Multiparametric magnetic resonance imaging (mpMRI) is the current state-of-the-art imaging modality in the assessment of patients with suspected or confirmed prostate cancer (PC). In mpMRI morphological T2-weighted images (T2-WI) are supplemented with diffusion-weighted imaging (DWI) and dynamic contrast-enhanced imaging (DCE). High-grade PC can be detected on mpMRI with high accuracy as it typically appears as a low signal intensity lesion on T2-WI (Figure 1), with restricted diffusion (Figure 2) and strong contrast enhancement. With the technical improvement of the available DWI sequences in recent years, the added value of performing DCE in all patients is currently being questioned.

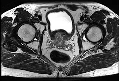
Figure 1
Axial T2-WI of the prostate in a 66-year-old man with PSA of 10 ng/ml. Far anteriorly and cranially on the left side in the transition zone of the prostate there is an ill-defined marked low-signal intensity area (white star) with irregular contour, suspicious for prostate cancer.

Figure 2
Axial ADC map of DWI in the same patient and at the same level as Figure 1. The lesion shows very low ADC value (white star) with corresponding very high signal intensity on the high-b-value images (not presented), which is suggestive of a high-grade prostate cancer. In the radiology report this lesion was scored PI-RADS 4, indicating that the likelihood of a clinically significant prostate cancer is high.
To standardize the scanning protocol and the interpretation of mpMRI, the European Society of Urogenital Radiology (ESUR) introduced the Prostate Imaging and Reporting and Database System (PI-RADS) in 2011, which was adopted by the American College of Radiology (ACR) in 2015 (PI-RADS version 2). The PI-RADS scoring system reflects the likelihood of the presence of a clinically significant PC on a 5-point scale. In 2019, some refinements and clarifications were made, which resulted in an updated version, PI-RADS v2.1.
In patients with elevated PSA, traditionally a systematic (i.e. 10–12 cores taken randomly throughout the prostate) transrectal ultrasound (TRUS) guided prostate biopsy is performed to detect PC, but in up to 30% of cases the tumor or the most aggressive components of the tumor are missed. Recently published level A evidence and the 2019 updated guidelines of the European Association of Urology have shown that it is advantageous to perform mpMRI of the prostate before a biopsy. When mpMRI is normal, the risk of a clinically significant tumor is low and the biopsy may be postponed, provided that the patient is closely clinically followed up. When a suspicious lesion is detected on mpMRI, a targeted biopsy can be performed. There are three methods to perform a MRI targeted biopsy: cognitive, US-MRI fusion and in-bore MRI-guided biopsy. With a cognitive approach, the clinician keeps the MRI images in mind when performing a random TRUS biopsy with some additional cores in the region where the suspicious lesion is about located. This method is most frequently used in clinical practice because it is fast and cheap. For large PC this method is sufficient, but for very small or anteriorly located lesions it is less accurate. With TRUS-MRI fusion, dedicated software is used to fuse the MRI images virtually with the live TRUS images. A random biopsy is performed with some additional cores to the region where the suspicious lesion is highlighted by the software. An in-bore MRI guided prostate biopsy (Figure 3) is performed while the patient is in the MRI scanner and the position of the biopsy needle is followed with repetitive scans. This is the most accurate method to take a biopsy of target lesions that are very small or are at a difficult location in the prostate.

Figure 3
Axial T2-WI of in-bore MRI guided transrectal prostate biopsy in the same patient and at the same level as Figures 1 and 2. The patient initially underwent a systematic transrectal ultrasound guided prostate biopsy but the pathology result showed no malignancy. Because of the persistently rising PSA and the difficult location of the suspicious lesion, an in-bore MRI guided transrectal prostate biopsy was performed. The position of the transrectal needle guide (thick line) and the tru-cut biopsy needle (fine line) are demonstrated on the T2-WI and confirm that the suspicious lesion is sampled correctly. Two biopsy cores were taken, and the pathology result revealed Gleason 4 + 4 prostate cancer in both of them.
Competing Interests
The authors have no competing interests to declare.
