Polycythemia vera (PV) is an erythroid precursor disorder that is categorized as a panhyperplastic, malignant marrow disorder. This abnormality is characterized by high levels of hematocrit or equivalent, presence of a mutation in Janus kinase 2 (JAK2) (V617F) based on the British Committee for Standards in Haematology (BCSH) guidelines 2007 [1, 2]. A novel mutation of JAK2 (V617F) is necessary to define a classical PV (95% of cases), but more than 50% relates to other types of myeloproliferative disease (MPDs) [2-5].
JAK2 is well known to participate in intracellular signaling during PV pathogenesis [2, 4-6]. For JAK2-negative PV patients, more diagnostic criteria are required than for classical P V. A previous case report indicated that there is no difference in the clinical presentation between JAK2-positive and negative PV patients [2, 6]. However, to our knowledge, there is no previously published report describing the clinical course and treatment outcome of JAK2-negative PV.
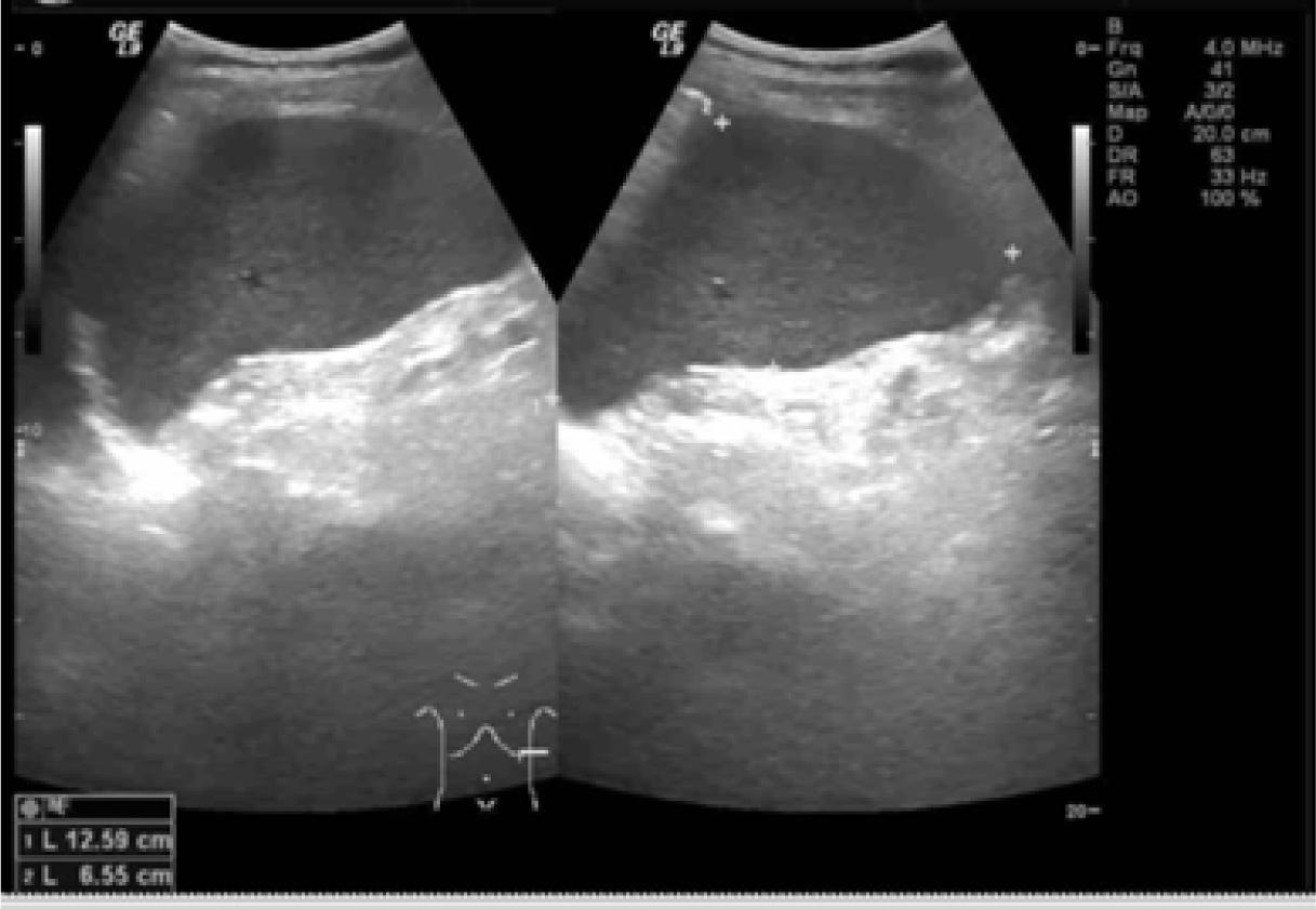
A 53 year-old Thai man presented to our emergency department with left hemiparesis and slurred speech. He had a history of hypertension, smoking, and alcohol intake. On physical examination, his respiratory and cardiovascular systems were normal. The patient had splenomegaly by palpation and confirmed by ultrasonography (Figure 1).

Ultrasound images show splenomegaly (size 6.6 cm × 12.6 cm) without a focal mass. No ascites or lymphadenopathies were noted.
Laboratory investigation showed hematocrit at 68.6%, leucocytosis (neutrophils = 13.4 × 109/L), and platelet count 252 × 109/L. Coagulation assays, kidney and liver function tests, and arterial blood gases were normal. Serum erythropoietin (Epo) level was 2.6 mIU/ mL (normal range 3.7-29.5 mIU/mL). Red cell mass/ plasma volume scan showed increase of red cell mass and decrease of plasma volume. Computed tomography (CT) of the brain revealed loss of the insular sign. Bone marrow showed a normoblastic and erythroid appearance along with normal bone marrow chromosome (Figures 2 and 3). Secondary causes of erythrocytosis were excluded. Cytogenesis of JAK2 mutation was negative.

Micrograph showing hypercellularity with prominent proliferation of erythroid cells, increased megakaryocytes of varying in shapes and sizes (Wright–Giemsa stain, ×400; bar 60 μm)

left and right: Megakaryocytes from bone marrow aspirates showing megakaryocytes with a nuclear chromatin pattern varying from dispersed, no megakaryocytic clusters were seen, no dysplastic changes and no increase in blasts were noted (Wright–Giemsa stain, ×1,000; bars 10 μm).
A diagnosis of polycythemia vera was made based on the BCSH criteria as follows: (A1) rise in hematocrit more than 60.0%; (A2) absence of mutation in JAK2; (A3) no secondary case of erythrocytosis; (A4 and B3) splenomegaly by palpation and radiological evidence; (B2) neutrophil leukocytosis more than 10 × 109/L; (B4) low serum erythropoietin level. A final diagnosis of JAK2-negative PV was subsequently made based on the BCSH criteria. The patient underwent monthly bloodletting therapy for 4 months. There was a good symptomatic response to the treatment, which led to complete improvement of the hemiparesis. Phlebotomy was stopped completely after 18 months because his hematocrit returned to normal.
This case report and any associated retrospective review of patient records was approved by the Ethics Committee of Rajavithi Hospital (No. 052/2558) and has been sufficiently anonymized so as not to cause harm to the patient or their family. The patient has provided written informed consent for the publication of their case.
We report the case of a patient with JAK2-negative PV who presented with a neurological deficit. The diagnostic criteria for PV were modified by the BCSH group using the JAK2 (V617F) mutation [1]. Moreover, in 2008, the World Health Organization also used the JAK2 (V617F) mutation as a major diagnostic criterion for PV [4]. Many studies have demonstrated that JAK2 (V617F) is related to clonal disease [1, 5, 7]. Almost all patients with PV are positive for a JAK2 (V617F) mutation, a characteristic that differentiates them from other erythrocytosis conditions. However, serum Epo levels in JAK2-negative PV patients are low in more than 90% of patients with PV [1, 3]. Similarly, our patient was JAK2-negative with a low serum Epo level. The red cell mass/plasma volume scan assay was proposed as an additional test in the diagnostic criteria for the JAK2-negative group [1]. Our patient had a positive result with this assay, his arterial oxygen saturation was normal, and splenomegaly was detected by both palpation and ultrasonography. The cytogenetic analysis of the bone marrow was normal. However, erythroid burst-forming unit culture was not available. The diagnosis of PV disease is not essentially based on bone marrow examination [3].
The clinical presentations of JAK2-negative and positive PV patients are not significantly different. Neurological abnormalities are common manifestations of PV patients [2, 6]. Our patient presented with thrombotic stroke and improved after undergoing phlebotomy alone. We did not prescribe cytoreductive therapy (neither hydroxyurea nor anagrelide was administered). There was only evidence of a good response with cytoreductive therapy among JAK2-positive PV patients, but not for those who are JAK2-negative [2]. Effective control of the hematocrit level our patient was achieved through monthly therapeutic phlebotomy; hence, there was no interference in his daily activity. In addition, he had regular follow-up as an outpatient. In another case of JAK2-negative PV, both phlebotomy and cytoreductive therapy have been used to control the hematocrit levels in patients [8]. Patients may develop side effects when medications to reduce either white blood cells or platelet count are administered. Our patient did not have any complications from the therapy.
We have presented this patient’s clinical course to show that despite the difficulty in diagnosing a JAK2-negative PV, control of the condition was relatively simple through therapeutic phlebotomy alone. Moreover, the BCSH criteria for JAK2- negative PV are necessary to help physicians in the diagnosis of patients presenting with an erythrocytosis condition.