Schistosoma is a parasitic worm that causes schistosomiasis, a debilitating disease that affects millions of people, primarily in tropical and subtropical regions. The infected individual may experience a range of symptoms, including fever, abdominal pain, and blood in the urine or feces. If left untreated, schistosomiasis can lead to chronic health issues like liver and kidney damage. Controlling the spread of Schistosoma infection requires various interventions, including potable water supplies, sanitation improvement, and deworming programs, underscoring the significance of addressing this neglected tropical disease (Cioli et al., 2014; Tekwu et al., 2016). There are six species of Schistosoma that infect humans and cause schistosomiasis. PZQ is the only safe and effective treatment approved by the World Health Organization. Several studies have reported issues consisting of schistosome resistance to PZQ and its ineffectiveness against pre-adult or juvenile worms (Aires et al., 2014).
Artemisia annua plants are characterized by a complex of biological activities. This is possible because these plants contain numerous compounds with bioactive properties. This wormwood synthesizes essential oils, mono- and sesquiterpenes, flavonoids and other polyphenolic compounds as well. Therefore, sweet wormwood can serve as a source of a whole complex of chemical compounds with antioxidant activity and other properties (Hong et al., 2023).
Among the potential therapeutic plants for treating diseases, including schistosomiasis, is Artemisia annua, this plant contains many therapeutically effects such as anti-cancer (Slezakova & Ruda-Kucerova, 2017), allergic contact dermatitis and Systemic Lupus Erythematosus (SLE) (Fuzimoto, 2021) leaf extract of Ajuga bracteosa exploited for broad range of biomedical applications including leishmaniasis, in vitro anti-Alzheimer, insecticidal (Imran et al., 2021) and anti-worm (Fadladdin, 2022), it is used as firstline treatment for uncomplicated multidrug-resistant malaria with the recommendation of the World Health Organization for the use of artemisinin-based combination therapy (ACT) (Gendrot et al., 2020), antiviral and antioxidant (Baggieri et al., 2023).
Nanotechnology is advancing rapidly and involves the control and manipulation of matter at the atomic and molecular scales. It encompasses various scientific disciplines, including physics, chemistry, engineering, and biology. Metal nanoparticles are tiny particles of metal that have dimensions on the scale of nanometers. They can range in size from 1 to 100 nanometers. These nanoparticles exhibit unique properties due to their small size, including a larger surface area relative to their bulk counterparts. This increased surface area enhances reactivity and catalytic activity, making metal nanoparticles widely used in various applications (Iqbal et al., 2021).
The nanoparticles were prepared conventionally by different chemical and physical methods (sol-gel, laser vaporization methods, ultra-sonication, microwave irradiation, wet impregnation). Conventional methods for the synthesis of nanoparticles use toxic reagents, are expensive, consume time and large amounts of energy, require complex procedures and expensive equipment, require organic solvents and non-biodegradable stabilizers, employ harmful reducing agents, and chemical reducing agents cause environmental problems (Iqbal et al., 2021). To avoid the drawbacks of the currently used procedures, an alternative method for the synthesis of green nanoparticles has been developed. Biosynthesis is eco-friendly and cost-effective, does not require harmful chemicals, avoids harsh weather conditions and generates minimal waste. Plant extracts, fungi, bacteria, microorganisms, microalgae, and yeasts are used in biosynthesis without toxic chemicals, thereby reducing environmental and health risks. Due to the availability of numerous biomolecules, plant extracts are considered the most suitable method for developing metals and metal oxides and for converting them into nanoscale materials. It is preferable to use plant extracts due to their superior ability to reduce, stabilize, and encapsulate metals with appropriate size and shape. Synthesis using microorganisms such as fungi and bacteria is challenging because it is a multi-step, broad process that requires maintaining a cell culture and raises health and safety concerns (Iqbal et al., 2021; Hussien et al., 2023). Many medicinal plants have been used to synthesize zinc oxide nanoparticles. ZnONPs are inorganic materials and can be used in various sectors, including textiles, healthcare, energy conservation, catalysis, electronics, semiconductors, cosmetics, chemical sensing, antimicrobial and anti-inflammatory properties, wound healing, targeted drug delivery, and bioimaging (Faisal et al., 2021, 2022). Zinc oxide nanoparticles (ZnO-NPs) were studied for a range of biological and environmental applications using the plant Monotheca bouxifolia. The nanoparticles were tested in vitro to verify their antibacterial and antifungal efficacy, biocompatibility, effectiveness against leishmaniasis, antidiabetic activity, antioxidant activity, and anti-Alzheimer's disease activity (Khan et al., 2022).
Numerous studies in the field of schistosomiasis declared that the use of nanoparticles in controlling adult schistosome worms had a practical effect (Abou El-Nour et al., 2021; Hamdan et al., 2023) as well as on parts of their life cycle such as silver nanoparticles that showed the effects of molluscicides on intermediate hosts of snails of schistosomiasis, whether the nanoparticles were synthesized chemically or biologically (Hamdan et al., 2023; Younis et al., 2023). In a limited range, pure silver nanoparticles were used to influence and control the cercariae stage (Moustafa et al., 2014). There have been numerous attempts to identify alternative treatments for schistosomiasis using active compounds from plant extracts (Abou El-Nour & Fadladdin, 2021). Few studies have used nanoparticles derived from plant extracts to treat schistosomiasis, such as those derived from Zingiber officinale (El-Derbawy et al., 2022), or loaded with another drug (Abd El Hady et al., 2023).
The purpose of this study was to evaluate the in vitro effects of biosynthesized zinc oxide nanoparticles at different concentrations on adult Schistosoma mansoni worms, as well as their in vivo effects.
Zinc acetate dihydrate [Zn(CH3COO)2.2H2O] and Whatman filter paper were purchased from Sigma-Aldrich. All tools and glassware were washed with running water, then rinsed several times with sterile distilled water, and dried before use to remove any residual contaminants.
A fresh Artemisia annua plant was obtained and identified by the Faculty of Agriculture, Al-Azhar University. Fresh leaves of Artemisia annua were thoroughly rinsed with running water, then with sterile distilled water, several times to remove dust and sediment. They were dried at room temperature in the shade, then ground in a mortar. In a container, 100g of powder was soaked in 150 ml of distilled water, and the temperature was raised to 100°C for 30 minutes. Leave the mixture to cool at room temperature. Using Whatman filter papers, the mixture was filtered. Furthermore, to remove any unconsolidated material, the aqueous extract was centrifuged at 4000 rpm for 30 minutes. Store a pellet in a dark bottle at 4°C.
1 g of zinc acetate dihydrate [Zn(C2H3O2) 2 · 2H2O] was added to 100 ml of the aqueous extract of Artemisia annua, which was heated at 60°C for 2 hours with stirring. After the solution turns yellowish, it is left to cool at room temperature at 10,000 rpm for 10 minutes. The solution is then centrifuged to separate the components, and the supernatant is discarded. The remaining white pellets were washed several times with sterile distilled water, and centrifugation was repeated to remove impurities. The solution was then dried in the oven at 100°C for three hours.
To investigate the green synthesis of zinc oxide nanoparticles using the aqueous extract of Artemisia annua and to analyze their physicochemical properties, various characterization techniques were employed; FT-IR analysis (JASCO 6700 spectrometer) was performed. 0.2 g of zinc oxide powder was combined with potassium bromide (KBr) and then loaded on a tablet under pressure. To determine the functional groups that contributed to the conversion of zinc oxide to nano-size, with wavelengths from 4000 cm−1 to 400 cm−1. Zeta potential and size distribution measurements of the average hydrodynamic particle diameter were obtained using a Malvern Zetasizer Nano ZS. To investigate zinc oxide nanoparticles using TEM (JEOL model 1200EX, Tokyo, Japan), a drop of the suspension is placed on a copper grid (300 mesh), covered with a carbon film, and left to dry at room temperature. Zinc oxide nanoparticles were subjected to X-ray diffraction by Ultima IV (Rigaku, Japan), Cu-Kα radiation was used with a wavelength (λ) of 1.5406Å.
Following the procedures described by Hazman et al. (2014), cytotoxicity was assessed using the MTT colorimetric assay. Vero cells (1x105 cells/ml) were inoculated into a 96-well tissue culture plate and cultured for 24 hours at 37 °C. After cell growth, the growth medium was discarded, and the cells were washed twice with wash medium. In Minimal Essential Medium (MEM, Gibco, USA) medium containing 2 % serum, zinc oxide nanoparticles (31.25, 62.5, 125, 250, 500, and 1000 l/ml) were diluted. Three wells served as negative controls after various concentrations of zinc oxide nanoparticles were applied to the remaining wells. At 37 °C, the plate was incubated. To each well, add 20 ml of the MTT solution and thoroughly mix. To allow MTT metabolism, incubate for 4 hours at 37 °C and 5 % CO2. The culture media is wholly rejected. After adding 200 ml of formazan, the mixture was shaken for 5 minutes to ensure thorough mixing of the formazan and solvent. A spectrophotometer (Biotek Instruments, USA) was used to measure the optical density of each well separately at 590 nm. The following equation was used to calculate the percentage of cell viability.
50 golden hamsters (Mesocricetus auratus), 6 – 8 weeks old, weighing between 100 and 120 g, purchased from Schistosome Biological Supply Program (SBSP), Theodor Bilharz Research Institute (TBRI), Giza, Egypt. Five hamsters were placed in each polycarbonate box, which contained sawdust and was covered with steel-wired mesh. The ambient temperature was 22±3°C, the relative humidity was 50±15 %, and the feed was always available. The TBRI's ethical standards were followed during the treatment and dissection procedures. To infect a golden hamster, a subcutaneous injection of 100±10 live cercariae was given. On the 50th day, 10 golden hamsters were killed by cervical decapitation, and the hepatic and porto-mesenteric vessels were perfused to obtain adult worms.
Culture medium (RPMI 1640 medium, Sigma, USA) supplemented with 20 % fetal calf serum (Gibco, USA), gentamycin (160 μg/ml), streptomycin (100 μg/ml), penicillin (100 U/ml), 2 g/L glucose, 20 g/l NaHCO3, and 0.39 g/l glutamate. Four groups of Schistosoma mansoni worms were studied. The first group of adult Schistosoma mansoni worms was treated with different concentrations of zinc oxide nanoparticles (ZnONPs) (3.125, 6.25, 12.5, 25, 50, and 100 μg/ml). The second group of adult Schistosoma mansoni worms was treated with different concentrations of zinc oxide nanoparticles (ZnONPs) plus PZQ (12.5+0.4, 25+0.3, 50+0.2, 75+0.1 μg/ml). The third group (Positive control) of adult worms was treated with PZQ at 0.5 μg/ml. In the fourth group (Negative control), adult worms were treated with 0.2 % dimethyl sulfoxide (DMSO). Seven pairs of worms were exposed to the specified concentrations in each well of sterilized 24-well tissue culture plates. The plate was then incubated at 37°C in a humidified atmosphere containing 5 % CO2. A sterilized laminar flow chamber was used in the experiment. Adult worms are observed at 2, 4, 6, 8, 12, 24, and 48 hrs to calculate the mortality rate; if worms stop moving, become shrunken, or their colour changes to black, they are considered dead. The experiment was carried out three times. Doses were determined using the Establishment of Dose-Response Relationship method.
Using zinc oxide nanoparticles, adult Schistosoma mansoni worms (male and female) were treated and incubated for 48 hours at different concentrations, and changes in the tegument were examined. Worms were examined using scanning electron microscopy (SEM) at the Regional Centre for Mycology and Biotechnology (RCMB). Samples were preserved in 3 % glutaraldehyde in 0.2 % sodium cacodylate solution for 120 minutes as part of the preparation process. They were rinsed for 120 minutes in a solution that contained equal parts of 0.2 % cacodylate and 0.4 % sucrose. The samples were incubated for 60 minutes in an equal mixture of 2 % osmium tetroxide and 0.2 % cacodylate buffer, and then thoroughly rinsed with distilled water. Three times, the samples are dried with ethyl alcohol in ascending concentrations. Schistosome worms are placed on a gold-coated metal thumb for analysis.
After 50 days of infection of golden hamsters with Schistosoma mansoni cercariae, the hamsters began to excrete schistosome eggs once the worms reached the adult stage. The hamsters were divided into 5 groups (5 hamsters in each group). The first group was treated with a suspension of zinc oxide nanoparticles at a dose of 50 mg/kg of hamster weight. The second group was treated with a suspension of zinc oxide nanoparticles at a dose of 25 mg/kg + 300 mg/kg of a suspension from Biltersed (Alexandria Pharmaceuticals and Chemicals Company, Alexandria, Egypt), based on the hamsters' weight. The third group (Positive control) was treated with Biltersed suspension at a dose of 600 mg/kg body weight. The fourth group (Negative control group) was treated with distilled water. The fifth group was hamsters not infected with Schistosoma mansoni (Healthy control group). All doses were taken orally. All groups were repeated three times except for the fourth and fifth groups. Doses were determined based on correlations with in vitro data.
The liver was removed separately in 10 % saline after the hamster's slaughter and kept in 10 % formalin. The tissues were dried by passing them through a series of alcohols at hourly intervals after removing excess formalin by washing the selected parts. Excess alcohol is removed with xylene, the specimen is dewaxed in paraffin, and then it is allowed to dry for sectioning. The tissue was sectioned at 5 μm using a microtome. With xylene, the wax is removed. After rehydrating the tissues, H&E (hematoxylin and eosin) staining is performed. After covering the tissues with DPX, they were examined under an inverted light microscope to check for granuloma.
The statistical program SPSS V.22 was used to code and enter the data. Continuous variables were subjected to the Shapiro-Wilk and Kolmogorov-Smirnov tests for normality, and data were checked to see if they satisfied the assumptions of parametric tests. The arcsine square root transformation was used to standardize probability and percentile data to assess normality. The mean and standard deviation of the data were presented. For the recorded mortality data, ANOVA was performed on the experimental groups (Control, Lemongrass LC15, Lemongrass LC50, Citral LC15, and Citral LC50). The analysis was conducted with at least three replicates per group. The post hoc analysis was evaluated using Tukey's pairwise comparisons. When feasible, data were displayed using RStudio version 2022.02.4.
Zinc oxide nanoparticles were produced using an aqueous extract of Artemisia annua as both a reducing agent and a capping agent. When the extract was added to zinc acetate dihydrate [Zn(C2H3O2)·2H2O], the solution's color changed from dark brown to dark gray, accompanied by the formation of a white precipitate, indicating the formation of zinc oxide nanoparticles upon completion of the reaction.
FT-IR identifies potential functional groups involved in the formation of ZnONPs by aqueous extract of the Artemisia annua and provides information about the molecules' vibrational and rotational modes of motion. Infrared spectroscopy is used to identify the key molecules in natural extracts. The infrared bands indicate that the biomolecules are attached to the surface of the zinc oxide nanoparticles, confirming that these biomolecules help reduce and stabilize them (Fig. 1). The peak observed at 464 cm−1 may result from vibrations associated with zinc-oxygen bonding. The broad absorption peak at about 3299 cm−1 could be attributed to the hydroxyl (–OH) groups of the alcoholic or phenol group. Additional bands were visible at around 1602, 1376, 1069, 765, and 600 cm−1. The stretching vibration of C==O/amine is associated with the peak at 1602 cm−1. The C-H/alkene stretching vibration is associated with the 1376 cm−1 peak. The presence of polysaccharides, pectin, and cellulose [carbohydrate ring (C–O), (C==C)] is indicated by a deep absorbance band at 1069 cm−1. Both primary and secondary metabolites are present in significant amounts throughout the plant's body. The stretching vibration of the C–N/amine group is associated with the low peak obtained at 765 cm−1. The C–H/alkene stretching vibration is associated with a strong peak at 600 cm−1.

FTIR spectra of biosynthesis ZnO-NPs by Artemisia annua.
The zeta potential, which also determines the colloidal stability, is typically used to measure the surface charge on a particle. Stable colloids are generally defined as suspensions that exhibit 15 mV. In this study, the zeta potential of ZnO-NPs in distilled water was measured to be –26.7 mV, indicating a strong anionic character. The zeta potential measurements thus confirm and support the dispersion capacity of the biosynthesized zinc oxide nanoparticles. Since nanoparticles tend to aggregate when the zeta potential is in the range of 0 – 5 mV, they are considered low stability in the range of 5 – 20 mV, stable in the range of 20 – 40 mV, and highly stable above 40 mV. This demonstrated the stability of zinc oxide nanoparticles synthesized using Artemisia annua extract (Fig. 2).

Zeta potential of biosynthesized ZnO-NPs by Artemisia annua.
A potent method that is frequently used to examine the size, form, and dynamics of suspension particles is Dynamic Light Scattering (DLS). ZnO nanoparticles were successfully converted to a nanoscale size, according to DLS analysis. The average hydrodynamic size of the biosynthesized ZnO nanoparticles, which were reduced and capped by Artemisia annua extract, was approximately 150.0 nm with a polydispersity index (PDI) of 0.214, as shown in Fig. 3.

Dynamic light-scattering (DSL) of biosynthesized ZnO-NPs by Artemisia annua.
The sizes and shapes of ZnO nanoparticles synthesized by Artemisia annua were determined using TEM. TEM results show that the nanoparticle size is approximately 35 nm, and the shapes range from spherical to semi-spherical, with a homogeneous distribution and no accumulation. The results from dynamic light scattering (DLS) corroborated those from TEM (Fig. 4).

Transmission electron microscopy (TEM) of biosynthesized ZnO-NPs by Artemisia annua.
To determine crystallite size and crystal purity, X-ray diffraction (XRD) was used to analyze the diffraction peaks of ZnONPs biosynthesized from Artemisia annua leaf extract. Fig. 5 illustrates the XRD pattern of ZnONPs biosynthesized from plant leaf extract, which shows sharp and prominent diffraction peaks at 31.49°, 34.59°, 36.72°, 47.31°, 56.19°, and 62.99°; these peaks are indexed as planes 100, 200, 300, 400, 500 and 600, respectively. Broad peaks in the XRD pattern actually revealed the particle's small size and determined how the experimental conditions affected the nucleation and growth of crystal nuclei. The crystalline structure of the synthesized zinc oxide nanoparticles matches the gold standard established by the JCPDS (file no. 036-1451). Using Scherrer's equation, the crystal size of ZnO nanoparticles was determined to be approximately 26 nm for the high-intensity (300) plane. The nanoparticles were found to be hexagonal, with a lattice spacing (dhkl) of 3.33 Å.

X-ray diffraction of biosynthesized ZnO-NPs by Artemisia annua.
The cytotoxicity of biosynthesized ZnONPs was assessed in vitro using Vero cells. Cells were treated with different concentrations of ZnONPs (31.25, 62.5, 125, 250, 500, and 1000 μg/ml) for 48 hours. Zinc oxide nanoparticles were non-toxic to Vero cells up to a concentration of 250 μg/ml, with an LC50 of 291.62 ± 1.15 μg/ml.
In adult Schistosoma mansoni worms, the effects of zinc oxide nanoparticles and zinc oxide nanoparticles plus PZQ were studied in vitro. Adult worms showed a variety of phenotypic effects due to exposure to the tested materials. Adult worms were treated with different concentrations described above. At 2, 4, 6, 16, 24, and 48 hours, the adult worms' ability to move, mating status, and mortality rate were monitored. The tested nanoparticles showed, at varying doses, a clear effect on all evaluated parameters.
The motility of adult S. mansoni worms remained unchanged during the first 24 hours. Significant killing of the adult schistosomes was observed only after 12 hours when exposed to zinc oxide nanoparticles at concentrations of 3.125 and 6.25 μg/ml (when not combined with PZQ). These concentrations did not notably impact the pairing stability of the worms, as they eventually separated by the end of the experiment. In contrast, concentrations of 12.5 and 25 μg/ml of zinc oxide nanoparticles caused 28 % and 42 % separation of adult worms, respectively, and reduced worm motility at 12 and 6 hours, respectively. These concentrations also killed 100 % of the adult worms after 24 and 12 hours, respectively, with a statistically significant difference (p < 0.001). At concentrations of 50 and 100 μg/ml, zinc oxide nanoparticles achieved 100 % separation of adult worms within the first 2 hours, with a significant decrease in motility after 4 hours of exposure. The ZnO nanoparticles killed 100 % of the adult worms within 12 and 6 hours, respectively, with a statistically significant difference (p < 0.001). Conversely, zinc oxide nanoparticle concentrations of 12.5 and 25 μg/ml resulted in 28 % and 42 % separation of adult worms, respectively, and reduced their motility at 12 and 6 hours, respectively. These concentrations also achieved 100 % mortality of the adult worms after 24 and 12 hours, respectively, with a statistically significant difference (p < 0.001). At concentrations of 50 and 100 μg/ml, complete separation of the adult worms occurred within the first 2 hours, accompanied by a significant reduction in motility by 4 hours. ZnO nanoparticles caused 100 % mortality of adult worms at 12 and 6 hours, respectively, with a statistically significant difference (p < 0.001). Whereas, zinc oxide nanoparticles combined with PZQ at concentrations of 12.5+0.4 and 25+0.3 μg/ml led to 71 % and 100 % separation of adult worms within the first two hours, respectively. These concentrations also decreased worm motility after 6 and 4 hours, respectively, and achieved 100 % worm mortality after 12 and 6 hours, respectively, with a statistically significant difference (p < 0.001). At concentrations of 50+0.2 and 75+0.1 μg/ml mixed with PZQ, 100 % separation of the worms occurred within two hours, with a significant reduction in motility after just two hours. Mortality was 100 % within 6 hours, indicating a statistically significant difference (p < 0.001) (Tables 1 and 2).
Statistical analysis of the effectiveness of ZnO NPs synthesized by Artemisia annua and ZnO NPs plus PZQ with different concentration and incubation times on S. mansoni (male adult worms).
| Tested materials | Conc. (μg/ml) | Number of dead adult worms of S. mansoni male after incubation for 48 h | |||||
|---|---|---|---|---|---|---|---|
| 2 h | 4 h | 6 h | 12 h | 24 h | 48 h | ||
| Green zinc oxide NPs | 3.125 | 0 | 0.33 ± 0.47 | 0.66 ± 0.47 | 0.66 ± 0.47 | 2.66 ± 0.47 | 4.0 ± 0.81 |
| 6.25 | 0 | 0.33 ± 0.47 | 0.66 ± 0.47 | 1.66 ± 0.47 | 3.66 ± 0.47 | 5.0 ± 0.0 | |
| 12.5 | 0.66 ± 0.47 | 1.66 ± 0.47 | 3.0 ± 0.81 | 4.66 ± 0.47 | 7.0 ± 0.0 | 7.0 ± 0.0 | |
| 25 | 0.66 ± 0.47 | 3.33 ± 0.47 | 5.66 ± 0.47 | 7.0 ± 0.0 | 7.0 ± 0.0 | 7.0 ± 0.0 | |
| 50 | 1.33 ± 0.47 | 3.66 ± 0.47 | 6.66 ± 0.47 | 7.0 ± 0.0 | 7.0 ± 0.0 | 7.0 ± 0.0 | |
| 100 | 1.33 ± 0.47 | 3.66 ± 0.47 | 7.0 ± 0.0 | 7.0 ± 0.0 | 7.0 ± 0.0 | 7.0 ± 0.0 | |
| Green zinc oxide NPs + PZQ | 12.5+0.4 | 2 ± 0.81 | 3.66 ± 0.47 | 5.66 ± 0.47 | 7.0 ± 0.0 | 7.0 ± 0.0 | 7.0 ± 0.0 |
| 25+0.3 | 3.0 ± 0.81 | 6.33 ± 0.47 | 7.0 ± 0.0 | 7.0 ± 0.0 | 7.0 ± 0.0 | 7.0 ± 0.0 | |
| 50+0.2 | 3.66 ± 0.47 | 7.0 ± 0.0 | 7.0 ± 0.0 | 7.0 ± 0.0 | 7.0 ± 0.0 | 7.0 ± 0.0 | |
| 75+0.1 | 3.33 ± 0.47 | 6.66 ± 0.47 | 7.0 ± 0.0 | 7.0 ± 0.0 | 7.0 ± 0.0 | 7.0 ± 0.0 | |
| PZQ | 0.5 μg/ml | 6.66 ± 0.47 | 7.0 ± 0.0 | 7.0 ± 0.0 | 7.0 ± 0.0 | 7.0 ± 0.0 | 7.0 ± 0.0 |
Statistical analysis of the effectiveness of ZnO NPs synthesized by Artemisia annua and ZnO NPs plus PZQ with different concentration and incubation times on S. mansoni (female adult worms).
| Tested materials | Conc. (μg/ml) | Number of dead adult worms of S. mansoni female after incubation for 48 h | |||||
|---|---|---|---|---|---|---|---|
| 2 h | 4 h | 6 h | 12 h | 24 h | 48 h | ||
| Green ZnONPs | 3.125 | 0 | 0.33 ± 0.47 | 0.66 ± 0.47 | 1.0 ± 0.81 | 2.33 ± 0.94 | 3.33 ± 0.94 |
| 6.25 | 0 | 0.33 ± 0.47 | 0.66 ± 0.47 | 1.33 ± 0.47 | 3.66 ± 0.47 | 5.33 ± 0.47 | |
| 12.5 | 0.33 ± 0.47 | 2.0 ± 0.81 | 4.0 ± 0.81 | 4.33 ± 0.47 | 7.0 ± 0.0 | 7.0 ± 0.0 | |
| 25 | 1.0 ± 0.47 | 3.33 ± 0.47 | 5.66 ± 0.47 | 7.0 ± 0.0 | 7.0 ± 0.0 | 7.0 ± 0.0 | |
| 50 | 1.0 ± 0.81 | 3.66 ± 0.47 | 6.66 ± 0.47 | 7.0 ± 0.0 | 7.0 ± 0.0 | 7.0 ± 0.0 | |
| 100 | 1.33 ± 0.47 | 3.66 ± 0.47 | 7.0 ± 0.0 | 7.0 ± 0.0 | 7.0 ± 0.0 | 7.0 ± 0.0 | |
| Green ZnONPs + PZQ | 12.5+0.4 | 2.0 ± 0.81 | 3.33 ± 0.47 | 5.66 ± 0.47 | 7.0 ± 0.0 | 7.0 ± 0.0 | 7.0 ± 0.0 |
| 25+0.3 | 3.33 ± 0.47 | 6.66 ± 0.47 | 7.0 ± 0.0 | 7.0 ± 0.0 | 7.0 ± 0.0 | 7.0 ± 0.0 | |
| 50+0.2 | 4.0 ± 0.81 | 7.0 ± 0.0 | 7.0 ± 0.0 | 7.0 ± 0.0 | 7.0 ± 0.0 | 7.0 ± 0.0 | |
| 75+0.1 | 6.66 ± 0.47 | 7.0 ± 0.0 | 7.0 ± 0.0 | 7.0 ± 0.0 | 7.0 ± 0.0 | 7.0 ± 0.0 | |
| PZQ | 0.5 μg/ml | 6.66 ± 0.47 | 7.0 ± 0.0 | 7.0 ± 0.0 | 7.0 ± 0.0 | 7.0 ± 0.0 | 7.0 ± 0.0 |
In the positive control group, when exposed to 0.5 μg/ml PZQ, all adult worms were separated entirely within 2 hours, and their movement decreased significantly thereafter. PZQ led to 100 % mortality of the adult worms within 3 hours of incubation (Figs. 6A, B). Conversely, in the negative control group, 40 % of schistosome worms were separated after 38 hours of incubation. These worms did not lose motility completely and showed no decline during the first 24 hours. However, motility declined slightly after 40 hours, and the worms remained alive for up to 48 hours of incubation. The results showed that male and female adult schistosomes responded differently to different amounts of zinc oxide, both alone and in combination with PZQ, with male worms being more severely affected in terms of survival time and mortality.

Statistical analysis of the effectiveness of ZnO NPs synthesized by Artemisia annua and ZnO NPs plus PZQ with different concentrations and duration times on S. mansoni (adult worms) (A) Male and (B) Female.
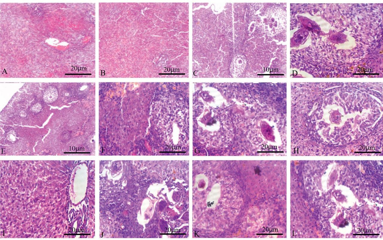
The healthy control group showed normal liver architecture, characterized by typical portal zones, regular central veins, healthy parenchyma, a reticular pattern of hepatocyte arrangement, and no evidence of inflammatory infiltrates (Fig. 7A, B).

Light microscopy of liver sections from golden hamsters. (A, B) Show a normal (uninfected) liver section. (C, D) Depict a liver section infected with S. mansoni (untreated), characterized by numerous fibrocellular granulomas. (E-H) Illustrate an infected liver section treated with green ZnONPs, revealing fibrocellular granulomas with miracidia inside the eggs scattered throughout the hepatic parenchyma. There is a marked reduction in both the number and size of granulomas, improved liver structure, egg destruction, and the presence of empty granulomas. The granulomas are irregularly shaped and contain less fibrous material. (I-L) Present an infected liver section treated with green ZnONPs combined with PZQ, showing a significant decrease in granuloma number and size, enhanced liver architecture, egg destruction, and empty granulomas. The granulomas maintain an irregular shape with diminished fibrous content.
Eosinophils, hepatic stellate cells, numerous scattered fibrocellular granulomas, and densely packed concentric aggregations of lymphocytes, inflammatory infiltrates surrounding the portal spaces, and macrophages surrounding trapped eggs and plasma cells (Fig. 7C, D) were all visible in sections of the liver from the infected, untreated group.
In the group treated with zinc oxide nanoparticles, less dense connective tissue and fewer centrally localized ova were observed. Liver tissue cells showed moderate infiltration by chronic inflammatory cells, but no Schistosoma eggs or fibrosis were present. Both the absence of Schistosoma eggs and fibrosis, as well as a significant reduction in chronic liver inflammatory cell infiltration, were noted. When comparing the reduction rates in the number (60.1) and size of granulomas (50.3) with those in the positive control group treated with PZQ, which had reductions in granuloma number (50.6) and size (44.6) Table 3, Fig. (8 E, F, G, H), the group treated with a mixture of zinc oxide nanoparticles and PZQ demonstrated the most substantial reduction in both granuloma number (75.2) and size (66.1) compared to the ZnO groups and PZQ group Table 3, (Fig. 8 I, J, K, L).
The mean count and size of granuloma of animal liver in untreated control group comparison to treated group.
| Groups of animal | Diameter of granuloma (mean±SE) | Reduction of granuloma size % | Granuloma Count (mean±SE) | Reduction of count % |
|---|---|---|---|---|
| infected control | 345.30±21.18 | ------- | 17.5±4.23 | ------- |
| Positive control | 171.45±35.21 | 50.3 | 6.99±4.89 | 60.1 |
| ZnO NPs | 191.43±23.45 | 44.6 | 8.65±3.46 | 50.6 |
| ZnO NPs + PZQ | 117.19±24.18 | 66.1 | 4.34±4.33 | 75.2 |
Statistically significant difference from infected control at P- value <0.001.

SEM photomicrograph of S. mansoni: (A and B) untreated worms (A) normal body architecture with numerous tubercles supported with an acute spine, (B) normal oral sucker (oval) and rounded ventral sucker. (C and D) treated group with PZQ (C) severe damage of body, (D) tubercles deformation and spine decay (E, F, G, H) treated group with biosynthesized ZnO nanoparticles (E) complete destruction of gynaecophoric channel, (F) peeling and destruction of the tegument (G, H) abnormalities appeared in the tubercles and destruction of the spines, (I, J, K, L) treated group with ZnONPs plus PZQ (I) Complete destruction and contracile of the worm's body (J, K) completely destroyed of tegument (peeling of tubercles, tegument sloughing, devastation spines) (L) wrinkles and bubbles appeared on damage tegument.
On examination of the ultrastructural details of the untreated adult worms, a spherical ventral sucker and an oval oral sucker covered with sharp spines were found in the normal architecture. The male has numerous tubercles, completely covered with spines; the spines disappear between the tubercles—the gynaecophoric channel is present on the ventral side (Fig. 8 A, B).
Both the ventral and oral suckers were destroyed in the worms treated with PZQ. Both male and female tegument showed significant shrinkage, with the underlying muscle layer becoming visible due to widespread surface peeling. Furthermore, the terminal sensory spines became subsided, and the sensory papillae lost their dome-like form. Edema was noted in the tegument surrounding the oral sucker, with ulcerations that manifested as perforations. A total absence of the papillary spines was noted (Fig. 8 C, D).
Adult worms administered solely with green zinc oxide nanoparticles exhibited effects comparable to those treated with PZQ. Certain regions of the tegument manifested as irregular masses of sub-integument inclusion, exhibiting overall deformities in the papillae, as well as partial and complete loss of papillary spines and degeneration of the papillae. Furthermore, numerous papillae exhibited collapse, characterized by extensive membranous folds interspersed among them and hypertrophied regions in the male specimens. Significant shrinkage was noted on the majority of the tegumental surface of the adult worms, accompanied by substantial deformities in the oral and ventral suckers—spherical blebs of varying sizes manifested in multiple tegumental regions. Moreover, the gynaecophoric canal exhibited deformities, including pits on the inner surface, induced on the tegumental surface by the activity of zinc oxide nanoparticles (Fig. 8 E, F, G, H).
The group administered a combination of zinc oxide nanoparticles and PZQ, which induced significant deformities in the oral and ventral suckers, accompanied by pronounced tegumental contractions. Multiple bubbles were noted in certain surface regions, and the papillae altered from their characteristic form, with sensory spines either vanishing or becoming truncated (Fig. 8 I, J, K, L).
By mixing a metal salt solution with a plant extract containing numerous natural compounds, such as polyphenols and terpenoids, which donate electrons to metal ions, nanoparticles are formed via a green process. As a result, the ions begin to form a core within the crystal structure, and the stability of the reduced ions on this core's surface facilitates nanoparticle growth. Phytochemical compounds inhibit nanoparticle growth, stabilize their size, and cap them. Nanoparticles have key properties that determine their biological activity, including accumulation, shape, type, stability, and toxicity to biological systems (Miu & Dinischiotu, 2022; Pandit et al., 2022).
To determine the role of functional groups in the plant extract in reducing, stabilizing, and capping ZnO, FTIR provides accurate measurements, high transmission, and repeatability, thereby elucidating whether these functional groups are actively involved in nanoparticle evolution. The presence of ethylenes, hydroxyl groups, carbonyl groups, and amines in the FTIR spectra of biosynthetic ZnONPs indicates the presence of alkenes, quinones, ketones, alcohols, carbohydrates, polyphenols, and phenols. Due to the presence of various functional groups, zinc oxide particles may have been converted into zinc oxide nanoparticles. Additionally, polyphenols are potent metal-oxide-reducing agents, whereas free amino and carboxylic groups are responsible for nanoparticle stability. To prevent agglomeration in the reaction medium, polysaccharides (such as glycogen) form a layer on their surface through a strong bonding ability with metal oxide (Zn). Previous studies have suggested that the IR bands between 430 and 800 cm−1 are caused by Zn-O stretching vibrations (Hamidpour et al., 2017; Iqbal et al., 2021).
The zeta potential is a measure of the magnitude and direction of the electric charge that exists at the interface of a solid or liquid particle in a liquid medium. Additionally, the potential capping of the bioactive organic components found in the Artemisia annua extract contributes to the negative charge on the ZnO nanoparticles. The electrostatic repulsion between the ZnO nanoparticles is revealed by their strong negative value, which shows that they were stable without any accumulation (Sivaraman et al., 2013; Jan et al., 2021). The tendency of ZnO particles to interact with negatively charged plasma proteins is prevented by their own negative charge. Upon exposure to plasma proteins in a living organism, ZnO nanoparticles form a protein corona that stabilizes them in biological media (Perumal et al., 2024).
Images from transmission electron microscopy (TEM) show that ZnO nanoparticles are spherical to semi-spherical, with an average diameter of 40 nanometers. According to a previous study, NP size is predicted to be inversely correlated with surface negativity. As surface negativity decreases, the repulsion between nanoparticles decreases, thereby reducing their stability and promoting aggregation into larger particles. It is evident from looking at the surface negativity values in this study that the ZnONPs are small in size. Unexpectedly, the size of the ZnONPs measured by DLS was larger than that determined by TEM. This could be attributed to the coating substance that stabilized and capped the NPs' surfaces. Furthermore, the larger size observed in the DLS analysis may be attributed to the non-homogeneous distribution of ZnO nanoparticles in the colloidal solution (Taher et al., 2019; Al-Radadi et al., 2022). The PDI can be interpreted as a number computed from two parameters proportional to the correlation data, although it lacks units and thus tends to take the value 0. A polydispersive distribution of particles has a value of 1, whereas a monodispersive distribution has a value of 0. A monodisperse sample has a PDI value of less than 0.05. In contrast, a broad size distribution of zinc oxide particles is indicated by a PDI value greater than 0.7, making PDI analysis of the sample undesirable (Danaei et al., 2018; Khorrami et al., 2018).
A valuable method for obtaining information about the atomic structures of substances is X-ray diffraction. To determine the formation of zinc oxide nanoparticles, calculate the nanoparticle size and identify the crystal structure, XRD is a valuable characterization tool. The XRD pattern of the biosynthesized particles from the Artemisia annua extract was examined to confirm the crystalline nature of the zinc oxide nanoparticles. The reported peak values are consistent with several previous results (Iqbal et al., 2021; Naiel et al., 2022).
Zinc oxide nanoparticles synthesized by Artemisia annua were used to stimulate bone formation through differentiation of MG-63 cells. Cerium oxide nanoparticles (CeO2-NPs) were synthesized using an aqueous extract of the plant Aquilegia pubiflora, and the nanoparticles were evaluated for several biomedical applications. Their antimicrobial (antifungal, antibacterial, and anti-leishmanial), protein kinase inhibition, anticancer, antioxidant, antidiabetic, and biocompatibility properties were studied (Jan et al., 2020). They were not used as antibacterial or antiparasitic agents; however, the bioactivity of ZnO nanoparticles has previously been assessed against various microorganisms, including Enterobacter cloacae, Pseudomonas aeruginosa, Acinetobacter baumannii, Salmonella typhimurium, E. coli, and Klebsiella pneumoniae (Naiel et al., 2022). Numerous reports have demonstrated the efficacy of zinc oxide nanoparticles in combination with various medicinal plants, preserving their anticancer and antibacterial properties owing to their unique chemical and physical properties. A recent report indicates that the sustainable bioformulation of ZnO nanoparticles utilizing Cucumis melo extract effectively countered the E. coli strain, yielding an inhibition zone diameter smaller than that of the control group (Sankian et al., 2011). Copper oxide, nickel oxide, and copper/nickel hybrid nanoparticles were biosynthesized using extracts of long turmeric root, and their activity against P. aeuroginosa, P. vulgaris, promastigote and amastigote, and anti-cancerous potential against HepG2 cell lines were evaluated (Faisal et al., 2021). An additional investigation demonstrated that ZnO nanoparticles, synthesized via an intermediate green formulation from Phoenix roebelenii leaves, exhibited antimicrobial activity against both Gram-positive (Streptococcus aureus and S. pneumoniae) and Gram-negative (E. coli and S. typhi) bacteria (Aldeen et al., 2022). The antimicrobial efficacy of ZnO nanoparticles synthesized via green methods using Terminalia catappa leaf extract was found to exceed that of chemically synthesized ZnO nanoparticles when evaluated against E. coli and S. aureus (Fernandes et al., 2023). The antiparasitic and antimicrobial efficacy of ZnO nanoparticles encompasses a four-step mechanism. The process initiates with the strong affinity of ZnO nanoparticles for parasitic and bacterial cells. This is succeeded by the synthesis of hydrogen peroxide on the surface of ZnO nanoparticles. The nanoparticles subsequently engage with molecules containing sulfur and phosphorus, including DNA. This interaction ultimately disrupts the biological metabolism of parasites and bacterial cells by interfering with their protein molecules, resulting in their demise. The proposed theory explaining the mechanism of PZQ indicates that the drug integrates into the membrane, thereby inducing a lipid phase transition and subsequent membrane destabilization. According to the previous theory, praziquantel interacts with the tegumental outer membrane, causing significant damage. The zinc oxide nanoparticles synthesized from plant extracts yielded results comparable to those of PZQ, suggesting an analogous mode of action (Greenberg, 2005; Salvador-Recatalà and Greenberg, 2012). Extracts of Artemisia annua have been reported to be a potential therapeutic agent for bone-related diseases and bone deformities (Wang et al., 2020). Although the initial effects of the drug involved a rapid influx of calcium into the parasite, muscle contraction and paralysis were dependent on calcium. The hypothesis explaining how PZQ works is that the drug becomes embedded in the membrane, resulting in a lipid phase transition and a subsequent destabilizing effect on the membrane. It is well documented that praziquantel reacts with the outer tegumental membrane and cleaves it dramatically. The zinc oxide nanoparticles used yielded results comparable to PZQ, so it is expected that their mechanism of action will be similar to that of PZQ (Eldera et al., 2025; Alkhtaby et al., 2025).
Zinc oxide nanoparticles have been proposed as a means of combating bacteria and fungi, based on the generation of reactive oxygen species (ROS) under light, the degradation of metal oxide nanoparticles, and the electrostatic interactions between nanoparticles and microbial cell walls. The antibacterial activity of ZnONPs may be due to their preferential aggregation on the outer surface of the bacterial membrane. ZnONPs generate reactive oxygen species (ROS), which bind to the bacterial membrane, thereby increasing membrane permeability and promoting cell death. The release of Zn4+ damages bacteria's mitochondria and DNA, and it is capable of blocking important bacterial enzymes, resulting in cell death (Faisal et al., 2021).
Several studies have explored potential substitutes for praziquantel (PZQ) utilizing extracts from medicinal flora. Fadladdin (2021) investigated the impact of aqueous extracts from Ziziphus spina-christi, Origanum majorana, and Salvia fruticosa on Schistosoma haematobium. Abou El-Nour and Fadladdin (2021) evaluated the effects of aqueous extracts from Coriandrum sativum, Piper nigrum, and Zingiber officinalis on Schistosoma mansoni. The research has also investigated metal nanoparticles as possible substitutes for PZQ. Khalil et al. (2018) examined the application of iron nanoparticles for the treatment of Schistosoma mansoni and its intermediate host, Biomphalaria alexandrina, noting effects at a concentration of 30 μg/ml. Abou El-Nour et al. (2021) assessed the efficacy of copper oxide nanoparticles against Schistosoma mansoni and Schistosoma haematobium, with an observed efficacy of 1.25 μg/ml. Dkhil et al. (2019) investigated the effects of gold and selenium nanoparticles on Schistosoma mansoni in vivo, revealing substantial impacts on the parasite and enhancements in murine health. Moustafa (2005) employed gold and silver nanoparticles to regulate Biomphalaria alexandrina, the intermediate host of Schistosoma mansoni, attaining mortality rates of 50 μg/ml for silver and 100 μg/ml for gold. Hamdan et al. (2023) evaluated the effects of green and chemical silver nanoparticles on Schistosoma mansoni. They found that concentrations of 100 μg/ml for green nanoparticles and 80 μg/ml for chemical nanoparticles were the most effective in eliminating the worms.
The host's immune system and the outer surface of S. mansoni interact, with the latter serving as a protective barrier and an interface between the worms and their environment. This tissue exhibits multiple characteristics and functions, rendering it a principal target for anti-schistosomal medications. The effects on the ultrastructural characteristics of adult worms in vitro have been shown in numerous studies, including iron nanoparticles (Khalil et al., 2018), copper oxide nanoparticles (Abou El-Nour et al., 2021), and silver nanoparticles Hamdan et al., 2023) exhibited similar effects to those observed with the current zinc oxide nanoparticles (ZnO NPs). The effects encompassed spinal damage, sloughing, loss of spines on oral and ventral suckers, bleb formation, and considerable edema. The tegument of S. mansoni functions as a protective barrier, engages with the host's immune system, and establishes the interface between the worms and their microenvironment. This tissue exhibits diverse characteristics and functions, making it a principal target for antischistosomal therapies. Multiple studies have examined the effects of various substances on the worm's surface (Moustafa, 2005; Fuzimoto, 2021; Jiraungkoorskul et al., 2005; Abou El-Nour et al., 2021). ecofriendly, biosynthesized silver nanoparticles for diverse medical and environmental applications using the Flamulina phylloteps against Leishmania tropica, anti-bacterial, which also shows promise in anti-Alzheimer's and anti-diabetic activities (Faisal et al., 2021).
Severe schistosomiasis can significantly impair liver function by altering its structure. The disease induces varying degrees of hepatic damage and immune responses that may lead to fibrosis. Numerous schistosomiasis therapies aim to mitigate, delay, or eradicate liver fibrosis, particularly in the chronic stages of the disease. These treatments aim to reduce egg production and inhibit schistosomes from depositing eggs in the liver. The present study demonstrated that chronic granulomatosis substantially affects liver parenchyma. Granulomas, formed by the accumulation of schistosome eggs in fibrotic regions, comprise a diverse array of chronic inflammatory cells, including plasma cells, lymphocytes, epithelial cells, eosinophils, and macrophages (Lenzi et al., 1998). Zinc oxide nanoparticles obtained from Artemisia annua demonstrated significant efficacy against schistosomiasis. The efficacy was evidenced by a decrease in both the size and quantity of granulomas, along with a reduction in the number of eggs within the tissues of treated hamsters (Fadladdin, 2021). The therapeutic advantages of these ZnO nanoparticles are associated with the biologically active constituents in Artemisia annua extract, encompassing various phytochemicals, including tannins, flavonoids, saponins, alkaloids, carbohydrates, quinones, and a phenolic glycoside/cardinolide (Yin et al., 2025). The proteins in the extract exhibit immunomodulatory effects that diminish Th2 cytokine production, which is associated with granuloma formation, while enhancing Th1 cytokine production, which is linked to resistance to granuloma formation. This transition amplifies the expression of IL-6, IL-1β, TNF-α, and iNOS, thereby increasing neutrophil production and directing leukocyte activity to sites of infection. Furthermore, these proteins exhibit anti-edematogenic properties, regulate oxidative stress markers, and contribute to maintaining the structural integrity of the liver, spleen, and intestines (Chaudhary et al., 2015). Collectively, these effects account for the observed decreases in both the number and size of granulomas, thereby elucidating the substantial improvements in the tissues of hamsters administered zinc oxide nanoparticles.
Numerous studies have demonstrated the beneficial effects of nanoparticles, especially when utilized in conjunction with drug therapies in vivo or in vitro (Abd El Wahab et al., 2021; Chavan et al., 2021; Eldera et al., 2025). This study similarly observed outcomes, with the most pronounced reduction in total egg count occurring in groups administered green-synthesized ZnO nanoparticles in conjunction with PZQ. This combination resulted in a significant reduction in both the size and quantity of granulomas, attaining a 64.59 % decrease.
Laboratory experiments on green zinc oxide nanoparticles demonstrated significant efficacy against S. mansoni. The oral and ventral suckers, as well as the integument of adult worms, were significantly damaged by these nanoparticles in comparison to the positive control group. Zinc oxide nanoparticles, in conjunction with PZQ, proved to be the most effective treatment. The anti-inflammatory properties of zinc oxide nanoparticles were evidenced by a reduction in both the size and number of granulomas in hamsters following treatment.