Figure 1

Figure 2

Figure 3

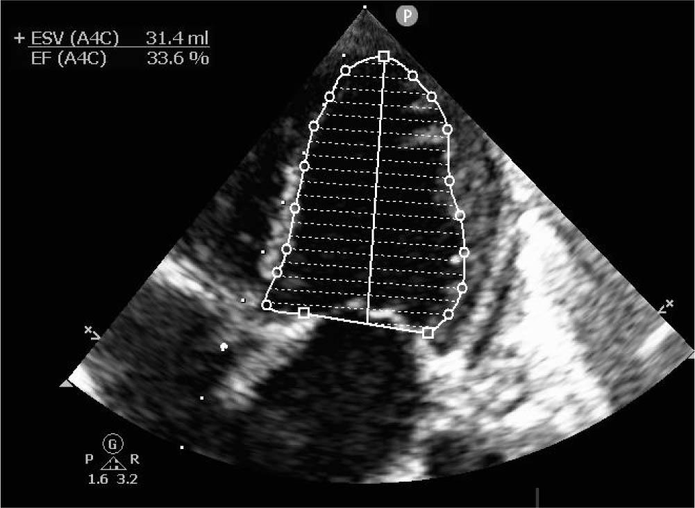
Figure 4

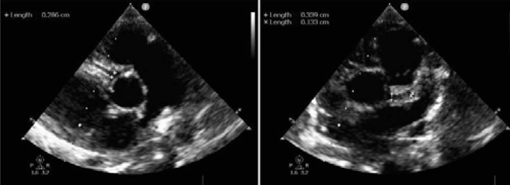
Figure 5

Figure 6

World Health Organization and Centers for Disease Control and Prevention definitions of the multisystem inflammatory syndrome in children_ AEPC position paper2
| MIS-C definition of WHO (required: all six criteria) | MIS-C definition of CDC (required: all 4 criteria) |
|---|---|
| 1. Children's age 0 – 19 years | 1. Age <21 years |
| 2. Fever for ≥3 days | 2. Fever: documented ≥38.0°C ≥24 hours or reported subjective fever lasting ≥24 hours |
3. Clinical signs of multisystem involvement (at least two of the following):
| 3. Clinical presentation consistent with MIS-C, including all of the following:
|
| 4. Elevated markers of inflammation such as C-reactive protein, erythrocyte sedimentation rate, or procalcitonin. | 4. Laboratory incidence of inflammation including, but no limited to any of the following:
|
| 5. No other obvious microbial cause of inflammation, including bacterial sepsis and staphylococcal/streptococcal toxic shock syndromes. | 5. No alternative plausible diagnoses. |
| 6. Evidence of COVID-19 (RT-PCR, antigen test, or serolog positive), or likely contact with patients with COVID-19. | 6. Positive for current or recent SARS-CoV-2 infection by RT-PCR, serology, or antigen test; or exposure to a suspected or confirmed COVID-19 case within the 4 weeks prior to the onset of symptoms. |
Comparative view of the treatment received by all three cases presented above
| Medication | Case 1 | Case 2 | Case 3 |
|---|---|---|---|
| Corticotherapy (Methylprednisolone) | ✓ | ✓ | ✓ |
| Imunoglobulin | ✓ | ✓ | ✓ |
| Immunomodulator Anakinra | ✓ | – | – |
| Inotropic support: | + | + | – |
| • Dobutamine | × | ✓ | × |
| × Dopamine | ✓ | ✓ | × |
| × Adrenaline | ✓ | × | × |
| Anticoagulation (Enoxaparin) | ✓ | ✓ | ✓ |
| Antiplatelet therapy (Aspirin) | ✓ | ✓ | ✓ |
| Antibiotherapy | ✓ | ✓ | ✓ |
| ACE-inhibitor (Lisinopril) | ✓ | ✓ | – |
| Diuretic | |||
| × Furosemide | ✓ | – | – |
| × Spironolactone | ✓ | – | – |
| Beta-blocant | ✓ | – | – |
Comparative view of the laboratory findings for all three patients
| Parameters | Case 1 | Case 2 | Case 3 | Reference values |
|---|---|---|---|---|
| Leukocytes (/uL) | 25.310 | 13.890 | 7.600 | 5.000–14.500 |
| Neutrophils (%) | 88,2% | 92,4% | 82,9% | 30–75% |
| Thrombocytes (/uL) | 178.000 | 141.000 | 186.000 | 150.000–450.000 |
| C-reactive protein (mg/L) | 137,92 | 231,68 | 161,25 | 0–5 |
| Procalcitonin (ng/mL) | 1,92 | 5,06 | 3,51 | <0,05 |
| Ferritin (mcg/L) | 605 | 1518 | 670,32 | 14–124 |
| IL-6 (pg/mL) | 40,36 | 350,6 | 42,42 | <7 |
| NT-proBNP (pg/mL) | 48,793 | 15.802 | 2.752 | <125 |
| D-dimers (ug/mL) | 1,32 | 1,55 | 0,96 | 0–0,5 |
| SARS-CoV2 Ig G antibodies | Positive | Positive | Positive | – |