stents are a better option, since they are deployed starting with the distal portion and then progress towards the proximal part, thus limiting the risk of distal embolization [122,123].
CAE predisposes patients to the development of stent thrombosis: residual thrombotic material, coronary flow abnormalities, and vascular wall malappositions are all factors that favor the development of such a complication [3]. Thus, IVUS is essential in guiding PCI because it aids in better defining the vascular architecture and it delivers information needed for accurate stent sizing [124].
Stent grafts covered with polytetrafluoroethylene are another option because they can isolate the ectatic segment and reduce the risk of thrombus formation [88]. The most frequently used stents are manufactured by Graftmaster (Abbott Vascular, Santa Clara, California) and PK Papyrus (Biotronik, Berlin, Germany) [3]. The disadvantages of this approach are represented by the risk of incomplete cover of the dilated segment, side-branch occlusion, late restenosis, device rigidity, and difficult delivery because of the necessity to use large sheaths and guide catheters (which increase the risk of periprocedural complications, especially in tortuous and calcified arteries) [3,8].
The risk of stent thrombosis is higher in stent grafts compared to newer generation DES [125–128]. Possible explanations are altered vascular healing, stent material-induced activation of the coagulation cascade, and neointimal proliferation at the edges of the device [129,130].
Recently, Bossard et al. proposed a new hybrid approach for treating coronary lesions in CAE: covering an implanted stent-graft into a DES to benefit from its antiproliferative properties [3]. This approach led to a low rate of adverse events on long-term follow-up with a reduced necessity for target lesion revascularization and no cases of in-stent thrombosis [3].
Some reports also show promising results of thromboaspiration, but there is insufficient data to make a strong recommendation, and it is unclear if stenting should be performed afterwards [131,132].
CABG: CABG is a first-line treatment approach when PCI is rendered unsuitable because of coronary anatomy, altered myocardial perfusion, or acute mechanical complications [133,134]. This technique usually involves ligature of the coronary artery pre- and post-ectasia, removal, and bypass of the dilated segment [6,135].
In conclusion, we presented the case of a female patient diagnosed with a rare disease, presenting itself with a life-threatening condition. More than 50 years after its first description, CAE remains a heterogenous disease, not only because of its complex etiology and pathophysiology, but also because a vast clinical picture unfolds with every patient, and there is no consensus yet regarding the optimal therapeutic management of this pathologic condition.