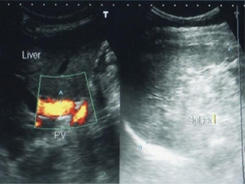
Fig. 1.

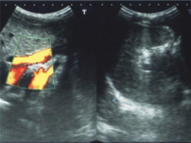
Fig. 2.

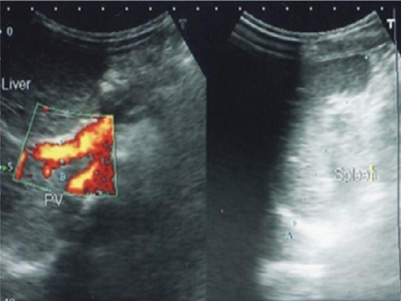
Fig. 3.

Fig. 4.

Fig. 5.

Correlations between spleen size and portal vein diameter
| Variables | Correlation | Spleen in cm | Portal vein in mm |
|---|---|---|---|
| Spleen size in cm | Pearson correlation | 1 | 0.990** |
| Sig. (2-tailed) | 0.000 | ||
| Number of subjects | 8 | 8 |
Age, Spleen caudocranial length, and portal vein diameter
| Variable | N | Range | Minimum | Maximum | Mean | Standard deviation | Standard error |
|---|---|---|---|---|---|---|---|
| Age in years | 1000 | 75.00 | 4.00 | 79.00 | 32.5600 | 16.80 | 1.680 |
| Spleen size (cm) | 1000 | 10.16 | 6.84 | 17.00 | 10.2918 | 1.8908 | 0.18 |
| Portal vein (mm) | 1000 | 9.20 | 6.80 | 16.00 | 10.2759 | 1.7875 | 0.17 |
Coefficients for the regression model of splenic size and portal vein diameter
| Model | Unstandardized coefficients | Standardized coefficients | t | Sig | |
|---|---|---|---|---|---|
| B | Std. Error | Beta | |||
| 1 | (Constant) | 0.737 | 0.197 | 3.742 | 0.000 |
| Spleen | 0.927 | 0.19 | 0.980 | 49.199 | 0.000 |