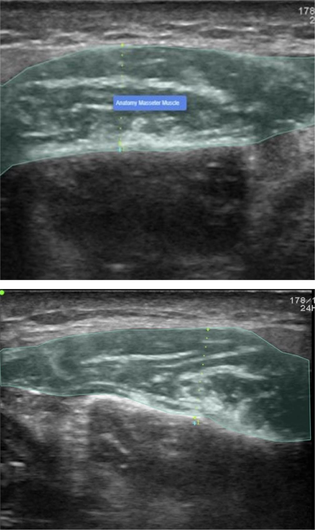
Fig. 1.

Fig. 2.

Evaluation for diagnostic performance by AI model set for masseter muscle segmentation
| U-Net Model | |
|---|---|
| F1 | 1.0 |
| Sensitivity | 1.0 |
| Precision | 1.0 |


| U-Net Model | |
|---|---|
| F1 | 1.0 |
| Sensitivity | 1.0 |
| Precision | 1.0 |
© 2022 Gaye Keser, Ibrahim Sevki Bayrakdar, Filiz Namdar Pekiner, Özer Çelik, Kaan Orhan, published by MEDICAL COMMUNICATIONS Sp. z o.o.
This work is licensed under the Creative Commons Attribution-NonCommercial-NoDerivatives 4.0 License.