A low suspicion for congenital defects in older adults admitted for decompensated heart failure (HF) presents a significant diagnostic challenge. We present the incidental discovery, in an elderly patient with a history of coronary disease (atypical angina) and left bundle branch block (LBBB), admitted for acute dyspnea in the setting of paroxysmal atrial fibrillation (AF), of a dilated right ventricle which was proven to be caused by the superior sinus venosus defect (SVD), as well as a persistent left superior vena cava (PLSVC) with drainage into coronary sinus (CS). PLSVC, the most common venous anomaly in thorax, without an associated adult congenital heart disease (ACHD) is usually asymptomatic and discovered incidentally1. Among the ACHD frequently associated with PLSVC (based on odds ratio) is the atrial septal defect (ASD)2. ASD can be diagnosed incidentally in asymptomatic adults examined for other comorbidities. However, a right heart dilation discovered in the setting of unrepaired ASD can be symptomatic as right HF, atrial arrhythmias and pulmonary hypertension3. ACHD are frequently associated with HF, which represents the main cause of mortality in these patients4.
A 77-year-old woman is admitted to the Emergency Department (ED) for progressive exertional dyspnea, with a day of dyspnea at rest, palpitations and dizziness. A SARS CoV2 infection was ruled out after RTPCR and chest X ray (CXR) in the ED. The patient's medical history was relevant for NYHA class II heart failure (HF) diagnosed in an ambulatory setting six months earlier, coronary disease (atypical angina), left bundle branch block (LBBB), documented on ECG two years before the actual admission, and chronic hepatitis C. She was treated with spironolactone 50 mg o.d., furosemide 40 mg o.d., bisoprolol 5 mg o.d. and a hepatoprotective medication for the last six months.
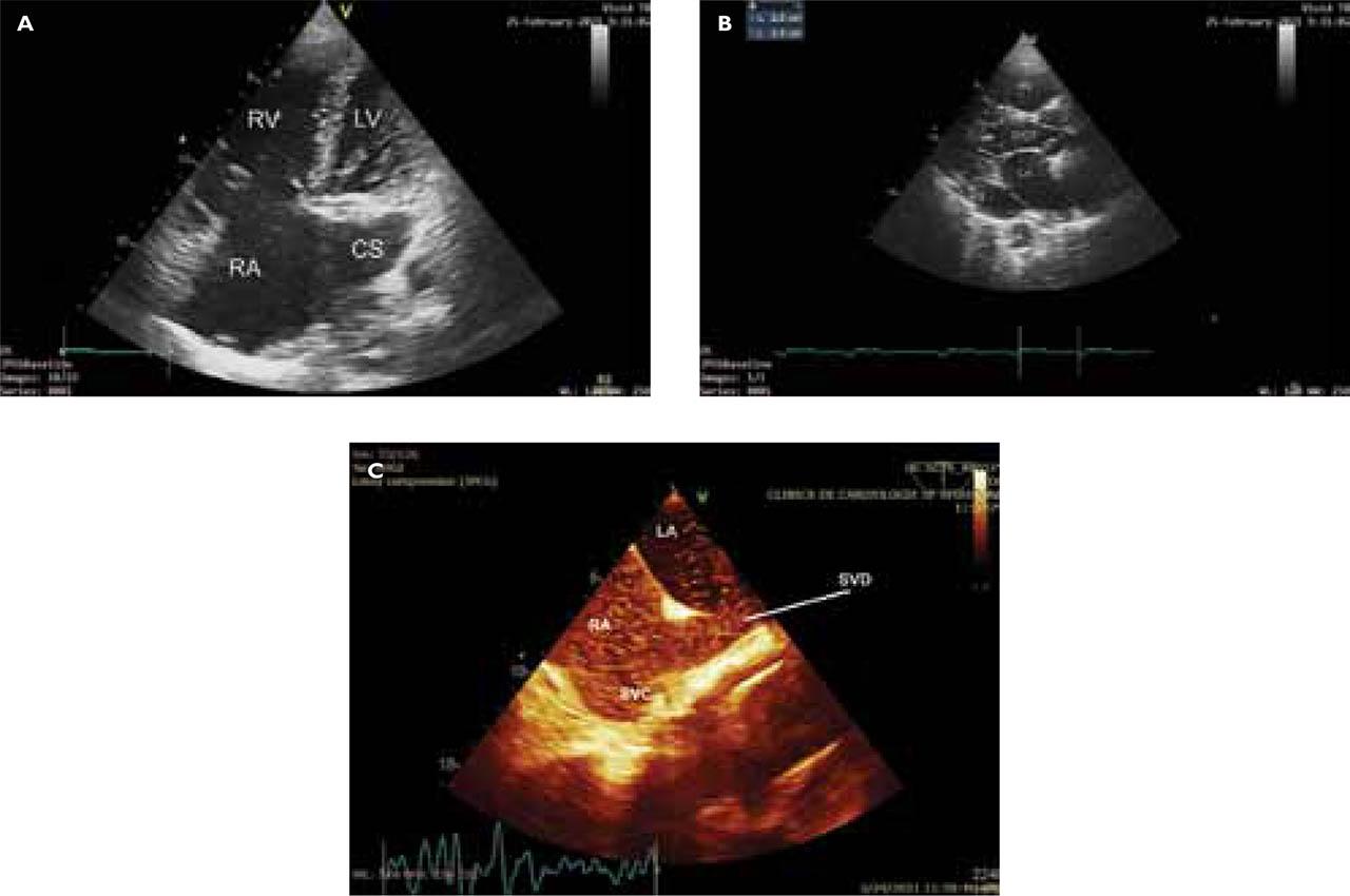
Clinical examination upon admission revealed peripheral cyanosis, jugular venous distension, irregularly irregular heart sounds with a split S2, systolic murmur (III–IV/VI) in the tricuspid area, painful hepatomegaly, and hypoxemia (SaO2 87% room air), that improved to 95% with 4L of oxygen through a nasal canula. ECG performed upon admision in the ED showed atrial fibrillation (AF) and LBBB (Figure 1A). CXR showed cardiomegaly, and bilateral lung hypervascularity (Figure 1B). Bloodwork showed pancytopenia (RBC 3.33 mil/mm3, WBC=3.040/mm3, PLT 46.000/mm3), hepatic cytolysis and cholestasis, an eGFR of 42 mL/min/1.73mp, and NT-proBNP 2189 pg/mL. The transthoracic echocardiography (TTE) revealed a dilated coronary sinus (CS) with a maximal diameter of 33 mm (Figure 2 A,B), enlarged right heart chambers, a dilated left atrium (LA), an interatrial septum bulging towards the LA, and a subtle enlargement of the main and right pulmonary artery (PA). Other noticeable findings were a right ventricular (RV) hypertrophy (7 mm), with normal systolic function (TAPSE 21 mm), an interventricular septum (IVS) of 13 mm flattened in dyastole (Video 1), a preserved systolic function of the LV (51%), and pulmonary hypertension (estimated PA systolic pressure 48 mmHg, PA acceleration time 87 msec). Also, a moderate tricuspid regurgitation, mild mitral and aortic regurgitation, and a dilated inferior vena cava 30 mm which collapses 50% with inspiration, a calcification of the mitral annulus, aortic leaflets and ascending aorta were noticed. Agitated saline contrast injection from the left basilic vein (Video 2) showed initial opacifiation of the CS and then of the right atrium (RA), with contrast rapidly moving to LA (Figure 2 C), which raised the suspicion of a persistent left superior vena cava (PLSVC) to CS as well as a right to left shunt. A TOE showed a sinus venosus defect (SVD), with a bidirectional shunt (Figure 2D), PLSVC, and dilation of the left superior pulmonary vein. CT angiography confirmed the PLSVC (Figure 3 A,C,D) with drainage into CS, with a bridging vein of 8 mm caliber (Figure 3 B) and a normal pulmonary venous return. CT angiography also showed a dilated main PA (40 mm), and its branches (left PA 28 mm and right PA 31mm), revealing coronary and aortic calcified atheromatosis, and ruled out a pulmonary embolism or other arteriovenous malformations. During hospitalization, the invasive measurement of pulmonary hypertension and vascular resistance was not possible due to technical difficulties.
Figure 1
ECG: AF with ventricular rate of 110/min, LBBB, rare premature ventricular beats. B. CXR: cardiomegaly, convex middle arch, bilateral lung hypervascularity, and calcified aortic knob.

Figure 2
A. TTE: apical 4 chamber view with posterior tilt shows clearly dilated right heart chambers and CS. B. TTE: left parasternal long-axis view showing a dilated CS (diameter 24 mm), descending thoracic aorta (DA) of 20 mm. C. TOE longitudinal plane (bicaval view) showing a superior SVD with right-to-left shunt evident as contrast study with agitated saline solution moves through the SVD to LA; SVC, superior vena cava; RA, right atrium; LA, left atrium. D. TOE view of sinus venosus ASD: enlarged RA, and color flow showing bi-directional shunt.

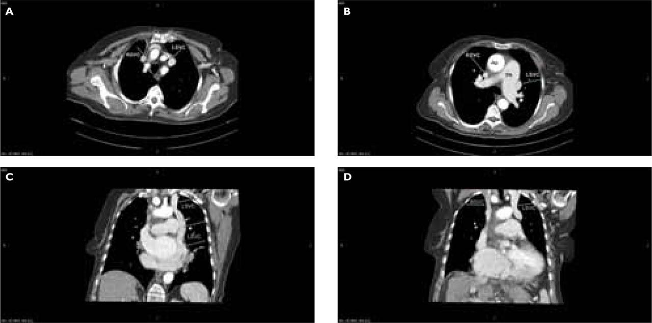
Figure 3
A. Thoracic CT angiography, axial section, mediastinal view shows RSVC and LSVC with a communicating vein of 8 mm (CV) between the sternum and great vessels (green arrows). B. Thoracic CT angiography, axial section, mediastinal view: dilated main, right and left PA, aorta (Ao), LSVC between Ao and LPA, the RSVC in normal position (green arrows). C. Thoracic CT angiography coronal section, mediastinal view: brachiocephalic trunk continues with persistent LSVC (22/18 mm – AP/T) which descends lateral from the aortic arch, LPA, LA and anterior from left inferior pulmonary vein (green arrows), joining the CS which is grossly dilated in calibre and draining into RA. D. Thoracic CT angiography coronal section, mediastinal view: RSVC draining in the RA, partially visible LSVC (green arrows).

The patients’ symptoms improved with low dose angiotensin receptor blockers, increased dose of diuretics, alpha-beta-blockers and oral anticoagulation. She however continued to have episodes of desaturations as well as exertional dyspnea. Patient was not compliant to follow-up appointment.
The particularity of this case lies in the incidental finding of a rare cardiac congenital malformation in an elderly patient hospitalized for acute decompensation of HF, probably favored by recent onset AF. To our knowledge, this might be the eldest patient with association of SVD and PLSVC complicated with Eisenmenger syndrome (ES) reported in literature.
The incident discovery of congenital heart disease in an older patient with known ischemic heart disease, admitted for acute on chronic decompensation of HF, is rare. In patients with ACHD, RV failure is a common phenomenon with an incidence of up to 70% in selected patient populations4. The most common causes of right heart dilation are congenital tricuspid valve disease and shunt lesions3. Superior SVD amounts to up to 5% of all atrial septal defects (ASD)5. PLSVC has a prevalence of 0.2–3% in the healthy general population, but up to 11% in people with other cardiac congenital malformations. These malformations are occasionally discovered in adults with right heart dilation1,2,3. Persistence of left anterior cardinal vein and left horn of sinus venosus leads to the formation of PLSVC and CS, respectively, and represents the most common malformation of the thoracic venous system6. A dilated CS identified via TTE can be caused by a PLSVC, elevated RA pressure, partial anomalous pulmonary venous return (PAPVR) to the CS, and coronary arteriovenous fistula7. In 92% of cases, PLSVC is connected to the RA through the CS without significant hemodynamic consequences, while in 8% of cases PLSVC connects directly or through the pulmonary veins to the left atrium, causing a right-to-left shunt8. It is most commonly an isolated finding but can be associated with other congenital heart defects, such as ASD, tetralogy of Fallot, aortic coarctation, and ventricular septal defect7,9. A persistent LSVC exists with the right SVC in up to 90% cases1,9. In the case of PLSVC with RA drainage, the CS enlarges, and may cause compression of the atrioventricular node and His bundle, leading to cardiac arrhythmias, such as atrial/ventricular fibrillation1.
Anomalous pulmonary venous return (APVR) can also be discovered incidentally in adults with right heart dilation and CS dilation3,10. The CS dilates when is associated a PLSVC, which generally draines into the CS. Patients with total anomalous pulmonary venous connection associates a patent foramen ovale or an ASD to allow flow of blood drained to the right heart to move into the systemic circulation, and 16% of all these patients have a connection to the CS10. However, in our patient, CT angiography ruled out such an association.
PLSVC plays a considerable role in the induction and maintenance of AF in nearly half of the patients.11 If PLSVC is detected as the trigger or driver of AF, it can be an additional target during electrophysiologic study and ablation1,11. In our case, the onset of AF cannot be attributed only to the presence of LSVC but also to the SVD and right heart failure.
Our patient had classic physical examination findings suggesting an ASD. However, ECG displayed a LBBB instead of a classical incomplete right bundle branch block, perhaps due to her ischemic heart disease. Right heart dilation, without another etiology, in the setting of unrepaired ASD is considered a risk for progression toward symptomatic right heart failure, atrial arrhythmias, and potential development of pulmonary arterial hypertension3. This was also the case with our patient.
Changes in atrial size and pressures in patients with ASD have been shown to induce and maintain atrial tachyarrhythmias by various mechanisms. An increase in RA pressure by acute volume overload significantly prolongs RA effective refractory period, interatrial conduction time and increases the propensity of the atria to fibrillate by rapid atrial pacing12,13. Pulmonary hypertension develops in up to 10% of patients with unrepaired ASD, and ES is a rare complication3. In our case, the patient developed moderate pulmonary hypertension and ES.
The 2020 ESC guidelines on the management of ACHD states that in patients with shunt lesions and pulmonary hypertension, the closure of shunt lesion remains a matter of debate. A decision for surgery should be preceded by a meticulous evaluation, including invasive measurement of the pulmonary vascular resistance (PVR). In patients with ES, pulmonary hypertension and desaturation with exercise the closure of the lesion should not be performed14.
Considering the late diagnosis of this malformation and the ES, and the lack of invasive measurement of PVR, surgical repair is not a solution for this patient. Long term optimal therapy is that of a chronic HF and AF. Also, use of selective pulmonary vasodilators and diuretics can be effective for symptom management in the setting of pulmonary hypertension with significant RV volume loading and also beneficial in ES3,4.
We wish to highlight that multiple cardiac congenital anomalies can be diagnosed in elderly patients, even with a prior history of acquired heart disease as a cause for or contributor to HF. When a dilated CS is seen, PLSVC should be sought, as they may contribute to risk of atrial arrhythmias. A careful assessment of the entire interatrial septum using multimodality cardiac imaging is warranted for patients with right heart enlargement, in particular if a PLSVC is present, to evaluate other potentially associated malformations, and to determine adequate therapy.