Soft tissue hematomas result from rupture of blood vessels with subsequent bleeding, often within muscles or along fascial planes. Their etiology is diverse and includes traumatic, iatrogenic, and spontaneous causes. Traumatic hematomas are the most common type, accounting for approximately 60–70% of cases, followed by iatrogenic (20–25%) and spontaneous forms (5–15%), depending on the studied population(1,2). Patient-related factors strongly influence both occurrence and severity. Spontaneous hematomas occur more frequently in elderly or anticoagulated individuals, and in patients with coagulopathies, liver disease, or hematologic disorders. Iatrogenic hematomas are typically linked to interventional or surgical procedures, particularly in patients receiving anticoagulant or antiplatelet therapy. Traumatic hematomas, in contrast, are most often observed in young or physically active individuals, especially in contact sports or during sudden eccentric muscular contractions(3).
Ultrasound (US) is the imaging modality of choice for the initial assessment of soft tissue masses, owing to its real-time capability, absence of ionizing radiation, and high resolution(4). However, diagnosis may be challenging, as the sonographic appearance of hematomas evolves over time and may overlap with that of other soft tissue pathologies(5).
Therefore, the sonographic appearance of hematomas is influenced by several factors, including time since onset (acute, subacute, or chronic), anatomical location, degree of coagulation, and the presence of superinfection or organization. In the acute phase, hematomas are typically anechoic or hypoechoic, whereas in the subacute and chronic phases, they become more heterogeneous, with internal echoes and peripheral hyperechogenicity due to clot formation or fibrotic changes(6,7).
Although US is well-suited for first-line evaluation, misinterpretation may occur, particularly when hematomas mimic other pathologies. US provides valuable information for diagnosis and follow-up, but atypical presentations require careful clinical correlation. In doubtful or evolving cases, further imaging with computed tomography (CT) or magnetic resonance imaging (MRI), or tissue sampling may be warranted. CT is particularly valuable in acute trauma or when active bleeding and deep or multi-compartment involvement are suspected, owing to rapid whole-body coverage and detection of contrast extravasation. For superficial soft tissue hematomas, however, high-resolution US usually offers superior spatial resolution and dynamic assessment and should remain the first-line modality(8).
The aim of this article is to review soft tissue hematomas classified for etiology, with a focus on sonographic features and key elements for differential diagnosis, supported by real-life clinical examples. The review is aimed at radiologists, sonographers, and clinicians who use US for musculoskeletal and soft tissue evaluation.
The sonographic evaluation of soft tissue hematomas requires a systematic approach, given their heterogeneous presentation and overlap with other soft tissue pathologies. While US remains the first-line imaging modality due to its accessibility, real-time capabilities, and absence of ionizing radiation, accurate diagnosis depends on the integration of imaging findings with clinical context and lesion evolution over time(9).
A structured diagnostic workflow is essential to guide clinicians through this often complex landscape. The initial step involves thorough clinical assessment, including recent trauma, surgical or interventional procedures, anticoagulant therapy, and systemic symptoms such as fever or unexplained weight loss. Inflammatory signs may point toward an abscess or infected collection, whereas in oncologic patients, systemic deterioration or weight loss should raise suspicion for a soft tissue neoplasm that may clinically or sonographically mimic a hematoma. This clinical information is critical for narrowing the differential diagnosis and anticipating possible complications, including rebleeding or superinfection.
Following clinical assessment, a standardized sonographic protocol should be implemented. High-frequency linear transducers are preferred for evaluation of superficial structures, whereas deeper lesions should be assessed using lower-frequency curvilinear probes. For large or elongated superficial hematomas, extended-field-of-view techniques can improve visualization. Panoramic imaging is useful for static documentation of the entire lesion, while the virtual convex mode provides a wider real-time field of view during dynamic scanning. Although both techniques assist in defining lesion extent, detailed assessment of lesion margins and vascularity should be performed using standard linear mode. Evaluation in orthogonal planes, combined with color Doppler (CD), enhances lesion characterization(10). Key sonographic parameters include lesion location (subcutaneous, intramuscular, intermuscular as well as myofascial, subfascial or periosteal when adjacent to fractures), shape, margins, internal echotexture, compressibility, and the presence or absence of vascular flow. Particular attention should be paid to the temporal stage of the hematoma: acute hematomas are typically anechoic to hypoechoic, whereas subacute and chronic hematomas exhibit increased internal complexity, including heterogeneous echotexture, septations, and, in some cases, peripheral calcifications. A summary of typical temporal changes in echogenicity and vascularity is provided in Table 1.
Sonographic evolution of soft tissue hematomas over time
| Stage | Approximate timeframe | B-mode US appearance | Color Doppler findings |
|---|---|---|---|
| Acute | 0–48 hours | Anechoic or mildly hypoechoic; may show fine internal echoes from fresh clot; usually compressible; poorly defined margins in early phase | Absent internal flow; possible mild peripheral hyperemia due to surrounding inflammation |
| Early subacute | 3–7 days | Heterogeneous echotexture with internal echogenic sediment, fine septations, and possible fluid–fluid levels | No internal vascularity; peripheral hyperemia may persist |
| Late subacute | 1–3 weeks | Increasingly complex internal echoes; formation of thin capsule; partial organization of clot | Generally avascular internally; mild peripheral flow possible |
| Chronic/organized | >3–6 weeks | Well-defined margins; hypoechoic or mixed echogenicity with capsule; possible peripheral calcifications or echogenic septa | Absent internal flow; thin peripheral vascular rim may be reactive |
It should be noted that apparent echogenicity depends on B-mode settings and transducer presets, including gain, dynamic range, and spatial compounding. These parameters should be standardized as much as possible when comparing or documenting hematomas.
Spontaneous soft tissue hematomas typically occur in patients with coagulation disorders or those receiving anticoagulant therapy. They may arise without any identifiable trauma and can pose a diagnostic challenge when presenting in unusual locations or without classic clinical signs. Spontaneous soft tissue hematomas are most commonly found in the rectus sheath of the anterior abdominal wall and in the iliopsoas muscles. Although they represent a common and benign pathology, they may suddenly deteriorate and become life-threatening for patients(1).
Amale patient with a known history of beta-thalassemia major, dependent on regular transfusions, presented to the clinic with painful swelling localized to the left side of the abdomen. The patient reported that the swelling had developed gradually over the preceding four days, without any preceding history of trauma or vigorous physical activity. The pain was described as dull and constant, exacerbated by movement, but not associated with systemic symptoms such as fever or malaise.
On clinical examination, a palpable, tender swelling was noted in the lower left abdominal region. There were no signs of skin discoloration, erythema, or warmth suggestive of superficial infection or abscess formation. Vital signs were stable, and abdominal examination revealed no signs of peritonism.
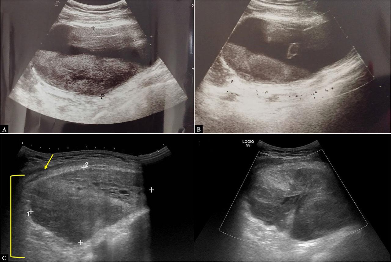
Given the patient’s underlying hematological condition and the localized nature of the symptoms, an urgent US examination of the abdominal wall was performed. The US demonstrated focal thickening and heterogeneity of the left rectus abdominis muscle with multiple small anechoic foci, consistent with an intramuscular hematoma (Fig. 1).

Ultrasound of the left rectus abdominis muscle demonstrating intramuscular thickening (6.8 × 1.6 cm) with heterogeneous hypoechoic areas (A) and no internal flow on CD (B), consistent with an intramuscular hematoma. Comparative imaging (C) confirms asymmetry relative to the contralateral side
Educational tip: Use bilateral comparative scanning to identify asymmetry in muscle thickness and echotexture. The absence of internal color Doppler (CD) signal is a key feature that supports the diagnosis of hematoma rather than neoplasia or abscess.
Clinical correlation: In thalassemia, factors such as iron overload, liver dysfunction, and platelet abnormalities increase bleeding risk. This explains the occurrence of spontaneous hematoma in the absence of trauma or anticoagulant therapy(11,12).
Iatrogenic hematomas develop as a result of medical or surgical interventions, including catheter placements, injections, or operative procedures. They are are often encountered at procedural sites and may coexist with other postoperative fluid collections, such as seromas. Imaging characteristics and timing relative to the intervention are key factors in distinguishing them. Postoperative collections, including seromas and hematomas, therefore represent a frequent diagnostic challenge, with imaging features depending on procedure type and timing.
A 77-year-old male patient with a recent history of central venous catheter (CVC) placement for intravenous therapy presented with a painful, firm swelling over the right upper anterior chest wall. The swelling developed approximately 24 hours after the removal of the catheter, which had been inserted via the subclavian vein. The patient denied any trauma or strenuous upper-body activity. He reported progressive discomfort and difficulty with shoulder movement on the affected side. On clinical examination, a firm, palpable mass was noted in the right pectoral region, located superficially beneath intact, non-discolored skin. There were no signs of erythema or warmth, and no systemic inflammatory reaction. The patient was afebrile, and all vital signs were within normal ranges.
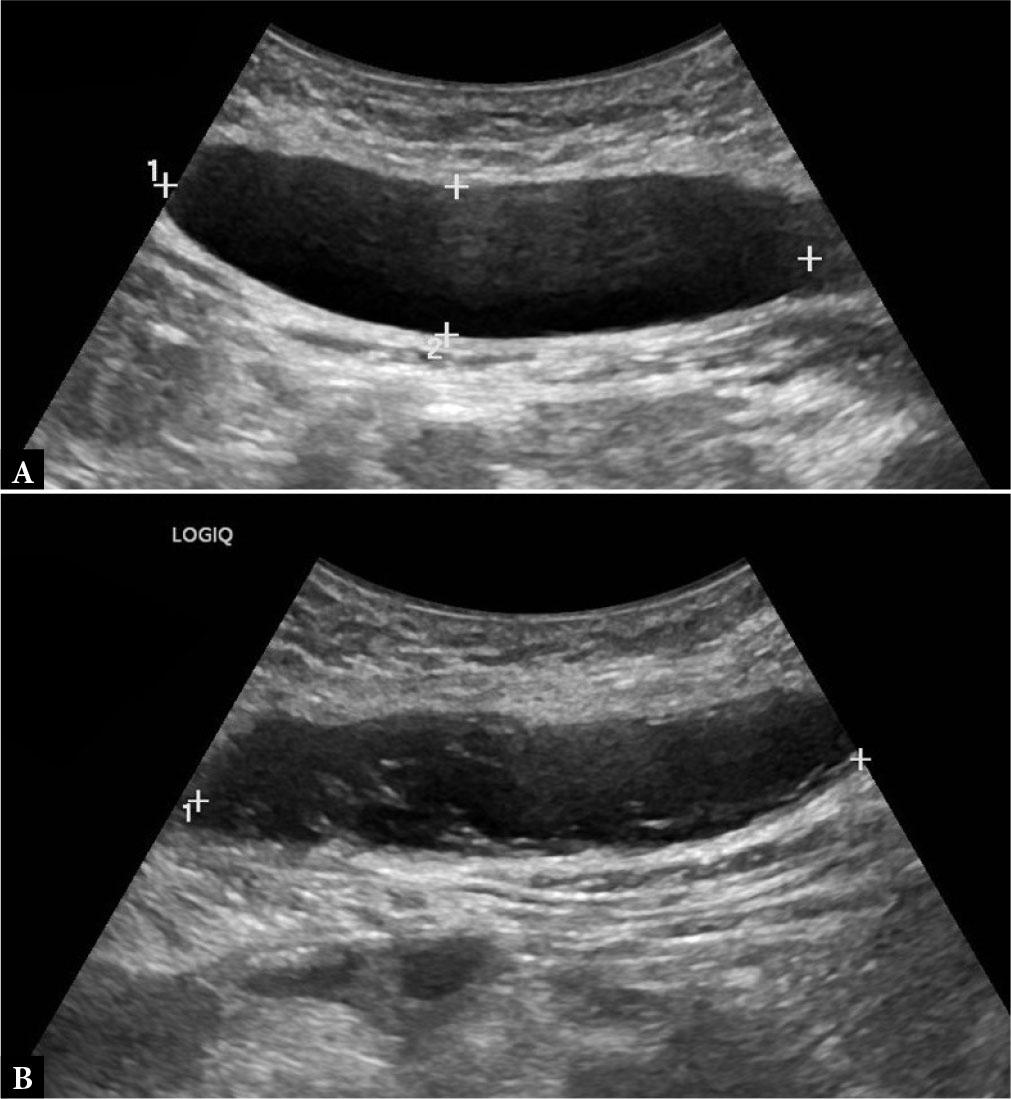
An initial bedside US of the chest wall was performed to investigate the etiology of the swelling. The findings were highly suggestive of a subacute hematoma, based on the clinical timeline (approximately one week after onset) and characteristic sonographic features, including internal echogenic sediment, fine septations, and a fluid–fluid level, with no detectable internal vascularity on CD. However, since an evolving infectious component could not be excluded, clinical and laboratory monitoring was advised, along with follow-up imaging. A repeat US examination performed a few days later demonstrated evolution of the known lesion: the collection was now more disorganized in appearance, consistent with clot lysis and organization, and had increased in size. These findings were compatible with a hematoma in evolution (Fig. 2). In this case, the increased size of the lesion and the patient’s altered hemoglobin level were the determining factors for proceeding with contrast-enhanced CT to exclude active contrast medium spread.

Ultrasound of the right pectoral region showing a large heterogeneous subfascial (yellow arrow) intramuscular (yellow bracket) collection (12 × 6 × 12 cm) without internal vascularity on CD, consistent with a subacute iatrogenic hematoma (A, B, C). Follow-up US performed one week later (D) demonstrates increased disorganization, internal echogenic strands, and persistent absence of vascular signal, confirming hematoma evolution
Educational tip: Use a convex probe for deep or bulky lesions. In subacute or organized hematomas, echogenic sediment and internal lysis may be observed. Always compare lesions over time for evolution. The lesion’s location beneath the fascial plane helps differentiate it from superficial collections such as seromas.
Clinical correlation: The temporal link with catheter removal and progressive swelling makes an iatrogenic hematoma the most plausible diagnosis. Anticoagulation status (not specified but crucial) would further increase the bleeding risk.
Traumatic hematomas are commonly seen in individuals following blunt force injury or muscle strain. US examination begins with a thorough clinical history and physical examination on the patient. Identifying precipitating events, symptoms, location of tenderness, and visible deformity facilitates US evaluation. The muscle should be examined from origin to insertion, with systematic evaluation of the enthesis, musculotendinous junction, intramuscular septa, and epimysium. Low-grade muscle injuries typically heal during a period of several weeks and may leave no perceptible US abnormality(2). Return to activity is generally not advocated until healing is complete(7). In addition to muscle assessment, it is essential to evaluate the subcutaneous tissues, as trauma may also result in hematomas within superficial fat layers. These hematomas may appear as heterogeneous or anechoic collections depending on the stage of evolution, and may be associated with edema or disruption of normal fat architecture(13). US can help distinguish between simple fluid collections and more complex or infected lesions, and can identify fascial plane involvement, which is critical for appropriate management(14).
An 18-year-old male patient presented to the emergency department following a high-energy road traffic accident. He complained of significant pain, swelling, and marked functional impairment in the right thigh. On clinical examination, localized tenderness and a firm swelling were evident in the anteromedial aspect of the right thigh, accompanied by a visible skin laceration. Both passive and active movement of the limb was significantly limited due to pain.
Given the mechanism of injury and clinical findings, a US examination was performed, revealing an intramuscular hematoma within the right rectus femoris muscle. Serial US evaluations were performed within a month of each other to monitor the evolution of the post-traumatic hematoma. Over time, progressive reduction in size was observed, along with changes in echotexture consistent with hematoma resorption. No significant vascular signal was detected on CD examination. However, the patient reported a difference in muscle strength in the right leg. Comparative imaging revealed hypotrophy and increased echotextural inhomogeneity of the right rectus femoris compared with the contralateral side, consistent with evolving post-traumatic muscle remodeling and potential disuse atrophy (Fig. 3).

Ultrasound of the right rectus femoris muscle showing a heterogeneous hypoechoic lesion (1.2 × 1.6 × 2.7 cm) without internal flow on CD (A). Follow-up examinations at one (B) and four weeks (C) demonstrate progressive reduction in size (from 1.2 × 1.3 × 1 cm to 1.3 × 0.5 cm) and increasing echogenicity, consistent with resorptive hematoma evolution. Mild subcutaneous tissue edema persisted throughout the follow-up period. Comparative imaging (D) highlights muscle asymmetry and echotextural inhomogeneity, suggestive of evolving structural remodeling
Educational tip: When assessing muscle trauma, always scan from origin to insertion in both longitudinal and transverse planes. Monitor the echogenic evolution of hematomas over time, typically progressing from hypoechoic (acute phase) to echogenic (chronic/ resorptive phase). Pay close attention to secondary signs such as muscle hypotrophy or asymmetry, especially during later follow-ups, as these may reflect disuse or incomplete functional recovery.
Clinical correlation: Post-traumatic hematomas follow a predictable course unless complicated. Progressive healing (size reduction, increasing echogenicity) supports a conservative approach. However, persistent asymmetry, altered echotexture, or strength deficits may indicate delayed functional recovery or evolving fibrosis. Such findings justify a personalized rehabilitation strategy and continued imaging surveillance in selected cases.
A polytrauma patient underwent a CT scan at admission. Fifteen days later, a follow-up soft tissue US examination was performed due to pain, swelling, and redness of the skin in the right gluteal region. The US examination highlighted, within the subcutaneous soft tissues of the right gluteal area, in the suprafascial plane, the presence of a collection with fluid content, partially corpuscular, without signal on the CD study. These findings were consistent with a hematoma in the subacute phase (Fig. 4).

Ultrasound of the right gluteal region demonstrating a large subcutaneous anechoic collection (13.6 × 4.9 × 5.9 cm) with internal particulate content (A, B) and no flow on CD (C), consistent with a subacute hematoma
Educational tip: Use the panoramic (extended) view to document the full extent of superficial, large-area lesions, especially in anatomically irregular regions such as the gluteal area. During dynamic scanning, the virtual-convex mode on linear probes can widen the lateral field of view in real time; however, detailed margin and vascular assessment should be rechecked in standard linear mode. CD helps exclude evolving infection, whereas a corpuscular echostructure without internal flow supports the diagnosis of a subacute hematoma.
Clinical correlation: Delayed presentation in polytrauma patients is common, particularly in non-life-threatening regions. This was likely missed initially but became symptomatic over time.
Despite careful sonographic assessment, certain hematomas may exhibit atypical features that overlap with infectious or neoplastic processes(15). A systematic approach to the differential diagnosis is therefore essential. Abscesses often present as complex fluid collections with irregular margins and peripheral hyperemia on CD imaging. Clinical correlation, including signs of systemic infection and laboratory markers, is crucial in these cases. Seromas, by contrast, are usually compressible and anechoic, with well-defined margins, typically arising in postoperative settings. Soft tissue sarcomas are among the most critical differential diagnoses. On US, these lesions often present as solid, heterogeneous masses with internal vascularity and are distinguished by progressive growth, lack of evolution, and potential infiltration of adjacent structures(16). Lastly, ruptured Baker’s cysts may manifest as fluid collections within the calf and mimic hematomas; however, their communication with the knee joint and fluid dissection along fascial planes can aid in their identification(17). Several other entities may mimic the US appearance of a hematoma. Subcutaneous fat “fractures” and Morel-Lavallée lesions hematomas are notable examples. Fat fractures appear as discontinuity of subcutaneous fat lobules with echogenic stranding and absence of a true capsule, whereas Morel-Lavallée lesions correspond to post-shearing collections between the subcutaneous tissue and fascia; they are often fusiform, encapsulated, and containing internal debris or septations(18,19). Clinical context, lesion evolution, and additional imaging features are crucial for differentiating among these entities.
Abscesses typically present as complex hypoechoic or anechoic collections with thick, irregular walls and peripheral hyperemia on CD. They may be accompanied by systemic signs of infection.
A 28-year-old female, three days postpartum following an elective caesarean section, presented with acute right thigh swelling, localized pain, and difficulty walking. The patient had a known history of intravenous drug use and reported recent self-injection in the thigh region. She denied systemic symptoms such as fever or chills but noted increasing redness and tenderness of the affected area.
Physical examination revealed a tender, erythematous swelling in the distal posterior aspect of the right thigh. The overlying skin was tense and warm, without fluctuance or skin breakdown. Passive and active movements of the limb were painful, particularly those involving the hamstring muscle group. Peripheral pulses were intact, and there were no signs of deep vein thrombosis.
Given the high suspicion of an infectious process, a focused musculoskeletal US was performed to assess for potential abscess formation. US imaging demonstrated a large, markedly inhomogeneous lesion within the distal third of the right biceps femoris muscle, which appeared to occupy nearly the entire cross-sectional area of the muscle. The sonographic appearance was most consistent with an intramuscular abscess, particularly in the context of intravenous drug use and recent postpartum immunosuppression (Fig. 5). Further evaluation with contrast-enhanced imaging was necessary.

Ultrasound of the right thigh showing a large heterogeneous intramuscular collection within the biceps femoris muscle (4 × 5 × 10 cm), containing mixed hypoechoic and anechoic components (A) and presenting no internal vascularity on CD (B), suggestive of an intramuscular abscess
Among soft tissue tumors, sarcomas, especially undifferentiated pleomorphic sarcoma, liposarcoma, and synovial sarcoma, are the most frequent mimickers of chronic hematomas, particularly in adults over 50 years of age. These lesions may present with pain or rapid enlargement following minor trauma, leading to misinterpretation as post-traumatic bleeding(15,20). On US, soft tissue sarcomas typically present a heterogeneous structure and irregular, infiltrative margins. In contrast to hematomas, they frequently exhibit internal vascular flow and might grow or persist(20).
An 87-year-old female patient presented with a palpable swelling on the medial aspect of the right lower leg. She reported that the mass had been slowly growing over the preceding two years but had recently become painful. The patient had not previously sought medical evaluation for the lesion. Her medical history was notable for chronic atrial fibrillation, for which she was receiving anticoagulant therapy.
On physical examination, a firm, non-mobile mass was palpated approximately at the midline on the medial surface of the right leg. There were no overlying skin changes such as erythema or ulceration. Given the clinical suspicion for a soft tissue lesion and the patient’s use of anticoagulants, a US examination was performed.
US imaging revealed a large, markedly heterogeneous subcutaneous mass with increased vascularity. In the setting of a slowly growing, newly painful subcutaneous mass in a patient on anticoagulation, differential diagnosis includes chronic hematoma; however, the echogenicity, internal calcification, and vascularity strongly favored the diagnosis of a soft tissue sarcoma (Fig. 6).

Ultrasound of the medial aspect of the right lower leg showing a large polylobulated subcutaneous mass (5.3 × 4.2 × 7.4 mm) with internal septations and a small calcification (A). CD imaging demonstrates both peripheral and internal vascularity (B), consistent with a soft-tissue sarcoma
Seromas typically develop within the subcutaneous plane due to lymphatic disruption, whereas hematomas may result from postoperative oozing of small blood vessels that were cauterized or ligated intraoperatively. Differentiating between the two is essential, as hematomas may require closer monitoring or evacuation when large or symptomatic, while seromas often resolve spontaneously or following aspiration(21,22).
A 26-female patient with a recent surgical history of sleeve gastrectomy followed by elective abdominoplasty presented two weeks postoperatively with increasing abdominal discomfort and visible contour irregularity. The patient reported mild to moderate pain and a sensation of fullness, without fever, chills, or signs of systemic infection. Physical examination revealed swellings of the lower abdominal wall. The overlying skin appeared mildly discolored but intact, with no evidence of open drainage or infection.
A US examination of the abdominal wall was performed to characterize the swelling. Sonography identified two fluid collections, one anechoic and homogeneous, suggestive of a seroma, and one on the left, more inhomogeneous, consistent with a hematoma. No internal vascularity was noted within either collection on CD imaging (Fig. 7). Postoperative fluid collections represent common complications following abdominoplasty, particularly when combined with bariatric procedures.

Ultrasound of the abdominal wall demonstrating a right-sided anechoic subcutaneous collection consistent with a postoperative seroma (A) and a left-sided collection with internal echogenic strands and particulate content consistent with a hematoma (B)
A Baker’s cyst corresponds to distension of the semimembranosus–gastrocnemius bursa. When ruptured, fluid may dissect along fascial planes and may be associated with intermuscular or subfascial hematomas, sometimes extending into the calf and mimicking a calf hematoma. Identification of communication with the knee joint or presence of cystic changes in the popliteal fossa aids in establishing the diagnosis(17).
A 87-year-old male patient with a known history of multiple myeloma and chronic anticoagulation therapy with warfarin for atrial fibrillation presented with sudden-onset swelling and pain in the posterior aspect of the left calf. Symptoms began two days prior to presentation and were not preceded by trauma or increased physical activity. The patient denied systemic symptoms such as fever, chills, or recent weight loss.
Given the patient’s anticoagulated state and oncologic history, the clinical concern initially included deep vein thrombosis (DVT) and neoplastic infiltration. However, DVT was ruled out by vascular surgery following a negative duplex US examination.
On physical examination, the patient exhibited swelling and tenderness along the medial posterior calf, extending toward the popliteal fossa. The overlying skin was intact, without signs of inflammation or discoloration. No signs of neurovascular compromise were identified.
A focused US of the posterior left leg was performed to investigate the cause of the swelling. The examination revealed multiple, coalescing, inhomogeneous, predominantly hypoechoic formations within the medial head of the gastrocnemius muscle, with proximal extension toward the popliteal fossa adjacent to the joint capsule. Although the findings were not specific, the US appearance was most consistent with a ruptured Baker’s cyst, particularly in light of fluid dissection along intermuscular planes. Communication with the knee joint was visualized. Given the patient’s anticoagulant therapy and oncologic history, a large intramuscular hematoma or a neoplastic mass were considered less likely but could not be completely excluded (Fig. 8).

Ultrasound examination of the posterior medial calf demonstrating a large, inhomogeneous hypoechoic fluid collection (17 × 4 × 2 cm) extending proximally toward the popliteal fossa (A), without internal vascular signal on CD imaging (B). Findings are consistent with a ruptured Baker’s cyst with associated surrounding subcutaneous edema
Follow-up and management strategies should be tailored to the individual patient and the evolution of imaging findings. For hematomas with indeterminate features, or in patients at risk of rebleeding, such as those receiving anticoagulant therapy, short-term US follow-up (within 7–14 days) is recommended to assess for resolution or complications. Persistence beyond 4–6 weeks, increase in lesion size, or the development of atypical imaging features should prompt further evaluation with advanced imaging modalities(23).
Computed tomography (CT) is particularly valuable in acute trauma settings, where it allows rapid assessment of associated skeletal injuries, active bleeding, or hematomas located in deep or inaccessible regions(24). Magnetic resonance imaging (MRI), by contrast, offers superior soft tissue contrast and is especially useful for characterizing chronic or atypical lesions, distinguishing hematomas from neoplastic or infectious processes, and evaluating lesion extent or tissue infiltration. MRI is particularly helpful in distinguishing hematomas from soft tissue tumors or infectious processes and in evaluating the extent of tissue infiltration. MRI is also preferred when sonographic findings remain inconclusive despite thorough evaluation, or when clinical suspicion of malignancy persists(25).
An increasingly valuable adjunct in this context is contrast-enhanced ultrasound (CEUS), which enables dynamic, real-time assessment of vascularity within a lesion without exposure to ionizing radiation. CEUS is particularly useful when MRI is contraindicated (e.g., in patients with pacemakers or severe claustrophobia) or when contrast-enhanced CT is not feasible due to renal impairment or contrast allergy, providing a safe and effective alternative for lesion characterization. Although CEUS was not available for the present case series, all lesions were confidently characterized using conventional B-mode and CD US in conjunction with clinical evolution, laboratory findings, and additional diagnostic investigation with CT or MRI scans where indicated. Therefore, CEUS was not deemed necessary for diagnostic confirmation in this study. However, CEUS remains a valuable adjunct in selected cases, particularly when internal vascularity, superinfection, or atypical lesion behavior is suspected. CEUS can help differentiate hematomas from neoplastic or inflammatory masses by demonstrating the absence of internal enhancement in avascular collections such as simple hematomas, whereas peripheral or internal vascular enhancement may suggest an evolving abscess or tumor, guiding the need for further imaging or intervention. Future prospective studies incorporating CEUS are warranted to further validate its diagnostic contribution to the evaluation of soft tissue hematomas and improve diagnostic confidence in the evaluation of indeterminate soft tissue masses(26).
Beyond diagnostic evaluation, management strategies should be tailored to lesion size, location, and patient symptoms. Biopsy is generally reserved for lesions that fail to resolve or continue to exhibit atypical or suspicious features, particularly when malignancy cannot be excluded. Importantly, biopsy should be avoided in the acute phase of vascularized lesions to reduce the risk of hemorrhage(27,28). In selected cases, particularly large or symptomatic intramuscular hematomas, US-guided aspiration is recommended to accelerate symptom relief and potentially reduce the risk of heterotopic ossification. This procedure should be carefully individualized, balancing benefits with the potential risks of infection, re-accumulation, or bleeding. Current evidence is limited, and shared decision-making with the referring clinician is advisable(29,30).
A potential complication of large hematomas is myositis ossificans, which occurs predominantly in large intramuscular or periosteal hematomas, particularly those adjacent to bones, such as the vastus intermedius, adductor, or proximal quadriceps muscles. It typically arises within one to two weeks after trauma or direct muscle contusion. Early US may detect hyperechoic zones, sometimes with distal acoustic shadowing or reflection, and marked inflammatory hyperemia around the lesion. At this stage, radiographs are still negative (calcifications typically appear after approximately six weeks), and MRI usually shows only nonspecific heterogeneous changes. Early recognition is crucial to prevent misdiagnosis of a neoplasm and to enable prompt management. Initial treatment, including NSAIDs and, when indicated, infiltrative therapies such as Traumeel®, Sanuvis®, or platelet-rich plasma (PRP), together with strict avoidance of deep tissue massage, is essential. Any significant hematoma should be punctured or aspirated as soon as possible. Although available data remain limited, clinical experience suggests that, when detected early, timely intervention can prevent progression or even partially resolve calcification and ossification. In severe cases, particularly among athletes, myositis ossificans may cause functional limitation lasting up to six months(31,32).
Soft tissue hematomas are a common and usually benign finding, but require careful assessment to avoid misdiagnosis. US is the first-line imaging modality for evaluating these lesions, offering excellent diagnostic capability and allowing for dynamic, bedside assessment. However, radiologists must remain vigilant for entities that may mimic hematomas, including abscesses and neoplasms. When the clinical presentation is atypical or the lesion does not evolve as expected, further imaging or biopsy should be considered. A structured, educational approach to the evaluation of soft tissue hematomas on US enhances diagnostic confidence and patient safety. Integration of clinical history, US findings, and, when needed, advanced imaging ensures accurate diagnosis and optimal patient management. Structured reporting and awareness of key red flags facilitate timely follow-up and appropriate intervention. Further imaging, especially MRI, plays a pivotal role when uncertainty persists.