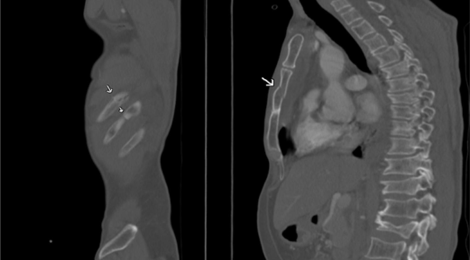
Figure 1

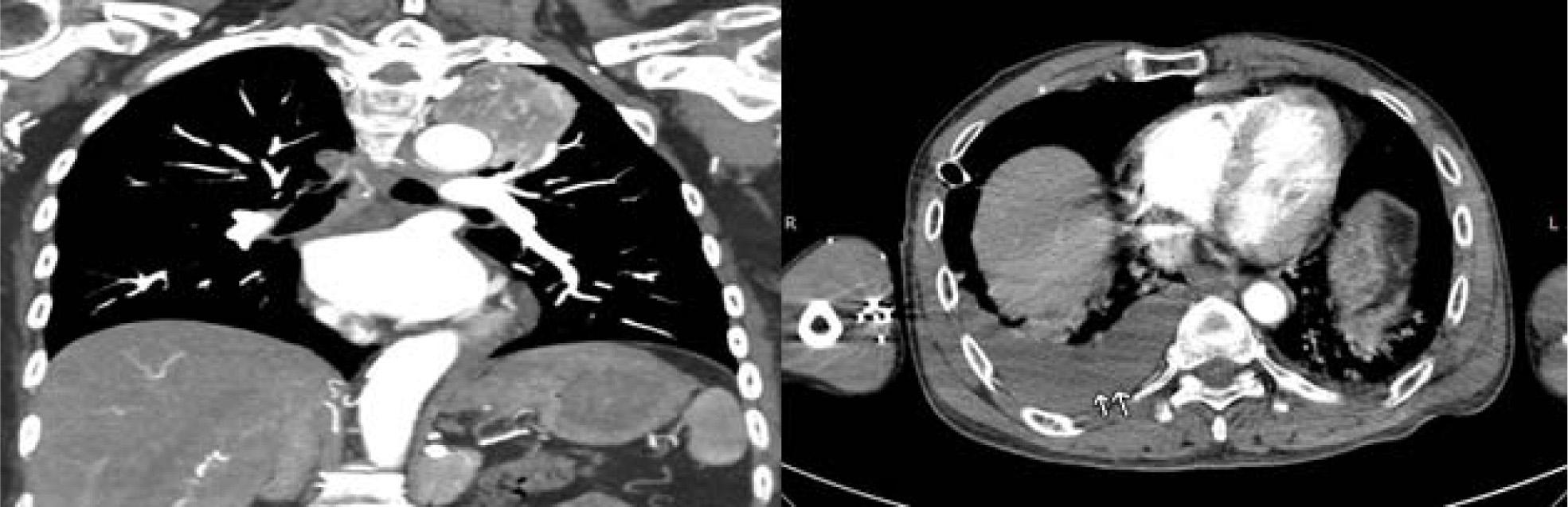
Figure 2

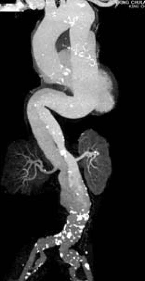
Figure 3

Significant extravascular findings that provide alternative explanations of acute symptoms who underwent computed tomographic angiography (CTA) of the whole aorta or the abdominal aorta
| Significant extravascular findings | CTA whole aorta n = 36 (%) | CTA abdominal aorta n = 5 (%) |
|---|---|---|
| Axial skeletal fracture (trauma) | 8 (22) | 1 (20) |
| Abnormal pancreatic lesions | 5 (14) | |
| Pneumothorax and hemothorax (trauma) | 5 (14) | |
| Hemopericardium (trauma) | 3 (8) | |
| Retroperitoneal abscess | 3 (8) | |
| Retroperitoneal and mediastinal hematoma | 2 (6) | 2 (40) |
| Internal solid or hollow viscus organ injury (trauma) | 1 (3) | 1 (20) |
| Intramuscular abscess | 1 (3) | |
| Lung mass | 1 (3) | |
| Abscess at right clavicle | 1 (3) | |
| Other findings | 6 (17) | 1 (20) |
Significant extravascular findings that required follow up or further investigation among patients underwent CTA of whole aorta and CTA of abdominal aorta_
| Significant extravascular findings | CTA whole aorta n = 70 (%) | CTA abdominal aorta n = 15 (%) |
|---|---|---|
| Lung nodule, mass or abnormal infiltration | 18 (26) | – |
| Liver nodule, mass or abnormal enhancing lesion | 10 (14) | 5 (33) |
| Significantly enlarged lymph node | 9 (13) | 1 (7) |
| Adrenal nodule | 5 (7) | 1 (7) |
| Mediastinal mass or lesion | 5 (7) | – |
| Abnormality of kidney, urinary bladder or ureter | 5 (7) | – |
| Bowel lesion or abnormal wall thickening | 4 (6) | 2 (13) |
| Ovarian lesion | 4 (6) | – |
| Suspicious bone lesion | 3 (4) | 1 (7) |
| Biliary tract abnormality | 2 (3) | – |
| Pancreatic lesion, mass or cyst | 2 (3) | |
| Thyroid lesion | 2 (3) | |
| Retroperitoneal lesion | – | 2 (13) |
| Splenic lesion | – | 1 (7) |
| Other | 1 (1%) | 1 (7) |
Significant vascular findings found in patients underwent CTA whole aorta and CTA abdominal aorta_
| Significant vascular findings | n = 150 (%) |
|---|---|
| Aortic aneurysm | 58 (39) |
| Aortic dissection | 25 (17) |
| Arterial occlusion | 19 (13) |
| Penetrating atherosclerotic ulcer | 14 (9) |
| Finding of aortitis and mycotic aneurysm | 7 (5) |
| Intramural hematoma | 6 (4) |
| Endoleak | 6 (4) |
| Dilatation of aorta, aortic root, sinotubular junction | 6 (4) |
| Graft or stent kinking | 2 (1) |
| Others | 7 (5) |
Demographic data of patients who underwent computed tomographic angiography (CTA) of the whole aorta or the abdominal aorta
| CTA of whole aorta n (%) | CTA of abdominal aorta n (%) | |
|---|---|---|
| Number of patients | 187 (84%) | 35 (16%) |
| Male | 120 (64%) | 16 (46%) |
| Female | 67 (36%) | 19 (54%) |
| Mean age (range) | 62.8 (16-97) | 65.3 (19-97) |
Clinical manifestation of patients with extravascular findings that provide an alternative explanation of acute symptoms who underwent computed tomographic angiography of the whole aorta or abdominal aorta
| Clinical manifestation | n = 35 (%) |
|---|---|
| Abdominal pain | 12 (34) |
| Traumatic injury with chest pain | 8 (23) |
| Chest pain | 3 (9) |
| Traumatic injury with abdominal pain | 2 (6) |
| Abdominal mass | 2 (6) |
| Back pain | 2 (6) |
| Dyspnea | 2 (6) |
| Sepsis | 1 (3) |
| Dropping hematocrit level | 1 (3) |
| Hemoptysis | 1 (3) |
| Leg edema | 1 (3) |