Cardiac non-compaction is an autosomal dominant genetic disease, involving the embryonic process of myocardial compaction. In cardiac non-compaction, there is a typical appearance of spongy left ventricular (LV) myocardium overlying a thin, compacted layer with prominent LV trabeculae and deep intertrabecular recesses which communicate with the LV lumen [1]. With a prevalence between 0.01 [2] and 0.26 [3], reports of left ventricular non-compaction (LVNC) have increased in scientific papers during the last ten years due to the progress of diagnostic imaging techniques in cardiology [4,5].
On the other hand, autosomal dominant polycystic kidney disease (ADPKD) is a rare inherited renal disease in the adult population responsible for arterial hypertension, chronic kidney disease, and polycythemia. There are some observations that demonstrate a genetic link between LVNC and ADPKD.
We describe a clinical case of LVNC associated with ADPKD in which polycythemia was the clue that led us to investigate the patient for ADPKD.
We present the case of a 56-year-old male, admitted for dyspnea on minimal efforts, accompanied by profuse sweating and paroxysmal nocturnal dyspnea with orthopnea. The patient noted the onset of symptoms around a year before admission with exertional dyspnea, which progressively worsened within the last two months. He is a former smoker (30 pack years, weaned 20 years ago), overweight (body mass index 28 kg/m2), known with essential arterial hypertension for seven years (maximum systolic blood pressure [BP] 150 mmHg), mixed dyslipidemia, and a significant hereditary history of cardiovascular disease (father – stroke at the age of 60).
On admission, the patient was conscious and cyanotic, and his arterial oxygen saturation by pulse oximetry was 92% on breathing room air, with dyspnea on speaking, orthopnea, crackles in the lower 1/3 of both lung fields, BP 140/100 mmHg, ventricular rate 100 bpm, apical impulse displaced to the left and inferiorly, non-tender smooth hepatomegaly, no edema, and discrete jugular congestion.
Blood tests (Table 1) showed erythrocytosis, moderately decreased glomerular filtration rate (eGFR 52 ml/min/1.73 m2 according to Modification of Diet in Renal Disease [MDRD) study equation), increased serum levels of uric acid, and N-terminal pro-brain natriuretic peptide (NT-proBNP). High-sensitivity troponin I (hscTnI) was also lightly elevated and not progressive.
Blood tests results
| Test | Day 1 | Day 3 | Day 7 |
|---|---|---|---|
| Hemoglobin (g/dl) | 18 | 18.7 | 17.8 |
| Erythrocyte count (x106/mm3) | 6.17 | 6.47 | 6.24 |
| Hematocrit (%) | 56 | 58.7 | 55.8 |
| Uric acid (mg/dl) | 9.68 | ||
| Creatinine (mg/dl) | 1.48 | 1.43 | 1.42 |
| eRFG (ml/min/1.73m2) | 52 | 54 | 54 |
| NT-proBNP (pg/ml) | 2346 | ||
| hs-cTnI (pg/ml) | 23.4 | 20.8 | 15.3 |
| O2 pressure in arterial blood (mmHg) | 80 | 87 | 92 |
| Erythropoietin (IU/L) | 40 (N:4.3-29) |
eGFR, estimated glomerular filtration rate according to MDRD formula (Modification of Diet in Renal Disease study equation); NT-proBNP, N-terminal pro-brain natriuretic peptide; hs-cTnI, high-sensitivity troponin I
An electrocardiogram showed sinus tachycardia and biventricular hypertrophy.
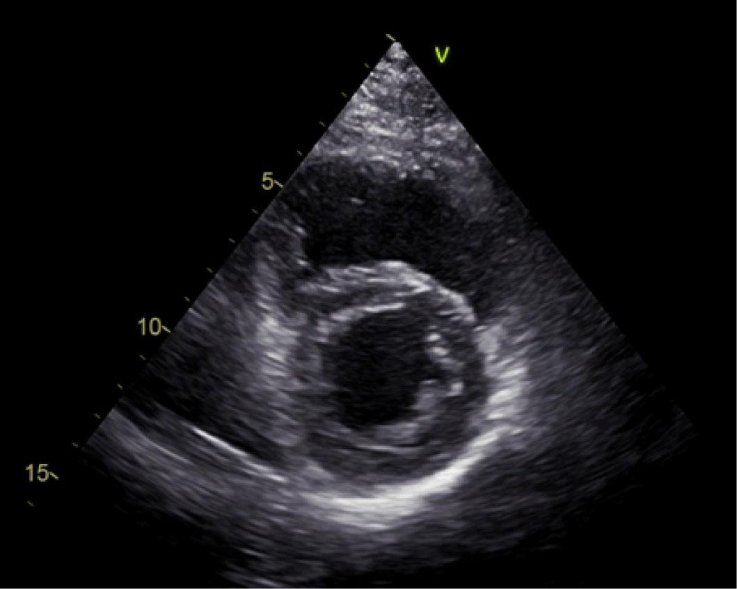
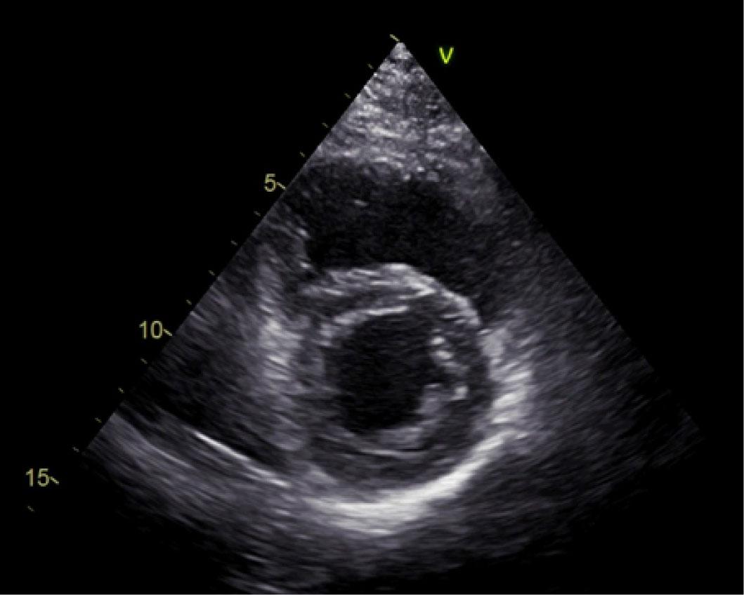
Echocardiography (Figure 1) showed moderate concentric hypertrophy of the left ventricle (LV mass index 143 g/m2, interventricular septum diastolic thickness 15 mm, posterior wall diastolic thickness 13 mm, with trabeculations at the level of the lateral wall from the middle third to the apex), diffuse hypokinesia of the LV walls, global LV systolic dysfunction, LV ejection fraction (LVEF) 30%, grade III diastolic dysfunction, increased filling pressures, dilated left atrium (left atrium volume 48 ml/m2), slightly enlarged right ventricle with systolic dysfunction, tricuspid S wave velocity determined by tissue Doppler imaging technique 0.12 m/s, moderate functional mitral regurgitation, moderate functional tricuspid regurgitation, and high probability of arterial pulmonary hypertension.

Two-dimensional parasternal short axis echocardiography (end-systolic frame)—note the thickness of the lateral wall, which appears trabeculated
At this moment our diagnosis was heart failure with reduced LVEF, NYHA (New York Heart Association) III class.
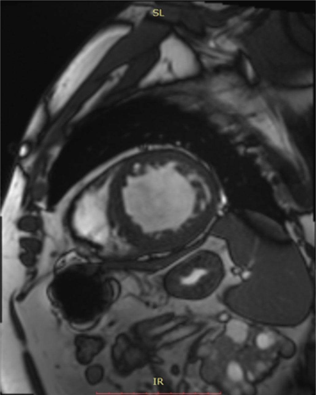
We performed further tests to assess the etiology of the LV systolic function impairment. Coronary angiography did not show significant lesions of the epicardial coronary arteries. Cardiac MRI (Figure 2) showed LV with increased indexed volumes (end-diastolic volume 108.54 ml/m2, end-systolic volume 68.34 ml/m2), with reduced systolic function (ejection fraction 37%, moderate global hypokinesia with severe hypokinesia - akinesia of the lower segment from the basal level to the middle cavity level), as well as increased mass index (136 g/m2). Additionally, the MRI revealed the maximum thickness of the LV myocardium to be 13 mm basal antero-septal and evident trabeculations at the level of the LV myocardium from the level of the middle cavity to the apex, associated with a fragmented appearance of the papillary muscles, fulfilling the criterion of non-compaction at the level of 6 segments (maximum noncompacted to compacted end-diastolic ratio 2.67), right ventricle with normal volumes and systolic function at the lower limit of normal – right ventricle ejection fraction 47%, mild-moderate mitral insufficiency. No areas of myocardial edema, scar areas or LV myocardial fibrosis, intracardiac thrombosis, or microvascular obstruction were apparent. Therefore, we concluded that the patient had heart failure due to non-compaction cardiomyopathy.

Cardiac magnetic resonance imaging showing left ventricular non-compaction criteria
We also observed a high erythrocyte and hematocrit level inappropriate in the setting of heart failure.
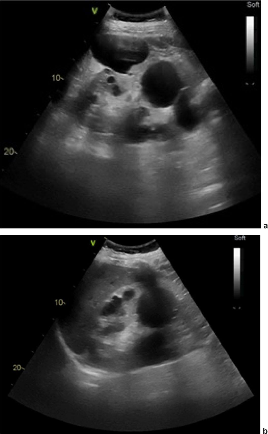
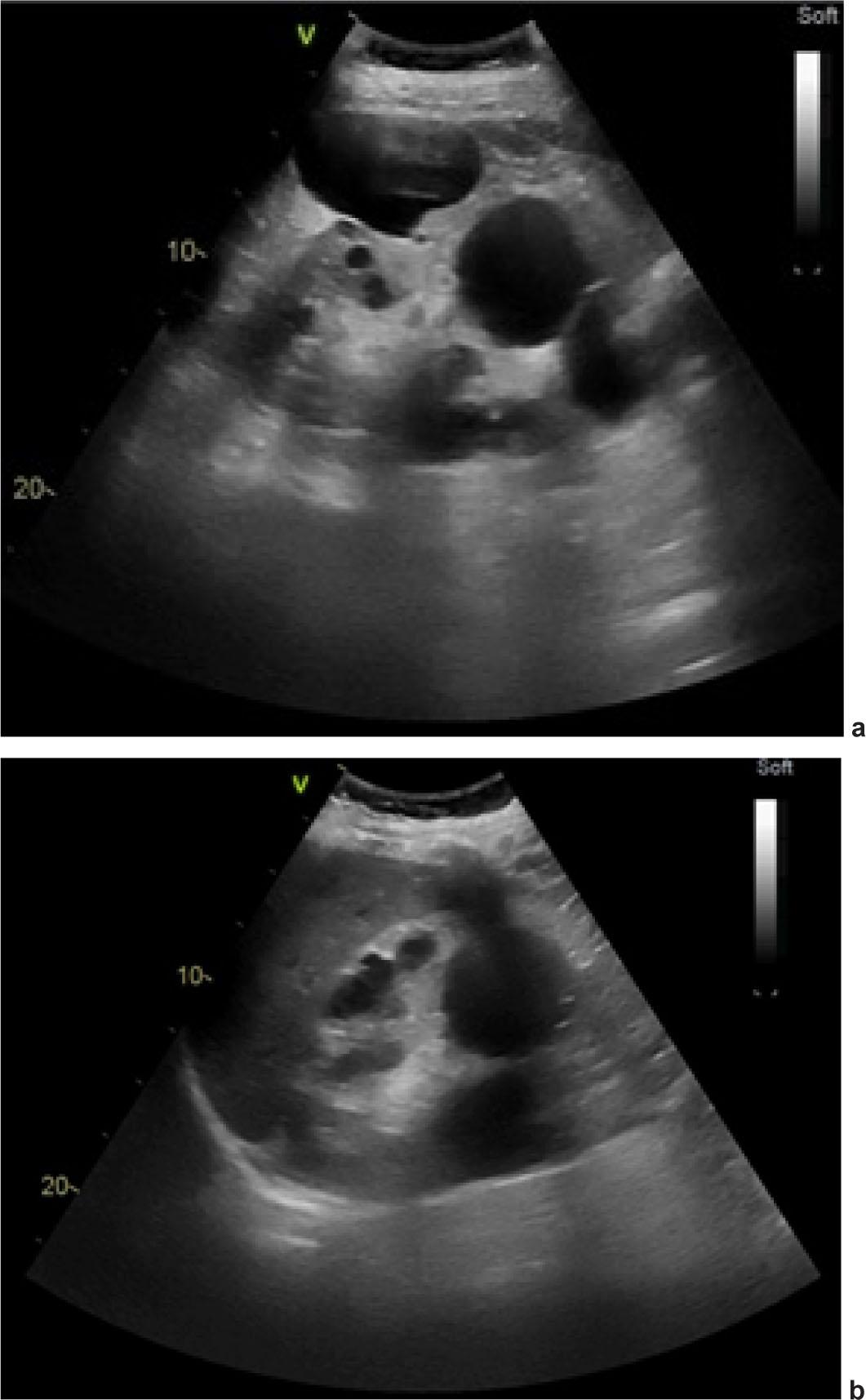
Arterial O2 pressure level was normal, erythropoietin level was slightly increased (Table 1), and Janus Kinase (JAK) 2 V617F mutation was absent. Abdominal echography (Figure 3A–B) showed enlarged kidneys (right kidney 20/12 cm, left kidney 16/11 cm), containing several round-oval formations with a clear contour, transonic content, some confluent, most likely renal cysts. At the level of the left kidney, 12 cystic images were visualized, the largest 6/3 cm. At the level of the left kidney, 8 cystic images, the largest 5/5 cm, were visualized. The presence of more than three renal cysts bilaterally is highly suggestive of polycystic kidney disease (PKD).

Abdominal ultrasound showing bilateral polycystic kidney disease: (a) Right kidney; (b) Left kidney
Our final diagnosis was NYHA III class heart failure with reduced LVEF, non-compaction cardiomyopathy, stage 3a chronic kidney disease, PKD, and secondary polycythemia. The patient received treatment for heart failure and was referred to the nephrologist, who indicated decreased protein ratio, avoidance of medication with nephrotoxic potential, and follow-up.
The patient’s only son, aged 27, was called for cardiological evaluation. He was asymptomatic but fulfilled echocardiographic criteria for LVNC and was scheduled for cardiac MRI. He had normal renal function, but an abdominal ultrasound showed bilateral renal cysts. Both father and son were directed to a referral center for cardiomyopathies and genetic testing.
Resuming the anamnesis, the patient stated that he had three brothers with polycystic renal dysplasia, but he did not keep in touch with the family, so we could not investigate them for possible cardiac involvement.
Cardiac non-compaction is a rare genetic cardiomyopathy, characterized by prominent ventricular trabeculations and deep intertrabecular recesses usually of the LV, whose systolic function progressively deteriorates. Non-compaction can also be present in the right ventricle, either isolated or in a biventricular pattern [1].
The fact that the European Society of Cardiology considers LVNC as an “unclassified cardiomyopathy,” whilst the American Heart Association recognizes it as primary genetic cardiomyopathy suggests the controversies concerning this entity [1,6,7].
There are no definite genetic mutations in LVNC, but some data suggest possible defects in the sarcomere protein gene [8], nuclear envelope, Z-band components, sarcolemma protein, ion channels proteins, desmoplakin, plakophilin 2, cytoskeletal, and some cases are associated with other congenital diseases. Either isolated or associated with other congenital heart diseases or primarily extracardiac genetic syndromes, the clinical manifestations of LVNC can occur in children as well as adults, and the most frequent complications are heart failure, thromboembolic disease, and sudden cardiac death because of severe ventricular arrhythmias [9].
Echocardiography is the handiest and most available diagnostic method and still stands as the initial approach for the evaluation of LVNC (Table 2). The accuracy of the echocardiographic diagnostic criteria is still under debate. The Chin criteria showed the highest diagnosis rate (79%), compared to the Jenni criteria (64%) and the Stollberger and Finsterer criteria (53%) [10]. Moreover, the correlation between the criteria is weak—only 30% of patients diagnosed with LVNC meet all three criteria [10]. 3D echocardiography can improve the diagnosis, but there are still many limits to echocardiography in detecting LVNC. Once the suggestive findings of LVNC have been identified by echocardiography, further evaluation is recommended, especially if the diagnosis cannot be confirmed due to poor quality image and/or alternative causes cannot be ruled out. Given the high resolution of cardiac magnetic resonance imaging (MRI), the non-compacted myocardium can be more accurately differentiated from the compacted myocardium. The most commonly used echocardiographic and MRI diagnostic criteria are summarized in Table 2, according to different authors. Although the progress of cardiac imaging techniques increased the identification of hyper trabeculation and LVNC, the overall percentage of LVNC cardiomyopathy remains very low.
Diagnostic criteria for left ventricular non-compaction cardiomyopathy
| Criteria | Description |
|---|---|
| Echocardiographic criteria | |
| Chin et al. [11] | 1. Prominent trabeculations, deep recesses |
| 2. LV free-wall thickness (ED) augmentation from base to apex | |
| 3. Gradual reduction in the X:Y ratio of myocardial thickness from the mitral valve level to the papillary muscle level (PSAX and apical views) | |
| X – from the epicardial surface to the bottom of the trabeculations | |
| Y – from the epicardial surface to the top of the trabeculations | |
| Stöllberger and Finsterer [12] | 1. Two-layered myocardium with the non-compacted layer thicker than the compacted myocardial layer (ED) |
| 2. >3 trabeculations bulging from the LV apical wall to the papillary muscle | |
| 3. Intertrabecular spaces perfused | |
| Jenni et al. [13] | 1. Bilayered myocardium, multiple prominent trabeculations (ES) |
| 2. Non-compacted to compacted ratio >2:1 | |
| 3. LV cavity communication with the intertrabecular spaces demonstrated by color Doppler | |
| 4. No coexisting cardiac abnormalities | |
| MRI criteria | |
| Petersen et al. [14] | Non-compacted to compacted ratio >2.3 (ED) |
| Jacquier et al. [15] | LV trabecular mass >20% of the global mass |
LV, left ventricular; ED, end-diastole; PSAX, parasternal short axis; ES, end-systole
Using current echocardiographic and cardiac MRI criteria, LVNC can be identified in a high percentage of patients with both dilated and hypertrophic cardiomyopathies [16,17], and MRI non-compaction criteria were identified in one out of eight LV regions in 43% of a healthy population cohort [18]. There is still a debate on whether LVNC is an anatomical phenotype rather than a distinct type of cardiomyopathy [19].
ADPKD is the most common inherited kidney disease in the adult population. The responsible genes are located in 85% of cases on the short arm of chromosome 16 (PKD1) and on the long arm of chromosome 4 (PKD2) in virtually all of the remaining 15%. PKD1 encodes a large, multidomain integral membrane protein, polycystin-1, whereas PKD2 encodes a calcium ion channel of the transient receptor potential family, polycystin-2 [20]. The dysfunction of polycystin 1 or 2 implies renal ciliary dysfunction, leading to cysts formation anywhere along the nephron segments and slow progression of renal dysfunction, with a risk of developing end-stage renal disease that increases progressively from 2% in patients under 40 to 50% in patients 70 and older [21,22,23,24]. Chronic kidney disease in ADPKD can be associated with normal or high serum levels of hemoglobin/hematocrit, and this can suggest ADPKD as the etiology of renal failure. ADPKD1 is expressed also in the heart and experimental data demonstrate that polycystins might have an important role in cardiac development and PKD1 and PKD2 mutations may predispose to primary cardiomyopathies [25]. Extracellular signals regulate cellular processes after the interaction with polycystin complex. Boulter et al. demonstrated the occurrence of cardiovascular, skeletal, and renal defects in mice with a targeted disruption of the PKD1 gene [26]. Suwa et al. identified a heterozygous frameshift mutation in exon 38 in PKD1 in the heart of a 70-year-old man with dilated cardiomyopathy and ADPKD [27].
Autosomal recessive polycystic kidney disease (ARPKD) is a rare entity, with the responsible gene (PKDHD1) located on the short arm of chromosome 6 [28]. PKDHD1 encodes for fibrocystin/polyductin, a protein expressed on the cilia of epithelial cells within renal and bile ducts, essentially involved in maintaining the normal architecture of renal tubules and bile ducts. ARPKD is characterized by cystic dilatation of renal collecting ducts associated with varying degrees of renal interstitial fibrosis leading to renal dysfunction, biliary dysgenesis, as well as hepatic fibrosis. Severe renal function impairment may determine intrauterine or neonatal death. In patients who survive the neonatal period prognosis is mainly determined by hepatic fibrosis complications [29].
We present the case of a patient with LVNC, heart failure, and PKD revealed by inappropriate polycythemia in the setting of chronic heart failure.
Usually, heart failure is associated with anemia which occurs in 10–50% of hospitalized patients [30]. Polycythemia is an unusual finding in these conditions, and thus further tests were required. In our patient, the JAK 2 gene was absent, and by applying the algorithm [31,32] for the evaluation of patients with erythrocytosis (Figure 4), we discovered that the patient also had polycystic kidney disease. His son also had polycystic kidney disease and LVNC.

Algorithm for the evaluation of patients with erythrocytosis
To our knowledge, there are only a few isolated cases of associated ADPKD and LVNC reported in the literature so far [33,34,35], and only one shows this association in more than one member of the same family in two siblings [36]. Some experimental data suggest that the deletion of PKD1 genes responsible for PKD is linked to myocardial disorganized arrangement [26].
Lubrano et al. reported on a pediatric case of ADPKD and LVNC [37]. Katukuri et al. described an association between PKD and LVNC in a 37-year-old man whose father also had PKD and who died at the age of 50 from an unknown heart disease [38]. Briongos-Figuero et al. reported the case of two siblings with LVNC and hepatorenal polycystosis [36]. Rani et al. reported the case of a 65-year-old man with PKD and LVNC with acute left ventricular failure and cardiogenic cerebral embolism [39].
On the other hand, Shadi Akhtari et al. did not demonstrate an association between PKD and LVNC in 36 patients with PKD in which they performed a cardiac MRI study. They concluded that the case reports in the literature represent a coexistence of both diseases rather than a true association [40]. However, according to the experimental data which demonstrate the implications of polycystic kidney genes PKD1 and PKD2 in the normal embryonic evolution of the myocardium, the possible association between the two diseases cannot be ruled out. Further genetic tests in the few reported cases may clarify whether the occurrence of LVNC and ADPKD in the same family is the result of complex genetic interactions or just a simple coincidence [40].
Unusual clinical or laboratory findings in a patient with a certain disease should encourage the search for the coexistence of other associated conditions. In our case, polycythemia in the setting of LVNC with heart failure led to the discovery of ADPKD. Although rare, the association between LVNC cardiomyopathy and polycystic kidney disease has been described in the literature, raising the issue of a more than accidental association, most likely explained by complex interactions between the genes involved in the development of these two conditions, which remain to be elucidated upon.