Stilbonematinae are free-living marine nematodes that live in symbiosis with sulfur-oxidizing bacterial ectosymbionts, which densely cover most of the nematode’s body surface. To perform chemosynthesis, these symbionts rely on vertical movement provided by their hosts, allowing access to both oxidizing agents (e.g., oxygen, nitrate) in the upper sediment layers and reducing agents (e.g., sulfide) in deeper layers. In return, the nematodes evidently feed on their symbionts. Although direct observations of feeding are still lacking, reported (Hoschitz et al., 2001; Jensen, 1987; Riemann et al., 2003, Scharhauser et al., 2024) and observed (Ott, unpublished data; Pröts, unpublished data) gut contents, showing the identical bacterial morphotype (including their intracellular inclusions) as the ectosymbionts on the cuticle, and stable carbon isotope ratios (δ 13C, Ott et al., 1991) strongly support this hypothesis. The nematode pharynx serves as a suction pump and is the primary organ for food intake. Within the phylum, several pharynx types are distinguished (Decraemer et al., 2014; Pröts et al., 2024). The simplest is the one-part pharynx, characterized by a muscular anterior region and a posterior region that is both muscular and glandular, without distinct subdivisions. A two-part pharynx, which may be bottle- or flask-shaped, consists of a narrow anterior section and a broader posterior part that contains both musculature and gland tissue. This posterior portion may be cylindrical or spherical in shape. The most complex form is the three-part pharynx, subdivided into an anterior corpus, a narrow isthmus, and a posterior bulb. The anterior corpus can be further divided into a cylindrical procorpus and a bulb-like metacorpus. The isthmus acts as a narrow muscular conduit between the corpus and the terminal bulb. The latter varies morphologically: (i) it may possess strong musculature, a valve, and fine gland tissue; (ii) it lacks a valve but still contains musculature and gland tissue, e.g., Diplogastridae (Maggenti, 1981), and was also reported for some putatively primitive Tylenchomorpha (Baldwin et al., 2001); or (iii) lacks musculature and is composed primarily of gland tissue, as is often reported for Tylenchomorpha (Baldwin et al., 1977; Yuen, 1968) and Diplogastridae (Maggenti, 1981; Sudhaus and von Lieven, 2003; von Lieven and Sudhaus, 2000; Zhang and Baldwin, 1999). The role of the terminal bulb in feeding is highly diverse in the extensively studied Rhabditida (Chiang et al., 2006). Based on species descriptions of Stilbonematinae, it becomes obvious that the morphology of the bacterial coat is strongly correlated with pharynx structure. Species with a monolayer of bacterial symbionts almost exclusively possess a three-part pharynx with a distinctly swollen corpus, while those with a thicker bacterial coat predominantly exhibit a two-part pharynx with a cylindrical anterior region (Berger et al., 1996; Hoschitz et al., 1999; Ott et al., 1995, 2020; Ott and Pröts, 2021; Pröts et al., 2024; Schiemer et al., 1990; Scharhauser et al., 2020). Although gross observations of pharynx musculature in the former group revealed conspicuously dense musculature in the swollen corpus, they indicated relatively sparse musculature in the terminal bulb compared to two-part-pharynx species (Pröts et al., 2024). This observation led to the hypothesis that in Stilbonematinae species with a three-part pharynx, the main pharyngeal pumping structure may have shifted from the terminal bulb to the anterior corpus several times independently, mirroring the independent evolution of a muscular anterior corpus within this subfamily (Pröts et al., 2024). In contrast, species with a two-part pharynx have likely retained the ancestral condition, in which the terminal bulb acts as the main pumping organ. This is only feasible, if the relative amount of myofilaments within the terminal bulb differs significantly across different pharynx types. In order to assess the functional capabilities of the terminal bulb of Stilbonematinae species – which do not feed under observable conditions – it is imperative to gain quantitative data on the myofilaments present in this pharynx part. A terminal bulb, which possesses a relatively low amount of contractile elements, is less likely to act as the main pump, whereas a relatively highly muscular terminal bulb certainly can serve this function. To this end, we employed phalloidin staining combined with confocal laser scanning microscopy (CLSM) and computational 3D reconstruction to quantify the relative volume of filamentous actin (F-actin) of sarcomere in the terminal bulb of Stilbonematinae species with either two- or three-part pharynges. Based on these data, we performed a statistical analysis in order to estimate possible functional differences.
The following adult species were collected from marine sediment in the proximity of
Cyathorobbea hypermnestra Scharhauser et al., 2024, C. ruetzleri Scharhauser et al., 2024, Laxus sp., Laxus oneistus Ott et al., 1995, Paralaxus cocos Scharhauser et al., 2020, and Robbea judithae Scharhauser et al., 2024.
Catanema schiemeri Ott et al., 2020, Leptonemella juliae Hoschitz et al., 1999, Eubostrichus topiarius Berger et al., 1996, and Laxus cosmopolitus Ott et al., 1995.
Catanema schiemeri, Robbea lotti Scharhauser et al., 2024, Robbea weberae Scharhauser et al., 2024, Leptonemella juliae, Eubostrichus topiarius, and Laxus cosmopolitus.
After extraction from the sand, adult specimens were relaxed in MgCl2 (isotonic to seawater) and afterwards fixed in ice-cold 4% paraformaldehyde in 1× phosphate buffered saline (PBS) for 4 h or overnight. After fixation, the specimens were rinsed three times in 1× PBS and transferred to a solution of 0.1 M phosphate buffer (pH 7.3), 2.5% Triton-X, and 2% DMSO to permeabilize overnight. F-actin labeling was conducted using Alexa Fluor 488 phalloidin (1:50, Molecular Probes, Eugene, OR, USA) in phosphate buffer overnight. Afterwards, specimens were rinsed three times in 1× PBS and mounted on standard microscope slides with Invitrogen Fluoromount G (Thermo Fisher Scientific, Waltham, Massachusetts, USA; diluted 1:1 with ddH2O to prevent shrinkage of specimens) and kept at 4°C in the dark overnight. The next day, evaporated ddH2O was replaced with pure Fluoromount G and kept at 4°C in the dark until analysis. Specimens from Carrie Bow Cay 2024 were conserved in dimethyl sulfoxide, disodium ethylenediaminetetraacetic acid (EDTA), and saturated NaCl (DESS, Yoder et al., 2006) for shipment to Vienna, rinsed three times in 1× PBS and subsequently fixed and further processed as described above.
After fixation, some specimens were directly transferred to glycerol-to-water mixture of 1:9 ratio, allowing the mixture to slowly evaporate over several days before mounting in fresh glycerol on standard microscope slides. The cover slips were subsequently sealed with nail polish.
TEM negatives of adult specimens (the sex of the specimens was not determined) of Cyathorobbea hypermnestra and Catanema schiemeri from the collection of co-author were inverted into positives and used for this publication. C. schiemeri was collected from coarse, calcareous sand (3 m depth) in the Bay of Veštar, Northern Adriatic Sea, near Rovinj, Croatia. C. hypermnestra was sampled from coral sands near the Smithsonian Caribbean Field Station in 1990 on Carrie Bow Cay, Belize. Specimens were relaxed in MgCl2 (isotonic to seawater), fixed after Eisenman and Alfert (1982), subsequently dehydrated in ethanol, and embedded in Spurr epoxy resin (Spurr, 1969).
Image stacks were produced on a Leica SP5 II confocal laser scanning microscope (Leica Microsystems, Wetzlar, Germany) utilizing the LAS AF Software. Image processing such as background reduction or contrast enhancement was performed using the open-source software Fiji (RRID:SCR 002285, Schindelin et al., 2012) with the CLAHE module (Zuiderveld, 1994). Light microscopy (LM) images were produced utilizing a Zeiss Axio Imager A1 light microscope (Carl Zeiss AG, Oberkochen, Germany).
Thirty adult specimens (sexes were not determined) were measured in total. The phalloidin signal of the terminal bulb musculature and the terminal bulb itself was labeled in Fiji (ImageJ version 1.54j) using the Segmentation Editor in combination with the region of interest (ROI) Manager (RRID:SCR 002285, Schindelin et al., 2012). We used specimens that were thoroughly stained. This was determined based on a distinct, homogeneous phalloidin signal with low noise in each pharynx part. Labels on each slice were measured and the relative volume of phalloidin signal was calculated. The labeling of the phalloidin signal was performed both manually and utilizing thresholding – followed by a manual correction of the labels. This was done on every third optical section (the image stacks of each specimen’s terminal bulb consisted of roughly 100 optical sections). Labels were then extrapolated over the remaining image stack and individual labels were manually corrected afterwards. The myofilamentous nature of the measured F-actin was interpreted based on the following principles of pharyngeal muscles in nematodes: (i) the muscle cells of the nematode pharynx harbor a cross-striated sarcomere, which ranges from the basal extracellular matrix (ECM) to the apical cuticle. (ii) F-actin of a sarcomere is highly ordered both horizontally and vertically, and is separated from the succeeding F-actin by a motor protein exclusive region, which is therefore not stained by phalloidin and is indicated by a distinct gap between aligned, linear phalloidin signals. (iii) The sarcomeres of the muscle cells are radially arranged within the pharynx.
The anterior end of the terminal bulb was determined visually based on the turning point of the outline from isthmus to terminal bulb. In case the phalloidin signal of previously determined myofilaments reached from well within the terminal bulb toward the distal outline of the pharynx, further anterior to the turning point, then this attachment site was used as the starting point of the terminal bulb.
For statistical analysis, the Mann–Whitney-U-Test was performed in the open-source statistics software R Project for Statistical Computing (RRID:SCR 001905).
We first present the statistical analysis of the phalloidin data between two-part and three-part pharynges we acquired (Fig. 1). We used different microscopical techniques to visualize the muscle and gland tissue, depending on our available data for the respective species. For some species, we show LM data to show the difference in gland tissue distribution between two-part and three-part pharynges (Fig. 2). For other species, we provided a combination of autofluorescence and phalloidin staining images to show both the visual contrast of radial musculature of the anterior corpus and the gland tissue of the terminal bulb (Fig. 3). We hope that this way we can convince the reader of the glandular nature of the depicted autofluorescence data of the terminal bulb. For the remaining species, for which we cannot provide TEM data, we present phalloidin staining images and autofluorescence images (if available) of the terminal bulb (Figs 4 and 5). Finally, we provided TEM data of the terminal bulb of Catanema schiemeri (Figs 6–11; several oblique longitudinal sections of one adult specimen) and Cyathorobbea hypermnestra (Figs 12–15; one longitudinal and one cross section of two adult specimens), respectively, which we hope, in combination with the abovementioned phalloidin staining, autofluorescence, and conventional LM images, convinces the reader of the identity and prominence of both myofilaments and gland tissue within the terminal bulb as they are described below. We identified putative nuclei of neurons based on the study by Decraemer et al. (2014).

Box plot comparing the relative muscle volume inside the terminal bulb of Stilbonematinae specimens with a two- and three-part pharynx.

LM micrographs of the terminal bulb and its glands of Stilbonematinae with a two-part (a, c, and e) and three-part pharynx (b, d, and f). Anterior on the left. (a and c) Eubostrichus topiarius, male. Asterisks indicate the prominent radial musculature wrapping around the gland cells. (b and d) Catanema schiemeri, female. Prominent gland cells prominently occupy the basal bulb and are indicated by their granular interior. (e) Laxus cosmopolitus, male. The small dorsal and ventrosublateral glands are shown. (f) Catanema schiemeri, male. The expansion of both dorsal and ventrosublateral glands are shown. Note: dg: dorsal gland, g: gut, and sv: ventrosublateral gland. Scale bar: 20 µm.

Comparison of autofluorescence signal between radial musculature of the corpus and gland tissue of the terminal bulb. Anterior on the left. (a, b, d, and e). Autofluorescence micrographs. (c and f) CLSM micrographs of phalloidin staining. (a) Catanema schiemeri, female. Corpus. Myofilaments of the radial musculature of the dorsal sector are highly ordered and well visible. (b) C. schiemeri, same individual as in A. Terminal bulb. Dorsal and ventrosublateral gland cells are prominently expanded throughout the terminal bulb. The gland vesicles are visible as smaller (dorsal) and slightly larger (ventrosublateral) granules. Oblique longitudinal section. (c) Catanema schiemeri. Terminal bulb. Myofilaments are diagonally arranged in both the anterior half and the posterior end of the terminal bulb. In between, a large gap, corresponding to the position of the voluminous gland cells, is present. (d) Cyathorobbea ruetzleri. Corpus. Radial musculature well visible as radially arranged filaments. (e) Cyathorobbea ruetzleri, same individual as in d. Terminal bulb. The expansion of both dorsal and ventrosublateral glands is shown. Oblique longitudinal section. Scale bars: (a, b, d, e, and f) 10 µm and (c) 20 µm.

Terminal bulb of the genus Robbea. Phalloidin staining of myofilaments and autofluorescence signal of pharyngeal glands. Anterior to the left. (a) Robbea lotti, male. Radial myofilaments loosely arranged. (b) Robbea lotti, female. Prominent gland cells occupy the terminal bulb. Dorsal gland reaching into the ventral half. (c) Robbea weberae, male. Radial myofilaments loosely arranged. (d) Robbea weberae, female. Dorsal and ventrosublateral glands prominently occupy the terminal bulb. Gland content appears slightly granular. The dorsal gland shows more brightness than the ventrosublateral gland. (e) Robbea judithae, male. Radial myofilaments loosely arranged. (f) Robbea judithae, male. Dorsal and ventrosublateral gland cells prominently occupy the terminal bulb. Gland contents appear slightly granular. Note: dg: dorsal gland, gnu: gland nucleus, rm: radial muscle, and sv: ventrosublateral gland. Scale bar: 10 µm.

CLSM micrographs of longitudinal sections of the terminal bulb of Stilbonematinae species with phalloidin staining. Anterior on the left. (a) Laxus sp, male. Three-part pharynx. (b) Eubostrichus topiarius. (c) Leptonemella juliae, male. (d) Cyathorobbea hypermnestra. (e) Laxus cosmopolitus. (f) Laxus oneistus. (g) Paralaxus cocos. Note: rm: radial muscle. Scale bar: 10 µm.

TEM micrograph of the terminal bulb of Catanema schiemeri. Anterior on the left. Oblique longitudinal section through large parts of the dorsal gland and a small portion of the ventrosublateral gland. Note: dg: dorsal gland, gnu: gland nucleus, m: mitochondrion, rer: rough endoplasmatic reticulum, and sv: ventrosublateral gland. Scale bar: 5 µm.

TEM micrograph of the terminal bulb of Catanema schiemeri. Same individual as in Fig. 6. Anterior on the left. (a) Oblique longitudinal section through dorsal and ventrosublateral gland. Distal portion of dorsal gland possesses many mitochondria and rough endoplasmatic reticulum. (b) Detail of ventrosublateral gland showing small electron-dense areas of gland vesicles (asterisks). Note: dg: dorsal gland, gso: epidermal glandular sensory organ, gnu: gland nucleus, gv: gland vesicle, m: mitochondrion, nuc: nucleolus, and rer: rough endoplasmatic reticulum. Scale bar: (a) 5 µm, (b) 1 µm.

TEM micrograph of the terminal bulb of Catanema schiemeri. Same individual as in Fig. 6. Anterior on the left. Oblique longitudinal section through dorsal and ventrosublateral gland. Gland nuclei of both dorsal and ventrosublateral glands possess large amounts of euchromatin. Note: dg dorsal gland, gnu gland nucleus, m mitochondrion, rer rough endoplasmatic reticulum, sv ventrosublateral gland. Scale bar: 5 µm.

TEM micrograph of the terminal bulb of Catanema schiemeri. Same individual as in Fig. 6. Anterior on the left. Oblique longitudinal section through ventrosublateral glands. Gland vesicles of both ventrosublateral glands show the same shape and interior structure. Gland nuclei show large amounts of euchromatin. Putative neuron nuclei in the bottom left corner. Note: dg: dorsal gland, gnu: gland nucleus, m: mitochondrion, nne: putative neuron nuclei, rer: rough endoplasmatic reticulum, and sv: ventrosublateral gland. Scale bar: 5 µm.

TEM micrograph of the terminal bulb of Catanema schiemeri. Same individual as in Fig. 6. Anterior on the left. Oblique longitudinal section through distal portion of ventrosublateral gland. The gland expands to the distal margin of the terminal bulb. Note: gso: epidermal glandular sensory organ and sv: ventrosublateral gland. Scale bar: 2.5 µm.

TEM micrograph of the terminal bulb of Catanema schiemeri. Same individual as in Fig. 6. Anterior on the left. Oblique longitudinal section through distal portion of dorsal gland. The gland expands to the distal margin of the terminal bulb. The distal part of the gland contains a lot of mitochondria and endoplasmatic reticulum. Note: dg: dorsal gland, m: mitochondrion, and rer: rough endoplasmatic reticulum. Scale bar: 2.5 µm.

TEM micrograph of the terminal bulb of Cyathorobbea hypermnestra. Anterior to the left. Oblique longitudinal section through parts of the ventrosublateral and dorsal gland. Vesicles larger in the ventrosublateral gland compared to the dorsal gland. Distal portion of the ventrosublateral gland contains large amounts of rough endoplasmatic reticulum. Dorsal gland interior is more electron-dense than ventrosublateral gland. A putative neuron nucleus is indicated in the ventrosublateral sector. Note: dg: dorsal gland, nne: putative neuron nucleus, rer: rough endoplasmatic reticulum, and sv: ventrosublateral gland. Scale bar: 5 µm.

TEM micrograph of the terminal bulb of Cyathorobbea hypermnestra. Anterior to the left. Longitudinal section through roughly the median line of the terminal bulb. A nucleus of a putative neuron at the ventrosublateral anterior end of the terminal bulb is strongly lobulated. (a) Ventrosublateral gland occupying large parts of the ventrosublateral sector. (b) Distal portion of the ventrosublateral gland contains large amounts of rough endoplasmatic reticulum. (c) Proximal part contains gland vesicles, which contain small, less electron-dense areas. Note: dg: dorsal gland, nne: putative neuron nucleus, rer: rough endoplasmatic reticulum, and sv: ventrosublateral gland. Scale bars: (a) 5 µm and (b and c) 1 µm.

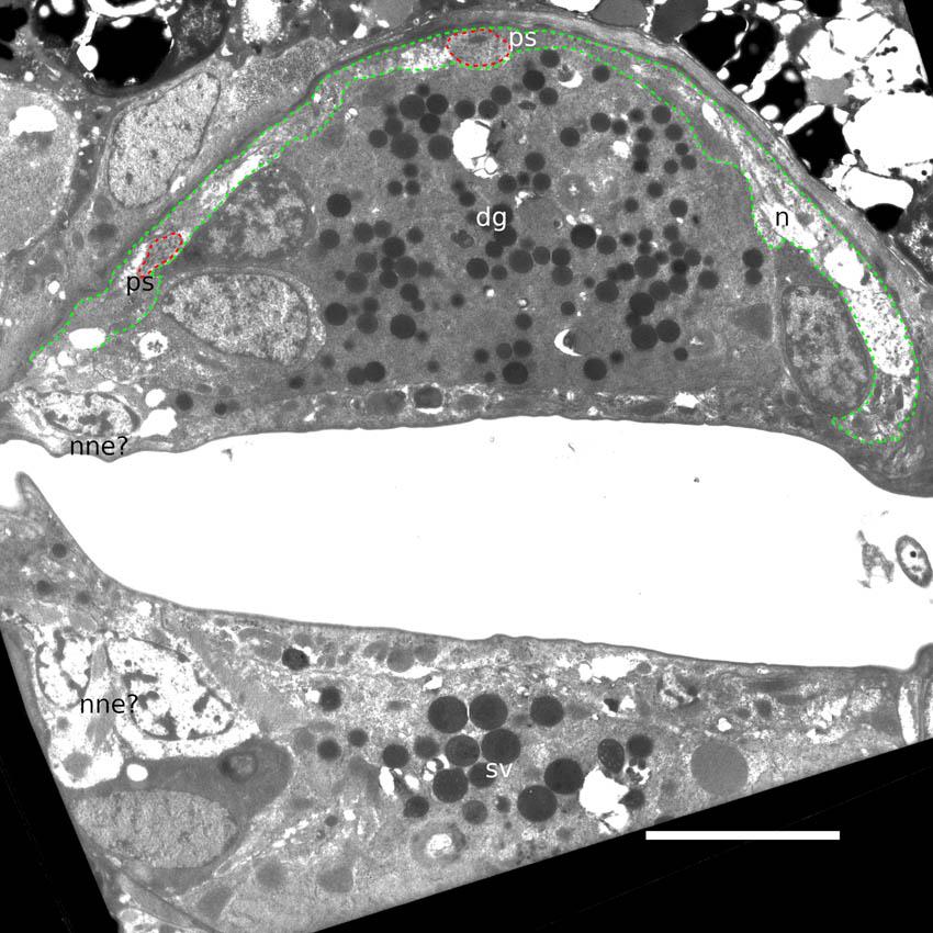
TEM micrograph of the terminal bulb of Cyathorobbea hypermnestra. Same individual as in Fig. 13. Anterior to the left. Longitudinal section through roughly the median line of the terminal bulb. Dorsal gland occupies most of the dorsal sector. Distal to the gland, a neurite traverses the inner border of the terminal bulb. Neurite indicated with a green, dashed outline. Presynaptic terminals indicated with red, dashed outlines. Note: dg: dorsal gland, n: neurite, nne: putative neuron nucleus, ps: presynaptic terminal, and sv: ventrosublateral gland. Scale bar: 2.5 µm.

TEM micrograph of the terminal bulb of Cyathorobbea hypermnestra. Cross-section through roughly the center of the terminal bulb. (a) Terminal bulb prominently occupied by gland cells. Cell borders obscure. Marginal cells not distinguishable from muscle cells. (b) Gland tissue is regularly interrupted by radially arranged myofilaments. Note: dg: dorsal gland, rer: rough endoplasmatic reticulum, rm: radial muscle, and sv: ventrosublateral gland. Scale bars: (a) 5 µm and (b) 1 µm.
The relative F-actin volume in the terminal bulb was determined for 30 adult specimens representing 12 species from 7 genera. Specimens with a two-part pharynx (n = 9) had significantly higher muscle volume (41.7–78.3%) than those with a three-part pharynx (2.6–52.6%, Table 1, Fig. 1). With the exception of one specimen of Leptonemella juliae, all two-part pharynx specimens had muscles occupying more than half of the terminal bulb volume (Table 1).
Calculated relative volume of measured F-actin signal from inside the terminal bulb of Stilbonematinae species with a two-part and a three-part pharynx.
| Pharynx | Species | Muscle volume (%) | Coat thickness (µm) | Coat layering | Reference |
|---|---|---|---|---|---|
| Two-part | Eubostrichus topiarius (3) | 66.1–78.3 | 22–25 | Multilayer | Berger et al. (1996) |
| Two-part | Laxus cosmopolitus (1) | 76.9 | 1.8 | Monolayer | Ott et al. (1995) |
| Two-part | Leptonemella juliae (3) | 41.7–65.6 | 4 | Multilayer | Hoschitz et al. (1999) |
| Two-part | Paralaxus cocos (2) | 66.9–73.9 | 7.5 | Multilayer | Scharhauser et al., 2020 |
| Three-part | Catanema schiemeri (4) | 5.5–17.6 | 1.5 | Monolayer | Ott et al. (2020) |
| Three-part | Cyathorobbea hypermnestra (5) | 2.6–8.6 | 2 | Monolayer | Scharhauser et al. (2024) |
| Three-part | Cyathorobbea ruetzleri (1) | 52.6 | 2 | Monolayer | Scharhauser et al. (2024) |
| Three-part | Laxus oneistus (6) | 17.6–27.4 | 2.1 | Monolayer | Ott et al. (1995) |
| Three-part | Laxus sp. (1) | 42.1 | 3 | Monolayer | Ott (unpublished data) |
| Three-part | Robbea judithae (1) | 15.6 | 1 | Monolayer | Scharhauser et al. (2024) |
| Three-part | Robbea lotti (1) | 24.1 | 1 | Monolayer | Scharhauser et al. (2024) |
| Three-part | Robbea weberae (2) | 6.1–24 | 1 | Monolayer | Scharhauser et al. (2024) |
The number in parenthesis next to the species name indicates the number of specimens used for measurements. W = 187, p-value = 3.127 × 10−5. Data on bacterial coat thickness were extracted from species descriptions, as well as from LM, scanning electron microscopy, or TEM micrographs from the collection of JAO. There are two types of bacterial coat in Stilbonematinae (refer Scharhauser et al., 2020).
In specimens with a three-part pharynx, relative muscle volume showed great variability (2.6–52.6%), both among and within genera. The lowest relative muscle volume was found in Cyathorobbea hypermnestra (2.6–8.6%), whereas the second species, C. ruetzleri, showed the highest volume at 52.6%. In both Catanema schiemeri (5.5–17.6%) and R. weberae (6.11–24%), relative muscle volume varied moderately between individuals compared to C. hypermnestra.
In the terminal bulb, the space not occupied by muscle tissue is mostly occupied by the dorsal and the two ventrosublateral pharyngeal gland cells, which are in close contact with the distal margin of the terminal bulb (Figs 2a–f; 3b and e; 4b, d, and f). The autofluorescence of the interior of the gland cells either appears as a dense accumulation of small globules or a homogeneous mass (Figs 3b and e; 4b, d and f); the same condition can be observed with LM (Fig. 2a–f). Sometimes musculature is well visible using LM and wraps around the gland cells (Fig. 2a and c). Consequently, specimens with a two-part pharynx have a small gland volume, occupying approximately one-third of the terminal bulb in longitudinal optical section (Fig. 2a, c, and e), with the exception of L. juliae, where it may reach more than 50% (Table 1). In contrast, in three-part pharynx specimens, the glands are prominent and tend to obscure the feeble musculature under light microscopy (including autofluorescence signals) (Figs 2b, d, and f; 3b and e; 4b, d, and f). The autofluorescence of ventrosublateral and dorsal gland cells occasionally differs in brightness, with the dorsal gland being slightly brighter than the ventrosublateral glands (Figs 3b and 4d).
In C. schiemeri, the gland cells prominently occupy space within the terminal bulb and contain ovoid to spherical vesicles that are smaller in the dorsal gland than in the ventrosublateral glands (Figs 2b, d, and f; 3b; 6–11). The vesicles in the ventrosublateral glands are characterized by small more electron-dense areas at one pole (Figs 6, 7b, 8, and 10). The gland nuclei possess a high amount of euchromatin (Figs 6–9). Rough endoplasmatic reticulum and mitochondria surround the nuclei and groups of vesicles and appear to be more abundant in the more distal portion of the dorsal gland cells (Figs 6–8 and 11). Occasionally, presumed nuclei of neurons, with batches of more prominent electron-dense, peripheral chromatin, and electron-translucent cytoplasm surrounding them, are visible (Fig. 9).
In C. hypermnestra, the vesicles are close to spherical and contain translucent fibrous material, which – depending on the section plane – appears as multiple bright dots (Figs 12 and 13c). Both dorsal and ventrosublateral glands prominently occupy their respective sectors within the terminal bulb (Figs 12–15). Indication of neurons and one neurite, including two presynaptic terminals, were observed at the distal outline on the dorsal side of the terminal bulb (Figs 12–14). Gland tissue is occasionally interrupted by radially arranged myofilaments (Fig. 15a and b). Even on cross sections, it was not possible to distinguish any marginal cells from either gland or muscle cells (Fig. 15a).
Data from TEM, LM, and autofluorescence, and phalloidin staining are congruent regarding the prominence of both myofilaments and gland tissue (Figs 2–15).
Gross differences in muscle distribution in the pharynx of Stilbonematinae have been already mentioned (Pröts et al., 2024). Here we present quantitative data on the difference in muscle-tissue volume between these two pharynx types. The relocation of pharyngeal musculature from the posterior terminal bulb to the corpus at the anterior end in species with a three-part pharynx has been interpreted as a shift in the primary pumping role from the terminal bulb to the corpus (Maggenti, 1981; Pröts et al., 2024). Species with a two-part pharynx appear to take up large quantities of symbiotic bacteria from their voluminous coat, a process facilitated by a cylindrical anterior pharynx that creates high suction pressure (Mapes, 1966; Roggen, 1979). In contrast, species with a three-part pharynx have thin monolayers of symbiotic bacteria (Table 1) and probably ingest selectively small portions of food. A muscular corpus generates less suction pressure but high injection pressure to move the ingested material toward the intestine (Roggen, 1979). Within the Tylenchomorpha, the metacorpus acts as the only pumping structure (Yuen, 1968; Seymour, 1983), whereas in other suborders of Rhabditida with a three-part-pharynx (i.e., Rhabditomorpha, Diplogasteromorpha, Cephalobomorpha, Panagrolaimomorpha) and also Rhabditida incertae sedis (i.e., Teratocephalidae), both pumping and peristalsis are part of the feeding procedure, and the pharynx structures, which perform these two functions, differ depending on the respective taxa (Mapes, 1965; Avery and Shtonda, 2003; Chiang et al., 2006). In C. elegans, the bipartite corpus, the anterior isthmus, and the terminal bulb (equipped with prominent musculature and a grinding apparatus) pump near-simultaneously, whereas the posterior isthmus performs peristalsis. In Panagrolaimomorpha, the corpus pumps, the anterior isthmus performs peristalsis, and the posterior isthmus and terminal bulb pump simultaneously. The corpus, anterior isthmus, and posterior isthmus/terminal bulb usually act independently. In Cephalobomorpha, the corpus pumps independently, and the entire isthmus performs peristalsis simultaneous to the pumping of the terminal bulb. Diplogasteromorpha show an independent corpus pumping and a coupled isthmus/terminal bulb peristalsis. Teratocephalidae independently perform pumping in the corpus and terminal bulb and peristalsis in the isthmus. This diversity of pharynx functionality is based on both neuronal regulation and intracellular regulation of the isthmus muscle (Chiang et al., 2006). However, in each of the above cases, the anterior corpus of a three-part-pharynx within Rhabditida pumps (except for the procorpus of Tylenchomorpha, which does not possess radial musculature for pumping), irrespective of any differing underlying neuronal regulation. The basic morphological properties of the diplogastrid pharynx are very similar to those present in Stilbonematinae species with a three-part-pharynx. The corpus is prominently muscular and the terminal bulb is predominantly glandular and lacks a grinder/valve.
Our statistical analysis of the volume of myofilaments in the terminal bulb of Stilbonematinae shows a highly significant difference between two-part and three-part pharynges. Overall, the terminal bulb of a two-part pharynx possesses more relative musculature than that of a three-part pharynx. The variability within a species is moderate and is probably due to intraspecific variability. It was previously shown that a three-part pharynx developed multiple times independently within Stilbonematinae (Pröts et al., 2024). The independent reorganization of the pharynx from the ancestral two-part pharynx with prominent musculature in the terminal bulb would explain the differences between genera with a Stilbonematinae three-part pharynx. This is based on the assumption that the independent evolution of a three-part pharynx within Stilbonematinae did not necessarily happen at the same time with the same evolutionary rate. Without direct feeding observations, it is not possible to assess whether terminal bulbs of the individual three-part species pump or perform peristalsis. It is, however, very likely that the anterior corpus, which houses dense and expanded musculature in species with a three-part pharynx acts as the main pumping structure, similar to the three-part pharynges of Rhabditida (Chiang et al., 2006). We also assume that the terminal bulbs of three-part pharynx species either pump or perform peristalsis, depending on their available musculature. The conspicuous orientation of the myofilaments in the terminal bulb of Catanema schiemeri allows a slightly deeper assessment. Since the myofilaments are diagonally oriented at the anterior and posterior ends of the terminal bulb, pumping, defined as a synchronous contraction of myofilaments and therefore synchronous dilation of the lumen of the terminal bulb, is unlikely. A peristalsis is equally unlikely, since the myofilaments are not even slightly perpendicular to the longitudinal axis. Additionally, the spiral musculature around the posterior pharynx end has an anterior-posterior orientation in this species (Pröts et al., 2025). Taken together, this suggests that the myofilaments in the anterior end of the terminal bulb dilate the anterior lumen to suck in material from the isthmus. The terminal bulb is then compressed from anterior and posterior, most probably by both the myofilaments within the terminal bulb and the spiral muscle around it. By doing so, the contents of the terminal bulb are probably pushed into the intestine and the gland products pushed toward the anterior pharynx. This would be similar to the situation reported for Ditylenchus dipsaci (Yuen, 1968).
The space not occupied by musculature in the terminal bulb instead harbors prominent gland cells. A similarly high prominence of pharyngeal glands is present in Diplogastridae (Riebesell and Sommer, 2017; Zhang and Baldwin, 1999) and Tylenchomorpha (Maggenti, 1981). In the diplogastrid Allodiplogaster (=Diplenteron) sp., the posterior set of the terminal bulb’s marginal cells is thin and the space is instead occupied by prominent glands. This also coincides with the smaller posterior marginal cells of Leptonemella juliae (Hoschitz et al., 2001) and the fact that we could not identify marginal cells in the terminal bulb of Cyathorobbea hypermnestra based on cross sections. In many Tylenchomorpha, the gland cells are typically expanded to the extent that they overlap with the intestine. It was previously proposed that pharynx musculature limits the expansion of gland tissue in C. elegans (Raharjo et al., 2011). A trade-off between muscle and gland tissue is certainly present in the terminal bulb of Stilbonematinae, but it is not clear whether musculature determines the size of glands or vice versa. A similar observation was made for the diplogastrid Pristionchus pacificus (Riebesell and Sommer, 2017; Harry et al., 2022). Thorough ultrastructural data in combination with phalloidin staining revealed tissue reduction in the terminal bulb. Diplogastrids do not possess a grinder, and the putative homologous muscle and gland cells, which are associated with the grinder in C. elegans, are reduced. While the homologous gland cells are completely absent, the muscle cell reduced its size and myofilaments and is no longer connected to the ECM of the terminal bulb in P. pacificus. This alone should hamper the ability of the terminal bulb to perform a dilation of its entire lumen.
Pharyngeal gland secretions play various roles in nematodes, ranging from hydrolysis of bacteria, cuticle formation, molting, and host penetration and migration inside the host in case of animal- and plant-parasitic forms, and are assumed to be involved in hatching from the eggs (Bird and Bird, 1991; Hussey and Mims, 1990; Hishida et al., 1996; Lee, 2002). Additionally, pharyngeal glands of nematodes can play different roles depending on the developmental stage and lifestyle. In plant parasitic nematodes, either the ventrosublateral (in second-stage juveniles) or dorsal (in adult females) pharyngeal glands dominate in their roles in host invasion or feeding (Hussey and Mims, 1990; Bellincampi et al., 2014; Qin et al., 2000; Smant et al., 1998; Souza and Baldwin, 1998; Wieczorek et al., 2006). Likewise, our observations of the dorsal and ventrosublateral pharyngeal glands of Stilbonematinae indicate that these glands also have different functions, as evidenced by differences in autofluorescence, the different sizes of the dorsal and ventrosublateral gland vesicles and their internal structure. We only examined adult specimens and a parasitic life mode is not known for Stilbonematinae. Likewise, potential functions in cuticle formation, molting, and hatching are unlikely in the adult stage. We therefore assume that the products of pharyngeal glands in adult Stilbonematinae aid digestion and/or lubrication of ingested food. Information about the digestive enzymes of marine nematodes is scarce. For Diplolaimella sp., it was suggested that a combination of dorsal and ventrosublateral gland secretions may activate digestive enzymes as taken-up bacteria are transported into the gut (Deutsch, 1978). More recent studies reported lysozymes as both being part of the innate immune system and playing a role in digestion in the terrestrial bacterial feeder Caenorhabditis elegans (Nicholas & Hodgkin, 2004). Gram-negative bacteria (the ectosymbionts of Stilbonematinae are Gram-negative) are vulnerable to lysozymes, once their outer phospholipid membrane is damaged (Leippe, 1999). Initially, gene sequences encoding for lysozymes and nemapores were found in the extensively studied, because economically important, Rhabditida (Tarr, 2012). Both lysozymes and nemapores were proposed to act in digestion in C. elegans. More recently, it was indicated that free-living and animal parasitic nematodes possess a relatively higher abundance of antimicrobial peptide encoding genes (including those for nemapores) than plant parasitic nematodes (Irvine et al., 2023). We assume that Stilbonematinae probably utilize a combination of similar enzymes and peptides to digest bacteria to compensate for the absence of a grinder.
It was shown for Ascaris lumbricoides that a cylindrical one-part-pharynx ingests a large volume, corresponding to 50% of the entire pharynx lumen (Mapes, 1966). This coincides with the pharynx model of Roggen (1979), which predicts that the ability of a cylindrical pharynx part to produce suction pressure is double that of a spherical pharynx part, such as a terminal bulb, can produce. In turn, a muscular corpus should have a reduced ability to produce suction pressure as well as take up food quantities at once. When combining the observation in Ascaris and the prediction of the pharynx model, this suggests that a muscular swollen corpus takes up relatively less quantities of food at once (gourmet feeding), compared to a cylindrical part (gourmand feeding). At the same time, the ability of a spherical pharynx part was predicted to be able to produce twice the amount of injection pressure compared to a cylindrical pharynx part (Roggen, 1979). The position where a spherical bulb is commonly found is at the posterior pharynx end, where it injects taken-up food into the intestine. But the position along the pharynx should not alter the physical abilities of either cylindrical or spherical pharynx parts. Recently, we tested a prediction of Roggen’s pharynx model (Pröts and Ott, 2025). The amount of spiral musculature around a Stilbonematinae pharynx shows a high linear correlation with slenderness. This coincides with the prediction of Roggen’s pharynx model, which suggested that by reducing the pharynx diameter, the ability of such a pharynx part to produce injection pressure, and therefore transport food further posterior, is strongly reduced up to a point, where transport can no longer be maintained (Roggen, 1979). It is reasonable to assume that by contracting, the dense arrangement of spiral muscles around the slender isthmus would provide additional injection pressure for this pharynx part (Pröts and Ott, 2025). Since the musculature in Stilbonematinae species with a three-part-pharynx showed reduced musculature in the terminal bulb, we suggest that the main pumping structure of a Stilbonematinae three-part-pharynx switched to the prominently muscular anterior corpus. In turn, we suggest that in the different Stilbonematinae three-part-pharynx species, the purpose of the terminal bulb with expanded gland tissue is primarily to produce gland secretions. The swollen anterior corpus and the spiral musculature around the isthmus and terminal bulb provides the additional injection pressure necessary to transport taken-up food through the pharynx and into the intestine. As stated above, we assume, however, that the terminal bulb in three-part-pharynx species still retains either peristalsis or pumping activity, the amount of which may be reflected by the amount of musculature present.
The pharynx activity of the diplogastrid P. pacificus, in which the corpus pumps and the isthmus and terminal bulb perform peristalsis, shows an interesting correlation with phalloidin signal intensity of the pharynx myofilaments (Riebesell and Sommer, 2017). The muscular corpus appears brighter than isthmus and terminal bulb, reflecting the amount and density of myofilaments present in the respective pharynx parts. Likewise, Stilbonematinae species with a three-part pharynx show a similar distribution of signal intensity (Pröts et al., 2024). Whereas all pharynx parts for themselves show a homogeneous signal intensity, the anterior corpus appears much brighter than isthmus and posterior bulb.
Taken together, we suggest, that the larger volume of pharyngeal gland tissue in species with a three-part pharynx aids both lubrication and thorough and efficient digestion of the smaller amount of food taken up in the “gourmet feeding” process, whereas the two-part pharynx “gourmands” species probably do not require such enlarged glands, and therefore such efficient digestion, given the larger amount of available food on their cuticle.
We are indebted to Andreas Wanninger for granting us access to the confocal laser scanning microscope and laboratory, Christian Beisser for inverting TEM negatives, and Tobias Viehböck for providing Stilbonematinae specimens from Carrie Bow Cay, Belize. TEM negatives were produced at the Core Facility Cell Imaging and Ultrastructure Research, University of Vienna.
This research was funded in whole or in part by the Austrian Science Fund (FWF) [10.55776/P31594]. For open access purposes, the author has applied a CC BY public copyright license to any author accepted manuscript version arising from this submission.
PP and JAO contributed to the study s conception and design. Sample collection was done by PP and JAO. PP carried out the experiments, measurements and the statistical analysis of myofilaments. JAO summarized data about bacterial coat thickness. JAO provided TEM negatives from his personal archive; PP performed the ultrastructural analysis. PP wrote the manuscript and produced the figure plates and tables. Both authors commented on previous versions of the manuscript. All authors read and approved the final manuscript.
Authors state no conflict of interest.
Data is available from the corresponding author upon reasonable request.