The beet cyst nematode Heterodera schachtii causes considerable economic losses in sugar beet (Beta vulgaris) production. Annual losses are estimated to reach about 95 million dollars in the EU alone (Müller, 1999). Current control strategies include wide rotations with non-host crops, the use of nematode resistant or tolerant sugar beet cultivars and cover cropping with resistant oilseed radish or white mustard cultivars (Müller, 1999; Curto, 2008). As previous studies indicated, H. schachtii is an inconsistent factor in the plant-parasite interaction, since geographic populations can vary quite substantial in their aggressiveness and virulence toward sugar beet varieties (Müller, 1992; Griffin, 1981), and may differ in other biological traits like host range, hatching dynamics, or natural decline rate in the field (Griffin, 1981, 1982, 1988). Underlying these differences is the genetic variation within and among local populations (Griffin, 1982; Müller, 1998). Thus, a better knowledge of the population genetics in H. schachtii is of importance in understanding population dynamics and spread, and would finally contribute to a better nematode management (Kaplan et al., 1999; Plantard and Porte, 2004). Previous studies on the genetic structure of H. schachtii populations applied microsatellite markers on individual nematodes (Plantard and Porte, 2004; Montarry et al., 2015; Gracianne et al., 2016; Kim et al., 2016). However, for practical reasons not enough individual specimen can be analyzed to get a sufficient representation of populations of plant-parasitic nematodes, which can reach several billion individuals per hectare in infested areas (Plantard and Porte, 2004). Thus, the development of an appropriate genetic marker will help to unravel the genetic structure of H. schachtii populations on the scale of fields and landscapes. Two elements have to be considered when choosing the molecular genetic markers, the DNA regions of interest and the molecular technique used to detect the corresponding genetic variation (Chenuil and Anne, 2006). A polymorphic DNA region is required to allow sufficient genetic discrimination at the intraspecific and interspecific levels without exhibiting null alleles caused by non-binding of PCR primers (Chenuil and Anne, 2006). The appropriateness of the molecular technique used to explore the variation in the DNA sequences is considered by the level of resolution of the genetic variability, the statistical analysis available for the technique and both the time and cost of materials (Patricia et al., 1998). Within this respect, mitochondrial DNA markers like MT-CO1 are of limited use as they represent a single locus that in most cases is maternally inherited, and only allow to distinguish species, not populations (Johnson et al., 2006). Microsatellites are often used as markers in population genetics of higher organisms, but their isolation appears to be difficult for many invertebrates, including plant-parasitic nematodes (Castagnone-Sereno et al., 2010). In addition, the development of such operational microsatellite markers requires considerable time and efforts and resulting microsatellites might end up having null alleles (Meglecz et al., 2004). Consequently, markers for studying populations of plant-parasitic nematodes need to be specific enough for genetic analyses of hundreds or thousands of individuals within a population but still be able to detect differences among populations from different origin. One option could be to pool the DNA of a noticeable number of individuals and analyze the variants of a polymorphic genetic region by DGGE fingerprinting. DGGE has been developed as a molecular technique to separate pooled DNA fragments of the same length but with different sequences (Muyzer and Smalla, 1998). For example, DGGE fingerprints utilizing the variation of the effector gene msp1 have been successfully applied to analyze the genetic heterogeneity of Meloidogyne incognita populations from different regions (Adam et al., 2014). The homologue of the msp1 gene in Meloidogyne is the venom allergen-like protein gene vap1 in cyst nematodes (McCarter et al., 2003). It belongs to the SCP/TAPS family coding for proteins, which are secreted by all mammals-parasitic and plant-parasitic nematodes (Jasmer et al., 2003; Cantacessi et al., 2009). SCP/TAPS proteins include several molecules that are major players in host-pathogen interactions (Cantacessi et al., 2009). Vap1 of cyst nematodes are produced in the nematode gland cells and are expressed in the early stages of the parasitism process (Gao et al., 2001; Lozano-Torres et al., 2014). The molecular target of Vap1 in the plant cell is an extracellular matrix, including the hubs in the plant basal immunity like the apoplastic papain-like cysteine and subtilisin-like serine proteases (Müller, 1980; Misas-Villamil et al., 2016). Since the components of the plant extracellular matrix are diversified in their structure and biological activity (Aumailley and Gayraud, 1998), it is likely that the gene coding for the effector protein vap1 exhibits genetic variation among the species and populations of cyst nematodes. It was hypothesized that variation in vap1 can be used to distinguish populations of H. schachtii. The objective of this study was to evaluate the potential of PCR-DGGE fingerprinting based on the vap1 effector gene to characterize the genetic variation within and among populations of H. schachtii.
In total, 66 populations of cyst nematodes representing six species were obtained from different locations in Germany, France, and Norway (Table 1). The molecular identification at the level of species was conducted by PCR amplification and sequencing of the cytochrome c oxidase subunit I (COI). Thirteen of those 66 populations (i.e., Vechelde, Bodenstedt, Titz-Kalrath, Hottorf, Artenay, Ingeleben, Söllingen, Peine, Sonnenhof, Vanikum, Acholshausen, Großgoltern, Köchingen) were collected from soil samples by centrifugal floatation with a MgSO4 solution of 1.28 g/cm³ (Müller, 1980). Nine out of those 13 populations were previously propagated for two generations on oilseed rape (Brassica napus ‘NK-fair’) under greenhouse conditions (20/16°C), starting from either single cysts or second stage juveniles (J2) according to the objective of this study as described below. The nematode materials of the further 53 populations were obtained from the German institutions of Julius Kühn Institut in Braunschweig, Münster and Elsdorf.
Sampling locations of 66 cyst nematodes populations
| Cyst nematode | Number | Population/location | Origin |
|---|---|---|---|
| Heterodera schachtii | 8 | Köchingen, Grossgoltern, Ingeleben, Peine, Söllingen, Sonnenhof, Vechelde, Bodenstedt | Lower Saxony/Germany |
| Heterodera schachtii | 12 | Asperden, Hottorf, Münster, Vanikum, Titz-Kalrath | North Rhine-Westphalia/Germany |
| Heterodera schachtii | 1 | Artenay | Centre-Val de Loire/France |
| Heterodera schachtii | 1 | Acholshausen | Bavaria/Germany |
| Heterodera betae | 1 | Asperden | North Rhine-Westphalia/Germany |
| Heterodera betae | 1 | Braunschweig | Lower Saxony/Germany |
| Heterodera avenae | 1 | Münster | North Rhine-Westphalia/Germany |
| Heterodera filipjevi | 1 | Münster | North Rhine-Westphalia/Germany |
| Globodera spp. | 29 | diverse | Lower Saxony/Germany |
| Globodera spp. | 11 | diverse | Norway |
To identify and amplify gene fragments specific for H. schachtii, the vap1 sequence of the six different cyst nematode species had to be determined. To achieve this aim, 12 populations of H. schachtii originating from Vechelde, Bodenstedt, Titz-Kalrath, Asperden and 8 ones from Münster, 1 population of H. filipjevi, 1 population of H. avenae, 2 populations of H. betae, 12 populations of Globodera pallida, and 28 populations of G. rostochiensis were processed. From each population a sample of 1 to 10 cysts was used for DNA extraction. Cysts of each sample were squashed with a micro pestle in a 1.5 ml tube containing 20 µl of water.
To study the genetic variation within and among H. schachtii populations, three approaches were followed. For the first approach, single J2 were used that hatched from single cysts collected from six sites within the same field. The six soil samples were randomly taken from an infested sugar beet field near Hottorf, Germany. For each sample, one core was taken containing 600 g of soil. Cysts were extracted by centrifugal flotation as described above. A single cyst from each of the six samples was transferred into a 1.5 ml tube containing 300 µl 2 mM ZnCl2 as hatching solution. Five freshly hatched juveniles were individually fished from each sample into 1.5 ml tubes containing 10 µl water and squashed with a micro pestle for subsequent DNA extraction (see below). The second approach used single cysts derived from a single cyst propagation. This was done independently for six populations. For each population, composite soil samples of about 2 kg each were obtained from sugar beet fields located near Ingeleben, Söllingen, Peine, Sonnenhof and Vanikum, all in Germany, and Artenay in France. Cysts were extracted by centrifugal flotation and a single cyst culture was established for each population on oilseed rape. Since the single cyst culture failed in case of the Peine population, 10 cysts were used instead for propagation. Sixteen weeks after inoculation, two life cycles representing two generations of H. schachtii were completed. Cysts from each population were collected by washing the growth substrate under running tap water through a 250-µm aperture sieve. The content of the sieve was then transferred to a filter paper. Five individual cysts were picked per population and separately transferred into 1.5 ml tubes containing 20 µl water. Finally, cysts were crushed with a micro pestle for subsequent DNA extraction.
The third approach was for testing the DNA patterns of pooled cysts of H. schachtii populations in DGGE fingerprinting of vap1, and to achieve this purpose, three populations were selected. Composite soil samples were collected from infested sugar beet fields at Acholshausen, Köchingen and Großgoltern in Germany. Cysts were extracted from the soil by the above-described centrifugal flotation method. J2 of all three populations were gained by hatching in 2 mM ZnCl2 using the modified Baermann funnel technique (Baermann, 1917). In total, 240 J2 were obtained for the population from Acholshausen, 470 J2 for Köchingen, and 740 J2 for Großgoltern. To best conserve the natural variability within a population, the total of hatched juveniles from each sample was used for further propagation on oilseed radish in loess substrate. After completing two generations, cysts were separated from the loess substrate by washing the substrate through a 250-µm aperture sieve. Cysts collected on the sieve were transferred to filter paper.
To study the gene patterns of pooled cysts for each of the three populations, eight replicates of 20 cysts each were collected. Cysts were then soaked in 4% sodium hypochlorite (NaOCl) for about 6 min to sterilize and clean the outer layer of the cysts. Following three washes with distilled water, cysts were transferred into 1.5 ml tubes containing 50 µl water and squeezed with the help of sharp forceps for subsequent DNA extraction. Additionally, the vap1 patterns of the single cysts for those three populations were analyzed in DGGE. The similar approach was followed for preparing the single cysts for DNA extraction, where five single cysts were picked separately after washing the loess substrate for each population and prepared as described above.
For DNA extraction, one volume of lysis buffer containing 0.2 M NaCl, 0.2 M Tris-HCl (pH 8.0), 1% (vol/vol) β-mercaptoethanol, and 0.8 mg/ml proteinase K (≥30 mAnson Units/mg) was added to one volume of the mechanically treated nematode suspension. The tubes were incubated in a thermal mixer (Eppendorf, Hamburg, Germany) at 750 rpm and 66°C for two hours. Proteinase K was inactivated in a water bath at 100°C for 5 min. After each incubation step, the tubes were centrifuged for 2 min at 13,000 rpm. Lysates were stored at −20°C until molecular analyses.
The GenBank accessions of H. glycines AF374388, H. schachtii CF101080, G. rostochiensis AJ536826, and G. pallida BM416493 were aligned in MEGA6 software to design degenerate primers of HGvap657f, HGvap1238r, and HSvap1238r, flanking the vap1 gene fragments to obtain a PCR-amplicon with an expected size of approx. 600 bp (Table 2). PCR amplification was performed in 25 µl volume containing 1 µl template DNA extracted from 1 to 10 cysts, 5x GoTaq buffer, 2.5 mM MgCl2, 0.2 mM of each deoxynucleoside triphosphates, 0.1 mg/ml BSA, 0.6 mM forward primer, 0.3 mM of each reverse primer, and 1 U GoTaq Flexi polymerase (Promega, Mannheim, Germany). A touchdown PCR was applied to increase the specificity of the primers: 95°C for 5 min, then 10 cycles of 45 sec 95°C, 45 sections 68°C - 1°C / cycle, 90 sec 72°C, then 30 cycles of 45 sec 95°C, 45 sec 57°C, 60 sec 72°C, final extension at 72°C for 5 min, and cooling to 4°C. To confirm the success of the PCR amplification, 5 µl of the PCR product was loaded on a 1.5% (w/v) agarose gel and electrophoresis was performed at 80 V for 90 min. The agarose gel was then stained with 0.5 µg/ml ethidium bromide and bands were visualized under ultraviolet light. The PCR-amplified vap1 fragments were inserted into the vector pGEM-T and cloned in Escherichia coli JM109 high efficiency cells following the protocol provided by the manufacturer of the TA-cloning kit (Promega, Mannheim, Germany). The plasmids each carrying a single gene fragment were extracted from the bacterial clones using the Gene JET Plasmid Miniprep kit (Thermo Fisher Scientific, Waltham, MA), and sent for sequencing using vector primers T7 or SP6. A multiple sequence alignment of the partial regions of the vap1 gene was created by MUSCLE and Neighbor-Joining tree with 1,000 bootstraps using the software of MEGA6 and CLC Main Workbench version 7.8.1.
Primers to amplify an approx. 600 bp fragment of the vap1 genes from genomic DNA of Heterodera spp. and Globodera spp. for sequencing, and comparison to the corresponding priming sites in vap1 genes of cyst nematode species.
| Primer or GenBank accession | Primer or vap1 gene DNA sequence 5′-3′a |
|---|---|
| Forward primer HGvap657f |
CCA TGC TCT GTT TTG GCW CTT TCT G
|
| H. glycines AF374388 |
… … … … … ..T … … .
|
| H. schachtii CF101080 |
..G … … … … ..A … … .
|
| G. rostochiensis AJ536826 |
… .T…C … … ..A … … .
|
| G. pallida BM416493 |
… ..G ..C … … ..A … … .
|
| Reverse primer HGvap1238r |
AGT GGA GGC CCA TGC TTG CTG
|
| Reverse primer HSvap1238r |
… .TT … … B……..
|
| H. glycines AF374388 |
… … … … … … …
|
| H. schachtii CF101080 |
… .TT … … C……..
|
| G. rostochiensis AJ536826 |
C…TT … … G……..
|
| G. pallida BM416493 |
C…TT … … AC…….
|
aW = A or T, B = C or G or T; “.” means identical to sequence in first line.
Based on the sequence alignments of the cloned vap1 genes and the GenBank accessions, conserved exon regions flanking variable intron regions were identified to design non-degenerate primers. Resolving genetic variation in DGGE is enhanced for amplicons being less than 500 bp in size and stabilized on one side by a GC-clamp (Myers et al., 1985; Muyzer and Smalla, 1998). To do so, the primer pair HSvap244f/HSvap548r was designed to amplify vap1 fragments of approx. 365 bp from plasmid and genomic DNA obtained from the above mentioned 12 populations of H. schachtii (Table 3). The designed primer pair was also tested to amplify vap1 gene fragments from genomic DNA of single cysts of H. avenae. For a 25 µl PCR reaction, the master mix was prepared by adding 1 µl of target DNA (5-50 ng) or 1 µl of plasmid DNA with cloned vap1 (20 ng), 5 µl 5x GoTaq buffer, 2.5 mM of MgCl2, 0.2 mM deoxynucleoside triphosphates, 4% acetamide (vol/vol), 0.2 mM each of forward and reverse primer and 1 U GoTaq Flexi polymerase (Promega). Cycling conditions for the PCR reaction were as follows: 94°C for 5 min followed by 35 cycles at 95°C for 30 sec, 54°C for 30 sec and 72°C for 5 min, final extension at 72°C for 5 min, and cooling to 4°C. DGGE analysis was conducted by loading 3-15 µl aliquots of PCR-amplified fragments on a polyacrylamide gel containing denaturing gradients of 23 to 58%, where 100% denaturants corresponded to 7M urea plus 40% formamide. The INGENY PhorU2 system (Ingeny, Goes, The Netherlands) was used to run the DGGE gel in 1x Tris-acetate-EDTA buffer at 58°C for 16 hr. DGGE profiles were visualized by acid silver staining (Heuer et al., 2001). The multiple sequences obtained from 40 populations of Globodera spp. allowed to design non-degenerate primers specific to amplify vap1 fragments for the purpose of studying the genetic structure of Globodera spp. populations (data not shown).
Primers to amplify a vap1 gene fragment of Heterodera spp. for electrophoretic separation of the PCR products by DGGE, and comparison with the corresponding priming sites in vap1 genes of cyst nematode species.
| PCR primer or gene | Sequence 5′-3′ |
|---|---|
| Forward primer HSvap244f |
AGT TCG TCG ACA ATT TCG GAA GG
|
| Heterodera schachtii vap1 |
… ..R … … … … … ..
|
| Heterodera betae vap1 |
… … … … … … … ..
|
| Heterodera filipjevi vap1 |
… ..A ..T ..C … … … ..
|
| Globodera spp. vap1 |
..C ..A … ..G ..C W.C … ..
|
| Reverse primer HSvap548rGC a |
clamp- GCC TGG CTC CAA TGT CCG ATG
|
| Heterodera schachtii vap1 |
… … … … … … …
|
| Heterodera betae vap1 |
… … … … ..A … …
|
| Heterodera filipjevi vap1 |
… … … … … … …
|
| Globodera spp. vap1 |
A….A … … ..C ..A …
|
aDNA sequence of the 5′GC clamp CGCCCGGGGCGCGCCCCGGGCGGGGCGGGGGCACGGGGGG; W = A or T, R = A or G
The GelCompar II 6.6 software (Applied Math, Gent, Belgium) was utilized to create a similarity matrix based on the Pearson correlation coefficient, and to determine the Shannon diversity index from DGGE banding patterns of H. schachtii populations. Comparisons of the similarity measures and diversity indices were carried out with PERMTEST (Kropf et al., 2004) and R statistical software packages, respectively.
A sequence alignment of published vap1 cDNA clones and expressed sequence tags (ESTs) (GenBank accessions no. AF374388, CF101080, AJ536826, and BM416493) revealed conserved regions suitable to design degenerate primers (Table 2), which were efficient to amplify vap1 fragments of about 600 bp from the genomic DNA of all cyst nematode species included in this study except H. avenae (data not shown). Gene fragments amplified from DNA of the above mentioned 12 populations of H. schachtii and from populations of the further cyst nematodes studied here were cloned and sequenced. A collection of 76 vap1 sequences was obtained from the cyst nematodes, including one sequence of H. filipjevi, five sequences of H. betae, five sequences of G. pallida, 20 sequences of H. schachtii, and 45 sequences of G. rostochiensis. The phylogenetic analysis of sequence data revealed that the sequence homology of vap1 within the genus is higher than among the genera of cyst nematodes studied here. Furthermore, substantial sequence variation of vap1 was shown among species of the same genus (Fig. 1). Sequence variation among the Globodera species and populations that originated from Norway and Germany was much lower than among Heterodera species and among H. schachtii populations originating from Germany only (Fig. 1). Sequence logos of translated protein for the cloned variants of Globodera spp. is less variable than for H. schachtii. (Fig. 4). The high variability of vap1 genes among the 20 sequences of H. schachtii as shown in the underlined region of the multiple sequence alignment (SD.1) provided an indication of the efficiency of this region as a marker to study the genetic variation within and among populations of H. schachtii.

Dendrogram generated from the alignment of amplified and sequenced vap1 gene fragments (ca. 600 bp) of various cyst nematode species and populations (MUSCLE alignment and Neighbor-Joining tree with 1,000 bootstraps done with MEGA6). The triangles represent the vap1 sequences gained from the populations of each species. Note that there exist two triangles for H. schachtii within which the sequences represent higher variability of vap1 genes than for Globodera spp.
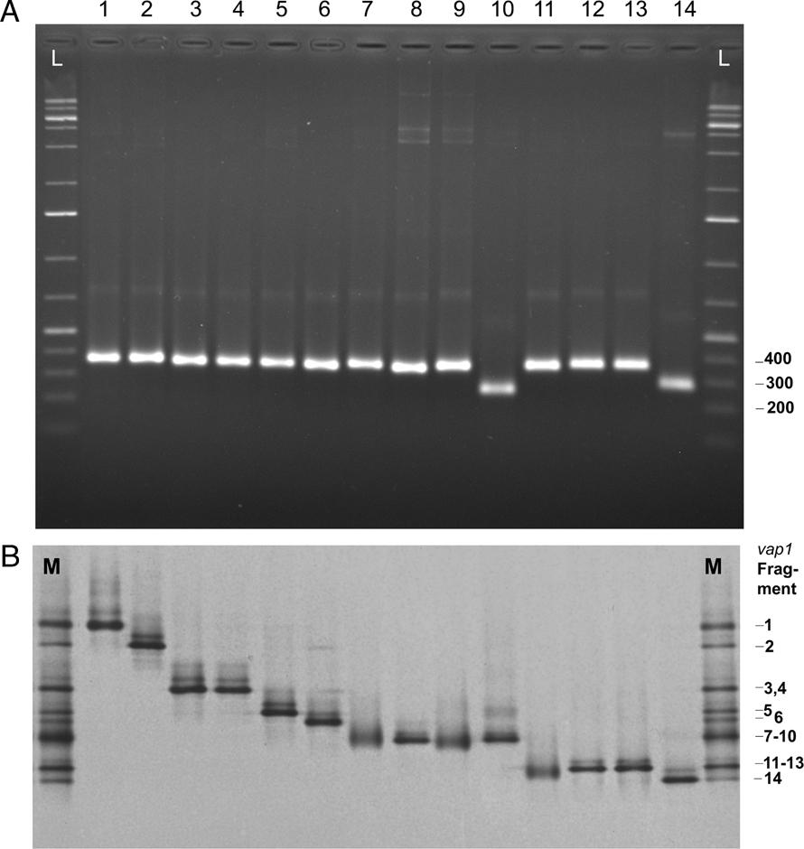
The design of the PCR-DGGE primer pair HSvap244f/HSvap548r (Table 3) and the corresponding PCR conditions were optimal to amplify the vap1 segments from the plasmid and genomic DNA of H. schachtii. To establish the vap1 marker of H. schachtii, the gene fragments were amplified from the plasmid DNA of the 20 sequenced variants gained from the 12 populations. Six clones having similar electrophoretic mobility as other variants (variants 5 and 6, variants 11 and 13) were excluded for better separation of the variants of the marker in DGGE. PCR products were slightly varying in size around 360 to 380 bp for 12 cloned variants, and around 270 to 290 bp for two variants (Fig. 2A). From genomic DNA of H. avenae a product of ca. 400 bp was amplified (Fig. 3A). In the DGGE gradient of 23-58%, 8 of 14 vap1 variants obtained from H. schachtii populations could be clearly resolved (Fig. 2B). Variants with high similarity in DNA sequence showed similar electrical mobility. Amplicons with identical electrophoretic mobility differed only by single-nucleotidepolymorphisms (variants 3 and 4), or by two substitutions and a deletion (12 and 13). The PCR products of the 14 vap1 variants were pooled to generate a vap1 marker for H. schachtii, which was used as an external reference in DGGE profiles of H. schachtii populations to represent the most frequent gene variants of H. schachtii. DGGE fingerprinting of vap1 allowed distinguishing between H. schachtii and H. avenae (Fig. 3B). In contrast to the variants of the vap1 marker of H. schachtii, the gene fragments of H. avenae melted earlier in the denaturing gradient. Sequence alignments of the 14 variants revealed that the amplified vap1 segment included intron and exon regions (Fig. 4A). In the sequence logo, the frequency of insertions/deletions and single-nucleotide polymorphisms was higher in the introns than in the exons. The highly variable intronic sequences of the variants were distant from the GC-clamped primer to support separation in DGGE. Interestingly, the translated amino acids of the exons revealed sequence differences among the 14 gene variants of vap1 (Fig. 4B).

GC-clamped PCR products amplified from cloned fragments of vap1 genes obtained from populations of Heterodera schachtii originating from Vechelde, Bodenstedt, Titz-Kalrath, Asperden, and Münster. (A) Size separation in 1.5% agarose gel electrophoresis; L: 1 kb ladder. (B) Separation in DGGE; M: marker composed of all 14 fragments.

GC-clamped PCR products amplified from the genomic DNA of three single cysts of Heterodera avenae. (A) 1.5% agarose gel electrophoresis; L: 1 kb ladder. (B) DGGE profiles of vap1 gene fragments of Heterodera avenae from three single cysts compared to the distinct gene fragments of Heterodera schachtii in the marker (L).

Sequence logos of nucleotide sequences (A) and translated protein (B) of 14 vap1 gene variants of Heterodera schachtii in the region used for PCR-DGGE. The exon region included in the gene fragment is underlined. Sequence logos were generated by CLC Main Workbench version (7.8.1).
Up to six variants of the gene were amplified by PCR from the genomic DNA of each single J2 of H. schachtii, which appeared as separate bands in the DGGE profiles (Fig. 5). DGGE fingerprints of individual J2 from the same cyst varied markedly. Despite this internal variation, the vap1 patterns differed significantly among these cysts derived from the same field population, giving evidence for genetic variation and gene flow within the Hottorf population of H. schachtii.

Fingerprints of single second stage juveniles from six cysts of Heterodera schachtii from the field population at Hottorf, North Rhine-Westphalia, Germany. The fingerprints were derived by PCR amplification of vap1 variants and electrophoretic separation by DGGE. The profiles were significantly different among cysts except for cyst2-cyst4, cyst2-cyst5, cyst3-cyst4, cyst4-cyst6 (permutation test on Pearson correlations, p < 0.04, d = 18). M: marker of cloned vap1 variants.
We first analyzed the variation of vap1 genes among six populations of H. schachtii using DNA of single cysts (Fig. 6). The cysts emerged from a single cyst propagation posing a strong genetic bottleneck. Nevertheless, the gene pattern varied among the five single cysts of each population, providing an indicator for the genetic variation within each population at the level of single cysts. The number and density of the electrophoresis bands representing the gene variants varied among most populations. While for the Sonnenhof population two gene patterns were observed, the other studied H. schachtii populations had 3 to 5 patterns with Artenay being especially heterogeneous (Fig. 6). The profiles were significantly different among populations of Artenay-Ingeleben, Artenay-Söllingen Ingeleben-Söllingen, Ingeleben-Söllingen, Ingeleben-Vanikum, Söllingen-Sonnenhof, Söllingen-Vanikum, Peine-Vanikum, Sonnenhof-Vanikum (permutation test on Pearson correlations, P = 0.04, d = 18).

Fingerprints of single cysts from six field populations of Heterodera schachtii analyzed by PCR amplification of vap1 variants and electrophoretic separation in DGGE. M: marker of cloned vap1 variants.
Considering the observed genetic diversity of field populations, we used DNA of 20 pooled cysts for each replicate sample from three populations. The simple DNA extraction using lysis buffer could be scaled up without problems due to prior cleaning of cyst surfaces by 4% NaOCl. The pattern was highly similar among all eight replicates for each population (Fig. 7). The permutation test on pairwise similarities among populations showed significant differences among vap1 patterns of the three investigated field populations of H. schachtii (permutation test on Pearson correlations, P < 0.001, d = 33). The high value of d indicated a high difference of between-population variance and within-population variance of the vap1 patterns. Furthermore, the gene patterns of single cysts for the three populations were analyzed in DGGE and the profiles were significantly different among the populations (permutation test on Pearson correlations, P < 0.001, d = 26). Even though both profiles of single cysts and pooled cysts were significantly different among the populations, the gene pattern of pooled cysts appeared to be more similar than of the single cysts for the three populations (Fig. 7).

Fingerprints from three populations of Heterodera schachtii derived by PCR amplification of vap1 variants from DNA of 20 pooled cysts per replicate sample, and electrophoretic separation by DGGE. The profiles were significantly different among all populations (permutation test on Pearson correlations, P < 0.001, d = 33). M: marker of cloned vap1 variants.
Another way to compare the populations by vap1 DGGE fingerprinting is the possibility to quantify the diversity of gene variants within each of the populations. Within this respect, the calculated vap1 diversity based on Shannon index varied significantly among the studied populations, with the population from Großgoltern being more diverse than the populations from fields in Köchingen and Acholshausen (Fig. 8).

Box-Whisker Plots of the Shannon indices calculated for gene diversity of vap1 based on DGGE profiles of three field populations of Heterodera schachtii. Different letters indicate significant differences in diversity among populations (Tukey’s test, P < 0.05, n = 8).
The genetic variability of vap1 allowed differentiation within and among populations of H. schachtii by using the PCR-DGGE fingerprinting technique. The degenerate primers amplified the vap1 genes of different cyst nematode species with about 600 bp in size. The phylogenetic analysis of the obtained vap1 sequences revealed that the amplified gene region was variable enough to differentiate the species of cyst nematodes. Interestingly, the exon region in the sequenced gene fragments was about 415 bp and the variability of the corresponding translated protein was higher in populations of H. schachtii than in populations of G. rostochiensis. An explanation could be that the host spectrum of G. rostochiensis is much smaller than for H. schachtii (Castillo, 2012). Thus, the parasitism genes modulating the interaction of nematodes with their host could be less variable in G. rostochiensis than in H. schachtii. Furthermore, the evolutionary forces like mutation and selection could have been more pronounced in H. schachtii producing several generations per year than in G. rostochiensis with only one generation per year.
Based on the sequence alignments of the GenBank accessions and the sequenced vap1 genes, non-degenerated primers were designed in the conserved exon regions flanking the variable intronic sequences. The genetic regions amplified by those primers can be used as a marker across a wide taxonomic range to study population variation without exhibiting null alleles (Lessa, 1992; Li et al., 2010). Since the mutations distant from the GC-clamped primer are better detectable in DGGE than those located close to the clamp (Hepburn and Miller, 2008), we added the GC-clamp to the reverse primer for optimal separation of the PCR products in DGGE. The amplified vap1 fragments of single cysts for H. avenae and H. schachtii highly differed in electrophoretic mobility in DGGE, thus allowing for differentiation of these species. Since both cyst nematode species can occur concomitantly in fields where cereals and sugar beets are rotated, vap1 could be used to distinguish those two species.
DGGE analyses of the variability in the vap1 gene allowed distinction within and among nematode populations as shown for H. schachtii. The variation of vap1 within populations of H. schachtii was described at the level of single juveniles. Up to six alleles were amplified from the DNA of each single juvenile and appeared as separate bands in DGGE. This putatively is a result of gene duplications which generate redundant copies of a genetic region on which divergent mutations can act. Gene duplications are referred to as one of the key factors producing genetic novelty within and among the populations (Taylor et al., 2001; Conrad and Antonarakis, 2007). A further factor involved in the genetic variation among juveniles within one population as well as among juveniles of a single cyst is the sexual reproduction of H. schachtii, where the single female of H. schachtii can be fertilized by more than one male (Plantard and Porte, 2004). This might explain the observed differences in DGGE gene patterns among single cysts generated from a single cyst culture as shown for different populations.
To represent the gene pool of a given population and to efficiently compare different populations, it is important to work with several variants of the vap1 gene. However, the gene fragments that have been analyzed at the level of single juveniles or single cysts did not represent the whole vap1 fragments of the population because the vap1 patterns in DGGE were variable. Thus, a large number of individuals from each population had to be investigated. The potential of DGGE to screen a large number of samples (Myers et al., 1985; Ferris et al., 1996) requires investigating the vap1 fingerprints of replicated pooled cysts within each population. Our results of pooled DNA samples from single juveniles or single cysts showed a high similarity in DGGE fingerprints and therefore are representative for the gene pool of each population. Since accuracy of population genetics increases with sample size (Fumagalli, 2013), we consider 8 replicates, each including approx. 4,000 J2, sufficient to provide solid information for comparison of populations.
To ease DNA extraction from cysts, cysts were first incubated in 4% NaOCl to partially dissolve the cyst cuticle. This additional step turned out to be highly efficient in providing a clean suspension of eggs and juveniles and thus saving the costs for DNA purification kits.
The gene diversity index is an important indicator to be determined because the genetic diversity plays an essential role in the adaptation of the population and is considered as the raw material of the evolutionary potential of that population (Hughes et al., 2008). The statistical analyses of the calculated Shannon indices for the diversity of vap1 variants showed significant differences in the gene diversity among the propagated populations. In general, a reduction in the genetic diversity within the population might have occurred through the propagation because the inoculation of a few cysts or juveniles poses a bottleneck (Li and Roossinck, 2004). By decreasing the number of juveniles used to propagate the populations, the bottleneck effect increased. This could explain why the populations established from the lowest and highest number of juveniles had the lowest and highest gene diversity index, respectively. However, the gene diversity could have varied among the populations established from the same numbers of juveniles. Since the vap1 patterns of single juveniles were different not only within the population but also among individuals of the same cyst, it is reasonable to expect that the differences in the gene diversity could also appear between juveniles of the same numbers but from different field populations. Especially due to the selective strength and gene flow, the field populations may vary in their genetic diversity over time and space (Carbone and Kohn, 2004).
The variability of the vap1 gene locus used in this study to characterize H. schachtii populations is generated from the high and slight variation in DNA sequence of intron and exon regions, respectively. As shown, the expected amino acids expressed from the exon regions were variable through the sequenced variants, which could cause a functional change achieved by different gene variants. Since the virulence function of the vap1 gene, which modulates the plant defense, is not known for all plant-parasitic nematodes (Lozano-Torres et al., 2014; Ravichandra, 2014), it would be worthwhile to study the relationship between genetic variation of the vap1 gene and plant pathogenicity for different geographic populations of H. schachtii in the future.
In conclusion, DGGE fingerprinting based on gene variation of the vap1 gene turned out to be a rapid, reliable and in comparison to sequencing approaches inexpensive tool to investigate genetic variation between cyst nematode species as well as genetic variation within and among populations of the beet cyst nematode H. schachtii. DGGE fingerprinting is especially suitable for analyzing large numbers of samples.