Multi-detector computed tomography (MDCT) is a powerful modality for clinical detection of chest disease especially lung cancers at a smaller size of nodule and earlier stage compared with chest radiography [1, 2]. However, patients undergoing lung screening and patients with the small solitary pulmonary nodules are usually required to follow-up the nodule size several times to evaluate malignancy. This issue has raised concerns for patients owing to the associated radiation exposure and its potential risk of cancer induction [3-5]. At present, the automatic exposure control (AEC) technique has been extensively implemented for reducing the radiation dose in MDCT. Targeted SD is also a part of the AEC system designed by imaging system manufacturers to select the desired image quality by fixing the image noise level according to the clinical purposes. Low targeted SD indicates higher image quality with excess radiation to patients. Therefore, proper selection of a targeted SD is a crucial part for optimizing the image quality and radiation dose in MDCT. Although previous studies suggest strategies that are used to optimize the radiation dose for MDCT [1-4, 6-12], most studies did not focus on the targeted SD optimization in CT of the chest with lung nodule detection.
This study aimed to optimize the balance between the radiation dose and image quality when varying targeted SD, kVp, and helical pitch in MDCT examinations for pulmonary nodule detection using a lung phantom.
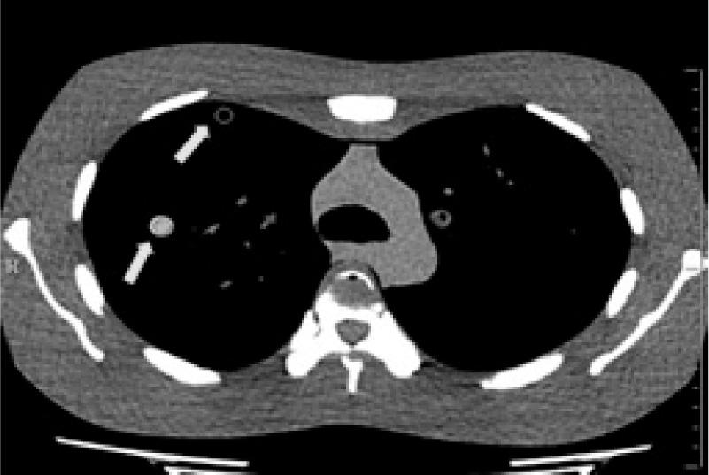
This study was approved by the institutional review board (IRB) of the Faculty of Medicine, Chulalongkorn University (certificate of approval No. 140/2013; IRB No. 078/56). A multipurpose anthropomorphic chest phantom model N1 Lungman (Kyoto Kagaku, Japan) was used to simulate a standard human chest. This phantom is an accurate life-size anatomical model of a human torso. The inner components of the phantom consist of mediastinum, pulmonary vasculature, abdominal block, and synthetic bones that have x-ray attenuation rates relatively to those of human tissues (Figure 1A). To mimic pulmonary lesions, five sizes of spherical simulated nodules of 12, 10, 8, 5, and 3 mm in diameters with a CT number of 100 Hounsfield Units (HU) (Figure 1B) were attached into the lung field of the chest phantom, i.e. right upper lobe (12 mm), central of left upper lobe (10 mm), right lower lobe (8 mm), 1/3 in peripheral of left lower lobe (5 mm), and central of right middle lobe (3 mm) respectively.
Figure 1
The inner components of the LUNGMAN phantom, B: Various sphere sizes of simulated lung nodules of 3, 5, 8, 10, and 12 mm in diameter

All experiments were conducted with a 320-slice MDCT system (Aquilion ONE, Toshiba Medical Systems) at the Department of Radiology, King Chulalongkorn Memorial Hospital, Thai Red Cross Society, Bangkok, Thailand. The chest phantom was placed and entered into the CT gantry in a head-first supine position, and was acquired from the lung apices to the diaphragm by varying beam pitch of 0.637, 0.813, and 1.388, tube voltage at 120 and 100 kVp, and targeted SD of 9, 14, 20, and 25 respectively. The AEC function was selected with a range of the tube current between 10 and 400 mA. All other scanning parameters were constantly kept for all data acquisitions as follows: helical scan mode; 80 mm × 0.5 mm detector configuration; 5 mm slice thickness; rotation time of 0.5 s; scan FOV of 314 mm; 360 mm scan length; Adaptive Iterative Dose Reduction in 3D (ADIR 3D) algorithm was used for the image reconstruction. The real-time displays of volume CT dose index (CTDIvol) from the CT monitor were recorded to assess the radiation exposure in each CT protocol.
The CTDIvol was verified for the accuracy, reproducibility, and confidence of using these values. A 32-cm diameter polymethylmethacrylate (PMMA) CT dose index body phantom was used. The measurement was performed by placing a 100 mm pencil-shaped ionization chamber model RaySafe Xi CT detector (Unfors RaySafe Instruments, Billdal, Sweden) at the center and the peripheral positions of the body phantom at the isocenter of the CT bore. The scan parameters were 100 mA, 1 s scan time, 400 mm FOV, and 4 × 4.0 mm collimation setting for all measurements at kVp 80, 100, 120, and 135 respectively. The PMMA body phantom was scanned three times for each kVp setting. The real-time CTDIvol displayed on CT monitor were recorded and compared with the measured values in percent difference.
The contrast-to-noise ratio (CNR) was measured by placing the 2 circular regions of interests (ROIs) of similar areas within the nodule and background at the same slice to determine objective image quality (Figure 2). Each nodule was measured three times, and the size of ROI was approximately 90% of nodule’s boundary. The mean CT number and mean SD within the ROIs were recorded. The SD in the ROI of the background was used to define noise. The CNR is determined using the following formula:
where CTnodule and CTbg are the mean CT number of nodule and background respectively, and SDbg is a standard deviation of the background. To eradicate the variance from the nodule location, the CNRs of the simulated nodules of 12, 10, 8, 5, and 3 mm in diameter were grouped.
Figure 2
The location of ROIs for measuring the CT number of nodule and background

The CNRs calculated from different scanning parameters were then normalized at targeted SD 9, helical pitch 0.813 and 120 kVp in order to obtain the %CNR in each protocol. The %CNR using the following formula:
where CNR is the CNR(targeted SD 9, pitch 0.813, 120 kVp) baseline obtained from the routine-setting CT chest protocol at King Chulalongkorn Memorial Hospital.
The evaluation of nodule detection capability was performed by two independent radiologists who have similar experience in chest CT interpretation (TT and PH). They were blinded to the CT scanning parameter techniques, and the CT images were analyzed in randomized order by each reader. Nodule detection capability was graded on a PACS workstation using a five-point rating scale: where 1 denotes unsatisfactory (visualize blur of all simulated pulmonary nodules); 2 denotes poor (visualize clearly 12 mm, partly visualize 10 mm in diameter); 3 denotes acceptable (visualize clearly 10 and 8 mm, partly visualize 5 mm in diameter of simulated nodule); 4 denotes good (visualize clearly 5 mm, partly visualize 3 mm in diameter of simulated nodule); and 5 denotes excellent (visualize all simulated nodules with a sharp edge).
To evaluate interobserver reliability between two radiologists, the kappa (k) test was used for subjective image quality analysis with k < 0.20, significant poor agreement; k = 0.20-0.40, fair agreement; k = 0.41-0.60, moderate agreement; k = 0.61-0.80, good agreement; and k = 0.81-1.0, perfect agreement [13].
The optimal protocol for MDCT chest in this work was selected by considering the targeted SD, beam pitch number, and kVp indicating the lowest possible radiation dose with acceptable image quality for lung nodule detection by two radiologists.
The results of the radiation dose at various targeted SD, helical pitch, and tube voltage are illustrated in Table 1. At the baseline-setting protocol provided the CTDIvol of 5.9 mGy. The highest CTDIvol of 7 mGy was found at targeted SD 9, pitch 0.637 and 120 kVp, whereas the lowest CTDIvol of 0.7 mGy resulted in approximately 10-fold radiation dose reduction was obtained at targeted SD 25, pitch 0.813 and 120 kVp. The variation on targeted SD from 9 to 25 at pitch 0.813 resulted in a radiation dose reduced from 5.9 to 0.7 mGy for 120 kVp, and 5.3 to 0.8 mGy for 100 kVp respectively.
Radiation exposure from various targeted SD and helical pitch at 120 and 100 kVp
| kVp | Pitch | Targeted SD | CTDIvol (mGy) |
|---|---|---|---|
| 120 | 0.637 | 9 | 7 |
| 14 | 3.1 | ||
| 20 | 1.2 | ||
| 25 | 0.9 | ||
| 0.813 | 9 | 5.9 | |
| 14 | 2.5 | ||
| 20 | 1.1 | ||
| 25 | 0.7 | ||
| 1.388 | 9 | 6.5 | |
| 14 | 2.7 | ||
| 20 | 1.3 | ||
| 25 | 0.9 | ||
| 100 | 0.637 | 9 | 6 |
| 14 | 2.4 | ||
| 20 | 1.3 | ||
| 25 | 0.8 | ||
| 0.813 | 9 | 5.3 | |
| 14 | 2.5 | ||
| 20 | 1.2 | ||
| 25 | 0.8 | ||
| 1.388 | 9 | 6.2 | |
| 14 | 2.4 | ||
| 20 | 1.4 | ||
| 25 | 0.9 |
Table 2 demonstrates the percent dose reduction of the CTDIvol on different targeted SD and helical pitch, at 120 and 100 kVp compared with the default setting MDCT chest protocol from manufacturer’s scanner at King Chulalongkorn Memorial Hospital. It is found that the increasing of targeted SD from 9 to 25, and helical pitch from 0.637 to 1.388 resulted in the radiation dose decreased by “88% approximately at 120 kVp, and “86% at 100 kVp, meanwhile the optimal protocol at targeted SD 20, pitch 0.813 at 120 kVp can decrease the radiation dose by “81% approximately.
The percent reduction of CTDIvol compared with the default setting protocol with increasing targeted SD and helical pitch at 100 and 120 kVp
| kVp | Pitch | %CTDIvol reduction | |||
|---|---|---|---|---|---|
| Targeted SD | |||||
| 9 | 14 | 20 | 25 | ||
| 100 | 0.637 | +1.69 | –59.32 | –77.97 | –86.44 |
| 100 | 0.813 | –10.16 | –57.63 | –79.66 | –86.44 |
| 100 | 1.388 | +5.08 | 61.02 | 77.97 | 84.75 |
| 120 | 0.637 | +18.64 | –47.54 | –79.66 | –84.74 |
| 120 | 0.813 | 0 (default) | –40.68 | –81.35 | –88.14 |
| 120 | 1.388 | +10.17 | –54.24 | –77.97 | –84.74 |
A scatter chart representing the average %CNR obtained from all simulated nodule sizes plotted against with the CTDIvol in each of acquisition protocol for 120 and 100 kVp is presented in Figure 3. It is demonstrated that the %CNR increases with increasing the radiation dose with R2 = 0.867 for 120 kVp, and R2 = 0.852 for 100 kVp. The %CNR of 120 kVp is higher than 100 kVp for all targeted SD and pitch, because higher kVp increases the number of photons reaching the detectors. The highest %CNR was observed at targeted SD 9, helical pitch 0.637, and 120 kVp, which is provided the highest radiation dose as well. The lowest %CNR was obtained at targeted SD 25, helical pitch 1.388, and 100 kVp.
Figure 3
The relationship between average %CNR for all lung nodule sizes and radiation doses obtained from 320-slice MDCT with various targeted SD and beam pitch for 120 and 100 kVp

For the subjective image quality interpreted by radiologists, the 2 readers had substantially interobserver agreement for nodule detection capability (k coefficient = 0.66, P < 0.05).
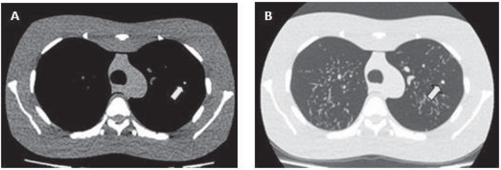
Figure 4 demonstrates an example of cross-sectional thoracic slice of CT chest acquired by the optimal protocol at target SD of 20, pitch 0.813 and 120 kVp. The CT images are displayed by window level/width (WL/WW) setting of 60/360 HU for soft tissue window (Figure 4A), and window level/width of –600/1600 HU for lung window (Figure 4B) with 5 mm simulated nodule at the 1/3 in peripheral of left lower lobe. Following the consideration for selecting the optimal protocol in our study indicated that this low-dose protocol provided an acceptable image quality of %CNR of 62% with the image scoring of 4 evaluated by 2 radiologists for nodule detection capability 5 mm, and provided the lowest radiation dose compared with other scanning protocols.
Figure 4
Computed tomography chest images with 5 mm nodule in diameter (arrow) at target SD 20, 10–400 mA, pitch 0.813 and 120 kVp, and displayed with (A) soft tissue window, WL/WW setting of 60/360 Hounsfield Units (HU) and (B) lung window, WL/WW setting of –600/1600 HU

Because an academic and social interest in radiation dose reduction for CT examinations without any decrease in diagnostic capability has been growing, the modern MDCT provides a beneficial function such as automatic mA modulation to optimize the radiation dose to patients [14-16]. Targeted SD is a crucial parameter affecting the radiation dose and image quality in MDCT. In the present study, we attempted to improve the protocol for the clinical chest CT study using an appropriate targeted SD and beam pitch to obtain the lowest possible radiation dose, while preserving acceptable image quality.
In the present study, the small focus was set at all acquisitions except at pitch 1.388 on targeted SD 9, so the CTDIvol is higher than the other pitch because the switching from the small focus to the large focus is automatically adjusted the scanning parameters to 120 kVp, 200 mA and 100 kVp, 240 mA. The results of the greater area of the large focus could yield an increased photon flux [15, 16].
For the CTDIvol verification, almost of the values displayed on the monitor were greater than the values measured in PMMA body phantom (Figure 5). The %difference tends to increase with increasing the kVp function. The highest %difference between the displayed and measured CTDIvol values of 8.82% was found at 135 kVp. However, it is reasonably accepted within ±10% using these values [17]. The discrepancy between the measurement and the displayed values result from the uncertainty of chamber position, chamber type and measurement scenario such as the precision of reading, tube loading, the phantom construction, over scan phenomenon, the detector response in phantoms, and the inaccuracy of laser beam alignment.
Figure 5
Plot of volume of computed tomography detector index (CTDIvol) displayed on the monitor (solid line) and measured CTDIvol (dash line) using body technique as a function of kVp for CTDIvol verification of less than 10% discrepancy

A helical pitch 0.637 presented the highest %CNR compared with other pitches for all nodule sizes and targeted SD at both kVp because a low pitch provides low image noise. The %CNR reduced by “50 to “55% when the targeted SD increased from 9 to 25 for all nodule sizes. However, large variation in %CNR of small size nodules, especially nodule sizes 5 and 3 mm diameters were observed. The main variable factors result from the unstable sites of circular ROIs on a very small sized nodule. This also affected to variation of mean CT number of nodule and the SD value of the background.
In a clinical situation, the lung nodules that have a clinical significance are noncalcified nodules (30–40 HU) and ground glass nodules (less than 30 HU) [11, 18]. However, these CT numbers are much lower than CT numbers of simulated nodules designed by manufacturer of the lung man chest phantom in this study (100 HU), which represents the calcified nodules. This is a limitation of this study. Because of the lower CT number of ground glass nodules, noise makes lesion detection more difficult, and ground glass nodules can be missed [18]. Hence, we should be concerned when higher targeted SD and low tube current have been used. As the locations of simulated nodules of all scans were fixed, two readers can recognize the location of simulated nodules. This is another limitation in this study.
Although the appropriate targeted SD was determined by considering the lowest radiation dose with acceptable image quality, optimization protocol should be set up for the benefit of patients in accordance with the clinical purposes. For routine chest CT, the mediastinum, hilar, and pleura should be acquired using a pitch number <1 with high kVp for multi-slice CT. Using targeted SD 20, helical pitch 0.813, and 120 kVp provided the CTDIvol of 1.1 mGy, with an acceptable image quality of %CNR for 62% for nodule detection capability 5 mm with the same agreement interpretation of two radiologists. Although the %CNR reduced by 38% approximately, the simulated nodules can be detected by two readers. This indicated that our low-dose recommended protocol is suitable for using as optimal protocol based on the targeted SD for routine CT chest. However, additional implementation for clinical study in patients is required for further study.
The targeted SD can be revised according to the clinical investigation to keep balancing between patient radiation dose and image quality. Low-dose CT chest protocols in this study can substantially reduce by more than half the relative radiation dose compared with previous routine-setting protocol for 320-slice MDCT while maintaining adequate image quality.