Cancer remains among the most unresolved diseases for human being yet. Colorectal cancer (CRC) is among the most common malignancies and distinguished as a major cause of mortality among human beings. It ranked as the fourth cause of cancer-related death worldwide and responsible for near 1.4 million new cases annually (Arnold et al., 2016).
In the growing list of cancer-related risk factors, viral infections have a special place with a lot of unsolved issues (Haggar et al., 2009; Jemal et al., 2011; Mahmoudvand et al., 2015). Viruses, especially DNA viruses such as polyomaviruses (JCV and BKV), herpesviruses (Epstein-Barr virus), human papilloma viruses and hepatitis B virus are the causative agents of 15–20% of human cancers including Burkitt’s lymphoma, nasopharyngeal carcinoma, Hodgkin’s lymphoma, cervical cancer and hepatocellular carcinoma (Sarvari et al., 2014; Polz-Gruszka et al., 2015; Schafer et al., 2015). Although each virus employs specific mechanisms of cancer induction, tumorigenic viruses contain oncogenes, which promote transformation of the infected cells, mostly by functional disruption of regulatory proteins, p53 and pRb (Chen et al., 2014). Recently, a number of studies suggested that viruses such as human papillomavirus (HPV), BK, JC and EBV may be related to the outcome of colorectal cancer (Antonic et al., 2013).
EBV, as a ubiquitous herpesvirus, has a widespread distribution among human populations (Moeini et al., 2015). After primary infection through saliva, it establishes a persistent and lifelong infection in almost all individuals. While the direct role of EBV in the progression of a number of malignancies, including Burkit lymphoma, nasopharyngeal carcinoma and gastric cancer has been revealed (Kadivar et al., 2011), its impact on colorectal cancer development remains controversial (Fiorina et al., 2014).
Polyomaviruses including JCV, and BKV are prevalent small and non-enveloped viruses that contain a 5Kb circular double-stranded DNA genome (Pinto and Dobson 2014). The large or small T antigen (TAg or tAg) and agnoprotein of JCV have been implicated in blocking of p53 or pRb functions, interaction with β-catenin that consequently induces chromosomal instability, promoting gene damage and neoplastic conversion (Nosho et al., 2009; Collins et al., 2011). Moreover, JCV genome sequence as well as T-antigen expression have been detected in a broad range of brain tumors (Collins et al., 2011; Mou et al., 2012), indicating a possible association with its carcinogenesis. However, if JCV is attributed to the establishment or progression of colorectal carcinoma remained to be elucidated well (Rollison et al., 2010; Sinagra et al., 2014). BKV, another species of polyomaviruses, has also been proposed as a tumor virus, whose expression of oncoproteins, TAg and tAg transforms and immortalizes the rodent and human cells (Abend et al., 2009). As the evidence supporting the strong association of BKV infection or expression of its proteins with tumor development in the case of colorectal cancer is limited, the subject needs to be delineated further (Giuliani et al., 2008; Abend et al., 2009).
Cancer is the third cause of death in Iran. Following lung and breast cancers, colorectal cancer is the third most common cause of cancer here (Mousavi et al., 2009). The incidence rate of colorectal cancer in Iran is 5000 new cases annually, which lead a mortality rate of 2 per 100,000 cases (Esna-Ashari et al., 2009). Although different reports regarding the possible correlation between viral infection and colorectal cancer have been published from Iran, studies which investigated the role of EBV, JCV and BKV in this kind of cancer are scanty. Therefore, this study was conducted to evaluate the association between EBV, JCV and BKV infections and adenocarcinoma/adenomatous colorectal cancer in a population from the southwest of Iran.
Patients and samples. Two hundred ten paraffin-embedded biopsy specimens, including 70 adenocarcinoma colorectal tissues, 70 adenomatous colorectal tissues and 70 normal colorectal tissues were included in this study. The samples were collected from Faghihi Hospital, a teaching hospital affiliated to Shiraz University of Medical Sciences. The state of cases and relevant tissue samples had been examined by a specialist pathologist and the selected ones prepared according to the pathology reports (Fig. 1) from early 2012 to late 2013. The study was approved by the Ethics Committee of the University and the informed consent was obtained from all patients before sampling.

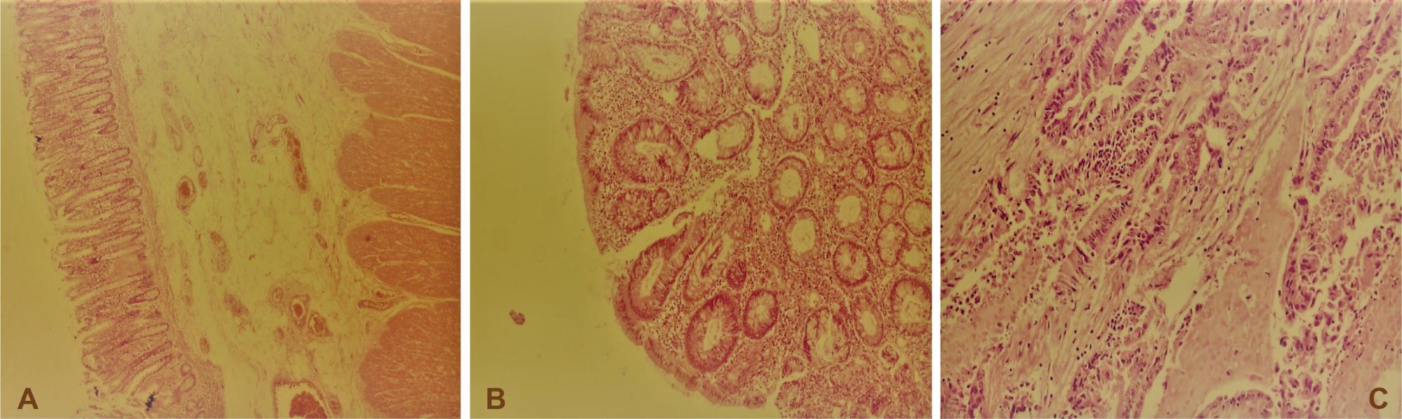
Histopathology evaluation of different human colorectal tissues.
A: A photomicrograph of human normal colorectal mucosa. B: A photomicrograph of human colorectal adenomatous C: A photomicrograph of human colorectal adenocarcinoma. (H&E×250)
DNA extraction. Paraffin-embedded tissue samples were cut and deparaffinized by adding xylene as described before (Bakhtiyrizadeh et al., 2017). Briefly, the samples were vortexed and incubated at room temperature and underwent centrifugation at 14.000 RPM for 5 min. Then, the supernatants were detached and absolute ethanol was added to each tube then incubated for 5 more minutes at room temperature. Finally, the tubes underwent high-speed centrifugation and the supernatants were discarded. Both steps were repeated once. In the final step, the tubes were incubated at 37°C until the ethanol evaporated. The total DNA was then extracted using a QIAamp DNA minikit (Qiagen Inc., Düsseldorf, Germany) according to the manufacturer’s instructions. The extracted DNA was stored at −20°C until use.
Polymerase Chain Reaction (PCR). To confirm the quality of the extracted DNA, all the DNA samples were primarly subjected to β-globin gene PCR with primers PCO3/PCO4 (Table I) and unsuitable negative samples were excluded from further experiments (Bakhtiyrizadeh et al., 2017). The PCR reactions were performed in a total volume of 25 μl, containing 1 mM MgCl2, 200 μM (each) deoxyribonucleotide triphosphates (dNTPs), 1 U Taq DNA polymerase (CinnaGene Inc., Iran) and 1 μM of each specific primers. Specific primers targeting LMP-1 for EBV, TAg for BK and JC viruses and regulatory regions of BKV were selected from previous studies (Nickeleit, Klimkait et al. 2000, Hoshida, Tomita et al. 2004, Giraud, Ramqvist et al. 2008), as shown in Table I. To make sure of the validity of the tests, a set of control positive BKV, JCV and EBV DNA samples were also provided by other colleagues (Emami et al., 2015) from transplant research center, affiliated to Shiraz University of Medical Sciences and included in all runs.
The sequences and other characteristics of primers.
The screening PCR tests for β-globin were carried out as follows: primary 10 min initial denaturation at 94°C, 35 cycles of denaturation at 94°C for 45 s, annealing at 44°C for 45 s, extension at 72°C for 1 min following a final extension at 72°C for 10 min. All the positive β-globin gene PCR samples were introduced into further confirmatory EBV, JCV and BKV PCRs, using specific primers. PCR program for amplification of LMP-1 region of EBV was set using HIW1/2 primer pair as follows: 10 min initial denaturation at 95°C, 50 cycles of denaturation at 95°C for 1 min, annealing at 58°C for 1min, extension at 72°C for 90 sec following a final extension step at 72°C for 8 min. PCR tests for Large T-antigen coding region of JCV was performed by the help of PEP-1/2 as follows: 10 min initial denaturation at 95°C, 50 cycles of denaturation at 95°C for 1 min, annealing at 48°C for 1 min, extension at 72°C 2 min, and a final extension at 72°C for 8 min. PCR targeting regulatory regions of BKV was performed with BRP-1/2 primers, as follows: 10 min initial denaturation at 95°C, 35 cycles of denaturation at 95°C for 1 min, annealing at 62°C for 1 min, extension at 72°C for 90 sec, and final extension at 72°C for 8 min. The PCR products were then loaded into 1.5% agarose gel, stained with 1% ethidium bromide, and visualized under UV exposure.
Statistical analysis. Data were analyzed using SPSS 16 (SPSS Inc., Chicago, IL, USA) software. Fisher’s exact test was used for data analysis. A P-value below 0.05 was considered as statistically significant.
Totally, 217 samples were selected primarily for early assessment, and then 210 specimens were included based on β-globin gene positive signals in electrophoresis. Out of 210 subjects included in this study, 98 were female and the rest were male. The mean age was 52 ± 1.64 SD years and the patients’ age ranged between 22 and 87 years. Out of 140 patients of the study group, 63 and 77 were female and male, respectively. Out of 70 indi viduals in the control group, 35 were female and the rest were male. Anatomic locations of the samples were 89 (42.38%) colon tissue, 28 (13.33%) rectum tissue, 24 (11.42%) sigmoid tissue, and 69 (32.85%) other tissues.
On the bases of grading system, out of 70 colorectal adenocarcinoma, 48 well differentiated, 17 moderately differentiated, 3 poorly differentiated and 2 invasive sample were determined. Also, regarding the staging system of 70 colorectal adenocarcinoma 8 stage I, 1 stage II, 18 stage IIA, 1 stage IA, 1 stage IIIA, 1 stage IB, 1 stage IIB, 12 stage IIIB, 1 stage IIC, 3 stage IIC, 1 stage IV and 1 stage IVB were histologically recognized.
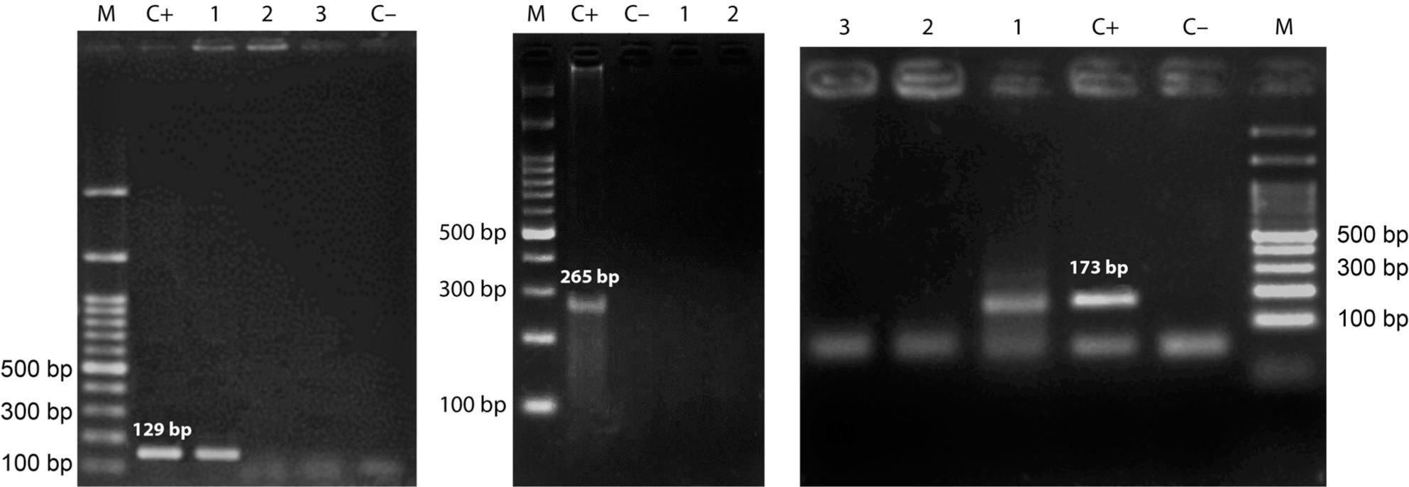
Those extracting DNAs that were positive for β-globin gene amplification reaction, showed a 110 bp band in electrophoresis indicative of the integrity of samples for further experiments. All the 210 suitable DNA samples were then subjected to EBV, JCV, and BKV DNA sequence detection. After electrophoresis of PCR results, detection of 129, 265 or 173 bp amplicons on electrophoresis were indicative of EBV, BKV and JCV, respectively, as depicted in Fig. 2. From all investigated specimens, the EBV and JCV genome was identified in only 1 of adenocarcinoma samples. All of adenomatous and normal biopsy specimens were negative for both viruses. Moreover, none of the 140 patients and 70 healthy biopsy specimens was positive for BKV using specific primer set.

Results of gel electrophoresis.
(A) PCR analysis of DNA samples using type-specific primers for EBV. M: 100 bp Marker, C+: Control positive, C–: Negative control, 1 (a positive sample), 2 and 3: negative samples. (B) PCR analysis of DNA samples using type-specific primers for BKV. M: 100 bp Marker, C+: Control positive, C–: Negative control, 1 and 2 and negative samples. (C) PCR analysis of DNA samples using type-specific primers for JCV. M: 100 bp DNA Marker; C+: positive control; C–: Negative control; 1(a positive sample), 2 and 3: Negative samples.
Statistical analysis did not show any significant differences in the frequency of EBV, JCV and BKV DNA between adenocarcinoma/adenomatous, colorectal tissue and normal biopsy specimens. The analysis also revealed no differences in the frequency of EBV, JCV and BKV DNA between adenocarcinoma and normal colorectal tissues. Totally, EBV and JCV DNA were detected in only adenocarcinoma but not adenomatous or normal biopsy specimens. Regarding the sex of the infected subjects, both infected samples were female. Although the EBV and JCV DNA were detectable only in female patients, the difference was not statistically significant. Clearly, considering the very low frequency of positive samples, there was no significant correlation between grade and stages of malignancy and virus frequency. The age of the EBV and JCV positive patients were 56 and 58 years, respectively; which was a little older than the mean age of the participants. The anatomic location of EBV and JCV positive samples was colon tissue.
Among all the human tumors, CRC with more than 1 million new affected cases annually is categorized as the third most common cancer, worldwide (Parkin, Bray et al. 2005). In a similar pattern, in Iran, CRC is recognized as the third most common type of cancers following lung and breast cancers (Kolahdoozan et al., 2010). While the role of viruses such as EBV, JCV, and BKV in tumor development has been suggested (Hollingworth et al., 2015), their true impact on the development of CRC remained to be determined. Herein, we conducted a study to investigate EBV, BKV and JCV virus presence in colorectal tumor tissue, including 70 adenocarcinoma and 70 adenomatous samples in comparison to 70 normal colorectal tissues.
In our study, EBV DNA was detected in only 1 out of 70 (1.4%) adenocarcinoma colorectal tissues while the rest were negative. Regarding the very low frequency, statistical analysis did not show a significant difference among groups. In parallel with our result, Militello et al. reported a very low frequency of EBV DNA in 72 cancerous and cancer-adjacent mucous samples (4.2% versus 1.4% ) (Militello et al., 2009). Boguszakova et al. also failed to detect EBV DNA in the biopsy specimens from adenocarcinoma/adenomatous colorectal tissues (Boguszakova et al., 1988). Similarly, Cho et al. reported no sign of EBER gene expression in colorectal tumor specimens, from 274 Korean patients. (Cho et al., 2001). Differently, high frequency of EBV genome was recognized in a similar frequency in both cancerous and normal colorectal samples. In Italy, Fiorina et al. reported the presence of EBV DNA in 52% of CRC tissues without including a negative control group. They also showed that most of EBV infections are latent in infiltrating lymphocyte as just a small part of the cells was positive for BZLF-1, a marker of lytic replication (Fiorina et al., 2014). In Iran, reports demonstrated the high but similar frequency of EBV at tumor samples, polyp specimens and non-malignant control group (Mehrabani Khasraghi et al., 2015; Tafvizi et al., 2015). These data are supportive for the absence of a significant correlation between EBV and CRC development.
In opposite, Liu et al. in China showed that EBV DNA is detectable in 21% (26/136) of adenocarcinoma/adenomatous specimens and introduced EBV as a carcinogenic agent in colorectal cancer, a finding that was achieved by performing 3 different detection methods (Liu et al., 2003). In another study, EBV DNA was detected as a prevalent pathogen in 19% of 186 cases of sporadic colorectal cancer by using PCR assay albeit no normal control specimens were included (Karpinski et al., 2011). Ruschoff et al. found EBV genome in 15% of cases with colorectal malignancy by using PCR, and then suggested its association with colorectal tumor (Ruschoff et al., 1997). Hence, from pioneer studies EBV has been suggested to be a colorectal cancer associated virus (Kim et al., 1998; Grinstein et al., 2002).
From all the findings, a clear controversy arose regarding the direct role of EBV in CRC development. Whereas reports suggesting the tumorigenic role of EBV are abundant, studies acclaiming no association with CRC are limited, as ours one. This type of controversy may lie in the differences of genetic background, geographical differences, possible co-factors effects as well as sample size. Otherwise, contamination during sample preparation as well as differences in the detection limit of the methods may inevitably explain these diversities (Mehrabani Khasraghi et al., 2015). Separately of all the subjects, in some reports, the misleading achievements may be obtained due to tumor-infiltrating lymphocytes (TILs) and the site of sampling which may harbor latent viruses (Karpinski et al., 2011).
In the case of JCV, only one cancerous sample was diagnosed to be infected with the virus. In agreement with our results, in two other large studies, the frequency of JCV infection was reported 1% and 0% of the investigated CRC tissues (Losa, Fernandez-Soria et al., 2003; Newcomb et al., 2004). Also, in studies from Italy, none of 72 and 71 cancerous and paired adjacent samples were positive for JCV (Giuliani et al., 2008, Militello et al., 2009). Moreover, Lundstig et al. showed no increased risk for colorectal cancer among subjects seropositive for JCV in a large prospective follow up in healthy Norwegian male subjects (Lundstig et al., 2007). However, others reported the presence of JCV DNA with different frequencies in colon cancer specimens in different areas (Laghi et al., 1999; Enam et al. 2002; Mou et al., 2012). The first report considering the implication of JCV in CRC establishment was presented by Laghi et al., following an investigation on 24 specimens with 96% positive signal for virus DNA (Laghi et al., 1999). In recent efforts, JCV infection in CRC tissue has been detected more prevalently than normal colon sample by using a molecular assay (Mou et al., 2012; Ksiaa et al., 2015) Also in Portugal, Coelho et al. reported the rate of 40% and 90% JCV DNA in normal mucosa from the control and patient subjects, respectively (Coelho et al., 2013). They suggested a selective advantage for expanding virus harboring cells toward colorectal tumor progression. Karpinski et al. reported 9% frequency of JCV infection among 186 tissues from colorectal cancer in Poland (Karpinski et al., 2011). The possible reason behind the variation in findings is including differences in the detection limit of the assays between laboratories, patient genetic background, and possible contamination of specimens (Rollison et al., 2010). As a low copy-replicating virus, JCV viral load in the colorectal tissue is expected to be under the detection limit of some molecular methods, reasons behind the diversity of immunohistochemistry, PCR, and real-time PCR assays as described before (Laghi et al., 1999). As mentioned for EBV, age, gender, area of study as well as the lifestyle could also contribute to different rates of JCV infection. Besides all, the site of sampling may also reflect different types of findings due to the diversity of resident cells.
In the case of BKV, none of the samples were positive for BKV genome. Although BKV and JCV are in the same family, clues regarding the role of BKV in tumor induction is not as much as for JCV. In agreement with this, in a study from Italy, no evidence for the BKV contribution in colorectal cancer development was reported (Militello et al., 2009). Moreover, Lundstig et al. showed no increased risk for colorectal cancer among subjects seropositive for the BKV in a large prospective study of Norwegian men (Lundstig et al., 2007). Others showed the presence of BKV DNA sequence in 9% (6/66) of Italian patients with colorectal cancer (Giuliani et al., 2008). Regarding the above results, BKV infection might not be involved in the pathogenesis of colorectal cancer as none of the aforementioned studies reported an association with colorectal cancer development.
In our study, the age of only one EBV positive patient was 56 years that was a little older than the participants’ mean age. In another report from Iran, Mehrabani et al. reported the highest prevalence of EBV in patients with colorectal cancer aged 35–55 years and over 55 years (Mehrabani Khasraghi et al., 2015). Furthermore, the prevalence of EBV in men and women was determined 53.3% and 25%, respectively (Mehrabani Khasraghi et al., 2015). In our study, the anatomic locations of EBV and JCV positive sample were from the colon tissue. Mehrabani Khasraghi et al. reported the highest prevalence rate of the virus in the proximal colon (Mehrabani Khasraghi et al., 2015). In the present study, EBV and JCV positive samples were from females’ subjects. Although the frequency of EBV positive cases was higher in the colorectal cancer tissues from females than males, the difference was not statistically significant (p = 0.41). Collectively, statistical analysis showed no significant association between the frequency of EBV and age, gender and anatomic location in patients with colorectal cancer in our and others’ studies.
While the results may be supported by some other aforesaid studies, limitation, including small malignant sample size, duration of sampling, employment of an endpoint PCR assay and a paraffin-embedded moiety of samples should be considered for future study as they all restrict the detection potency and final conclusion. In conclusion, the results suggested that EBV and JCV infection is not common in patients with colorectal cancer in our population. Moreover, BKV might not be involved in the pathogenesis of colorectal cancer. The study collectively indicated a very low frequency of BKV, EBV and JCV in the colorectal cancer tissue among our population; however, the findings merit more investigations on a large number of cases.