Metabolic dysfunction-associated steatotic liver disease (MASLD) has become the most common chronic liver disease in childhood, driven by the rising prevalence of pediatric obesity worldwide(1).
MASLD is a spectrum of conditions ranging from simple fatty liver to metabolic dysfunction-associated steatohepatitis (MASH), which may progress to cirrhosis(2). Liver biopsy is still the gold standard diagnostic method to distinguish simple hepatic steatosis (HS) from MASH and to determine the stage of the disease(3). However, biopsy is an invasive procedure with potential complications and it is not a feasible method for frequent application in the follow-up of patients. Consequently, the availability of noninvasive methods in the diagnosis and follow-up of MASLD is very important(4).
Imaging-based assessment of liver stiffness is an efficient and promising noninvasive approach for evaluating hepatic fibrosis (HF)(5). Currently, shear wave elastography (SWE) is among the most widely used quantitative methods for this purpose, and liver stiffness measurements have been shown to correlate strongly with histopathologically determined HF stages(5–7).
However, current data suggest that lipotoxicity or enhanced lipid peroxidation, which increases sensitivity to inflammatory markers of the liver, plays a role in the development and progression of MASLD(8). In this context, it has been proposed that plasma cytokines and inflammatory markers can be used for MASLD follow up(9). Lately, some studies have indicated that the systemic immune inflammation index (SII), a biomarker of inflammation(10,11), can be used to predict the prognosis of MASLD(12,13). Additionally, the pan-immune inflammation value (PIV), a novel predictive biomarker, has been investigated in various diseases(14,15).
The present study investigated the clinical role of SWE, SII, and PIV in the assessment of HS in obese children and adolescents. Changes in liver stiffness and immune-inflammatory biomarkers associated with obesity and HS grade were examined.
This prospective cross-sectional study received approval from the Malatya Turgut Ozal University Clinical Research Ethics Committee (Approval No. 2023/25), and all parents provided written informed consent. The study included 76 obese children and adolescents (39 girls and 37 boys) who presented to the training and research hospital between November 2023 and June 2024. Inclusion criteria were age between 6–18 years and body mass index (BMI) percentiles >95th. Exclusion criteria included diabetes mellitus, chronic liver disease, or inability to cooperate. Patients who had at least three of the latest diagnostic criteria for metabolic syndrome, namely increased waist circumference, high triglyceride levels, low HDL cholesterol, high blood pressure, and high fasting blood glucose, and who had a diagnosis of metabolic syndrome documented in the hospital information system, constituted another exclusion criterion for the study. Thus, it was planned to conduct the study using these exclusion criteria to minimize the possible effects of other factors on liver assessment. BMI was calculated by dividing the measured weight (kg) by the square of height in meters (m2). Obesity (BMI percentile >95th) was determined according to the percentile tables of Neyzi et al.(16) A control group of healthy-weight children (BMI percentile ≥5th and <85th) (n = 44) was included to compare liver stiffness. For the control group, appropriate patients were selected who did not meet the study exclusion criteria, did not have liver disease, presented to the hospital emergency department due to trauma, and were referred for ultrasound (US) for FAST.
Fasting blood glucose, morning fasting insulin, blood lipid profile, AST and ALT, and the monocyte, lymphocyte, neutrophil and platelet counts were analyzed from the files of all patients within the past month. The homeostatic model assessment for insulin resistance (HOMA-IR) scale was used to evaluate insulin resistance (fasting glucose (mg/dL) × fasting insulin (μIU / L) / 405). SII (platelet count × neutrophil count/lymphocyte count) and PIV (SII × monocyte count) were calculated(10,15).
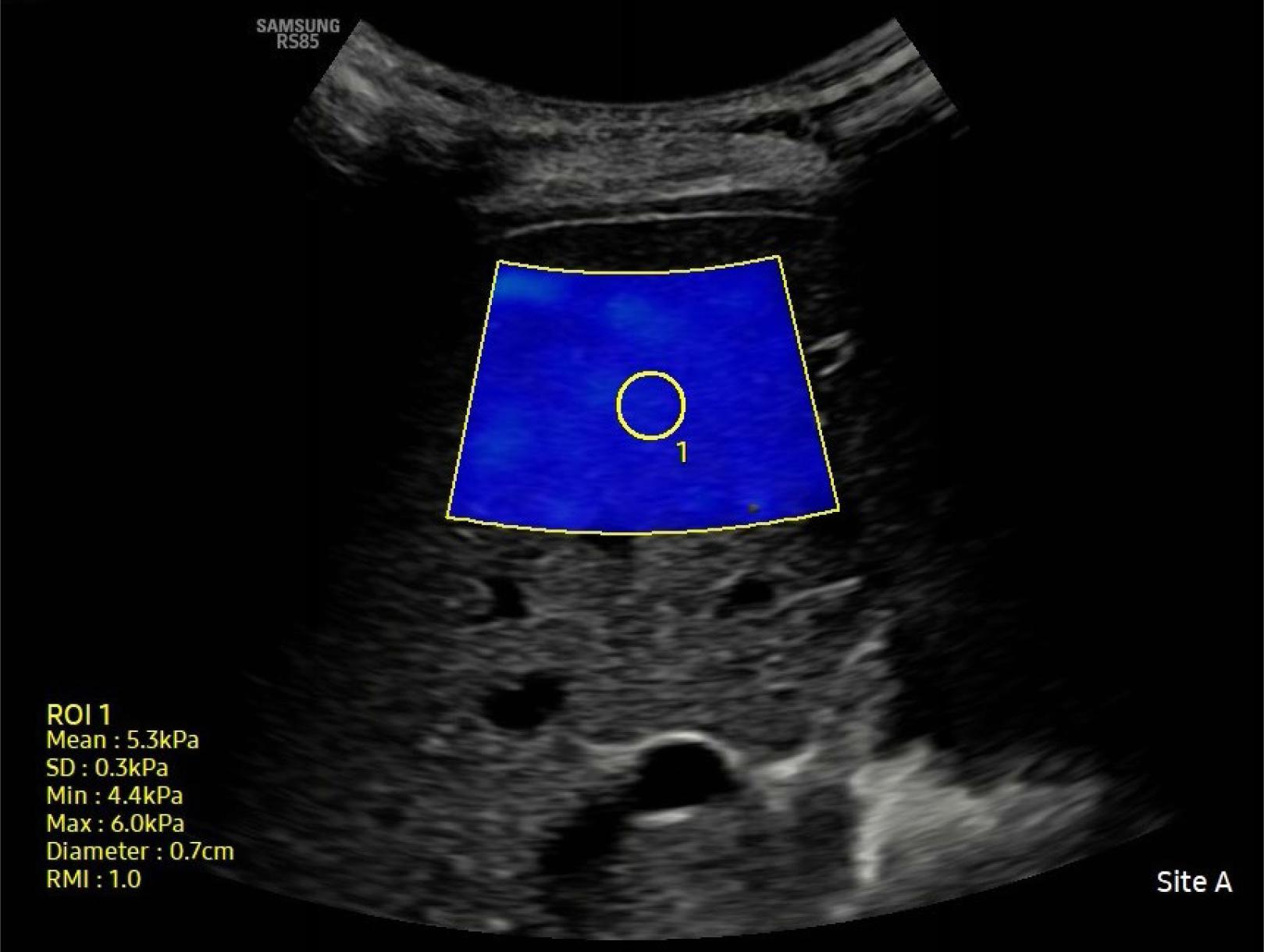
All SWE examinations were performed using a single device (RS85 Prestige, Samsung Medison Co. Ltd.) with a convex transducer (5 MHz) by the same radiologist. Patients were evaluated in a supine position with their right arm abducted. After instructing the patients to relax and remain in a neutral breathing position, the best intercostal space was used for assessment. SWE images were captured on grayscale ultrasound images within a rectangular region of interest (ROI) at least 2 cm from the liver capsule, taking care to avoid large vascular structures and bile ducts. Liver stiffness measurements were performed ten times. The median value was recorded. The results were expressed in kilopascals (kPa), accompanied by an autocalculated reliability measurement index to assess the confidence in each measurement. Since the reliability of measurements with RMI ≥0.8 and interquartile range (IQR)/median (Med) ≤30% was found to be high, these reference values were used in the study(17,18) (Fig. 1). HS was graded as 1, 2, and 3 (mild, moderate, and severe) based on findings commonly assessed in USG, such as liver parenchymal structure and echogenicity, and the clarity of the diaphragm and hepatic vessels(19). The midclavicular line was determined to measure the size of the liver.

SWE images were generated on gray-scale images within a region of interest (ROI) at least 2 cm away from the liver capsule, with particular attention given to avoid large vascular structures and bile ducts. At the bottom right, liver stiffness values (mean, SD, min, max), ROI diameter (diameter), and reliability measurement index (RMI) are shown to assess the reliability of each measurement
Statistical analyses were performed using SPSS 23.0 software (IBM Corporation, Armonk, NY, USA). The descriptive statistics for all data were presented as mean, standard deviation, minimum, and maximum values. The accordance of numeric variables to the normal distribution were evaluated analytically using the Kolmogorov-Smirnov test. Student t-test and one-way ANOVA test were used to detect differences between groups. Pearson’s correlation test was employed for correlation analysis. The correlation test results were interpreted as follows: 0.0–0.20 (negligible), 0.21–0.40 (weak), 0.41–0.60 (moderate), 0.61–0.80 (strong), and 0.81–1.00 (very strong). A p-value under 0.05 was considered statistically significant.
The distribution and analysis of gender, age, BMI, and laboratory parameters in obese patients with HS (HSOG) and without HS (NHSOG) are shown in Tab. 1.
Comparison of obese patients with hepatic steatosis and without hepatic steatosis in terms of anthropometric measurements, laboratory values, and imaging findings
| Variables | NHSOG (n = 30) | HSOG (n = 46) | p-value |
|---|---|---|---|
| Age | 12.6 ± 2.7 | 13.0 ± 2.6 | 0.698 |
| Gender (M/F) | 13/17 | 24/22 | 0.474 |
| Weight (kg) | 67.5 ± 12.3 | 84.7 ± 21.1 | 0.003 |
| Height (cm) | 157.5 ± 9.9 | 160.5 ± 13.3 | 0.412 |
| BMI | 27.1 ± 2.4 | 32.5 ± 4.2 | 0.000 |
| BMI standard deviation scores | 1.8 ± 0.4 | 2.2 ± 0.3 | 0.001 |
| BMI percentile | 95.9 ± 3.8 | 98.0 ± 1.8 | 0.023 |
| Glucose (70–105 mg/dL) | 91.8 ± 11.6 | 92.0 ± 10.8 | 0.699 |
| Insulin (2.6–24.9 μIU/ml) | 21.3 ± 11.1 | 24.3 ± 17.8 | 0.532 |
| HOMA-IR | 4.8 ± 4.0 | 5.5 ± 4.3 | 0.379 |
| Triglyceride (0–150 mg/dL) | 113 ± 47.6 | 122.6 ± 54.1 | 0.578 |
| LDL (0–130 mg/dL) | 80.1 ± 21.6 | 91.1 ± 24.9 | 0.151 |
| HDL (0–55 mg/dL) | 45.6 ± 7.1 | 46.9 ± 9.0 | 0.482 |
| AST (0–50 mg/dL) | 21.8 ± 5.1 | 26.4 ± 15.8 | 0.034 |
| ALT (0–50 mg/dL) | 20.1 ± 7.2 | 32.6 ± 23.1 | 0.007 |
| Liver size (cm) | 14.0 ± 1.7 | 15.3 ± 1.6 | 0.014 |
| Liver stiffness (kPa) | 4.9 ± 0.6 | 6.2 ± 1.7 | 0.000 |
| SII | 480.0 ± 264.2 | 601 ± 288.5 | 0.000 |
| PIV | 297.5 ± 197.7 | 432.1 ± 259.0 | 0.000 |
ALT – alanine transaminase; AST – aspartate aminotransferase; BMI – body mass index; HDL – high density lipoprotein; HOMA-IR – homeostatic model assessment for insulin resistance; HSOG – obese patients with hepatic steatosis; LDL – low-density lipoprotein; NHSOG – obese patients without hepatic steatosis; PIV – pan-immune inflammation value; SII – systemic immune inflammation index
The SWE stiffness values were 4.9 ± 0.6 kPa in NHSOG and 6.2 ± 1.7 kPa in HSOG (p = 0.568). It was thus found that the groups did not differ in terms of SWE parameters.
SII values were 480.0 ± 264.2 in NHSOG and 601 ± 288.5 in HSOG (p <0.001), while PIV values were 297.5 ± 197.7 in NHSOG and 432.1 ± 259.0 in HSOG (p <0.001). Both parameters were statistically significantly higher in HSOG.
When comparing NHSOG with the nonsteatotic normal-weight patient group (NG), there was a significant difference in favor of the obese patient group in terms of BMI values and liver size, (p <0.001), while no difference was found in liver stiffness values (p = 0.690) (Tab. 2). However, when comparing the entire obese patient group (OG) with NG, the liver stiffness values were significantly higher in favor of OG (Tab. 3).
Comparison of obese patients without hepatic steatosis and normal-weight patients in terms of anthropometric measurements and imaging findings
| Variables | NHSOG (n = 30) | NG (n = 44) | p-value |
|---|---|---|---|
| Age | 12.6 ± 2.7 | 12.8 ± 2.8 | 0.568 |
| Gender (M/F) | 13/17 | 21/23 | 0.910 |
| BMI | 27.1 ± 2.4 | 18.9 ± 3.4 | 0.000 |
| Liver size (cm) | 14.0 ± 1.7 | 12.7 ± 1.4 | 0.008 |
| Liver stiffness (kPa) | 4.9 ± 0.6 | 4.6 ± 0.9 | 0.690 |
BMI – body mass index; NG – normal-weight patient group; NHSOG – obese patients without hepatic steatosis
Comparison of the obese patient group and normal-weight patient group in terms of anthropometric measurements and imaging findings
| Variables | OG (n = 76) | NG (n = 44) | p-value |
|---|---|---|---|
| Age | 12.8 ± 2.6 | 12.9 ± 2.8 | 0.940 |
| Gender (M/F) | 37/39 | 21/23 | 0.710 |
| BMI | 30.0 ± 4.3 | 18.9 ± 3.4 | 0.000 |
| Liver size (cm) | 14.7 ± 1.7 | 12.7 ± 1.4 | 0.000 |
BMI – body mass index; NG – normal-weight patient group; OG – obese patient group
Among all obese patients, 30 had no HS (grade 0). There were also 30 patients with grade 1 HS and 16 patients with grade 2 HS. Grade 3 HS was not detected. The comparison of obese patients with grade 0, grade 1, and grade 2 HS in terms of anthropometric measurements, assessed laboratory values, and US and SWE findings is shown in Tab. 4.
Comparison of obese patients with no hepatic steatosis (sonographically grade 0 HS), sonographically grade 1, and 2 HS in terms of anthropometric measurements, laboratory values, and imaging findings
| Variables | Sonographically grade 0 HS (n = 30) | Sonographically grade 1 HS (n = 30) | Sonographically grade 2 HS (n = 16) | ANOVA |
|---|---|---|---|---|
| Age | 12.6 ± 2.7 | 13.0 ± 2.9 | 13.4 ± 2.1 | 0.434 |
| Gender (M/F) | 13/17 | 17/13 | 7/9 | 0.566 |
| Weight (kg) | 67.5 ± 12.3 | 80.2 ± 22.4 | 94.4 ± 15.0 | 0.003b |
| Height (mm) | 157.5 ± 9.9 | 157.7 ± 15.4 | 166.0 ± 5.5 | 0.244 |
| BMI | 27.1 ± 2.4 | 31.7 ± 3.8 | 33.9 ± 4.8 | 0.002a,b |
| BMI Z-score | 1.8 ± 0.4 | 2.3 ± 0.4 | 2.7 ± 0.2 | 0.005a,b |
| BMI percentile | 95.9 ± 3.8 | 97.9 ± 2.2 | 98.2 ± 0.7 | 0.140 |
| Glucose (70–105 mg/dL) | 91.8 ± 11.6 | 90.2 ± 9.6 | 96.3 ± 13.3 | 0.436 |
| Insulin (2.6–24.9 μIU/ml) | 21.3 ± 11.1 | 21.5 ± 15.8 | 32.1 ± 21.2 | 0.210 |
| HOMA-IR | 4.8 ± 3.2 | 4.9 ± 3.8 | 7.6 ± 3.5 | 0.002b,c |
| Triglyceride (0–150 mg/dL) | 113 ± 47.6 | 122.6 ± 54.1 | 154.4 ± 58.6 | 0.005b,c |
| LDL (0–130 mg/dL) | 80.1 ± 21.6 | 87.6 ± 16.4 | 98.1 ± 37.3 | 0.210 |
| HDL (0–55 mg/dL) | 45.6 ± 7.1 | 48.7 ± 6.5 | 44.1 ± 6.9 | 0.266 |
| AST (0–50 mg/dL) | 21.8 ± 5.1 | 25.9 ± 17.1 | 27.3 ± 16.5 | 0.311 |
| ALT (0–50 mg/dL) | 20.1 ± 7.2 | 30.7 ± 23.2 | 38.9 ± 27.6 | 0.003b |
| Liver size (cm) | 14.0 ± 1.7 | 14.6 ± 1.4 | 16.6 ± 1.0 | 0.016b,c |
| Liver stiffness (kPa) | 4.9 ± 0.6 | 5.2 ± 0.9 | 7.5 ± 1.9 | 0.000b,c |
| SII | 480.0 ± 264.2 | 568.9 ± 341.5 | 695.0 ± 297.3 | 0.000a,b,c |
| PIV | 297.5 ± 197.7 | 388.1 ± 289.0 | 550.1 ± 341.8 | 0.000a,b,c |
p<0.05 in grades 0–1,
p<0.05 in grades 0–2,
p<0.05 in grades 1–2
ALT – alanine transaminase; AST – aspartate aminotransferase; BMI – body mass index; HDL – high density lipoprotein; HS – hepatic steatosis; HOMA-IR – homeostatic model assessment for insulin resistance; LDL – low-density lipoprotein; PIV – pan-immune inflammation value; SII – systemic immune inflammation index US – ultrasound
Comparisons between these groups also revealed significant differences in liver stiffness between grades 0 and 2, and between grades 1 and 2 (p = 0.016 and p <0.001), but no significant difference was found between grades 0 and 1 (p >0.05). Significant differences were identified between grade 0 and 1 HS, grade 0 and 2 HS, and grade 1 and 2 HS in terms of SII and PIV values (p <0.001 and p <0.001).
A strong positive and statistically significant correlation between liver stiffness and both SII (r: 0.68, p <0.05) and PIV (r: 0.73, p <0.05) was also found in the study.
The variables did not differ significantly according to gender (p >0.05).
Accurate diagnosis of fibrosis and inflammation is crucial for determining the stage and prognosis of fatty liver disease(20). Due to the potential risks and complications associated with biopsy, noninvasive methods have been increasingly used for the diagnosis and staging of MASLD(21). However, there is still no consensus on the use of noninvasive markers for HS and HF in the evaluation of MASLD.
HS is graded as mild, moderate, or severe based on the evaluation of liver parenchymal echo structure on US, which is the most commonly used imaging method for the initial evaluation of MASLD(19,22). In the present study, 30 obese patients did not have HS, while 46 other obese patients had mild or moderate HS. Severe HS was not detected in the patient group.
Currently, elastographic methods can assess HF noninvasively with high accuracy. A positive correlation between liver stiffness values on SWE and histopathologic HF stages was demonstrated by Yang et al. in adult autoimmune liver patients(5), and by Gharibvand et al. in adult patients with chronic liver disease(7). Garcovich et al. showed that SWE can effectively detect HF in pediatric MASH patients(6). In the present study, liver stiffness in obese children and adolescents was evaluated by SWE compared to a normal-weight healthy control group. Liver stiffness values were significantly higher in the obese group with or without HS. Moreover, while the SWE stiffness value was not found to be significantly higher in patients with sonographically mild HS compared to those without HS, it was significantly higher in patients with moderate HS. At the same time, SWE stiffness values were found to be significantly higher in sonographic moderate HS than in mild HS.
While it is now possible to assess HF and HS noninvasively with relatively high accuracy, noninvasive assessment of inflammation, which has an important role in the development of fibrosis, has not yet been fully achieved(23). Therefore, it has been suggested that plasma cytokines and inflammatory markers may serve as new parameters for MASLD follow-up(9). SII(10,11) and PIV(14,15) are immune-inflammation markers that have been used as prognostic predictors in various diseases. Recently, studies have also investigated the relationship between MASLD and SII(12,13). In a cross-sectional study involving 10,505 participants, Song et al. found that SII levels were significantly higher in adults with HS, and that SII was positively correlated with an increase in HS(13). The present study found that SII and PIVs were significantly higher in obese patients with HS and positively correlated with an increase in HS. In this study, the relationship between liver stiffness values and SII and PIV in obese children and adolescents was investigated for the first time in the literature, and a positive, strong, statistically significant correlation was found.
This study has some limitations. First, sonographically severe-grade HS was not detected among our patients. Second, histopathologic evaluation of the liver could not be performed in the patient group. Other limitations include the lack of long-term follow-up data of the patients and the absence of an evaluation of genetic and lifestyle factors, such as diet and physical activity.
Immune-inflammatory biomarkers and SWE may provide valuable information for assessing HS in obese children and adolescents. Awareness of and clinical use of non-invasive methods in the diagnosis and follow-up of inflammation and fibrosis that may occur due to steatosis are very important. However, our findings should be reinforced by future research, including larger patient groups and histopathologic evaluation.