Have a personal or library account? Click to login
Metabolic Flexibility and Mitochondrial Bioenergetics in the Failing Heart. Therapeutic Approaches Cover

Metabolic Flexibility and Mitochondrial Bioenergetics in the Failing Heart. Therapeutic Approaches

Open Access
|May 2022

Full Article

INTRODUCTION

Heart Failure (HF) is a growing public health concern, and a leading cause of morbidity and mortality in industrialized countries worldwide. HHF is a frequent disease with a prevalence of approximately 37.7 million globally1 and accounting for 2–3% of total healthcare worldwide2. There are two major types of HF, HF with reduced ejection fraction (HFrEF) and HF with preserved ejection fraction (HFpEF), which share similar prevalence and poor prognosis with mortality rates of 50% 5 years after diagnosis3. HFrEF is defined by the presence of systolic dysfunction with an ejection fraction lower than 45% disregarding the diastolic dysfunction. HFpEF is characterized by an increased left ventricle (LV) filling pressure without LV dilation, and with ejection fraction higher than 50%4. Disregarding the type, effective therapeutic strategies to preserve the remaining functional myocardium and delay the progression of HF are yet to be determined. In addition, although both types of HF have different features, they are treated with similar traditional drugs5 with little success.

As a complex clinical syndrome induced by impaired contractile and/or relaxation performances of the myocardium, HF leads to inability of the heart to supply adequate amounts of blood to meet the peripheral tissues metabolic needs. Cardiac ischemia, increased preload and afterload, neurohormonal dysregulation, and intrinsic abnormalities of the myocardium are common etiologic factors of HF2. Major pathogenic mechanisms responsible for HF progression are abnormalities of calcium homeostasis and bioenergetics, alterations of the cardiac contractile apparatus with impaired mechanics, and increased oxidative stress 2 (Figure 1).

The impairment of bioenergetics is considered a key pathogenic mechanism in HF. The heart needs energy in the form of ATP in both systolic and diastolic periods to sustain the excitation contraction coupling and myosin-actin cross-bridge cycles, as well as termination of contraction supported by energy dependent processes including calcium sequestration in the sarcoplasmic reticulum and its extrusion from cardiomyocytes. During maximal exercise cardiac muscle uses 90% of its oxidative capacity indicating that the heart lacks an excess capacity for energy production over energy utilization. There is no significant energy deposit, and the coupling between energy supply and consumption follows a “pay as you go” basis. This means that the energy demand dictates the intensity of energy production.

Figure 1

Major structural, functional, metabolic and bioenergetic features of the failing heart. Heart failure (HF) with preserved ejection fraction and HF with reduced ejection fraction may both evolve to congestive HF. These functional abnormalities are progressively induced by either primary stiffness of the ventricular wall (defect in cardiomyocyte relaxation, interstitial fibrosis and cardiomyocyte hypertrophy) or contractile dysfunction, cardiomyocyte death and eventually chamber dilation. The heart relies on constant ATP supplied by oxidative metabolism. Heart failure is considered a disease of the myocardial energetic metabolism induced by mitochondrial dysfunction leading to energy deficit, increased oxidative stress and altered redox status.

Ninety percent of cardiac energy requirement is provided by mitochondrial oxidative phosphorylation, which is finely tuned to the energy demand. An optimal energy balance is achieved when energy production matches the energy consumption. HF is associated with altered mitochondrial bioenergetics2, which may induce a state of energy starvation and is correlated with hemodynamic markers of severity in human subjects with HF6,7.

Current therapies are mostly focused on decreasing myocardial oxygen consumption and energy demand, and aimed to decrease heart rate and afterload. These therapies are limited by their own effects that include hypotension and bradycardia. The results of the majority of phase III clinical trials with cardioprotective agents performed in the last decade have been largely negative8. Current inotropic therapy is also limited by its disadvantage of increasing oxygen consumption by the less efficient failing heart. Therefore, there is a need for therapies to act on activating signals to increase energy production. Mitochondria is central for cardiac bioenergetics, and the major site of ATP production. This review focuses on alterations in mitochondrial bioenergetics in HF, and novel therapeutic strategies aimed to correct mitochondrial dysfunction in order to balance the bioenergetics and improve the HF outcome.

MITOCHONDRIAL ENERGY METABOLISM IN THE NORMAL HEART

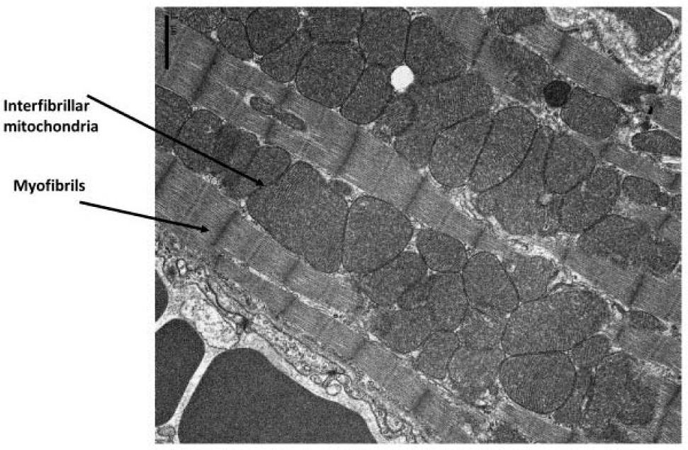
The heart weights only approximately 0.5% of the human body and consumes 8% of the 65 Kg of ATP produced by the whole body per day. Therefore, the heart is the highest metabolically active tissue in the human body. Approximately 95% of cardiac ATP results from mitochondrial oxidative metabolism with the rest deriving from glycolysis6. Cardiomyocytes are rich in mitochondria that are located both beneath the plasma membrane (subsarcolemmal) and within the interfibrillar regions of cardiomyocytes (Figure 2).

In order to accomplish their energetic mission, cardiac mitochondria transform the chemical energy stored in fuel substrates into ATP through oxidative phosphorylation. The normal adult heart obtains 60% of ATP from fatty acids (FA) oxidation with the remaining 40% originating from the oxidation of other fuel substrates including glucose, lactate, amino acids and ketones (mainly β-hydroxybutyrate, βHB) (Figure 3).

Figure 2

Electron microscopy image of the mouse heart.

While glucose uptake into cardiomyocytes is dependent on insulin activity, the uptake of FA and βHB is not hormonally regulated9,10. Glucose enters cardiomyocytes mostly via the insulin-dependent glucose transporter4 (GLUT4)11 and is directed through multiple metabolic pathways such as glycolysis, glycogen synthesis, polyol, hexosamine biosynthetic or pentose phosphate pathways. The end product of glycolysis, pyruvate, is either converted to lactate or transported into mitochondria via the mitochondrial pyruvate carrier, and converted by pyruvate dehydrogenase (PDH) to acetyl-CoA for the tricarboxylic acid (TCA) cycle, also known as Krebs cycle (Figure 3).

After entry into cardiomyocytes, long chain FAs (i.e., palmitate) are activated to FA-CoA that is either esterified as triacylglycerol or enter the mitochondria via carnitine palmitoyltransferases (CPT1 and 2) to be oxidized via FA β-oxidation. The end products of each FA β-oxidation cycle are NADH, FADH2 and acetyl-CoA, which are further oxidized by electron transport chain (ETC) complexes or Krebs cycle, respectively, ultimately leading to ATP synthesis via mitochondrial oxidative phosphorylation. FA β-oxidation is controlled at different steps including the inhibitory effect of malonylCoA (formed from AcCoA via AcCoA carboxylase, ACC), FADH2/FAD+ and NADH/NAD+ redox ratios, and acetyl-CoA/CoA ratio, all unfavorable to FA oxidation12. MalonylCoA is degraded by malonyl-CoA decarboxylase (MCD) thus releasing its inhibitory effect on CPT1 (Figure 3).

βHB is produced by the liver at rates proportional to FA oxidation and NADH/NAD+ ratio, and represents the main ketone body utilized by the heart as an energy fuel. Within mitochondria, βHB is sequentially converted to acetoacetate, acetoacetyl-CoA and acetyl-CoA for the Krebs cycle10 (Figure 3). Cardiac mitochondria can also fully metabolize branched chain amino acids (leucine, isoleucine and valine) providing acetyl-CoA for the Krebs cycle and succinyl-CoA for anaplerosis. Krebs cycle is a source of reducing equivalents in the form of NADH and NADPH.

While electrons are transferred from the reducing equivalents, NADH and FADH2, to oxygen by the ETC complexes, an electrochemical gradient is developed across the mitochondrial inner membrane (IM), which is used by the ATP synthase (complex V) to phosphorylate ADP and form ATP. Mitochondrial ATP is transferred to the cytosol by phosphate exchange networks including mitochondrial and cytosolic creatine kinases (CK) for contractile apparatus, sarcoplasmic reticulum Ca2+-ATPase and other ion pumps.

Figure 3

Cardiac oxidative metabolism. Normal adult heart obtains ATP mostly from fatty acid (FA) oxidation with the remaining delivered from glucose, amino acids and ketones (mainly β-hydroxybutyrate, βHB)5. Glucose uptake is mediated by the glucose transporter4 (GLUT4), and follows multiple metabolic pathways including glycolysis and mitochondrial glucose oxidation. For simplicity, other metabolic pathways are not depicted in this figure. The end product of extramitochondrial glycolysis, pyruvate, is converted by mitochondrial pyruvate dehydrogenase (PDH) to acetyl-CoA (Ac-CoA) that enters the tricarboxylic acid (TCA) cycle (Krebs cycle). Long chain FAs are activated to FA-CoAs that enter the mitochondria via carnitine palmitoyltransferases (CPT1 and 2) and are oxidized via FA β-oxidation. The end products of pyruvate and FA β-oxidation spiral are NADH, FADH2 and acetyl-CoA, which are further oxidized by electron transport chain (ETC) complexes or Krebs cycle, respectively, ultimately leading to ATP synthesis via mitochondrial oxidative phosphorylation. FA β-oxidation is inhibited by malonylCoA (formed from AcCoA via AcCoA carboxylase, ACC), FADH2/FAD+ and NADH/NAD+ redox ratios, and acetyl-CoA/CoA ratio. MalonylCoA is degraded by malonylCoA decarboxylase (MCD) thus releasing its inhibitory effect on CPT1. βHB is oxidized within cardiac mitochondria to acetoacetate (AcAc) that is converted to acetyl-CoA for Krebs cycle. Mitochondrial oxidative phosphorylation provides more than 95% of the cardiac ATP, with the remainder derived from glycolysis. While electrons are transferred from the reducing equivalents, NADH and FADH2, to oxygen by the ETC complexes, an electrochemical gradient is developed across the mitochondrial inner membrane (IM), which is used by the ATP synthase (complex V) to form ATP. Mitochondrial generated ATP is transferred to the cytosol by the mitochondrial and cytosolic creatine kinases (CK) for contractile apparatus, sarcoplasmic reticulum Ca2+-ATPase and other ion pumps. The inset represents an electron micrograph of mouse cardiac muscle showing interfibrillar mitochondria.

CARDIAC METABOLIC FLEXIBILITY

Although the heart is enzymatically equipped to simultaneously utilize multiple fuels to produce energy, it is also able to change the relative contribution of these substrates to cardiac ATP in an effort to better adjust to different physiological and pathological conditions5. This characteristic is vital for the ability of the normal heart to respond properly to the energy demand. Energetic substrates have different energy efficiency, which is defined by the amount of ATP produced for the oxygen consumed and expressed as P/O ratio. While FA oxidation gives the greatest ATP yield, it also uses the highest amount of oxygen with a P/O ~2.3. Glucose is the most efficient energy substrate with a P/O ratio of 2.58. 5. βHB oxidation has an intermediate efficiency with a P/O~2.5.

βHB is oxidized by the normal heart in proportion to its availability at the expense of FA and glucose10. It is reported that HFpEF associated with diabetes acquires the ability to shift the acetyl-CoA towards ketone body synthesis, a characteristic of the fetal heart13. A decrease in glucose oxidation induces HFpEF indicating that maintaining proper glucose metabolism is required for cardiac metabolic health14,15. An excessive dependence on FA oxidation occurs in the heart exposed to an excess in energy fuels (overfeeding-induced obesity, metabolic syndrome and diabetes).

Figure 4

The main redox couples governing the redox balance in cardiac mitochondria (NAD+/NADH, NADP+/NADPH, and GSH/GSSG). Normal cardiomyocytes maintain a constant NAD pool. Both oxidized forms, NAD+ and NADP+, are hybrid acceptors, and are converted to the reduced forms, NADH and NADPH. NADH is oxidized by complex I, and therefore, the NADH/NAD+ couple is important for ATP generation. The NADPH/NADP+ redox couple is central to the antioxidant defense by donating electrons to glutathione (GSH/GSSG) that scavenges the hydrogen peroxide (H2O2, a Reactive Oxygen Species, ROS) via the enzymes glutathione reductase (GR), glutathione peroxidase (GPx). H2O2 is generated from superoxide, O•2, by dismutation via the enzyme, superoxide dismutase (SOD). For simplicity, the thioredoxin antioxidant system is not shown. Mitochondrial antioxidant system is mirrored by a similar scavenging mechanism in the cytosol. In these reactions, the reduced and oxidized members of the redox couples interconvert but are not consumed. Catalase also scavenges H2O2.

Mitochondrial NADH/NAD+ and NADPH/NADP+ redox couples are linked by the enzyme nicotinamide nucleotide transhydrogenase (NNT) that reduces NADP+ at the expense of NADH oxidation and utilizing the mitochondrial inner membrane proton motive force to drive this process. NNT is a physiologically relevant source of NADPH to drive the enzymatic degradation of H2O2. The figure shows that the mitochondrial redox state of the NADH/NAD+ and NADPH/NADP+ redox couples are maintained different as these nucleotides have different metabolic roles. The NADH/NAD+ pool supports the divergent transfer of electrons from fuel substrates to both the ETC and antioxidant system via NNT, and thus is only partially reduced in comparison to NADPH/NADP+. The cytosolic NADH is imported in mitochondria by redox shuttles, most commonly the malate-aspartate (M-A) and glycerol 3 phosphate shuttles (G3P).

In contrast, a reversal back to a fetal metabolic state with overreliance on glucose oxidation and decreased FA oxidation occurs in the failing heart, and is associated with a state of “energy starvation” as glucose, although a low oxygen consuming substrate, is also a low ATP-yield when calculated per mole5. Most clinical16,17 and experimental18 studies confirm this type of cardiac metabolic inflexibility, and show that the decrease in mitochondrial FA oxidation predicts the onset of contractile dysfunction in pressure overload-challenged rats19. In overt HF, disregarding the etiology, the severe decrease in FA oxidation may be due to the collapse of mitochondrial function. In terms of ATP production, one molecule of palmitate yields far more ATP than does glucose. Therefore, to maintain a constant ATP content, a pronounced increase in glucose oxidation must accompany a relatively modest decrease in FA oxidation. Most studies report that the decrease in FA oxidation is not compensated for by an increase in glucose oxidation20,21.

The decrease in mitochondrial oxidative metabolism is associated with an increase in cytosolic glycolytic rates5. Although glycolysis is an alternate source of energy, producing 2 ATP molecules from one glucose molecule, this is insufficient to compensate for energy deficit because the complete glucose oxidation would produce 31 ATP molecules. The general conclusion is that there is no true metabolic switch characterized by a decrease in FA oxidation and a corresponding increase in glucose oxidation, and that the failing heart is an energy-compromised (starved) organ20.

Figure 5

Mitochondrial redox modulators. Increasing the efficiency of the electron transport chain. The figure shows a proposed mechanism for the NAD+ enhancing and lysine deacetylating effect of methylene blue (MB). A complex I defect causes a decrease in NADH oxidation. In experimental models of complex I defect MB accepts electrons from catalytic subunits of complex I and become reduced (MBH2) whereas cytochrome c reoxidizes MBH2 to MB. Therefore, MB provides an alternative electron route within complex I-deficient cardiac mitochondria and favors NADH oxidation thus increasing NAD+ and SIRT3 activity. The administration of exogenous NAD or precursors (+) improved the mitochondrial NAD pool and cardiac function (discussed in the main text). Idebenone increases the coenzyme Q pool.

CARDIAC MITOCHONDRIA IN HF

The ATP amount in the failing heart is reported decreased compared with the normal heart, suggesting a decrease in mitochondrial oxidative phosphorylation. The decrease in mitochondrial oxidative capacity is multifactorial and may be induced by 1) decreased mitochondrial biogenesis pathway; 2) specific defects in the ETC complexes.

Mitochondrial biogenesis

The formation of new mitochondria (mitochondrial biogenesis) is supported by synthesis of mitochondrial proteins and replication of mitochondrial DNA, both processes under the control of the transcription factor peroxisome proliferator-activated receptor γ (PPAR γ) and its co-activator α (PGC1α). PGC1α is considered the master regulator of mitochondrial biogenesis due to the activation of nuclear respiratory factors 1 and 2, (NRF1 and 2) as well as mitochondrial transcription factor A (TFAM), all targeting genes encoding for mitochondrial proteins and mtDNA22,23. PGC1α is downregulated in humans with HF leading to decreased mitochondrial density24,25. PPARα is an isoform predominantly regulating FA oxidation enzymes, and is downregulated in both animal models and humans with HFrEF26 but is increased in HFpEF associated with metabolic syndrome, which is associated with an increase in FA oxidation19.

ETC abnormalities

There is plethora of evidence that specific activities of individual ETC complexes are decreased in HF20. ETC complexes aggregate into functional supercomplexes27, and this form of organization provides a more efficient electron transport and is protective against excessive mitochondrial reactive oxygen species (ROS) generation27. A decrease in mitochondrial supercomplexes has been reported in HF28.

Cardiolipin (CL) is an anionic phospholipid with four acyl chains that are enriched in linoleic acid ((C18:2)4-CL), which resides in the inner mitochondrial membrane. CL provides structural and functional support to ETC components29, and its depletion results in reduced activities of ETC complexes. CL is also proposed to maintain the structural integrity of ETC supercomplexes, as it may act as a molecular ‘glue’ to hold the complex protein subunits together in a supramolecular organization30,31. In humans, reduced (C18:2)4-CL, due to defective CL remodeling (Barth syndrome), causes dilated cardiomyopathy associated with destabilization of all supercomplexes containing complex IV, loss of complex I from the supermolecular assembly and decrease in the individual enzymatic activities of complexes I, III and IV31, indicating that CL is essential for the function of cardiac mitochondria. Myocardial ischemia32 and HF33,34,35 are associated with mitochondrial dysfunction and CL peroxidation, loss of total CL content and decrease in (C18:2)4-CL. Approaches that target cardiolipin are likely to improve electron transport across the ETC and, by correcting mitochondrial function, might be beneficial in treating HF.

CONSEQUENCES OF ALTERATIONS IN MITOCHONDRIAL BIOENERGETICS IN HF

Oxidative stress is defined by an increase in reactive oxygen species (ROS) related to the antioxidant mechanisms. The ROS-generating sources in the heart are both extramitochondrial and mitochondrial. Defects in the ETC complexes lead to an impaired electron flow with accumulation of electrons at ETC sites that, according to their redox potential, can donate electrons and univalently reduce the molecular oxygen to form superoxide, a strong ROS. Similarly, an increase in mitochondrial proton gradient (mitochondrial hyperpolarization) also slows down the electron transport and increases ROS generation36.

A mild generation of reactive oxygen species has beneficial effects on the heart by facilitating physiological adaptive responses such as adaptation to physical exercise37. In addition, exercise training causes beneficial adaptation in the heart such as an increase in endogenous ROS-scavenging mechanisms37, restores bioenergetics in porcine models of HFpEF38, and alleviates symptomology in patients with HFrEF39,40 and HFpEF41.

Uncoupling proteins dissipate the electrochemical gradient by allowing proton translocation back into the mitochondrial membrane, thus uncoupling the oxidation and phosphorylation processes. The observed increased expression of mitochondrial uncoupling proteins in HF42 might be a compensatory mechanism to reduce ROS by inducing a mild decrease in the mitochondrial inner membrane electrochemical gradient, a process called “mild uncoupling”43. However, the decrease in ROS production by uncoupling may be an efficient ROS decreasing mechanism in absence of ADP, a state that is unlikely to occur in the heart in vivo.

Alterations in the redox state

Classic examples of redox reactions are the transfer of electrons between reduced and oxidized subunits within the mitochondrial ETC according to their redox potential. Mitochondria have multiple redox couples (redox players)44 including NAD+ (oxidized)/NADH (reduced), NADP+/NADPH, GSSG (glutathione disulfide)/GSH (glutathione) (Figure 3). Energized mitochondria have a high NADH concentration to provide electrons for oxidative phosphorylation45. In contrast, in the extra-mitochondrial space, the NADPH/NADP+ ratio is maintained in a reduced state (the reduced NADPH > the oxidized NADP) via several enzymatic reactions in order to drive reductive biosynthesis and maintain antioxidant defense. The cytosolic GSH/GSSG couple is also maintained in a reduced state that is needed for ROS detoxification. These redox couples are interconnected (Figure 4). In mitochondria, the inner membrane nicotinamide nucleotide transhydrogenase (NNT) reduces NADP+ at the expense of NADH oxidation, utilizing the mitochondrial inner membrane protonmotive force to drive this process. NNT is a physiologically relevant source of mitochondrial NADPH46. The NADPH/NADP+ couple supplies electrons to keep mitochondrial GSH pool in order to scavenge H2O2, a strong ROS47. In conclusion, redox signaling regulates metabolism while metabolic state influences redox signaling. The NAD+/NADH redox couple is a critical node integrating metabolic and signaling events.

The redox signaling network linked to the NAD+/NADH couple depends on the total mitochondrial NAD pools. NAD is a substrate for enzymes including the SIRT family, which continuously converts NAD+ to nicotinamide. As NAD is degraded, cardiomyocytes must maintain a constant pool by de novo synthesis or recycle nicotinamide to replenish NAD. In cardiomyocytes, mitochondrial NAD pool is relatively high matching its critical role in mitochondrial Krebs cycle and ETC48. Pathological cardiac hypertrophy, the prerequisite of HF, is associated with a decrease in the cardiomyocyte NAD pool49. Similar observation was reported in diabetic cardiomyopathy, a model of HFpEF50.

The oxidized form, NAD+, is an electron acceptor in the redox reactions. Therefore, NAD+ and NADH interconvert but are not irreversibly consumed. NAD+ participates in all major energetic pathways including glycolysis, Krebs cycle, FA oxidation, ketone body metabolism, and ETC (Figure 2). NAD+ is a potent activator of the Krebs cycle enzymes whereas NADH is a Krebs cycle allosteric inhibitor, and increases in ETC defects45,51,52. For example, Complex I45 and IV53 defects lead to increased mitochondrial NADH content. The deficiency of frataxin, a mitochondrial protein integral to the assembly and function of iron-sulfur proteins in ETC complexes I, II and III and aconitase (Krebs cycle), is associated with an 85-fold decrease in cardiomyocyte NAD+/NADH ratio and pathologic cardiac hypertrophy52. Approaches to correct mitochondrial ETC defects increased NAD+ content51. In conclusion, the disruption of the electron flow to oxygen by ETC defects increases NADH causing a highly-reduced redox environment within mitochondria. The cardiac amount of the oxidized form, NAD+, is reported reduced in HFrEF54, and either unchanged55 or altered56 in HFpEF.

While NADH/NAD+ redox ratio determines the production of mitochondrial ROS, the NADPH/NADP ratio is key to antioxidant defense. They are linked by the NNT enzyme that transfers electrons from NADH to NADP+ (Figure 3).

Sirtuins (SIRTs) remove an acetyl group from lysine residues in an NAD+-dependent manner by cleaving NAD+ to nicotinamide57, and are reported to prolong lifespan in mammals58. There are seven mammalian SIRTs that differ in their cellular localization. Although all SIRTs are NAD+-dependent, the extramitochondrial SIRT 1 and mitochondrial SIRT3 are well-known players in the heart. SIRT 1 protects against pathologic cardiac hypertrophy, and SIRT 1 knockout mice exhibit developmental cardiac defects59. Sustained SIRT 1 overexpression causes cardiomyopathy whereas moderate SIRT 1 expression ameliorates age-induced cardiac hypertrophy and dysfunction60, suggesting its effect is dose-dependent. SIRT 1 also protects mitochondrial function by activating PGC-1a61 to increase mitochondrial FA oxidation62. Overall, NAD+, via SIRT 1, regulates pathological hypertrophy and mitochondrial metabolism.

SIRT3 is the major mitochondrial NAD+-dependent deacetylase63. SIRT3 knockout causes cardiac hypertrophy and failure under stress64 while overexpression protects against pathological hypertrophy via activating antioxidant mechanisms65.

SIRT 1 and SIRT3 regulate bioenergetic metabolism during energetic crises. SIRT3-mediated deacetylation activates enzymes involved in glycolysis66,67, FA oxidation68,69,70, Krebs cycle cycle71, and the ETC72. By upregulating metabolic machinery during states of decreased fuel availability, SIRT3 appears to be a critical metabolic regulator of coupling substrate oxidation with the formation of reducing equivalents to ATP production thus maximizing efficiency.

Energy deficit

There is a large variability regarding the reported mitochondrial ETC defects in HF. The causal relationship between these defects and the decrease in ATP has not been defined. For example, a severe murine complex I defect did not cause energy deficit45 suggesting that in the murine heart ATP production is not directly related to complex 1 activity. In contrast, most studies report bioenergetic impairment in human subjects diagnosed with HF, which manifest as decrease in cardiac ATP, phosphocreatine (PCr)73,74, or, most common, a decline in the pCr/ATP ratio73,75,76.

THERAPEUTIC APPROACHES
Change the metabolic substrate preference

Metabolic inflexibility with an excessive increase in FA oxidation seems detrimental in HFpEF77. In this regard, the β-adrenergic receptor antagonist, carvedilol, used in HF to reduce cardiac workload and decrease oxygen consumption, also inhibited mitochondrial FA uptake, increased glucose oxidation and limited the infarct size after ischemia78 indicating that balancing the metabolic health is beneficial for the heart.

Malonyl-CoA inhibits carnitine palmitoyltransferase (CPT)1, the rate-limiting enzyme in mitochondrial FA uptake (Figure 2), and its amount is dependent on the balance between the synthesis via acetyl-CoA carboxylase and degradation via malonyl-CoA decarboxylase. Inhibiting malonyl-CoA decarboxylase in animal models improved ischemic-induced cardiac dysfunction, reduced cardiac FA oxidation, and increased the glycolytic flux79. Studies of malonyl-CoA decarboxylase inhibitors are yet to be performed in human patients with HF.

Due to the observed and possibly incomplete metabolic switch towards increased glucose use in both animal models and humans with HF, it is proposed that stimulating glucose oxidation may be an attractive therapeutic strategy to compensate for the energetically ‘starved’ failing heart80. Ketone body metabolism is altered in HF. There is an increased ketone utilization in the severely failing heart in humans81,82. Further research is needed to understand the role of ketone oxidation in the failing heart, and to determine whether targeting ketone metabolism is an efficient approach to improve energetics in HF.

Normalize the increased oxidative stress

Although the increased oxidative stress is an accepted pathogenic mechanism in HF, clinical trials yielded negative results to support the long term role of ROS scavengers to alleviate HF83,84. The lack of long-term benefits may be related to the inability to reach effective therapeutic doses to stoichiometrically scavenge the ROS due to poor absorption, decreased cellular uptake or lack of strategy to match the ROS generation which is a continuous process. Mitochondrial targeted antioxidants have been tested on experimental models of cardiac disease and HF. For example, XJB-5-131, a mitochondria-targeted ROS scavenger is reported to decrease ROS generation and maintain mitochondrial and cardiac functions in rats subjected to ischemia-reperfusion injury85. Similar effects were obtained with another mitochondrial antioxidant, MitoTEMPO86. The compound EUK-8, a mimetic of two major mitochondrial antioxidant enzymes (superoxide dismutase and catalase, Figure 4), suppressed the progression of cardiac dysfunction and diminished ROS production and oxidative damage in dilated cardiomyopathy in mice87. These compounds are yet to be tested in human subjects with HF.

Mitochondrial redox therapy

As cardiac54 and circulating88 NAD pool are reported decreased in HF, NAD-boosting strategies are expected to be beneficial to the cardiac metabolic health. For example, the food supplementation with nicotinamide riboside, the most energy efficient NAD precursor was found beneficial in a murine model of dilated cardiomyopathy and transverse aorta constriction by stabilizing myocardial NAD+ levels in the failing heart89. The oral supplementation with nicotinamide riboside in patients with advanced HF decreased systemic inflammation by normalizing mitochondrial function in peripheral blood mononuclear cells90. Elevating the NAD level suppressed mitochondrial protein hyperacetylation and cardiac hypertrophy, and improved cardiac function in responses to stresses91.

NAD+-dependent SIRTs have been investigated as therapeutic targets in HFpEF induced by diabetes. For example, resveratrol, a polyphenol and well-known SIRT 1 activator, alleviated diabetic cardiomyopathy via activating SIRT 1, 2, 3 and 592,93, improved glucose metabolism in human subjects94,95 and decreased oxidative stress in cultured cardiomyocytes96. In a rodent model of genetic obesity, resveratrol decreased cardiac fibrosis and improved FA metabolism97.

In the mitochondrial ETC, electrons are passed from donors to acceptors according to their redox potential. As ETC defects delay or reverse the electron transport, providing alternative paths for electron transport, which bypass the ETC defect, rescued mitochondrial function in ETC defects. For example, methylene blue (MB), an FDA approved pharmacological drug used to treat various ailments in human subjects98,99,100,101,102,103,104,105,106,107,108,109 and rodents110,111,112,113,114, may provide such an electron route. MB has a low redox potential that allows the compound to receive electrons from complex I114,115,116 and become reduced (MBH2) while being able to be re-oxidized by cytochrome c back to MB114,117. Therefore, MB is protective because it helps the electrons to bypass the complex I and III defects and still maintain oxidative phosphorylation (Figure 5). We recently reported that MB protected retinal photoreceptors in a murine model of mitochondrial complex I defect118, and improved cardiac function by shifting electron away from NADH in diabetic cardiomyopathy, a model of HFpEF119.

Increase the efficiency of the electron transport within the mitochondrial ETC

Coenzyme Q (CoQ) pool is composed by two redox coenzymes, the reduced uniquinol and the oxidized ubiquinone. CoQ is endogenously synthesized, converted to ubiquinol by two-electron reduction from energetic substrates fed into complexes I and II (i.e., pyrucate, acetylCoA), which is then oxidized back to ubiquinone by donating electrons to complex III (Figure 2). Incomplete, one-electron reduction of CoQ produces semiquinone, which is a highly reactive radical. An increase in the reduced CoQ pool (ubiquinol) causes a reverse electrons flow back to complex I resulting in ROS generation120. Circulating CoQ is decreased in patients with HF121, which correlated with poor clinical outcome and increased mortality122. Q-SYMBIO clinical trial123 revealed a reduction in mortality after 2 years of treatment with CoQ. Recently, CoQ analogues with more efficient penetrability into the mitochondria have been developed. The delivery to mitochondria was improved by novel quinone conjugates that are tethered to lipophilic, cationic triphenyl-phosphonium moieties, such as MitoQ and SkQ124, which have proved efficient in experimental models of HF125. The administration of idebenone, a short-chain synthetic CoQ analogue126, has had promising benefits in small clinical trial of genetic mitochondrial defects127 and HF in experimental models128 and human subjects129.

Protection of cardiolipin

Cardiolipin is decreased of oxidized in HF. Maintaining the amount and integrity of cardiolipin may be an efficient therapeutic approach to improve mitochondrial bioenergetics in HF. The cell-permeable tetrapeptide MTP-131 (Bendavia or Elamipretide) localizes to the mitochondrial inner membrane130, protects against cardiolipin oxidation and improves mitochondrial function131,132. MTP-131 reduced pathologic hypertrophy and cardiac remodeling, and improved mitochondrial and cardiac function in murine133,135,135, porcine136 and canine137 models of HF. In human subjects with HFrEF, elamipretide is safe and well tolerated, and improved left ventricular function138.

Calcium homeostasis

Altered Ca2+ homeostasis leading to impaired excitation–contraction coupling occurs in many types of HF139. Mitochondria are critical in regulating cardiomyocyte calcium dynamics because all membrane-bound Ca2+ pumps are ATP-dependent. In the myocardium, Ca2+ necessary for the cross-bridge actin-myosin cycles derives mostly from the extracellular space via the voltage-dependent Ca2+ channels with a lower contribution from the sarcoplasmic reticulum (SR) via the SR Ca2+ release channels, also called ryanodine receptors. Diastolic relaxation depends upon the Ca2+ sequestration within the SR via the SR Ca2+ ATPase (SERCA2a) and expulsion out of cardiomyocyte versus a Ca2+ pump and Na-Ca exchanger.

HFpEF is defined by impaired diastolic relaxation. Increasing the duration of the diastole by decreasing heart rate led to modest benefits in patients with HFpEF140 potentially by providing more time for Ca2+ to move to the SR via SERCA2a. However, SERCA2a is reported downregulated in HF141, and SERCA2a overexpression improved cardiac function in experimental models of HF142,143. Gene therapy through infusion of adeno-associated virus 1/SERCA2a in patients with HFrEF did not improved the clinical course144 suggesting that it is the SERCA2a ATP-dependent activity rather than amount that is impaired in human HF.

CONCLUSION

Heart failure is the unfortunate outcome of many cardiac diseases. Disregarding the etiology, bioenergetic collapse is reported by most studies in human HF. Before the heart becomes an energy starved organ, cardiac tissue suffers multiple consequences induced by mitochondrial defects including increased oxidative stress and changes in the redox status, both detrimental to the contractile apparatus and leading to poor mechanics. Research conducted on experimental models of HF have contributed to our understanding of multiple aspects of bioenergetic impairment, and are used to discover novel therapeutic targets and mitochondrial modulator to mitigate HF.

DOI: https://doi.org/10.47803/rjc.2021.31.2.269 | Journal eISSN: 2734-6382 | Journal ISSN: 1220-658X
Language: English
Page range: 269 - 282
Published on: May 3, 2022
Published by: Romanian Society of Cardiology
In partnership with: Paradigm Publishing Services
Publication frequency: 4 issues per year

© 2022 Mariana G. Rosca, published by Romanian Society of Cardiology
This work is licensed under the Creative Commons Attribution 4.0 License.