Non-Hodgkin B-cell lymphomas represent a heterogeneous group of lymphoid neoplasms, characterized by diverse clinical courses, morphologies, immunophenotypes, and genetic alterations. In the differentiation of aggressive lymphomas, diffuse large B-cell lymphoma (DLBCL) and pleomorphic variants of mantle cell lymphoma (MCL) should be considered [1–3].
DLBCL is the most common aggressive B-cell lymphoma in adults, accounting for approximately 33% of non-Hodgkin lymphomas (NHL) in Poland and up to 30% worldwide. [4, 5]. The median age at diagnosis is 64 years, and the disease shows male predominance. It is characterized by rapid growth and, in 30% of cases, presents with systemic symptoms, including weight loss, fever, and night sweats [6]. Although DLBCL most often arises in lymph nodes, extranodal origin is observed in about 30% of cases [7]. Overall, extranodal localization is common and occurs in approximately 50% of cases, involving organs such as the liver, bones, and soft tissue [6].
MCL represents 2-10% of all NHL, making it a relatively uncommon B-cell subtype. It is characterized by the translocation t(11;14)(q13;q32) – CCND1, leading to cyclin D1 overexpression. This process leads to the deregulation of the cell cycle, thereby enabling the proliferation of neoplastic cells. The median age at diagnosis is 70 years, and the disease shows male predominance. (8) MCL is often clinically aggressive and presents at an advanced stage, with frequent extranodal involvement in the spleen, bone, marrow, and gastrointestinal tract. Systemic symptoms are similar to those observed in DLBCL, including weight loss, fever, and night sweats [9]. Among its morphological variants, the pleomorphic variant represents a highly aggressive subtype associated with a high proliferative index (Ki-67) and poor prognosis [10]. It is worth mentioning that pleomorphic variants may show a low expression rate of SOX11 and, in some cases, be SOX11 negative [11].
Diagnosis of both DLBCL and MCL should preferably involve surgical excision biopsy from a lymph node or extranodal lesion, followed by comprehensive histopathological, immunohistochemical, and molecular assessment, including gene rearrangement and translocation analysis [8, 12, 13].
Here we present the case of a female patient with extensive bilateral adrenal masses, in whom initially oligosymptomatic NHL progressed so rapidly that it was not possible to determine whether it represented DLBCL or MCL due to the patient’s death.
A 71-year-old female reported chronic weakness, weight loss of 10 kg over two months, and decreased vitality. An earlier outpatient diagnostic evaluation had revealed hyperthyroidism. An abdominal ultrasound showed large nodular lesions in the adrenal region. The patient was then admitted to the internal medicine ward in early April of 2024 for further diagnostic evaluation.
Chest X-ray findings included mild congestive infiltrates above the right diaphragm, along with fibrotic changes in the upper and lower left lung fields. Blunting of both costophrenic angles suggested the presence of bilateral pleural effusions. Abdominal ultrasound demonstrated a hypoechoic lesion measuring 85x46 mm in the region of the right adrenal gland and a hypoechoic lesion measuring 68x46 mm in the region of the left adrenal gland.
In the following days, the patient’s clinical condition continued to deteriorate. Echocardiography revealed a significant amount of pericardial fluid — up to 22 mm behind the posterior wall and up to 27 mm behind the free wall of the right ventricle. Diastolic collapse of the right ventricular free wall was observed, indicating hemodynamic significance of the effusion. Additionally, atrial fibrillation and tachycardia were present. An exacerbation of heart failure with reduced ejection fraction (EF 45%) occurred, corresponding to NYHA class IV. Due to the life-threatening cardiac tamponade, the patient was qualified for pericardial drainage. Over two separate attempts, a cumulative volume of 800mL of serosanguinous fluid was evacuated.
High-resolution computed tomography (HRCT) confirmed bilateral pleural effusions, atelectatic changes, and band-like fibrotic lesions in the basal regions of both lungs. Several enlarged para-aortic lymph nodes measuring up to 10 mm in short axis were observed. Nodular adrenal lesions demonstrated attenuation values greater than 10 Hounsfield units on unenhanced images, which did not meet the criteria for adenoma. Additionally, a hypodense lesion measuring 15 mm in diameter was visualized in hepatic segment V.
The patient was discharged home in good condition. Two weeks later, at the end of April 2024, a [18F]FDG PET/CT scan was performed to further evaluate the lesions visualized on HRCT.
A disseminated proliferative process was identified. Polycyclic adrenal masses were observed — the right measuring 106x61 mm, infiltrating the right kidney and liver, and the left measuring 72x62 mm, infiltrating the left diaphragmatic crus and, marginally, the upper pole of the left kidney. Both lesions were characterized by increased radiotracer uptake, with a standardized uptake value maximum (SUVmax) of approximately 40. Such a high radiotracer uptake strongly suggests a malignant nature of the lesions [14, 15].

[18F]FDG PET/CT, axial plane – the image shows increased radiotracer uptake in the bilateral polycyclic adrenal masses, infiltrating the liver and the left diaphragmatic crus. Focal increased uptake is also visible in the spleen, peritoneum, back muscles, and paraaortic and hepatic hilar lymph nodes.

[18F]FDG PET/CT, Maximum Intensity Projection (MIP) image – shows disseminated areas of increased radiotracer uptake in the whole body, including the adrenals, liver, spleen, intestines, bones, thyroid, heart, and multiple lymph nodes.
Additionally, proliferative foci were visualized in the liver, spleen, kidneys, bones, peritoneum, upper abdominal and thoracic lymph nodes, and bilaterally in the pleura. Also, metabolically active nodules in the thyroid gland were observed. Intestinal involvement was inconclusive, with thickening of the cecal wall and a single focus in the sigmoid colon. Given the advanced extent of metastatic disease, it was not possible to identify the primary site. The overall imaging pattern raised suspicion for a lymphoproliferative process and warranted its inclusion in the differential diagnosis.

[18F]FDG PET/CT, axial plane – increased radiotracer uptake in the superior aortic recess, non-enlarged left upper paratracheal lymph node, and right scapula – with no corresponding lesions in the scapula in the contrast-enhanced CT performed later. Additionally, the non-contrast CT scan shows a large amount of fluid in the right pleural cavity.

[18F]FDG PET/CT, axial plane – the image shows focal increased uptake in the sacral bone. The uptake did not correspond with any suspicious lesions in the contrast-enhanced CT examination performed later. Increased radiotracer uptake in the cecal wall is also visible, with thickening of the intestinal wall on the non-contrast CT.
Furthermore, imaging confirmed features of pericarditis. The observed infiltration involved the entire pericardium, reaching a substantial thickness of up to 25mm adjacent to the left ventricle. Given the previously mentioned metastatic findings, the coexistence of both inflammatory and proliferative etiologies could not be excluded.

[18F]FDG PET/CT, axial plane – increased radiotracer uptake in the pericardium with pericardial infiltration in a non-contrast CT scan – features of pericarditis. Additionally, increased radiotracer uptake in the right pulmonary hilum is also visible. The non-contrast CT shows fluid accumulation in both pleural cavities, with more fluid on the right.
Due to suspected pericarditis in PET/CT, accompanied by worsening dyspnea and hematuria, the patient was admitted to a clinical hospital on the same day. Ceftriaxone and dexamethasone therapy were initiated. A subsequent therapeutic thoracentesis successfully evacuated 300 mL of exudative fluid, noticeably alleviating the patient’s dyspnea.
Given the unknown primary origin of the malignancy, a CT-guided core needle biopsy of the right adrenal gland was performed in early May. Histopathological examination revealed infiltration by atypical, polymorphic cells, consistent with aggressive B-cell lymphoma. and a high proliferative index (Ki-67 approximately 90%). The complete immunophenotype was as follows: LCA+, CD20+, CD5+, CD3–, CD23– (absence of FDC network), CD10–, BCL6+, MUM1+, c-MYC–, BCL2+, CD30–, cyclin D1+, SOX11–, EBER-ISH–, CK AE1/AE3–, Melan A–, and TTF-1–. Crucially, the tumor cells were positive for cyclin D1 but negative for SOX11. The findings were consistent with infiltration by aggressive B-cell lymphoma. The immunoprofile corresponded to either diffuse large B-cell lymphoma (DLBCL), not otherwise specified (NOS), ABC-type or pleomorphic variant of mantle cell lymphoma (MCL).
Based on the imaging findings and the immunophenotypic profile, the presentation was consistent with an aggressive B-cell lymphoma, stage IV.

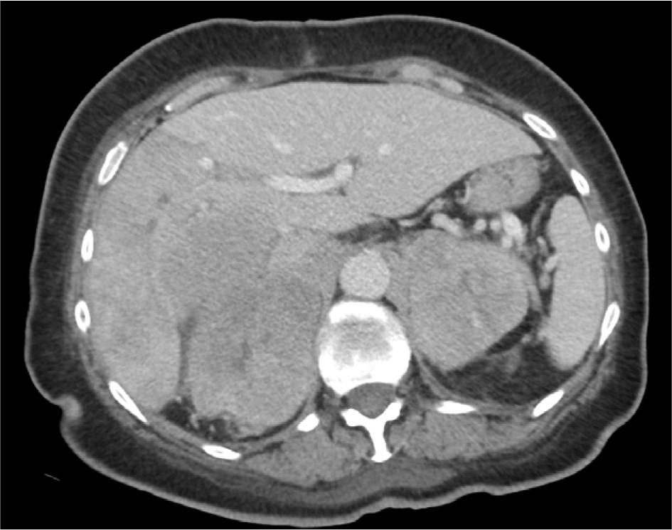
CT, contrast-enhanced, axial plane – the image shows bilateral polycyclic adrenal masses with heterogeneous enhancement. The left adrenal mass infiltrates the left diaphragm crus. On the right side, the mass most likely infiltrates the inferior vena cava and adheres to lesions in the liver.
During hospitalization, the patient exhibited a consistently elevated and increasing C-reactive protein (CRP) level reaching 185 mg/L. To rule out an infectious etiology, blood and urine cultures were obtained. However, given that the patient remained afebrile and procalcitonin levels (0,13-0,29 ng/mL) were unremarkable, the elevated CRP was ultimately attributed to the underlying aggressive malignancy. Other laboratory abnormalities included critical lymphopenia despite normal or increased WBC (5.6×103 – 19,27×103/μL) due to neutrophilia. The lymphocyte count decreased from 0.58×103/μL to 0,26×103, while the neutrophil count increased from 3,86×103/μL to 14,66×103/μL. Blood count showed normal RBC values (4.06×106 – 4,81×106/μL), slightly reduced to normal hemoglobin (10,8-12,7 g/dL) and normal to mildly elevated PLT (391-631×103/μL). Elevated LDH (393 U/L) and uric acid (10 mg/dL) were noted. Serum phosphate (1.17 mmol/L), calcium (2,31 mmol/L) and potassium levels (3,9-4,97 mmol/L) remained within normal ranges. Creatinine varied between 0.72-1.23 mg/dL with eGFR – CKD-EPI fluctuating from 44 to 85 mL/min/1,73m2. Serum cortisol remained within normal limits (≤21,2μg/dL). D-dimers (4487 ng/mL) and NT-proBNP (6653 pg/ml) were elevated.
This clinical course was marked by a rapid and irreversible deterioration in the patient’s condition. The patient succumbed to the disease a few days after the previously mentioned biopsy.
This unusual profile presents the defining marker of MCL (cyclin D1+) and negative SOX11, suggesting its pleomorphic variant, while BCL6+ and MUM1+ would imply DLBCL [3]. Although rare, DLBCL may show cyclin D1 expression, whereas MCL can occasionally express markers such as BCL6 and MUM1 [16, 17]. To establish a definitive diagnosis, fluorescence in situ hybridization (FISH) for gene rearrangements involving MYC, BCL2, BCL6, and CCND1 would have been recommended. The presence of the translocation CCND1 would have confirmed the MCL, whereas rearrangements involving MYC, BCL2, or BCL6 would have supported the diagnosis of DLBCL. Unfortunately, the patient’s death led to the discontinuation of the diagnostic process, including testing for the genes mentioned above.
While the rapid progression could support the hypothesis of DLBCL, NOS, ABC-type, particularly given the short interval from onset to fatal outcome, the immunophenotype (cyclin D1+ and SOX11-) is more characteristic of pleomorphic MCL. Thus, pleomorphic MCL remains the more probable diagnosis.
This case illustrates how NHL may remain oligosymptomatic for an extended period. Sudden weight loss, persistent fatigue, weakness, and apathy without any apparent cause often indicate an ongoing proliferative process. Timely and accurate diagnostic evaluation is crucial for patient outcomes. Although the absence of imaging studies before March 2024 prevents an estimation of the precise growth rate, it can be concluded that the discussed lymphoma exhibited an exceptionally aggressive clinical course, even relative to other lymphomas within this group.
It should be noted that the presence of massive bilateral adrenal neoplastic lesions is exceedingly rare in NHL, especially affecting both adrenal glands.
This case also highlights the pivotal role of nuclear medicine in the diagnostic workup of NHL. [18F]FDG PET/CT enables visualization of areas with increased glucose metabolism, which correlates with the presence of malignant cells. It facilitates comprehensive detection of all suspect lesions, including metastases in distant or atypical sites, thus significantly expediting diagnosis and allowing for a preliminary distinction between benign and malignant processes. Furthermore, [18F]FDG PET/CT provides a reliable baseline for therapeutic monitoring and follow-up evaluation.
Due to the unavailability of image data from other imaging studies (USG, HRCT, echocardiography, etc.), all figures in this article are derived from the [18F]FDG PET/CT and CT They serve as illustrative material representing findings also described in other imaging examinations.