Figure 1.

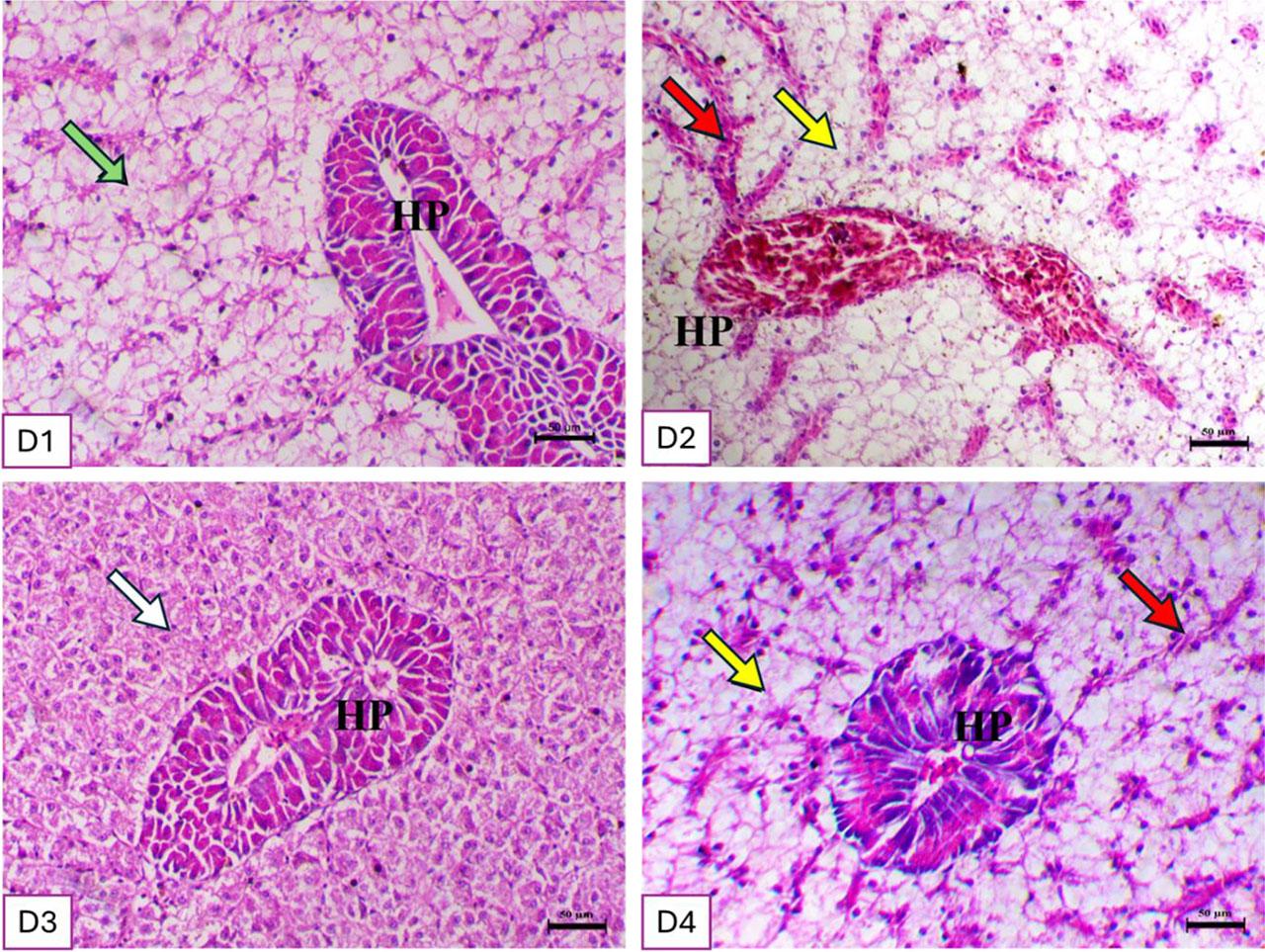
Figure 2.

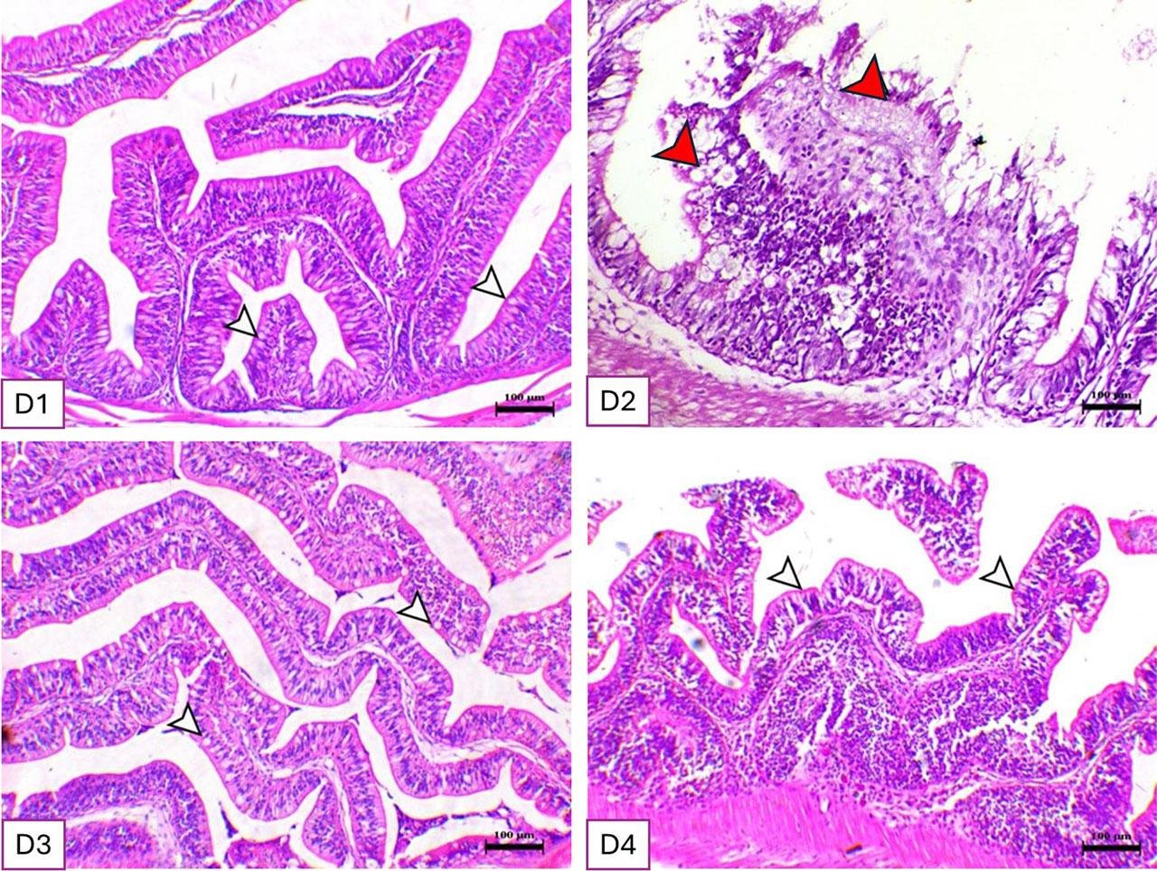
Figure 3.

Figure 4.

Nutrient composition of experimental diets_
| Ingredients | % |
|---|---|
| Fish meal (65% CP) | 15 |
| Soybean meal (44% CP) | 35 |
| Yellow corn | 20 |
| Wheat bran | 7 |
| Wheat flour | 6 |
| Rice bran | 5 |
| Gluten | 5 |
| Fish oil | 3 |
| Soybean oil | 2 |
| Dicalcium phosphate | 1 |
| Vitamin and mineral premix 1 | 1 |
| Proximate profile | |
| Crude protein (%) | 32.12 ± 0.14 |
| Crude lipids (%) | 8.25± 0.11 |
| Fiber (%) | 3.42 ± 0.16 |
| Ash (%) | 6.63 ± 0.20 |
Biometric indices and intestinal morphology of Nile tilapia following a 75-day feeding trial
| Items | D1 | D2 | D3 | D4 | P-Value |
|---|---|---|---|---|---|
| Hepatosomatic Index (HSI, %) | 1.07±0.08 | 1.02±0.03 | 1.02±0.03 | 1.02±0.04 | 0.877 |
| Intestino-Somatic Index (ISI, %) | 2.53±0.13 | 2.68±0.18 | 2.37±0.03 | 2.39±0.09 | 0.306 |
| Visceral Somatic Index (VSI, %) | 3.82±0.16 | 3.93±0.21 | 3.57±0.05 | 3.61±0.13 | 0.344 |
| Fulton’s Condition Factor (K factor) | 2.16±0.11 | 2.11±0.07 | 2.02±0.03 | 2.12±0.04 | 0.569 |
| Villus length (µm) | 450.1±11.91b | 225.4±4.4c | 647.96±18.03a | 416.27±5.38b | 0.000 |
| Villus width (µm) | 153.41±4.17b | 119.44±3.21c | 224.91±6.36a | 120.98±6.67c | 0.000 |
| Goblet cells (cell/mm2) | 267±7b | 146.33±10.81c | 350.33±21.84a | 233±7.64b | 0.000 |
Blood biomarker profiles of Nile tilapia following a 75-day feeding trial
| Items | D1 | D2 | D3 | D4 | P-Value |
|---|---|---|---|---|---|
| Total Protein (g/dL) | 4.29±0.25a | 2.74±0.24b | 4.64±0.12a | 4.14±0.51a | 0.013 |
| Albumin (g/dL) | 1.7±0.34 | 1.45±0.27 | 1.81±0.24 | 1.65±0.39 | 0.873 |
| Globulin (g/dL) | 2.59±0.16a | 1.29±0.1b | 2.82±0.19a | 2.5±0.16a | 0.000 |
| Total Cholesterol (mg/dL) | 157.67±6.36b | 211±10.02a | 140±10.44b | 158±10.12b | 0.004 |
| Triglyceride (mg/dL) | 124.33±6.17a | 72±5.51c | 106.33±6.69b | 98±2.65b | 0.001 |
| High-density lipoprotein (mg/dL) | 45.13±6.92 | 43.65±4.39 | 48.02±3.78 | 41±5.59 | 0.822 |
| Alanine Aminotransferase (IU/L) | 10.33±0.88c | 70.33±1.76a | 10.33±1.45c | 22±1.15b | 0.000 |
| Aspartate Aminotransferase (IU/L) | 32±1.53c | 113±3.21a | 32.33±2.03c | 48.67±1.45b | 0.000 |
Sequences of primers used for quantitative real-time PCR (qRT-PCR) analysis
| Gene | Sequences (5′-3′) | Reference | Accession number |
|---|---|---|---|
| Ef1 | F: TCAACGCTCAGGTCATCATC | (Con et al., 2019) | XM_003458541 |
| R: ACGGTCGATCTTCTCAACCA | |||
| GHR1 | F: CAGACTTCTACGCTCAGGTC | (El-Naggar et al., 2021) | AY973232.1 |
| R: CTGGATTCTGAGTTGCTGTC | |||
| IGF-1 | F: GTTTGTCTGTGGAGAGCGAGG | Y10830.1 | |
| R: GAAGCAGCACTCGTCCACG | |||
| GPx | F: CCAAGAGAACTGCAAGAACGA | (El-Kassas et al., 2022) | DQ355022.1 |
| R: CAGGACACGTCATTCCTACAC | |||
| CAT | F: CCCAGCTCTTCATCCAGAAAC | (Abdo et al., 2021) | JF801726.1 |
| R: GCCTCCGCATTGTACTTCTT | |||
| LYZ | F: AAGGGAAGCAGCAGCAGTTGTG | (Esam et al., 2022) | XM_003460550.2 |
| R: CGTCCATGCCGTTAGCCTTGAG | |||
| C3 | F: GGTGTGGATGCACCTGAGAA | XM_013274267.2 | |
| R: GGGAAATCGGTACTTGGCCT |
Key growth performance indicators of Nile tilapia following a 75-day dietary trial
| Parameters | D1 | D2 | D3 | D4 | P-Value |
|---|---|---|---|---|---|
| Initial Body weight, g | 20±0.14 | 20±0.01 | 19.96±0.21 | 19.94±0.07 | 0.985 |
| Final Body weight, g | 81.29±2.75b | 65.27±2.53c | 97.04±2.01a | 78.56±2.75b | 0.000 |
| Weight gain, g | 61.29±2.83b | 45.28±2.53c | 77.08±1.82a | 58.62±2.77b | 0.000 |
| Specific growth rate (SGR, %/day) | 1.87±0.05b | 1.57±0.05c | 2.11±0.02a | 1.83±0.05b | 0.000 |
| Feed intake, g (FI) | 122.86±1.13b | 112.56±3.21c | 138.79±1.99a | 123.54±2.2b | 0.000 |
| Feed conversion ratio (FCR) | 2.01±0.08b | 2.5±0.15a | 1.8±0.05b | 2.12±0.13b | 0.012 |
| Survival rate (SR, %) | 96.67±1.67 | 98.33±1.67 | 98.33±1.67 | 96.67±3.33 | 0.900 |