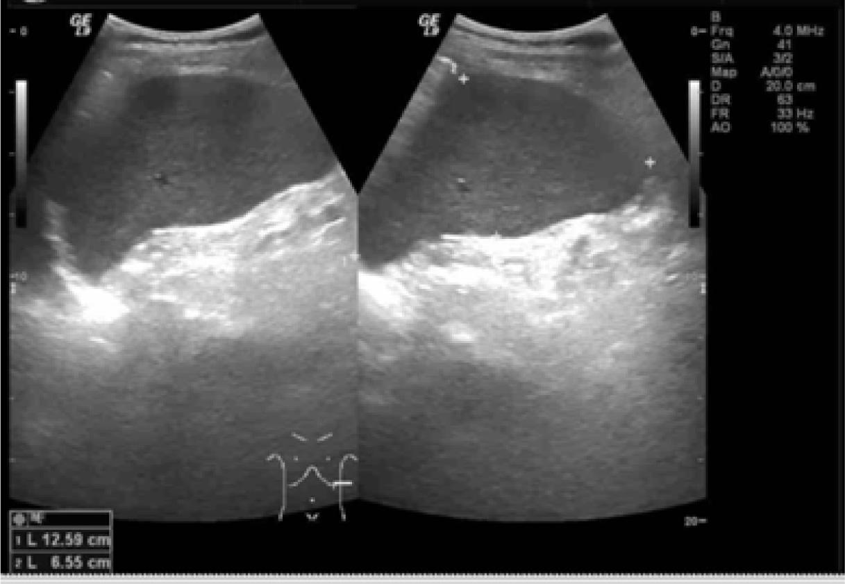
Figure 1

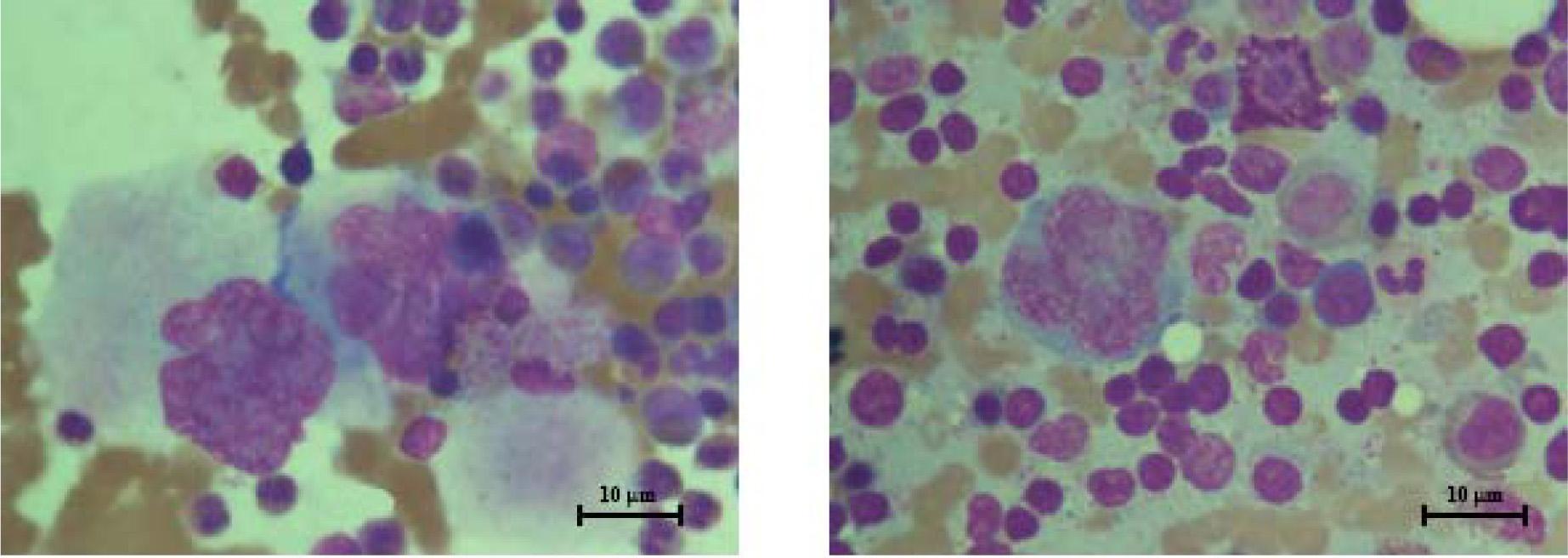
Figure 2

Figure 3




© 2017 Pravinwan Thungthong, Supat Chamnanchanunt, Tawatchai Suwanban, Chajchawan Nakhakes, Kunapa Iam-arunthai, published by Chulalongkorn University
This work is licensed under the Creative Commons Attribution-NonCommercial-NoDerivatives 3.0 License.