Accurate prediction of postoperative morbidity and mortality remains a critical challenge in liver transplantation. Although the Model for End-Stage Liver Disease (MELD) score is widely used to assess disease severity and prioritize candidates for transplant, it primarily reflects liver-specific parameters and short-term mortality risk. It does not fully account for broader physiological factors such as muscle mass, nutritional status, and functional reserve, which are increasingly recognized as important determinants of postoperative outcomes(1). Therefore, identifying additional reliable predictors of postoperative morbidity and mortality is crucial for accurate risk stratification and patient management. Sarcopenia, characterized by reduced skeletal muscle mass and strength, has emerged as a significant predictor of mortality in liver transplant recipients(2). It has been shown to be associated with increased perioperative complications, longer hospital stay, and higher mortality rates(3). Englesbe et al. demonstrated a strong link between central sarcopenia, indicated by reduced psoas muscle thickness, and increased post-transplant mortality(2). Similarly, Hamaguchi et al. reported that low muscularity and preoperative visceral adiposity were associated with higher mortality rates after transplantation(3). In addition, the weakened state of respiratory muscles can increase the risk of respiratory complications, and the accompanying impaired immune function can worsen susceptibility to infections(2). The combined physical and psychological impacts of sarcopenia can further reduce patients’ quality of life and independence post-transplantation.
Assessing sarcopenia typically involves methods like computed tomography (CT) and bioelectrical impedance analysis (BIA)(4,5). CT is highly accurate but involves radiation exposure. BIA is non-invasive and easy to use, but can be less accurate, especially in individuals with fluid imbalance. Ultrasonography (USG) offers a promising bedside alternative because of its safety, cost-effectiveness, and accessibility. Despite being operator-dependent, it provides reliable and accurate data on muscle thickness without the risks associated with CT. Eşme et al. have demonstrated its efficacy in assessing the thickness of muscle groups such as the gastrocnemius, rectus femoris, and abdominal wall muscle in sarcoidosis patients(6).
Building on these findings, the present prospective observational study aimed to assess the thickness of the external oblique (EO), internal oblique (IO), and transversus abdominis (TA) muscles in cirrhotic liver transplant recipients using USG. By comparing these measurements with those of healthy donors, the study sought to establish abdominal muscle thickness as a potential predictive marker for sarcopenia in patients with chronic liver disease (CLD) and to examine its correlation with postoperative outcomes. This non-invasive, accessible method could enhance preoperative assessment and risk stratification, ultimately improving patient outcomes.
This prospective observational study was conducted between September 2023 and May 2024 at the Institute of Liver and Biliary Sciences, Delhi, India. Ethical approval was obtained from the Institute’s ethics committee (approval number IEC/2024/107/MA11), and the study was registered with the Clinical Trials Registry of India (CTRI/2024/03/064780), adhering to the principles of the Declaration of Helsinki. Adult patients (aged 18 years and above) diagnosed with cirrhosis and scheduled to undergo living donor liver transplantation (LDLT) were included. The recruitment process began following the ethical approval, and all eligible patients were invited to participate. Patients were excluded if they refused to provide informed consent, were undergoing simultaneous liver and kidney transplantation, or were undergoing liver re-transplantation.
The primary objective of the study was to compare the thickness of the EO, IO, and TA muscles using USG in LDLT recipients and healthy donors. The secondary objectives were to determine the prevalence of sarcopenia in liver transplant recipients as measured by hand grip strength and L3-Skeletal Muscle Index (SMI) on CT; to assess its effect on liver transplant outcomes in terms of 30-day mortality, duration of hospital and ICU stay, and postoperative pulmonary complications; to establish the relationship between abdominal wall muscle thickness, L3-SMI, and hand grip strength; to study the correlation between abdominal muscle thickness and MELD-Na score, CTP score, duration of mechanical ventilation, duration of ICU stay, and postoperative 30-day mortality. The preoperative assessment involved a comprehensive evaluation of muscle function and mass, in addition to other routine investigations as per the institutional protocol.
This was assessed using a Camry Handheld Digital Meter dynamometer (00700953844224) (Fig. 1). Patients were instructed to use their dominant hand, and each patient performed three grip strength measurements; the average of these readings was recorded. Sarcopenia was defined using established thresholds: less than 27 kg for males and less than 16 kg for females, which provided a clear and standardized criterion for muscle weakness(7).

Measurement of hand grip strength using a handheld dynamometer
The L3-SMI was calculated from the abdominal CT scan by analyzing a single axial slice at the level of the third lumbar vertebra (L3) (Fig. 2). This region was chosen because it strongly correlates with whole-body muscle mass. Skeletal muscles, including the psoas major, paraspinal muscles (erector spinae and quadratus lumborum), and abdominal wall muscles (rectus abdominis, EO, IO, and TA) were identified and segmented. To differentiate muscle from fat and other tissues, a Hounsfield unit (HU) range of −29 to +150 HU was applied. The total cross-sectional skeletal muscle area (cm2) at L3 was measured using specialized imaging software. L3-SMI was then determined by normalizing this muscle area to the patient’s height squared (m2) using the formula: L3-SMI = Skeletal Muscle Area (cm2) / Height2 (m2). Established thresholds were used to define sarcopenia: less than 42 cm2/m2 for males and less than 38 cm2/m2 for females(8).

Measurement of L3-SMI (Colors represent the following muscles: purple – rectus abdominis; green – psoas major; red – erector spinae; blue – quadratus lumborum; yellow – abdominal wall muscle)
The thickness of the EO, IO, and TA muscles was measured using USG. After placing the patients in the supine position, a linear ultrasound probe, operating at 9–12 MHz, using B-mode imaging was placed perpendicular to the skin halfway between the iliac crest and the 12th rib along the anterior axillary line (Fig. 3). Muscle thickness was determined as the largest distance between the superficial and deep aponeuroses for each muscle. To ensure consistency and reduce observer bias, all measurements were performed by a single observer who was blinded to the patients’ CT findings and hand grip strength measurements.

Measurement of abdominal muscle thickness using ultrasonography (A – external oblique; B – internal oblique; C – transversus abdominis)
Postoperatively, patients were followed up for a period of 30 days to assess the duration of postoperative mechanical ventilation, frequency of postoperative pulmonary complications, duration of ICU stay, and mortality within 30 days.
Sample size was calculated using physiological values for mean thickness and standard deviation of abdominal muscles on USG in healthy individuals from existing literature(9), assuming an expected difference in muscle thickness between donors and recipients of 1 mm. A power of 80% (0.80) was chosen to detect a meaningful difference between the two groups. A significance level of 0.05 (two-tailed) was used. After adjusting for a 10% dropout rate, a sample size of 32 for each group was determined.
Data were compiled using Microsoft Excel spreadsheet and analyzed statistically using the Statistical Package for Social Sciences (SPSS) version 25 for Windows (IBM SPSS Statistics for Windows, Version 25.0. Armonk, NY: IBM Corp., NY, USA). Continuous data were expressed as mean ± SD or median (interquartile range, IQR), while categorical data were shown as numbers (percentages). Continuous data were compared using Student t-test or Mann-Whitney test, as applicable. Categorical variables were compared using Chi-square test or Fisher’s Exact test. Pearson’s correlation was used to determine correlations between quantitative variables. A p-value <0.05 was considered statistically significant. Calculation of cut-off values to define sarcopenia based on abdominal muscle thickness was performed using Receiver Operating Characteristic (ROC) curves.
The study involved 82 participants: 41 liver transplant recipients and 41 healthy donors. Demographic details are provided in Tab. 1. Recipients were predominantly male (93%), while donors were primarily female (71%). The mean age of recipients was significantly higher than that of donors (48.9 ± 10.5 vs. 34.5 ± 9.1 years; p <0.0001). The recipient group had a greater mean height (166 ± 6.6 cm vs. 161.5 ± 10.0 cm; p = 0.018), but there was no significant difference in weight (67.4 ± 12.7 kg vs. 66.2 ± 10.7 kg; p = 0.645) or BMI (24.2 ± 3.8 kg/m2 vs. 24.7 ± 5.03 kg/m2).
Demographic data, abdominal muscle thickness, and sarcopenia assessment in the study population
| Parameter | Donors (n = 41) | Recipients (n = 41) | P value |
|---|---|---|---|
| Male/Female | 12/29 (29%/71%) | 38/3 (93%/7%) | |
| Age (yrs) | 34.5 ± 9.1 | 48.9±10.5 | <0.0001 |
| Height (cm) | 161.5 ± 10.0 | 166 ± 6.6 | 0.018 |
| Weight (kg) | 66.2 ± 10.7 | 67.4 ± 12.7 | 0.645 |
| BMI (kg/m2) | 24.7 ± 5.03 | 24.2 ± 3.8 | 0.45 |
| External oblique (mm) | 4.5 ± 1.8 | 2.9 ± 1.0 | <0.001 |
| Internal oblique (mm) | 6 ± 2.4 | 4.1 ± 1.6 | 0.001 |
| Transversus abdominis (mm) | 3.2 ± 1 | 2.2 ± 0.7 | <0.001 |
| L3-SMI (cm2/m2) | 44.6 ± 10.2 | 36.3 ± 8.4 | <0.001 |
| Hand grip strength (kg) | 24.1 ± 6.2 | 21.2 ± 5.4 | 0.06 |
BMI – body mass index; L3-SMI – L3 skeletal muscle index Values in mean ± Standard deviation
A significantly reduced abdominal muscle thickness (all three muscles) was seen in the recipients compared to the healthy donors, (EO 2.9 ± 1 mm vs. 4.5 ± 1.8 mm; p <0.001, IO 4.1 ± 1.6 mm vs. 6 ± 2.4 mm; p = 0.001, and TA (2.2 ± 0.7 mm vs. 3.2 ± 1 mm; p <0.001, Tab. 1).
When gender-specific analysis was performed (Tab. 2), male donors had significantly greater muscle thickness compared to male recipients for EO (6.2 mm ± 1.5 mm vs. 3 mm ± 1.2 mm; p <0.001), IO (8.2 ± 2.0 mm vs. 4.0 ± 1.3 mm; p = 0.001), and TA (4.0 ± 1.2 mm vs. 2.2 ± 0.7 mm; p <0.001). Female donors also exhibited significantly greater thickness than female recipients in the EO (3.8 ± 0.9 mm vs. 1.8 ± 0.5 mm; p = 0.008) and TA (2.9 ± 0.8 mm vs. 1.8± 0.4 mm; p = 0.002), while no difference was observed in the IO measurements.
Gender-specific analysis of muscle thickness and sarcopenia in the study population
| Parameter | Donors male (n = 12) | Recipients male (n = 38) | p value | Donors Female (n = 29) | Recipients female (n = 3) | p value |
|---|---|---|---|---|---|---|
| External oblique (mm) | 6.2 ± 1.5 | 3.0 ± 1.2 | <0.001 | 3.8 ± 0.9 | 1.8 ± 0.5 | 0.008 |
| Internal oblique (mm) | 8.2 ± 2.0 | 4.0 ± 1.3 | 0.001 | 8.2 ± 2.0 | 4.0 ± 1.3 | 0.001 |
| Transversus abdominis (mm) | 4.0 ± 1.2 | 2.2 ± 0.7 | <0.001 | 2.9 ± 0.8 | 1.8 ± 0.4 | 0.002 |
| L3-SMI (cm2/m2) | 49.4 ± 12.2 | 36.0 ± 9.2 | <0.001 | 42.8 ± 11.2 | 39.6 ± 10.5 | 0.30 |
| Hand grip strength (kg) | 32.7 ± 8.2 | 21.5 ± 5.4 | 0.001 | 21.0 ± 4.2 | 21.1 ± 5.1 | 0.96 |
L3-SMI – L3 skeletal muscle index
The L3-SMI was significantly higher in the donors than in the recipients (44.6 ± 10.2 vs. 36.3 ± 8.4 cm2/m2; p <0.001). Hand grip strength was also higher in the donor population than in the recipient population, but was not statistically significant (24.1 ± 6.2 vs. 21.2 ± 5.4 kg; p = 0.006) (Tab. 1).
When gender-specific analysis was performed (Tab. 2), male recipients had significantly lower L3-SMI compared to male donors (36 ± 9.2 vs. 49.4 ± 12.2; p <0.001). Similarly, male recipients had significantly weaker hand grip strength than male donors (21.5 ± 5.4 vs. 32.7 ± 8.2; p = 0.001). L3-SMI in female recipients did not differ from that of female donors. Hand grip strength was also not significantly different between female donor and recipient groups (Tab. 2).
Based on L3-SMI, 32 (78.05%) recipients were diagnosed with sarcopenia. Similarly, using hand grip strength criteria, 34 (80.9%) recipients were classified as sarcopenic. None of the healthy donors met the criteria for sarcopenia.
The ability of muscle thickness to predict sarcopenia was evaluated using ROC curves, with L3-SMI as the reference standard (Tab. 3). For male participants, an EO thickness below 3.6 mm predicted sarcopenia with 78% sensitivity and 80.6% specificity (AUC = 0.84). Similarly, the TA was a strong predictor, with a cut-off value of 2.55 mm yielding 77.8% sensitivity and 74.2% specificity (AUC = 0.83). IO thickness below 4.8 mm also predicted sarcopenia, with 71.8% sensitivity and 67.7% specificity (AUC = 0.80). In females, muscle thickness was less predictive of sarcopenia, with lower sensitivity and specificity values across muscle groups (EO AUC = 0.49, TA AUC = 0.55) (Tab. 3, Fig. 4).

ROC curve using L3-SMI values for males
Receiver-operating characteristic curves of muscle thickness values predicting sarcopenia by comparison with L3 SMI
| Cut-off by L3-SMI (mm) | Sensitivity (%) | Specificity (%) | AUC | Standard error | 95% confidence interval | ||
|---|---|---|---|---|---|---|---|
| External oblique thickness | Males | 3.6 | 78 | 80.6 | 0.84 | 0.05 | 0.73–0.96 |
| Females | 3.7 | 46.4 | 40 | 0.49 | 0.16 | 0.16–0.82 | |
| Internal oblique thickness | Males | 4.8 | 71.8 | 67.7 | 0.80 | 0.06 | 0.68–0.93 |
| Females | 4.9 | 50 | 40 | 0.63 | 0.14 | 0.35–0.92 | |
| Transversus abdominis thickness | Males | 2.55 | 77.8 | 74.2 | 0.83 | 0.06 | 0.71–0.96 |
| Females | 2.8 | 40 | 40 | 0.55 | 0.15 | 0.23–0.86 |
L3-SMI − L3-Skeletal Muscle Index; AUC – area under the curve
Correlation of muscle thickness with ascitic fluid volume and postoperative outcomes
| Meld | CTP | Ascitic fluid volume | Pleural Effusion | Pneumonia | Reintubation | Duration of Mechanical Ventilation | Duration of ICU Stay | Mortality | ||
|---|---|---|---|---|---|---|---|---|---|---|
| External oblique | Pearson Correlation | 0.024 | −0.034 | −0.33 | 0.27 | 0.15 | 0.27 | −0.24 | −0.46 | 0.26 |
| P value | 0.088 | 0.831 | 0.03 | 0.11 | 0.38 | 0.11 | 0.12 | 0.005 | 0.12 | |
| Internal oblique | Pearson Correlation | −0.093 | −0.296 | −0.58 | 0.04 | 0.02 | 0.12 | −0.08 | −0.28 | 0.11 |
| P value | 0.564 | 0.06 | <0.001 | 0.80 | 0.89 | 0.46 | 0.62 | 0.10 | 0.49 | |
| Transversus abdominis | Pearson Correlation | −0.279 | −0.460 | −0.41 | 0.18 | −0.001 | 0.24 | −0.07 | −0.37 | 0.25 |
| P value | 0.077 | 0.002 | 0.008 | 0.28 | 0.99 | 0.15 | 0.65 | 0.029 | 0.13 |
P value <0.05 was considered statistically significant.
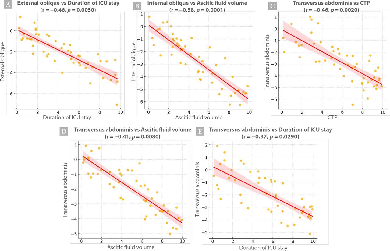
Muscle thickness correlated with several clinical parameters, including disease severity and postoperative outcomes (Tab. 4). TA thickness showed a moderately negative correlation with the Child-Turcotte-Pugh (CTP) score (r = −0.46, p = 0.002), indicating that as disease severity increased, muscle thickness decreased. Additionally, muscle thickness was inversely correlated with the amount of ascitic fluid drained intraoperatively. The IO had the strongest correlation with ascitic fluid volume (r = −0.58, p <0.001), followed by the TA (r = −0.41, p = 0.008) and EO (r = −0.33, p = 0.03) (Tab. 4, Fig. 5).

Scatter plots showing correlations between abdominal muscle thickness of EO with (A) duration of ICU, IO with (B) ascitic fluid volume, TA with (C) Child-Turcotte-Pugh (CTP) scores, TA with (D) ascitic fluid volume, and TA with (E) duration of ICU and in liver transplant recipients. P value <0.05 was considered statistically significant. (EO – external oblique; IO – internal oblique; TA – transversus abdominis)
Muscle thickness also negatively correlated with the duration of postoperative ICU stay. EO thickness showed a moderate negative correlation (r = −0.46, p = 0.005), and TA showed a similar trend (r = −0.37, p = 0.029). No significant correlations were found between muscle thickness and the duration of mechanical ventilation, pleural effusion, or pneumonia.
Table 5 shows the postoperative complications among sarcopenic and non-sarcopenic patients, using three different modalities of sarcopenia: L3-SMI (<42 cm2/m2) and Hand Grip Strength (<27 kg), defined on preexisting sarcopenia cutoffs, and abdominal muscle thickness, EO (<3.6 mm), IO (<4.8 mm), and TA (<2.55 mm) − defined using values derived from ROC curves. Given the predominance of male recipients in this cohort, the analysis was restricted to 38 male patients, excluding females. Patients classified as sarcopenic based on reduced muscle thickness of the EO and TA muscles had a significantly longer ICU stay compared to non-sarcopenic patients (13.9 ± 4.6 days versus 7.3 ± 2.4 days, p = 0.04 for EO and 14.8 ± 4.9 days versus 6.7 ± 2.5 days, p = 0.007 for TA) (Tab. 5) Notably, pleural effusion and pneumonia occurred more frequently in sarcopenic patients, although these differences were not statistically significant across the different modalities. The duration of mechanical ventilation was similar between the groups, while the duration of ICU stay was notably prolonged in the sarcopenic group. Thirty-day mortality was higher in sarcopenic patients, though this difference did not reach statistical significance (Tab. 5).
Postoperative outcomes in sarcopenia vs non-sarcopenia groups
| L3-SMI | Hand Grip Strength | EO thickness | IO thickness | TA thickness | |||||||||||
|---|---|---|---|---|---|---|---|---|---|---|---|---|---|---|---|
| Postoperative outcome | Sarcopenia (n = 32) | No sarcopenia (n = 7) | p value | Sarcopenia (n = 33) | No sarcopenia (n = 6) | p value | Sarcopenia (n = 29) | No sarcopenia (n = 9) | p value | Sarcopenia (n = 26) | No sarcopenia (n = 12) | p value | Sarcopenia (n = 27) | No sarcopenia (n = 11) | p value |
| Pleural effusion (%) | 75.9 | 42.9 | 0.16 | 71 | 60.0 | 0.63 | 79.2 | 44.4 | 0.09 | 68.4 | 71.4 | 1 | 77.3 | 54.5 | 0.24 |
| Pneumonia (%) | 44.8 | 14.3 | 0.2 | 60.00 | 36.2 | 0.35 | 50 | 22.2 | 0.24 | 47.4 | 35.7 | 0.734 | 45.5 | 36.4 | 0.71 |
| Duration of MV (hrs) | 15.9 ± 6.3 | 11.6 ± 4.2 | 0.90 | 15.6 ± 5.9 | 14.4 ± 4.0 | 0.61 | 17.9 ± 6.1 | 11.8 ± 3.7 | 0.18 | 16.6 ± 5.5 | 15.6 ± 4.1 | 0.80 | 18.3 ± 6.8 | 11.6 ± 3.5 | 0.13 |
| Duration of ICU stay (days) | 13.0 ± 4.4 | 9.9 ± 3.2 | 0.37 | 12.0 ± 3.9 | 10.8 ± 2.7 | 0.53 | 13.9 ± 4.6 | 7.3 ± 2.4 | 0.04 | 14.1 ± 4.2 | 9.5 ± 3.1 | 0.13 | 14.8 ± 4.9 | 6.7 ± 2.5 | 0.007 |
| Mortality in 30 days (%) | 17.2 | 0 | 0.55 | 16 | 0.00 | 0.07 | 14.3 | 10 | 0.68 | 15.8 | 7.1 | 0.62 | 18.2 | 0 | 0.276 |
L3-SMI – L3-Skeletal Muscle Index; EO – external oblique; IO – internal oblique; TA – transversus abdominis
P value <0.05 was considered statistically significant.
The present study highlights the significant reduction in abdominal muscle thickness among liver transplant recipients compared to healthy donors, illustrating sarcopenia’s prominence in end-stage liver disease. Furthermore, it demonstrates that abdominal muscle thickness, particularly of the EO and TA muscles, is a reliable predictor of sarcopenia. ROC curve analysis revealed robust diagnostic thresholds for sarcopenia in male cirrhosis patients, with cut-offs of <3.6 mm for EO and <2.55 mm for TA showing strong sensitivity and specificity, correlating with postoperative morbidity. Additionally, thinner EO and TA muscles were linked to prolonged ICU stay in liver transplant recipients, reinforcing the prognostic utility of abdominal muscle measurements.
Sarcopenia, first defined by Rosenberg in 1988, refers to the progressive loss of skeletal muscle mass and function(10). While initially considered an age-related condition, the revised 2019 EWGSOP2 definition recognizes sarcopenia as a muscle disease (muscle failure) that may occur even in younger individuals due to various causes(10). The diagnosis now prioritizes low muscle strength (e.g., grip strength), with confirmation via reduced muscle mass, and severity determined by impaired physical performance.
In patients with cirrhosis, sarcopenia reflects disease severity and significantly affects post-liver transplant outcomes(11,12). Several studies have demonstrated the correlation of sarcopenia with longer durations of mechanical ventilation, ICU stays, hospitalizations, as well as postoperative infections in cirrhotic patients undergoing liver transplantation(13,14,15,16,17). In the present study, sarcopenia prevalence was high – 78% based on CT-derived L3-SMI and 82.9% based on hand grip strength – highlighting the systemic impact of liver disease on muscle wasting.
Muscle mass can be measured using various modalities. Magnetic resonance imaging (MRI) and CT are gold standards for non-invasive assessment but are limited by high cost and the need for trained personnel. BIA is a cheap, portable bedside tool but provides indirect estimates influenced by hydration status and body conductivity(4,5). Although CT remains the gold standard due to its quantitative precision and operator independence, its limitations, including radiation exposure, high cost, and the need to transport frail patients, reduce its practicality for routine or repeated use.
USG is a non-invasive, portable tool that can provide both quantitative and qualitative assessments of muscle mass with low inter-observer variation(18). The use of USG for measuring muscle thickness as a marker of sarcopenia is well established, with several authors reporting its utility. Many studies have explored the use of USG to assess muscle mass across various populations and anatomical regions. In geriatric cohorts, muscle thickness of the quadriceps and forearm has been validated against gold-standard methods like BIA and CT(19). In critical care settings, psoas muscle thickness measured by USG has been widely used to track ICU-acquired weakness(20). These consistent findings across settings support USG as a feasible bedside screening tool for sarcopenia.
Despite this, literature focusing on the use of USG for diagnosing sarcopenia in chronic liver disease remains sparse. Enciu et al. assessed rectus femoris thickness and echogenicity in patients with alcoholic liver disease, finding inverse associations with 30-second Chair Stand test performance and worsening MELD and Child-Pugh scores(21). Similarly, Mahmoud et al. reported strong correlations between quadriceps thickness and liver disease severity, suggesting that peripheral muscle measurements may serve as reliable markers of sarcopenia in cirrhotic patients(22).
The review by Becchetti and Berzigotti (2023)(23) further consolidates these findings by summarizing emerging evidence that muscle thickness – particularly of the quadriceps femoris, rectus femoris, and abdominal wall muscles − correlates well with CT-derived SMI at the L3 level and with functional outcomes such as hand grip strength and gait speed. Importantly, they highlight that USG not only correlates with existing sarcopenia definitions but may also predict adverse outcomes, including hepatic decompensation. Despite its promise, widespread adoption of USG for sarcopenia assessment in cirrhosis is still hindered by variability in measurement techniques, anatomical site selection, probe orientation, and cut-off values.
While ultrasonography (US) has gained traction for sarcopenia assessment, most studies have focused on limb muscles (e.g., quadriceps, psoas) rather than abdominal musculature. However, emerging evidence supports the utility of abdominal muscle thickness as a diagnostic marker. For instance, Esme et al.(6) proposed sex-specific cut-offs for sarcopenia in geriatric patients with sarcoidosis (EO <4.6 mm, IO <5.4 mm), validated against bioelectrical impedance analysis (BIA). Although their study focused on sarcoidosis, it highlights USG’s methodological reliability in assessing abdominal muscle mass. Despite differences in pathophysiology, the underlying principles of sarcopenia quantification via USG remain applicable and warrant exploration in cirrhosis-specific cohorts. Notably, our study in cirrhotic patients yielded lower thresholds (EO <3.6 mm, TA <2.55 mm in males), yet demonstrated robust diagnostic accuracy (78% sensitivity, 80.6% specificity; AUC 80.4) when compared to L3-SMI.
The present data reveal a significant inverse relationship between abdominal muscle thinning and both CTP scores and the volume of ascitic fluid drained during transplantation, suggesting that sarcopenia not only parallels hepatic dysfunction but also directly correlates with disease severity. This aligns with prior studies linking psoas muscle atrophy to portal hypertension and decompensation events (e.g., ascites, hepatic encephalopathy)(24), while also highlighting sarcopenia’s dual role as both a consequence and contributor to liver disease progression.
The observed association between muscle thickness and the volume of ascitic fluid drained underscores how sarcopenia may reflect more advanced disease states. The complex interplay between sarcopenia and portal hypertension likely explains these relationships through multiple mechanisms: reduced muscle thickness may result from impaired blood supply caused by increased intra-abdominal pressure from ascites, while simultaneously exacerbating circulatory dysfunction through loss of metabolic reserve. This bidirectional relationship creates a vicious cycle, as proposed in studies such as Dajti et al.(25), where muscle wasting both drives and results from disease progression. The abdominal wall, unlike limb muscles, may be disproportionately affected by altered intra-abdominal pressure or malnutrition-driven proteolysis, potentially explaining the stricter cut-offs in our cohort compared to geriatric populations.
The prognostic value of abdominal sarcopenia extends to post-transplant survival and complications. In the present study, patients with TA thickness <2.55 mm and EO thickness <3.6 mm had longer ICU stays and higher infection rates, consistent with literature linking preoperative sarcopenia to impaired wound healing and prolonged postoperative ICU stay(17). Unlike limb-focused metrics, abdominal muscle assessments may better capture core strength deficits that are critical for post-surgical mobility and respiratory function. Thinning of the external oblique could also correlate with diaphragmatic weakness, thereby predisposing patients to atelectasis.
The current findings position abdominal muscle USG as a potentially valuable addition to pre-transplant risk assessment. When combined with established metrics such as hand grip strength or L3-SMI, USG-derived muscle thickness measurements may enhance risk assessment and guide perioperative nutritional strategies. Particularly for frail, mobility-limited cirrhotic patients, this bedside imaging modality offers notable advantages: it is non-invasive, easily repeatable, and avoids radiation exposure. Moreover, the technique shows promise for serial monitoring of sarcopenia progression and therapeutic response. However, before clinical implementation, prospective validation is required to: (1) establish definitive cut-off values linked to critical endpoints (graft survival, 1-year mortality), (2) determine comparative predictive value relative to existing sarcopenia markers, and (3) evaluate its impact on clinical decision-making and outcomes.
A single-center design, gender distribution imbalance, and operator dependency represent some of the limitations of the present study. Multivariable regression analysis was not performed due to the modest sample size, which may limit statistical power and increase the risk of overfitting. Future larger studies are warranted to explore the independent predictive value of ultrasound-derived muscle thickness while adjusting for key covariates such as MELD score, nutritional status, and ascitic volume.
This study demonstrates that abdominal wall muscle thickness is significantly reduced in liver transplant recipients compared to healthy donors, reflecting the high burden of sarcopenia in end-stage liver disease. Ultrasonographic measurement of EO and TA thickness showed good agreement with established sarcopenia assessment tools, including CT-derived L3 skeletal muscle index (SMI) and hand grip strength. Cut-off values of <3.6 mm for EO and <2.55 mm for TA in male recipients provided reliable diagnostic accuracy for predicting sarcopenia. Furthermore, reduced muscle thickness correlated with higher Child-Pugh and MELD scores, greater ascitic fluid volume, and prolonged postoperative ICU stay, underscoring its prognostic relevance.
While EO and TA showed high predictive utility for sarcopenia in male recipients, the diagnostic accuracy in females was less robust, which may be attributable to the small number of female recipients in our cohort. Further research in gender-balanced populations is needed to establish validated thresholds for female patients. Given its portability, safety, and bedside applicability, ultrasonography represents a valuable, non-invasive alternative for early identification of sarcopenia among liver transplant candidates. Integration of USG-based muscle thickness assessment into pre-transplant evaluation protocols may enhance risk stratification and facilitate timely nutritional or rehabilitative interventions.