Early sustained monomorphic ventricular tachycardia (SMVT) in the setting of acute MI is associated with higher in-hospital mortality due to cardiac arrest and possibly to exacerbation of ischemia and necrosis extension [1]. Fortunately, its incidence has declined over the years, because of the recent introduction of more effective perfusion strategies [1]. SMVT usually reflects myocardial scarring and a permanent arrhythmic substrate. Therefore, this arrhythmia, even soon after an acute myocardial infarction (MI), may have different implications than non-sustained ventricular tachycardia (SNVT) or ventricular fibrillation (VF), and it is not clear if SMVT at any point should be considered a transient phenomenon. Whether early SMVT is associated with an increased long-term mortality risk among contemporary patients undergoing revascularization is unclear [1].
It is now confirmed that SARS-CoV2 infection is associated with high thromboembolic risk, especially in severe hospitalized cases [2]. Management of significant SARS-COV-2 infection includes prophylactic anticoagulation and even therapeutic anticoagulation in critically ill hospitalized patients [5]. It is not yet clear if prophylactic anticoagulation is feasible in post-discharge patients. The long-term risk of thromboembolic events in discharged patients is not well established.
A few recent studies suggest that SARS-CoV2 infection-induced subclinical cardiac damage is more common than initially thought. Magnetic resonance imaging (MRI) examinations in post-COVID patients show myocardial edema, fibrosis, and impaired right ventricle function [4]. However, it is yet unknown whether there is sustained cardiac involvement after patients’ recovery from COVID-19 [6].
A 62-year-old woman was brought to our emergency department with successfully resuscitated pulseless, monomorphic ventricular tachycardia in the prehospital setting. The patient did not experience chest pain before collapsing. She has many cardiovascular risk factors (dyslipidemic, diabetic, hypertensive), with hypothyroidism under treatment. She also has a history of inferior and right ventricle MI treated with thrombolysis and percutaneous coronary intervention (PCI) of the right coronary artery (RCA) and left anterior descending artery (LAD), complicated with early SMVT and moderate left ventricular systolic dysfunction. Recently, she suffered moderate to severe COVID-19 pneumonia for which she required hospitalization, with consequent pulmonary sequelae. The patient has good therapeutic compliance (at home treatment includes aspirin, low dose rivaroxaban, statins, ezetimibe, sartan, spironolactone, beta blocker, ivabradine, trimetazidine, oral diabetic medication including SGLT1 inhibitors, and thyroid substitution therapy) and according to her medical documents, she had a good cardiovascular evolution, without post-MI heart failure phenomena or chest pain.
Upon admission, the patient was hemodynamically and respiratory stable, without signs or symptoms of heart failure; she had elevated systolic blood pressure, regular heart beat at 66 bpm, and a discrete systolic murmur in the mitral area. Electrocardiogram (ECG) on the ambulance strip showed regular wide complex tachycardia suggestive of SMVT (not available). After successful cardioversion, the ECG was similar to prior ECGs (see Figure 1 for inferior myocardial infarction sequelae). Highly sensitive troponin came back negative. The value of the N-terminal prohormone of brain natriuretic peptide (NTproBNP) was 184 pg/mL, below the diagnostic cut-off for heart failure. She was slightly anemic with normal erythrocyte parameters and important inflammatory syndrome, and she had a small increase in serum creatinine. She also had severely elevated thyroid stimulating hormone (TSH), metabolically controlled diabetes and an above target-value LDL cholesterol. Echocardiography showed preserved systolic function with no new regional wall motion abnormalities. Furthermore, she underwent diagnostic coronary angiography which showed no new lesions and permeable prior stents (Figure 2). No indicative signs of acute ischemia were found, nor any other reversible causes. We also took into account the possibility of subclinical persistent myocardial injury post-covid, which could have precipitated the ventricular arrhythmia; but unfortunately, cardiac MRI was not available at the time. Per current guidelines, the patient had a class I indication of receiving an implantable cardioverter defibrillator (ICD), an intervention that occurred early in the hospitalization with no periprocedural complications.
Figure 1
12-lead electrocardiogram (ECG) after successful resuscitation showing sinus rhythm and old inferior infarct (similar to old ECGs).

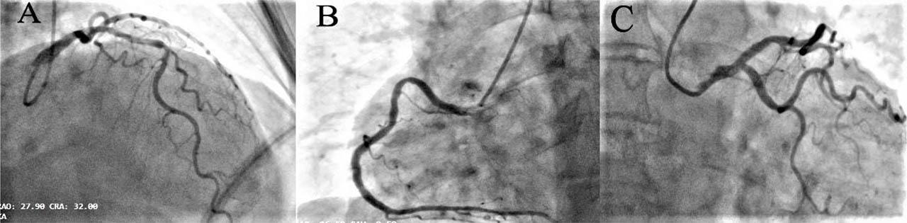
Figure 2
Coronary angiography. Panel A: The left anterior descending artery (LAD) showing permeable proximal stent and no other significant stenosis; Panel B: Right coronary artery (RCA) with proximal plaque with no angiographic significance; Panel C: Left circumflex artery (LCX) with no lesions.

On the 5th day of hospitalization, the patient suddenly developed latero-thoracic pleuritic pain and dyspnea with normal physical examination and an x-ray that raised the suspicion of pulmonary infarct (Figure 3). A computed tomography (CT) scan showed numerous bilateral pulmonary thrombi in segmental and subsegmental arteries and confirmed a pulmonary infarction in the right lower lobe (Figure 4). The diagnosis of low-risk pulmonary embolism was established, and parenteral anticoagulation was initiated.
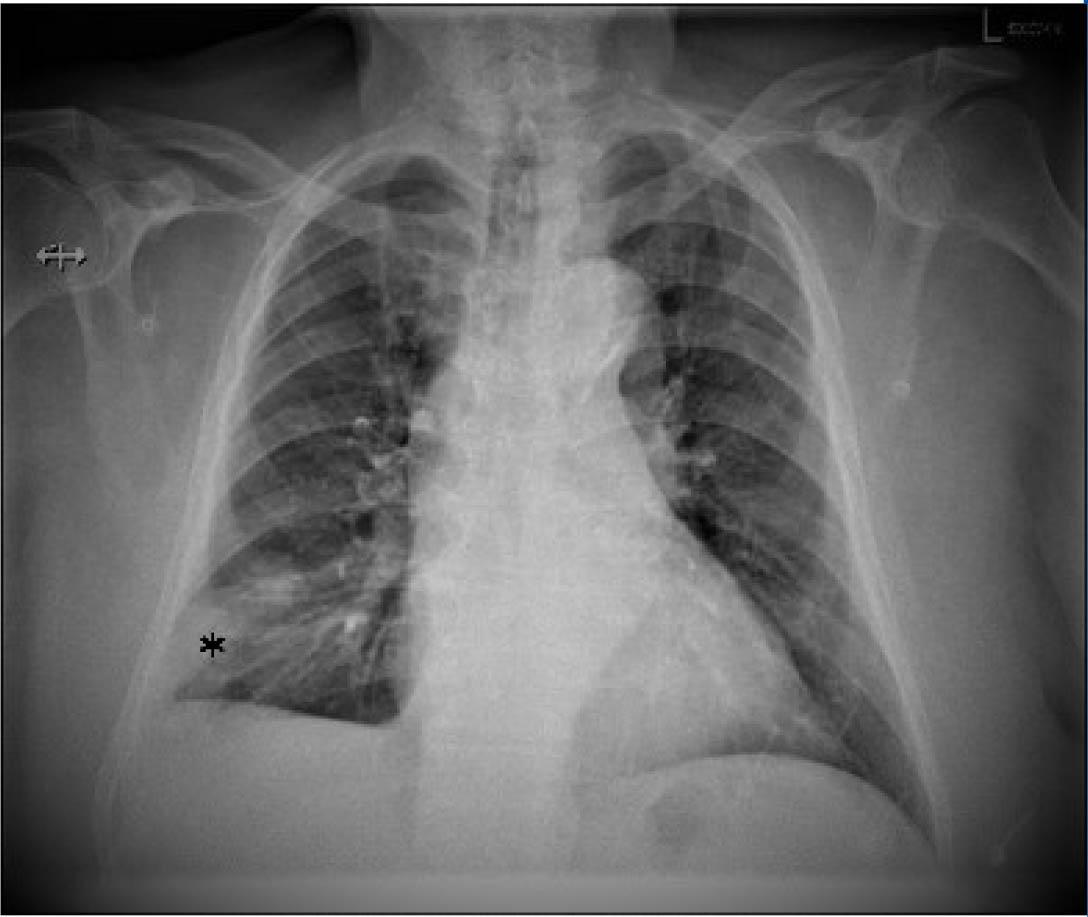
Figure 3
Chest x-ray that shows right lower lobe condensation opacity, without aerial bronchogram suggestive of pulmonary infarct.

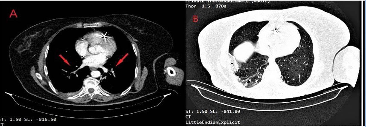
Figure 4
Contrast pulmonary CT scan. Panel A: multiple bilateral thrombi in segmental and subsegmental pulmonary arteries; Panel B: alveolar and interstitial densification areas localized in the lower inferior right lobe – probably pulmonary infarcts.

Patient anamnesis was repeated, without discovering classical risk factors for thromboembolic events, except for the recent history of COVID-19 pneumonia (5 months previously) for which she was anticoagulated with a prophylactic dose during hospitalization and 1 month after discharge.
The patient was discharged on apixaban, beta-blocker therapy, sartan, calcium channel blockers, high dose statin, ezetimibe, SGLT1 inhibitors, and amiodarone.
We presented the case of a 62-year-old woman, with myocardial infarction five years previously, initially complicated with SMVT, with favorable evolution throughout the subsequent years, and a recent history of COVID-19 pneumonia, who developed the same malignant ventricular arrhythmia, without any biological, electrical and angiographic findings of acute ischemia.
In-hospital mortality reaches 20% in the setting of acute MI complicated with sustained ventricular arrhythmias, but, in the long-term, the prognosis of such a patient is unclear [1]. According to recent guidelines, estimation of the risk of sudden cardiac death (SCD) is established by calculating the left ventricular ejection fraction (an LVEF <35% presents very high risk) in association with functional NYHA class. These two parameters guide the selection of patients for implantation of an ICD as the primary prevention of SCD. There are some other parameters mentioned in the 2015 ESC guidelines which, in theory, could be used in the estimation of SCD risk, but they haven’t been proved helpful in daily clinical practice [7]. Sustained ventricular arrhythmias are not considered in the assessment of the risk, even though SMVT in particular is indicative of permanent arrhythmic substrate [1]. The guide recommends as a class IIA indication the use of programmed ventricular stimulation in patients with preserved ventricular ejection fraction and a history of acute MI but in association with syncope of unexplained cause [7]. Until now, no noninvasive technique has been proved helpful in calculating the risk of SCD in asymptomatic patients, with previous MI and preserved systolic function.
It is well established that SARS-COV-2 infection is strongly associated with a hypercoagulable status, most certainly proportional to the severity of disease [5]. The overall venous thromboembolism (VTE) rate was 21%, with a deep vein thrombosis (DVT) rate of 20% and a pulmonary embolism (PE) rate of 13% [5]. In outpatients previously hospitalized for COVID-19, the thromboembolic risk appears to be similar to that of patients with other chronic diseases with recent hospitalization [8,9]. The mean time from release to diagnosing thromboembolic disease in post-covid patients is around eight days and the maximum time is about 33 days, in some studies [8,9]. Even though our patient had COVID 5 months ago, the lack of other classical risk factors for PE lead to the conclusion that the event was triggered by the COVID infection. Ayesha Jamil et al. and Muhanad Taha et al. also report two cases of patients with mild covid infection who were diagnosed with low-risk PE months after initial diagnosis, but these are the only similar references in current literature [10,11].
Considering the insidious myocardial involvement of COVID-19 disease, the possibility of subclinical persistent myocardial injury in this patient cannot be excluded [4]. Most ventricular arrhythmias occur in hospitalized patients with severe disease, in the setting of direct myocardial injury or as a result of therapy [12]. However, there are some studies that claim that myocardial inflammation can persist beyond the acute setting [13]. In this context, it is possible that the ventricular arrhythmia was triggered by persistent myocardial inflammation. Unfortunately, a cardiac MRI was not done before the implantation of the ICD.
Case peculiarity is represented by the recurrence of an arrhythmia in an asymptomatic patient with an MI five years previously, initially complicated with the same type of arrhythmia, in association with pulmonary embolism consequent to COVID-19 pneumonia 5 months before and possible subclinical myocardial damage.
This case brings attention to the need for better estimation of the risk of sudden cardiac death in patients with previous MI, preserved EF, and no heart failure. Also, COVID-19 infection could imply a prolonged increased thromboembolic risk for which it might be necessary to initiate a more rigorous strategy of thromboprophylaxis. Insidious myocardial involvement in post-covid patients with subsequent myocardial fibrosis could be a trigger for ventricular arrhythmias.