The enterococci are gram-positive bacteria, part of the normal gastrointestinal flora of humans. These organisms are reportedly the third most common cause of infective endocarditis (IE), accounting for 5 to 20% of cases and they are associated with a 20 to 40% mortality rate1,2. Many enterococci strains isolated from human specimens belongs to the species Enterococcus faecalis (80%) and Enterococcus faecium (10%)3. IE complications are common and life threatening, as the valve perforation incidence for Enterococcus spp. IE is of 34%4.
We present the case of a 48-year-old patient, known with type 2 diabetes mellitus, a professional driver, referred to our department by a neurologist following a recent left frontal cortico-subcortical lacunar stroke, symptomatic by left lateral diplopia and left lateral nystagmus, onset one week prior to arrival to the cardiology department. The patient had a history of internal and external hemorrhoids, excised six years earlier. On admission, the patient had central vertigo syndrome, was febrile (38° Celsius), hemodynamically stable, blood pressure (BP) 130/80 mm Hg, regular heart rate (HR) 100 beats per minute, without murmurs and without pulmonary congestion. The rectal exam showed external hemorrhoids, without acute bleeding signs.
The electrocardiogram (EKG) showed sinus tachycardia, normal QRS complex and no specific ST-T wave abnormalities (Figure 1).
Figure 1
12-leads electrocardiogram (EKG): sinus tachycardia, normal QRS complex and no ST-T specific abnormalities.

Blood tests showed significant inflammation (leucocytosis count with neutrophilia, elevated erythrocyte sedimentation rate (ESR) as well as high C-reactive protein and fibrinogen), hyperglycemia with glycosylated haemoglobin (HbA1c) 11.5%, normal renal function and negative gastrointestinal tumor markers.
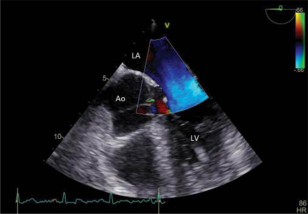
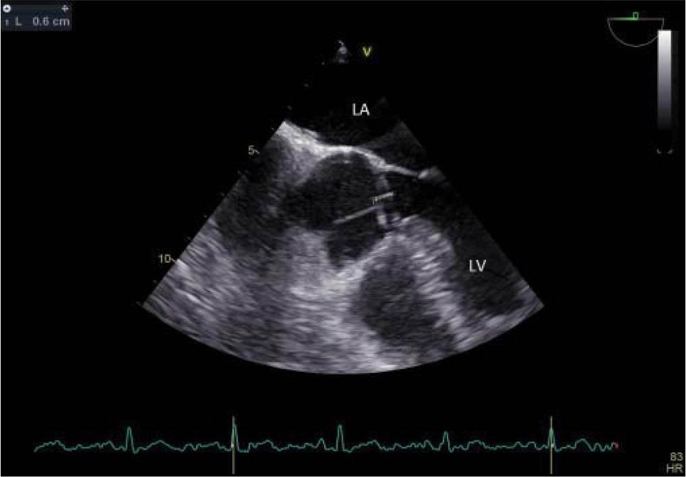
Transthoracic echocardiography (TTE) at admission and afterwards transesophageal echocardiography (TEE), both performed with GE Vivid E9, revealed a hyperechogenic mass, with independent movement, attached to the posterior mitral leaflet, on the atrial surface, with a diameter of 6/6 mm, prolapsing A2 scallop and mild mitral regurgitation (Figure 2). At the same time, it revealed a large mobile mass (diameter 18/4 mm) on the aortic valve, attached to all three leaflets (Figure 3), prolapsing in the left ventricular outflow tract (LVOT) (Figure 4) with high probability of non-coronary cusp (NCC) perforation without hemodynamic impact (Figure 5). Left ventricular size and ejection fraction were normal (Figure 6).
Figure 2
Transesophageal echocardiography – midesophageal mitral commissural view-mass attached to the posterior mitral valve, on the atrial surface, with a diameter of 6/6 mm and prolapsing A2 scallop.

Figure 3
Transesophageal echocardiography – midesophageal aortic short axis view, zoom on the aortic valve- all three leaflets are involved.

Figure 4
Transesophageal echocardiography aortic valve long-axis-view 18 mm long, mobile, hyperechogenic mass attached to the ventricular side of the aortic valve. The echocardiographic appearance is suggestive for vegetation.

Figure 5
Transesophageal echocardiographymidesophageal 5 chamber view-perforation cusp without hemodynamic impact is revealed by colour Doppler examination.

Figure 6
Transthoracic echocardiography apical 5 chamber- normal left ventricle size and normal ejection fraction. Colour Doppler imaging reveals no hemodynamic impact.

Upon admission, three sets of blood cultures were taken at 30 minute intervals, the results being available ten days later. Meanwhile, intravenous empiric antibiotic treatment was initiated immediately according to current international guidelines, namely Ampicillin 12 g/day in 6 doses, with Oxacillin 12 g/day in 6 doses, with Gentamicin 3 mg/kg/day in 1 dose 5. The results of the blood cultures were positive for Enterococcus spp. and the intravenous antibiotic treatment was adjusted to Ampicillin 200 mg/kg/day in 6 doses with Gentamicin 3 mg/kg/day in 1 dose respectively, continuing for six weeks. During treatment, the renal function was not impaired.
The abdominopelvic computed tomography scan (CT scan) did not detect images suggestive of embolic determinations. No images suggestive of tumors were determined by the CT scan and the upper gastrointestinal endoscopy. Furthermore, marantic endocarditis was ruled out by positive blood cultures, negative antinuclear antibodies, negative antiphospholipid antibodies, negative gastrointestinal tumor markers and imaging results.
Due to the etiology of the endocarditis and the known association between Enterococcus spp. endocarditis/bacteraemia and colonic lesions, a colonoscopy was carried out, using an Olympus EXERA III device. External and internal hemorrhoids with signs of recent bleeding were highlighted and rubber band ligation was performed.
Considering the stroke history of the patient and the size of the vegetation on the aortic valve, current guidelines provide for a class of recommendation IIb for surgical intervention, level of evidence C 5. After thorough consideration, surgical intervention was delayed by the endocarditis team, until a minimum of two - three weeks of antibiotic therapy elapsed.
After four weeks of antibiotic therapy, in consideration of a possible surgical intervention, a second TEE was performed, which revealed no vegetation attached on the mitral valve and a much smaller aortic vegetation (6 mm diameter), attached to the NCC (Figure 7), NCC discontinuity with colour flow - high probability of perforation (without significant aortic regurgitation) and normal LV size and function. Heart failure biomarkers (NT-pro-BNP) were within normal limits (32 pg/mL), and the blood cultures (three sets) were negative at 37 days upon starting the antibiotic therapy.
Figure 7
Transesophageal echocardiography midesophageal 5 chamber view -a significantly reduced aortic vegetation (6 mm). LA left atrium, RA right atrium, LVOT left ventricle outflow tract, RVOT right ventricle outflow tract, LV left ventricle, Ao ascending aorta.

Three weeks after completing the antibiotic therapy and being discharged, TTE showed persistent reduction of aortic vegetation (3 mm).
In this context, the surgical intervention was postponed indefinitely, considering the favourable evolution of the patient, both clinical (without onset of heart failure signs or systemic emboli) and imaging (cardiac ultrasound).
The patient should undergo clinical and echocardiographic follow up (the next one within three months), and, in case of onset heart failure, recurrence of systemic complications or echocardiographic aggravation, a surgical intervention may be considered.
Our case describes a type 2 diabetic mellitus patient, with a seemingly cured hemorrhoidal disease, diagnosed with Enterococcus spp. IE in the native left side valves, with large vegetation on the aortic valve, with local and systemic complications, without hemodynamic impact.
It is noteworthy that the patient had both systemic (present in between 13 to 44% of the cases) and local complications6. His risk factors associated with embolic events were the presence of large size left side valves vegetation, multivalve IE and type 2 diabetes mellitus5,6.
The management of such a patient requires a multi-disciplinary approach, between the neurologist, infectologist, cardiologist, diabetologist, cardiac and general surgeon.
Recent studies showed that patients with both IE and diabetes mellitus develop systemic and local complications and have a poor outcome – lower survival, both in hospital stay and during follow up, compared to non-diabetic patients (approx. 10% gap)6,7. However, in the case of our patient, his diabetic status did not impact the outcome.
IE cases complicated by perforation require emergency surgical intervention and those who cannot benefit from it, have a poor outcome due to heart failure8,9. This risk would normally lead to a surgical intervention.
However, in this specific case, considering the absence of a hemodynamic impact, the endocarditis team decided on initially administering the antibiotic treatment and to follow up. There is no consensus on timing the surgical intervention in IE10.
In our case, the patient's evolution was remarkable after six weeks of combined antibiotic treatment of aminoglycosides and an inhibitor of cell wall synthesis (β-lactam antibiotics), without developing kidney failure.
Following this treatment, the patient no longer has an indication for surgical intervention and he will be monitored for chronic valve regurgitation, in accordance with European Society of Cardiology guidelines.
This case illustrates the importance of determining the bacterial source for IE and quickly applying initial empiric antibiotic treatment, thereafter, adjusted according to the antibiogram. A quick initial response is designed to limit local and systemic complications as well as their recurrence and worsening, which would then lead to urgent surgical intervention.
Modern imaging techniques are essential in monitoring the size of vegetations, they provide key information to determine the patients’ prognosis and guide the appropriate management for each specific case.