Molar pregnancy constitutes a benign spectrum of gestational trophoblastic disease (GTD)(1). The occurrence of GTD in Brazil(2) is 5–10 times more common than that in the United States and Europe(3,4). Molar pregnancy is caused by a cytogenetic anomaly in fertilization, and may lead to two clinical forms: a complete and partial hydatidiform mole(1). The clinical significance of this reproduction is the possibility of evolution to gestational trophoblastic neoplasia (GTN), which may cause maternal death if not properly treated(1–4).
A particular form of the clinical presentation of GTD is a twin molar pregnancy with a hydatidiform mole and a coexisting live fetus. This condition is rare, with an estimated incidence of 1 to 20,000–100,000 pregnancies(5). Although the etiopathogenesis of this type of gestation is unclear, several studies have found a correlation of twin pregnancy with a hydatidiform mole and a coexisting live fetus with clinical complications typical of late hydatidiform moles more frequently than in single moles, thus increasing the risk of potentially fatal complications and a near miss(6,7).
In this study we describe the clinical, diagnostic, and therapeutic aspects of a case of twin pregnancy with hydatidiform mole and a coexisting live fetus.
The patient is a 37-year-old Brazilian, white, married woman in her second gestation, with a history of spontaneous abortion. The blood hCG level of the patient was 171 IU/L, measured at a family practice clinic. The patient sought emergency obstetric care at a local community hospital with the complaint of vaginal bleeding, and transvaginal ultrasonography showed a gravid uterus with a single fetus with crown–rump length (CRL) of 34 mm, confirming a gestational age of 10 weeks. The uterus presented a thickened decidua (141 × 44 × 79 mm) that occupied the uterine fundus and body, and a heterogeneous ultrasound pattern, characterized by small anechoic formations suggestive of molar pregnancy. On the same day, and at the same local hospital, the hCG level measurement was repeated, and a result of 9,986 IU/L was obtained. Since there was a suspicion of GTD, the patient was referred to the Rio de Janeiro Trophoblastic Disease Center at the Federal University of Rio de Janeiro (UFRJ).
The patient complained of pelvic pain, uncontrollable vomiting and mild transvaginal bleeding. On clinical examination the patient was pale (2+/4+), hypertensive (blood pressure of 150 × 90 mmHg) and tachycardic (heart rate of 100 bpm), with the uterine fundus enlarged for the gestational age (22 cm). The level of hCG was measured again the next day, and it was 1,881,508 IU/L. A two-dimensional (2D) ultrasound showed an enlarged uterus filled with a heterogeneous pattern and a live fetus of a gestational age compatible with 14 weeks (Fig. 1).
Fig. 1
A. A two-dimensional (2D) ultrasound scan shows a uterus filled with heterogeneous echogenic material. B. A 2D ultrasound scan with color Doppler shows a fetus of a gestational age of 14 weeks and a molar aspect of the placenta

A three-dimensional (3D) ultrasound in HDlive rendering mode showed a realistic image of a fetus coexisting with a hydatidiform mole (Fig. 2). Magnetic resonance imaging (MRI) was performed to better determine the relationship between the living fetus and the hydatidiform mole. T1- and T2-weighted MRI images showed an enlarged uterus filled with amorphous heterogeneous material coexisting with a live fetus (Fig. 3), along with a distinct junction between the myometrium and the molar tissue but without evidence of myometrial invasion. These findings were compatible with the diagnosis of a twin pregnancy with a complete hydatidiform mole and a coexisting live fetus.
Fig. 2
A. A three-dimensional (3D) ultrasound using HDlive rendering mode shows a molar pregnancy (*). B. A 3D ultrasound with HDlive showing a fetus with a gestational age of 14 weeks (arrow) and molar degeneration (*)

Fig. 3
A. Magnetic resonance imaging (MRI; coronal T1-weighted image) shows placental molar degeneration (*) and the fetus (arrow). B. MRI (coronal T2-weighted image) shows placental molar degeneration (*) and the fetus (arrow). C. Three-dimensional (3D) reconstruction from a T2-weighted true FISP sequence (coronal view) showing placental molar degeneration (*) and the fetus (arrow). D. An MRI (axial T2-weighted image) scan shows placental molar degeneration (*) and the fetus (arrow)

After couple counseling, the gestation was maintained, and chorionic villus biopsy and amniocentesis revealed a diploid placenta (46 XX) and a diploid fetus (46 XY). The patient was admitted into obstetric emergency unit with complaints of severe vaginal bleeding, discharge of vesicles (Fig. 4), and severe pre-eclampsia (blood pressure of 170 × 110 mmHg, creatinine of 1.2 mg/dL, AST of 90 U/L). The hCG level on that day was 2,220,890 IU/L, and magnesium sulfate therapy was initiated to prevent eclampsia. Pregnancy was terminated due to the worsening of the mother’s clinical condition, and feticide was performed at 15 + 1 weeks of gestation with a fetal intracardiac injection of 10% KCL, followed by uterine evacuation by hysterotomy. The contents of the cysts were aspirated due to the presence of large bilateral theca lutein cysts.
Fig. 4
The material removed from the vagina, with macroscopy compatible with the diagnosis of a complete hydatidiform mole

Macroscopic examination of the aspirated material showed the presence an enlarged molar mass and a male fetus (Fig. 5). The histopathology results were compatible with a second-trimester abortion and a complete hydatidiform mole, which was confirmed by p57kip2 immunohistochemistry (Neomarkers, Fremont, CA, USA), as shown in Fig. 6.
Fig. 5
Macroscopy of a twin molar pregnancy. We observed a fertilized ovum represented by normal gestation and another ovum represented by a molar placenta without a conceptual product and appendices, suggesting a complete hydatidiform mole

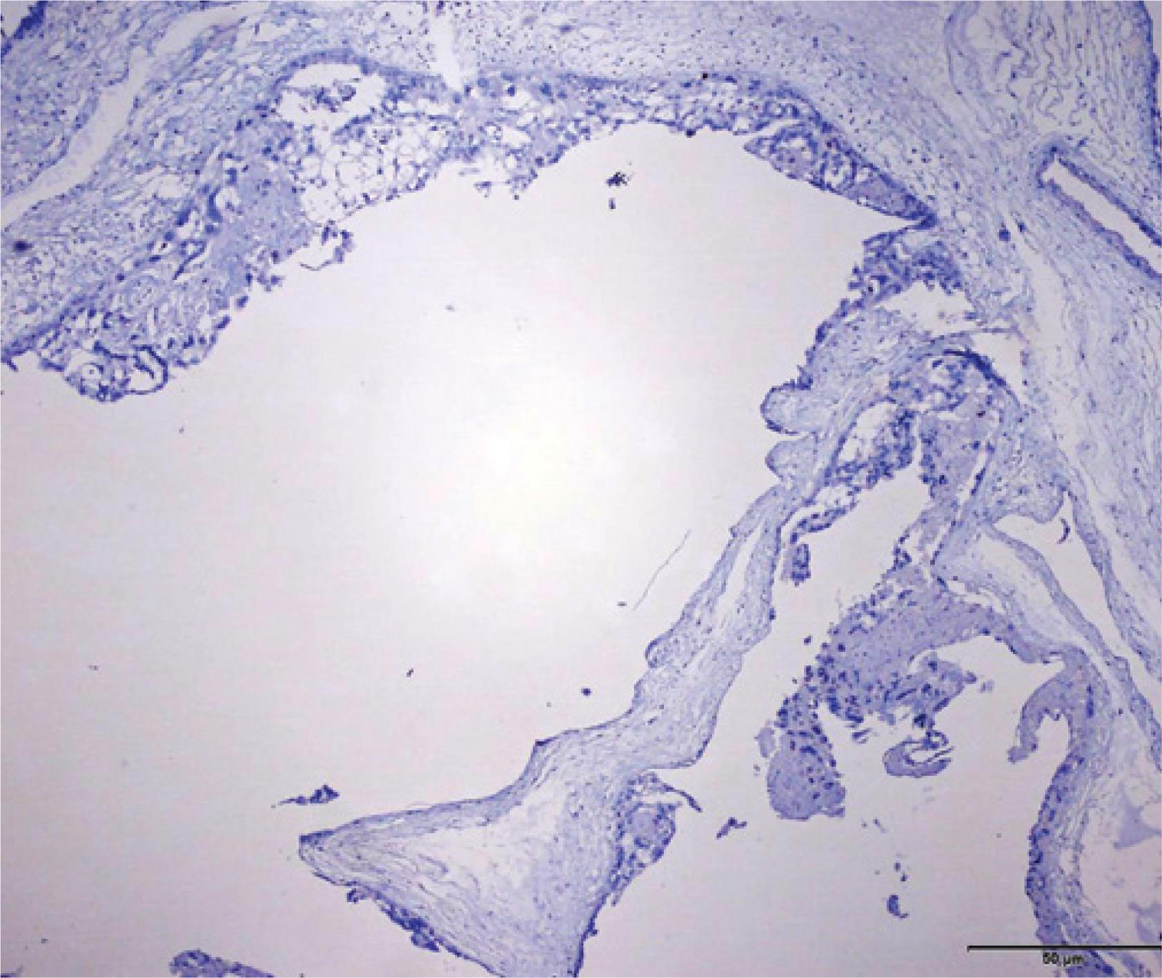
Fig. 6
Photomicrography compatible with a complete hydatidiform mole at different magnifications, compatible with a total absence of p57kip2 (Neomarkers, Fremont, CA, USA) expression in villous stromal cells and the cytotrophoblast, which are a product of diandry

Weekly measurements of hCG were performed during the postmolar follow-up. In the third week after the uterine evacuation, the patient presented with three ascending hCG measurements, which met the International Federation of Gynecology and Obstetrics (FIGO) criteria for GTN. The evaluation of GTN staging by chest computed tomography indicated the presence of three nodules >1.0 cm suggestive of pulmonary metastases, and the hCG level was 489,000 IU/L. Brain MRI was normal. Abdominal and pelvic MRI showed an enlarged uterus (160 × 68 × 80 mm, 452 cm³) and a heterogeneous myometrial mass measuring 6.0 cm, with an irregular contrast uptake similar to a tumor, which occupied the body and fundus of the uterus, and extended to the serosa, and was thus classified as stage III:7 (high risk for chemoresistance).
The patient underwent chemotherapy with the EMA/CO regimen (etoposide, methotrexate, actinomycin-D, cyclophosphamide, and oncovin), achieved remission after five cycles, and received three additional cycles of consolidation chemotherapy. At present, the patient remains under clinical, radiological and hormonal surveillance. Discussion
Twin molar pregnancy is a rare obstetric event, characterized by the coexistence of a hydatidiform mole and a potentially viable fetus with a normal placenta, associated with several pregnancy complications, such as spontaneous abortions, intrauterine deaths, preeclampsia, and hyperthyroidism, potentially leading to an obstetric near miss(8,9).
Several singularities of this clinical case should be emphasized. The first are the serum hCG measurements at falsely low levels, characteristic for the high-dose Hook effect(10,11). Negative or falsely low hCG doses are a rare biochemical phenomenon present in patients with very high levels of hCG (usually >1,000,000 IU/L), which makes its correct measurement very hard, and may lead to a delay in the diagnosis of molar gestation. A simple dilution of the serum sample of 1:10 to 1:1000 could prevent this effect, and allow for the correct measurement of this biological marker of molar pregnancy. After this procedure was performed, the hCG level increased from 171 IU/L to 1,881,508 IU/L just two days later.
Another aspect to be considered is the occurrence of severe clinical complications, including hemorrhage, pre-eclampsia, and hyperthyroidism(12). High levels of hCG lead to TSH suppression, but stimulate the release of thyroid hormones, since the alpha subunit of hCG is homologous to the alpha subunit of TSH. In these cases, the screening of thyroid function and treatment with antithyroid drugs and beta-blockers is important to control the peripheral effects of hyperthyroidism, thus avoiding a thyrotoxic crisis.
The diagnosis of a twin molar pregnancy is clinically challenging. This condition needs to be differentiated from a partial hydatidiform mole, whose ultrasound diagnosis is challenging in the first trimester (sensitivity of 18% to 49%)(13), and placental mesenchymal dysplasia, characterized by the presence of placentomegaly with multiple prominent cysts oriented perpendicularly to the choroidal plaque, without atypical trophoblastic proliferation(14,15). A partial hydatidiform mole occurs with an unviable fetus, and thus gestation should be terminated. On the other hand, placental mesenchymal dysplasia and a twin molar pregnancy can coexist with the presence of a viable and normal fetus. In such cases, the pregnancy may be allowed to progress. Therefore, this differential diagnosis is crucial to prevent unnecessary pregnancy terminations.
Ultra-sonographic diagnosis of a twin pregnancy with a hydatidiform mole and a coexisting live fetus is feasible at the end of the first trimester(16). MRI is essential to differentiate a twin pregnancy with a hydatidiform mole and a coexisting live fetus from a placental mesenchymal dysplasia, because the perinatal prognosis is favorable in the latter. Himoto et al.(17) evaluated three cases of twin pregnancy with a hydatidiform mole and a coexisting live fetus, as well as three cases of placental mesenchymal dysplasia. MRI showed that the twin pregnancy with a hydatidiform mole and a coexisting live fetus was located within an extrafetal sac accompanied by an intralesional and/or extralesional hemorrhage, while placental mesenchymal dysplasia was located within the placenta in the fetal sac without a hemorrhage. Wu et al.(18) described a case of twin pregnancy with a hydatidiform mole and a coexisting live fetus at gestational week 20, and MRI showed a distinct junction between the molar tissue and the myometrium, but no evidence of myometrial invasion, as in our case.
Cytogenetic analysis is crucial to diagnose a twin molar pregnancy. Chorionic villus biopsy combined with amniocentesis can obtain genetic material from the suspected placenta and the fetus with a normal appearance(19). In the reported case, the sexual difference was fundamental to determine the different genetic origin of the conceptual products. For same-sex results, only the determination of the parental origin can help diagnose a complete hydatidiform mole. An interesting alternative for the evaluation of the parental genetic origin is the evaluation of the p57kip2 immunohistochemistry. The manifestation of p57kip2 is related to the genetic characterization of a paternal allele of maternal origin, and can be used in the differentiation between a complete and a partial hydatidiform mole(20). Because a complete hydatidiform mole has an androgenetic origin, maternal alleles are not present in its genetic material, and thus complete moles do not express p57kip2. We observed that the immunohistochemical analysis of the placenta was negative for p57kip2, confirming its parthenogenetic single-parent origin, diploid by karyotype, and a clear case of complete hydatidiform mole.
The suspected or confirmed diagnosis of a twin pregnancy with a hydatidiform mole can lead to two strategies: elective termination of pregnancy due to the high risk to the mother, or comprehensive prenatal care in a Referral Center for GTD. A recent study on the predictors of fetal survival and taking home baby found that hCG levels up to 400,000 IU/L are the best indicators for a favorable perinatal outcome(8). In fact, the occurrence of maternal complications before 20 weeks of gestation increases the chances for elective interruption of pregnancy(5), and is associated with the occurrence of postmolar GTN(9).
In cases in which elective termination of pregnancy is indicated, the technique used to perform this procedure should be chosen carefully, considering that uterine aspiration cannot be performed after the 12th week of gestation due to the presence of a fetal skeleton. In addition, the use of misoprostol in these molar pregnancies is associated with a greater likelihood of massive pulmonary trophoblastic embolization and a subsequent need for chemotherapy(21,22). In the presented case, laparotomy was followed by hysterotomy, as there was no time for fetal elimination with misoprostol, considering the mother’s worsening clinical status.
Our patient recovered from surgery, and entered the postmolar follow-up with weekly measurements of serum hCG levels under strict contraception(1–5,23). Although the literature is not conclusive, most authors did not find a higher risk for postnatal GTN in women with a twin pregnancy with a hydatidiform mole(5,9,24–26). However, the presence of common risk factors for the development of GTN, such as theca lutein cysts, elevated hCG levels, and clinical complications associated with a molar pregnancy also poses a risk for postmolar GTN(5).
The treatment for postmolar GTN after a twin pregnancy with a hydatidiform mole followed the FIGO 2000 guidelines(27). It should be noted that the cure rate of this neoplasia is >98%, even in the presence of multiple metastases, and treatment should occur at Referral Centers(2,28,29).
Although rare, the occurrence of a twin pregnancy with hydatidiform mole should be considered by obstetricians during prenatal care. Normal fetuses in the presence of a molar placenta should encourage diagnostic suspicion. Treatment at Referral Centers, in addition to providing imaging, pathology, and genetic resources for the preliminary analysis of these patients, facilitates systematic postmolar monitoring capable of anticipating disease progression to postnatal GTN and initiation of appropriate chemotherapy with a high chance of cure.