Every year, between 20% and 35% of births worldwide are performed via Cesarean section (CS), and in some countries, this percentage has increased to as much as 50% [1]. CS is therefore the most commonly performed surgical procedure among women globally. One of its potential long-term complications is isthmocele-a defect in the uterine scar following cesarean delivery, also referred to as a niche, diverticulum, insufficient uterine scar, or scar pouch. Although definitions may vary, isthmocele is most commonly described as a disruption or thinning of the myometrium at the site of the cesarean section scar, which should be distinguished from the normal physiological scarring process [2].
The prevalence of isthmocele is difficult to determine precisely. According to various sources, it ranges from 6.9% to 64.5% [3], with some studies reporting its presence in 50-60% of women after cesarean delivery. This wide variation depends on the study population, timing of assessment, and the diagnostic method used-including 2D and 3D transvaginal ultrasound (TVUS), saline infusion sonohysterography (SIS), or magnetic resonance imaging (MRI) [4, 5]. The most commonly used diagnostic tool remains TVUS, often enhanced by contrast agents such as saline [6, 7].
The etiology of isthmocele is considered multifactorial. Proposed risk factors include inadequate surgical technique, a low uterine incision, uterine retroversion, obesity, smoking, impaired wound healing, and advanced maternal age [8]. While many cases are asymptomatic, some patients present with gynecological symptoms such as abnormal uterine bleeding (particularly postmenstrual spotting), pelvic pain, dyspareunia, dysmenorrhoea [8–10]. Prospective studies have shown that spotting within 6-12 months postpartum occurs in 30% of women with a niche, compared to 15% of women without one. The severity of this symptom correlates with the volume of the niche and inversely correlates with the thickness of the remaining myometrial layer [11, 12].
Beyond gynecological symptoms, isthmocele may also negatively affect fertility. Studies have reported that the presence of a niche may impair embryo implantation and increase the risk of spontaneous miscarriage, particularly when implantation occurs within or near the niche site [13–15]. In rare but severe cases, cesarean scar pregnancy can occura form of ectopic pregnancy associated with life-threatening complications such as uterine rupture and abnormal placentation, including placenta previa, accreta, increta, or percreta.
This review aims to examine the existing literature regarding potential risk factors contributing to the development of isthmocele and to explore possible strategies for their prevention and management.
A uterine niche, also referred to as an isthmocele, was first described by Poidevin in 1961 using hysterosalpingography (HSG) as a small, wedge-shaped morphological defect [16]. Since then, various imaging techniques-including transabdominal and transvaginal sonography (TVS), have been utilized to further characterize this condition. In 1990, Chen et al. identified a wedge-shaped hypoechoic area at the site of the CS scar, distinguishable from the adjacent myometrium of the lower uterine segment using TVS [16]. The term „niche” was first introduced by Monteagudo et al., to describe a triangular anechoic area observed at the presumed site of the CS incision [17].
There are currently no standardized diagnostic criteria for isthmocele. Radiologically, it is defined as an indentation of at least 2 mm in depth, visible on ultrasound or magnetic resonance imaging [8]. Additionally, the European Working Group on Niches formally defines a niche as a myometrial indentation ≥2 mm deep, as assessed by TVUS [18].
Several imaging modalities, such as ultrasonography, sonohysterography, hysterography, hysteroscopy, and MRI, can be employed to evaluate the anterior uterine wall and confirm the diagnosis [9]. In recent years, numerous studies have shown significant differences in the diagnostic effectiveness of individual imaging methods used to detect the niche after caesarean section. TVUS remains the method of first choice, but its diagnostic sensitivity is limited and estimated at approximately 45–65%, depending on the evaluation criteria used and the operator’s experience [19, 20].
The use of SIS increases diagnostic accuracy, allowing for better visualisation of the contours of the cavity and detectability of up to 70–80%, especially in the case of small defects [20]. This method also allows for the assessment of the communication between the niche and the uterine cavity and the volume of accumulated fluid, which is clinically important in planning further treatment.
On the other hand, MRI has the highest diagnostic sensitivity, reaching 80–90%, and allows for precise assessment of residual myometrial thickness (RMT) and scar extent. These data are particularly important in cases of planned reconstructive surgery [21].
In comparative studies, the detection rate of isthmocele was 11.3% with TVUS, 43.2% with hysteroscopy, and 66.1% with MRI, confirming the higher sensitivity and accuracy of advanced methods compared to conventional ultrasound [22]. In the study „Factors Associated to the Presence of Isthmocele Diagnosed by Pelvic Ultrasound, Magnetic Resonance Imaging or Diagnostic Hysteroscopy: A Cross-Sectional Study”, involving 90 women with a history of caesarean section, the incidence of isthmocele was found to be 63.3% (n = 57) with the combined use of TVUS, MRI and hysteroscopy. These results confirm that the use of several imaging methods simultaneously significantly increases the detection rate of caesarean section scar defects [21].
Systematic reviews indicate that although MRI detects a greater number of defects and provides more accurate RMT measurements than standard TVUS, TVUS and SIS remain the first-line methods in everyday clinical practice – they are easily accessible, quick and sufficient in most cases [20].
In diagnostically ambiguous situations or before planned surgical intervention, it is recommended to supplement the diagnosis with an MRI scan, which allows for an accurate anatomical assessment of the niche, its size and the thickness of the residual uterine muscle. This approach allows for individualisation of diagnostic and therapeutic management and minimises the risk of complications in future pregnancies.
As postmenstrual bleeding is the most common symptom, imaging during the early proliferative phase of the menstrual cycle is recommended. During this phase, blood accumulation within the isthmocele can be visualized more clearly, often without the need for saline or gel infusion [23]. Furthermore, the risk of pregnancy is minimal at this time, making it the optimal window for evaluation [23].
Several studies have identified multiple cesarean deliveries as a key predisposing factor for isthmocele formation [24, 25]. Although findings remain inconclusive, a systematic review by Bij de Vaate et al. proposed that factors such as labor duration, degree of cervical dilation, fetal presentation, and the location of the uterine incision may also contribute to niche development. Specifically, cesarean sections performed during the active phase of labor, with cervical dilation greater than 5 cm, have been associated with larger cervical defects [26].

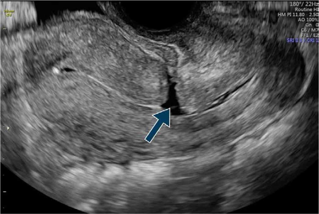
A uterine isthmocele in the sagittal plane by TVUS [27].
The development of isthmocele, is thought to result from a combination of surgical and individual patient factors. Vervoort et al. proposed four main hypotheses to explain its formation [28].
The first hypothesis emphasizes the importance of hysterotomy site selection. When the uterine incision is made too low, extending into the cervical tissue, especially tissue rich in mucous glands, it may negatively affect the healing process. Mucus secretion during recovery can disrupt the approximation of the uterine muscle edges, leading to scar defects [28]. This idea is reinforced by studies linking isthmocele with conditions such as advanced cervical dilation (>5 cm), prolonged labor (>5 hours), and low fetal station at the time of cesarean section [26, 29]. Moreover, cesarean deliveries performed during the active phase of labor, may involve incisions into cervical tissue that has already shortened and thinned, making it difficult to distinguish from the uterine segment. This further increases the risk of defect formation [23, 28, 30].
The second hypothesis focuses on surgical closure technique. Incomplete or improper closure of the uterine wall, particularly when the deeper muscular layer is omitted or sutures are placed incorrectly, may result in poor wound healing. Techniques that aim to spare the endometrium, or fail to align tissue layers correctly, can contribute to the formation of a niche within the uterine wall [23, 28].
The third hypothesis considers the role of adhesion formation. Early postoperative adhesions between the hysterotomy site and the anterior abdominal wall can create mechanical tension that pulls on the scar, disrupting healing. This is especially problematic in women with a retroverted uterus, where the altered orientation increases the pulling forces on the uterine incision, potentially reducing blood supply and impairing tissue repair [23, 28, 30].
The fourth hypothesis highlights patient-specific factors, such as genetic or physiological predispositions that interfere with normal healing. Poor tissue regeneration, impaired hemostasis, abnormal inflammatory responses, or an increased tendency for adhesion formation may all contribute to the development of isthmocele, regardless of the surgical technique used [28].
The presence of an isthmocele, increases the risk of various pregnancy-related complications, including placenta previa, cesarean scar pregnancy (CSP), placenta accreta spectrum (PAS), and uterine scar dehiscence. Additionally, the niche may serve as a potential space for the retention of products of conception and blood clots, both in intrauterine pregnancies and in cases of CSP.
Cesarean scar pregnancy is a rare but potentially life-threatening form of ectopic pregnancy in which the embryo implants within the uterine muscle defect at the site of a previous caesarean section scar. It is estimated that pregnancy in the scar after caesarean section occurs in approximately 0.2–0.5% of women who have had a caesarean section, which corresponds to a frequency of approximately 1 case per 200–500 pregnancies in patients with a caesarean section scar [31]. When these data are applied to the entire population of pregnant women, CSP accounts for approximately 1:1800–1:2200 of all pregnancies, which gives approximately 0.05–0.06% [32]. In recent years, there has been an increase in the number of CSP diagnoses, which is associated with both an increase in the number of caesarean sections worldwide and the increasingly widespread use of TVUS in the early diagnosis of pregnancy. The literature also emphasises that CSP currently accounts for approximately 6% of all ectopic pregnancies in women who have had a caesarean section [33].
The pathogenesis of this phenomenon is associated with incomplete healing of the scar and the formation of an isthmocele, through which the embryo can penetrate deep into the myometrium. CSP is associated with a high risk of severe complications, such as uterine rupture, massive haemorrhage, damage to pelvic organs and, in extreme cases, the need for hysterectomy [34]. In later stages of pregnancy, abnormal placental implantation may also occur, which significantly increases the risk of uterine loss and maternal death.
The diagnosis of CSP is based TVUS using colour Doppler. It is characterised by an empty uterine cavity, a thin layer of myometrium between the gestational sac and the urinary bladder (<3 mm) and increased vascularisation in the scar area [35]. In doubtful cases, MRI is used to allow a more accurate assessment of the extent of trophoblast invasion. Treatment depends on the gestational age, the patient’s general condition and the intention to preserve fertility. In early, haemodynamically stable cases, conservative treatment is preferred – most often local or systemic administration of methotrexate, possibly in combination with ultrasound-guided vacuum aspiration [36]. Alternatively, surgical methods such as hysteroscopic or laparoscopic excision of the lesion and reconstruction of the uterine wall are used, which allows for organ preservation and potential future fertility [37]. In advanced cases or cases complicated by haemorrhage, radical treatment – hysterectomy – may be necessary. It is suggested that treatment of CSP in the early first trimester (at a young gestational age) is more effective than later treatment [38].
The literature describes cases in which, after laparoscopic repair of isthmocele, the woman continued her pregnancy to term without complications, suggesting that early diagnosis and appropriate treatment can improve the prognosis [39, 40].
After CSP, a thorough assessment of the scar is recommended before planning another pregnancy, and it is often recommended to postpone pregnancy for at least 6–12 months. A retrospective study published in 2022 showed that of the 74 women who became pregnant again after CSP treatment, 67.6% had a live birth, while recurrent CSP occurred in approximately 10.8% [41].
In recent years, more and more studies have indicated that the presence of isthmocele may be associated with an increased risk of early miscarriages, especially in women with fertility disorders. This mechanism is explained not only by the abnormal anatomy of the embryo implantation site, but also by changes in the uterine cavity environment. Fluid and menstrual blood often accumulate in the niche, which can lead to local inflammation, endometrial perfusion disorders and impaired embryo implantation [19, 42].
It has been shown that in patients after surgical reconstruction of the niche (laparoscopic or hysteroscopic), the rate of first-trimester miscarriages was significantly lower than in women with untreated isthmocele (a decrease from approximately 11% to 6%). These results suggest that restoring the continuity of the uterine wall improves the conditions for embryo implantation and reduces the risk of pregnancy loss [43]. Similar observations were reported in a meta-analysis of more than 1100 cases, which found that women with isthmocele have a higher risk of both early and recurrent miscarriages compared to women without scar defects. The effectiveness of reconstructive procedures in improving reproductive outcomes was assessed as clinically significant [44].
The presence of a uterine niche in the lower uterine segment is increasingly implicated in the pathogenesis and increased risk of PAS disorders. A niche represents a defect or discontinuity in the myometrium at the site of a previous cesarean scar, often with thinning of residual myometrial thickness (RMT) and disruption of the normal endometrial-myometrial interface. Because proper decidualization is impaired at the site of such a defect, the overlying trophoblastic tissue may more readily invade beyond the normal boundary into the myometrium. In effect, the niche can serve as a “weak spot” where the placenta can implant abnormally, bypassing the usual barrier of the decidua and manifesting as accreta, increta, or percreta [45]. The most favored hypothesis regarding the etiology of PAS is that a defect of the endometrial-myometrial interface leads to a failure of normal decidualization in the area of a uterine scar, which allows abnormally deep placental anchoring villi and trophoblast infiltration. Maternal morbidity and mortality can occur because of severe and sometimes life-threatening hemorrhage, which often requires blood transfusion [46].
This mechanism is conceptually aligned with the broader understanding that PAS is not merely excessive trophoblastic invasion, but also a consequence of a defective uterine scar and inadequate decidualization (i.e. defective decidua or uterine dehiscence) rather than truly “aggressive invasion” in all cases [45].
From a clinical standpoint, multiple cesarean deliveries (and thus multiple scars) increase both the likelihood of niche formation and the risk of PAS, showing a dose-response relationship between number of prior cesareans and incidence of morbidly adherent placenta in association with previa [47–49]. In fact, the risk of PAS when placenta previa is present escalates with each additional cesarean: about 3 % with no prior cesareans, 11 % after one, 40 % after two, 61 % after three, and up to 67 % after four prior cesareans [47, 50]. Several studies also suggest that surgical technique in uterine closure (e.g., whether the endometrium is incorporated, number of layers, locking sutures) may influence niche formation and thereby modify the future risk of PAS. For example, use of endometrium-free, two-layer closure was associated with smaller niche dimensions and greater residual myometrial thickness, thereby reducing the incidence of clinically significant niche and presumably lowering PAS risk [51].
Moreover, in imaging and diagnostic studies, isthmoceles have been recognized as a risk marker for placental anomalies. A pictorial review focusing on sonographic assessment of cesarean scar defects noted that screening for niches is advisable in women planning pregnancies, precisely because of their association with serious obstetric complications, including PAS [20]. Review articles on niche management similarly list PAS (and placenta previa) among the main obstetric complications linked to scar defects [52, 53].
The presence of an isthmocele may adversely influence pregnancy outcomes through multiple possible pathways, although high-quality epidemiological evidence remains limited. First, some authors suggest an elevated risk of preterm birth, based on the hypothesis that the structural defect in the lower uterine segment undermines the integrity of the scar region, making it more susceptible to mechanical stress or early uterine contractions [54].
Bleeding in the second and third trimesters is more frequently reported in pregnancies traversing or near a niche; this may be caused by abnormal implantation or disruption of placental anchoring vessels in the scar area, provoking vascular injury [55, 56].
The presence of blood or fluid within the niche (detectable on ultrasound as hypoechoic or anechoic areas of retained clot or fluid) has been proposed as a risk marker of complications; such retained blood may signify microtrauma or disturbed perfusion, and some case reports correlate it with worsened pregnancy outcomes [54, 57].
Moreover, the retention of blood or necrotic tissue in the niche could predispose to infection, such as chronic endometritis or localized abscess formation [54, 58]. Indeed, case reports of chronic abscesses associated with isthmoceles, underscore the theoretical risk that the niche may act as a nidus for microbial growth [58, 59].
In sum, while robust quantitative estimates are currently limited, the available literature suggests that isthmocele may compromise pregnancy by combining mechanical weakness, abnormal placental interaction, hemorrhagic tendency, and increased susceptibility to infection. There is a lack of specific research on premature birth or intrauterine haemorrhaging in the context of isthmocele, hence most mechanisms remain hypotheses based on biological probability and analogies.
Uterine dehiscence and uterine rupture are both conditions involving separation of the uterine wall, most commonly at the site of a previous cesarean section scar. Dehiscence refers to a partial separation where the inner layers of the uterus (such as the myometrium) may be disrupted, but the outer layer (serosa) remains intact. It is often asymptomatic and discovered incidentally during repeat cesarean delivery. In contrast, uterine rupture is a complete tear through all layers of the uterine wall-endometrium, myometrium, and serosa, potentially allowing the fetus or placenta to move into the abdominal cavity. Uterine rupture is a life-threatening emergency, usually accompanied by symptoms such as sudden abdominal pain, abnormal fetal heart rate, and maternal instability. The key difference lies in the extent of the separation: dehiscence is incomplete and usually clinically silent, while rupture is complete and typically presents with acute, severe symptoms [60, 61].
The presence of a cesareanscar defect, compromises the integrity and structural quality of a uterine scar by introducing a localized pouch or myometrial thinning at the previous incision site. Histologically and sonographically, this defect reflects incomplete or defective healing of the myometrium and interior RMT, which weakens the scar’s tensile strength and predisposes it to stretching, dehiscence, or complete rupture under the mechanical stress of a subsequent pregnancy or labour. For example, surgical series demonstrate that RMT can increase significantly after surgical repair, indicating that thinner residual myometrium is amenable to improvement but is a marker of scar weakness [62]. Studies of scar closure technique (single-layer vs double-layer, locking vs non-locking sutures) corroborate this: double-layer, non-locking sutures are associated with increased RMT and fewer niches, suggesting that initial scar quality significantly influences long-term scar integrity [28, 53, 62]. In terms of RMT as a predictor of risk, narrative reviews suggest that an RMT of ≤ 2.5 mm is associated with markedly increased rates of scar dehiscence or rupture, whereas no rupture events have been reported when RMT exceeded approximately 4.5 mm. One review reported a 4 % overall rupture/dehiscence rate in a cohort of 642 women, with nearly all events occurring when residual myometrium was ≤ 2.5 mm [63]. Although absolute cut-offs vary between studies, values such as ≤ 2.2-2.5 mm or < 50 % of adjacent myometrial thickness have been proposed for “large” defects [53]. Regarding rates of dehiscence and rupture in women with isthmoceles, although data are limited, one retrospective case-control study found that all four cases of uterine rupture during Trial of Labor After Cesarean (TOLAC) occurred in women with niche depth > 2 mm [64]. Furthermore, reviews indicate that the risk of rupture may increase up to approximately 5 % in pregnancies complicated by large scar defects versus <2 % in lower-risk situations [20, 63]. Lastly, it is important to emphasise that not every isthmocele automatically implies high risk. The magnitude of danger correlates with the defect’s size, depth, and resultant residual myometrial thickness: small, shallow niches with preserved myometrium carry substantially lower risk than large, deep ones.
The presence of a scar niche after a previous CS can significantly influence the decision to attempt a vaginal birth after caesarean section (VBAC). Firstly, the niche may be considered a potential contraindication to VBAC, as it poses a theoretical risk of weakening the uterine wall, dehiscence or rupture during contractions during labour. Clinicians may therefore be more inclined to recommend a planned CS rather than vaginal delivery if a niche is detected, especially when the RMT is significantly thin. The second aspect is that in the literature on VBAC, one of the risk factors for failure of vaginal delivery or uterine rupture is a poorly healed scar from a previous caesarean section, and an isthmocele may be just such an area of poor healing [65, 66].
When it comes to clinical recommendations, several international societies, such as the International Federation of Gynaecology and Obstetrics (FIGO) and the Society of Obstetricians and Gynaecologists of Canada (SOGC), do not explicitly mention isthmocele as a criterion for excluding VBAC in their VBAC guidelines. For example, FIGO guidelines recommend that women who have had a single transverse lower segment caesarean section may be considered for VBAC if other criteria are met-VBAC success is usually defined as 60–80% [67, 68]. However, there are no specific recommendations regarding the measurement of RMT or the presence of a niche in decision-making. The literature includes a small study from China, in which the authors evaluated trial of labour in women with a niche, and found that in the niche group (n=34) TOLAC was possible, but the data are very limited and do not allow for the formulation of general guidelines [65]. In practice, therefore, decisions are made on a case-by-case basis, as there are no specific guidelines for isthmocele.
In terms of repairing the niche before another pregnancy and its impact on prognosis, there is evidence that surgical repair of isthmocele (hysteroscopic, laparoscopic) can improve anatomical parameters, including the thickness of the remaining muscle layer and reduction of symptoms, which could potentially change the risk profile associated with childbirth. However, specifically in the context of vaginal delivery after niche repair and successful VBAC, the data are very limited, meaning that although niche repair may improve anatomical conditions, there is insufficient evidence to conclude that it changes the main recommendations for delivery.
From an epidemiological perspective, statistics on repeat caesarean sections or VBAC in the isthmocele population are limited, but some general data can be provided: the FIGO--SOGC guidelines state that the typical success rate of VBAC is between 60% and 80% in good candidates [67, 68]. A prospective study assessed the visibility of the niche during pregnancy-in a group of women who had previously undergone a CS, approximately 40% had a compressed niche detected by ultrasound [66].
In the same study, in a group of 122 women after previous CS, in the group with a niche (n=49) and without a niche (n=46), the rate of vaginal delivery was 38.7% vs 47.8%, respectively-the difference was not statistically significant (p=0.802), which may suggest that the presence of a niche in itself does not necessarily preclude VBAC, but the data are very limited [66].
Considering the clinical aspect, the lack of clear guidelines means that decisions regarding the planned mode of delivery in women with isthmocele are made on an individual basis, taking into account ultrasound assessment (with particular emphasis on RMT) and discussion with the patient about the potential risks and benefits. In some centres, it is accepted that a very thin muscle layer over the niche (<2.5 mm or <3 mm) may be a reason to prefer a caesarean section, or at least to plan delivery under close supervision. For example, a review of the literature indicated that for RMT <2.5-3 mm, a more cautious approach to vaginal delivery should be considered [69]. In clinical practice, doctors often consider VBAC possible if the RMT is appropriate, the patient is in good general health, has had a single previous caesarean section, has a good VBAC success rate (above ~70%), and has access to immediate caesarean section in case of complications [67, 68].

Proposed clinicalmanagement of a patient planning a pregnancy with a vaginal delivery after a post-cesarean uterine niche [69].
From the point of view of treatment and prevention of isthmocele, two main courses of action are worth considering. Firstly, surgical repair of the niche: studies show that in women with a documented caesarean section defect, the use of techniques such as laparoscopy (with excision of altered tissues and re-suturing of the myometrium in two layers) or hysteroscopic resection can improve wound parameters (e.g. increase the thickness of the remaining myometrium), reduce gynecological symptoms (e.g. bleeding), and improve fertility rates. For example, in one series of laparoscopic niche repairs with RMT < 3 mm, the myometrium increased on average from 1.43 ± 0.7 mm to 9.62 ± 1.8 mm, and most patients were symptom-free [70,71]. A retrospective study of 27 patients also showed that pregnancy rates after repair were high (73% among those who wanted to become pregnant), and no uterine ruptures or pregnancies in the scar were found [72]. Hysteroscopic resection has also been shown to be safe and effective in reducing post-menstrual spotting in a group of patients with a niche (e.g., improvement in approximately 89% after 2 months) [73]. Therefore, although data are still limited, there are indications that surgical repair should be considered before another pregnancy in the cases indicated.
Secondly, preventing the formation of a niche during the CS itself or its closure. A review of the literature indicates that certain surgical techniques can reduce the risk of scar defects, including avoiding very low uterine incisions, the optimal timing of the incision, and the use of a two-layer uterine suture (with a deep layer without tightening), as well as closure of the peritoneum, which may promote better scar healing [74, 75]. In one randomised study, the FFNN (full-thickness, non-locking, non-continuous) technique with double-layer suturing reduced the incidence of niche formation and ensured better thickness of the remaining muscle tissue [75]. The conclusion is that modifying cutting and suturing techniques may be part of a strategy to prevent the formation of a niche, and thus potentially reduce the risk of subsequent obstetric complications.
Comparison of surgical techniques for isthmocele repair[76–79].
| Technique | Advantages | Disadvantages/Limitations |
|---|---|---|
| Hysteroscopy | minimally invasive, short recovery time | does not increase RTM, limited to shallow niches |
| Laparoscopy | increasing RTM, removing affected tissue, better fertility results in some studies | requires general anesthesia, longer procedure and hospitalization time, longer recovery |
| Laparotomy | possible in case of large defects or adhesions when minimally invasive techniques are not possible | more invasive, higher risk of complications, longer recovery time |
| Transvaginal technique | good results in selected cases, minimal external scarring; increase RTM and fertility | less available, less clinical experience, may be technically more difficult in certain conditions |
In women who have undergone CS, TVUS is recommended, optionally extended with SIS or MRI, to identify the presence of uterine niche, RMT and adjacent myometrial thickness (AMT) [53, 80]. The diagnosis should be made at least 3 months after the procedure, preferably before the planned pregnancy [53]. In the case of thin RMT (≤ 2-3 mm) or an RMT/AMT ratio ≤ 50%, the patient should be classified as being at increased risk of pregnancy complications (including uterine rupture, abnormal placental location, premature delivery) [20, 63]. It is recommended to refer the patient to a centre with the highest level of referral, and to plan and monitor the pregnancy as a high-risk pregnancy [20, 63]. During pregnancy, the thickness of the lower uterine segment (LUS) should be assessed regularly, the location of the placenta should be monitored, and vigilance should be maintained for bleeding in the second and third trimesters as a potential sign of dehiscence or other complications [63], and if a significant niche or the presence of fluid/blood in the niche is detected, consultation at a reference perinatal clinic should be considered [63].
In the case of a planned VBAC, the presence of a large niche and a very thin RMT should prompt an individual risk assessment [20, 63]. In some patients, it may be appropriate to plan a CS, especially in the case of signs of dehiscence or an unfavourable placental position [20].
When a patient has symptoms (intermenstrual bleeding, infertility), or the niche is large, surgical repair of the scar before pregnancy should be considered [9]. Possible techniques include hysteroscopic, laparoscopic, or transvaginal procedures. Studies suggest an improvement in RMT thickness and potentially a better pregnancy outcome after treatment [9, 81].
It should be emphasised that there is currently a lack of large, prospective, controlled studies that would allow the impact of the niche on risks such as preterm birth or uterine rupture to be accurately determined, and clear standards of care to be established.
Isthmocele is a significant complication following caesarean section, which can lead to gynaecological symptoms, infertility and serious obstetric complications, such as scar pregnancy, placenta accreta spectrum, or uterine rupture. Its presence may interfere with the decision to deliver vaginally, after a caesarean section, as it is a potential risk factor for weakening of the lower uterine segment. Although uterine niche does not lead to complications in every patient, increased clinical vigilance is required in the context of subsequent pregnancies. Pre-pregnancy diagnostics, including ultrasound assessment of the scar, remaining muscle thickness, analysis of the location and size of the niche, and discussion of the risks with the patient can contribute to a safer pregnancy and delivery.
The presence of isthmocele may complicate pregnancy and delivery through a combination of mechanical weakness of the uterine wall, placental implantation disorders, a tendency to bleed and susceptibility to inflammation. There are indications that the appropriate technique for closing the uterus during caesarean section, especially double muscle suturing, may reduce the risk of niche formation and improve the quality of the scar. Although available data suggest that surgical repair of the niche before planned pregnancy may improve anatomical conditions, there is no clear evidence that it improves the safety of VBAC compared to patients without repair. There are also no specific clinical recommendations for women with isthmocele, which requires an individual approach to each patient. The success rate of VBAC in the general population is 60–80%, but in the presence of a niche, caution and special risk assessment are necessary.