Venous thromboembolism (VTE) can be the first symptom of an occult malignancy in apparently healthy individual. Each of the three components of Virchow’s triad contribute to thrombosis and is present in a specific amount in a cancer patient. Thrombotic obstruction of the hepatic venous outflow may lead to a rare condition such as Budd-Chiari syndrome, characterized by liver disease, ascites and abdominal pain. Almost half of the cases of Budd-Chiari syndrome are related to some type of myeloproliferative disorder and only 10% of Budd-Chiari syndrome cases are related to malignancy, which causes either direct compression or invasion of the vessels1. These characteristics, along with hypercoagulability, lead to venous thrombosis and obstruction. A rare cancer related to the Budd-Chiari syndrome is the leiomyosarcoma of the inferior vena cava (IVC), less than 400 cases being reported in the literature2. An intravascular tumor, such as leiomyosarcoma, if present in the IVC suprahepatic segment, may obstruct the blood flow and cause retrograde stasis in the hepatic veins with likely thrombosis and further Budd-Chiari syndrome manifestations. However, these conditions need a proper diagnosis and management as the evolution could be dramatic.
We report the case of a 57 year-old male patient, hypertensive, diabetic, known with complete situs inversus, diagnosed with ethanolic hepatic cirrhosis under specific treatment. Though the patient became adherent to the medical recommendations and stopped alcohol intake, he repeatedly presented to the hospital with hepatic decompensation every 3 to 4 weeks. Given the fact that the edema and the ascites reoccurred frequently, he received diuretic therapy, which was not tolerated by the patient, manifested by acute azotemia and low blood pressure.
He was admitted to the nephrology department for renal function stabilization and the diuretic therapy was discontinued. Two weeks after his last discharge from the gastroenterology department, the patient presented once again at the emergency department for swollen lower limbs, more pronounced on the right limb, and for painful abdomen. At the clinical exam he was conscious, hemodynamically stable, with generalized edemas and swollen abdomen. The blood tests revealed: increased D-dimers (4280 ng/mL), moderate hyponatremia, thrombocytopenia, spontaneous INR 2.1, impaired renal function (GFR 41 ml/min/1.73 m2). The first pre-hospital electrocardiogram had an extremely unusual aspect in the precordial leads, sinus rhythm with constant R waves from V1 all the way to V6, with no R or S wave progression. After declaring the presence of situs inversus, another ECG was made, showing a normal QRS morphology (Figure 1). The clinical presentation and the results of the blood tests raised the suspicion of deep venous thrombosis (DVT) that was confirmed with venous Doppler ultra-sound: DVT on common and external iliac veins, on common femoral vein, lack of Doppler signal in the IVC. Continuing the investigations, the thoracic angio CT scan detected a segmental pulmonary embolism and also the appearance of IVC thrombosis with extension to the right atrium. The transthoracic echocardiography detected left ventricle (LV) hypertrophy with preserved LV ejection fraction and the presence of a heterogenous mass, filling the right atrium almost entirely (Figure 2).
Figure 1
A. ECG with standard positioned left leads. B. ECG with precordial leads properly repositioned on the right: sinus tachycardia, 110 bpm, flattened T wave in DIII.

Figure 2
Transthoracic echocardiography right apical 4C view (poor accuracy due to dextrocardia): mass filling almost entirely the right atrium; LV hypertrophy.

In the Cardiology department, unfractioned heparin (UFH) was initiated, under aPTT-adjustment. The abdominal ultrasound revealed a micronodular, enlarged liver, but could not visualize the IVC due to ascites and the inverted visceral topography. The next day, an abdominal and pelvic CT scan redefined the findings from the previous CT examination showing a soft tissue mass, 22 cm long, occluding completely the IVC starting from the infrarenal region and ending in the right atrium, extending to both renal veins, with thrombi at both extremities and hepatic veins thrombosis. Thus, we affirmed the diagnosis of Budd-Chiari syndrome. The mass presented with neoformation vessels, with no other tumors identified coming from the nearby structures, appearance that was highly suggestive for an intraluminal vascular leiomyosarcoma (Figures 3, 4). Summarizing, we considered the CT findings to justify the repeated liver decompensations, the recurrent oedemas and the renal function deterioration despite treatment compliance. Further blood tests revealed increased carcinoembryonic antigen (CEA), elevated CRP and hypoproteinemia; the electrolyte imbalance was slightly improved, but the serum creatinine did not regress (probably in the context of contrast substance toxicity used for the CT examination). A session of paracentesis was performed for the evacuation of the excessive ascites fluid and ruled out the potential spontaneous bacterial peritonitis, suspected due to positive inflammatory markers. On the 7th day of treatment, the thrombocytes level dropped to 75000/mm3, possibly as an adverse effect of UFH, and the low molecular weight heparin (LMWH) has been introduced. The platelet count maintained constant afterwards. The right DVT signs have significantly improved under therapeutic anticoagulation, but the peripheral generalized edemas still persisted due to the presence of the tumor.
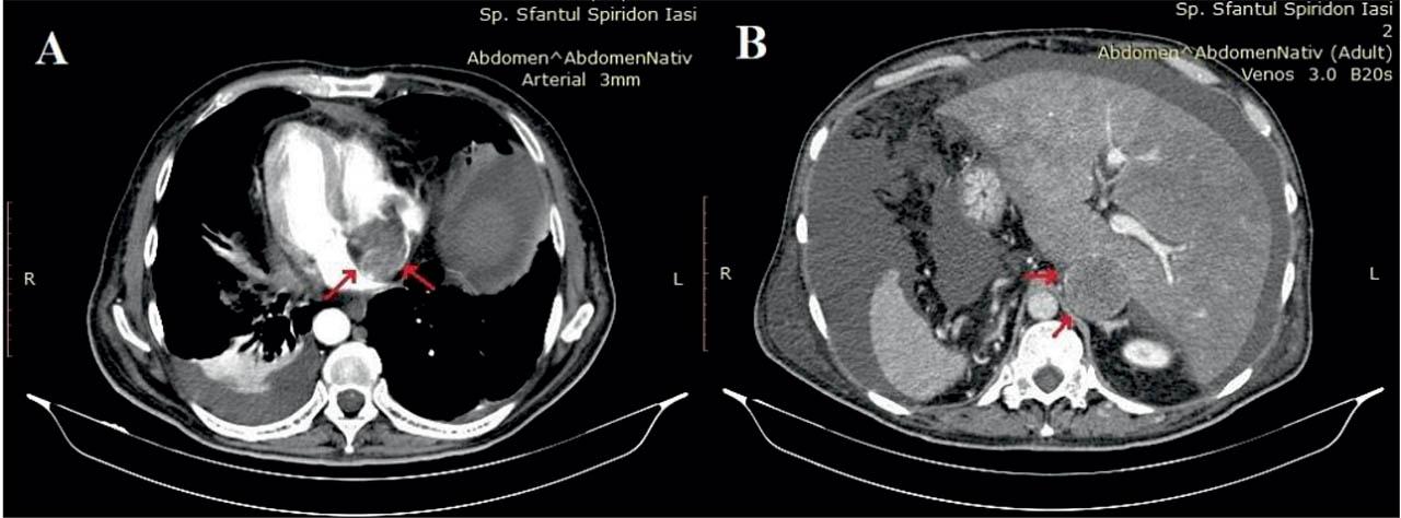
Figure 3
A. Thoracic CT arterial phase - axial view. Soft tissue mass occupying the right atrium almost completely, continued by thrombosis at the same level, with free right atrial appendage; pleural effusion. B. Abdominal CT venous phase - axial view. Filling defect of the IVC due to intraluminal non-homogeneous mass, with a diameter disproportionate larger than the aorta on the right (IVC largest diameter 53 mm); ascites.

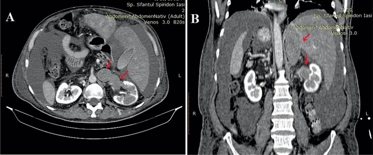
Figure 4
A. Abdominal CT venous phase - axial view. The mass descends in the renal segment, on both renal veins, infiltrating the left kidney with diminished peripheral renal parenchyma preserved. B. Abdominal and pelvic CT venous phase - coronal view. Tumor indicated by the red arrows. Appearance of an infiltrated subcutaneous adipose tissue at the abdominal wall and both thighs.

After 12 days of treatment, the patient status has mildly improved and was discharged with the recommendation for long term LMWH. He was referred to a multidisciplinary surgical team, for the resection of the invaded kidney along with the entire tumor and the IVC repair. The patient would remain under close observation till the surgery moment.
We presented the case of a patient with complete situs inversus that was recently diagnosed with liver cirrhosis misinterpreted as ethanolic, despite unresponsiveness to adequate treatment, with multiple decompensations over the last 4–5 months. Actually, these occurrences concealed the presence of Budd Chiari syndrome caused by a growing tumor in the IVC and venous thrombosis alongside. According to the literature, intravascular tumors have typically a silent progression, displaying symptoms only in late stages, as was the case of our patient.
Thanks to the detailed CT scan characterization of the mass features (increased length, presence of neoformation vessels, lack of any nearby structures origins) the radiologist suggested a likely diagnosis of leiomyosarcoma, the most common primary tumor of IVC3. Leiomyosarcomas are rare and aggressive tumors, originated from the smooth muscle vascular wall, affecting 1:100000 people. This type of malignancy may have an intra- or extraluminal growth, and anatomically can involve the infrarenal segment (I), the middle or renal segment (II) and the upper or hepatic segment up to the heart cavities (III)4. The tumor may reach on average at the time of diagnosis 12 cm, and is more frequent in the second segment, affecting women in three quarters of all cases3. Different from the data literature, in our case the tumor had an unexpectedly larger size (22 cm), an important extension along all three segments of IVC and presented with simultaneous complications of nearby structures: Budd Chiari syndrome and liver cirrhosis, chronic kidney disease by kidney infiltration, right atrium extension, thrombosis and consecutive pulmonary embolism. In a large series of case review of IVC leiomyosarcoma3, only two patients out of 22 presented with both Budd Chiari syndrome and intracardiac extension of the tumor. Hence, finding such a rare pathology in a patient with complete situs inversus was the least expected.
Another particular aspect is represented by the coexistence of paraneoplasic thrombosis at both ends of the mass, especially at the downstream level, which suggests that in addition to the mechanical factor that is the upstream stasis of blood flow, the hypercoagulable environment caused by the tumor cells leads to further thrombosis. There are large data concerning the mechanisms of cancer mediated thrombosis including various factors released by malignant cells: tissue factor and inflammatory citokines5, generation of adenosine diphosphate involved in platelet activation, plasminogen activation inhibitor-1 (PAI 1), a key inhibitor of fibrinolysis which is highly expressed in cancer cells, cancer procoagulant (CP) that has been shown to directly activate coagulation by activating factor X and so on6. The CT scan with contrast was able to differentiate the tumoral thrombus from the bland thrombus, and so the FDG Pet-CT was not further required7.
Moreover, this patient had an enormous recurrent embolization risk, considering the presence of the atrial thrombus attached to the tumor and also the hypercoagulable state due to malignancy, making the antocoagulation therapy the appropiate solution in the acute phase. By adding the increased INR and thrombocytopenia, in a cirrhotic patient in which the anticoagulant therapy was mandatory, maintaining a fine line between bleeding and embolic risk was critical. Switching to HGMM slowed down platelet drop and ensured a proper anticoagulation further on.
Histopathological confirmation of the intravascular tumor would be the next step in the patient management. Latest case reports show that radical surgery is currently the only potentially curative therapy for leiomyosarcomas. However, the prognosis remains poor and potential curative interventions occur through challenging surgeries, such as vena cava re-section, occasionally multivisceral resections and vascular reconstruction8. The survival depends mainly on the tumor size and location, data about the efficacy of chemotherapy and radiotherapy is still limited9. Literature review shows that upper IVC involvement, atrial extension and liver failure, all present in our patient, are associated with the worst prognosis and a lower possibility of radical surgery, therefore a palliative approach is rather considered10,11.
Intravascular tumors of the IVC are a rare condition that may hide misleading clinical settings such as liver disease, Budd Chiari syndrome, kidney disfunction or venous thromboembolism. The presence of this simultaneous diversity of conditions in a patient with a rare anatomical variant such as situs inversus totalis may represent a real challenge among clinicians. Therefore, increased awareness and early diagnosis may represent the key to a better outcome.