Overview
Ankle fractures
In this presentation we emphasize peculiar foot injuries. Ankle fractures are mostly classified by the Weber classification (A, B, C). The Lauge Hansen classification is much more detailed and offers a better understanding of injury patterns, but is rather complicated.
The sprained ankle
The sprained ankle is a common and typical injury. Whether any imaging in the acute phase has a use is debated. Historically stress tests after injection of anesthetic were performed, but this is no longer done. Outcomes of diverse types of treatment or early diagnostic interventions have been shown to give similar results. Findings of malleolar stripping or retinacular tears are important and may be overlooked.

Figure 1
Fracture of the os peroneum in a tibialis posterior rupture.

Figure 2
Fracture of the sesamoid of the hallux-turf toe (courtesy Ieva Garkalne, UZ Brussel).
What if the sprained ankle does not explain all?
It makes more sense to image the sprained ankle with ultrasound (US) or magnetic resonance imaging (MRI) when the symptoms persist. Normally significant improvement should be expected after three to four weeks after a typical sprain. What can be encountered when this does not occur is that the ligament ruptures were severe and complete (grade 3). This will often be accompanied by some joint fluid. Another potential reason is that an osteochondral defect (OCD) lesion/impaction has occurred, essentially a lesion that will be followed clinically and by imaging. OCD is difficult to treat and typically comes with the hope it doesn’t become loosened or dislocated (as a loose body).
If the ankle ligaments appear normal a next step also is to investigate the Chopart ligaments and joint as often the problem may be located there. At all the ligament insertion sites: dorsal talonavicular, bifurcate, lateral calcaneocuboidal, long and short plantar, frondiform (stem ligament), spring ligament avulsions or tears may be obvious and these should be scrutinized. These avulsions can be easily missed on radiography as they are often subtle. Not so much can be done about these injuries, but healing and pain takes considerably longer (several months, pain may persist for years).

Figure 3
Quiz Case.
Some peculiar or important fractures and injuries in the foot
1. Lisfranc joint
Lisfranc fracture-dislocations seem obvious by the time of diagnosis, but they are often initially missed as the findings may be subtle or atypical. The medicolegal implications are comparable to a scaphoid or cervical fracture. In any case, the diagnosis must be made early for the patient to have a good chance of recovery and obtain adequate treatment. Homolateral and divergent type of Lisfranc injuries exist.
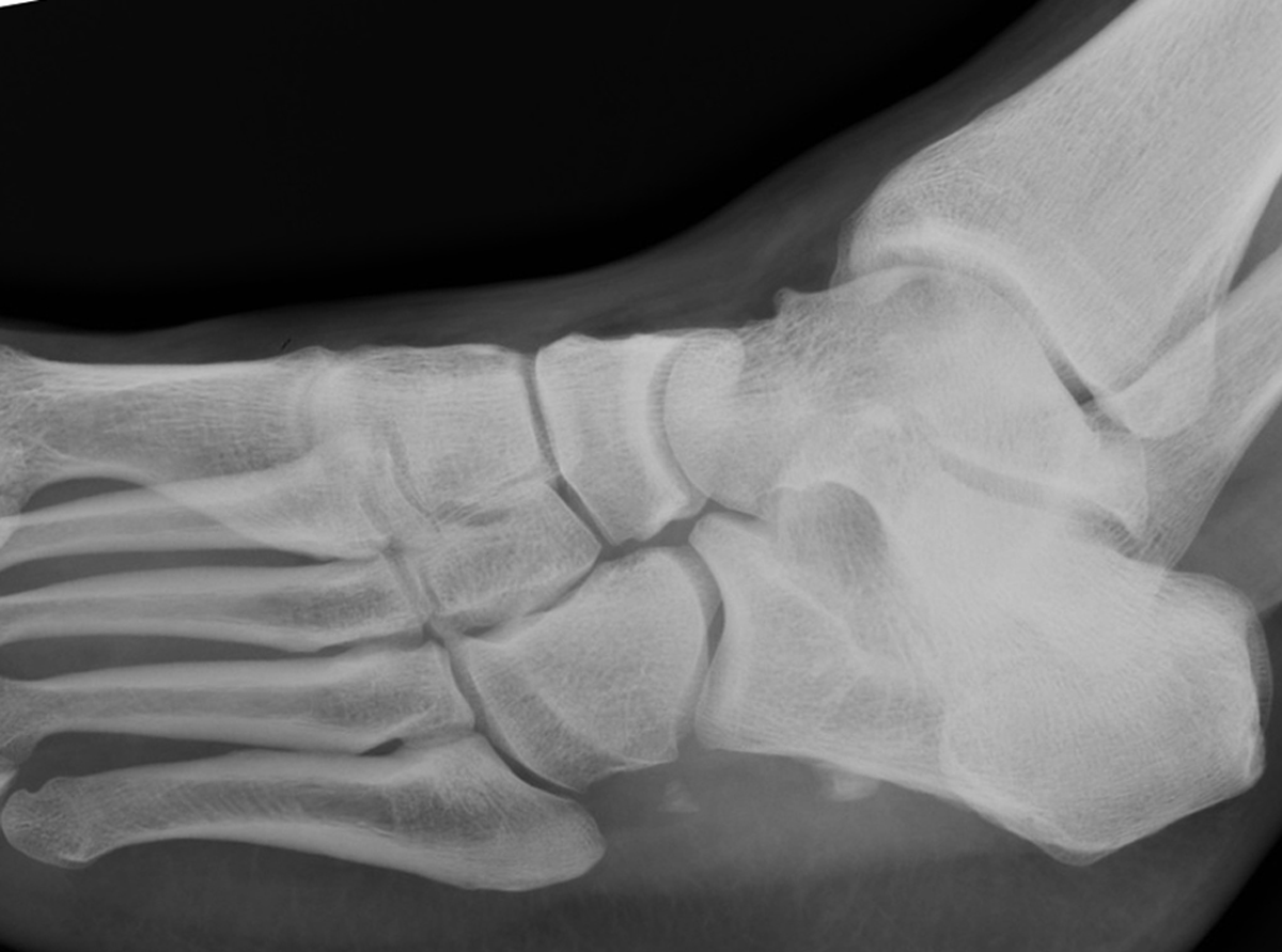
2. Os peroneum fracture
An os peroneum fracture may occur and it invariably indicates an injury to the peroneus longus tendon. In the most severe case, the os peroneum may be retracted beyond the medial malleolus (Figure 1).
3. Cuboid and cuneiform stress fractures
These fractures are quite common, but not easily diagnosed on radiography or computed tomography (CT). Even on MRI edema is often seen without a clear fracture, thus it remains confusing. This may be a good indication for single-photon emission computed tomography combined with CT (SPECT-CT). On CT then, the attention is focused on the “hot spot” making it more obvious.
4. Peroneus longus instability
When the peroneus longus is unstable in the cuboid tunnel, possibly by a pulley injury, a peculiar edema pattern develops in the cuboid. This should be recognized as it may simulate tumoral lesions.
5. Peroneal tubercle syndrome
The peroneal tubercle is a protrusion on the lateral aspect of the calcaneus. Its size is quite variable. When large it may cause tendinopathy and tears of the peroneal tendons.
6. Tendinopathy of the lateral band of the plantar fascia
While routinely the central band is assessed for fasciitis at the calcaneal insertion, a tendinopathy and fissuration may occur at the distal insertion of the lateral band.
7. Peroneal tendon impingement
In calcaneal fracture an assessment that always needs to be made on CT typically is an invagination of the peroneal tendons in the fracture site. This is essential information to be provided to the surgeon.
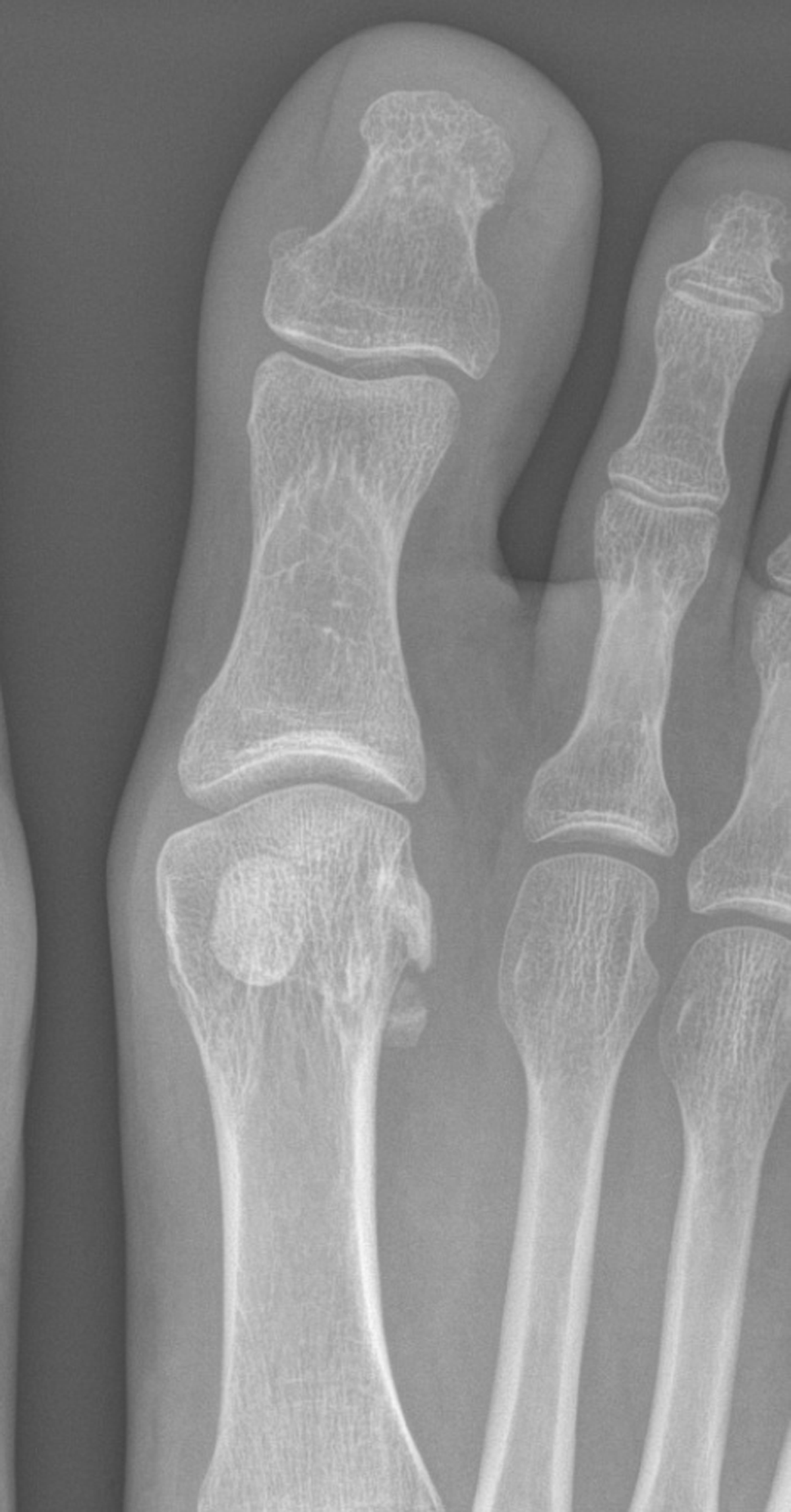
8. Turf toe
Lesions of the plantar plate system of the hallux most typically have been described in American football players. They also occur in sports such as volleyball, basketball, and sports involving jumping. The importance is to understand the normal anatomy of the hallux plantar plate including the sesamoids in order to diagnose these injuries. A fracture dislocation of the hallux sesamoids is also part of this spectrum (Figure 2).
Conclusion
In this presentation we focus on important injuries including the lateral ligaments of the ankle, the lateral midfoot, Lisfranc joint and turf toe.
Competing Interests
The authors have no competing interests to declare.
