Cardiac blood cysts are benign tumors, usually congenital, found on the endocardium, particularly along the closing lines of the heart valves.1,2,3 They can also be acquired in some cases.4 They are usually incidental autopsy findings on cardiac valves in approximately 50% of infants under 2 months.5 Blood cysts are rare after 2 years of age. When found in adults, they can be large and may result in severe left ventricular (LV) outflow tract obstruction.6 Myxomas should be considered as the main differential diagnosis of intracardiac masses.1,7
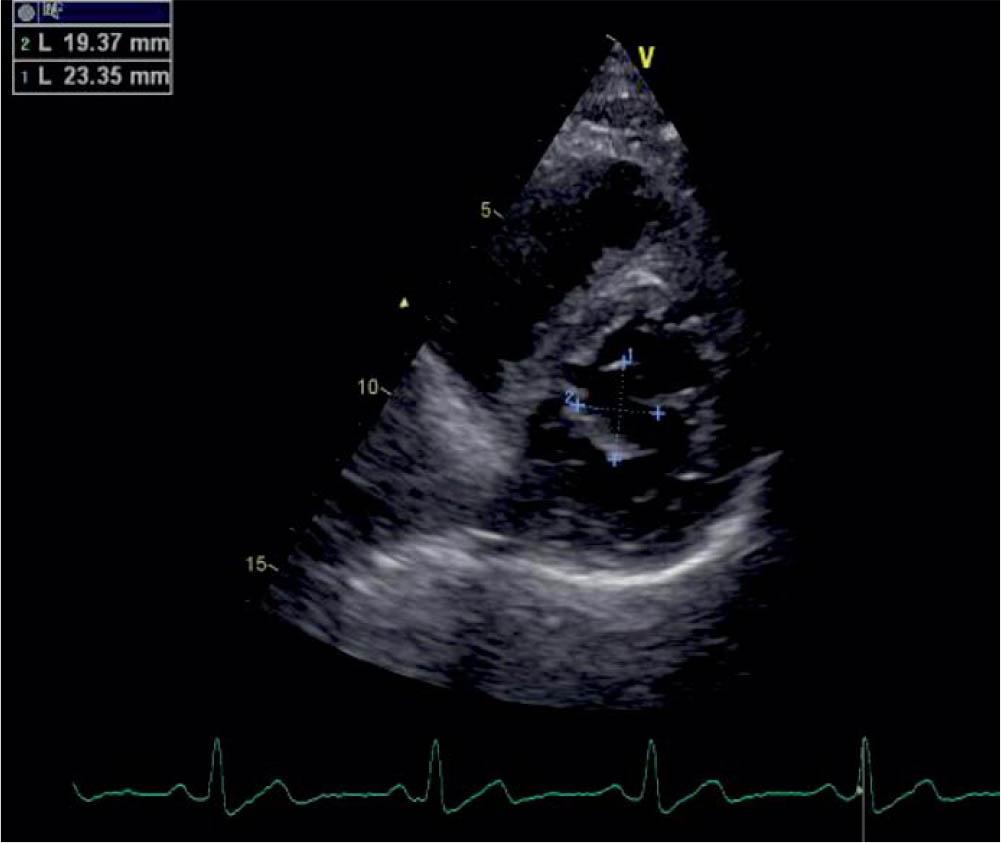
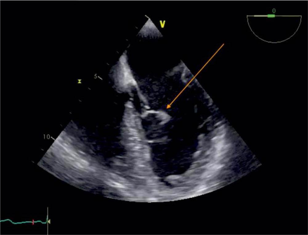
We report a case of a 39 year old patient, a smoking and apparently healthy man who was referred to us complaining of fatigue at small efforts and atypical chest pain. On admission, the blood pressure was 110/80 mmHg, pulse rate was 80 beats per minute. The cardiac and pulmonary examination were completely normal. Laboratory values revealed normal blood chemistry and blood count, as well as normal liver function tests and coagulation profiles. The chest X-ray and electrocardiogram didn’t show any abnormalities. Transthoracic echocardiography (TTE) showed a large, round and mobile cystic mass (20×22 mm) attached through a pedicle to the ventricular face of the anterior mitral leaflet (AML) and to the mitral chordae. (Fig. 1–2) Mild mitral regurgitation (MR) was revealed, and the left ventricle (LV) was of normal size and function. We performed transesophageal echocardiography (TEE), which confirmed the presence of the cystic mass at the level of the mitral valve (MV). (Fig. 3–4)
Figure 1
TTE apical 4 chamber, visualization of the blood cyst (arrow) attached to the MV.

Figure 2
TTE parasternal short axis, visualization and measuring of the blood cyst.

Figure 3
TEE 99 degrees, visualization of the blood cyst (arrow) attached to the MV.

Figure 4
TEE 0 degrees, visualization of the blood cyst (arrow) attached to the AML.

Therefore, we raised the suspicion of a hydatic intracardiac cyst, which was invalidated by the absence of Echinococcus granulosus IgG antibodies. Together with the heart team, the patient decided for surgical intervention and removal of the cardiac mass. During surgery, a cystic mass, round to oval shaped and which measured 40x30 mm, attached to the AML, was found. (Fig. 5 A, B) The cystic cavity was filled with old blood and serosanguineous fluid and showed a small yellowish calcified body in the cyst wall. The cystic mass was successfully resected. Mitral valvuloplasty was performed with repositioning of the chordae and with the use of a Medronic CG Future 26 mm annuloplasty system. For the histopathological diagnosis tissue fragments from the cystic mass were processed by conventional technique: fixed in formalin, embedded in paraffin and stained with hematoxylin and eosin. For the immunohistochemical investigation, additional sections from single paraffin block were placed on Super Frost Ultra Plus slides and stained with anti-CD31 and anti-Smooth Muscle Actin (SMA) antibodies, polymer detection system (Novolink), visualized with Diaminobenzidine (DAB) and counterstained with Hematoxylin (HE).
Figure 5
Blood cyst after resection, devoid of its content.

Gross examination revealed a cystic lesion, about 2/2,2 cm in diameter, delineated by a smooth, whitish wall, uneven in thickness, in some areas thin < 1mm, in other areas thicker, with increased consistency and beige-brown in color.
On microscopic examination the wall of the cyst was represented by dense connective tissue with some myxoid areas and small aggregates of lymphocytes (Fig. 6 A, B), lined by flat endothelial cells, positive for CD31 (Fig. 7 A). Small bundles of SMA positive cells were identified in some parts of the cyst wall (Fig. 7 B).
Figure 6
A. Cyst wall composed of dense connective tissue with some lymphocytes. HE x 100. B. Myxoid changes of the cystic wall. HE x 200.

Figure 7
A. Endothelial cells lining the cyst. Anti-CD31, DAB x 400. B. Smooth muscle cells in the cyst wall. Anti-SMA, DAB x 400.

We repeated the TEE exam a week after surgery, which revealed a normal LV and no residual MR. The patient had an uneventful recovery after surgery.
Blood cysts of the heart are commonly reported as postmortem findings in infants. They regress spontaneously in most of the affected patients by the age of 6 months and are rare in adults.5,8 Most often, blood cysts within the heart occur on the valves or on the supporting structures of the valves.9 They are often asymptomatic but few cases resulting in embolization and valvular dysfunctions have been reported.10-11
Blood cysts involving heart valves were first reported by Elsässer in 1844.12 These cysts are usually blood-filled nodules measuring 1-2 mm, which are commonly associated with the atrioventricular valves, but they have also been reported as attached to the semilunar valves.1,5,13,14,15,16
Several theories have been proposed in order to explain the development of blood cysts. The first one advises that they are formed during valve development as a result of blood being pressed and trapped in crevices that are later sealed off. This hypothesis could be a plausible explanation for cysts in infants.10 The second theory submits that blood cysts are the result of hematoma formation in the subvalvular region secondary to the occlusion of small vascular branches of end arteries due to inflammation, vagal stimulation, anoxia, or hemorrhagic events. The third theory postulates that the primitive pericardium abnormally migrates into the myocardium to form fibrous structures. The fourth and fifth theories suggest that these blood cysts simply represent ectatic or dilated blood vessels in the valves or angiomas.10 However, there is still no consensus regarding their development.10,17,18
Echocardiography was first used to identify a blood cyst in 1983 and remains an excellent modality to diagnose this rare condition. TEE is an important diagnostic modality for cardiac masses. It allows better visualization of the intracardiac structures and of the great vessels than TTE, provides more clear information regarding intracardiac chamber size and function and also of the valvular function.19,20,21
Some authors suggest using contrast echocardiography for a certain diagnosis, as well as for differentiating other etiologies. When injected, the contrast substance gets into the blood cyst either during systole22 or dyastole23, showing the communication with the ventricular cavity.
Other imaging techniques as Computed Tomography (CT) or Cardiac Magnetic Resonance (CMR) are very helpful in establishing the diagnosis and the etiology. Bagheri et al have used the CT to exclude a diagnosis of a hydatid cyst in a clinical case with two cysts located at the level of the subvalvular apparatus of the MV, which were causing LV outflow obstruction.24 CT and CMR are useful in characterizing tissues. On CT a blood cyst appears as a well delimited mass, generally isodense.20 On CMR it has varied descriptions: hyperintense in T2W25, isointense in turbo spin echo20, or with a prolonged T1 relaxation time in special breath-held inversion-recovery sequences. Early gadolinium enhancement was not described.20,21
Blood cysts are rarely reported, so there are no guidelines for the optimal management of the asymptomatic cases. Most authors suggest a conservative approach in asymptomatic patients with minor cysts.3,10,11 In their opinion, surgical resection should be considered if symptoms occur or if the cysts lead to any cardiac dysfunction. Paşaoglu et al. suggested surgical removal of cardiac blood cysts at the time of diagnosis, even if the patient is asymptomatic.14
Despite the fact that they are very rare, blood cysts can be large and may cause obstructive or regurgitant symptoms, depending on their location.6,24 Severe complications which include valve dysfunction, LV outflow tract obstruction that can lead to syncope and embolic stroke have been noted.6,7,14,16 Therefore, surgical resection should be considered in patients with symptoms or valvular dysfunction.14,21
We report our incidentally discovered blood cyst. Although our patient was asymptomatic and the cyst did not interfere with the cardiac function, the heart team together with the patient, preferred the surgical resection of the cardiac mass in order to prevent any possible future complications. As intracardiac blood cysts are rarely reported, the management should be suited for each patient individually.