Metabolic syndrome (MetS) or insulin resistance syndrome consisting of obesity, hyperglycemia, hyperinsulinemia, dyslipidemia, and hypertension has become a significant public health problem worldwide (Grundy et al., 2005). MetS is an implication of carbohydrate overloaded diet in addition to decreased physical activity as well as genetic predisposition. It is associated with a prolonged low-grade inflammation, decreased insulin sensitivity, abdominal adiposity, atherogenic dyslipidemia, elevated blood pressure and endothelial dysfunction. Although the exact cause of MetS is still not known, but it is considered that a complex interplay among genetic, metabolic and environmental factors are responsible for the development of the disease. The prevalence of MetS ranges approximately 25% in US, 12.8% – 41% in Asian Pacific region and 17.8%–34% in Europe (Azimi Nezhad et al., 2008).
Central obesity has been hypothesized as the leading factor in the etiological cascade for the development of MetS, which results in adipose dysfunction, adipose tissue mass expansion and increased free fatty acid in the circulation, thus, leading to an increased risk of developing insulin resistance, endothelial dysfunction and cardiovascular diseases (Guilherme et al., 2008). In MetS, increased oxidative stress and vascular inflammation leads to the enhanced activity and expression of arginase. This decreases the amount of L-arginine availability as a substrate for eNOS, causing impaired NO production and endothelial dysfunction. Additionally, synthesis of polyamines and proline is induced that results in vascular remodelling and vascular smooth muscle proliferation, leading to cardiovascular complications related to MetS (Masi et al., 2018). Increased oxidative stress and inflammation possibly through activation of protein kinase C (PKC) and RhoA/Rho kinase, amplifies the expression of arginase, which plays a pivotal role in various complications related to MetS (Rabelo et al., 2015). Therefore, inhibiting the enzyme arginase can produce promising results in alleviating the complications related to MetS. L-Norvaline [5 -(aminoiminomethyl) amino] with molecular formula - C5H11NO2 is an amino acid, with potent arginase inhibitory activity. L-Norvaline finds great interest as it is a non-selective inhibitor of arginase and therefore is able to suppress the activity of arginase enzyme and raise the endogenous stocks of L-arginine along with the increased production of NO.
The present study thus aims to evaluate the effect of L-Norvaline on MetS associated obesity, hyperlipidemia, type II diabetes as well as metabolic and vascular abnormalities.
In the present study, adult male Wistar rats weighing between 225–250 g and 8–10 weeks of age were used. The rats were housed in standard polypropylene cages under controlled room temperature (24±2°C) and humidity (60–70%). Animals were provided with hyperlipidemic diet and water ad libitum throughout the study. All the animals were acclimatized to the laboratory conditions for one week before experiment. The guidelines of Committee for the Purpose of Control and Supervision of Experimental Animals (CPCSEA), Govt. of India was followed for the care of animals. Prior permission was taken from the Institutional Animal Ethical Committee (Reg. Number 273/PO/Re/S/2000/CPCSEA) for conducting animal studies with approval number of CPCSEA/IAEC/SBS/2018/002.
L-Norvaline (N 7627) was purchased from Sigma Aldrich (India). Potassium dihydrogen orthophosphate (RM2951), EDTA (RM1279), thiobarbituric acid (RM1594) and reduced glutathione (MB166) were obtained from Himedia Laboratories, Mumbai, India. 5,5′-Dithiobis (2-nitrobenzoic acid) (GRM1677) and epinephrine (TC469) were purchased from Sigma Chemical Co., St Louis, MO, USA. All other chemicals were of analytical grade. Diagnostic kits of ERBA were used for biochemical estimation.
Obesity and dyslipidemia were induced by feeding the animals with hyperlipidemic diet for a period of 45 days. Diabetes was induced by fructose (20% w/v in distilled water) which was prepared freshly and given as drinking water to all the test groups. After 45 days, body weight and fasting blood sugar (FBS) level of the rats were checked. The animals with body weight more than 350 g and FBS level more than 200 mg/dl were considered as hyperlipidemic diabetic rats (HDR) and selected for the study.
The doses of L-Norvaline (10 mg/kg, intraperitoneally) and gemfibrozil (60 mg/kg, p.o.) were selected on the basis of previous studies done by De et al. and Panda et al., respectively (De et al., 2016, Panda et al., 2017). Gemfibrozil was administered as a suspension in distilled water using 1% CMC as the suspending agent.
The Hyperlipidemic diabetic rats were divided into three groups and one group of normal rats was taken. All groups with six animals in each received the following treatment once in a day for a period of 30 days.
Group I (normal control): Normal animals received distilled water (1 ml/kg/day, p.o.).
Group II (toxicant control): Hyperlipidemic diabetic animals received distilled water (1 ml/kg/day, p.o).
Group III: Hyperlipidemic diabetic animals received L-Norvaline (10 mg/kg/day, i. p.).
Group IV: Hyperlipidemic diabetic animals received gemfibrozil (60 mg/kg/day, p.o.) as a reference drug.
Body weight and Body mass index (BMI) was determined weekly from the first day of the study till the end of the study. Fasting blood sugar was recorded at 0, 15th day and 30th day of study. At the end of the treatment period, all the animals were fasted overnight, anaesthetised with ether and blood was collected from the retro-orbital plexus. Serum was separated from the blood and used for the estimation of FBS, lipid profile and nitrate using autoanalyzer (Erba Chem 5X). Insulin, adiponectin, and leptin levels were measured in serum of the animals using ELISA assay kits. After blood withdrawal, animals were sacrificed by euthanasia (phenobarbitone 150 mg/kg, i.p.). Pancreas was excised immediately from all the group of animals and after processing, tissue homogenate was used for the estimation of oxidative stress and antioxidant enzymes.
Body weight and BMI were estimated at a regular interval of 7 days.
BMI = Mass (kg)/height(m2)
BMI = Mass (lbs.)/height(inch2) × 703
Where m and h are the subject's weight and height respectively.
Fasting blood sugar level was estimated by GOD-POD method from the serum, after induction of diabetes and then at 0, 15th and 30th days of the treatment (Trinder, 1969).
Total cholesterol, HDL and triglyceride levels were determined in serum by the CHOD-PAP method (Castelli et al., 1977), phosphotungstic acid method (Miller et al., 1977) and GPO-Trinder method (Bucolo & David, 1973) respectively using Erba diagnostic kits (Mumbai, India).
VLDL and LDL were calculated as per Friedewald's equation as follow:
The atherogenic index (AI) was calculated by using the formula:
Nitrate level was estimated in serum using Griess Reagent (1% sulphanilamide in 5% phosphoric acid and 0.1% napthylethylenediamine dihydrochloride in a ratio of 1:1) (Guerra et al., 2005).
Estimation of insulin was carried out in the serum by the method of MacDonald 1989 using an ELISA kits of Cell Biolabs, Inc., USA(MacDonald & Gapinski, 1989). Insulin resistance was calculated by the method of HOMA-IR (Homeostasis Model Assessment of insulin resistance)(Matthews et al., 1985) using the following formula:
Serum adiponectin level was estimated by the method of sandwich ELISA assay using adiponectin ELISA kits supplied by Cell Biolabs, Inc., USA (Arita et al., 1999).
Serum leptin level was estimated by the method of sandwich ELISA assay using leptin ELISA kits supplied by Cell Biolabs, Inc., USA(Kimura et al., 2000).
CRP level was estimated in serum by a standard latex agglutination test kit of Spectrum Diagnostics, Egypt, as per the method of Schalla et al., 1984 (Schalla et al., 1984).
At the end of treatment period and after collection of blood sample from the treated animals, pancreas was excised immediately from all group of animals, washed with ice cold saline, weighed and homogenized in phosphate buffer (50 mM, pH 7.4) to prepare a 10% (w/v) solution. The tissue homogenate was used for the assay of thiobarbituric acid reactive substances (TBARS), reduced glutathione (GSH) and superoxide dismutase (SOD).
TBARS were estimated spectrophotometrically from the tissue homogenate of pancreas by the method of Ohkawa et al., 1979 (Ohkawa et al., 1979). For estimating TBARS, 0.1 ml of tissue homogenate (10%) was mixed with 0.2 ml of sodium dodecyl sulphate (8.1%), 0.5 ml of acetic acid (pH 3.5) and 0.5ml of TBA (0.67%). The reaction mixture was incubated for 1 hr at 95°C in a water bath. After 1 hour the reaction mixture was cooled, treated with n- butanol -pyridine mixture and absorbance was taken at 532 nm in a spectrophotometer. Results were expressed as nmol/MDA/min/mg of tissue.
The level of superoxide dismutase was determined spectrophotometrically from the pancreatic supernatant by the method of Sun and Zigman, 1978 (Sun & Zigman, 1978). For SOD assay, 50 mM of sodium bicarbonate (pH 10.2) was added to 0.5 ml of tissue supernatant. Freshly prepared epinephrine solution was added to this reaction mixture at zero time. Inhibition of autooxidation of epinephrine to adenochrome by SOD was measured at different time intervals at 320 nm.
Reduced glutathione was assayed from pancreatic homogenate by the method of Mohandas et al., 1984 using 5,5′-dithiobis (2-nitrobenzoic acid) (Mohandas et al., 1984). A mixture of 0.1M potassium phosphate containing 5 mM of EDTA (pH 8.0) and metaphosphoric acid (25%) in a ratio of 3.75:1 was added to the tissue homogenate. The reaction mixture was then centrifuged and the resulting supernatant was separated out. 5,5′-dithiobis (2-nitrobenzoic acid) was added to the supernatant and the intensity of colour developed in the reaction mixture was read spectrophotometrically at 412 nm. Results were expressed as microgram of GSH/mg of protein.
Pancreatic tissue was isolated and stored in 10% buffered formalin. It was then embedded in paraffin and sections of tissue of 5 μm thickness were cut followed by staining with eosin and hematoxylin. The sections were observed in light microscope for histo-architectural study.
Statistical analysis of results was carried out by using Graph pad prism 7.0 software. The results were expressed as mean ± SEM from six animals. Multiple comparison between different groups was carried out by using one-way ANOVA (Analysis of Variance) followed by Dunnett's multiple comparison test. Comparison between two groups was done by student t-test. P values less than 0.05 was considered as indicative of significance.
The effect of L-Norvaline on body weight and body mass index (BMI) of HDR is shown in Table 1. Results show that L-Norvaline at a dose of 10 mg/kg administered once in a day for a period of 30 days caused significant (p<0.001) decrease in weight of the hyperlipidemic diabetic rats as compared to the day 1 of the treatment. Gemfibrozil also caused significant (p<0.001) reversal of HFD induced weight gain in HDR. Administration of L-Norvaline restored the BMI of HDR in a gradual manner. There was significant (p<0.001) improvement in the BMI of HDR rats on day 30 of the treatment as compared to day 1 in all the groups of animals except the toxicant control.
Effect of L-Norvaline on body weight and BMI in hyperlipidemic diabetic rats.
| Groups | Body weight (g) | BMI | ||||
|---|---|---|---|---|---|---|
| 0 day of treatment | 15th day of treatment | 30th day of treatment | 0th day of treatment | 15th day of treatment | 30th day of treatment | |
| Normal animals (1ml/kg normal saline, p.o.) | 230 ± 0.05 | 235 ± 0.42 | 233 ± 0.18 | 1.96 ± 0.06 | 1.95 ± 0.04 | 1.94 ± 0.04 |
| Toxicant control HDR received distilled water (1ml/kg, p.o) | 360 ± 1.32a | 356 ± 1.96a | 356 ± 2.96a | 3.1 ± 0.03a | 3.05 ± 3.46a | 3.10 ± 1.36a |
| HDR received L-Norvaline (10 mg/kg, i.p.) | 365 ± 2.70 | 310 ± 1.62 | 205 ± 0.28*** | 3.3 ± 0.06 | 3.00 ± 1.62 | 2.34 ± 0.13*** |
| HDR received gemfibrozil 60 mg/kg, p.o) | 360 ± 1.32 | 270 ± 3.84* | 200 ± 1.12*** | 2.9 ± 0.08 | 2.78 ± 1.19* | 2.26 ± 3.72*** |
All values are expressed as mean ± SEM; N=6, one way ANOVA followed by Dunnetts multiple comparison test was applied for statistical analysis.
P values:
P<0.05 and
P<0.001 when the results of day 30 of treatment was compared with the results of day 0 for each group.
P<0.001 when the results of toxicant control group were compared with the normal group of animals.
Results in Fig. 1 indicate that after treatment period of 30 days, there was significant reduction in FBS level in all groups as compared to toxicant group. L-Norvaline treatment caused significant (p<0.001) reduction in FBS in hyperlipidemic diabetic rats as compared to day 1 of the study. In this study, administration of gemfibrozil caused less significant (p<0.05) reduction in FBS level of hyperlipidemic diabetic rats.

Effect of L-Norvaline on fasting blood sugar level in hyperlipidemic diabetic rats.
All values are expressed as mean ± SEM; N=6. One way ANOVA followed by Dunnetts multiple comparison test was applied for statistical analysis. P values: *P<0.05, ***P<0.001 when the results of treatment groups were compared with the toxicant control groups.
aP<0.001 when the results of toxicant control group were compared with the normal group of animals.
Results summarised in Table 2 indicates the effect of L – Norvaline on lipid profile in HFD and fructose fed hyperlipidemic diabetic rats. Feeding the animals with HFD and fructose for a period of 45 days caused significant (p<0.001) increase in total cholesterol, triglyceride, LDL and VLDL levels and decrease in HDL level. Hyperlipidemic diabetic rats treated with L-Norvaline for a period of 30 days showed significant increase in HDL level and decrease in total cholesterol, triglyceride, LDL and VLDL as compared to the toxicant control group. Administration of gemfibrozil also caused significant improvement (p<0.001) in the lipid profile of HDR.
Effect of L-Norvaline on lipid profile in hyperlipidemic diabetic rats.
| Groups | HDL (mg/dl) | Cholesterol (mg/dl) | Triglyceride (mg/dl) | LDL (mg/dl) | VLDL (mg/dl) |
|---|---|---|---|---|---|
| Normal animals (1ml/kg normal saline, p.o.) | 54.4 ± 1.06 | 60.8 ± 2.0 | 76.6 ± 0.56 | 90.2 ± 1.43 | 18.66 ± 1.25 |
| Toxicant control HDR received distilled water (1ml/kg, p.o) | 20.2 ± 2.94a | 130.6 ± 0.64a | 153.6 ± 1.19a | 182.6 ± 1.47a | 43.32 ± 2.98a |
| HDR received L-Norvaline (10 mg/kg, i.p.) | 48.8 ± 3.76*** | 60.6 ± 1.42*** | 84.4 ± 0.82*** | 76.2 ± 1.3*** | 20.42 ± 0.76*** |
| HDR received gemfibrozil 60 mg/kg, p.o) | 52.2 ± 2.31*** | 57.0 ± 0.84*** | 79.6 ± 0.61*** | 74.6 ± 1.8*** | 19.74 ± 2.93*** |
All values are expressed as mean ± SEM; N=6. One way ANOVA followed by Dunnetts multiple comparison test was applied for statistical analysis.
P values:
P<0.001 when the results of treatment groups were compared with the toxicant control groups.
P<0.001 when the results of toxicant control group were compared with the normal group of animals.
The effect of L-Norvaline and gemfibrozil on atherogenic index in HDR is summarised in the Fig. 2. Results show that both L-Norvaline and gemfibrozil caused significant decrease (p<0.001) in atherogenic index of hyperlipidemic diabetic rats.

Effect of L-Norvaline on atherogenic index in hyperlipidemic diabetic rats.
All values are expressed as mean ± SEM; N=6. One way ANOVA followed by Dunnetts multiple comparison test was applied for statistical analysis. P values: ***P<0.001 when the results of treatment groups were compared with the toxicant control groups.
aP<0.001 when the results of toxicant control group were compared with the normal group of animals.
Results summarised in Table 3 indicates the effect of L-Norvaline on the level of insulin, leptin and adiponectin in HDR. Administration of HFD for a period of 45 days caused significant (p<0.001) increase in serum insulin, leptin and adiponectin levels. Treatment of HDR with L-Norvaline moderately restored (p<0.01) the level of insulin and leptin, though the most significant (p<0.001) effect was seen on adiponectin level. Gemfibrozil caused significant (p<0.001) decrease in serum leptin and adiponectin levels but only slight decrease in serum insulin levels. Fig. 3 indicates the effect of the treatment on insulin resistance (HOMA-IR). The treatment group has shown significant (p<0.01) decrease in HOMA-IR scores of HDR. However, the standard drug gemfibrozil was found to be ineffective.

Effect of L-Norvaline on HOMA-IR in hyperlipidemic diabetic rats.
All values are expressed as mean ± SEM; N=6. One way ANOVA followed by Dunnetts multiple comparison test was applied for statistical analysis. P values: **P<0.01 when the results of treatment groups were compared with the toxicant control groups.
aP<0.001 when the results of toxicant control group were compared with the normal group of animals.
Effect of L-Norvaline on hormonal parameters and nitrate level in hyperlipidemic diabetic rats.
| Groups | Insulin (mIU/L) | Leptin (ng/ml) | Adiponectin (μg/ml) | Nitrates (μmol/L |
|---|---|---|---|---|
| Normal animals (1ml/kg normal saline, p.o.) | 20.5 ± 0.8 | 7.8 ± 0.72 | 9.8 ± 0.72 | 350.5 ± 0.6 |
| Toxicant control HDR received distilled water (1ml/kg, p.o) | 34.7 ± 1.12a | 12.2 ± 0.25a | 28.2 ± 3.26a | 165.23 ± 0.43a |
| HDR received L-Norvaline (10 mg/kg, i.p.) | 24.6 ± 0.65** | 9.6 ± 0.82** | 10.6 ± 0.82*** | 320.7 ± 0.5*** |
| HDR received gemfibrozil 60 mg/kg, p.o) | 31.6 ± 1.5 | 7.4 ± 0.68*** | 10.4 ± 1.21*** | 320.7 ± 0.5*** |
All values are expressed as mean ± SEM; N=6. One way ANOVA followed by Dunnetts multiple comparison test was applied for statistical analysis.
P values:
P<0.01 and
P<0.001 when the results of treatment groups were compared with the toxicant control groups.
P<0.001 when the results of toxicant control group were compared with the normal group of animals.
Table 3 indicates that HFD and fructose caused significant (p<0.001) decrease in serum nitrate level. Both, L-Norvaline and gemfibrozil caused significant (p<0.001) increase in serum nitrate level of HDR as compared to the toxicant control.
Fig. 4 shows effect of the treatment on serum CRP level in HDR rats. The CRP level was significantly increased in HFD and fructose fed animals as compared to normal animals. L-Norvaline caused significant (p<0.001) reduction in serum CRP levels as compared to the toxicant control group. Gemfibrozil, however, caused less significant (p<0.05) reduction in the level of CRP.

Effect of L-Norvaline on C - reactive protein in hyperlipidemic diabetic rats.
All values are expressed as mean ± SEM; N=6. One way ANOVA followed by Dunnetts multiple comparison test was applied for statistical analysis. P values: *P<0.05 and ***P<0.001 when the results of treatment groups were compared with the toxicant control groups.
aP<0.001 when the results of toxicant control group were compared with the normal group of animals.
The effect of L-Norvaline and gemfibrozil on lipid peroxidation and antioxidant enzymes level is summarised in the Table 4.
Effect of L-Norvaline on oxidative stress and antioxidant enzymes level in hyperlipidemic diabetic rats.
| Groups | Lipid peroxidation (nmol MDA/min/mg of tissue) | Superoxide Dismutase (EU/mg of protein) | Reduced Glutathione (microgram/mg of protein) |
|---|---|---|---|
| Normal animals (1ml/kg normal saline, p.o.) | 45.5 ± 1.80 | 25.7 ± 1.42 | 4.4 ±1.40 |
| Toxicant control HDR received distilled water (1ml/kg, p.o) | 79.8 ± 1.25a | 13.3 ± 1.31a | 1.3 ±1.35a |
| HDR received L-Norvaline (10 mg/kg, i.p.) | 68.0 ± 1.18* | 15.2 ± 1.06 | 1.6 ± 0.54 |
| HDR received gemfibrozil 60 mg/kg, p.o) | 60.5 ± 1.88** | 16.4 ± 0.75** | 2.1 ± 0.22* |
All values are expressed as mean ± SEM; N=6. One way ANOVA followed by Dunnetts multiple comparison test was applied for statistical analysis.
P values:
P<0.05 and
P<0.01 when the results of treatment groups were compared with the toxicant control groups.
P<0.001 when the results of toxicant control group were compared with the normal group of animals.
Results show that the level of malondialdehyde (MDA) was significantly (p<0.001) increased in animals after treatment with HFD and fructose for a period of 45 days. The level of SOD and GSH were also significantly (p<0.001) reduced after administration of HFD and fructose. L-Norvaline caused mild decrease (p<0.05) in the level of MDA with no effect on the level of GSH and SOD. Gemfibrozil treatment significantly decreased (p<0.01) the MDA level, significantly (p<0.01) increased SOD level and caused slight increase (p<0.05) in GSH level in hyperlipidemic diabetic rats.
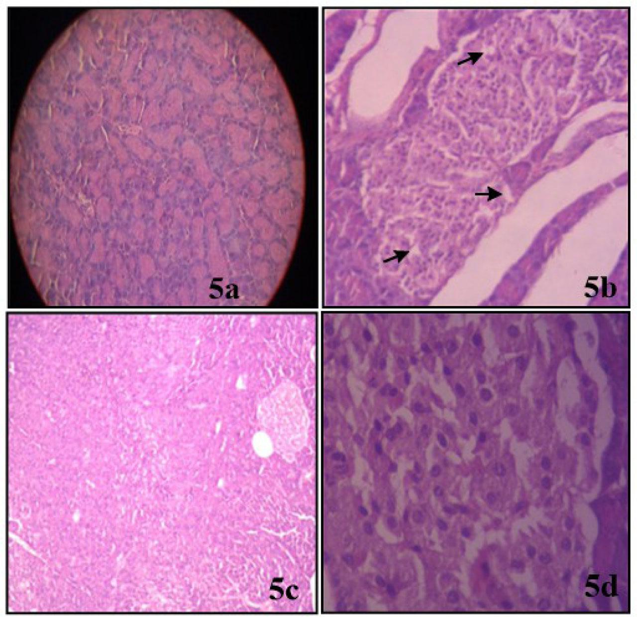
Fig. 5a shows the histopathology of pancreatic tissue of the normal group of animals and reveals an intact pancreatic tissue without signs of necrosis, degeneration of pancreatic islets and vacuolization in the cytoplasm of β cells. The pancreatic tissue of toxicant control group indicates shrinkage and degeneration of β cells mainly in the central region. Vacuolization was also observed in the cytoplasm of islet cells (Fig. 5b). In some previous studies, similar effects were also seen on the histology of pancreas after chronic administration of high fat sugar diet and high fat diet (Zhou et al., 2018, Gulen et al., 2015).

Effect of L-Norvaline on histology of pancreas in hyperlipidemic diabetic rats.
(a) Microscopic section of pancreas of rats from normal control group (Hematoxylin-eosin, magnification X 100 (H&E, X 100)). (b) Microscopic section of pancreas of rats from toxicant control group (H&E, X 100). (c) Microscopic section of pancreas of rats from L-Norvaline (10 mg/kg, i.p.) treated group (H&E, X 100). (d) Microscopic section of pancreas of rats from gemfibrozil (60 mg/kg, p.o.) treated group (H&E, X 100).
Treatment with L-Norvaline (10 mg/kg) has shown marked increase in the number of intact and normal beta cells as well as decrease in the number of degenerated β cells and vacuolization (Fig. 5c). L-Norvaline treatment exhibited protective effect as pancreatic tissue of rats manifested histo-architecture comparable to the pancreatic tissue of normal animals. However, gemfibrozil treatment has only mild effect on pancreatic histology with less improvement in the structure of and number of β cell (Fig. 5d).
Metabolic syndrome is characterized by various abnormal medical conditions such as central obesity, dyslipidemia, hypertension and diabetes mellitus. In the present study, HFD and fructose given to the animals for a period of 45 days caused significant increase in the body weight and BMI of animals. As visceral adiposity is a main trigger for most of the pathways involved in MetS, increased calorie intake through high fat diet acts as a causative factor in the initiation of conditions associated with MetS (Panchal et al., 2011). Fructose intake is associated with hypertriglyceridemia, lipogenesis and formation of reactive oxygen species (ROS) with subsequent increase in oxidative stress. Increased production of ROS is associated with endothelial injury and increased expression of nuclear factor kappa B cells (NF-kB) on the endothelium and vascular smooth muscle cells that contributes to the development of dyslipidemia, type II diabetes mellitus and cardiovascular disease.
HDR treated with L-Norvaline have shown significant decrease in the body weight and BMI, the predictors of obesity-related cardiovascular complications. It may be assumed that L-Norvaline mediated upregulation of peroxisome proliferator activated receptor-α (PPAR-α) and downregulation of PPAR-c2, Stearoyl-CoA desaturase-1 (SCD-1), adipose differentiation related protein (ADRP) mRNA and gene expression are responsible for its anti-obesity effect (Moon et al., 2014).
In the present study, HFD along with fructose caused significant increase in fasting blood sugar, serum insulin level and insulin resistance. HFD augments the adipose tissue mass and triggers increased secretion of adipokines into the bloodstream giving rise to obesity related insulin resistance and inflammation. Fructose plays an important role in the development of insulin resistance. It is mainly taken up by hepatocytes and the excess fructose then undergoes hepatic de novo lipogenesis resulting in FFA surge in hepatic circulation which by phosphorylation of IRS1 gives rise to an insulin resistant state. L-Norvaline caused decrease in fasting blood sugar and insulin level and improved insulin sensitivity. Improvement in insulin sensitivity may be due to L-Norvaline mediated increase in the bioavailability of NO and subsequent vasodilation leading to increased blood perfusion to skeletal muscles. This amplifies glucose and insulin supply to skeletal muscles and boost glucose disposal for the production of ATP (Ouellet et al., 2017). Previous studies done on L-Norvaline indicates that the NO produced by L-Norvaline phosphorylates the AMPK, which in turn activates the GLUT4 receptors, thus facilitating entry of glucose into the cell and its oxidation (Hu et al., 2017).
In the present study, HFD and fructose administration is associated with the lipid accumulation in various tissues, altered lipid metabolism, increased TG, LDL and VLDL levels and dyslipidemic state in animals. HFD upregulates expression of mRNA of various lipogenic proteins like lipoprotein lipases in the liver. These lipoproteins mediate uptake of lipids from circulation into the liver and the skeletal muscles which gets accumulated in these peripheral tissues. This leads to a state of insulin resistance resulting in inhibition of the anti-lipolytic effect of insulin, thereby increasing non-esterified fatty acids levels and lipid oxidation. Fructose given in diet, is taken up by the hepatocytes, where it increases de novo lipogenesis and the level of triglyceride in hepatocytes and LDL and VLDL in plasma resulting a dyslipidemic state (Pereira et al., 2017). L-Norvaline treatment decreased the level of TG, cholesterol, LDL, VLDL and also improved HDL level in hyperlipidemic diabetic rats. Study by Hong et al., reported that down regulation of FAS involved in de novo lipogenesis, HMG-CoA reductase and SREBP-2 involved in synthesis of cholesterol, SREBP-1 that transcribes genes for fatty acid synthesis might be responsible for the protective effect of arginase inhibitors in dyslipidemic state (Hong et al., 2018).
In our study, feeding HFD and fructose has attributed to hyperleptinemia, the endocrine cause of weight gain and development of adiposity in HFD and fructose induced MetS model. The possible mechanism behind the decrease in plasma leptin concentration after L-Norvaline administration might be due to an increase in the level of NO by the arginase inhibitor, that activates guanylate cyclase resulting in the elevation of cGMP and inhibition of leptin release (Fain et al., 2003).
Adiponectin is a hormone like peptide inversely related to BMI and body fat. Generally, increase in adiponectin level occurs in the early stage till complete development of MetS, followed by a decrease in the level of adiponectin (Moreno-Fernández et al., 2018). In the present study, administration of HFD and Fructose caused initial increase in adiponectin level, followed by a fall in serum adiponectin level in HDR, which is in accordance with the previous study. L-Norvaline administration for a period of 30 days significantly increased adiponectin level in HDR. It can be assumed that L-Norvaline by increasing NO bioavailability, triggers p38 MAPK pathway and activates PPAR and its binding to PPRE, leading to transcriptional activation of adiponectin gene and subsequent rise in serum adiponectin level.
CRP is an inflammatory biomarker released into the plasma by hepatocytes in response to pro-inflammatory cytokines. In the present study, HFD and fructose administration caused significant increase in the level of CRP in hyperlipidemic diabetic rats indicating a chronic low-grade inflammatory state. Results from previous studies also reveals that increased level of CRP in plasma binds to lipoproteins (LDL and VLDL) and upregulates the expression of adhesion molecules ultimately causing development of atherosclerosis and MetS (Pereira et al., 2017). L-Norvaline treatment significantly decreased CRP level in HDR. Though much information is not available on how L-Norvaline decreases serum CRP levels, but it can be hypothesized that increased NO bioavailability as a result of arginase inhibition by L-Norvaline results in AMPK activation and inhibition of IL-6 mediated CRP release (McCarty, 2004).
In HDR, excess energy provided by HFD results an increase in oxidative activity leading to mitochondrial dysfunction, that leads to increase in the level of ROS and weakening of anti-oxidant mechanisms of the body. Fructose metabolism in hepatocytes occur by utilizing ATP, thereby increasing the levels of ADP and AMP. Increased AMP level causes activation of AMP deaminase enzyme and initiates the hypoxanthine pathway producing uric acid, that increases the oxidative stress in the adipose tissues by activation of NADPH oxidase. In the present study, L-Norvaline caused mild reduction in the level of lipid peroxidation in HDR with no effect on the level of SOD and GSH. However, studies in the past indicated that L-Norvaline by increasing the expression of SOD, GSH and CAT exhibits antioxidant activity (Liang et al., 2018).
The present study recapitulates the effect of L-Norvaline on the development of obesity, diabetes, hyperlipidemia and metabolic syndrome. Results of the study concludes that L-Norvaline, an arginase inhibitor shows promising improvement in the body weight, BMI, lipid profile, fasting blood sugar level, insulin, insulin resistance, leptin and adiponectin level. It also caused improvement in CRP and nitrate level as well as caused mild decrease in the oxidative stress. Results confirm that L-Norvaline can be developed as a potential treatment strategy for MetS and its associated conditions. However further preclinical and clinical studies are sought to explore the actual mechanism of action so that L-Norvaline can be used as a promising treatment for metabolic syndrome associated complications.