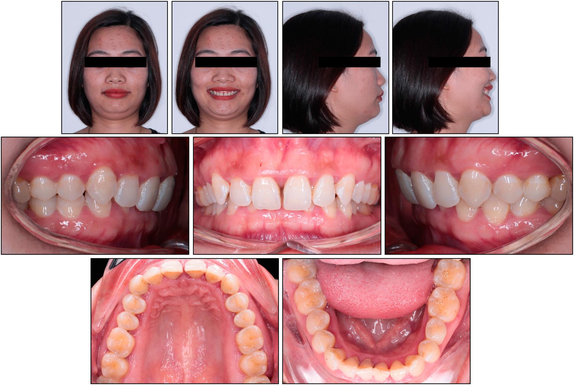
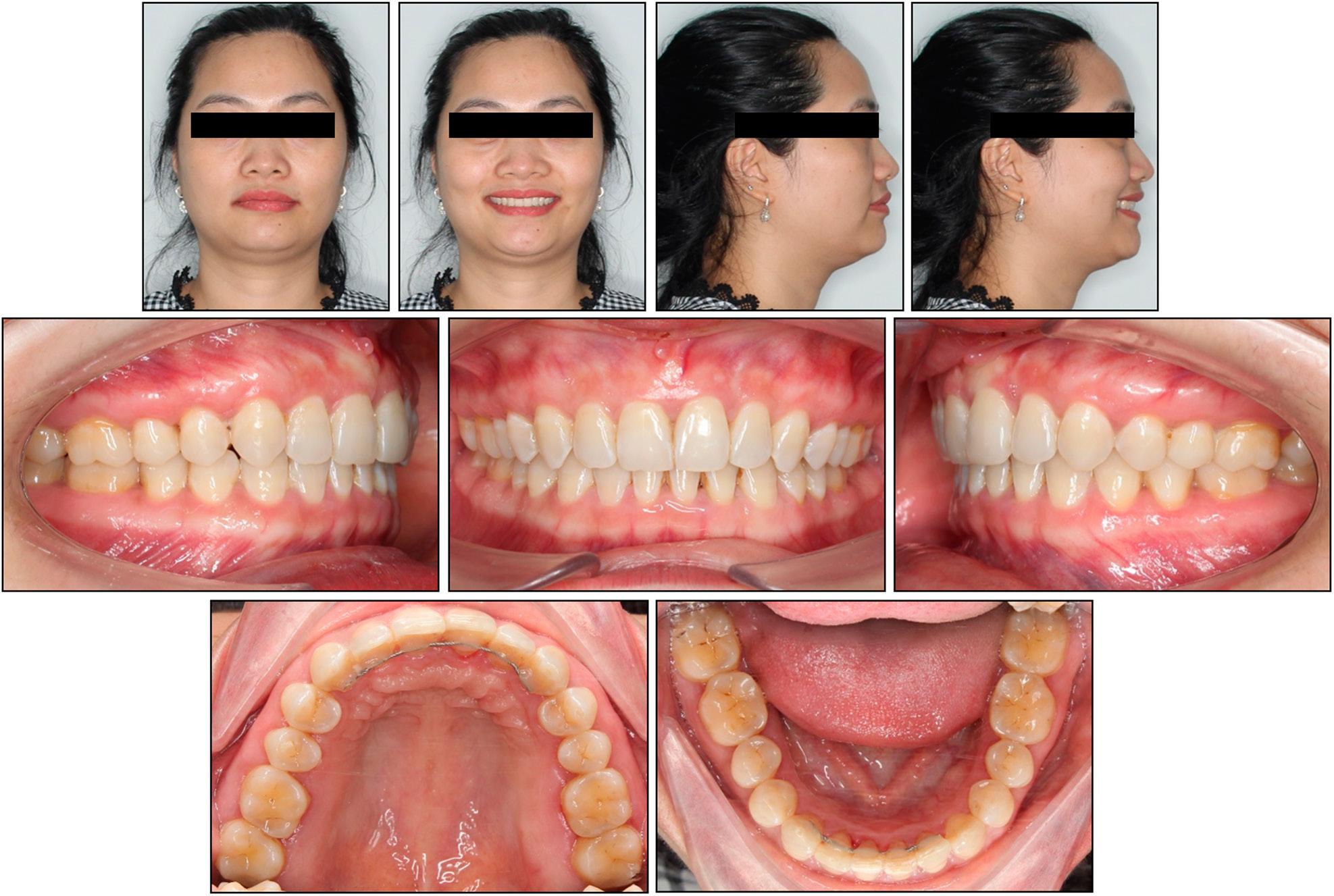
Figure 1.

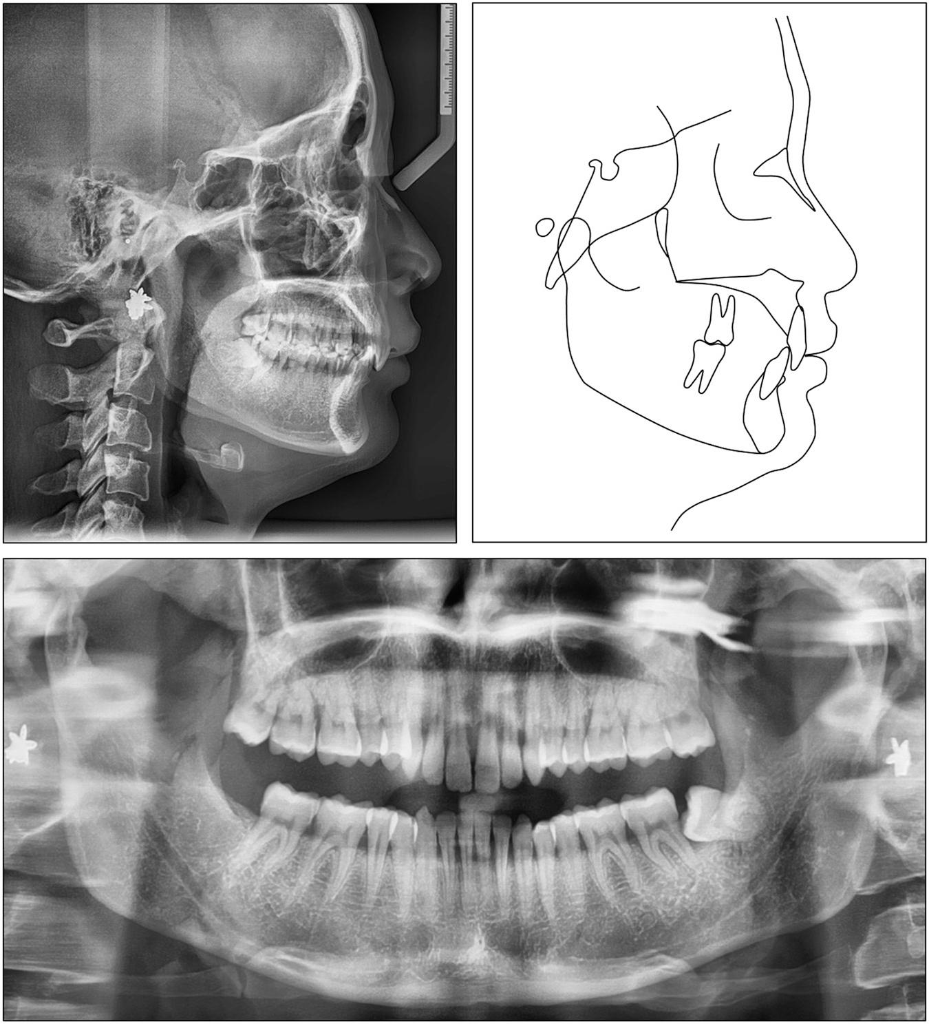
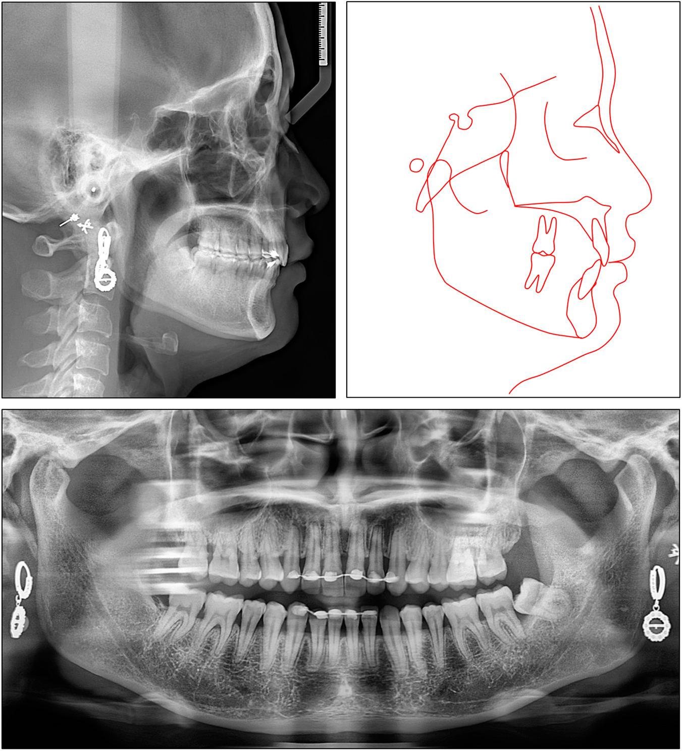
Figure 2.

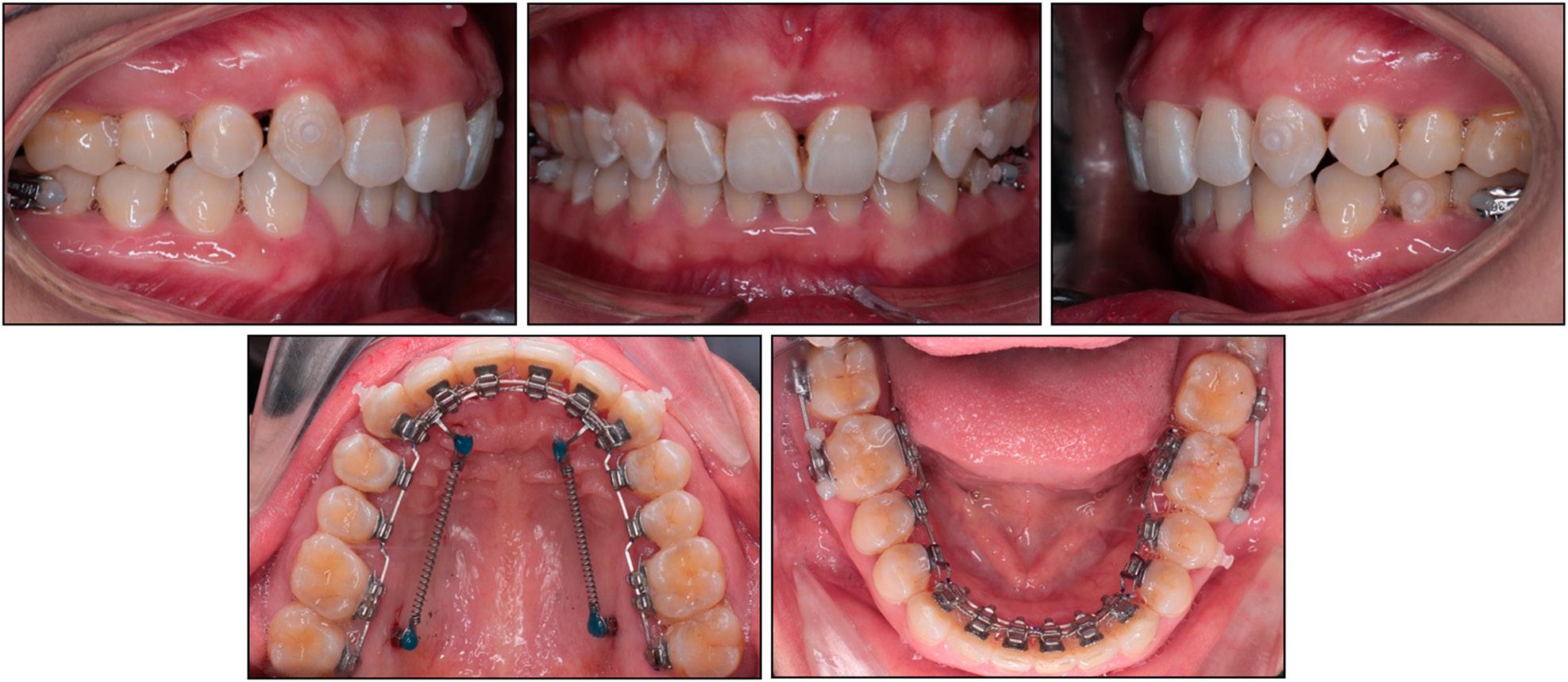
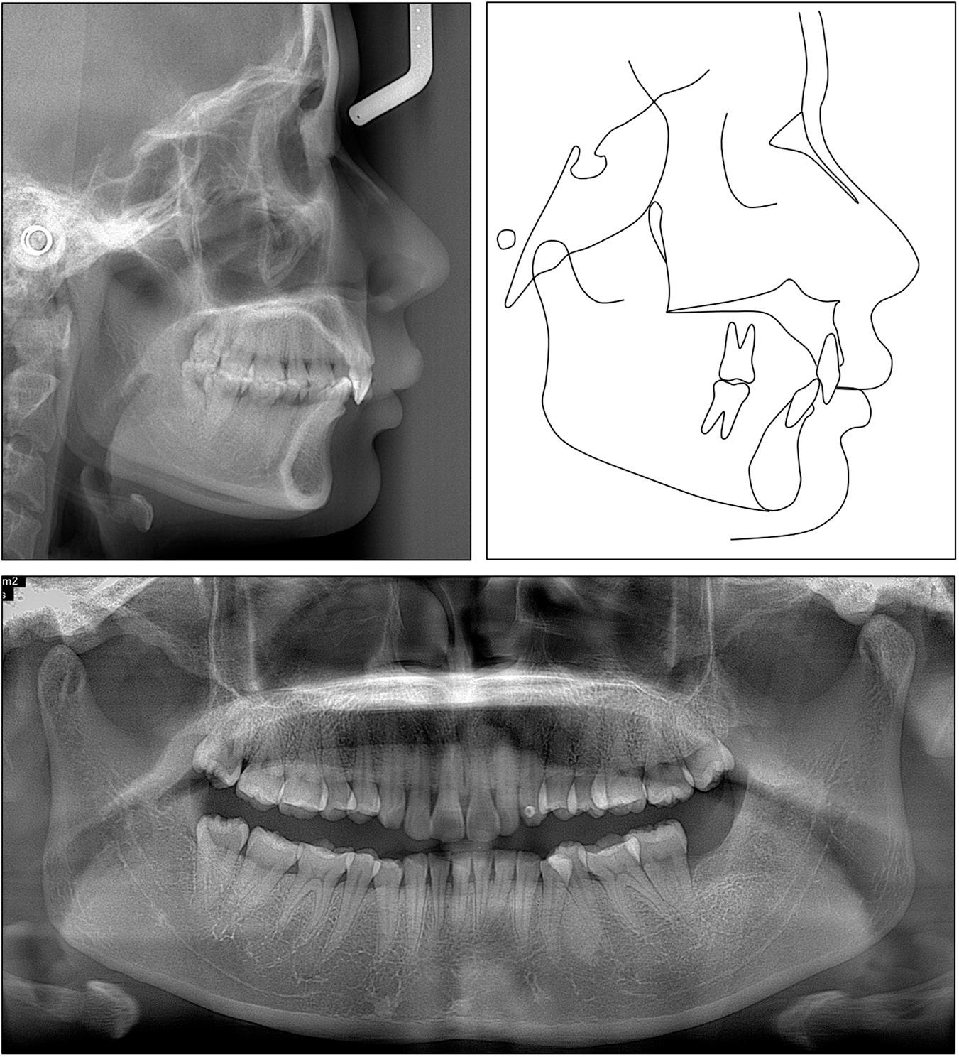
Figure 3.

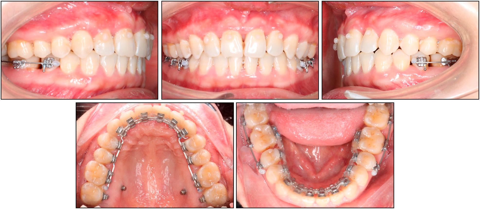
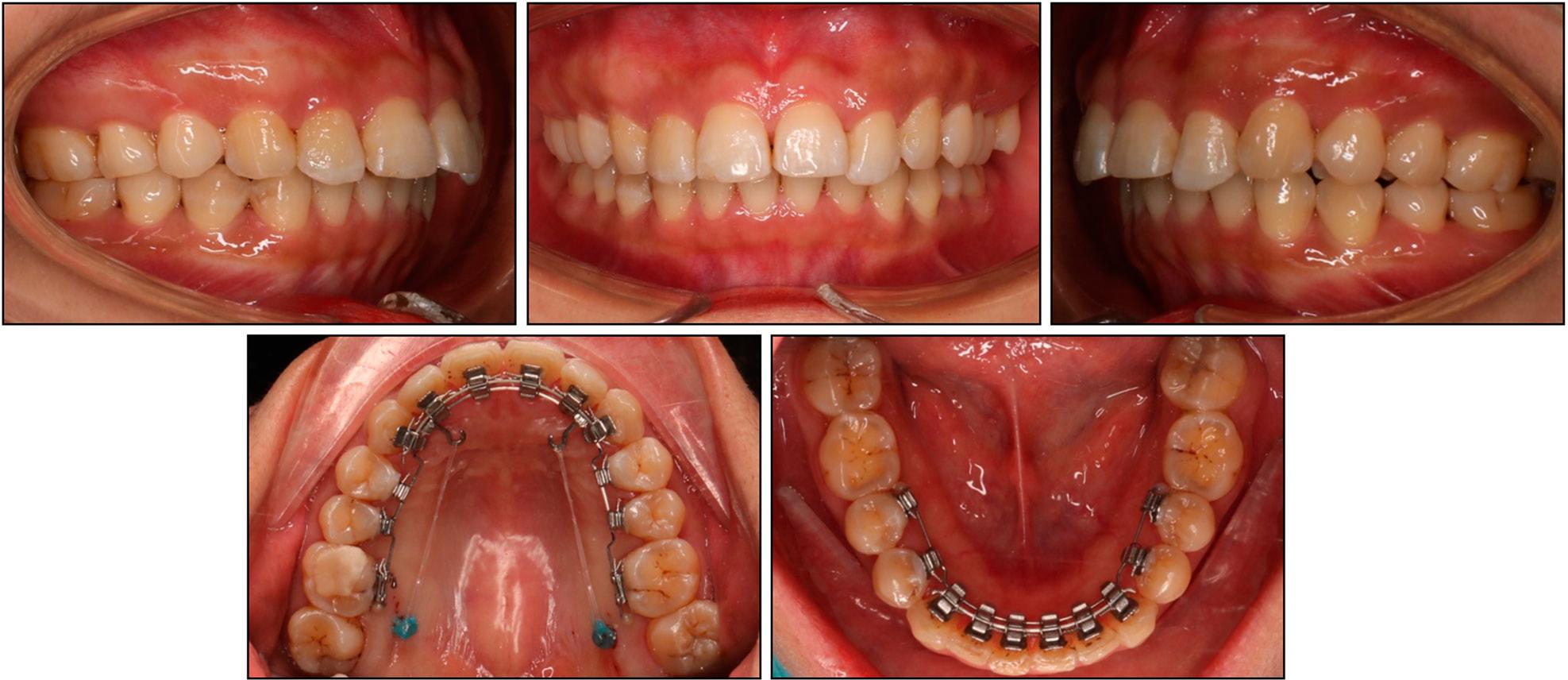
Figure 4.

Figure 5.

Figure 6.

Figure 7.

Figure 8.

Figure 9.

Figure 10.

Figure 11.

Figure 12.

Figure 13.

Figure 14.

Figure 15.

Figure 16.

Figure 17.

Figure 18.

Figure 19.

Cephalometric measurements of case 2
| Pretreatment | Posttreatment | |
|---|---|---|
| Skeletal | ||
| SNA (°) | 85.5 | 83.0 |
| SNB (°) | 75.8 | 75.0 |
| ANB (°) | 9.7 | 8.0 |
| FMA (°) | 21.4 | 22.1 |
| Dental | ||
| U1-SN (°) | 73.9 | 94.1 |
| U1-PP (°) | 83.1 | 104.3 |
| U1-NA (°) | -11.7 | 11.1 |
| U1-NA (mm) | -5.7 | -2.2 |
| IMPA (°) | 103.4 | 106.0 |
| L1-NB (°) | 29.4 | 33.0 |
| L1-NB (mm) | 5.3 | 6.8 |
| Interincisal angle (°) | 152.5 | 127.9 |
| Upper incisal display (mm) | 3.7 | 2.3 |
| Soft tissue | ||
| E-line/UL (mm) | 1.9 | -1.5 |
| E-line/LL (mm) | 0.2 | -0.9 |
Cephalometric measurements
| Pretreatment | Posttreatment | |
|---|---|---|
| Skeletal | ||
| SNA (°) | 85.7 | 84.8 |
| SNB (°) | 79.6 | 80.1 |
| ANB (°) | 6.1 | 4.7 |
| FMA (°) | 20.0 | 20.5 |
| Dental | ||
| U1-SN (°) | 80.3 | 92.4 |
| U1-PP (°) | 89.2 | 101.1 |
| U1-NA (°) | -5.5 | 7.6 |
| U1-NA (mm) | -3.4 | -1.2 |
| IMPA (°) | 94.2 | 95.1 |
| L1-NB (°) | 22.1 | 22.7 |
| L1-NB (mm) | 2.8 | 3.1 |
| Interincisal angle (°) | 157.3 | 144.9 |
| Upper incisal display (mm) | 5.8 | 3.8 |
| Soft tissue | ||
| E-line/UL (mm) | -0.7 | -0.9 |
| E-line/LL (mm) | -1.2 | -1.2 |