The treatment of Class II division 2 patients with palatally inclined upper incisors using lingual appliances is generally challenging due to difficulties in achieving upper incisor torque control.1,2 After an initial stage of torque recovery and bite opening, an anteroposterior correction stage is necessary to address the dental Class II relationship and increased overjet. This stage may pose additional challenges directed at torque and anchorage control, especially when an underlying skeletal discrepancy exists.3
Depending on the severity of the Class II malocclusion and overjet, various treatment options exist for achieving effective anchorage during anteroposterior correction. These include the strategic use of Class II elastics, fixed functional Class II correctors, entire upper arch distalisation using mini-screws, and premolar extractions.4 In the case of severe skeletal Class II discrepancies, combining lingual appliances with orthognathic surgery may be necessary.5
The present case series aims to describe a simple method of combining lingual appliances and mini-screws for the non-surgical management of two severe Class II division 2 patients with deep overbites and gummy smiles.
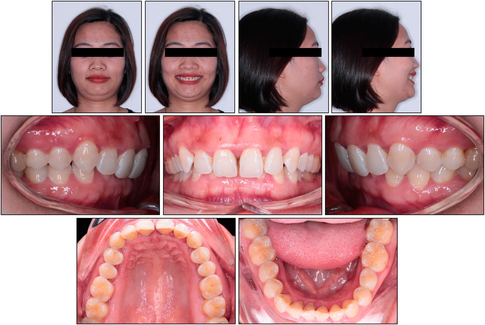
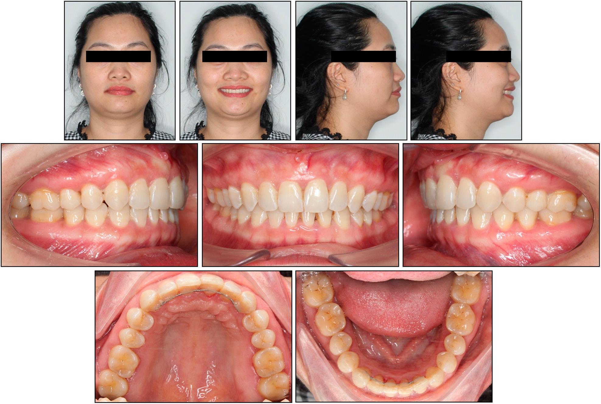
A 30-year-old female patient presented with a request to have her palatally inclined upper incisors, deep bite, and gummy smile corrected using an aesthetic appliance. Her medical and dental histories were non-contributory.
From the frontal view, the patient exhibited a short lower facial third with a slight chin deviation to the right. The lateral view revealed a mildly convex profile with a normal nasolabial angle and a protrusive maxilla (Figure 1). During posed smiling, a gingival exposure of 3 mm was evident. No signs of a temporomandibular joint disorder were noted.

Case 1: initial extraoral and intraoral photographs.
On intraoral examination, the patient had full-cusp Class II canine and molar relationships on the right side and Class I canine and molar relationships on the left side. The transverse upper and lower arch widths were within the normal range. There was mild crowding of 1 mm in the lower arch and a 1 mm space between the upper central incisors. The lower curve of Spee was accentuated and the upper occlusal curve was reversed due to lingually inclined and extruded upper incisors. The upper dental midline was co-incident with the facial midline, but the lower dental midline deviated 2 mm to the right.
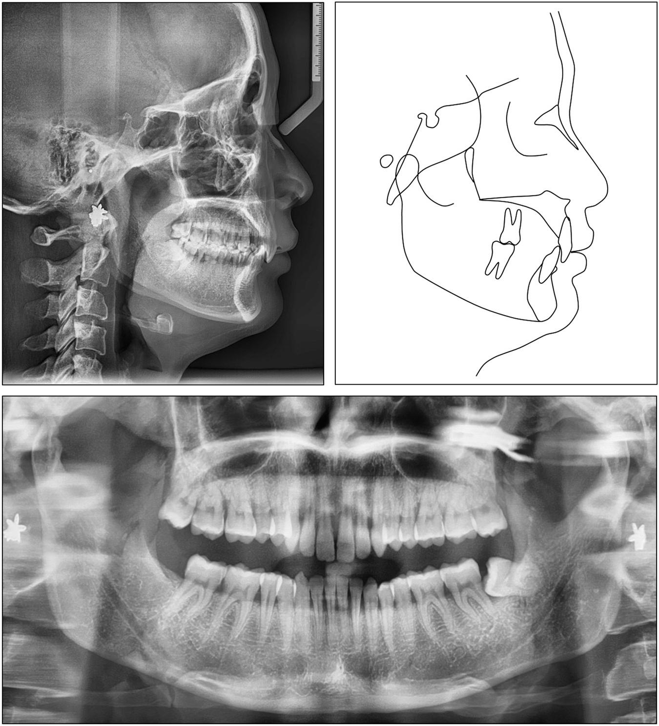
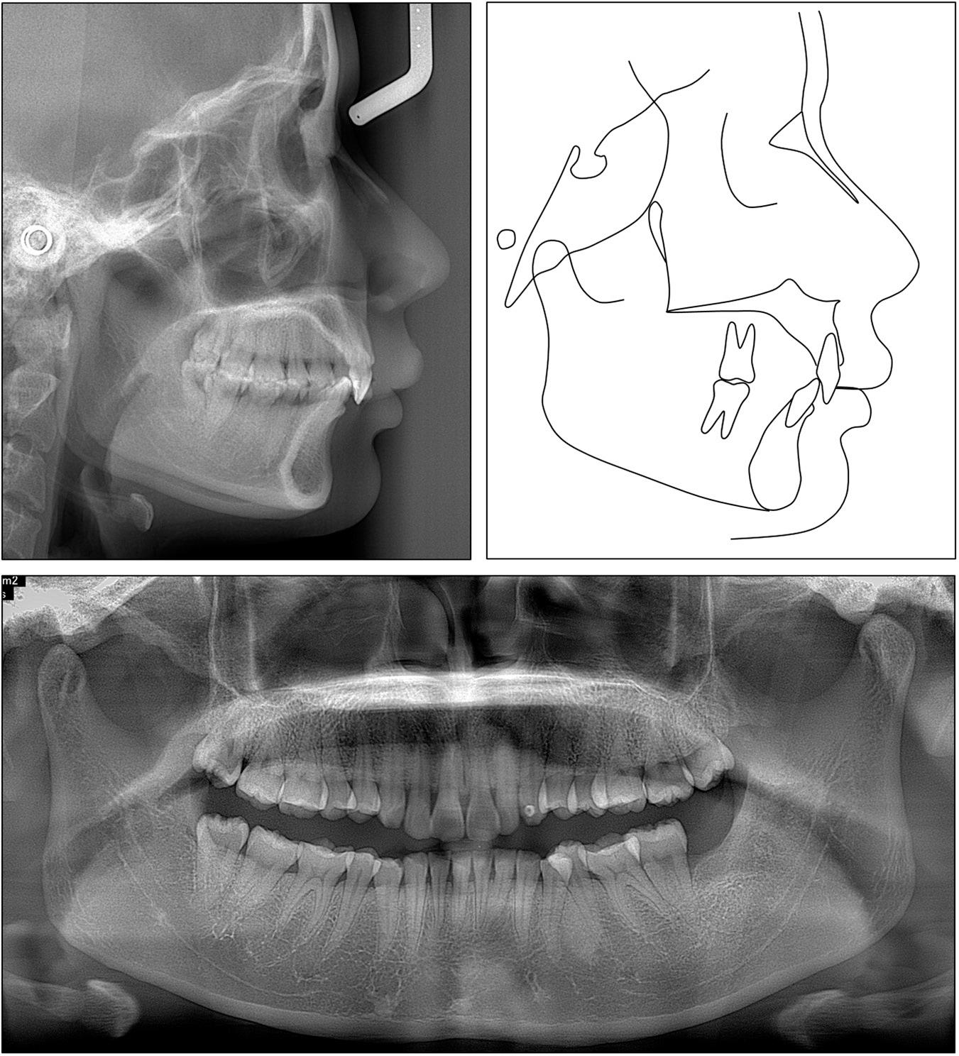
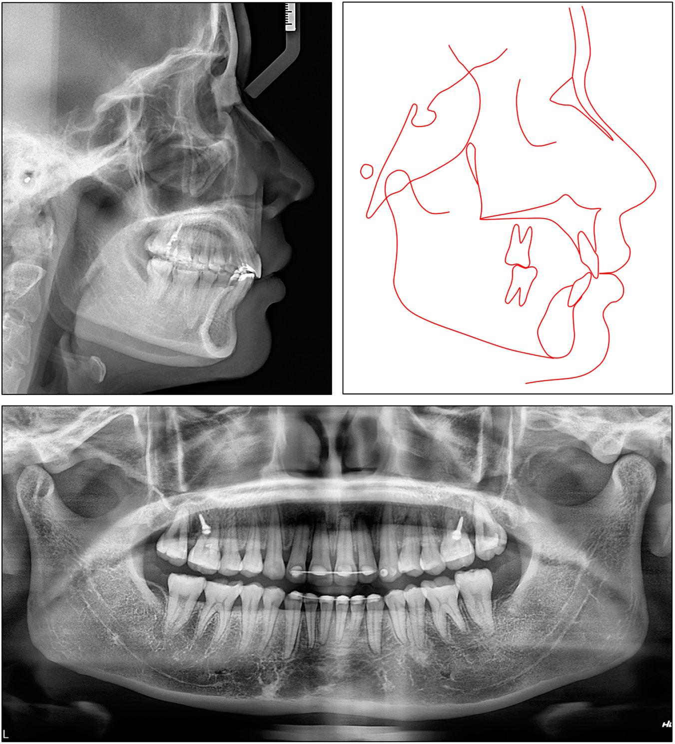
The lateral cephalometric analysis revealed a skeletal Class II relationship with a normally positioned mandible and a protruded maxilla (SNA: 85.7°, SNB: 79.6°, ANB: 6.1°). The vertical skeletal pattern was hypodivergent (FMA: 20.0°). The upper incisors were severely retroclined (U1/SN: 80.3°) while the lower incisors were slightly proclined (IMPA: 94.2°). The upper incisal display was large (5.8 mm). The upper and lower lips were normally placed (upper lip to E-line, -0.7 mm; lower lip to E-line, -1.2 mm) (Table I). The panoramic radiograph showed the presence of all teeth except the mandibular right third molar (Figure 2).

Case 1: initial panoramic and cephalometric radiographs and tracing.
Cephalometric measurements
| Pretreatment | Posttreatment | |
|---|---|---|
| Skeletal | ||
| SNA (°) | 85.7 | 84.8 |
| SNB (°) | 79.6 | 80.1 |
| ANB (°) | 6.1 | 4.7 |
| FMA (°) | 20.0 | 20.5 |
| Dental | ||
| U1-SN (°) | 80.3 | 92.4 |
| U1-PP (°) | 89.2 | 101.1 |
| U1-NA (°) | -5.5 | 7.6 |
| U1-NA (mm) | -3.4 | -1.2 |
| IMPA (°) | 94.2 | 95.1 |
| L1-NB (°) | 22.1 | 22.7 |
| L1-NB (mm) | 2.8 | 3.1 |
| Interincisal angle (°) | 157.3 | 144.9 |
| Upper incisal display (mm) | 5.8 | 3.8 |
| Soft tissue | ||
| E-line/UL (mm) | -0.7 | -0.9 |
| E-line/LL (mm) | -1.2 | -1.2 |
The following treatment objectives were established: (1) to align the teeth and level the curve of Spee in both arches; (2) to correct the Class II molar and canine relationships on the right side to Class I; (3) to achieve a normal overjet and overbite; (4) to recover the upper incisors’ torque and preserve the lower incisors’ inclination; (5) to intrude the upper incisors and (6) to correct the lower dental midline deviation.
The ideal treatment option was orthodontic decompensation of the upper incisors followed by orthognathic surgery to correct the skeletal Class II relationship; however, the patient rejected surgical treatment. Hence, a non-extraction treatment option was selected considering the patient’s hypodivergent facial pattern and her lip positions in relation to the E-line. The Class II relationship and increased overjet after torque recovery and arch levelling would be corrected by entire upper arch distalisation using mini-screw anchorage combined with Class II elastics.
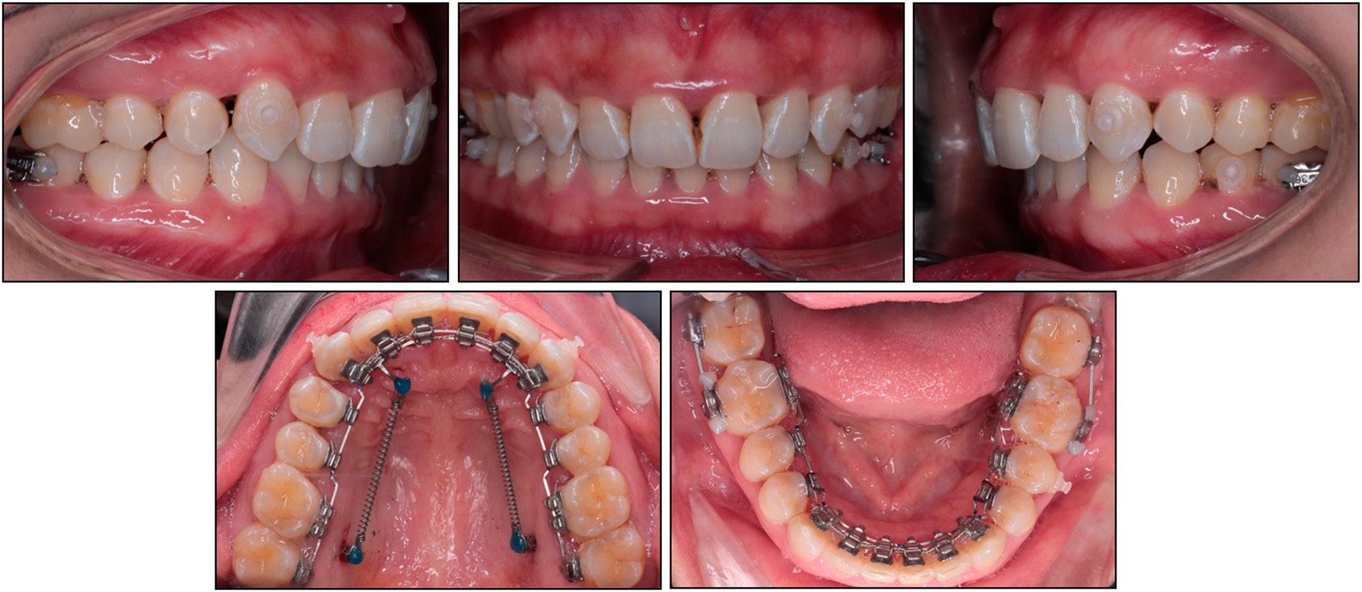
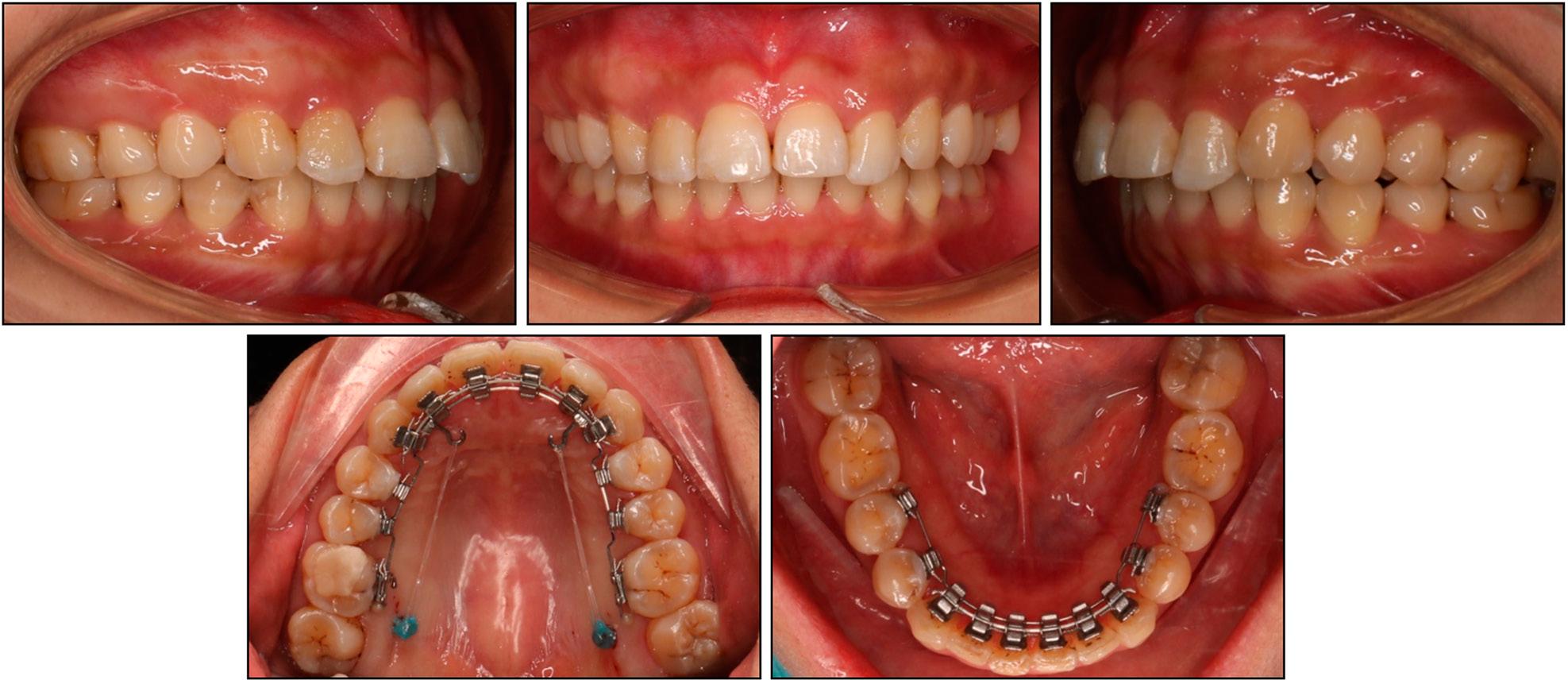
Treatment was initiated by bonding all teeth with 0.018” × 0.025” double-slotted lingual brackets (ADB, Medico, Korea) except the lower second molars to reduce the patient’s discomfort. The initial alignment and levelling stage utilised 0.014”, 0.016”, and 0.016” × 0.022” nickel-titanium and 0.016” × 0.022” stainless steel arch wires. The torque of the upper incisors and the overjet were gradually increased using the stiffer arch wires. After six months of treatment, a 15° pre- torqued 0.016” × 0.022” stainless steel arch wire was inserted in the upper arch. Two mini-screws (diameter, 1.6 mm; length 10 mm; Medico, Korea) were inserted into the palatal alveolar bone between the upper first and second molars. Entire upper arch distalisation was performed by applying a retraction force of 250 g on each side from the mini-screws to crimpable hooks on the main arch wire via closed coil springs (Figure 3). Additionally, Class II elastics (3/16-inch, 3.5 oz) were applied on both sides.

Entire upper arch distalisation using mini-screws, crimpable hooks, and coil springs.
After four months of distalisation, the overjet was normalised while the dental Class II relationship, retroclined upper incisors, and deep overbite remained. A decision was made to further increase the upper incisor torque via a 20° pre-torqued 0.017” × 0.025” stainless steel arch wire. Additionally, two mini-screws (diameter, 1.4 mm; length 8 mm) were inserted into the labial alveolar bone between the upper central and lateral incisors to apply intrusion forces of 20 g per side to these teeth. The intrusion forces were maintained for 10 months followed by the removal of the mini-screws when a normal overbite was obtained.
After 21 months of treatment, a dental Class I relationship with a normal overbite and overjet was achieved (Figure 4). During the finishing stage, some labial brackets were bonded to improve tooth alignment (cross-over technique).2 Interproximal stripping was performed on the upper and lower incisors to reduce the gingival black triangles. The total treatment time was 27 months. After lingual appliance removal, fixed retainers were placed in both arches along with Essix retainers for nighttime wear.

Finishing and detailing stage. Gingival black triangles before interproximal stripping.
Post-treatment records show satisfactory results with a well-aligned dentition and improved smile aesthetics (Figure 5). Solid Class I canine and molar relationships were obtained on both sides along with a normal overbite and overjet. The upper anterior torque was improved and the curve of Spee was levelled. The excessive gingival exposure when smiling was eliminated. The two-year post-retention records showed the stability of the treatment results without signs of relapse (Figure 6).

Case 1: post-treatment extraoral and intraoral photographs.

Case 1: two-year post-retention extraoral and intraoral photographs.
Radiographs were not taken at the time of bracket removal due to the patient’s pregnancy but were obtained on the two-year follow-up. A lateral cephalometric analysis showed an improvement in the skeletal Class II relationship (ANB: 4.7°) (Figure 7). The upper incisors’ proclination significantly increased (U1/SN: 92.4°), while the lower incisors’ proclination increased only slightly (IMPA: 92.1°) despite the levelled curve of Spee and Class II elastic application. The panoramic radiograph confirmed adequate root parallelism without signs of root resorption. Cephalometric superimpositions showed the palatal root torque and intrusion of the upper incisors, the intrusion of the lower incisors, the distalisation of the upper molars, and the mesialisation of the lower molars (Figure 8).

Case 1: post-retention panoramic and cephalometric radiographs and tracing.

Case 1: general and regional superimpositions of pretreatment and post-retention cephalometric tracings.
A 25-year-old female patient presented with the chief complaints of a deep bite, retroclined upper central incisors, and an excessive gingival display when smiling. She strongly desired an invisible treatment appliance.
From the frontal view, the patient exhibited well- balanced facial proportions and her mandible deviated to the left (Figure 9). The lateral view showed a convex profile with a normal nasolabial angle and protruded maxilla. The posed smile revealed an excessive gingival exposure of 2 mm. No signs of a temporomandibular disorder were detected.

Case 2: initial extraoral and intraoral photographs.
On intraoral examination, the patient presented full-cusp Class II molar and canine relationships on the left side and end-on Class II canine and Class I molar relationships on the right side. The transverse dimensions of both the upper and lower arches fell within the normal range. There was moderate crowding of 4.5 mm and 4.0 mm in the upper and lower arch, respectively. The lower curve of Spee was accentuated and the upper occlusal curve was reversed with retroclined and extruded upper central incisors and labially displaced upper lateral incisors. The upper and lower left second molars were in a scissor bite. The upper dental midline was centered with the facial midline, but the lower dental midline deviated 1.5 mm to the left.
The cephalometric analysis showed a skeletal Class II relationship with a slightly retruded mandible and a protruded maxilla (SNA: 85.5°, SNB: 75.8°, ANB: 9.7°). The vertical skeletal pattern indicated a slight hypodivergence (FMA: 21.4°). The upper incisors were excessively retroclined (U1/SN: 73.9°) while the lower incisors were proclined (IMPA: 103.4°). The upper incisal display was slightly increased (3.7 mm). The upper lip was slightly protruded but the lower lip was normally placed (upper lip to E-line, 1.9 mm; lower lip to E-line, 0.2 mm) (Table II). The panoramic radiograph indicated the presence of all teeth, excluding the mandibular left third molar (Figure 10).

Case 2: initial panoramic and cephalometric radiographs and tracing.
Cephalometric measurements of case 2
| Pretreatment | Posttreatment | |
|---|---|---|
| Skeletal | ||
| SNA (°) | 85.5 | 83.0 |
| SNB (°) | 75.8 | 75.0 |
| ANB (°) | 9.7 | 8.0 |
| FMA (°) | 21.4 | 22.1 |
| Dental | ||
| U1-SN (°) | 73.9 | 94.1 |
| U1-PP (°) | 83.1 | 104.3 |
| U1-NA (°) | -11.7 | 11.1 |
| U1-NA (mm) | -5.7 | -2.2 |
| IMPA (°) | 103.4 | 106.0 |
| L1-NB (°) | 29.4 | 33.0 |
| L1-NB (mm) | 5.3 | 6.8 |
| Interincisal angle (°) | 152.5 | 127.9 |
| Upper incisal display (mm) | 3.7 | 2.3 |
| Soft tissue | ||
| E-line/UL (mm) | 1.9 | -1.5 |
| E-line/LL (mm) | 0.2 | -0.9 |
The following treatment objectives were established: (1) to align the teeth and level the curve of Spee in both arches; (2) to correct the Class II molar and canine relationships on the left side and the Class II canine relationship on the right side to a Class I; (3) to obtain a normal overjet and overbite; (4) to regain the upper incisors’ torque and minimise the lower incisors’ proclination; (5) to intrude the upper central incisors; (6) to correct the scissor bite and (7) to centre the lower dental midline.
The optimal treatment approach involved first levelling and torquing the upper incisors, followed by orthognathic surgery to address the skeletal Class II relationship. However, the patient declined surgical intervention. Consequently, a non-extraction treatment plan was chosen, taking into account the patient’s hypodivergent facial pattern and the relationship of her lip positions to the E-line. The correction of the Class II relationship and increased overjet would be achieved through complete distalisation of the upper arch, utilising mini-screw anchorage in conjunction with unilateral Class II elastics after torque recovery and arch levelling.
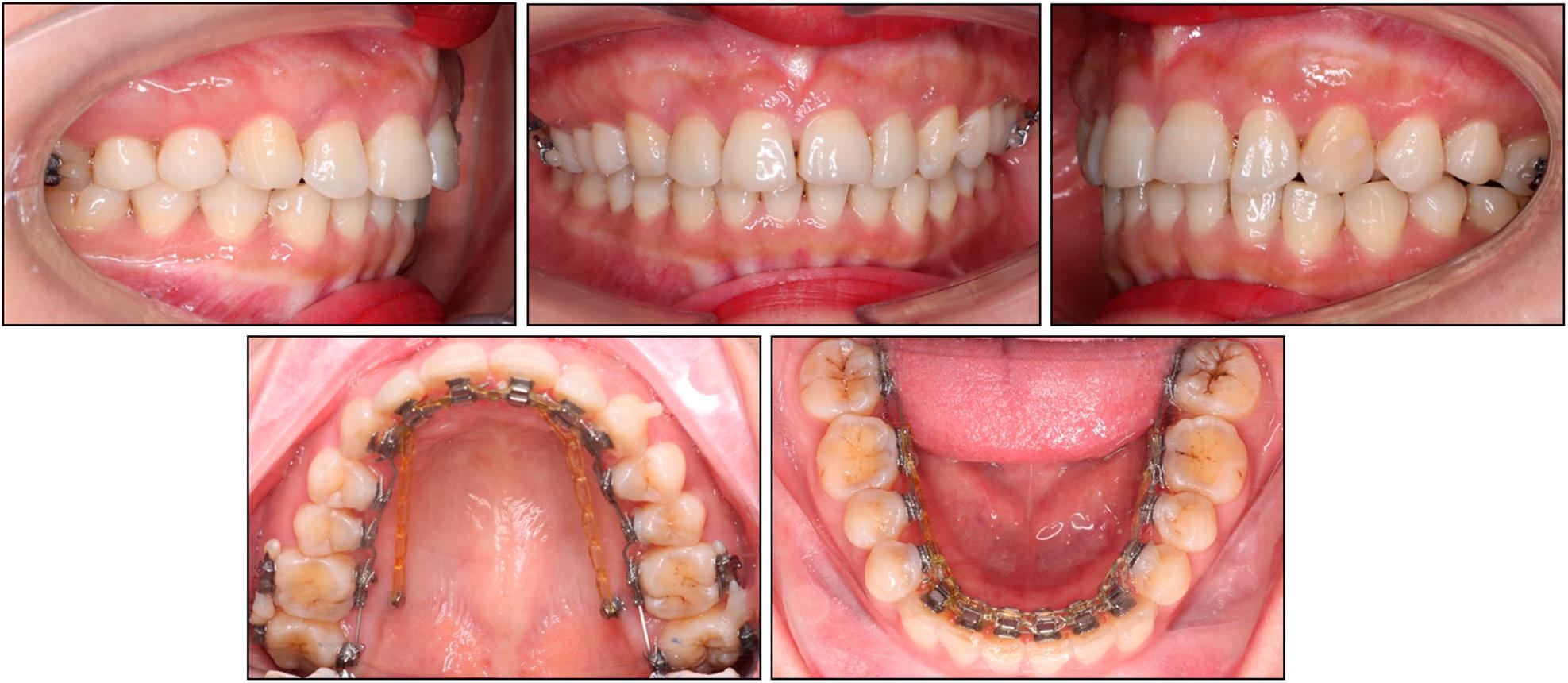
Treatment commenced by bonding all teeth with 0.018” × 0.025” double-slotted lingual brackets (ADB, Medico, Korea), excluding the upper second molars and lower molars to reduce the patient’s discomfort and avoid strong occlusal contact with the upper left second molar bracket. The arch wire sequences were similar to the first case; however, the bite opening and upper central incisor torque recovery were more favourable in this case as the lateral incisors were labially displaced. The entire upper arch distalisation was performed using a 15° pre-torqued 0.016” × 0.022” stainless steel arch wire, along with two mini- screws (diameter, 1.6 mm; length 10 mm) inserted in the palatal alveolar bone between the upper first and second molars. Crimpable hooks and power chains, applying approximately 250 g per side, were employed during the retraction process (Figure 11).

Entire upper arch distalisation using mini-screws, crimpable hooks, and power chains.
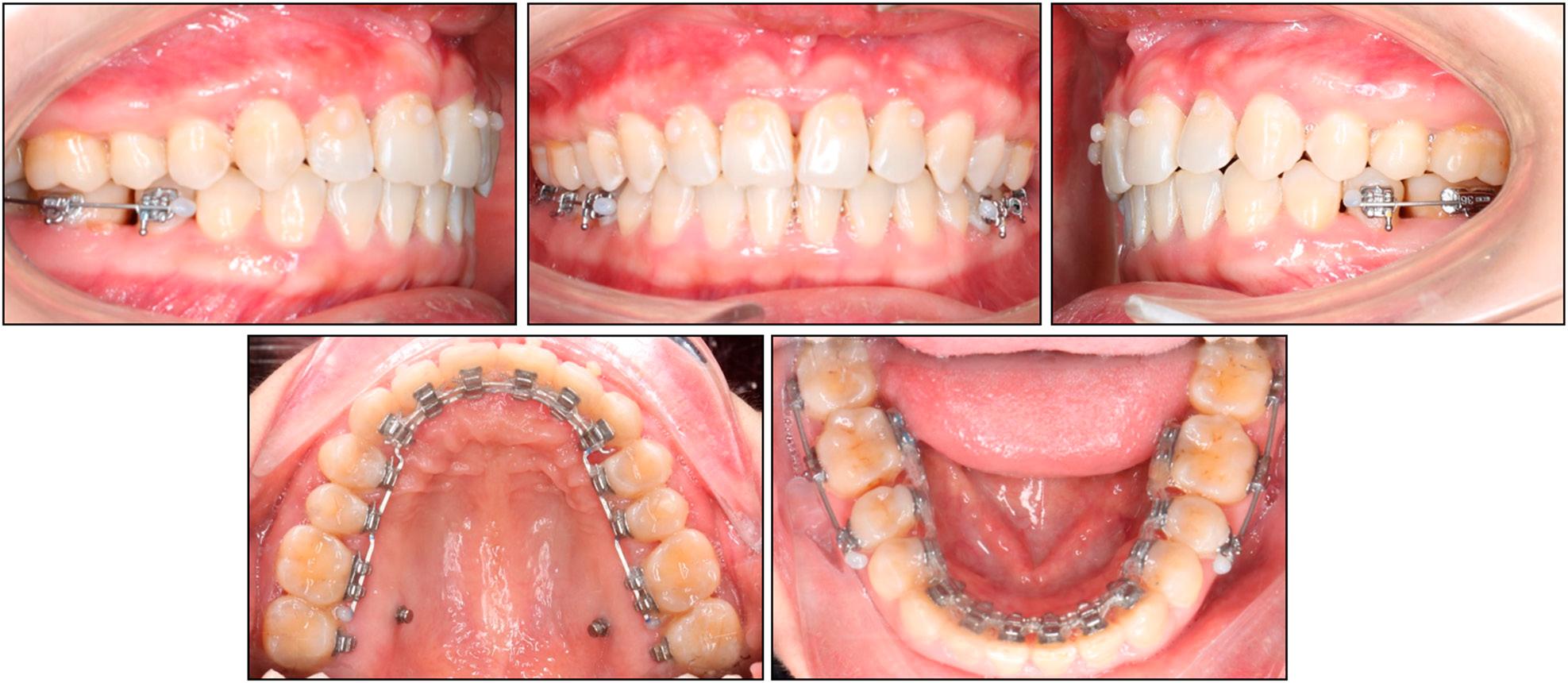
After eight months of distalisation, the upper second molar brackets were bonded and a re-levelling phase was initiated using a 0.016” × 0.022” nickel-titanium arch wire. During this phase, light retraction forces of 50 g per side from the mini-screws were maintained to avoid relapse (Figure 12). Additionally, cross elastics were applied from the lower left second molar lingual bracket to the labial upper left second molar bracket to address the scissor bite, along with Class II elastics (3/16-inch, 3.5 oz) on the left side. The entire upper arch distalisation continued for two months after engaging another 15° pre-torqued 0.016” × 0.022” stainless steel arch wire.

Re-levelling stage after bonding the upper second molar brackets.
During the finishing stage, interproximal stripping was suggested to improve gingival black triangles and the lower incisors’ procliation but denied by the patient. The total treatment time was 29 months. After removing the lingual appliances, fixed retainers were bonded in both arches combined with Essix retainers for nighttime wear.
The post-treatment records showed a favourable outcome with solid Class I canine and molar relationships bilaterally along with a normal overbite and overjet (Figure 13). The curve of Spee was levelled in both arches and the upper central incisor torque was normalised. The left second molar scissor bite and excessive gingival exposure when smiling, were addressed.

Case 2: post-treatment extraoral and intraoral photographs.
A cephalometric analysis showed that the skeletal Class II relationship was reduced (ANB: 8.0°) (Figure 14). The upper incisor torque significantly improved (U1/SN: 94.1°), while the lower incisors were proclined (IMPA: 106°). The panoramic radiograph confirmed acceptable root parallelism without root resorption. Cephalometric superimpositions showed the palatal root torque and intrusion of the upper incisors, the intrusion and proclination of the lower incisors, the distalisation of the upper molars, and the slight uprighting of the lower molars (Figure 15).

Case 2: post-treatment panoramic and cephalometric radiographs and tracing.

Case 2: general and regional superimpositions of pretreatment and post-treatment cephalometric tracings.
The one-year post-retention records showed that the treatment results were stable without signs of relapse (Figure 16).

Case 2: one-year post-retention extraoral and intraoral photographs.
While labial appliances and clear aligners have become increasingly popular, lingual orthodontics remains a valuable tool for aesthetically managing complex malocclusions.6–10 Lingual straight wire appliances offer high accuracy in achieving planned tooth movements, exceeding 75%, whereas clear aligners’ reported accuracy is approximately 50%.11–13 Recent advancements, such as in-office fabrication of customised lingual brackets and indirect bonding trays, further enhance the potential of this treatment modality.14,15 Lingual appliances in combination with mini-screw anchorage have demonstrated effectiveness in treating Class II division 1 malocclusions with normal or increased upper incisor inclination.16,17
However, orthodontic treatment of Class II division 2 malocclusions using lingual appliances presents unique challenges. Firstly, during the levelling stage, intrusion forces from arch wires applied to lingual brackets pass palatally to the upper incisors’ centres of resistance. This can exacerbate existing retroclination (Figure 17). Secondly, occlusal forces also create clockwise rotation moments on the upper incisors, further worsening the retroclination. However, the inherent bite plane effect of upper incisor lingual brackets can be advantageous during the levelling stage, as occlusal forces contribute to incisor intrusion and posterior inter-occlusal spaces facilitate molar eruption. Additionally, intrusion forces from arch wires passing lingually to centres of resistance might help limit lower incisors’ proclination during the levelling of the curve of Spee which is a favourable outcome in non-extraction cases.2,17

Counter-clockwise moments created by the arch wire intrusion force and occlusal force make the upper incisor further retroclined. Fi: intrusion forces applied by arch wires. Fo: occlusal forces applied by lower incisors.
To address the challenges of torque control of Class II division 2 cases, torque over-correction may be incorporated during the orthodontic setup, applying an additional 5° to 10° of palatal root torque to the upper incisors.18 Additionally, lever arms can be utilised to align the retraction force vector with the upper incisors’ centres of resistance, promoting bodily retraction.19,20 In this case series, a combination of lever arm mechanics and pre-torqued arch wires were used to achieve palatal root torque. This approach allows gradual upper incisor proclination along with torque expression of the arch wires. Double-slotted brackets are proposed to offer enhanced torque control, as two engaged rectangular arch wires create dual torquing moments (Figure 18). Furthermore, the relative positions of the two arch wires can generate a counterclockwise moment for torque control, even with round archwires.21

Torque control using the double-slotted bracket. Blue arrows: couples generated by rectangular arch wires. Orange arrows: couples generated by relative positions of the two arch wires.
In this case series, the levelling and torque recovery were performed simultaneously along with the entire upper arch distalisation instead of a preliminary phase of levelling and full torque expression. This approach aims to prevent the round-tripping of the upper incisors, when teeth are proclined and then retracted, potentially saving time and minimising root resorption. In Class II division 2 cases with retroclined upper incisors, achieving full torque expression can be time-consuming. By simultaneously applying intruding and retracting forces along with torquing moments, the upper incisors experience palatal root torque and intrusion as the torque is gradually expressed.
The need for additional anterior labial mini-screws for complete upper arch levelling depends on the severity of the upper reverse occlusal curve and the position of the upper lateral incisors. In the second case, adequate bite opening and upper central incisor torque recovery were achieved after the initial levelling stage due to the favourable labial positioning of the upper lateral incisors. Therefore, anterior labial mini-screws were not required for further upper incisor intrusion. Conversely, in the first case, the retroclined upper lateral incisors and severe reverse occlusal curve resulted in less bite opening and torque recovery. Consequently, two anterior labial mini-screws were used to apply intrusion forces and counter-clockwise moments to the upper incisors.22 This created an increased overjet, which facilitated continued distalisation of the entire arch while counteracting the clockwise rotation inherent in mini-screw-assisted distalisation (Figure 19).

An incisor intrusion force (Fi) generates counter-clockwise moments (orange arrows) to increase incisor torque and counteract the clockwise moment (blue arrows) created by the entire arch retraction force (Fr).
A limitation of this case series is the absence of periapical radiographs, which could have provided a more detailed assessment of potential root resorption in the maxillary anterior teeth, as significant root movements were involved. Periapical radiographs offer a high-resolution view of the root structure, allowing for a more precise evaluation of any potential root shortening. However, panoramic radiographs were obtained and revealed no signs of root resorption, offering a preliminary indication of root health.
Lingual appliances combined with mini-screw anchorage and pre-torqued arch wires may offer an effective approach for the non-surgical management of severe Class II division 2 patients presenting with deep overbites and gummy smiles. More clinical studies with larger sample sizes are required to confirm the effectiveness of the approach.