Venous thromboembolism (VTE) comprises two major clinical entities: deep vein thrombosis (DVT) and pulmonary thromboembolism (PE), which together represent the third most common cause of cardiovascular death (1). Acute PE is a serious problem due to the lack of specific symptoms, which complicates early diagnosis. Epidemiological data show an alarmingly high mortality rate associated with this condition. A European study conducted in 2004 reported over 370,000 deaths due to PE, of which 34% occurred before the initiation of drug treatment (2). Combined oral contraceptives (COCs) are a known risk factor for VTE, with studies demonstrating a significant increase in the relative risk of VTE among COC users, regardless of their generation, compared with non-users (3).
This article highlights the impact of COC use on the risk of PE, by analysing representative clinical cases, emphasising the diagnostic difficulties of PE and the need for a rigorous assessment of thrombotic risk factors before prescribing hormonal contraceptives.
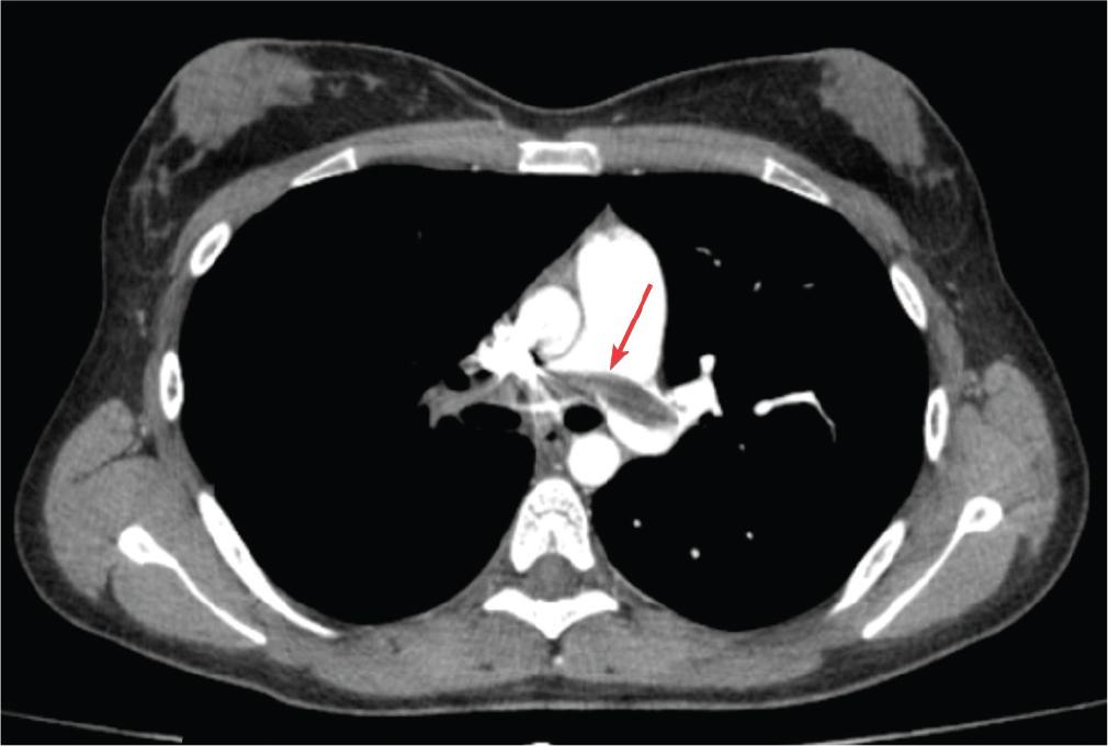
Patient A, a 22-year-old non-smoker with a 5-month history of COC use for dysmenorrhoea, presented with dyspnoea and palpitations with an acute onset 48 hr after physical exertion. The clinical examination revealed tachypnoea, peripheral oxygen saturation (SpO2) of 90%–91%, mild tachycardia (112 bpm) and arterial hypotension (90/60 mmHg). Given the clinical presentation and according to the revised Geneva score, the patient exhibited an intermediate clinical probability of PE (4). Blood tests indicated a low haemoglobin value of 9.9 g/dL, evidence of an inflammatory syndrome (C-reactive protein (CRP) = 58.11 mg/L) and elevated D-dimers (700 ng/mL). The electrocardiogram (ECG) revealed an incomplete right bundle branch block, and echocardiography showed moderate tricuspid regurgitation, moderate pulmonary hypertension (PH) with an estimated systolic pulmonary arterial pressure (sPAP) of 44 mmHg. Computed tomography (CT) confirmed the presence of a massive occlusive PE in the main pulmonary arteries and the ‘saddle’ of the pulmonary trunk, along with pulmonary infarctions in the lower lobes (Figures 1 and 2). Based on these findings and the clinical presentation, the patient was diagnosed with high-risk PE (4). Considering the haemodynamic status and the recent onset of symptoms (within 48 hr), the patient was admitted to the intensive care unit. She received systemic thrombolytic therapy (Alteplase), intravenous (IV) anticoagulation with an initial bolus of unfractionated heparin (UFH) 5000 IU followed by continuous infusion of 1200 IU/hr, as well as supplemental oxygen therapy. After 3 days, the patient’s condition significantly improved, allowing for transfer to the clinical pneumology ward, where anticoagulant therapy was continued with enoxaparin 0.6 mL s.c. every 12 hr for 7 days. The clinical evolution was favourable. Upon discharge, oral anticoagulation with apixaban was initiated at a dose of 10 mg every 12 hr for 7 days, followed by 5 mg every 12 hr, in accordance with international guidelines (5). Given the patient’s young age and the recent diagnosis of PE, suspicion of a possible thrombophilia was raised, and COC therapy was discontinued. The haematological consultation revealed a type III protein S deficiency and heterozygous Methylenetetrahydrofolate reductase (MTHFR) mutation. The patient stopped anticoagulant treatment after 6 months.

Contrast-enhanced chest CT scan: massive occlusive PE in the ‘saddle’ of the pulmonary trunk. CT, computed tomography; PE, pulmonary thromboembolism.

Contrast enhanced chest CT scan: pulmonary infarctions. CT, computed tomography.
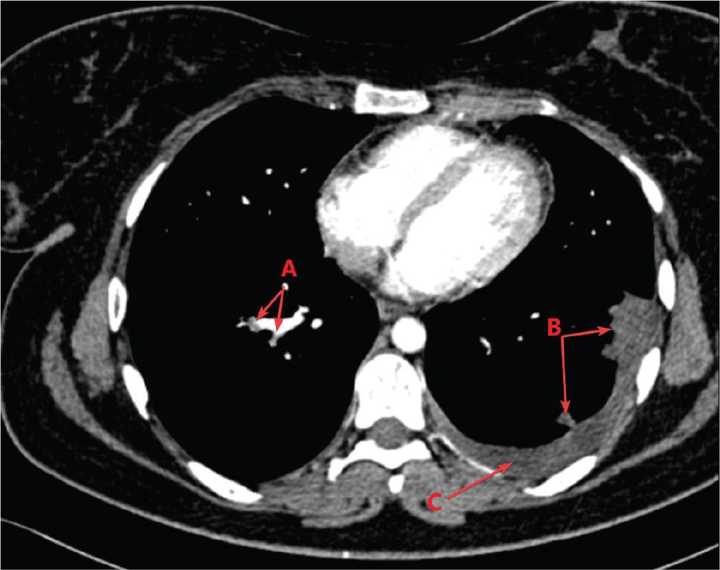
Patient B, a 22-year-old non-smoker with a 5-month history of COC use for hirsutism and dysmenorrhoea, presented with progressive exertional dyspnoea and posterior chest pain aggravated by movement and deep inspiration, symptoms that had been present for approximately 1 month. These symptoms prompted a referral to another medical facility, where she was diagnosed with pneumonia and treated with broad-spectrum antibiotics, but without significant improvement. Physical examination revealed an SpO2 of 96%, tachycardia of 100 bpm and normal blood pressure (115/75 mmHg). According to the revised Geneva score, the patient was classified as having an intermediate clinical probability of PE (4). Blood tests indicated a mildly low haemoglobin (11.1 g/dL), an inflammatory syndrome (CRP = 38.65 mg/L) and elevated D-dimers (715 ng/mL). The ECG showed inverted T waves in V1–V3, and echocardiography revealed moderate tricuspid regurgitation, moderate PH and sPAP of 44 mmHg. Chest CT confirmed PE in the bilateral subsegmental arteries, with bilateral pulmonary infarcts and bilateral pleural effusion (Figure 3). Based on the clinical and paraclinical findings, the patient was diagnosed with low-risk PE, in accordance with current risk stratification guidelines (4). Anticoagulation treatment was initially administered with enoxaparin 0.8 mL s.c. every 12 hr for 5 days, followed by apixaban 10 mg twice daily for 7 days, and subsequently continued with a maintenance dose of 5 mg twice daily, according to international recommendations (5), with good clinical evolution. COC therapy was discontinued. The patient was discharged on the seventh day of hospitalisation with the recommendation to continue oral anticoagulation with apixaban. Haematology consultation revealed the presence of a heterozygous factor V Leiden mutation, and anticoagulant treatment was discontinued after 6 months, in accordance with haematological guidelines (6).

Contrast-enhanced chest CT scan: (A) PE, (B) pulmonary infarcts, (C) pleural effusion. CT, computed tomography; PE, pulmonary thromboembolism.
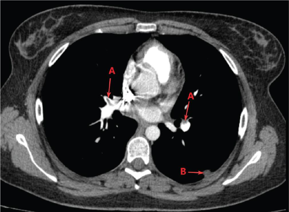
Patient C, a 23-year-old smoker with a 6-month history of COC use for dysmenorrhoea, presented to the emergency room with dyspnoea on minimal exertion, dry cough and posterior chest pain. The symptoms, which had started a month earlier and were initially diagnosed as pneumonia at another medical institution, did not improve with antibiotic treatment. On presentation, the patient was dyspnoeic, tachypnoeic, with respiratory failure (SpO2 of 89%, corrected to 97% with O2), tachycardia (106 bpm) and low blood pressure (90/55 mmHg). She was classified with an intermediate probability of PE according to the revised Geneva score (4). Blood tests revealed mildly low haemoglobin (11.2 g/dL), inflammatory syndrome (CRP = 44.53 mg/L) and elevated D-dimers (582 ng/mL). The ECG showed inverted T waves in V1–V3, and echocardiography detected moderate tricuspid regurgitation, severe PH, right ventricular dilation and sPAP of 80 mmHg. The chest CT confirmed the presence of thrombi in both pulmonary arteries in the distal segment, extending to the lobar and segmental arteries, as well as subpleural pulmonary consolidations apico-dorsal left upper lobe (LUL), upper and lower left lower lobe (LLL) segments and right basal – suggestive of pulmonary infarctions (Figure 4). Given the haemodynamic and respiratory instability, the patient was diagnosed with PE with a high mortality risk and was admitted to the intensive care unit, where she received UFH 5000 IU in a bolus, followed by 1300 IU/hr via syringe driver. At that time, thrombolytic treatment was not deemed appropriate, considering that the patient reported the onset of symptoms 1 month earlier to presentation. The COC therapy was stopped. After 7 days in the intensive care unit, her condition had stabilised, with decreased oxygen requirements and improved blood pressure. She was transferred to the pulmonology ward, and the treatment was continued with enoxaparin 0.8 mL s.c. every 12 hr for another 5 days. The evolution was favourable, and upon discharge on the 12th day, oral anticoagulant treatment with apixaban – 10 mg every 12 hr for 7 days, followed by 5 mg every 12 hr – was recommended. Following the haematological consultation, the patient was diagnosed with antiphospholipid syndrome. She remains under haematological monitoring and is currently continuing anticoagulant treatment with acenocoumarol, with the dose being adjusted based on regular international normalized ratio (INR) measurements. Extensive Doppler evaluation did not confirm DVT in the lower limbs.

Contrast-enhanced chest CT scan: (A) PE, (B) pulmonary infarcts. CT, computed tomography; PE, pulmonary thromboembolism.
PE is a potentially fatal pathology, often underdiagnosed in young patients. Being a condition with non-specific symptoms, the diagnosis of PE is often challenging for clinicians, especially in the absence of obvious thrombotic risk factors. Combined COCs are considered a moderate risk factor for VTE (4); however, their use is the most common risk factor in women of reproductive age (7), even though the absolute risk of VTE remains low (0.06 cases per 100 women/year) (8). In the cases presented, all patients were young, without a history of thrombotic events, but with acquired risk factors, namely the use of COCs. All three patients presented with non-specific clinical manifestations, though suggestive of PE. In some cases, the initial diagnosis was erroneous, and in two of them, the delay in diagnosis was significant. This situation highlights the importance of a detailed history and a high clinical suspicion for persistent respiratory symptoms in patients with thrombotic risk factors.
D-dimers are markers of the concomitant activation of coagulation and fibrinolysis, and their levels are elevated in the presence of acute thrombosis. Although the positive predictive value of elevated D-dimer levels is low, meaning that a positive result does not confirm the diagnosis of PE, they have a high negative predictive value. Thus, a normal D-dimer level makes the presence of VTE, including PE, unlikely (4). In clinical practice, D-dimer determination is useful for excluding PE in patients with low or intermediate probability. A level >500 ng/mL, correlated with specific symptoms, is considered to justify additional imaging investigations to confirm the diagnosis (4). All patients were clinically assessed as having an intermediate probability of PE based on the revised Geneva score (4), while elevated D-dimer levels aided diagnostic orientation and guided further investigations.
Chest CT is the method of choice for the diagnosis of PE (4). Studies show that this investigation has a sensitivity of 83% and a specificity of 96% in detecting PE (9). In our cases, the CT confirmed the presence of PE, also highlighting pulmonary infarcts. Literature suggests an increased predisposition to pulmonary infarction in young patients, with a peak incidence around the age of 40 years (10). This aspect emphasises the importance of maintaining a high degree of clinical suspicion in young patients with persistent respiratory symptoms, including dyspnoea and chest pain.
Anticoagulation treatment was initiated according to international guidelines (4), with favourable results. In the case of patient A, the use of systemic thrombolysis was justified by the presence of high-risk PE and the rapid diagnosis (within the first 48 hr of symptom onset). In contrast, patient C, also diagnosed with high-risk PE, presented 1 month after symptom onset, making systemic thrombolysis deemed inappropriate in this instance.
Given the diagnosis of PE in these patients, a haematological consultation was recommended upon discharge to identify a possible coagulopathy. Subsequent evaluation revealed the presence of thrombophilic abnormalities with varying degrees of risk for recurrence of thromboembolic events. Although current guidelines do not recommend routine genetic testing for thrombophilias before initiating hormonal contraceptive therapy (11), we consider that these cases highlight the importance of a careful anamnestic, clinical and laboratory evaluation, such as complete blood count, coagulation profile, liver function tests, and, in selected cases, targetted thrombophilia screening, before prescribing them. It is important to emphasise that VTE and PE have significant mortality and morbidity, implying additional costs for diagnosis, treatment and management of long-term complications, such as recurrence of thromboembolic events, post-thrombotic syndrome or chronic thromboembolic PH. In this context, the decision regarding duration of anticoagulant treatment post-PE in the above patients was individualised, taking into account both severity of the thrombotic episode and thrombophilic status of each one. So, for patients A and B, long-term anticoagulation (beyond 6 months) was not considered necessary, as current evidence indicates a low-to-moderate risk of recurrent VTE associated with these inherited thrombophilias (6, 12). Additionally, following specialist consultations, COC therapy was discontinued in both cases. In contrast, for patient C, a transition to vitamin K antagonist therapy was decided, with monitoring of the INR value in accordance with international recommendations (13). The decision regarding the duration of anticoagulation in this case will be deferred to the expertise of the haematologist, who will tailor the treatment plan based on the evolving clinical and laboratory profile.
The importance of presenting these cases lies in the fact that all three patients were young, without a history of thrombosis, but with acquired risk factors, and were initially misdiagnosed with other conditions. The particularity of these cases lies in the need for different therapeutic approaches, adapted to the severity of each situation. The subsequent identification of coagulopathies in all patients emphasises the importance of a rigorous evaluation before prescribing COCs and of a high clinical suspicion in the face of persistent respiratory symptoms.
In conclusion, these clinical cases emphasise the importance of early recognition and diagnosis of PE in young patients, especially in the presence of predisposing risk factors. Although guidelines do not recommend routine genetic testing before initiating hormonal therapy, these cases highlight the importance of a thorough anamnestic and clinical evaluation, which allows the identification of patients at increased risk of thrombotic events. Treatment should be adapted to each case, based on clinical and paraclinical evaluation. We reiterate that PE not only has significant mortality but also a major impact on long-term quality of life.