Figure 1

Figure 2

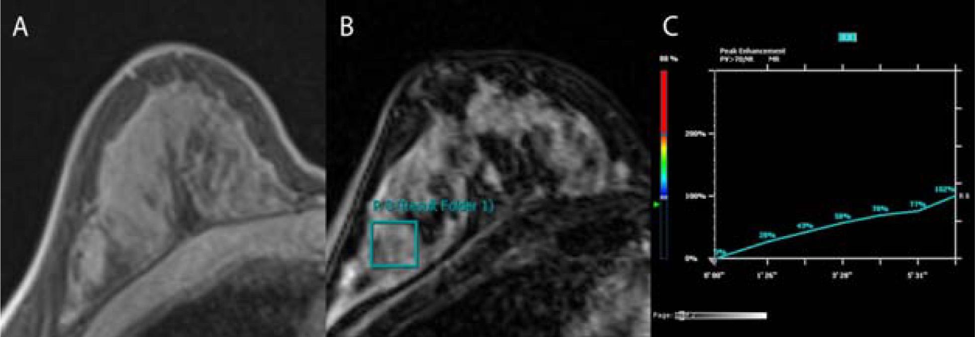
Figure 3

Correlation between magnetic resonance imaging fibroglandular tissue and background parenchymal enhancement (BPE), including the visually assessed BPE classified according to the American College of Radiology Breast Imaging Reporting and Data System 2013 and quantitative enhancement kinetics including the enhancement at 90 seconds (Eearly), at 6 minutes (Epeak), and signal enhancement ratio (SER)_
| BPE | Eearly | Eearly | SER | |
|---|---|---|---|---|
| Spearman ρFibroglandular tissue | ||||
| Correlation coefficient | 0.179 | 0.002 | 0.103 | –0.116 |
| Significance (2-tailed) | 0.083 | 0.985 | 0.322 | 0.265 |
| N | 95 | 95 | 95 | 95 |
Comparison of magnetic resonance imaging fibroglandular tissue (FGT), visually assessed background parenchymal enhancement (BPE), enhancement at 90 s (Eearly), enhancement at 6 min (Epeak), and signal enhancement ratio (SER) between pre and postmenopausal women_
| FGT | BPE | Eearly | Epeak | SER | |
|---|---|---|---|---|---|
| Mann–Whitney U | 243 | 270 | 430 | 369 | 538.5 |
| Wilcoxon W | 3564 | 3591 | 3751 | 3690. | 643.5 |
| Z | –3.6 | -3.4 | –1.5 | –2.1 | –0.3 |
| Asymp significance (2-tailed) | 0.000 | 0.001 | 0.15 | 0.04 | 0.77 |
Description of the 95 normal breast magnetic resonance imaging analyses by visually assessment of fibroglandular tissue and background parenchymal enhancement classified according to the American College of Radiology Breast Imaging Reporting and Data System 2013
| Menopausal status | Background parenchymal enhancement | Total | |||
|---|---|---|---|---|---|
| Minimal | Mild | Moderate | Marked | ||
| Postmenopause | |||||
| Fibroglandular tissue | |||||
| Almost entirely fat | 8 | 2 | 0 | 0 | 10 |
| Scattered | 11 | 11 | 4 | 0 | 26 |
| Heterogeneous | 15 | 17 | 4 | 0 | 36 |
| Extreme | 6 | 12 | 0 | 9 | |
| Total | 40 | 31 | 10 | 0 | 81 |
| Premenopause | |||||
| Fibroglandular tissue | |||||
| Heterogeneous | 0 | 51 | 2 | 8 | |
| Extreme | 1 | 30 | 2 | 6 | |
| Total | 1 | 81 | 4 | 14 | |