Skip to main content
Have a personal or library account? Click to login
Sometimes Late Is Better Than Never: Implantation of a Cardioverter Defibrillator Years after an Acute Myocardial Infarction —Case Report Cover

Sometimes Late Is Better Than Never: Implantation of a Cardioverter Defibrillator Years after an Acute Myocardial Infarction —Case Report

Open Access
|Jun 2022

Figures & Tables

Figure 1

12-lead electrocardiogram (ECG) after successful resuscitation showing sinus rhythm and old inferior infarct (similar to old ECGs).

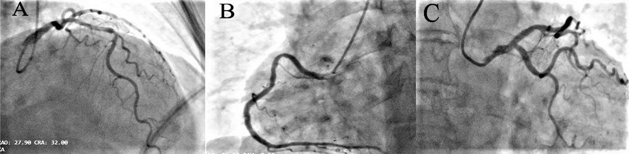
Figure 2

Coronary angiography. Panel A: The left anterior descending artery (LAD) showing permeable proximal stent and no other significant stenosis; Panel B: Right coronary artery (RCA) with proximal plaque with no angiographic significance; Panel C: Left circumflex artery (LCX) with no lesions.

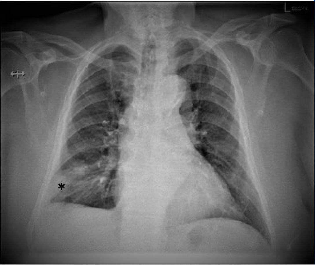
Figure 3

Chest x-ray that shows right lower lobe condensation opacity, without aerial bronchogram suggestive of pulmonary infarct.

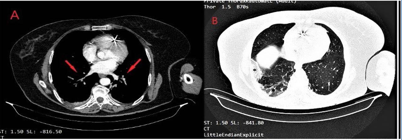
Figure 4

Contrast pulmonary CT scan. Panel A: multiple bilateral thrombi in segmental and subsegmental pulmonary arteries; Panel B: alveolar and interstitial densification areas localized in the lower inferior right lobe – probably pulmonary infarcts.
DOI: https://doi.org/10.2478/rjc-2022-0008 | Journal eISSN: 2734-6382 | Journal ISSN: 1220-658X
Language: English
Page range: 31 - 34
Published on: Jun 4, 2022
In partnership with: Paradigm Publishing Services
Publication frequency: 4 issues per year

© 2022 Maria Zamfirescu, Miruna Florina Ștefan, Vlad Damian Vintila, Stefania Lucia Magda, published by Romanian Society of Cardiology
This work is licensed under the Creative Commons Attribution 4.0 License.