Have a personal or library account? Click to login
Overlaping Syndromes: Kawasaki-Like Disease in Pediatric Multisystem Inflammatory Syndrome vs Atypical Kawasaki Disease. British or American? One Case, Many Possibilities Cover

Overlaping Syndromes: Kawasaki-Like Disease in Pediatric Multisystem Inflammatory Syndrome vs Atypical Kawasaki Disease. British or American? One Case, Many Possibilities

Open Access
|May 2022

Full Article

INTRODUCTION

Kawasaki Disease (KD) is a medium artery vasculitis of unknown origin which is characterized by prolonged fever and specific mucocutaneous clinical signs. The annual incidence varies between countries and nations. The highest incidence is in Japan, around 250 children per 100000 children less than 5-year-old comparing to 13.7 at 100000 for white children with a boy:girl ratio 1.5–1.7:1, and an increased incidence in late winter and spring1. Diagnosis of Kawasaki disease comprise at least 5 days of fever and more than 4 positive clinical criteria (Table 1). Incomplete forms of KD (or atypical KD according the McCrindle et al) were described, but they are less frequent (10–20%) than the complete form2,3. For such cases, there are less than 4 clinical criteria, but in case of presence of coronary artery dilatations, „the diagnosis is considered confirmed in most of the cases”1,4. In a recent review Marchesi et al introduced the concept of atypical Kawasaki disease, which is different from incomplete Kawasaki disease, including in this category fever accompanied by manifestations that are „atypical” as neurological signs (aseptic meningitis, seizures, peripheral facial nerve palsy, sensorineural hearing loss), respiratory – pneumonia, gastrointestinal (gallbladder hydrops, jaundice, acute abdomen, pancreatitis), renal (renal injury, sterile pyuria), arthritis, orchitis5. Perhaps, in atypical form of presentation may be included also, patients with only fever without any other symptom associated6.

Table 1

Comparative view of the diagnostic criteria in Kawasaki disease, incomplete or atypical Kawasaki disease, and pediatric multisystemic inflammatory syndrome1,11

Kawasaki Disease (KD)Incomplete (or atypical) KDPediatric multisystemic inflammatory syndrome (all 6 criteria)
Fever, and 4/5 criteria:
  • Erythema and cracked lips, strawberry tongue and/or erythema of the pharynx and oral mucosa

  • Bilateral bulbar conjunctival injection

  • Rash maculopapular, erythematous

  • Erythema and edema of the hands and feet in acute phase or periungual desquamation in subacute phase

  • Cervical lymph nodes ≥1.5 cm.

  • Children with

    • • Prolonged Fever (≥5 days)

    • • 2–3 criteria

    OR

  • Infants with Prolonged Fever (≥7 days without other explanation)

  • Compatible laboratory tests (3 of the 6 criteria)

    • anemia

    • thrombocytosis after the 7th day of fever

    • albumin level ≤3 g/dl

    • elevated ALT level

    • WBC≥15,000/mm3

    • Urine≥10WBC/hpf

  • Compatible echocardiographic findings (any of the following)

    • Z score LAD or RCA ≥2.5

    • Coronary artery aneurysm

    • ≥3 features from:

      • Decreased LV function

      • Pericardial effusion

      • Z score LAD 2–2.5

      • Mitral regurgitation

  • Child 0–19 years

  • Fever ≥3 days

  • Clinical signs of multisystem involvement (at least 2 of following):

    • rash/bilateral non-purulent conjunctivitis/mucocutaneous inflammation signs: oral, hands or feet

    • hypotension or shock

    • features of myocardial dysfunction, pericarditis, valvulitis, coronary abnormalities (echo findings or troponin/NT proBNP)

    • evidence of coagulopathy (prolonged prothrombin time, partial thromboplastin time or elevated D-dimers)

    • Acute gastrointestinal symptoms (diarrhea, vomiting, abdominal pain)

  • Elevated markers of inflammation such as C reactive protein, procalcitonin, erythrocyte sedimentation rate.

  • No other obvious microbial cause of inflammation, including bacterial sepsis, staphylococcal/streptococcal toxic shock syndrome

  • Evidence of COVID-19 (RT PCR, antigen test, serology) or likely contact with patients with COVID-19

COVID-19 coronavirus 2019 disease; LAD left anterior descending; NTproBNP N-terminal pro Brain type natriuretic peptide; RCA right coronary artery; RT PCR reverse transcriptase polymerase chain rection; WBC white blood cells.

There are particular cardiovascular features that are included in KD as other cardiovascular manifestations, such as myocarditis, pericarditis, valvular regurgitation, aneurism of the noncoronary medium-sized artery, aortic root enlargement, peripheral gangrene1.

In this landscape of three existing types of KD (complete, incomplete and atypical), a fourth form of Kawasaki disease was recently described in the context of COVID-19 pandemia, which is called Kawasaki-like disease. The first description was in April 2020, in United Kingdom (UK), around 4 weeks after the peak of infections generated by severe acute respiratory syndrome coronavirus 2 (SARS-CoV-2) in UK. Royal College of Paediatrics and Child Health (RCPCH) described the criteria of inflammatory syndrome on 1st of May, including the characteristics of inflammatory disease – persistent fever 38.5°C, laboratory markers of inflammation (neutrophilia, lymphopenia, elevated C reactive protein), single or multi-organ dysfunction – and exclusion of alternative causes. The RCPCH did not consider mandatory the positivity of the SARS-CoV-2 testing. In the following statement of the Centers for Disease Control and Prevention (CDC) on 14th of May and World Health Organization (15th of May) the same criteria were elaborated for confirmation of inflammatory syndrome in children associated with SARS-CoV-2 infection, in different shape but insisting on demonstrating the link with the COVID-19 infection, either by using antibodies or antigen tests or at least past history should be positive (Table 1)7,8,9,10,11.

For cases that account similarities with all these types of Kawasaki disease is easier to use the American criteria than the British one, because of the link with the SARS-CoV-2 infection, making in this way the separation between them. Other signs that also may differentiate the associated and non-associated KD to COVID-19 infection are the age of the patient (less than 5-year-old, usually KD, more than 5-year-old for Kawasaki-like disease), the presence of thrombocytosis (KD) or thrombocytopenia (Kawasaki like disease in almost one third of the cases)12.

CASE REPORT

1 year 9-month-old boy presented with fever (40.6° C), semi-consistent stools and vomiting in a private hospital. He associated irritability and clinical findings suggestive of heart failure (facial edema, hepatomegaly, pleural, pericardial and peritoneal effusion), and moderate systolic dysfunction (ejection fraction 40%), afterwards being transferred in our clinic.

No significant past medical history with good physiological postnatal adaptation were noted. Questions related to SARS-CoV-2 infection (symptoms, signs or tests) were asked but the answer was negative related to the patient and the relatives of the patient.

The physical examination on admission revealed a mediocre clinical general state, paled skin, dehydrated, especially at the lips mucosa which appeared cracked, but without the aspect of a “strawberry tongue”. At the palm-plantar level, a slightly fleeting erythema was sporadically visualized. No superficial lymphadenopathy was noticed, a slightly hyperemic pharynx. The patient was tachycardic with a heart rate of 165–170 bpm, a blood pressure of 122/86 mmHg, > the 95th percentile (at admission), afterwards normal blood pressure, 95/70 mmHg, without any cardiac or vascular murmur, mild hepatomegaly. He persisted in maintaining gastrointestinal symptoms as capricious appetite, vomiting and semi-consistent stools. Laboratory findings revealed normochromic, normocytic anemia (Hb = 9 g/dL), leukocytosis (26,970 /uL) with neutrophilia (65%), mild thrombocytosis (623.000 uL). Inflammatory status showed CRP = 34.24 mg/L (normal value, NV<5 mg/L), procalcitonin = 0.54 ng / mL (NV <0.05), ferritin = 114 ng/ml (NV 6–67 ng/ml), decreased in 5 days to 42.5 ng/ml, fibrinogen = 257 mg/dl (NV 160–390 mg/dl), and high levels of IL-6, 84.83 pg/mL (NV <7 pg/ml). Blood tests, also, detected a coagulopathy with INR = 1.39, D-dimers = 15.68 micrograms/mL (NV <0.5 micrograms/ml). NT-proBNP was increased, 67.995 pg/mL (NV <125 pg/ml) and also, increased troponin T = 62.4 ng/dl (NV<40 ng/dl). TGO, TGP were normal, respectively 20.5 UI/l and 12 UI/l, albumin =3.64 g/dl (NV 3.8 – 5.4 g/dl).

The most frequent etiological viral agents implicated in myocarditis were excluded by negative antigen or antibody tests. Also, the SARS-CoV-2 PCR test was negative.

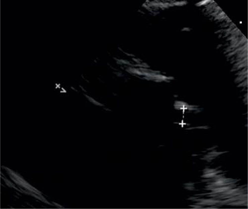
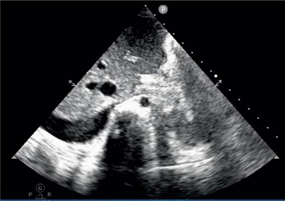
The electrocardiogram was normal. Repeated transthoracic echocardiography confirmed the moderate-severe systolic dysfunction (LVEF = 30–40%), the thin layer of pericardial effusion, a right pleural effusion of about 16 mm, Figure 1, mild mitral regurgitation, Figure 2, initial normal coronary artery diameter, but in evolution, in the fifth day dilated coronary arteries were noticed - the left main coronary artery measured 3.4 mm (Z-score = 2.8), the left anterior descending coronary artery measured 2.5 mm (Z-score = 2.6), and the right coronary artery was of normal size 2 mm (Z-score = 0.6) (Figure 3).

Figure 1

Right pleural effusion.

Figure 2

Mild mitral regurgitation.

Figure 3

Left main coronary artery in the proximal segment showing a dilation of 3.4 mm (z score 2.8).

There were intricated elements of myocarditis (viral gastrointestinal prodrome with fever, systolic dysfunction, intricated pericarditis, elevated NTproBNP) associated with elements of Kawasaki disease (persistent fever, incomplete criteria - nonspecific clinical rash, palmo-plantar erythema, thrombocytosis, dilatation of the proximal part of the left coronary artery) and some criteria for multisystem inflammatory syndrome (increased Il-6, D-dimers, ferritin). Intravenous immunoglobulins (IVIG) 2g/kg for 4 days, from the first day of admission, inotropic support with Dobutamine, 5 micrograms/kg/min (from the first day from admission, for 5 days), loop diuretic (Furosemide 0.5 m/kg/dose every 6 hours), aldosterone antagonist (Spironolactone 1 mg/kg/day) combined with ceftriaxone 100 mg/kg/day (for 7 days) and symptomatic medication were administered. Considering the findings that support the incomplete (atypical) Kawasaki disease (KD) in the presence of procoagulant features, the treatment scheme was completed with anticoagulant with Enoxaparin 1200 IU every 12 hours during hospitalization, corticosteroid therapy with Methylprednisolone 30 mg/kg/day (for persistence of fever after three days of IVIG), for 4 days, and angiotensin-converting enzyme inhibitor (Lisinopril 0.1 mg/kg/dose) with good evolution, remission of fever in 5 days, normalization of the clinical examination. It was discharged after 9 days, on diuretics (Furosemide, Spironolactone), ACEI – Lisinopril, and Aspirin as antiaggregant drug. The echocardiography at discharge showed normalization of the ejection fraction, absence of pericardial or pleural effusion and disappearing of the coronary dilations.

DISCUSSION

We presented a case of an atypical form of KD intricated with elements of multisystem inflammatory syndrome. The onset was with fever and only two clinical mucocutaneous criteria. There were other clinical elements of gastrointestinal involvement and heart failure (vomiting, semi-consistent stools, hepatomegaly, pleuro-pericardial and peritoneal effusion, facial edema), without elements of shock. An incomplete form of Kawasaki disease was completed on echocardiographic elements of dilation of left anterior descendant artery (LAD) with Z score over +2.5, pericardial effusion, and decreased left ventricle function and on complementary laboratory findings (anemia, leukocytosis, thrombocytosis, inflammatory syndrome). In parallel with evaluation for KD, we explored the patient for the possibility of Kawasaki-like disease associated to pediatric multisystem inflammatory syndrome (PMIS) especially in the COVID-19 pandemia. All elements of PMIS were present except the one reflecting exposure to SARS-CoV-2 infection or positive serology.

Myocarditis and shock can be part of the classical form of KD. Myocarditis may appear in 100% of the cases, precedes the coronary involvement and, usually, is transitory with a good response to anti-inflammatory medication being associated with interstitial inflammation and edema and not with necrosis. Symptomatic myocarditis is present in less than 5% of KD, while in PMIS the symptomatic myocarditis is prevalent in 50% of the cases13,14. Kawasaki disease shock syndrome (KDSS) is a potential form of evolution in KD, present in about 7% of the patients, that initially is part of the KD but afterwards evolve as a shock syndrome related to KD with decreased peripheral vascular resistance and decreased contractility1. The abundance of cytokine release was presumed as a possible condition associated to KDSS15. Also, macrophagic activation syndrome, similar with systemic idiopathic arthritis, may complicate a KD, and in concordance with this diagnosis there are the associated criteria that must be noted: increased ferritin level, thrombocytopenia, hypertriglyceridemia, hypofibrinogenemia16,17. In some forms of KD an increased level of inflammatory cytokines (Il 1, TNFα) was described, sometimes suggestive for resistance to IVIG. In this way, administration of antagonists’ receptors – Tocilizumab, Etanercept, Anakinra may be appropriate for resistant cases. In our case, an increased level of IL-6 was noticed, but for our patient the IVIG dose and the methylprednisolone pulse therapy were sufficient18.

In our case the patient manifested with signs of myocarditis and incomplete/atypical form of Kawasaki disease. While myocarditis can be part of the KD, even in 100% of the cases, the symptomatic ones are rarer, less than 5%14.

Mitral regurgitation is found in 23–27% of the patients and is a sign of pancarditis. Usually, the evolution is favorable with resolution rapidly in time. Aortic regurgitation is rare, 1%, and is associated with aortic root dilatation19.

Coronary involvement is present 23–25% of the KD patients, with reduced incidence to 4–8% after using IVIG, depending on the regimen of administration (single IVIG dose 4%, 4 administration, IVIG low dose 8%)20,21. Initially, the proximal segments are affected, and progress distally, initially with dilation and afterward with aneurysm formation, varying in number, size and position. The major part of the patients will associate dilation of the proximal segments of the coronary arteries in the first 4–8 weeks of evolution, at a z score <2.5, that most probably, will disappear in short time. Coronary dilation (z score >2) may progress to aneurysm small (z score >2.5), medium (z score>5) and giant (z score >10). As severe complications in KD thrombosis with obstruction causing acute myocardial infarction, coronary stenosis, KD shock syndrome, and MAS associated to KD5,16,17.

Under the treatment (IVIG, 2 g/kg in 4 days – slow administering schema considering the myocarditis onset type, without clear elements of KD, associated with metilprednisolon, 30 mg/kg/day for 4 days), positive inotropic treatment, anticoagulant, and cardiac remodeling treatment with ACEI, the evolution was favorable, the symptoms remitted, the inflammatory syndrome progressively decreased and the contractile function gradually improves with an increase of the ejection fraction to 57% at the time of discharge.

Considering the range of diverse cardiac manifestations from a viral myocarditis-like syndrome to coronary arteries abnormalities we took into consideration three differential diagnosis: acute myocarditis at the time of the onset, incomplete/atypical form of Kawasaki disease and Kawasaki-like disease in multisystem inflammatory syndrome post COVID-19. The negative viral panel helped us rule out myocarditis and the appearance of the elements of KD revealed the etiology of the cardiac function decrement. In order to exclude pediatric multisystem inflammatory syndrome, we run the serology and PCR (antigen) SARS-CoV-2 tests which came back negative. Nor the anamnesis helped in this direction, family denying any association with SARS-CoV-2 exposure. Against a Kawasaki-like disease are also a very young age (1-year-9-month-old child) and the presence of thrombocytosis instead of thrombocytopenia. All other elements concourse for PMIS.

Initially, echocardiographic evaluation did not show coronary artery dilation. In literature, echocardiography may show even normal examination in the first week after the onset of KD without excluding the diagnosis1. Over time, it has now been realized that KD may cause several other cardiac complications as well22,23. It has been shown that myocarditis in KD is, in fact, more common than coronary artery involvement and may be almost universal. Myocarditis is an integral component of KD and may be more common than coronary artery abnormalities. Pericardial involvement and valvular abnormalities have also been observed in patients with Kawasaki disease. KD shock syndrome is now being increasingly recognized and may be difficult to differentiate clinically from toxic shock syndrome24.

CONCLUSION

Kawasaki disease is a rare condition that can be easily overlooked especially if other clinical elements of cardiovascular involvement may be more prominent. A systematic view and review of the diagnostic elements is necessary in KD in order to discover the coronary arteritis, which may be relevant after one week from the onset.

In the COVID-19 pandemia, Kawasaki-like disease must be considered and elements of the PMIS must be outlined due to the huge unfavorable risk if left undiagnosed.

In this context of intricated clinical elements, the diagnosis can be positive or negative for Pediatric Mutisystem Inflammatory Syndrome depending on which literature you rely on, British or American. Definition criteria should be unified in order not to generate confusion.

DOI: https://doi.org/10.47803/rjc.2020.31.4.897 | Journal eISSN: 2734-6382 | Journal ISSN: 1220-658X
Language: English
Page range: 897 - 902
Published on: May 5, 2022
Published by: Romanian Society of Cardiology
In partnership with: Paradigm Publishing Services
Publication frequency: 4 issues per year

© 2022 Cristiana Voicu, Cosmin Grigore, Dan Stefan, Cristina Filip, Gabriela Duica, Georgiana Nicolae, Mihaela Balgradean, Alin Nicolescu, Eliza Cinteza, published by Romanian Society of Cardiology
This work is licensed under the Creative Commons Attribution 4.0 License.